Influence of hemoperitoneum in spleen injury on the formation of peritoneal adhesions in intact peritoneum
- Authors: Pikalo I.A1, Podkamenev V.V.1, Titov E.A.2
-
Affiliations:
- Irkutsk State Medical University
- East-Siberian Institute of Medical and Ecological Research
- Issue: Vol 103, No 5 (2022)
- Pages: 870-878
- Section: Clinical experiences
- Submitted: 03.07.2021
- Accepted: 21.09.2022
- Published: 03.10.2022
- URL: https://kazanmedjournal.ru/kazanmedj/article/view/75506
- DOI: https://doi.org/10.17816/KMJ2022-870
- ID: 75506
Cite item
Full Text
Abstract
Background. It is assumed that the outflow of blood during a spleen injury can cause an adhesive process, which justifies the need for sanitation of the abdominal cavity.
Aim. Determine the effect of hemoperitoneum on the formation of adhesions in an intact peritoneum.
Material and methods. The clinical part of the study included 82 patients with closed splenic injury observed from 2002 to 2019. The mean age was 11.1±3.5 years. There were 62 boys and 20 girls. The volume of hemoperitoneum was determined by ultrasound scanning. 74 (90%) children underwent non-surgical treatment. Surgical treatment was performed in 6 children with continued bleeding and in 2 patients with delayed bleeding. Experimentally, blood from a peripheral vein of animals was taken and injected into the peritoneal cavity. Posthumously, 12 sections of the parietal peritoneum from rabbits for histological examination were taken. Statistical processing of the obtained data was carried out by the method of descriptive statistics. Statistical significance of mean differences was assessed using the Mann–Whitney test, and qualitative data — using Fisher's exact F-test. Differences were considered significant at p ≤0.05.
Results. The volume of hemoperitoneum in children with non-surgical treatment of spleen injury did not exceed 15% of the circulating blood volume. In 97.3% of cases, blood resorption from the peritoneal cavity occurred within 14 days. With non-surgical treatment, chronic abdominal pain was registered in 1.35% of cases, with surgical treatment — in 62.5% (p=0.000011). None of the patients after non-surgical treatment of splenic injury had adhesive intestinal obstruction, while after laparotomy it occurred in 25% of cases (p=0.0084). It has been experimentally established on animals that hemoperitoneum without damage to the peritoneal mesothelium was accompanied by the development of aseptic inflammation. On the 3rd day, neutrophilic leukocytes accumulated in the peritoneum. Under aseptic conditions, no damage to the mesothelium occurred. By the 10th day, the inflammation stopped. On the 20th and 30th days, there were no additional fibrin deposits.
Conclusion. The presence of blood in the peritoneal cavity without damage to the mesothelium is not a risk factor for the formation of adhesions.
Keywords
Full Text
Актуальность
Среди детских хирургов существует единая точка зрения о возможности и безопасности консервативного лечения повреждений селезёнки у детей [1, 2]. Противоположного мнения касаются опасности развития внутрибрюшинных осложнений, обусловленных гемоперитонеумом. Предполагают, что излившаяся кровь может стать причиной спаечного процесса, чем аргументируют необходимость выполнения лапароскопии или лапаротомии и санации брюшной полости [3–5].
Также существует мнение о том, что остаточный гемоперитонеум, проходя все патофизиологические этапы организации и утилизации патологической жидкости, становится матрицей для формирования спаек кишечника и внутрибрюшных абсцессов [5]. Однако данная точка зрения не подтверждается результатами катамнестических наблюдений за детьми с травмой селезёнки и неоперативным лечением [6]. Установлено, что при больших объёмах крови в брюшной полости происходит повышение пролиферации фибробластов с последующим формированием спаечного процесса [7].
Экспериментально доказано, что при механическом повреждении брюшины спайки образуются в 25% случаев, а в условиях гемоперитонеума — в 72,2% [8]. Патогенез спаек связан с фиброзным ответом на повреждение ткани, с участием мезотелиальных клеток, фибробластов и иммунных клеток [9]. Условие для формирования перитонеальных спаек — повреждение поверхностного мезотелия, который инициирует каскад свёртывания крови и отложения фибрина. В конечном итоге эти изменения вызывают внешний рост мезотелия и его производных фибробластов в брюшную полость, в результате чего возникает адгезия [10].
