A case of scapular avulsion with upper limb
- Authors: Mikusev G.I., Khaidarov F.F., Gainullin R.U., Akhmetzyanov N.N.
- Issue: Vol 81, No 3 (2000)
- Pages: 229-230
- Section: Short articles
- Submitted: 18.01.2022
- Accepted: 18.01.2022
- Published: 02.02.2022
- URL: https://kazanmedjournal.ru/kazanmedj/article/view/96719
- DOI: https://doi.org/10.17816/kazmj96719
- ID: 96719
Cite item
Full Text
Abstract
Limb avulsions are the most severe injuries of the musculoskeletal system. Among the causes of damage, separations due to the ingress of limbs under rail transport, into working machines and units, dominate. Bleeding from the wound with this type of injury is usually insignificant or absent at all, which is explained by damage to the wall of the main vessels at different levels. The thrombus in the lumen of the stump is intertwined and firmly held by all the shells of the ruptured vessel. The most severe injury is the complete separation of the scapula with the entire upper limb. Rapid rotation of the arm leads to twisting of the tunicae externae of large vessels, there is no severe bleeding when the limb is torn off.
Keywords
Full Text
Отрывы конечностей — наиболее тяжелые повреждения опорно-двигательного аппарата. Среди причин повреждений доминируют отрывы вследствие попадания конечностей под рельсовый транспорт, в работающие станки и агрегаты. Кровотечение из раны при этом виде травмы, как правило, незначительное или вообще отсутствует, что объясняется повреждением стенки магистральных сосудов на разном уровне. Тромб в просвете культи переплетается и прочно удерживается всеми оболочками разорванного сосуда. Тягчайшим повреждением является полный отрыв лопатки со всей верхней конечностью. Быстрое вращение руки приводит к скручиванию tunicae externae крупных сосудов, сильного кровотечения при отрыве конечности не бывает.
Приводим собственное наблюдение.
Н., 36 лет, поступил в хирургическое отделение Апастовской ЦРБ 16.03.99 г. в 13 часов с жалобами на слабость, боли в области раны правого надплечья и грудной клетки справа.
Анамнез травмы: за 50 минут до поступления пострадавшего во время работы в поле на прессовке сена рукав его телогрейки зацепило за кардан прессовальной машины (на него не был одет защитный кожух!). Больного дважды прокрутило через кардан и, оторвав правую руку, отбросило в сторону. Он почувствовал резкую боль и ощутил тепло в области правого надплсчья, дальнейшие события помнит смутно. Со слов сопровождающих, один из работников, бывший рядом, который ранее был участником военных событий, пережал рукой пульсирующие, обильно кровоточащие подключичные сосуды и перевязал их куском веревки. После этого пострадавшего попутным транспортом доставили в ЦРБ.
При поступлении состояние тяжелое. В сознании, но несколько заторможен и апатичен. На вопросы отвечает односложно. Лицо покрыто мелким, холодным потом. Кожа и видимые слизистые бледные. Язык сухой, не обложен. Пульс ритмичный, частый, ослаблен — НО уд. в 1 мин. АД — 60/30 мм Hg. Тоны сердца глухие. Дыхание везикулярное, справа несколько ослаблено. Живот мягкий, безболезненный при пальпации.
Местный статус: отсутствует правая верхняя конечность. По верхненаружной поверхности правой половины грудной клетки продольно расположена рана неправильной формы, с неровными краями, размерами 32 х 25 см. Дном раны являются обрывки мышц, ребра, фасции. Из раны торчит оголенный наружный кусок ключицы на 2/3. Под ключицей видны перевязанные веревкой пульсирующая артерия и вена. Рана загрязнена соломой. В правой теменной области две ушибленно-рваные раны размерами 5,0 х 2,0 и 3,0х 1,5 см.
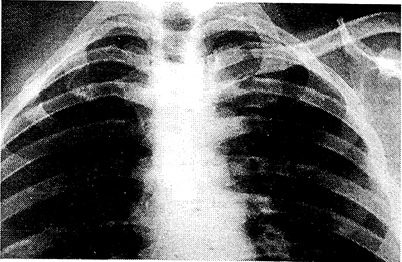
На обзорной рентгенограмме грудной клетки: легкие расправлены, жидкости в плевральных полостях не определяется, отсутствует тень лопатки и верхней конечности справа (рис. 1).
Рис. 1. Рентгенограмма больного Н. до операции.
Макропрепарат: правая верхняя конечность с лопаткой. Кожа с осаднениями в области локтевого сустава отслоена до нижней трети плеча и сдвинута, как чулок. В проксимальном отделе обрывки мышц, размяты стволы нервов плечевого сплетения; плечевые артерия и вена также размяты. При пальпации определяются патологическая подвижность и костная крепитация в средней трети предплечья и области локтевого сустава.
При поступлении общий анализ крови: НЬ — 112 г/л, СОЭ — 15 мм/ч, л. — 7,0 • 109/л, эр. — 3,3 • 1012/л, цв. показатель — 1,0, время свертывания — 4 мин.
Общий анализ мочи: цвет — соломенно-желтый, отн. пл. — 1,015, белок — следы, л. — 9—10 в поле зрения, зерн. цил. — 2—3 в поле зрения, эп. кл,— единичные.
На основании клинико-рентгенологических данных выставлен диагноз: отрыв правой лопатки с верхней конечностью; ушибленно-рваные раны теменной области справа; травматический шок 3—4 ст.
Больной взят в операционную. Начаты реанимационные мероприятия: обезболивающие, сердечно-сосудистые средства, инфузионная терапия. После определения группы крови перелито 400,0 мл одногруппной крови. После улучшения общего состояния и выведения из шока рана обильно промыта растворами антисептиков, нежизнеспособные ткани щадяще иссечены. Ключица вылущена в грудинно-ключичном сочленении. После этого произведено лигирование в ране подключичных артерий и вены проксимальнее; дистальные их участки, перевязанные веревкой, отсечены. Стволы плечевого нервного сплетения в ране найдены не были; по-видимому, отрыв их произошел на уровне первичных стволов, центральнее. Повреждения плевры не выявлено. Рана закрыта местной кожной пластикой. Установлена проточная дренажная система. Наложена асептическая повязка. Выполнена контрольная рентгенография (рис. 2).
Рис. 2. Рентгенограмма больного Н. после операции.
В послеоперационном периоде анемия нарастала. Общий анализ крови: НЬ — 56 г/л, эр. — 1,5 • 1012/л, л. — 6,0 • 109/л, свертываемость — 3 мин, цв. показатель — 1,1, гематокрит — 18%; СОЭ — 53 мм/ч. Продолжена инфузионная терапия (включая гемотрансфузии), антибиотики, сердечно-сосудистые средства, обезболивающие, витамины. Рана зажила с участками краевого поверхностного некроза кожи. Швы сняты на 14-й день. С целью устранения фантомных болей проведен курс физиотерапевтического лечения.
Описанное в литературе незначительное кровотечение или полное его отсутствие при данном виде травмы у наблюдавшегося нами больного, не имело места. Жизнь пострадавшего была спасена в первую очередь благодаря товарищу по работе, который своевременно остановил кровотечение.
About the authors
G. I. Mikusev
Author for correspondence.
Email: info@eco-vector.com
Russian Federation
F. F. Khaidarov
Email: info@eco-vector.com
Russian Federation
R. U. Gainullin
Email: info@eco-vector.com
Russian Federation
N. N. Akhmetzyanov
Email: info@eco-vector.com
Russian Federation
References




