Инвагинационно-клапанный холедохоэнтероанастомоз
- Авторы: Попов А.Н.1
-
Учреждения:
- Казанский государственный медицинский университет
- Выпуск: Том 78, № 4 (1997)
- Страницы: 265-268
- Раздел: Статьи
- Статья получена: 30.09.2021
- Статья одобрена: 30.09.2021
- Статья опубликована: 15.08.1997
- URL: https://kazanmedjournal.ru/kazanmedj/article/view/81543
- DOI: https://doi.org/10.17816/kazmj81543
- ID: 81543
Цитировать
Полный текст
Аннотация
Предложен инвагинационный и вальгусный холедохоэнтероанастомоз, имеющий явные преимущества по сравнению с аналогичными видами анастомозов. Гистологические образцы места холедохоэнтероанастомоза подтверждают клиническую картину его полного заживления и нормального функционирования, отсутствие рубцевания и рефлюкса энтерального содержимого в холедох. Рекомендуемый тип анастомоза может быть использован в клинических условиях при реконструктивных операциях на желчных путях.
Ключевые слова
Полный текст
Лечение рубцовых стриктур желчных протоков представляет собой сложную проблему современной хирургической гепатологии. По данным ряда авторов 71, 2,4], послеоперационная летальность достигает 18—25%. Существует значительное количество способов реконструктивных и восстановительных операций при пересеченном холедохе. Очень часто они осложняются рубцовой стриктурой, поскольку не предотвращают заброса кишечного содержимого через место анастомоза в холедох. В клинике для научно-практического обоснования нет возможности проведения морфо-экспериментального исследования.
В связи с этим нами предложен инваагинационно-клапанный анастомоз, который, как показали наши исследования, в большей степени лишен этого недостатка. Прототипом предлагаемого соустья выбран холедохоэнтероанастомоз [3], формируемый по типу термино-латерального соустья. При данном анастомозе недостаточное кровоснабжение лоскута кишки может привести впоследствии либо к некротизированию и отторжению последнего, либо к рубцовой стриктуре анастомоза.
Целью нашего исследования являлось создание арефлюксного, надежного и простого в исполнении соустья между общим желчным протоком и тонкой кишкой.
Предлагаемый анастомоз имеет следующие преимущества:
— сформированный клапан надежен, имеет хорошее кровоснабжение, препятствующее рефлюксу в желчные протоки;
— брауновский анастомоз препятствует рефлюксу в желчные протоки выключая зону анастомоза из пассажа пищи;
— инвагинационно-клапанный холедохоэнтероанастомоз представляет собой единый комплекс и может быть использован при различных заболеваниях терминального отдела холедоха и ятрогенных его повреждениях как реконструктивный анастомоз.
Общий желчный проток предварительно перевязывают капроновой лигатурой в дистальном отделе, на 3—4-е сутки его размеры по диаметру увеличиваются в 2—3 раза. Реконструктивную операцию производят на 3-и сутки. Общий желчный проток мобилизуют, холедох косо пересекают спереди назад и накладывают узловые капроновые швы между задней стенкой холедоха и передней стенкой кишки с таким расчетом, чтобы пересеченный холедох располагался на кишке перпендикулярно к ее оси. В поперечном направлении относительно оси кишки и параллельно друг другу наносят два разреза по обе стороны от фиксированного холедоха таким образом, чтобы они находились на одном уровне с разрезом холедоха и соответствовали его диаметру (рис. 1). Далее накладывают узловые капроновые медиальными краями разрезов кишки (рис. 1). Так формируют внутреннюю губу анастомоза. Следующие швы накладывают между латеральными краями разрезов кишки. При их завязывании формируют наружную губу анастомоза. В результате создается нечто наподобие клапана, открывающегося в просвет кишки, внутренний диаметр которой при этом суживается. Для восстановления пассажа пищи ниже анастомоза накладывают брауновский анастомоз.
Рис. 1. Инвагинационно-клапанный холедохоэнтероанастомоз.
Предлагаемый инвагинационно-клапанный анастомоз имеет клапанные свойства, поскольку в просвет кишки открывается мостовидный клапан из лоскута кишки, по обе стороны которого свободно истекает желчь. Внутрикишечное давление способствует смыканию клапана. Морфофункциональное обоснование нашего метода предопределено анастомозом холедоха в отводящий отдел тонкой кишки. Этим достигается дренирование поступающей желчи, поскольку тонкая кишка в норме антиперистальтикой не обладает.
