On the issue of hemorrhagic vasculitis (Shenlein-Genoch disease)
- Authors: Byalik V.L.
- Issue: Vol 39, No 6 (1958)
- Pages: 15-20
- Section: Articles
- Submitted: 09.05.2021
- Accepted: 09.05.2021
- Published: 14.12.1958
- URL: https://kazanmedjournal.ru/kazanmedj/article/view/70417
- DOI: https://doi.org/10.17816/kazmj70417
- ID: 70417
Cite item
Full Text
Abstract
Schönlein-Genoch disease (hemorrhagic capillary toxicosis), recently described as hemorrhagic vasculitis, usually develops after a history of tonsillitis, influenza, scarlet fever, measles, acute catarrh of the upper respiratory tract, taking certain medications or poor quality food. Sometimes hemorrhagic vasculitis complicates tuberculosis, it can also occur due to increased sensitivity to antibiotics.
Keywords
Full Text
Болезнь Шенлейн — Геноха (геморрагический капилляротоксикоз), в последнее время описываемая под названием геморрагический васкулит, развивается обычно после перенесенной ангины, гриппа, скарлатины, кори, острого катара верхних дыхательных путей, приема некоторых лекарственных веществ или недоброкачественной пищи. Иногда геморрагический васкулит осложняет туберкулез, может возникать и на почве повышенной чувствительности к антибиотикам.
Принято различать легко протекающую, так называемую простую пурпуру, характеризующуюся в основном высыпаниями на кожу; ревматоидную— идущую с поражением суставов; абдоминальную — с кишечной коликой и желудочно-кишечными кровотечениями; молниеносную — протекающую наиболее тяжело, со всеми проявлениями трех вышеназванных форм, но выраженными крайне резко. Отдельные формы заболевания могут между собой переплетаться.
Рядом авторов подчеркивается тяжесть почечных поражений при геморрагическом васкулите.
Наблюдения послевоенных лет показывают, что поражения почек при геморрагическом васкулите стали встречаться чаще, протекаютболее тяжело. Развитие диффузного гломерулонефрита может закончиться в острой или подострой стадии уремией или же наблюдается переход в хронический нефрит, иногда с вторичным сморщиванием почек на протяжении сравнительно короткого периода времени.
Рис. 1. Гломерулонефрит при болезни Шенлейн—Геноха. Видны увеличенные клубочки, богатые ядрами, образование полулуний. (Ок. 7, об. 8)
Рис. 2. Гломерулонефрит при болезни Шенлейн — Геноха
При гистологическом исследовании, кроме поражения капилляров, обнаруживаются также деструкция мелких артерий, артериол и вен, фибриноидный некроз и инфильтрация их стенки лейкоцитами, бурная пролиферация эндотелия, тромбоваскулит, большие инфильтраты вок- круг сосудов, часто состоящие сплошь из лейкоцитов. Нередко отмечается избирательное поражение сосудов отдельных органов (почек, миокарда, кишечника и т. д.), при отсутствии или минимальных изменениях сосудов других органов, что накладывает отпечаток на клиническую картину, обусловливая ее разнообразие. В таких случаях возникают большие трудности в диагнозе заболевания.
За последние годы нами наблюдалось три случая геморрагического васкулита, закончившихся летально, каждый из которых имеет ряд клинико-анатомических особенностей.
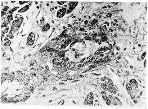
Рис. 3 Миокард. Деструкция стенки мелкой ветви венечной артерии. (Ок. 7, об. 40)
Рис. 4 Адвентиция пищевода. Тромбоваскулит с широким периваскулярным инфильтратом.(Ок. 10, об. 8)
1. Б-ой С., 16 лет. Заболел 13/XI-53 г. За несколько дней до этого перенес «грипп» на ногах, ранее болел ангиной. 15/XI-53 г. поступил в терапевтическое отделение по поводу отеков в области голеностопных суставов и множественных петехий на коже конечностей. Небольшая болезненность живота, кровь в кале. Температура — до 37,8°. Артериальное давление — 120/70. Диагносцирован геморрагический васкулит, и назначено соответствующее лечение, в том числе антибиотики. Состояние больного не улучшилось, температура субфебрильная, появились резкие боли в животе, тошнота рвота. В моче — белок, цилиндры, эритроциты. Кровь — небольшой лейкоцитоз (9 600)> нейтрофилез, лимфопения, анэозинофилия. РОЭ—18 мм в час. Состояние больного ухудшалось, геморрагические высыпания рецидивировали. Исследование мочи от 24/Х: удельный вес— 1005, белок — 0,09%о, свежие и выщелоченные эритроциты—25— 40 в поле зрения, гиалиновые цилиндры. Отменен пенициллин, назначен димедрол. В ночь на 10/XI-53 г. появились резкая боль в горле, отек лица и гортани. Поело кратковременного улучшения 16/XI вновь развились явления резкого отека гортани,, и 17/XI при явлениях остро развившейся асфиксии внезапно наступила смерть. Клинически диагносцированы геморрагический васкулит, отек типа Квинке, гломерулонефрит.
