Abnormalities of brain development as a cause of epileptic seizures
- Authors: Nabiev TM1, Melikova S.Y1
-
Affiliations:
- Azerbaijan Medical University
- Issue: Vol 101, No 1 (2020)
- Pages: 107-111
- Section: Clinical observations
- Submitted: 10.02.2020
- Accepted: 10.02.2020
- Published: 11.02.2020
- URL: https://kazanmedjournal.ru/kazanmedj/article/view/20392
- DOI: https://doi.org/10.17816/KMJ2020-107
- ID: 20392
Cite item
Full Text
Abstract
Brain abnormalities can cause resistant epileptic seizures and significant neurological deficits. In this article we present the clinical cases of cerebral hemiatrophy (Dyke–Davidoff–Masson syndrome) and polymicrogyria with a description of their classical clinical features and radiological and electrophysiological characteristics. The classical signs of Dyke–Davidoff–Masson syndrome in neuroimaging are cerebral hemiatrophy, calvarial thickening, and hyperpneumatization of the frontal sinuses. Polymycrogyria characterized by a gross defect of the cortex with multiple small superficial gyri can manifest as hemi- or tetraparesis, focal epilepsy, and developmental delay. Further study of brain abnormalities, obtaining high-quality images with neuroimaging and their careful analysis can help improve the efficiency of diagnosis and treatment of patients with this pathology.
Keywords
Full Text
Врождённые пороки развития центральной нервной системы — один из актуальных вопросов современной медицины. При этом неврологическая симптоматика аномалий развития головного мозга зависит от локализации и объёма поражения, а наиболее частыми неврологическими симптомами бывают центральные парезы, эпилептические приступы, задержка психического и моторного развития [1, 2]. При наличии выраженных морфологических изменений часто возникают резистентные эпилептические приступы и грубый неврологический дефицит [1, 2]. В свете этого своевременная диагностика, профилактика клинических проявлений и лечение аномалий головного мозга, безусловно, имеют большое значение.
Одна из редких видов патологии головного мозга — церебральная гемиатрофия (синдром Дайка–Давидофф–Массона) и полимикрогирия. Существующие в литературе примеры описания клинических случаев данных поражений единичны. В связи с этим приведённые ниже случаи диагностики и описания церебральной гемиатрофии и полимикрогирии представляют собой большой практический интерес.
Синдром Дайка–Давидофф–Массона (СДДМ) — редкое состояние, характеризующееся гемиатрофией головного мозга, утолщением свода черепа, гиперпневматизацией лобных пазух и асимметрией лица [3]. Обычно СДДМ развивается вследствие поражения мозга в период его внутриутробного развития или в раннем детстве [4], что в свою очередь ведёт к утрате нейронов, участвующих в развитии мозга, а в последующем — к умственной отсталости, эпилептическим приступам и неспособности к обучению [5].
Согласно большинству описанных в литературе случаев, это состояние преобладает у пациентов мужского пола, причём чаще поражение локализовано в левом полушарии [3]. Несмотря на то обстоятельство, что этиология СДДМ остаётся спорной, травмы, инфекции, внутримозговое кровоизлияние, врождённые сосудистые аномалии сосудов и перинатальную гипоксию считают ведущими этиологическими факторами этого синдрома [6].
Одним из редких поражений головного мозга бывает полимикрогирия, характеризующаяся грубым дефектом коры головного мозга с множеством мелких неглубоких извилин и нарушением архитектоники коры головного мозга. Для пациентов с полимикрогирией характерен широкий спектр клинических проявлений, включая геми- или тетрапарез, фокальную эпилепсию, задержку развития. Нередко течение эпилепсии сопровождается развитием фармакорезистентности.
Неврологические расстройства в целом зависят как от вовлечённой части мозга, так и от типа полимикрогирии и наличия или отсутствия связанных аномалий. При этом двустороннее поражение и вовлечение более половины одного полушария — неблагоприятные прогностические показатели, предвещающие умеренную или серьёзную задержку развития и значительную моторную дисфункцию [2, 7].
В работе представлены клинические случаи пациентов с СДДМ и полимикрогирией, обратившихся амбулаторно и находившихся под нашим наблюдением на кафедре неврологии Азербайджанского медицинского университета. Обоим пациентам было проведено комплексное клинико-неврологическое обследование с использованием электроэнцефалографии (ЭЭГ) и магнитно-резонансной томографии (МРТ; 1,5 Тл). Запись электроэнцефалограммы осуществляли на 19-канальном электроэнцефалографе в монополярном и биполярном монтажах, в качестве функциональных проб использованы открывание-закрывание глаз, ритмическая фотостимуляция и гипервентиляция в течение не менее 3 мин.