Для изучения изобретения проведены опыты на 38 беспородных кошках обоего пола. Контрольной служила группа из 10 животных, которым холедохо-энтероанастомоз был наложен по общепринятому методу с брауновским анастомозом. Второй группе из 8 животных инвагинационно-клапанный анастомоз формировали без анастомоза по Брауну. 10 животным подопытной группы был наложен инвагинационно- клапанный холедохоэнтероанастомоз с брауновским соустьем. С экспериментальной целью у 50% животных в каждой группе предварительно за 3 суток до реконструктивной операции производили перевязку общего желчного протока с целью создания модели механической желтухи.
У всех животных проведены макро- и микроскопическое исследование препарата холедохоэнтероанастомоза, биохимический анализ крови с функциональными пробами печени на сроках эутаназии через 3—6 месяцев.
Животные из подопытной группы отличались более активным поведением, послеоперационный период протекал у них без существенных осложнений. На различных сроках макропрепарат отвечал требованиям арефлюксного анастомоза: не наблюдалось рубцового сужения, расширения внепеченочных желчных протоков и других признаков гипертензии, в том числе и холанги. Гистологический анализ срезов печени, внепеченочных желчных протоков и самого анастомоза не выявил признаков печеночной недостаточности и рубцевого перерождения анастомоза. Результаты биохимического анализа крови на отдаленных сроках не имели существенных отклонений от нормы.
У животных контрольной группы, которым был наложен термино-латеральный холедохоэнтероанастомоз с брауновским соустьем, были отмечены признаки перерождения анастомоза, расширение внепеченочных желчных протоков, увеличение в объеме печени. Имели место гистологические признаки перерождения зоны анастомоза с преобладанием грубых коллагеновых волокон хроническое воспаление всех слоев стенки кишки, холангит, признаки печеночной недостаточности, отек гепатоцитов, расширение пространства Диссе, лимфогистиоцитарная инфильтрация по ходу триад. В крови выявлено увеличение уровня билирубина, АЛТ, АТ, лейкоцитоз. У животных второй группы, у которых был сформирован холедохоэнтероанастомоз без брауновского соустья, наблюдались явления высокой кишечной непроходимости.
Результаты исследования показывают преимущества предлагаемого анастомоза и возможности его использования в реконструктивной хирургии желчевыводящих путей.
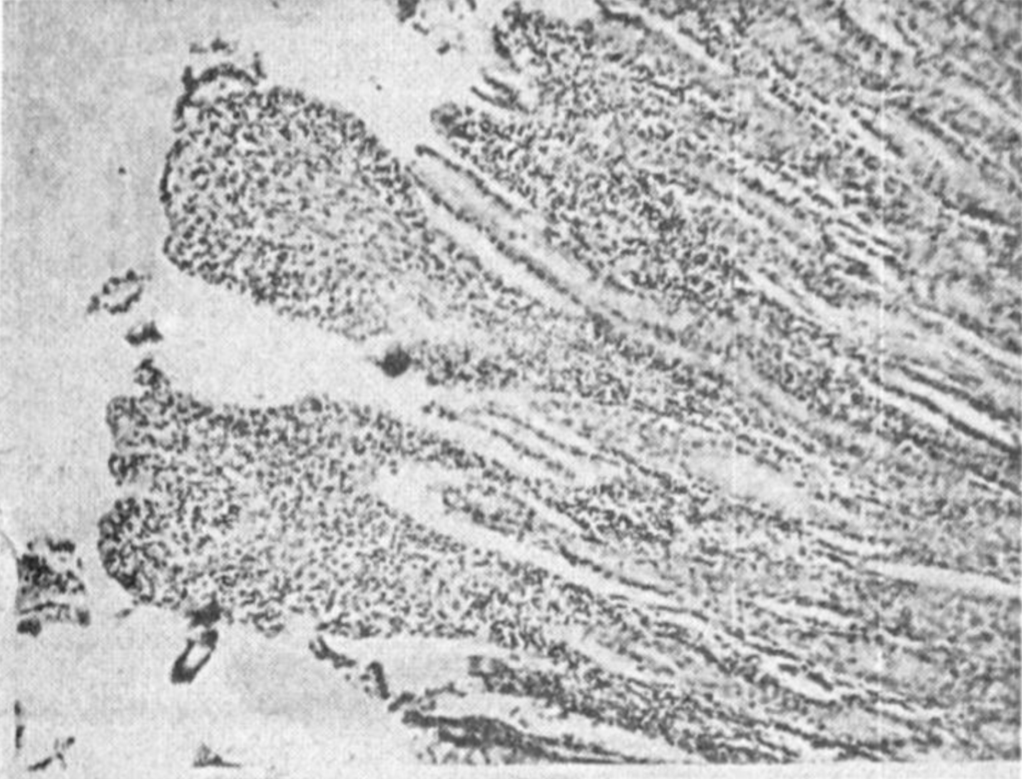
Самыми ранними и наиболее выраженными являются изменения тонкой кишки. В течение одного месяца после операции как в области анастомоза, так и вне его наблюдаются отек ворсин и десквамация покрывающего их эпителия (рис. 2). Обнаруживаются отдельные некротически измененные ворсины, однако их количество в целом не велико. В собственной пластинке слизистой оболочки на данном этапе имеется выраженная лимфогистиоцитарная инфильтрация, интенсивность которой через 2—3 месяца снижается, а к концу 4-го месяца после оперативного вмешательства исчезает совсем. Кроме того, сразу после операции наблюдаются отек подслизистого слоя и полнокровие сосудов (рис. 3). На этом же этапе находящиеся здесь железы подвергаются атрофии. В дальнейшем, особенно к концу 3-го месяца, полнокровие и отек также исчезают, атрофия железистого аппарата сменяется увеличением размеров и гиперфункцией желез, структура которых к 4-му месяцу нормализуется.