Патологоанатомический диагноз: геморрагический васкулит. Диффузный гломерулонефрит. Отек и обширное кровоизлияние в задней стенке глотки и в толщу корня языка. Отек надгортанника и голосовых складок. Диффузное кровоизлияние в диафрагму. Мелкоточечные кровоизлияния в серозном покрове тонкой и слизистой оболочке двенадцатиперстной кишки, лоханок, мочевого пузыря., Венозное полнокровие внутренних органов.
Микроскопическое исследование (окраска гематоксилин-эозином, пикрофуксином, на фибрин по Вейгерту): Почки — клубочки значительно увеличены, выполняют просветы капсул, значительно увеличено количество эндотелиальных элементов, обилие лейкоцитов. Плазматическое пропитывание, а местами фибриноидный некроз сосудистых петель клубочков и афферентных сосудов. Пролиферация эпителия капсул Шумлянского — Боумена, местами с образованием полулуний. В просветах капсул встречаются скопления эритроцитов и белковой массы. Зернистая дистрофия эпителия канальцев, в просветах которых скопления эритроцитов. В ин- терстиции—лимфоидные инфильтраты, расположенные преимущественно вокруг клубочков. Сердце- эпикард отечен, разрыхлен с круглоклеточными инфильтратами.. Мелкие артерии и вены эпикарда с пролиферацией адвентициальных и эндотелиальных элементов и сужением просвета. Аналогичные изменения в мелких сосудах миокарда. Стенка тонкой кишки: отек и кровоизляния в подслизистом слое и серозном покрове. Набухание и пролиферация эндотелия капилляров. Местами клеточные муфты вокруг мелких артерий. Кожа: множественные мелкие кровоизлияния, в дерме и подкожной клетчатке. Выраженная пролиферация эндотелия капилляров, мелких артерий и вен. Периваскулярные клеточные инфильтраты, преимущественно из полинуклеаров; последние местами густо инфильтрируют и самую стенку сосудов..
Таким образом, перед нами случай геморрагического васкулита с кожными проявлениями, абдоминальным синдромом и диффузным подострым гломерулонефритом, развившегося после перенесенного «гриппа» и ангины. Особый интерес представляет поражение сосудов в области задней стенки глотки и гортани с обширными кровоизлияниями, развитием отека гортани (типа Квинке) и асфиксии, послужившей непосредственной причиной смерти.
II.Б-ой Ч., 19 лет. Заболел остро 17/Х-52 г.: появился озноб, повышение температуры до 39,6°, неоднократная рвота, жидкий стул до 5—6 раз за ночь. За неделю до настоящего заболевания перенес острый катар верхних дыхательных путей и ангину с повышением температуры. В терапевтическое отделение поступил 18/Х-52 г. с температурой 39,7°; лицо гиперемировано, на коже туловища петехиальная сыпь, язык обложен грязным налетом. Резкие боли в животе, преимущественно в левой подвздошной области, кратковременная потеря сознания. 20/Х—жидкий стул с алой кровью. Брадикардия. АД— 120/70. Было диагносцировано «острое заболевание брюшной полости», и 21/Х произведена лапаротомия; обнаружено диффузное кровоизлияние в стенку подвздошной кишки, которая и была резецирована вместе с частью слепой кишки. Кровь в день операции: лейкоцитов 18000, нейтрофилез с сдвигом лейкоцитарной формулы влево, лимфопения. В моче: белок — О,66%о, гиалиновые и зернистые цилиндры, эритроциты. АД — 150/40. Больной после операции впал в сопорозное состояние. 22/Х — развилось резкое двигательное беспокойство, бред. Остаточный азот крови — 270 мг%. Выявилась картина азотемической уремии, в связи с чем произведена декапсуляция правой полки. Через несколько часов после операции больной скончался.
