On primary cancers (endotheliomas) of the pleura
- Authors: Vasiliev I.P.1
-
Affiliations:
- Pathological-Anatomical Institute of Kazan State University
- Issue: Vol 24, No 1 (1928)
- Pages: 26-43
- Section: Articles
- Submitted: 06.12.2021
- Accepted: 06.12.2021
- Published: 15.01.1928
- URL: https://kazanmedjournal.ru/kazanmedj/article/view/89736
- DOI: https://doi.org/10.17816/kazmj89736
- ID: 89736
Cite item
Full Text
Abstract
In the Pathological-Anatomical Institute of the Kazan University during the 60 years of its existence only two cases of p. r. p. have been found, of which one was in 1874, the other in 1908, for approximately 7,000 sections up to the present report. According to Govorov's (1914) famous statistics, based on the sectional material of a number of large cities in Europe. Among 211,520 autopsies, only 55 cases of p. p. p. were found, i.e. 0.026%.
Keywords
Full Text
(С таблицею рисунков).
Первичные раки плевры, часто называемые также эндотелиомами, принадлежат к числу очень редких заболеваний. Так, Титов (1902) указывает, что в Бахрушинской Московской больнице за 5 лет наблюдалось всего 2 сл. этого новообразования. Hansemann (1910) на 12,000 вскрытий не имел ни одного случая первичного рака плевры. Seуdеl (1910; сообщает, что в Мюнхенском Патолого-анатомическом Институте на 10,829 вскрытий п. р. п. встретился 2 раза. За 10 лет существования патолого-анатомического отделения при Ин-те имени Морозовых для лечения страдающих опухолями на 763 вскрытия, падающих на случаи истинных опухолей, п. р. п. не наблюдался ни разу (Гросман, 1914). По данным Медведева, основанным на материале всех больничных учреждений г. Одессы за 25 лет (1901—1925) на 12,453 вскрытия имелось всего 2 сл. п. р. п. В Патолого-анатомическом Ин-те Казанского Университета за 60-летний период его существования на 7,000 приблизительно секций до настоящего сообщения встретилось всего два случая п. р. п., из которых один относится к 1874 г., другой к 1908 г. По известной статистике Говорова (1914), основанной на секционном материале ряда больших городов Европ. России, среди 211,520 вскрытий обнаружено всего 55 сл. п. р. п., т. е. 0,026%.
Первым несомненным случаем этого заболевания считается случай Wagner’a (1870). Здесь на вскрытии было обнаружено резкое утолщение плевры, диагносцированное, как туберкулезный плеврит. При микроскопическом исследовании, однако, была найдена картина рака с обильным присутствием соединительной ткани. Альвеолы этой опухоли, по мнению автора, представляли из себя лимфатические сосуды, выполненные клетками эпителиального типа. Вместе с тем клетки эти весьма походили на те элементы, которые выстилали плевру со стороны полости, и находились с ними в некоторых местах в прямой связи. В виду своеобразности гистологической картины автор затруднился дать определение этого новообразования. Несколько позднее Schultz (1876) вновь переисследовал случай Wagner’a и изучил несколько новых, причем во всех случаях обнаружил пролиферацию эндотелия сосудов в пораженной плевре, что и позволило ему об’яснить происхождение опухоли, как результат злокачественного разростания эндотелия лимфатических путей. Процесс был назван автором „эндотелиальным раком".
Это мало понятное теперь для нас определение опухоли являлось результатом тогдашних воззрений на гистогенез раковых новообразований. С точки зрения учения Virchow’а о раке, развитие такового в плевре не представляло ничего особенного, так как „эпителиоидные клетки“ паренхимы раковых опухолей он производил из соединительнотканных элементов, которые, конечно, имеются в плевре. Иначе стало дело после' исследований Thiersch’a (1865), Waldeyer’a (1867 и 1872) и Руднева (1870), установивших, что раковые опухоли могут первично, развиваться только из эпителия и притом в органах, в которых существует в норме эпителий.’ Но, так как по принятому в то время учению His’a (1865), те клеточные элементы, которые выстилают внутреннюю поверхность кровеносных и лимфатических сосудов, а также серозных оболочек, представляют из себя особую ткань—эндотелий, развивающуюся, как и соединительная ткань, из т. наз. парабласта, то за отсутствием в плевре эпителия образования здесь раков нельзя было допустить. Против этого выступил тот самый Wagner, который описал первый случай' разбираемого новообразования. Этот автор допускал, наряду с эпителиальными раками, существование соединительнотканных и эндотелиальных. Отсюда и название — endothelcarcinoma, предложенное Schultz-Wagner’oм для опвсанных ими опухолей плевры.
В дальнейшем целый ряд исследователей описывал в этих опухолях пролиферацию эндотелия то лимфатических путей—щелей, сосудов, околонервных пространств (Schottelius—1874, Malassez—1876, Schweninger—1878, Böhme—1880, Fränkel—1892, Riva— 1895, Fotheringham— 1897, Glоckner—1897, Pоdаck—1899,. Schulze-Vellinghausen—1900, Широкогоров—1902, Буpцeва—1903, Scagliosi—1904, Поггенполь —1905, Тоrri—1906), то даже кровеносных сосудов, придавая этому явлению гистогенетическое значение.
Иное об’яснение происхождению этих опухолей дал Benda (1897), имевший возможность исследовать раннюю стадию заболевания. При микроскопическом исследовании автор этот обнаружил энергичную пролиферацию клеток поверхностного слоя плевры в виде сосочков, походивших на таковые в некоторых кистах яичника. В глубоких же частях опухолевидно измененной плевры картина напоминала то, что описывалось другими авторами, а именно, образование из клеток новообразования альвеол, тяжей и железистых образований. В вицу доказанной, по мнению этого автора, связи этих глубоких разростаний с размножающимися на свободной поверхности клеточными элементами, он считал процесс истинным раком, так как, по господствовавшему в то время учению бр. Hertwig (Coelomtheorie), покровные клетки грудной и брюшной полости высших животных являлись производным внутреннего зародышевого листка и представляли собою эпителий.
Развитие п. р. п. из покровных клеток было описано в дальнейшем Gutmann’oм (1903), Huismans’oм (1912), Широкогоровым (1912), Krumbein’ом (1924).
В то время, как большинство первых исследователей считали данный процесс за истинное новообразование, нашлись авторы (Neelsen— 1882), которые полагали, что изменения в плевре—нестолько неоплазматический .процесс, сколько продуктивно-воспалительный, вследствие какой-то инфекции, в котором в разростании принимают одновременное участие как эндотелий лимфатических щелей и сосудов, так и соединительная ткань. В виду сходства в разростании пролиферирующего эндотелия при таком процессе с опухолью автор считал более подходящим для этого страдания предложенное Schottelius’oм название „lymphangitis carcinomatodes“. За инфекционную природу разбираемой опухоли высказались далее Birch-Hirsclifeld (1894) и Fraenkel (1892). Последний, как и Schweninger, называл процесс „lymphangitis proliferans". Несостоятельность учения о воспалительном происхождении страдания вскоре была установлена целым рядом исследователей (Glöckner—1897 и др.), и к этому в дальнейшем более не возвращались.
Помимо приведенных названий, которыми авторы старались охарактеризовать гистогенетическую сущность данного страдания, можно указать и на другие. Так, Perls именовал процесс—pleuritis carcinosa, Böhme, причисляя свой случай по типу строения к альвеолярным саркомам, называл его sarcocarcinomi, Waldeуer—angiosarcoma plexiforme, Eppinger—endothelioma, Klebs—endothelioma lymphangioma- tosum, Млодзеевский— кругл оклеточковой саркомой, Роdаск—альвеолярной эндотелиальной саркомою, Hansemann—lymphangitis plastica, Monckeberg, а также Kaufmann—mesothelioma и т. д. Krumbein насчитал до 30 названий, данных этому страданию.
