Состояние микроциркуляции у больных с пищевыми токсикоинфекциями и гиповолемическим шоком при инфузионной терапии
- Авторы: Ращинский М.И.1
-
Учреждения:
- Ярославский медицинский институт
- Выпуск: Том 67, № 6 (1986)
- Страницы: 421-425
- Раздел: Статьи
- Статья получена: 17.05.2021
- Статья одобрена: 17.05.2021
- Статья опубликована: 15.11.1986
- URL: https://kazanmedjournal.ru/kazanmedj/article/view/70753
- DOI: https://doi.org/10.17816/kazmj70753
- ID: 70753
Цитировать
Полный текст
Аннотация
В настоящей работе мы сделали попытку изучить состояние микроциркуляции у 56 больных с пищевыми токсикоинфекциями, протекавшими с признаками обезвоживания II—IV степени и симптомами гиповолемического шока I—III степени. Возраст больных был от 19 до 59 лет. На основании лабораторных исследований у 14 больных выделены сальмонеллы групп В, С, Е, у остальных этиологию пищевой токсикоинфекции установить не удалось.
Ключевые слова
Полный текст
При всем многообразии факторов, вызывающих гиповолемический шок, его развитие в первую очередь характеризуется несоответствием между объемом циркулирующей крови и емкостью сосудистого русла [3]. Известно также, что в основе расстройств гемодинамики при гиповолемическом шоке лежат не только нарушения центральных вазомоторных механизмов, но и изменения в системе микроциркуляции [1].
В настоящей работе мы сделали попытку изучить состояние микроциркуляции у 56 больных с пищевыми токсикоинфекциями, протекавшими с признаками обезвоживания II—IV степени и симптомами гиповолемического шока I—III степени. Возраст больных был от 19 до 59 лет. На основании лабораторных исследований у 14 больных выделены сальмонеллы групп В, С, Е, у остальных этиологию пищевой токсикоинфекции установить не удалось. Степень дегидратации устанавливали по критериям, разработанным В. И. Покровским и В. В. Малеевым [6], тяжесть шока—по К. В. Бунину и С. Н. Соринсону [1]. Микроциркуляторное русло изучали с помощью биомикроскопии в 3 областях: бульбарной конъюнктиве, ногтевом валике и слизистой нижней губы [2]. Одномоментно оценивали транскапиллярный обмен [4]. Изучали реологические свойства крови: вязкость, индекс, гематокрита, относительную плотность плазмы и концентрацию в ней белка, количество, объем и форму эритроцитов [5]. Исследовали газовый состав крови и показатели кислотно-основного и электролитного балансов. Кислотно-основное равновесие определяли микрометодом Аструпа на аппарате «Радиометр-АВС», электролитный состав плазмы и эритроцитов—методом плазменной фотометрии. Исследования проводили дважды: при поступлении в клинику и после проведенной патогенетической терапии полиионными растворами «Квартасоль» и «Трисоль».
У больных при поступлении в клинику отмечались симптомы обезвоживания II—IV степени, которые характеризовались сухостью кожи и видимых слизистых оболочек, пониженным тургором тканей, осиплостью голоса, акроцианозом, олиго- и анурией. Наблюдались судороги, гипотермия, нитевидный пульс и гипотония. У 12 больных определить пульс и АД не представлялось возможным. Лабораторные данные свидетельствовали о сгущении крови: индекс гематокрита капиллярной крови в среднем равнялся 0,524±0,007 л/л (норма—0,434±0,003; Р<0,001), относительная плотность плазмы—1,027±0,0007 г/см3 (норма—1,024±0,0003 г/см3; Р<0,001), концентрация белка в плазме крови—96,73±2,41 г/л (норма—81,71±0,34 г/л; Р<0,001), вязкость крови—6,76±0,35 ед. (норма—4,08±0,10 ед.; Р<0,001).
По выраженности симптомов шока больные распределялись следующим образом: компенсированный шок (I степени) был у 12 больных, субкомпенсированный (II степени) — у 32, декомпенсированный (III степени) — у 12.