Клинический диагноз: сепсис с геморрагическим синдромом (?). Гломерулонефрит, азотемическая уремия. Состояние после резекции кишечника и декапсуляции правой почки.
Микроскопическое исследование. Почка: клубочки увеличены в объеме, почти полностью выполняют просвет капсул. Пролиферация эндотелия сосудистых петель клубочков, накопление лейкоцитов в просвете сосудов. Резкое полнокровие клубочков, стазы и кровоизлияния с выходом эритроцитов в просвет капсул.. Фибриноидный некроз отдельных сосудистых петель клубочков. Зернистая дистрофия эпителия канальцев. В просветах канальцев скопления эритроцитов. Стенка к и ш- к и: обширные кровоизлияния во всех слоях стенки, отек подслизистого слоя. Небольшие изъязвления в слизистой оболочке, дно которых пропитано кровью. Пролиферация эндотелиальных и адвентициальных элементов стенки мелких артерий, инфильтрация стенки лейкоцитами, среди которых довольно много эозинофилов, образующих адвентициальные клеточные муфты. Пролиферирующий эндотелий капилляров местами почти целиком выполняет их просвет. Кожа: множественные геморрагии в дерме и в подкожной клетчатке. Набухание и выраженная пролиферация эндотелия капилляров и мелких сосудов с почти полным закрытием их просвета. Местами границы сосудов стерты. Периваскулярные клеточные муфты. В просвете мелких артерий и вен встречаются тромбы. Некроз стенки сосудов.
Лишь после детального гистологического исследования органов и оценки всех клинических и анатомических данных был сформулирован следующий патологоанатомический диагноз: Геморрагический васкулит. Кровоизлияния в кожу туловища, эпикард, висцеральную плевру, легкие, слизистую оболочку желудка. Массивное кровоизлияние в стенку подвздошной кишки. Язвенный илеит. Острый диффузный геморрагический гломерулонефрит. Азотемическая уремия. Очаговая пневмония, серозно-фибринозный перикардит, отек головного мозга. Резекция подвздошной и части слепой кишки. Декапсуляция правой почки.
В данном случае, после перенесенного острого катара верхних дыхательных путей и ангины, развился геморрагический васкулит с бурным течением и выраженными кожными, абдоминальными и почечными проявлениями. Клиническая картина «острого живота» послужила поводом к лапаротомии.
III.Б-й У., 20 лет. Перенес острый катар верхних дыхательных путей (грипп?) в первых числах сентября 1956 г. (до этого был здоров), после чего длительно находился на стационарном лечении по поводу «остаточных явлений катара верхних дыхательных путей», однако после выписки из стационара продолжал чувствовать себя не совсем здоровым. 4 января 1957 г. вновь поступает в терапевтическое отделение. В моче: белок—О,О6%о, удельный вес—1011, свежие и выщелоченные эритроциты. Температура тела нормальная. 19/1-57 г. внезапно повысилась температура до 39,6°, на лице появилась крупнопятнистая полиморфная сыпь, элементы которой возвышались над поверхностью кожи. 20 января — резкие боли в животе. Появилось профузное носовое и кишечное кровотечение (дегтеобразный стул), боли в суставах конечностей. Общее состояние тяжелое. АД — 130/45. Периодически рвоты алой кровью, живот напряжен, симптомы раздражения брюшины. Лейкоцитоз до 24400, выраженная анемия (гемоглобин — 30%), высокая РОЭ (73). Нейтрофилез с резким сдвигом лейкоцитарной формулы влево. В связи с бурно развившейся картиной «острого живота», желудочно-кишечным кровотечением и нарастающей анемизацией больного, предпринята лапаротомия, во время которой наступила смерть (25/1-1957 г.). При жизни больного истинный характер заболевания не был распознан.
Патологоанатомический диагноз: Геморрагический васкулит. Множественные кровоизлияния в эпикарде, брюшине, слизистой оболочке носа, пищевода, кишок. Диффузный гломерулонефрит с начинающимся сморщиванием почек. Уремия. Серозно- фибриновный перикардит, двусторонний серозно-фибринозный плеврит. Асцит. Состояние после пробной лапаротомии. Общее малокровие.