Как уже было указано, большинство исследователей в качестве доказательства происхождения опухоли как из эндотелия лимфатических путей, так и из покровных клеток плевральной оболочки, приводило часто наблюдавшиеся картины перехода нормальных клеток в опухолевидные. Этим самым они невольно признавали, что страдание начинается не в одном или немногих местах, но является результатом общего поражения плевры на всем протяжении. Neelsen, Torri, Huismans более категорически высказались за плюрицентральное возникновение процесса.
На ошибочность такого допущения впервые было указано еще Rossier (1893), который допускал, что новообразование начинается ограниченно в одном только месте. По мнению этого автора то, что наблюдалось его предшественниками, есть поздняя стадия процесса. Вместе с тем он не исключал возможности, что эти опухоли развиваются из эпителия лимфатических сосудов. Склонность этих новобразований разростаться по преимуществу по плоскости автор определил названием cancer diffus.
Ribbert (1911), резко ограничивающий понятие об эндотелиомах, считает разбираемые опухоли за истинные раки. Описанные авторами переходы покровного эпителия плевры в элементы опухоли он считает только кажущимися, так как, по его мнению, вероятнее всего здесь дело касается обычного обростания поверхности клетками новообразования. Те же картины, которые многими считались за пролиферацию эндотелия лимфатических путей, он старался об’яснить тем, что раковые элементы в периферических разростаниях склонны принимать упрощенную форму и вид эндотелия1 Трудно предположить, по словам Ribbert’a, чтобы в ростущей опухоли сначала образовывались-бы строма и сосуды, а затем уже вторично эндотелий последних превращался-бы в клетки опухоли. Наконец, он не исключал возможности возникновения этих опухолей из отщепившихся эпителиев легких.
В настоящем столетии большинство исследователей определяло интересующее нас страдание или как рак (Шор, Ribbert, Huismans, Лихачева, Кузнецова, Krumbein, Вахтель и др.), или чаще как эндотелиому (Eppinger, Borst, Широкогоров, Бурцева, Курлов-Романов, Bonheim, Otto, Monckeberg, Kaufmann и др.). Широкогоров, признавая эти опухоли за эндотелиомы, согласно дуалистическому воззрению на их происхождение делит их на 2 вида: 1) раковые эндотелиомы, развивающиеся из покровных клеток плевральной оболочки, и 2) саркоматозные, происходящие из эндотелия лимфатических путей.
Что касается самых последних лет, то Вeitzke (1923) считает допустимым оба рода происхождения перв. опухолей плевры: 1) из эндотелия лимфатических путей и 2) из покровного эпителия плевры. Первые он называет эндотелиомами, вторые—раками. То же двоякое происхождение признает и Kaufmann (1922), причем считает покровные клетки, ссылаясь на эмбриологические исследования более позднего времени, чем т. наз. Coelomtheorie О. и R. Hertwig, модифицированными мезенхимальными, т. е. соединительнотканными образованиями, и поэтому опухоли, возникшие из них, называет эндотелиомами. Кrumbein (1924} теоретически допускает возникновение первичных эндотелиом плевры из эндотелия лимфатических сосудов и щелей. Однако, по мнению этого автора, точно доказанных случаев этого рода до сих пор никем не описано. Поэтому все случаи эндотелиом плевры он считает развившимися из покровных клеток, которые, по исследованиям Вromana (1921), представляют собою эпителий, так как происходят из эпителиальных частей мезодермы (но не из мезенхимы). Таким образом первичные опухоли плевры—истинные карциномы.
Перейдем теперь к описанию случая первичного рака плевры, наблюдавшегося нами.
Случай I. С. А., учительница, 32 л., замужняя, поступила 15/XII 1926 г. в Казанскую Железнодорожную больницу с диагнозом левосторонного экссудативного плеврита. Больна всего месяц. Вначале был лишь сухой, лающий кашель, и только около 2 недель появились боли в левом боку. Постепенное наростание одышки заставило больную лечь в больницу.
Беременностей 2, обе окончились нормальными родами. Весной и летом 1926 г. лечилась от какого-то „воспалительного тумора“ правого яичника с хорошим результатом. Теперь со стороны половой сферы жалоб нет; menstrua отсутствуют 2 месяца.
Status praesens: телосложение правильное, питание удовлетворительное; небольшая одышка при движении; 1° 37,4, пульс 84, удовлетворительного наполнения, дыхание до 25 в минуту; в левом легком сверху до угла лопатки отмечается укорочение перкуторного звука, книзу от угла лопатки абсолютная тупость и усиление голосового дрожжания, дыхание ослаблено по всему легкому; в правом легком жестковатый выдох над верхушкой; правая граница сердца на 1 попер, палец вправо от tin. sternalis sin., левая сливается с тупостью легкого, тоны глуховаты, 2-ой тон на легочной артерии усилен.
18/ХІІ: выпущено 400 к. ст. серозного экссудата, t° нормальна. 1/І 1927: при рентгеноскопии сплошное, местами более резко выраженное, затемнение в левом легком, небольшая мраморность в правом легком, t° нормальна. 5/І: при резком усилении одышки появилось притупление под правой лопаткой с ослаблением дыхания, накануне боль в правом боку, t° нормальна. 6/І: болезненность справа прошла, 1° 38,1°. 7/І: одышка усилилась, заметно значительное похудание. 15/І: добыта справа серозная жидкость, слева немного почти чистой крови: правая граница <сердца до lin. sternalis dex., пульс част, слаб, исхудание и слабость наростают, t норм., в добытой из правой плевры жидкости нейтрофилов 60 /0, лимфоцитов 2о,5 /0 и гистоцитов 11,5%1 17/І: при консультации с проф. М. Н. Чебоксаровым высказано предположение о злокачественном новообразовании в легком и средостении. и больная в тот же день переведена в Фак. Тер. Клинику 3 -та, где на следующий день гинеколог констатировал у ней бугристые опухоли обоих яичников, величиною с мандарин. 19/І: exitus let. Клин, диагноз: tumor malignus ovarii dex., metastases in mediastinum et pulmones (?). pleuritis exud. serosa dex. et haemorrhagica sin., bronchopneumonia bilateralis residua, anaemia.
Выдержки из протокола вскрытия: труп среднего роста, удовлетворительного питания: стояние диафрагмы справа на VI, слева на VIII ребре; в сердечной сумке около 200 к. ст., прозрачной, красноватой, с небольшою примесью хлопьев фибрина, жидкости: перикард совнутри покрыт нежными фибринозными наслоениями, сердце уменьшено в размерах, смещено немного вправо; на передней поверхности эпикарда заметны пологие, очень мелкие (до просяного зерна) узелки и тяжики. Серовато-желтого цвета и немного нежных фибринозных наслоений; клапаны без изменений, мышца дрябловата, бурого оттенка. Плевральные листки слева плотно спаяны друг с другом от верхушки до IV ребра, на остальном протяжении свободны; в оставшейся полости находилось 900 к. ст. жидкости, вида жидкой крови. Свободная часть реберной плевры и средние части диафрагмальной утолщены до 5—9 мм., очень плотны, серовато-белого цвета, местами с нежными фибринозно-гэморрагическими наслоениями; на свободной поверхности этих листков заметно много пологих, кругловатых и вытянутых возвышений (бляшек), величиною с чечевицу и горошину, а также тонких, слабо возвышавшихся тяжиков, анастомозировавших между собой и образовывавших неправильно-петлистую сеть. Левое легкое сдавлено более, чем на половину, и прижато к позвоночнику и сердечной сумке; плевра на его поверхности равномерно утолщена до 2—3 мм., слабо сморщена, серовато-белого цвета, покрыта того же характера бляшками, как и париэтальный листок, но в значительно меньшем количестве; в разрезе легкое коричнево-красного цвета, пронизано массою беловатых тяжей, толщиною до 1—2 мм., образовывавших крупно-петлистую сеть: тяжи начинались от плевры и располагались на месте интерстициальных прослоек, окружавших дольки и более крупные бронхи и сосуды. Отдельных узлов новообразования в легких не обнаружено. Легкое пронизано умеренно углем и содержало значительное количество- крови и немного воздуха. В правой плевральной полости 1300 куб. ст. прозрачной, соломенного цвета жидкости. Плевральные листки свободны от спаек, равномерно слабо утолщены (до 2—3 мм.,), с небольшим числом бляшек того характера, как и на левой стороне. Правое легкое также несколько ателектазировано, по размерам, однако, больше левого и содержало еще довольно значительное количество воздуха; в разрезе она имело тот же вид, как и левое. Бронхиальные железы с обеих сторон, за исключением одной с левой стороны, об’извествленной, увеличены до лесного ореха и пронизаны очагами серовато-белой ткани.