Клинический случай 1. Пациент 18 лет находился под наблюдением по поводу судорожных приступов в правых конечностях, повторяющихся несколько раз в неделю. Из анамнеза известно, что в детстве у больного неоднократно возникали фебрильные судороги. Через несколько месяцев присоединились сильные головные боли, не связанные с каким-либо фактором. Приблизительно в этот же период (в возрасте 5 лет и 8 мес) появились клонические судороги в правых верхних и нижних конечностях при сохранном сознании без последующей генерализации приступа. Кроме приступов, присутствовали выраженная асимметрия лица, слабость в правых конечностях, затруднение при ходьбе. В терапии пациента использовали большое количество антиэпилептических препаратов в различных комбинациях и схемах: карбамазепин, вальпроевая кислота, ламотриджин и др. Эффекта от проводимой терапии пациент не отмечал.
При обращении пациент находился в ясном сознании, был адекватен и доступен вербальному контакту. При обследовании выявлены нарушение когнитивных функций и задержка умственного развития, признаки утолщения костей черепа, включая лобные кости, чрезмерная болезненность точек Керера, асимметрия лица и правосторонний спастический гемипарез. Менингеальных знаков не было.
При рутинной ЭЭГ на фоне диффузного левостороннего замедления биоэлектрической активности зарегистрирована фокальная эпилептиформная активность в левых лобных отведениях.
При МРТ головного мозга выявлены левосторонняя гемицеребральная атрофия с увеличенными ипсилатеральными лобными и клиновидными пазухами, расширением свода черепа и приподнятым клиновидным и петушиным гребнем.
По результатам всех проведённых исследований пациенту поставлен диагноз «Церебральная гемиатрофия». Согласно Международной классификации приступов ILAE (от англ. International League Against Epilepsy — Международная противоэпилептическая лига) [8] приступы были расценены как фокальные моторные с сохранной осознанностью.
Проведена коррекция лечения, назначен леветирацетам. После повышения дозы препарата до 2500 мг/сут отмечено снижение частоты приступов.
Клинический случай 2. Пациент 23 лет обратился по поводу судорожных приступов в правых конечностях, далее сопровождающихся потерей сознания и повторяющихся несколько раз в неделю, иногда в день. Из анамнеза известно, что в детстве у больного несколько раз возникали фебрильные судороги. Начиная с 6 лет, отмечали судороги в правых конечностях с последующей генерализацией приступа. Частота приступов колебалась от 1 раза в 3 мес до нескольких раз в неделю.
При обращении пациент находился в ясном сознании, был адекватен и доступен вербальному контакту. При обследовании выявлены нарушение когнитивных функций и задержка умственного развития. Возникающие у пациента приступы были классифицированы как фокальные с эволюцией в билатеральные тонико-клонические [8]. В терапии пациента использовали различные антиэпилептические препараты и их сочетание: карбамазепин, вальпроевая кислота, ламотриджин, топирамат, клоназепам и др. Эффекта от проводимой терапии не было.
При рутинной ЭЭГ на фоне диффузного левостороннего замедления биоэлектрической активности зарегистрирована фокальная эпилептиформная активность в левой передней височной области (рис. 1).
Рис. 1. На электроэнцефалограмме на фоне диффузного левостороннего замедления биоэлектрической активности зарегистрирована фокальная эпилептиформная активность в левой передней височной области
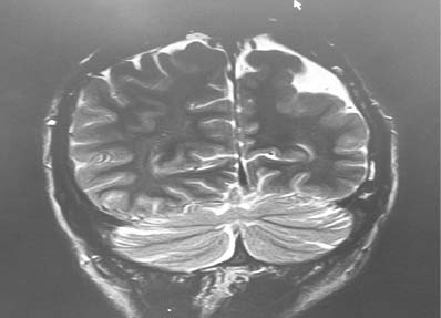
При МРТ головного мозга (1,5 Тл) выявлены утолщение коры и увеличение количества извилин — полимикрогирия (рис. 2).
Рис. 2. Данные магнитно-резонансной томографии головного мозга обследованного пациента: полимикрогирия
Незначительное снижение частоты приступов было достигнуто при совместном назначении карбамазепина и леветирацетама.