Рис. 2. Тонкая кишка: десквамация эпителия с поверхности ворсин и лимфогистиоцитарная инфильтрация собственной пластинки слизистой оболочки. Окраска гематоксилин-эозином. х 200.
Рис. 3. Тонкая кишка: полнокровие сосудов подслизистого слоя. Окраска гематоксилин-эозином. х 200.
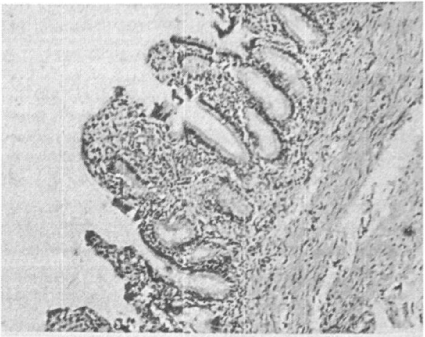
Таким образом, изменения в тонкой кишке представлены в основном циркуляторными и неглубокими дистрофическими расстройствами, которые к 3-му месяцу после операции практически отсутствуют. Единственной реакцией холедоха после операции является небольшая десквамация эпителия с отдельных складок, которая наблюдается лишь на самых ранних сроках (рис. 4, 5). Структура печени и желчного пузыря при этом соответствуют норме (рис. 6).
Рис. 4. Холедох в области анастомоза: десквамация эпителия с поверхности отдельных складок. Окраска гематоксилин-эозином. х 200.
Рис. 5. Холедох в области анастомоза: структура идентична норме. Окраска гематоксилин- эозином. х 200.
Рис. 6. Печень: нормальная структура. Окраска гематоксилин-эозином. х 200.
Разработанный нами метод термино-латерального инвагинационного анастомоза адекватен анатомическим структурам желудочно-кишечного тракта. Эти виды анастомозов в области сфинктеров образуют двойной мышечный жом и предупреждают ретроградное забрасывание содержимого желудочно-кишечного тракта. Серозные листки брюшины и тонкой кишки соприкасаясь с холедохом создают герметичность анастомоза, обеспечивая профилактику его несостоятельности, поскольку асептический воспалительный процесс способствует заживлению.
ВЫВОДЫ
- Предложенный инвагинационно- клапанный холедохоэнтероанастомоз имеет преимущества по сравнению с другими видами анастомозов. Гистологические препараты места холедохоэнтероанастомоза показывают картину полного его заживления и нормального функционирования, отсутствия рубцевания и рефлюкса кишечного содержимого в холедох. Присутствие муфты из стенок тонкой кишки вокруг анастомоза имитирует искусственный клапан, который препятствует забросу кишечного содержимого в холедох.
- Предложенный вид анастомоза может быть рекомендован для использования в клинических условиях при необходимости выполнения реконструктивных операций на желчных путях после проведения соответствующих наблюдений за прооперированными больными.
Об авторах
А. Н. Попов
Казанский государственный медицинский университет
Автор, ответственный за переписку.
Email: info@eco-vector.com
Россия, Казань
Список литературы
- Анналы хирургической гепатологии/ Материалы IV конференции хирургов-гепатологов.— 1996.- Том 1. - С. 269.
- Гальперин Э.И., Кузовлев Н.Ф., Карагюлян С Р. Рубцовые стриктуры желчных протоков. — М., 1982.
- Лескин А.С., Федоров А.Г, Майоров В.А.// Вестн. хир. — 1982. — № 7. — С. 49—51.
- Шалимов А.А., Шалимов С.А., Ничитайло М.Е., Доманский Б. В. Хирургия печени и желчевыводящих путей. — Киев, 1993.
Дополнительные файлы