В брюшной полости жидкости не содержалось; брюшина гладка, свободна от новообразования. Брыжжеечные и забрюшинные железы слабо увеличены, сочны, однообразного серовато-розового цвета. Матка не увеличена, ткань органа плотна, на разрезе серовато-розового цвета. Трубы свободны, обычной толщины. Оба яичника увеличены до размеров большого мандарина и походят один на другой как по очертаниям, так и по своему строению. Они состоят из 2 половин: 1) латеральных. представлявших собою тонкостенные, с серозным содержимым, однокамерные кисты, величиною с небольшое куриное яйцо, и 2) медиальных, приблизительно равных первым и состоявших из плотной сероватой ткани, с поверхности неправильно-бугристых очертаний.
Diagnosis anatomica: pericarditis seroso-haemorrhagica, atrophia fusca myocardii, atheromatosis aortae, pleuritis serosa dex.. haemorrhagica sin., pleuritis chr. fibrosa adhaesiva partialis sin., carcinoma pleurae sin. primarium et secundarium pulmonis utriusque, pleurae dex. et peri=epicardii, metastases carcinomatis lympho- gland. bronchial! urn et ovariorum, catarrhus chr. ventriculi.
При микроскопическом исследовании, характер изменений в плевре и легких на обеих сторонах был один и тот же, что позволяет нам дать общее описание их.
Как париэтальный, так и висцеральный листки плевры были образованы по преимуществу счет соединительной ткани, которая в одних местах имела rpvбо-волокнистый, склерозированный вид, в других становилась более рыхлой, с обильным количеством клеток и сосудов; местами, наконец, она приобретала характер грануляционной ткани. Эндотелий лимфатических и кровеносных сосудов представлялся часто набухшим, но без всяких следов-пролиферации. Свободная поверхность плевральных листков была лишена клеточного покрова и образована без’ядерною, порой гиалинизированной соединительной тканью. Иногда на свободной поверхности залегал слой фибрина в различных стадиях организации. Местами близ поверхности можно было наблюдать растянутые кровью тонкостенные сосудики, в окружности которых, а также свободно среди соединительнотканных волокон и на самой поверхности плевры, заметно было присутствие красных кровяных шариков.
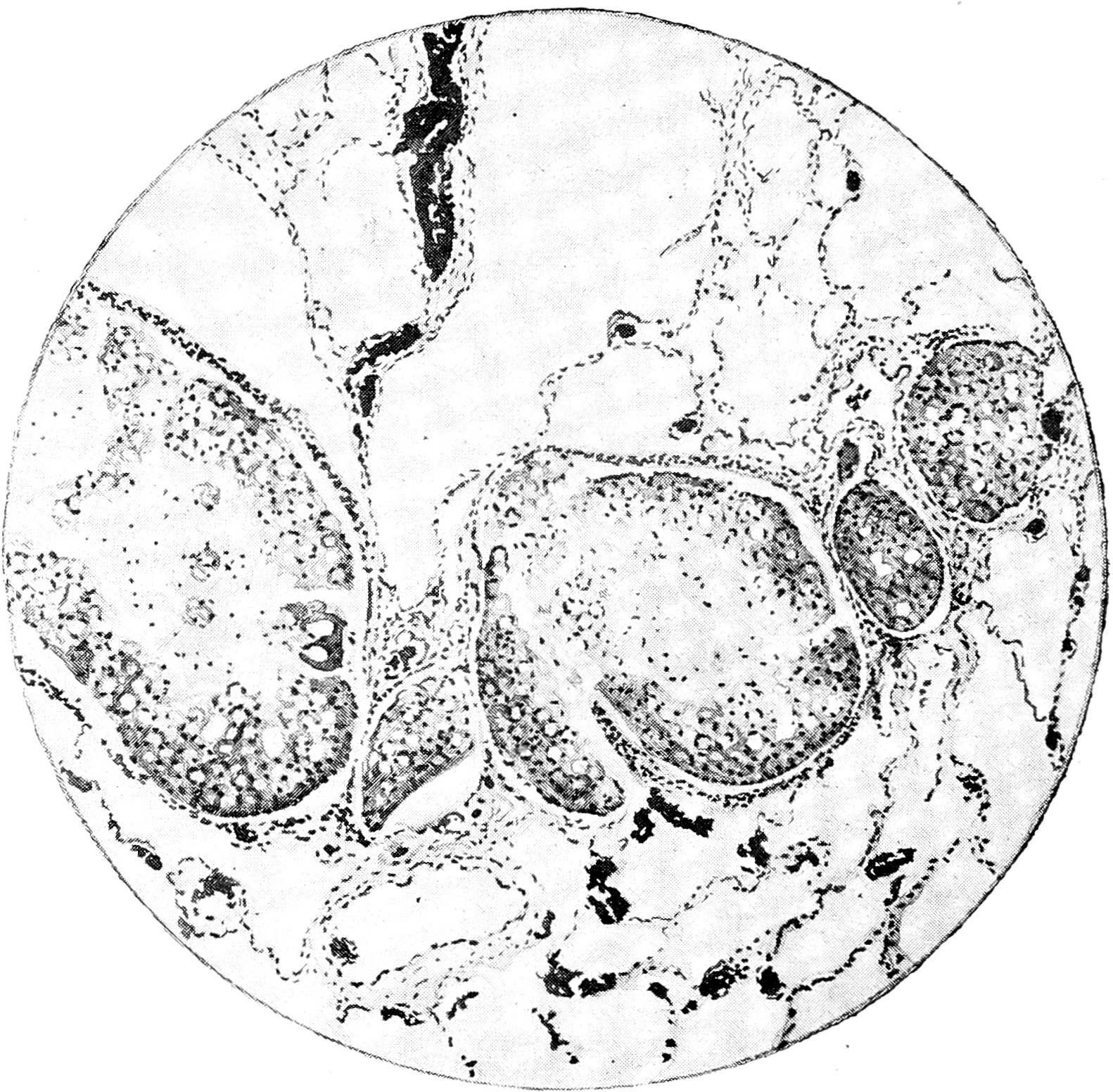
В этой соединительной ткани, служившей, таким образом, стромой для опухоли, залегали немногочисленные альвеолы с клетками новообразования (рис. 1). Альвеолы имели круглые, овальные или вытянутые очертания; реже они принимали неправильную форму, которая чаще всего возникала вследствие слияния нескольких рядом лежащих альвеол. Клетками новообразования нацело были выполнены только небольших размеров альвеолы. В более массивных альвеолах среди клеток новообразования существовало обильное количество различной величины полостей, казавшихся или пустыми, или выполненных нежно-струйчатой массой. Форму клеток возможно было наблюдать лучше всего в очень мелких альвеолах,—очевидно, недавно возникших. Здесь клетки чаще были полиэдрическими, реже овальными, круглыми. В наружных слоях они нередко принимали кубическую или даже невысокую цилиндрическую форму. Протоплазма клеток довольно светлая, нежнозернистая, ядра круглой или овальной формы, нерезко окрашивавшиеся. По мере увеличения размеров альвеол и возникновения среди клеток полостей, границы между отдельными клетками исчезали, вследствие чего возникала сплошная синцитиальная масса, в которой без всякого порядка залегали ядра. Очевидно, такое слияние протоплазмы являлось результатом дегенерации клеточных элементов, так как ядра принимали неправильные очертания и густо пикнотически окрашивались. Распределение ядер в этой общей массе протоплазмы было также своеобразно: в одних местах они густо сгруппировались, в других—значительные пространства протоплазмы не имели ядер.