СДДМ впервые описан Dyke, Davidoff и Masson в 1933 г. Они дали характеристику рентгенологических изменений черепа у 9 пациентов с приступами, асимметрией лица, гемипарезом и задержкой менструального цикла [3].
Классический признак СДДМ — субтотальная или диффузная церебральная гемиатрофия при нейровизуализации. В то же время односторонняя очаговая атрофия иногда возможна в ножках мозга, а также в области таламуса и моста, парагиппокампальных областях. При визуализации головного мозга можно дополнительно выявить расширенные боковые желудочки и цистернальное пространство, утолщение свода черепа, ипсилатеральную костную гипертрофию с гиперпневматизацией пазух (особенно в лобных и сосцевидных клетках) и приподнятую височную кость [9]. Клинические признаки — контралатеральный гемипарез с поражением лицевого нерва, фокальные или генерализованные эпилептические приступы, умственная отсталость, нарушения обучения [9, 10].
Дифференциальную диагностику этого синдрома проводят с синдромом Штурге–Вебера, энцефалитом Расмуссена, синдромами Сильвера–Рассела и Фишмана. При этом большинство из них можно диагностировать с помощью тщательного клинического обследования и нейровизуализации [10].
Синдром Штурге–Вебера клинически характеризуется кожными мальформациями сосудов на лице, судорогами, глаукомой, умственной отсталостью и рецидивирующими приступами, напоминающими инсульт [11].
Энцефалит Расмуссена — хроническое прогрессирующее иммуноопосредованное расстройство у детей в возрасте от 6 до 8 лет, также характеризуется трудно курабельной фокальной эпилепсией и когнитивными дефектами с аналогичными показателями визуализации атрофии полушария, но изменений свода черепа при этом нет [12].
Синдром Сильвера–Рассела характеризуется классическим фенотипом лица (треугольное лицо, маленький заострённый подбородок, широкий лоб и тонкий широкий рот), малым ростом, клинодактилией, гемигипертрофией с нормальной окружностью головы и нормальным интеллектом [13].
Синдром Фишмана, или энцефалокраниокожный липоматоз, — редкий нейрокожный синдром, характеризующийся односторонней липомой мозга с липодермоидом глаза и обычно сопровождающийся приступами. Нейровизуализация, однако, показывает кальцинированную кору и гемиатрофию [14].
Литературные данные, касающиеся исследований пациентов с микрогирией, весьма скудны. Одно из крупных исследований проведено Hayashi и соавт. (2002). В результате ретроспективного анализа данных МРТ 71 больного выявлен и подтверждён ряд двусторонних полимикрогирий с указанием их относительной частоты [15].
Самое крупное исследование проведено R.J. Leventer и соавт. (2010) [16], изучившими результаты визуализации 328 пациентов с подробными клиническими данными, доступными в отношении 183 пациентов. В данном исследовании уставлено, что в 61% случаев полимикрогирия была перисильвианной, в 13% — генерализованной, в 5% — лобной, в 3% — парасагиттальной теменно-затылочной, а у 11% отмечена также перивентрикулярная гетеротопия серого вещества. В остальных 7% случаев выявлен ряд редких паттернов, многие из которых не были описаны ранее. Наиболее распространёнными клиническими последствиями были эпилептические припадки (78%), выраженная задержка развития (70%), спастичность (51%) и микроцефалия (50%).
Средний возраст на момент представления для всей когорты составлял 4 мес. Несмотря на то обстоятельство, что не было выявлено существенных различий между распространённостью эпилепсии при отдельных паттернах полимикрогирии, более ранний возраст дебюта приступа зафиксирован у пациентов с генерализованными и двусторонними формами. Кроме того, авторы определили девять редких и в основном новых паттернов полимикрогирии, включая мультифокальную полимикрогирию, полимикрогирию, связанную с синдромом Штурге–Вебера, и полимикрогирию в сочетании с глубокими расщелинами, не отвечающими критериям шизэнцефалии [16].
Таким образом, в настоящем исследовании приведены классические клинические особенности СДДМ и полимикрогирии с описанием их радиологических и электрофизиологических характеристик, подтверждающих диагноз. Безусловно, компьютерная томография и МРТ служат «золотым стандартом» в диагностике. Характеристики визуализации могут быть полезны для дифференциации различных типов полимикрогирии, которые могут проявляться как один из компонентов синдрома множественных врождённых аномалий или как отдельные пороки развития центральной нервной системы. При этом дальнейшее изучение, получение высококачественных изображений при нейровизуализации и их тщательный анализ могут способствовать повышению эффективности диагностики и лечения пациентов с данной патологией.