У больных с компенсированным шоком потери жидкости с испражнениями и рвотой составляли от 6 до 8% (II—III степени обезвоживания). Тургор тканей был сохранен у 7 больных, незначительно снижен—у 5. Температура у 9 больных была выше 38°, у остальных была субфебрильной. Деятельность почек нарушалась несущественно, олигурия имела место в 5 наблюдениях. Кратковременное учащение.дыхания до 30 в 1 мин встречалось редко. Пульс у большинства больных был учащен до 100—110 уд. в 1 мин. У 9 больных с компенсированным шоком показатели АД были в пределах нормы, у 3—незначительно повышены. Сравнение уровня АД с тонусом микрососудов у больных этой группы выявило умеренное расширение венул у всех 12 больных: у 9 из них наблюдался спазм артериол, у 2 — их расширение, у одного больного тонус артериол остался в пределах нормы. У 6 больных с нормальным. АД тонус артериол был повышенным вплоть до спазма. Одномоментно отмечался усиленный сброс крови через артериовенозные шунты и уменьшение числа функционирующих капилляров. При повышенном АД (у 3) во всех случаях тонус артериол был повышенным. Таким образом, у большинства больных с компенсированным шоком имели место спазм артериол и расширение венул. Спазм артериолярных сосудов, по-видимому, являлся одним из факторов, способствовавших поддержанию АД па нормальных цифрах. Однако на величину АД наряду с тонусом микрососудов оказывают влияние и другие факторы, в том числе соответствие объема циркулирующей крови емкости сосудистого русла [3].
При первой стадии шока, несмотря на потери жидкости с рвотой и жидким стулом и уменьшением объема циркулирующей крови, уровень АД поддерживался повышенным тонусом артериол, усиленным сбросом крови через артериовенозные шунты, уменьшением числа функционирующих капилляров, а также усиленной абсорбцией жидкости в венозном конце капилляров. Наблюдалось усиленное движение жидкости и мелкодисперсных фракций белка (альбумина) из интерстиция в сосудистое русло. Исследование транскапиллярного обмена у всех 12 больных с шоком I степени выявило преобладание абсорбции над фильтрацией. Движение жидкости в микрососуды способствовало поддержанию на нормальном уровне объема циркулирующей крови и ее реологических показателей. У больных с компенсированным шоком не отмечено достоверного изменения по отношению к контролю таких параметров, как вязкость крови, индекс гематокрита, относительная плотность плазмы (Р>0,05). Но имевшие место в таких случаях гипоксемия, усиленный сброс крови через артериовенозные шунты и уменьшение числа функционирующих капилляров вели к развитию метаболического ацидоза. Уровень стандартных бикарбонатов снижался до 20,73±1,09 ммоль/л (норма—23,95±0,84 ммоль/л; Р<0,05), дефицит буферных оснований достигал 4,34±1,31 (норма-—0,50±0,93 ммоль/л; Р<0,05). Однако у большинства больных метаболический ацидоз носил компенсированный характер, pH равнялся в среднем 7,36±0,02 (норма — 7,39±0,02; Р>0,05), что было обусловлено компенсаторным снижением напряжения углекислого газа в крови до 4,0±0,3 кПа (норма—5,3±0,2 кПа; 0,001) за счет учащенного дыхания.
При субкомпенсированном шоке (II степени) дефицит массы тела составлял 7— 9% (III степень обезвоживания). У всех 32 больных тургор тканей был снижен, наблюдались цианоз губ и акроцианоз, нормальная или субфебрильная температура. Имели место олигурия, одышка до 30—40 дыханий в 1 мин, приглушенность сердечных тонов, слабого наполнения и напряжения пульс, тахикардия до 120—140 уд. в 1 мин, артериальная гипотония. В микрососудах выявлена выраженная гипотония не только венул, но у большинства больных и артериол (23), только у 3 лиц отменен спазм артериолярных сосудов; у 6 больных тонус был нормальным. Гипотония микрососудов сопровождалась уменьшением объема циркулирующей крови и ее сгущением, что затрудняло кровоток и вело к несоответствию объема циркулирующей крови емкости сосудистого русла. Сгущение крови проявлялось достоверным увеличением показателей вязкости до 6,96±0,35 ед. (норма—4,08±0,10 ед.; Р<0,001), индекса гематокрита — 0,57±0,007 л/л (норма — 0,43±0,003 л/л; Р<0,001) и относительной плотности плазмы—1,028±0,0007 г/см3 (норма—1,024±0,0003 г/см3; Р<0,001).