Цель
Цель исследования — определить влияние гемоперитонеума на образование спаек в условиях неповреждённой брюшины.
Материал и методы исследования
Исследование состояло из двух этапов: проспективное клиническое наблюдение и экспериментальная часть на животных.
Клиническая часть работы выполнена на базе городской Ивано-Матрёнинской детской клинической больницы г. Иркутска. Выполнено проспективное когортное исследование за период с марта 2002 г. по декабрь 2019 г. у 82 пациентов с чрескапсульной закрытой травмой селезёнки. У 74 (90%) детей проведено неоперативное лечение, которое включало строгий постельный режим, антибактериальную терапию, инфузионную терапию глюкозо-солевыми растворами.
Объём гемоперитонеума определяли при ультразвуковом сканировании. Оценивали свободную жидкость в малом тазу. Измеряли в поперечном сечении ширину (ш) и толщину (т), а в сагиттальном срезе длину (д) излившейся крови. Рассчитывали объём по формуле д×ш×т×0,5.
Тяжесть травмы оценивали по педиатрической шкале травмы (PTS — от англ. Pediatric Trauma Score), которая представляет собой комбинацию 6 анатомических и физиологических показателей (масса тела, состояние органов дыхания, систолическое артериальное давление, наличие открытой раны, травма скелета, состояние центральной нервной системы). Каждый показатель выражен в баллах (–1; +1; +2), сумма балов ниже 8 коррелирует с риском неблагоприятного исхода. Основным критерием для неоперативного лечения была стабильная гемодинамика.
Хирургическое лечение выполнено у 6 детей при продолженном внутрибрюшинном кровотечении в течение 6 ч с момента поступления и у 2 пациентов с отсроченным кровотечением на 3-и и 6-е сутки.
Катамнестические наблюдения за детьми проводили на протяжении до 10 лет. Протокол обследования включал следующее:
1) сбор жалоб на наличие боли в животе;
2) пальпацию живота для определения болезненности;
3) проведение ультразвукового исследования брюшной полости на наличие свободной жидкости, характера перистальтики кишечника.
Экспериментальная часть работы проведена на базе лаборатории биомоделирования и трансляционной медицины с виварием Восточно-Сибирского института медико-экологических исследований (г. Ангарск). Исследование выполнено на 18 кроликах-самцах породы шиншилла массой тела 2500–3000 г.
В зависимости от сроков забора материала животные были разделены на пять групп, в контрольную группу вошли три кролика (табл. 1).
Таблица 1. Сроки забора материала у экспериментальных животных
Группы | Сроки забора материала (сутки) | Общее количество | ||||
1-е | 3-и | 10-е | 20-е | 30-е | ||
Первая группа | 3 (1) | 4 | ||||
Вторая группа | 3 | 3 | ||||
Третья группа | 3 (1) | 4 | ||||
Четвертая группа | 3 | 3 | ||||
Пятая группа | 3 (1) | 4 | ||||
Итого | 18 | |||||
Примечание: в скобках указаны кролики контрольной группы.
У животных выполняли забор крови из периферической вены в расчёте 0,5% массы тела, что соответствовало объёму 12–15 мл и не превышало 10% объёма циркулирующей крови. В последующем аутокровь вводили в брюшинную полость с помощью инъекции. Манипуляции проводили под тотальной внутривенной анестезией пропофолом (1 мл действующего вещества разводили на 5 мл изотонического раствора натрия хлорида, единовременно вводили 2 мл), при болезненных процедурах применяли кетамин (1 мл действующего вещества разводили на 10 мл изотонического раствора натрия хлорида, единовременно вводили 1 мл). В контрольной группе животных в брюшинную полость вводили изотонический раствор натрия хлорида в объёме 10 мл. Все манипуляции проводили в асептических условиях.
После манипуляций в течение 3 дней кролики получали цефтриаксон 100 мг для предотвращения нагноительных процессов и кетонал 0,5 мл для удлинения аналгетического эффекта. Кроликов содержали в условиях вивария на свободном пищевом режиме.
Животных выводили из эксперимента на 1-е, 3-и, 10-е, 20-е, 30-е сутки. Эвтаназию осуществляли путём одномоментного введения пропофола в объёме 5 мл. Посмертно у кроликов забирали 12 участков париетальной брюшины для дальнейшего гистологического исследования.