Рис. 1
Особенностью данного новообразования являлось существование между клетками его указанных выше своеобразных полостей, содержимое которых давало реакцию на слизь. Полости эти располагались в различных местах среди отдельных клеток и синцитиоподобной массы: то в центре альвеол, то ближе к периферии. Обычно в одной и той же альвеоле они были множественны. Легко можно было проследить, как возникали эти очаги слизистой дегенерации путем появления постепенно увеличивавшейся капли (resp. полости) среди клеток опухоли. Иногда -среди слизистых масс можно было обнаружить присутствие пузырчато вздутых, слизисто-перерожденных клеток новообразования. При значительном накоплении слизи клетки новообразования сохранялись только в периферии альвеол в 1—2 ряда, причем иногда значительно уплощались, что могло дать повод смешать их с эндотелием сосудов.
Новообразование с висцеральной плевры внедрялось по интерстициальным междольковым прослойкам вглубь легкого. Эти интерстиции так же, как и плевральный листок, были утолщены и образованы плотной соединительной тканью. Очаги опухоли имели альвеолярное строение с резко выраженною склонностью клеток к слизистому перерождению. Здесь ясно было выявлено стремление клеток опухоли распространяться по существующим лимфатическим путям (рис. 2) и проникать до бронхов и больших сосудов. Перехода новообразования на межальвеолярные перегородки и внутрь альвеол не обнаружено.
Рис. 2
В легочной паренхиме, кроме явлений сдавления воздухоносных полостей, слабого утолщения альвеолярных перегородок, присутствия в ряде альвеол небольшого количества лейкоцитов, слущенного альвеолярного эпителия и отечной жидкости, ничего особенного не обнаружено.
Картины изменений в перикарде и эпикарде представляли полную аналогию тому, что обнаружено в плевре. Только здесь гнезд новообразования было еще меньше; клетки выказывали также резкую склонность к слизистому перерождению.
В очень немногих местах можно было констатировать внедрение новообразования по лимфатическим путям в интерестиции вглубь миокарда.
Бронхиальные лимфатические железы почти сплошь были пророщены новообразованием, имевшим ясно-альвеолярное строение. Характер клеток был тот же, что и в плевре. У клеток имелась резко выраженная наклонность к слизистому перерождению.
Оба яичника были почти сплошь пророщены новообразованием. Преобладало ячеистое расположение клеток опухоли с явлениями слизистого перерождения. Реже новообразование приобретало инфильтрирующий тип, хотя и здесь местами выступала склонность его образовывать мелкие альвеолы. Кисты в яичниках представляли из себя однокамерные полости с серозным содержимым и тонкими, образованными волокнистою соединительною тканью, стенками, лишенными эпителия.
Таким образом в нашем случае имелась первичная опухоль левой плевры, давшая переносы в правую плевру, эпи- и перикард, бронхиальные железы и яичники. Возникает вопрос, как классифицировать это новообразование? Из первой части нашей работы видно, что речь здесь может идти только о раке или эндотелиоме. Прежде, чем определенно ответить на этот вопрос, следует обратиться к рассмотрению тех данных, которые приводились авторами в пользу эндотелиального происхождения опухоли. Защитниками этого взгляда являлись по преимуществу авторы более ранних годов, у которых главным доказательством эндотелиальной природы опухоли служили обнаруженная ими пролиферация эндотелия лимфатических сосудов и щелей, непосредственный переход его в клетки новообразования и, кроме того, склонность гнезд новообразования располагаться в плевре по системе лимфатических путей. Процесс перехода эндотелия в элементы новообразования эти авторы представляли таким образом, что клетки, выстилающие лимфатические пути, набухали и превращались постепенно в клетки новообразования. Впрочем ряд авторов не мог обнаружить такого перехода (напр. Sсhulze-Vellinghausen).
Против такого допущения можно сделать ряд веских возражений. Прежде всего это противоречит основному положению, принятому в настоящее время большинством патологов, по которому рост опухоли совершается из нее самой путем размножения однажды изменившихся опухолевидно клеток, и далее,—что в опухолях никогда не имеет места превращение соседних нормальных элементов в клетки новообразования. Поэтому обнаруженные некоторыми исследователями набухание и слабая пролиферация сосудистого эндотелия ни в коем случае не представляют собою выражение постепенного приобретения им бластоматозного роста, а должны рассматриваться, как результат воспалительно реактивных изменений в строме опухоли. С другой стороны то, что принималось за превращение эндотелия в элементы опухоли, в действительности по мнению некоторых авторов (Ribbert, Шор), представляло собою обростание стенок лимфатических путей, при распространении новообразования (рака), его клетками в виду известной ангиотактической способности клеток раковых новообразований вообще.
Что же касается склонности таких опухолей располагаться преимущественно по ходу лимфатических сосудов, то таковая, очевидно, должна быть об’яснена своеобразной почвой,—возможно, в связи с обильно развитою сетью лимфатических сосудов в плевре, а также в зависимости от дыхательных экскурсий грудной клетки (Шор). Подтверждение этому мы усматриваем в том, что свойство распространяться по лимфатическим
путям диффузно по всей плевре наблюдается иногда и у опухолей, метастатически возникших здесь (напр. сл. Huismans’a—метастазы в левой плевре при первичном раке желудка).
Таким образом за отсутствием несомненных доказательств в пользу эндотелиальной природы разбираемого нами новообразования приходится, путем исключения, считать его раком. С данным определением лучше всего согласуются и те гистологические детали, которые наблюдались в большинстве описанных случаев. Обычно опухоль построена в виде альвеол, тяжей, трубочек, выполненных клетками новообразования или сплошь, или в один и немного слоев,—представляет тогда тип адено—или кистокарциномы (Кrumbein). Иногда опухоль приобретала с поверхности папиллярный характер (Benda, Ribbert и др.). Что касается клеточных элементов, то во многих случаях клетки в альвеолах имели ясно-цилиндрический или кубический характер. Весьма многие авторы,- отстаивавшие эндотелиальное происхождение опухоли (Wagner, Böhme, Pirkner, Glöckner, Scagliosi и др.), подчеркивали сходство как клеток новообразования с эпителием, так и общего строения с карциномой. Scagliosi, производя опухоль из эндотелия соконосных канальцев, называет ее раком. В пользу ракового происхождения опухоли говорит также, по нашему убеждению, обнаруженная многими исследователями склонность клеток новообразования к коллоидному и слизистому перерождению (Neelsen, Glöckner, Широкогоров, Бурцева, Krumbein, наш сл. и др.) и даже к ороговению (Perls).
После всего сказанного нетрудно будет диагносцировать новообразование, имевшее место в нашем случае, как рак. И это легко было-бы сделать с самого начала на основании гистологического строения (ясноальвеолярный характер опухоли, эпителиальный тип клеточных элементов, склонность последних к слизистому перерождению), если бы не существовало неясности вопроса в связи с стремлением авторов определить гистогенез опухоли.
Если теперь мы обратимся к разрешению вопроса о гистогенезе разбираемого новообразования, то должны указать, что большинство авторов, признававших опухоль за рак, считали исходным материалом для ее развития покровные клетки плевральной поверхности, которые они считали истинным эпителием согласно эмбриологическим изысканиям бр. Неrtwig, Broman’a и др. При этом Benda1, Gutmann, Широкогоров, Huismans и др. доказательство такого происхождения опухоли видели в обнаруженных ими картинах перехода покровного эпителия в опухоль. Krumbein в качестве доказательства указывал на склонность эпителия, выстилающего плевро-перитонеальную полость, к различного рода модификациям (к образованию цилиндрического эпителия, к созданию железоподобных кистовидных образований, склонности к слизистому перерождению и т. п.)—явлениях, в значительной мере выраженных в его случае рака плевры. И только Шор, Ribbert, Лихачева и Кузнецова совершенно не указывают, откуда развились раки в их случаях.