Авторы заявляют об отсутствии конфликта интересов по представленной статье.
About the authors
T M Nabiev
Azerbaijan Medical University
Email: melikova.shahla@mail.ru
Russian Federation, Baku, Azerbaijan
Sh Y Melikova
Azerbaijan Medical University
Author for correspondence.
Email: melikova.shahla@mail.ru
Russian Federation, Baku, Azerbaijan
References
- Shevchenko A.A. Congenital malformations of the cetral nervous system (CNS):clinical and neurological aspects and problems of prenatal diagnostics. Mezhdunarodnye obzory: klinicheskaya praktika i zdorovʹe. 2014; (2): 34–53. (In Russ.)
- Barkovich A.J., Dobyns W.B., Guerrini R. Malformations of cortical development and epilepsy. Cold Spring Harb. Perspect. Med. 2015; 5 (5): a022392. doi: 10.1101/cshperspect.a022392.
- Dyke C.G., Davidoff L.M., Masson C.B. Cerebral hemiatrophy and homolateral hypertrophy of the skull and sinuses. Surg. Gynecol. Obstet. 1933; 57: 588–600.
- Aguiar P.H., Liu C.W., Leitão H. et al. MR and CT imaging in the Dyke–Davidoff–Masson syndrome. Report of three cases and contribution to pathogenesis and differential diagnosis. Arq. Neuropsiquiatr.1998; 56: 803–807. doi: 10.1590/S0004-282X1998000500016.
- Singh P., Saggar K., Ahluwalia A. Dyke–Davidoff–Masson syndrome: classical imaging findings. J. Pediatr. Neurosci. 2010; 5: 124–125. doi: 10.4103/1817-1745.76108.
- Kalaskar R., Kalaskar A.R. Classical oral manifestations of Dyke–Davidoff–Masson syndrome: a case report with review of the literature. J. Korean. Assoc. Oral Maxillofac. Surg. 2018; 44 (4): 198–203. doi: 10.5125/jkaoms.2018.44.4.198.
- Barkovich A.J. Current concepts of polymicrogyria. Neuroradiology. 2010; 52 (6): 479–487. doi: 10.1007/s00234-009-0644-2.
- Belousova E.D., Zavadenko N.N., Kholin A.A., Sharkov A.A. Psychiatry of the future: an overview of foreign scientists opinions of the position of psychiatry in the modern world (2017). Zhurnal nevrologii i psikhiatrii im. S.S. Korsakova. 2017; 117 (7): 99–106. (In Russ.)
- Unal O., Tombul T., Cirak B. et al. Left hemisphere and male sex dominance of cerebral hemiatrophy (DDMS). Clin. Imaging. 2004; 28: 163–165. doi: 10.1016/S0899-7071(03)00158-X.
- Roy U., Panwar A., Mukherjee A., Biswas D. Adult presentation of Dyke–Davidoff–Masson syndrome: A case report. Case Rep. Neurol. 2016; 8 (1): 20–26. doi: 10.1159/000443521.
- Thomas-Sohl K.A., Vaslow D.F., Maria B.L. Sturge–Weber syndrome: a review. Pediatr. Neurol. 2004; 30: 303–310. doi: 10.1016/j.pediatrneurol.2003.12.015.
- Sheybani L., Schaller K., Seeck M. Rasmussen encephalitis: an update. Schweiz Arch. Neurol. Psychiatr. 2011; 162: 225–231. doi: 10.4414/sanp.2011.02298.
- Qiu B.P., Shi C.H. Silver–Russel syndrome: a case report. World J. Pediatr. 2007; 3: 68–70.
- Sharifi M., Namdari M. Encephalocraniocutaneous lipomatosis (Fishman syndrome): A rare neurocutaneous syndrome. J. Curr. Ophthalmol. 2016; 28 (3): 155–158. doi: 10.1016/j.joco.2016.06.004.
- Hayashi N., Tsutsumi Y., Barkovich A.J. Polymicrogyria without porencephaly/ schizencephaly. MRI analysis of the spectrum and the prevalence of macroscopic findings in the clinical population. Neuroradiology. 2002; 44: 647–55. doi: 10.1007/s00234-002-0793-z.
- Leventer R.J., Jansen A., Pilz D.T. et al. Clinical and imaging heterogeneity of polymicrogyria: a study of 328 patients. Brain. 2010; 133 (Pt. 5): 1415–1427. doi: 10.1093/brain/awq078.
Supplementary files