Биологический материал фиксировали в 10% нейтральном забуференном формалине (с использованием фосфатно-солевого буфера, pH=7,4) с последующей проводкой и заливкой в парафин. Изготовляли срезы брюшины толщиной 5 мкм на санном микротоме МС-2. Приготовленные срезы наклеивали на предметные стекла и окрашивали гематоксилином-эозином и гематоксилином Вейгерта (по Ван-Гизону). Анализ морфологического материала осуществляли на микроскопе Olympus BХ 51 (Япония) при увеличении ×40, ×100 и ×400.
Опыты на животных выполняли в соответствии с правилами гуманного обращения с животными, которые регламентированы и утверждены в приказах МЗ СССР №742 и №48. Также основывались на положениях Европейской конвенции «О защите позвоночных животных, используемых для экспериментальных или иных научных целей» (Страсбург, 1986). Эксперимент одобрен этическим комитетом Восточно-Сибирского института медико-экологических исследований г. Ангарска (заключение №23 от 22 ноября 2018 г.).
Статистическая обработка полученных данных проведена методом описательной статистики с помощью программы Statistica 10.0 (StatSoft, USA). Количественные данные, имеющие нормальное распределение, были представлены в виде среднего значения (М) и стандартного отклонения (SD). Данные при непараметрическом распределении представлены в виде медиан (Ме) с указанием интерквартильного интервала (25-й и 75-й процентили). Статистическая значимость различий средних оценена с помощью критерия Манна–Уитни. Качественные данные представлены в абсолютных значениях, процентных долях и их стандартных ошибках. Статистическую значимость различий качественных данных оценивали с помощью точного F-критерия Фишера. Критический уровень значимости при проверке статистических гипотез р <0,05.
Результаты
Клиническая часть работы. Клинико-эпидемиологическая характеристика пациентов с неоперативным и хирургическим лечением представлена в табл. 2.
Таблица 2. Демографическая и клиническая характеристика пациентов с неоперативным и хирургическим лечением травмы селезёнки
Показатели | Неоперативное лечение (n=74) | Хирургическое лечение (n=8) | p |
Мальчики / девочки | 56 / 18 | 6 / 2 | 0,99 |
Возраст, годы (M±SD) | 11,0±3,3 | 11,2±3,7 | 0,888 |
Механизм травмы, абс. (%): – автодорожная – падение с высоты – удар (избиение) | 21 (28,4) 41 (55,4) 12 (16,2) | 2 (25) 4 (50) 2 (25) | 0,99 0,99 0,62 |
Объём гемоперитонеума при поступлении по данным ультразвукового исследования, мл (M±SD) | 282,3±169,3 | 375±112,9 | 0,195 |
Педиатрическая шкала травмы PTS (M±SD) | 10,1±1,4 | 8,2±2,1 | 0,0001 |
Изолированная травма, абс. (%) | 55 (75,3) | 3 (37,5) | 0,043 |
Сочетанная травма, абс. (%) | 19 (24,7) | 5 (62,5) | 0,043 |
Время от момента травмы до госпитализации, мин, Ме (Q1; Q3) | 405 (263; 548) | 95 (37; 151) | 0,160 |
Общее число койко-дней, Ме (Q1; Q3) | 12,9 (11,3; 14,2) | 13,1 (8; 18,2) | 0,9 |
Число койко-дней в ИТАР, Ме (Q1; Q3) | 1,88 (1,1; 2,4) | 4,3 (2,3; 6,4) | 0,001 |
Число гемотрансфузий; абс. (%) | 3 (4,0) | 5 (62,5) | 0,0001 |
САД при поступлении; M±SD | 108±9 | 115 ± 28 | 0,134 |
ЧСС при поступлении; M±SD | 96±9 | 99 ± 11 | 0,465 |
Примечание: ИТАР — отделение интенсивной терапии, анестезиологии, реанимации; РТS (от англ. Pediatric Trauma Score) — педиатрическая шкала травмы; САД — систолическое артериальное давление; ЧСС — частота сердечных сокращений.