Нам не удалось в своем случае констатировать разростания опухоли на поверхности плевры, а, следовательно, и видеть т. наз. перехода покровного эпителия в элементы новообразования. Кроме того, если бы и наблюдались такие картины, то, по нашему мнению, они также скорее всего могли говорить о склонности клеток новообразования обростать свободные поверхности (Ribbert), чем за переход клеток в опухоль. Не возражая принципиально против выставленных Krumbein’ом доказательств (тем более, что наш случай по своей гистологической картине наиболее близко подходит к случаю этого автора), мы не решаемся, однако, на основании таких побочных доказательств окончательно высказаться относительно происхождения опухоли. Вместе с тем приходится помнить, что в каждом отдельном случае не исключена возможность возникновения опухоли из отщепившихся эмбриональных зачатков (Ribbert). С этой точки зрения, по нашему мнению, заслуживают внимания случаи Muus’a, Stilling’a и Zahn’a. В первом случае дело касалось опухоли, величиною с лесной орех, исходившей из диафрагмальной плевры левой стороны и обнаруженной у доношенного ребенка; микроскопически опухоль напоминала легочную ткань. В двух других случаях имелись кисты плевры, микроскопически напоминавшие собою кистовидно расширенные бронхи.
В заключение должно указать, что может возникнуть вопрос, не явились-ли в нашем случае яичники местом первоначального возникновения опухоли. Против такого предположения, по нашему убеждению, говорят следующие данные: 1) общая картина страдания, вполне отвечающая тому, что наблюдалось в большинстве случаев п. р. п ; 2) первичные раки яичников чаще всего свойственны более пожилому возрасту (Meyer), чем возраст нашей больной (32 г); 3) метастазы при первичных раках яичников чаще всего возникают на брюшине (в 85% по Schottländer’y), чего не было в нашем случае; в плевре же, по тому же автору, они наблюдаются в 14%; 4) трудность допущения поражения плевры с яичников метатастическим путем без обсеменения органов брюшной полости, чего также не наблюдалось в нашем случае. По Pfannenstiel‘ю, при опухолях удаленных друг от друга органов яичники являются чаще всего вторично пораженными органами.
Для полноты картины приведем описание 2 других случаев, наблюдавшихся в Казанском Патолого-анатомическом Институте, данные относительно которых сохранились довольно полно.
Случай II. А. А., домашняя хозяйка, 66 л., была принята в Терапевтическое отделение Казанской Губернской Земской больницы 28/Х 1874 с жалобами на сильное затруднение дыхания.
Status praesens: „Слева на передней поверхности книзу от ключицы, на задней же—по всему протяжению легкого тупой звук. Слева под ключицей бронхиальное дыхание; внизу и на задней поверхности дыхательных шумов вовсе нет. В правом легком, кроме усиленного везикулярного дыхания, ничего особенного. Лихорадочное состояние незначительно, дыхание до 50 в минуту“.
На основании этих данных, а также исследования мокроты, смещения других органов и др., диагносцирован был плеврит, причем экссудат предполагался серозный, на основании чего 31/Х был сделан прокол, и выпущено из полости плевры около 400 к. ст. серозной жидкости. 1/ХІ: лихорадочное состояние, боль на месте пункции. 4/XI: вокруг прокола развилось рожистое воспаление; день заднем отек и краснота постепенно увеличивались; „в нижней части грудной клетки слева образовалось выпячивание, 1° повышена до 39°. 26/XI сделан пробный прокол предполагаемого глубокого абсцесса; выделилось не более рюмки гноя“. 27/XI exitus letalis. Клинический диагноз: pleuritis.
Выдержки из протокола вскрытия, произведенного проф. А. В. Петровым: Питание хорошее. На коже спины слева, вершка на 2 ниже угла лопатки, маленькое отверстие, из которого вытекает гной. В глубоких слоях мышц спины левой стороны при разрезе обнаружена полость, выполненная гноем и проникавшая до ребер, из которых некоторые кариозно изменены. Затеки гноя по влагалищу мышц распространялись далеко во все стороны. В правой плевральной полости немного серозной жидкости. „Легкое свободно по всей поверхности. Бронхи в легком утолщены, слизистая оболочка последних нежно ин’ецирована; в остальном легкое не представляло отклонений от нормы. Левое легкое весьма мало, сдавлено большим скоплением серозной жидкости, крепко срощено в верхней половине по задней поверхности. По передней и боковой поверхности легочной плевры рассеяны бледно-желтые, крупные и мелкие бляшки, из которых первые задаются в ткань легкого, вторые же ограничиваются лишь одной оболочкою легкого. Па реберной плевре те же бляшки. Бронхи тех же свойств, как и в правом -легком. Легкое в разрезе в верхней доле темного цвета с зеленоватым оттенком, ткань несколько рыхла; нижняя доля темнокрасного цвета, отечна“.
„Околосердечная сорочка сильно обложена жиром“... среди которого „встречаются маленькие бледно-мутные узелки, как на легочной плевре“. Сердце увеличено. На внутренней поверхности аорты небольшие желтоватые бляшки. Мышца -сердца тускла. „Мягкое опухание селезенки с хрящевидной бляшкой на капсуле. Частичное выпадение (hernia) сальника с частью поперечно-ободочной кишки под кожу передней брюшной стенки. Паренхиматозное опухание печени. Мелкие кавернозные ангиомы печени“.
„Под микроскопом новообразование состояло из пучков соединительной ткани, между которыми заложены гнезда клеток неправильной формы, иногда полигональной, кругловатой или несколько уплощенной, напоминающей собою клетки эндотелия лимфатических сосудов. В большинстве клеток ядра велики, редко попадаются в них ядрышки, протоплазмы незначительное количество. В клетках мелких гнезд протоплазмы больше, она мелкозерниста и заключает в себе часто по 2 ядра. В глубоких слоях новообразования гнезда представляют собою несколько расширенные лимфатические пространства, в которых клетки эндотелия увеличены в количестве. Идя постепенно к периферии, пространства и количество клеток новообразования в них увеличиваются. В самых поверхностных слоях клетки подверглись жировому перерождению и частью выпали из своих полостей, так что остаются лишь одни перекладины в виде различной толщины пучков волокнистой ткани. Сосудов довольно много“.
Проф. А. В. Петровым данное новообразование было диагностировано, как „мозговидный (эндотелиальный Waldeyer’a) рак”.
Случай III. E. Т., крестьянин, 38 л., принят в Факульт. Терапевтическую клинику 18/1 1908 г. с жалобами на сильную боль в левой половине грудной клетки, кашель, затрудненное дыхание и боль в левой ноге. Втечении 10 лет страдает временами болями в груди, кашляет. Настоящее заболевание началось внезапно, недель около 2 назад,—появились сильные боли во всей левой половине грудной клетки, дышать стало трудно, кашель стал мучительным, было ощущение жара, без озноба; по ночам пот. В следующие дни присоединились боли в левой ноге, на внутренней поверхности которой больной заметил на коже появление синеватой полосы и твердого шнурка под кожей. Боли в груди и одышка постепенно усилились.
St. praesens: слизистые цианотичны; левая половина грудной клетки несколько выпячена, дает тупой звук; верхняя граница тупости сзади на уровне средины лопатки, спереди по lin. mamillaris на верхнем крае III ребра, на месте тупого звука бронхиальное дыхание; голосовое дрожание ослаблено, спереди под ключицей получается William’овское изменение звука и звук треснувшего горшка. Сердце смещено вправо. Мокрота иногда с примесью крови (the нет), десны кровоточат. Exitus letalis 26/1 1998. Клинический диагноз: haematothorax sin., phlebitis v. saphenae magnae sin.