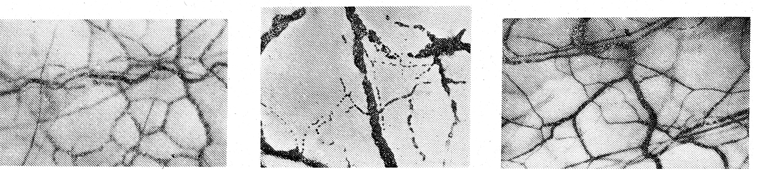
) Гипотонии микрососудов сопутствовали симптомы депонирования крови. В отдельных расширенных капиллярах скапливалось большое количество форменных элементов. При этом тонус посткапиллярных сфинктеров нередко был повышенным и форменные элементы выключались из циркуляции. Резко сокращалось число функционирующих капилляров, и движение форменных элементов осуществлялось в основном через артериовенозные шунты (рис. 1); Кровоток был резко замедленным, а в отдельных капиллярах наблюдалось его стазирование. Медленное движение форменных элементов способствовало слипанию эритроцитов и появлению агрегации форменных элементов (сладж-феномена). Закупорка агрегатами отдельных микрососудов и неадекватная капиллярная перфузия тканей приводили к недостаточному снабжению тканей кислородом. Напряжение кислорода в капиллярной крови равнялось 9,7±0,5 кПа (норма— 11,7 ± 0,6 кПа; Р<0,01).
Рис. 1, 2, 3. Микроциркуляторное русло бульбарной конъюнктивы при пищевой токсикоинфекции, осложненной гиповолемическим шоком II (рис. 1), III степени (рис. 2) и сразу после проведенной регидратационной терапии (рис. 3). Объектив Х 8, окуляр Х 7.
Гипоксемия усугубляла развитие симптомов метаболического ацидоза: pH крови снижался до 7,26±0,02 (норма — 7,39±0,02; Р<0,001), уровень стандартных бикарбонатов достигал 16,10±0,89 ммоль/л (норма—23,95±0,84 ммоль/л; Р<0,001), дефицит буферных оснований составлял 9,92±0,97 ммоль/л (норма—0,50 ±0,93 ммоль/л; -Pc0,001). Снижение напряжения углекислого газа в крови до -4Д±0,4 кПа (норма—5,3±0,2 кПа; Р < 0,001) не компенсировало симптомов- метаболического ацидоза. В свою очередь метаболический ацидоз оказывал влияние на тонус микрососудов и в первую очередь артериол, вызывая их дополнительное расширение.
Стаз крови в микрососудах способствовал выходу жидкой части крови за пределы капиллярной стенки. У 26 из 32 обследованных больных со II степенью шока в капиллярах преобладали процессы фильтрации, и только у 4 больных с начальными симптомами субкомпенсированного шока доминировали процессы абсорбции. Дополнительный выход жидкой части крови за пределы сосудистой стенки вызывал еще большее ее сгущение и усугублял несоответствие объема циркулирующей крови емкости сосудистого русла.
При II степени шока нарушались реологические свойства форменных элементов крови, в первую очередь эритроцитов. Этому содействовал и имевший место в клетках дисбаланс электролитов. В эритроцитах одномоментно наблюдались гипернатриемия и гипокалиемия. Повышенное содержание натрия вело к задержке воды и нарастанию объема каждого эритроцита в среднем до 102,71±2,65 мкм3 (норма —88,91±0,89 мкм3; Р<0,001). Увеличение объема эритроцитов сопровождалось изменением их формы и нарушением деформационной способности, что затрудняло их прохождение по узким участкам микроциркуляторного русла [3].
У 12 больных с декомпенсированным шоком (III степени) дефицит массы тела составлял 9% и более; АД и пульс не определялись; наблюдались анурия, гипотермия и другие признаки обезвоживания Ill—IV степени. В исследованных участках микроциркуляториого русла у всех больных были констатированы гипотония микрососудов, уменьшение числа функционирующих капилляров, закупорка их агрегатами (рис. 2). В большинстве капилляров кровоток отсутствовал и сохранялся только через артериовенозные шунты. В микрососудах у всех больных этой группы преобладала фильтрация и отмечался дополнительный выход жидкой части крови за пределы капиллярной стенки. Метаболический ацидоз был резко выраженным, pH у отдельных больных достигал 7,10—7,15.