Достоверной разницы среди сравниваемых групп по полу, возрасту и механизму травмы не выявлено. Среди детей с травмой селезёнки преобладали мальчики. Основными причинами повреждения органа были падения и дорожно-транспортные происшествия. У всех 82 пациентов при поступлении оценка по PTS превышала 8 баллов, что свидетельствовало о благоприятном прогнозе для выздоровления.
Основным критерием для выбора неоперативного лечения детей с внутрибрюшинным кровотечением была стабильная гемодинамика. При неоперативном лечении по данным ультразвукового исследования объём гемоперитонеума не превышал 15% объёма циркулирующей крови, в 97,3% случаев резорбция крови из полости брюшины происходила в течение 14 дней. По одному случаю наблюдали исчезновение гемоперитонеума на 21-й и 30-й день.
В первые 6 мес после выписки обследование прошли 100% детей (n=82) (табл. 3). В группе неоперативного лечения в период с 6 мес до 3 лет обследование прошли 43,2% (n=32), после 3 лет — 10,8% (n=8) пациентов.
Таблица 3. Результаты катамнестического наблюдения в первые 6 мес после лечения
Результаты наблюдения | Неоперативное лечение (n=74) | Хирургическое лечение (n = 8) | p |
Количество детей, n (%) | 74 (100) | 8 (100) | — |
Боль в животе, n (%) | 1 (1,35) | 5 (62,5) | 0,000011 |
Спаечная кишечная непроходимость, n (%) | 0 | 2 (25) | 0,0084 |
При неоперативном лечении травмы селезёнки с гемоперитонеумом в 98,65% случаев у детей не отмечено хронической боли в животе, только у 1 ребёнка были жалобы на приступообразные боли в области левой мезогастральной области, которые возникли через 2 мес после травмы и самостоятельно купировались в течение 4 мес. Как видно из табл. 3, боли в животе при гемоперитонеуме и лапаротомии встречаются в 62,5% случаев, а повторная операция по поводу спаечной кишечной непроходимости потребовалась 25% пациентов. Так, при неоперативном лечении на протяжении 10 лет ни у одного обследованного пациента не было симптомов спаечной кишечной непроходимости.
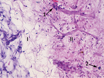
Экспериментальная часть работы. При осмотре брюшной полости в разные сроки спаек обнаружено не было. У животных на 1-е и 3-и сутки в полости брюшины обнаружена серозно-геморрагическая жидкость в объёме от 5 до 10 мл (рис. 1), а также участки гиперемии брюшины (рис. 2). У кроликов из контрольной группы такие изменения не определялись.
Рис. 1. Адгезия эритроцитов к брюшине. Окраска гематоксилином и эозином: а — увеличение ×100; б — увеличение ×400; I — мезотелий; II — пограничная базальная мембрана
Рис. 2. Микроскопия на 3-и сутки. Окраска гематоксилином и эозином, увеличение ×400: 1 — рекрутирование лейкоцитов; 2 — активация перитонеальных макрофагов; I — пограничная базальная мембрана; II — собственная пластинка брюшины
При микроскопическом анализе препаратов в 1-е сутки наблюдали адгезию форменных элементов крови (эритроцитов) к брюшине, в которой отсутствовали признаки воспаления, кровоизлияния и отёка ткани (см. рис. 1). Мезотелиальный слой в норме (см. рис. 1, б). Определяется пограничная базальная мембрана, состоящая из поверхностного волокнистого коллагенового слоя, поверхностной диффузной эластической сети, которая переходит в глубокую продольную эластическую сеть (см. рис. 1, а, б).
При микроскопическом исследовании на 3-и сутки эритроциты в поверхностных слоях брюшины не обнаружены. Преобладают участки глубокого решетчатого коллагеново-эластического слоя париетальной брюшины, где заметны скопления лейкоцитов, которые мигрируют из сосудов. При этом кровенаполнение сосудов микроциркуляторного русла брюшины в норме, стенки сосудов без видимых изменений. В брюшине обнаруживаются единичные крупные круглые клетки с большим количеством коротких отростков, которые имеют вид гребней и складок, выступающих над поверхностью. Данные клетки расценены как перитонеальные макрофаги, которые дифференцировались из активированных моноцитов крови (см. рис. 2).
На 10-е сутки на поверхности брюшины изменений нет, в самой брюшине единичные лейкоциты, которые расценены как вариант нормы (рис. 3).