Выдержки из протокола вскрытия: труп крепкого телосложения, удовлетворительного питания; межреберные промежутки справа несколько западают, слева вполне сглажены; левая половина грудной клетки имеет бочкообразную форму, V. saphena magna sin. затромбирована почти на всем протяжении до впадения ее в бедренную вену; около этого места находится увеличенная до лесного ореха лимфатическая железка плотной консистенции, в разрезе в центре беловатого цвета, на периферии розового. В сердечной сумке около 45 к. ст. серозно-кровянистой жидкости; сердце (240,0 грм., 12 X И ст.) значительно смещено вправо, отверстия и клапаны без особых изменений, мышца сердца тускла, дрябла, буроватого оттенка. В правой плевральной полости немного серозной жидкости, в левой 5500 к. ст. жидкости кровянистого вида. Плевральные листки слева в верхней половине розово-красного цвета, в нижней—темно-красного. На реберной, медиастинальной и диафрагмальной поверхности, начиная с IV ребра книзу, разбросаны мягкие узлы от чечевицы до небольшого лесного ореха и бляшки с небольшую монету, высотою до 2 мм. С поверхности большая часть узлов и бляшек окрашена в темно-вишневый цвет, в разрезе однообразного беловатого цвета, прк соскабливании дают раковый сок. Плевральные листки справа гладки, не утолщены, свободны от спаек. Правое легкое 740,0 грм.. левое 570,0 грм. Правое легкое слабо вздуто, нс спадается, с поверхности мраморного серо-черного цвета, усеяно черными пятнами, наощупь всюду крепитирует, но имеет несколько тестоватую консистенцию; в разрезе серовато-красного цвета; при давлении стекает в обильном количестве пенистая жидкость с примесью крови. Верхняя доля левого- легкого в области верхушки и нижней части верхней доли спаяна с реберной плеврой нежными фиброзными перемычками; легкое наощупь не крепитирует вяло, безвоздушно, бледно-серого цвета в разрезе; нижняя доля умеренно отечна. В остальных органах особых изменений не обнаружено.
Эпикриз: наружный фиброзный пахименингит; слабо выраженная застойная гиперэмия мягкой мозговой оболочки и вещества головного мозга; смещение сердца вправо; бурая атрофия и белковое перерождение мышцы сердца; значительное- смещение селезенки книзу от давления диафрагмою; тромбоз v. saphenae magnae sin; первичная эндотелиома в области реберной, диафрагмальной и медиастинальной плевры; левосторонний гэморрагический плеврит; ограниченный слипчивый односторонний плеврит; ателектаз левого легкого; бурая атрофия и белковая дегенерация печени и почек.
Микроскопически опухоль была определена, как эндотелиома.
Glass (1908) разобрал по возрасту 33 случая первичного рака плевры, и пришел к выводу, что это новообразование развивается чаще в возрасте 50—59 л. По статистике Krumbein’а (1924) распределение по возрасту разбираемого страдания (74 сл) типично для раков, а именно,, на 1-м десятке лет был всего 1 случай, на 2-ом-2 сл., на 3-м—5 сл., на 4-м—8 сл., на 5-м—20 сл., на 6-м—20, на 7-м-15, на 8 м—3. Таким образом maximum приходится на возраст между 40 и 60 годами. Как на крайние пределы, я могу указать на случаи Гросмана (74 г.), Glockner’а (75 л.) и Шора (79 л.). В случае Lépine’a болезнь имела место у 10-летней девочки, в сл. Hibler’a—у мальчика 51/2 лет.
Это страдание как будто чаще встречается у мужчин (Воnheim, Кrumbein), реже описано у женщин (Wagner, Böhme, Malassez, Schottelius, Fraenkel, Birch-Hirschfeld, Schulze-Vellinghausen, Glöckner (3 сл.), Млодзеевский, Титов, Scagliosi, Unverricht, Широкогоров, Simons, Шор (2 сл.), Unger, Лихачева, Кузнецова, Gutmann, Otto, Huismans, Гросман, наши I и II сл.). По Говорову, впрочем, на долю мужчин падает лишь 21 сл. и 34 сл. на долю женщин.
Есть указания (Bonheim), что левая сторона поражается чаще правой. По моим данным описано довольно много случаев, где начало процесса было на правой стороне [Neelsen, Böhme, Schottelius, Schulze -Vellinghausen, Hibler, Fotheringham, Kahlden, Riva, Glöckner (5 сл.), Lenhartz и Lochte, Широкогоров, Шор (2 сл.), Unger, Курлов, Поггенполь, Huismans, Титов (2 сл.), Krumbein]. По данным Glockner’a на 47 сл. п. р. п. (вместе с его случаями) первоначальное поражение левой стороны было в 15 сл., правой—в 19 сл., обе стороны были поражены 9 раз;, в 4 случаях указано только, что одновременно были поражены плевра,, брюшина и перикардий.
Как при жизни, так и па вскрытиях во многих случаях данного заболевания отмечена деформация грудной клетки, зависевшая с одной стороны от скопления экссудата в плевральной полости, а с другой—от рубцового сморщивания пораженной новообразованием реберной и диафрагмальной плевры. Сюда должны быть отнесены выпячивание и расширение пораженной стороны, асимметрия грудной клетки, западание пораженной стороны (Курлов), сглаживание или, наоборот, выпячивание межреберных промежутков. В ряде случаев отмечается согнутое положение позвоночника (scoliosis—Bonheim, Лихачева, Поггенполь). Fraenkel считает характерным признаком, что межреберные промежутки, несмотря на присутствие экссудата, особенно в нижних частях грудной клетки, становятся очень узкими вследствие рубцового стяжения плевры Факт этот подтвердил и Bonheim в 2 своих случаях. Последний автор подчеркивает, кроме того, быстрое, на глазах наростающее сморщивание всей пораженной половины грудной клетки и усиление сколиоза. В сл. Курлова „кожа на боку была сильно утолщена, складки кожи раза в 11/2 толще нормальной“ (не метастаз-ли?).
Как правило, п. р. п. сопровождаются экссудативным плевритом. При пункциях во время жизни удавалось удалять различное количество жидкости, которая в большинстве случаев была с примесью крови, вследствие чего ее окраска была от светлорозовой до кровянистой, шоколадной, а иногда имела вид чистой крови. Описан, однако, ряд случаев, где экссудат втечение всей болезни (Benda, Gutmann, Бурцева), или на вскрытии (Wagner, Vidal, Бурцева, Шор, Gutmann, Широкогоров, Unger, Hibelr, Huismans, наш II сл. и др.) не имел примеси крови и носил характер прозрачной, серозной, опалесцирующей или даже мутной жидкости. В редких случаях экссудат приобретал гнойный характер (сл. Glockner’a). На вскрытии обычно обнаруживается большая или меньшая примесь к экссудату фибрина. По Титову и Воnheim’y довольно характерно то, что вначале заболевания экссудат бывает чисто-серозным; при последующих пункциях оп становится все более и более гэморрагическим. Изредка, однако, наблюдается обратное явление: первоначальный гэморрагический экссудат сменяется ко дню смерти серозным (Ungеr).
Многими авторами подчеркивается быстрое накопление экссудата вновь после пункции. Так, напр., в одном сл. Воnheim’a менее, чем за месяц, было выпущено в 6 приемов около 10 литров жидкости. В сл. Podack’a у мужчины 39 л. за 2 месяца пребывания в клинике было произведено 12 пункций, и удалено за все время почти 31 литр жидкости. В сл. Benda втечение 6 мес. экссудат выпускался 16 раз. В некоторых единичных случаях (Hampeln), наоборот, может наступить спонтанная резорбция экссудата.
Количество жидкости, обнаруживаемой на вскрытии, бывает различно: редко небольшое (200 к. ст.—сл. Podack’a) или очень значительное (до 4 литров и выше—сл. Bonheim’a, Gutmann’a, Бурцевой, Вахтеля, до 5 литров—сл. Поггенполя, 51/2 литров—наш ІІІ сл.), большею же частью РД—2 литра.