Микроскопическое исследование. Почка — большая часть клубочков увеличена в размерах за счет пролиферации эндотелия и накопления лейкоцитов в просветах сосудистых петель; увеличенные клубочки почти целиком выполняют просветы капсул. Некроз части сосудистых петель. Отдельные клубочки деформированы, имеют лопастную форму, бедны клеточными элементами и частично фиброти- зированы. Отмечается очаговое утолщение капсулы клубочков и образование полулуний. Дистрофия эпителия мочевых канальцев, в просвете их цилиндры и кровь. Набухание и фибриноидный некроз стенки мелких артерий и артериол почки, пролиферация эндотелия. Местами разрастание межуточной соединительной ткани. В интерсти- ции почки видны круглоклеточные и лейкоцитарные инфильтраты, расположенные преимущественно вокруг клубочков и мелких артерий. Местами лейкоциты инфильтрируют стенки мелких артерий, образуя вокруг последних значительные муфты. Сердце: Деструкция стенки мелких артерий и артериол миокарда с разволокнением и набуханием, а местами и фибриноидным некрозом, пролиферацией эндотелия и образованием небольших адвентициальных клеточных муфт. Селезенка: множественные мелкие очажки некроза в пульпе, редукция фолликулов, местами картины эндопериваскулита. Стенка пищевода: небольшие язвы слизистой оболочки. В подслизистом слое и в ад- вентиции пищевода мелкие артерии в состоянии фибриноидного некроза, а местами и полной деструкции с широкими эозинофильными муфтами вокруг них. Резкое умень- щение просвета и утолщение стенки некоторых сосудов, встречаются тромбы в различной стадии организации. Стенка кишки: обширные кровоизлияния в подслизистом и мышечном слоях, местами пропитывание кровью всей стенки, пролиферация эндотелия капилляров с почти полным стиранием их просвета. Пролиферация эндотелиальных клеток и адвентициальных элементов стенки мелких артерий и вен. Встречаются периваскулярные лейкоцитарные инфильтраты.
В данном случае нефрит, по-видимому, возник у больного на первых этапах заболевания (до вторичного поступления в терапевтическое отделение). Обращает на себя внимание быстрота развития процесса в почках с исходом в начинающееся сморщивание на протяжении сравнительно короткого периода времени. И в этом случае абдоминальный Синдром с бурным желудочно-кишечным кровотечением и анемизацией больного повлек за собой лапаротомию. К патологоанатомическим особенностям случая, кроме поражения почек, относятся распространенные васкулиты с фибриноидным некрозом стенки сосудов, особенно выраженные в миокарде и пищеводе; периваскулярные инфильтраты в стенке пищевода состояли преимущественно из эозинофилов, что, наряду с фибриноидным некрозом стенки сосудов, может служить указанием на аллергический характер поражения.
ЗАКЛЮЧЕНИЕ
Во всех наблюдениях в процессе участвовали не только капилляры, но также мелкие артерии и вены; речь идет о распространенном васкулите с преимущественным поражением тех или иных органов и тканей.
Наименование «капилляротоксикоз», как не отражающее в полной мере сущности заболевания, должно быть окончательно оставлено и заменено более удачным наименованием —«геморрагический васкулит».
Фибриноидный некроз стенки мелких сосудов, а также эозинофильные периваскулярные инфильтраты (последнее наиболее ярко выражено в третьем наблюдении) могут морфологически служить указанием на аллергическую природу заболевания. В пользу этого же свидетельствуют нередко наблюдаемые внезапное начало и бурное течение заболевания, а также развитие геморрагического васкулита во всех приведенных случаях после гриппа, ангины, острого катара верхних дыхательных путей (роль предшествующей сенсибилизации — геморрагический васкулит как «вторая болезнь»). Имеется достаточно оснований для включения геморрагического васкулита в группу общепризнанно аллергических заболеваний.
Прижизненное распознавание геморрагического васкулита подчас представляет определенные трудности, что порождает диагностические ошибки, как это и было в двух наших наблюдениях.
About the authors
V. L. Byalik
Author for correspondence.
Email: info@eco-vector.com
Russian Federation
References
Supplementary files