Рис. 3. Париетальная брюшина на 10-е сутки. Окраска гематоксилином и эозином, увеличение ×400: 1 — лейкоциты; I — пограничная базальная мембрана
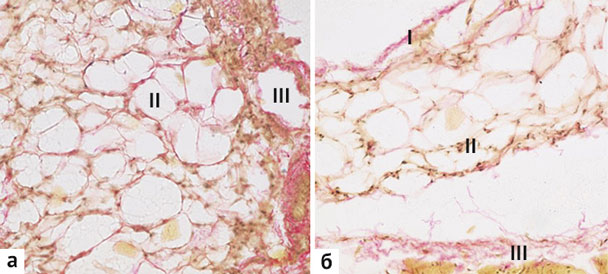
На 20-е и 30-е сутки брюшина не отличается от нормы. Мезотелиальный слой тонкий, без дефектов, дополнительные фибринозные наложения в виде соединительной ткани отсутствуют (рис. 4).
Рис. 4. Препараты париетальной брюшины на 20-е (а) и 30-е (б) сутки. Окрашивание гематоксилином Вейгерта (по Ван-Гизону), увеличение ×100: I — мезотелий; II — пограничная базальная мембрана; III — собственная пластинка брюшины
Установлено, что гемоперитонеум без повреждения мезотелия брюшины сопровождается развитием асептического воспаления. На 3-и сутки в брюшине накапливаются, пролиферируются и активируются нейтрофильные лейкоциты и мононуклеары. В асептических условиях не происходит активации перитонеальных макрофагов, что свидетельствует об отсутствии апоптоза нейтрофилов и сохранении мезотелиальных клеток. К 10-м суткам воспаление купируется, и нормальная тканевая структура брюшины восстанавливается. Таким образом, отсутствуют факторы формирования спаек.
Обсуждение
Перитонеальные спайки после операций на органах брюшной полости возникают у всех пациентов [11–13]. В 60–70% случаев послеоперационные спайки становятся причиной спаечной болезни [12–14]. При метаанализе частота возникновения непроходимости тонкой кишки после всех видов абдоминальных операций составляет 2,4% [11]. У детей повторные операции по поводу спаечной кишечной непроходимости проводят в 4,2–12,6% случаев [11, 15].
Патогенез образования спаек в настоящее время изучен глубоко на клеточном и молекулярном уровнях [16, 17]. Основной пусковой механизм формирования фибринового матрикса — повреждение мезотелия брюшины. Мезотелиальные клетки после травмы служат иммуномодуляторами и рекрутируют воспалительные клетки крови через активацию цитокинов и хемокинов. Нейтрофилы после повреждения брюшины достигают своего пика уже через 4 ч, выходя из кровеносного русла в глубокий решетчатый коллагеново-эластический слой, при этом вызывая дальнейшее повреждение за счёт апоптоза и высвобождения гранул с образованием свободных радикалов, непосредственно способствующих формированию адгезии [9, 16, 17].
Перитонеальные макрофаги представляют собой важный компонент тканевого гомеостаза и воспалительных процессов. Они поддерживают гомеостаз тканей, обеспечивают защиту, участвуют в иммунной регуляции и заживлении ран [18]. Роль перитонеальных макрофагов в формировании адгезии противоположная, они фагоцитируют апоптотические нейтрофилы. Однако в то же время увеличение количества тканевых макрофагов в брюшине служит маркёром образования перитонеальной адгезии [10]. Активация макрофагов происходит в ответ на повреждение брюшины. Повышается их фагоцитарная и секреторная активность. Они также привлекают новые мезотелиальные фибробластные клетки и составную часть популяции лейкоцитов на 3–5-й день. Если указанные скопления клеток персистируют в период заживления брюшины, то фибробласты трансформируются в фибринозную массу с включением коллагена и фибронектина [19].
При механическом повреждении брюшины на фоне гемоперитонеума морфологические изменения в брюшине протекают медленнее с исходом в склероз. Склеротические изменения носят более распространённый характер с переходом на соседние участки брюшины. У пациентов, перенёсших операцию по поводу механической травмы живота с гемоперитонеумом, повторная операция по поводу спаечной кишечной непроходимости потребовалась в 28% случаев [8].
Описанные механизмы образования спаек возможны только при условии повреждения мезотелиального слоя брюшины, что исключено при неоперативном лечении травмы селезёнки у детей.