При цитологическом исследовании экссудата в большинстве случаев отмечается только присутствие эритроцитов, лейкоцитов и лимфоцитов, а также эндотелиальных клеток. В нашем 1 сл. было обнаружено присутствие гистиоцитов (resp. макрофагов). В более редких случаях в осадке были находимы еще большие клетки (по Sсagliоsi—эпителиоподобные, которые располагались обычно тесно кучками и содержали вакуолы с каплями жира и гликогена. Присутствию последнего в клетках Quincke, Podacк и др. приписывали диагностическое значение, так как считают эти клетки элементами новообразования. Широкогоров не видит в этих клетках чего-нибудь характерного для опухолей плевры, так как присутствие клеток с жиром, по его мнению, указывает лишь на воспалительный процесс (Sata). Erben нашел в одном случае в плевральном экссудате эндотелиальные клетки, вакуолизировые элементы, большие клеточные комплексы с образованиями, которые соответствовали Leyden’овским „Vogelaugen“, далее немного нейтрофилов и значительное- количество эозинофилов. Для обнаружения клеток опухли Sorgo советует фиксировать осадок, образующийся в добытый проколом жидкости, и изучать его в срезах. Точно также Воск (1925) рекомендует дать пунктату свернуться, затем центрифугировать сверток и в заключение фиксировать в 10% формалине и для получения срезов заливать в параффин.
Анатомическим проявлением п. р. п. является диффузное утолщение плевры. В громадном большинстве случаев поражаются оба листка, хотя известны случаи, где по преимуществу была изменена только реберная и диафрагмальная плевра (сл. Kakiden’a, Scagliosi и, видимо, наш II). Только в сл. Riedеl‘я имелось ограниченное распространение рака по плевре. Утолщение плевральных листков достигает различной силы и выражается или только в миллиметрах, или чаще около 1 ст., редко больше (2—3 ст. в сл. Kahlden’а и Riva и даже 4,5 ст. в сл. Winkler‘a). На вскрытии утолщенную плевру иногда удается выделить вместе с легким в виде одного сплошного толстостенного мешка,—одно из указаний, что новообразование в своем развитии ограничивается только плевральными листками. Утолщение чаще равномерное, причем имеет вид очень плотной, даже мозолистой ткани, на разрезе и часто с поверхности серовато-белого цвета, иногда с блеском. Немецкие авторы сравнивают утолщенную плевру с толстой кожей (Schwarte). Fraenkel и Scagliosi, указывают, что при надавливании на поверхности ее разреза выступает раковый сок. Не так часто отмечались спайки между обоими листками плевры, чаще всего в верхней половине. В одном случае Glocknеr'а имелось полное спаяние листков, за исключением небольшого участка около диафрагмы. В редких случаях (Schultz) плевральная полость была разделена спайками на ряд небольших камер, содержавших жидкий экссудат.
Со стороны полости поверхность утолщенной плевры представляет не всегда одинаковую картину. В очень редких случаях (Schulze-Vellinghausen) плевра казалась гладкой, без узлов и наслоений., чаще она бывает покрыта фибринозно-гэморрагическим экссудатом. Естественно, что такие картины даже на секции легко могут быть сочтены за фиброзный плеврит (Neelsen, Воnheim, Tоrri), особенно без знания клинической картины (Scagliosi).
Гораздо чаще на кажущейся гладкою поверхности можно различать существование мелких углублений в виде ямок и валикообразных возвышений (Fraenkel) или пологих узлов, величиною от едва заметных до горошины и небольшой серебряной монеты, серовато-белого или желтоватого цвета, такой же плотной консистенции, как и остальная часть плевры. Некоторыми авторами была отмечена неправильно петлистая сеть, образованная топкими беловатыми тяжиками, представляющими, очевидно, выполненные клетками новообразования лимфатические сосуды. В сл. Wagnеr’а, а также Курлова, на свободной поверхности были заметны своеобразные тяжи и перекладины, как в мочевом пузыре при гипертрофическом состоянии его.
В других, более редких случаях одновременно с указанными пологими возвышениями выступали обособленные узлы, то равномерно распределявшиеся по всей (чаще париэтальной) поверхности, то сосредоточивавшиеся на более ограниченных участках. Эти разростания имели то милиарный характер, что давало повод на вскрытии заподозрить туберкулезное поражение (сл. Wagner’a, Широкогорова), то более крупной величины—до горошины, лесного ореха, сливы и даже (очень редко) до куриного яйца. Иногда узлы, сливаясь, образовывали конгломераты (Поггенполь, Otto). По виду авторы сравнивали их с острыми кондиломами (Bonheim, Benda, Gutmann, Lochte), с бородавками на клапанах сердца при эндокардите (Benda), с полипами на тонких ножках (Бурцева), или грибом (Gutmann). Иногда узлы имели круглые очертания с пупкообразным вдавлением в центре (Шор, Лихачева). Водном сл. Glockner’a на поверхности утолщенной плевры были заметны кисточки величиною от булавочной головки до горошины, с прозрачным содержимым. В этом случае в плевральной полости находился огромный узел с голову взрослого на широком основании, исходивший из диафрагмальной плевры; эта опухоль в центре содержала полость с кулак величиною, с слизисто-водянистым содержимым; возможно предположить, что полость эта образовалась из плевральных спаек, вторично обросших узлами новообразования. В другом случае того же автора опухоль с кулак, обращенная в плевральную полость, оказалась замкнутою полостью, выполненною вонючим гноем; в полость вдавалось узурированное ребро.
По мнению Широкогорова и Huismans’a первичные раки плевры имеют как бы ползучий характер: развитие их идет нестолько метастатическим путем, сколько по продолжению (per continuitatem) и через соприкосновение (per contiguitatem). Последние способы распространения играют, по словам Широкогорова, большую роль в патогенезе этого новообразования. Этим отчасти и можно об’яснить тот иногда необыкновенно быстрый рост и распространенность опухоли, которые так характерны для нее.
Как указано выше, в громадном большинстве случаев развитие опухоли ограничивается только плевральными листками и оставляет непораженной остальную ткань грудной клетки. Известны, однако, отдельные случаи (Лихачевой), где опухоль в виде сплошного инфильтрата с верхнего купола грудной клетки проростала на шею и выпячивалась спереди рукоятки грудины. В сл. Hibler’a на диафрагме располагалась опухоль величиною с кулак, которая до половины вдавалась в печень. Конечно, в этих случаях трудно отделить первичный очаг от метастазов.
Как правило, легкое пораженной стороны представляется ателектазированным в той или иной степени в зависимости от количества экссудата. С пораженной висцеральной плевры новообразование очень часто переходит и на самое легкое. Случаев, где такого поражения не было, известно немного. Распространение новообразования идет по тем лимфатическим путям, которые проходят в междолевых и междольковых интерстициальных прослойках и вокруг сосудов и бронхов. Вследствие этого указанные интерстиции утолщаются и в некоторых случаях, подобно нашему I, выступают на разрезе легкого в виде сети серовато-белых тяжей, давая иногда повод заподозрить хроническую интерстициальную пневмонию. Часто одновременно существуют мелкие метастатические узелки и в самой легочной паренхиме, обычно величиною до просяного зерна, чечевицы и горошины. Узлы больших размеров наблюдались редко. Наибольшие нам известные метастазы были с грецкий орех (сл. Шора, Бурцевой) и с кулак (сл. Riedel’s). В сл. Ribbert’a новообразование с плевры вростало в верхнюю долю легкого в виде кругловатого узла.
Второе легкое при данном заболевании бывает или нормальным, или викарно эмфпзематозно вздутым, или, наконец, слабо ателектазированным (наш I сл.) в зависимости от экссудата. Плевральные листки и самое легкое в сравнительно редких случаях остаются не пораженными вторично новообразованием Последнее проявляется в тех же изменениях, как и на стороне первичного поражения, но только изменения эти бывают выражены в более слабой степени. Сама плевральная полость или свободна, или содержит, обычно в небольшом количестве, то серозный, то гэморрагический экссудат. Редко имеется сплошное спаяние плевральных листков (сл. Воnheim’a и Гросмана). В сл. Роdаск’а существовала инкапсулированная эмпиэма.