Лечение больных с гиповолемическим шоком осуществлялось кристаллоидными растворами «Квартасоль» и «Трисоль» в два этапа. На первом этапе проводили первичную регидратацию, при которой объем вводимых растворов соответствовал объему потерянной организмом жидкости и колебался от 6 до 11% массой тела в зависимости от степени шока. При первичной регидратации большую часть рассчитанного объема жидкости (75—90%) вводили внутривенно и только небольшую часть тех же растворов—через рот. Скорость внутривенного введения растворов была до 1 мл/кг в 1 минуту.
На втором этапе лечения регидратацию производили по потерям и обычно осуществляли через рот растворами «Квартасоль» и «Трисоль», и только у Уз больных потребовалось повторное внутривенное введение препаратов. Другие медикаментозные средства (гормоны, вазопрессоры, сердечные) в лечении не использовались. Инфузия кристаллоидных растворов сопровождалась быстрым улучшением самочувствия. В первые полчаса исчезали судороги, прекращалась рвота, восстанавливались пульс и АД. К концу вливания купировался цианоз и восстанавливалось мочеотделение. При этом в микроциркуляторном русле вначале происходило восстановление тонуса артериол, скорости кровотока и числа функционирующих капилляров (рис. 3).
Уменьшалось число действующих артериовенозных анастомозов. Гипотония венул сохранялась более длительно. Инфузия растворов «Квартасоль» и «Трисоль» вызывала восстановление нарушенных показателей кислотно-основного равновесия и электролитного баланса, причем раствор «Квартасоль» более адекватно корригировал эти нарушения. Вливание раствора «Трисоль» в больших количествах нередко вызывало переход метаболического ацидоза в метаболический алкалоз за счет избыточного введения оснований, а также сохранение гипокалиемии и появление гипернатриемии за счет избытка в растворе натрия и недостатка калия.
Влияние кристаллоидных растворов на транскапиллярный обмен Характеризовалось наличием в конце инфузии динамического равновесия между фильтрацией и абсорбцией, что способствовало интенсивному обмену между интерстицием и кровью и тем самым выведению токсинов из организма. Вливание кристаллоидов значительно улучшало реологические свойства крови. Вязкость крови снижалась до 2—3 единиц, относительная плотность плазмы — до 1,020—1,022 г/см3, концентрация белка плазмы равнялась в среднем 67,72±2,61 г/л, индекс гематокрита колебался между 0,35 и 0,44 л/л. Улучшение реологических свойств крови облегчало ее движение в микрососудах и способствовало устранению нарушений микроциркуляции.
Таким образом, исследование микроциркуляции у больных с признаками гиповолемического шока и обезвоживания III—IV степени при крайне тяжелом течении пищевых токсикоинфекций показало наличие выраженных нарушений микроциркуляции, которые проявлялись изменением тонуса микрососудов, депонировании форменных элементов, стазировании кровотока, уменьшении числа функционирующих капилляров и развитии метаболического ацидоза.
Патогенетическая терапия полиионными растворами «Квартасоль» и «Трисоль» даже без дополнительной медикаментозной терапии купировала симптомы шока и нарушения микроциркуляции, значительно улучшала самочувствие больных и потому может быть рекомендована для лечения таких больных.
Об авторах
М. И. Ращинский
Ярославский медицинский институт
Автор, ответственный за переписку.
Email: info@eco-vector.com
Россия
Список литературы
- Бунин К. В., Соринсон С. Н. Неотложная терапия при инфекционных болезнях. Л., Медицина, 1983.
- Богоявленский В. Ф. Коррекции функции внешнего и внутреннего дыхания, гемокоагуляции и микроциркуляции у больных атеросклерозом. Автореф. докт. дисс., Казань, 1970.
- Вейль М. Г., Шубин Г. Диагностика и лечение шока. Перевод с англ. М., Медицина, 1971.
- Казначеев В. П., Дзизинский А. А. Клиническая патология транскапиллярного обмена. М., Медицина, 1975.
- Козловская Л. В., Мартынова М. А. Учебное пособие по клиническим лабораторным методам исследования. М., Медицина, 1975.
- Покровский В. И., Малеев В. В. Холера. Л., Медицина, 1978.
Дополнительные файлы