В нашем эксперименте мы наблюдали выход лейкоцитов из сосудистого русла в просвет брюшины только на 3-и сутки. Это, вероятно, период распада форменных элементов излившейся крови и их поглощение. При этом тканевые макрофаги как маркёры апоптоза нейтрофилов встречаются в единичных случаях. Отсутствуют формирование фибробластов и дальнейшая перитонеальная адгезия.
По данным анализа литературы, неоперативное лечение травм селезёнки возможно в 86–100% случаев без санации брюшной полости. Многочисленные многолетние наблюдения за этой когортой пациентов подтверждают факт отсутствия образования спаек после консервативного лечения при травме селезёнки и гемоперитонеуме [20–23].
Так, катамнестическое наблюдение в течение 5±3 лет за 266 детьми с неоперативным лечением травмы селезёнки показало только 1 отсроченное осложнение в виде псевдокисты. Не было случаев спаечной кишечной непроходимости или других внутрибрюшинных осложнений [6].
Из 138 пациентов с неоперативным лечением травмы селезёнки в ранние и отдалённые сроки не зафиксированы случаи спаечной кишечной непроходимости, тогда как после хирургического лечения она возникла у 1 (14,3%) из 7 детей [21].
Аналогичная частота спаечной кишечной непроходимости после спленэктомии встречается у взрослых пациентов с травмой селезёнки. Из 57 пострадавших спаечная кишечная непроходимость после спленэктомии возникла у 8 (14%), в то время как из 30 пациентов после неоперативного лечения у 26 (86,6%) не отмечено внутрибрюшинных осложнений [24].
По данным последнего систематического обзора, посвящённого неоперативному лечению травмы селезёнки у детей, когорта составила 18 105 пациентов. Отсроченное кровотечение встречалось в 0,2–0,3% случаев, формирование псевдоаневризмы селезёнки зарегистрировано в 5,4–7%. Не сообщают о пациентах со спаечной кишечной непроходимостью [23].
Выводы
- По результатам проведённого экспериментального исследования на животных установлено, что наличие крови в полости брюшины без повреждения мезотелиального слоя не является фактором риска для формирования спаек.
- Многолетний катамнез 74 пациентов с неоперативным лечением чрескапсульных повреждений селезёнки с гемоперитонеумом свидетельствует об отсутствии у них спаечного процесса в брюшной полости, что служит сильным аргументом за безопасность консервативной терапии.
Участие авторов. И.А.П. — концепция и дизайн исследования, проведение эксперимента над животными, проспективное наблюдение за пациентами, обзор литературы, написание текста; В.В.П. — анализ полученных данных, проспективное наблюдение за пациентами, редактирование текста; Е.А.Т. — проведение эксперимента над животными, подготовка и анализ морфологического материала.
Источник финансирования. Исследование не имело спонсорской поддержки.
Конфликт интересов. Авторы заявляют об отсутствии конфликта интересов по представленной статье.
About the authors
Ilia A Pikalo
Irkutsk State Medical University
Author for correspondence.
Email: pikalodoc@mail.ru
ORCID iD: 0000-0002-2494-2735
https://mir.ismu.baikal.ru/ismu/page_user.php?id=1862
M.D., Cand. Sci. (Med.), Head of Depart., Depart. of Emergency Medical Care
Russian Federation, Irkutsk, RussiaVladimir V. Podkamenev
Irkutsk State Medical University
Email: vpodkamenev@mail.ru
ORCID iD: 0000-0003-0885-0563
M.D., D. Sci. (Med.), Prof., Depart. of Pediatric Surgery
Russian Federation, Irkutsk, RussiaEvgeniy A. Titov
East-Siberian Institute of Medical and Ecological Research
Email: g57097@yandex.ru
ORCID iD: 0000-0002-0665-8060
Cand. Sci. (Biol.), Senior Research Officer, Laboratory of Biomodeling and Translational Medicine
Russian Federation, Angarsk, RussiaReferences
- Karpovа IYu, Strizhenok DS, Yegorskaya LE, Ladygina TM, Egorskaya AT. Emergency ultrasound diagnosis and principles of starting therapy for abdominal trauma in children. Medical almanac. 2019;(5–6):69–74. (In Russ.) doi: 10.21145/2499-9954-2019-5-69-74.