Сердце в зависимости от давления плевритическим выпотом пораженной половины грудной клетки обычно представляется смещенным в противоположную сторону (Podасk, Schultz, Bonheim—2 сл., Gutmann, Бурцева, Huismans, Вахтель и др.). По Воnheim’y и Бурцевой, с каждым новым проколом и выпусканием жидкости сердце все меньше и меньше обнаруживает склонность возвращаться к нормальному положению. Само сердце то не увеличено в размерах и даже буроатрофировано (Воnheim— 2 сл., Лихачева, наш I сл. и др.), то расширено и гипертрофировано, чаще в правой половине (Wagner, Podack, Schulze-Vellinghausen, Бурцева, Поггенполь, Гросман, Gutmann). Клапаны сердца в большинстве случаев бывают нетронуты, реже склеротически изменены.
В наших 1 и III случаях и ряде других было констатировано пониженное стояние куполов диафрагмы, вследствие чего печень или селезенка были опущены.
Что касается метастазов, то они при данном страдании распространяются главным образом по лимфатической системе. Отсюда будет понятно предпочтительное поражение переносами лимфатических желез переднего и заднего средостения (бронхиальных, трахеальных и т. д.), шейных (нижнего отдела), над—и подключичных, ворот печени и ретроперитонеальных. Далее, кроме указанного поражения плевры и легкого другой стороны, метастазы нередко наблюдаются и на других серозных оболочках: на эпикарде, перикарде и на брюшине (чаще на брюшной поверхности диафрагмы и на поверхности печени).
Более редкий путь возникновения метастазов—гэматогенный. Вначале путь этот совершенно отрицался, но уже Neelsen мог наблюдать проростание новообразования в кровеносные сосуды. Далее, на это указывали Teixeira de Mattos, Glöckner, Scagliosi, Pollmann и др. Очевидно гэматогенным распространением нужно об’яснить метастазы, наблюдавшиеся не так часто в печени, селезенке, почках, надпочечниках. Как еще более редкую локализацию метастазов, можно указать локализацию в dura mater spinal is (Glöckner), головном мозгу (Кaufmann, Кrumbein), костях скелета и позвонков с оссифицирующим характером и со сдавлением грудного и поясничного отдела спинного мозга (Кaufmann), мышцах спины (Sсhullz, Perls, Роdасk, Scagliosi), межреберных мышцах (Peris, Pirkner, Glöckner), грудных мышцах (Neelsen, Pirkner, Glöckner), фаллопиевых трубах и матке (Широкогоров), яичниках (Титов, Широкогоров, наш Iсл.) pelvis renis (Glöckner), мочевом пузыре (Glöckner).
В нескольких случаях описаны метастазы, возникшие при жизни в надключичных (Fraenkel, Лихачева, Кrumbein) и подмышковых (Голубинин) лимфатических железах, а также на месте пункции плевры—в виде узелков с горошину и боб (Scagliosi, Podаск— I сл.) и даже с куриное яйцо (Unverriht). На основании микроскопического исследования таких эксцизированных железок иногда удавалось при жизни ставить диагноз интересующего нас страдания (Голубинин, Кrumbein).
Надо указать, что метастазы во внутренних органах при первичном раке плевры бывают обычно небольшой величины—до горошины. Редко встречались метастазы более значительных размеров—с куриное яйцо (сл. Kahlden’a), с кулак взрослого (сл. Kaufmann’a). Сюда же должен быть отнесен наш 1 сл., где метастазы в яичниках были с большой мандарин.
Не было совершенно метастазов в сл. Wagner’a, Böhme, Воnheim’a, Gutmann’a, Winkler’a, Unger’a. Во многих случаях метастазы имелись только на плевре и в легком непораженной стороны, а а также и на перикарде (сл Schulze-Vellinghausen’a).
По статистике Krumbein’a (1924), собравшего 74 сл. п. р. п., метастазы имелись в 72,9% всех случаев, в том числе в лимфатических узлах—в 96,5°/о, в легком и плевре другой стороны—в 74%, в перикарде—в 35,1%, в печени—в 29,6%, в диафрагме—в 25,9%, в почках— в 8,5%, в брюшине - в 14,8%, в селезенке—в 11,1%, в мозгу, надпочечниках, спинной мускулатуре—в 5,5%, в ребрах, тонких кишках, мочевом пузыре, бронхах—в 3,7%, в миокарде, трахее, dura mater spinalis, тазовой области, хориоидее, клиновидной кости, сальнике, большой грудной мышце—в 1,8%.
Увеличенные от метастазов лимфатические железы грудной клетки и шеи, а также, очевидно, рубцующаяся ткань плевры иногда вызывали сдавление бронхов (Glöckner) и сосудов (v. cava sup., v. cava int, v. anonyma, v. azygcs, v. subclavia, v. jugu’aris—Glockner, Ribbert, Krumbein). Очевидно, этим также нужно об’яснить расширение подкожных вен на пораженной половине грудной клетки (Гросман), постепенно наростающий отек на руке (Лихачева) и тромбоз подкожных вен на ноге (наш III сл.). В некоторых случаях (Kaufmann и др.) новообразование, распространяясь по интерстициям в легких, прободало стенку бронхов, вследствие чего возникал haemoptysis.
В ряде случаев описан тромбоз (эмболия?) ветвей легочной артерии в легком непораженной стороны (Podаск—2 сл., Bonheim, Гросман). В одном случае Podack’a поводом к этому явился тромбоз вей головы, бедренных, почечных и вен предстательной железы, в другом случае того же автора—тромбоз венозного сплетения вокруг простаты. Очевидно, на почве эмболии возникли в одном из этих случаев инфаркты в легком пораженной стороны с дальнейшим гангренозным распадом их.
Отмеченная во многих случаях на вскрытии кахексия не является при данном заболевании общим правилом. Нередко при нем наблюдались умеренный асцит и отек нижних конечностей.
В некоторых случаях отмечено очень быстрое течение болезни. Так, в сл. Поггенполя смерть наступила приблизительно через 2 мес. после обнаружения болезненных припадков, в нашем I сл.—через 2—3 мес., в сл. Широкогорова—через 3 мес. Но иногда болезнь продолжается около 2—3 лет (Лихачева). Широкогоров отмечает, что очень быстрое течение процесса свойственно более молодому возрасту.
Ряд авторов (Simons, Podack, Winkler, Schulze-Vellinghausen) указывает, что развитию заболевания иногда предшествовала травма грудной клетки.
Коrnitzer сообщил случай, где y 40-летнего солдата на вскрытии была обнаружена фибролейомиома левой плевры, величиною с яблоко,, исходившая из задней поверхности легкого, и эндотелиома правой плевры. Последняя опухоль наряду с многочисленными метастазами в органах дала переносы в указанный миоматозный узел.
В заключение следует отметить, что, помимо первичного рака плевры, описан также ряд случаев первичного рака, одновременно поразившего плевру, брюшину и иногда сальник (Lübkе, Körner, Кah1dеn, Dubаn, Широкогоров, Вальдес, Pollmann и др.).
ОБЪЯСНЕНИЕ К РИСУНКАМ.
Рис. 1. Слева висцеральная плевра, справа ткань легкого. В плевре заметны 4 неправильно-овальных альвеолы, выполненных клетками новообразования. Reichert, Ob. 3, Ок 2.
Рис. 2. Раковые гнезда в лимфатических сосудах интерстициальных прослоек легкого. Пустоты среди клеток новообразования и светлые центральные части гнезд—очаги слизи. Leitz, Ob. 3, Ок. 4.
1 Benda считает, что такой переход имел место в переисследованном им сл. Fraenkel‘я, а также в классическом 1 сл. Wagner’а.
1 Еще ранее Шор (1903), отрицая участие эндотелия лимфатических путчей в развитии раков плевры, указывал, что раковые клетки от взаимного давления нередко приобретают в периферии альвеол эндотелиальный характер.
1 См. Алексеев. К вопросу о смене форм клеточных элементов в экссудатах плевральной полости при различного рода раздражениях. Казнский Мед. Журн. 1927., № 10.
About the authors
I. P. Vasiliev
Pathological-Anatomical Institute of Kazan State University
Author for correspondence.
Email: info@eco-vector.com
Russian Federation
References