- Podkamenev VV, Pikalo IA. Criteria for the choice of the treatment for the children with splenic lesions. Detskaya khirurgiya. 2014;18(5):23–27. (In Russ.)
- Ulugmuratov AA, Mavlyanov FSh, Mirzaev ZKh, Normurodov DK, Islamov AR. The effectiveness of video laparoscopy in the dia-gnosis and treatment of closed injuries of the parenchymal organs of the abdominal cavity in children. Detskaya khirurgiya. 2019;23(1S4):62. (In Russ.)
- Akilov KhA, Primov FSh, Urmanov NT, Asadov ShYa. Possibilities and prospects of endosurgery for closed abdominal injuries in severe concomitant trauma in children. Vestnik khirurgicheskoy gastroenterologii. 2016;(3):145–146. (In Russ.)
- Tsap NA, Komarova SJ, Ogarkov IP, Chukreev VI, Potapenko JV. Trauma of abdominal and retroperitonal organs in children: optimisation of dyagnostics and treatment. Russian journal of pediatric surgery, anesthesia and intensive care. 2010;(1):104–107. (In Russ.)
- Kristoffersen KW, Mooney DP. Long-term outcome of nonoperative pediatric splenic injury management. J Pediatr Surg. 2007;42:1038–1042. doi: 10.1016/j.jpedsurg.2007.01.039.
- Kuzyakova LM, Skalsky SV, Stepanova ЕF, Ogay MA, Glizhova TN, Sokolova TF, Lokarev AV, Kovtun EV. Influence of blockers of slow calcium channels on the processes of proliferation and collagenogenesis of fibroblasts in the formation of spices in the abdominal cavity. Medical News of North Caucasus. 2019;14(1–2):208–211. (In Russ.) doi: 10.14300/mnnc.2019.14016.
- Lavreshin PM, Gobedgishvili VK, Kelasov IG, Gobedgishvili VV. Profilaxis of intraabdominal adhesion in patients with mechanical abdominal trauma and hemoperitoneum. Bulletin of experimental and clinical surgery. 2013;6(2):148–154. (In Russ.)
- Tsai JM, Shoham M, Fernhoff NB, George BM, Marjon KD, McCracken MN, Kao KS, Sinha R, Volkmer AK, Miyanishi M, Seita J, Rinkevich Y, Weissman IL. Neutrophil and monocyte kinetics play critical roles in mouse peritoneal adhesion formation. Blood Adv. 2019;3(18):2713–2721. doi: 10.1182/bloodadvances.2018024026.
- Tsai JM, Sinha R, Seita J, Fernhoff N, Christ S, Koopmans T. Surgical adhesions in mice are derived from mesothelial cells and can be targeted by antibodies against mesothelial markers. Sci Transl Med. 2018;10(469):eaan6735. doi: 10.1126/scitranslmed.aan6735.
- Ten Broek RP, Issa Y, van Santbrink EJ, Bouvy ND, Kruitwagen RF, Jeekel J, Bakkum EA, Rovers MM, van Goor H. Burden of adhesions in abdominal and pelvic surgery: systematic review and meta-analysis. BMJ. 2013;347:f5588. doi: 10.1136/bmj.f5588.
- Rami Reddy SR, Cappell MS. A systematic review of the clinical presentation, diagnosis, and treatment of small bowel obstruction. Curr Gastroenterol Rep. 2017;19(6):28. doi: 10.1007/s11894-017-0566-9.
- Ten Broek RPG, Krielen P, Di Saverio S, Coccolini F, Biffl WL, Ansaloni L, Velmahos GC, Sartelli M, Fraga GP, Kelly MD, Moore FA, Peitzman AB, Leppaniemi A, Moore EE, Jeekel J, Kluger Y, Sugrue M, Balogh ZJ, Bendinelli C, Civil I, Coimbra R, Moya MD, Ferrada P, Inaba K, Ivatury R, Latifi R, Kashuk JL, Kirkpatrick AW, Maier R, Rizoli S, Sakakushev B, Scalea T, Søreide K, Weber D, Wani I, Abu-Zidan FM, De'Angelis N, Piscioneri F, Galante JM, Catena F, van Goor H. Bologna guidelines for diagnosis and management of adhesive small bo-wel obstruction (ASBO): 2017 update of the evidence-based guidelines from the world society of emergency surgery ASBO working group. World J Emerg Surg. 2018;13:24. doi: 10.1186/s13017-018-0185-2.
- Moris D, Chakedis J, Rahnemai-Azar AA, Wilson A, Hennessy MM, Athanasiou A, Beal EW, Argyrou C, Felekouras E, Pawlik TM. Postoperative abdominal adhesions: Clinical significance and advances in prevention and management. J Gastrointest Surg. 2017;21:1713–1722. doi: 10.1007/s11605-017-3488-9.
- Fredriksson F, Christofferson RH, Lilja HE. Adhesive small bowel obstruction after laparotomy during infancy. Br J Surg. 2016;103(3):284–289. doi: 10.1002/bjs.10072.
- Liu T, Liu F, Peng L-W, Chang L, Jiang Y-M. The peritoneal macrophages in inflammatory diseases and abdominal cancers. Oncol Res. 2018;26(5):817–826. doi: 10.3727/096504017X15130753659625.
- Skuljec J, Jirmo AC, Habener A, Talbot SR, Pul R, Grychtol R, Aydin M, Kleinschnitz C, Happle C, Hansen G. Absence of regulatory T cells causes phenotypic and functional switch in murine peritoneal macrophages. Front Immunol. 2018;9:2458. doi: 10.3389/fimmu.2018.02458.
- Cossado AA. F4/80 as a major macrophage marker: the case of the peritoneum and spleen. In: Kloc M, editor. Macrophages. Springer International Publishing; 2017. р. 161–179. doi: 10.1007/978-3-319-54090-0_7.
- Braun KM, Diamond MP. The biology of adhesion formation in the peritoneal cavity. Semin Pediatr Surg. 2014;23:336–343. doi: 10.1053/j.sempedsurg.2014.06.004.
- Shapkina AN, Kozlova MV, Shmyreva ES, Shumatov VB. How to avoid splenectomy in a child with splenic trauma. Pacific Medical Journal. 2018;(1):72–74. (In Russ.) doi: 10.17238/PmJ1609-1175.2018.1.72–74.
- Sjövall A, Hirsch K. Blunt abdominal trauma in children: risks of nonoperative. J Pediatr Surg. 1997;8(32):1169–1174. doi: 10.1016/s0022-3468(97)90676-x.
- Coccolini F, Montori G, Catena F, Kluger Y, Biffl W, Moore EE, Reva V, Bing C, Bala M, Fugazzola P, Bahouth H, Marzi I, Velmahos G, Ivatury R, Soreide K, Horer T, Ten Broek R, Pereira BM, Fraga GP, Inaba K, Kashuk J, Parry N, Masiakos PT, Mylonas KS, Kirkpatrick A, Abu-Zidan F, Gomes CA, Benatti SV, Naidoo N, Salvetti F, Maccatrozzo S, Agnoletti V, Gamberini E, Solaini L, Costanzo A, Celotti A, Tomasoni M, Khokha V, Arvieux C, Napolitano L, Handolin L, Pisano M, Magnone S, Spain DA, de Moya M, Davis KA, De Angelis N, Leppaniemi A, Ferrada P, Latifi R, Navarro DC, Otomo Y, Coimbra R, Maier RV, Moore F, Rizoli S, Sakakushev B, Galante JM, Chiara O, Cimbanassi S, Mefire AC, Weber D, Ceresoli M, Peitzman AB, Wehlie L, Sartelli M, Di Saverio S, Ansaloni L. Splenic trauma: WSES classification and guidelines for adult and pediatric patients. World J Emerg Surg. 2017;12:40. doi: 10.1186/s13017-017-0151-4.
- Gates RL, Price M, Cameron DB, Somme S, Ricca R, Oyetunji TA. Non-operative management of solid organ injuries in children: An American Pediatric Surgical Association Outcomes and Evidence Based Practice Committee systematic review. J Pediatr Surg. 2019;54:1519–1526. doi: 10.1016/j.jpedsurg.2019.01.012.
- Shapkin YuG, Maslyakov VV. Typical complications in the long-term period in patients operated for trauma of the spleen. Grekov's bulletin of surgery. 2009;168(3):39–43. (In Russ.)
Supplementary files






