Terlipressin as the element of medicamentous technique redicing blood loss in proximal resection of pancreatic head in a patient with extrahepatic form of portal hypertension as the outcome of chronic pancreatitis
- Authors: Borodenko EA1, Gureev AD1,2, Kolesnik IV1, Trukhanova IG1,2
-
Affiliations:
- Clinics of Samara State Medical University
- Samara State Medical University
- Issue: Vol 101, No 1 (2020)
- Pages: 102-106
- Section: Clinical observations
- Submitted: 08.02.2020
- Accepted: 08.02.2020
- Published: 11.02.2020
- URL: https://kazanmedjournal.ru/kazanmedj/article/view/19448
- DOI: https://doi.org/10.17816/KMJ2020-102
- ID: 19448
Cite item
Full Text
Abstract
The article presents a case of the use of medicamentous technique redicing blood loss with terlipressin — a long-acting synthetic analogue of antidiuretic hormone. This pharmaceutical drug causes constrictin of arterioles, veins and venules, which leads to the reduction of blood flow in the visceral organs and pressure reduction in the portal system. In our federal institution of healthcare, a patient with chronic pancreatitis complicated by segmentary portal hypertension and portal cavernoma underwent proximal resection of pancreatic head by C. Fray, placing of a longitudinal pancreatojejunoanastomosis and azigoportal disconnection. The description of this case is aimed at drawing attention to relatively new and developing methods of medicamentous technique redicing blood loss, which in combination with surgical methods allows reducing perioperative blood loss in upper abdominal surgeries.
Full Text
На сегодняшний день в хирургии сформировалась концепция «бескровных оперативных пособий», предусматривающая использование кровосберегающих технологий. В данный момент времени нет чётких рекомендаций о том, какие методы кровосбережения следует использовать при той или иной патологии. Проблема периоперационного снижения кровопотери мультидисциплинарная и зависит от врачей разных специальностей: хирургов, анестезиологов-реаниматологов и клинических трансфузиологов.
Технологии, ограничивающие интраоперационную кровопотерю, можно разделить на две группы: фармакологические и хирургические. К первым относятся нормоволемическая гемодилюция, управляемая артериальная гипотензия, селективное воздействие на звенья гемостаза (антифибринолитическая, заместительная терапия концентратами факторов и др.) и аппаратная реинфузия крови (Cell-Saver, C.A.T.S. и др.). К хирургическим аспектам кровосбережения относят навигационную («Autoplan» и т.д.) и прецизионную технику операции, использование гемостатических средств («Tachocomb», «SURGICEL», «Ethicon» и т.д.) и гемостатического инструментария (би- и монополярную коагуляцию, «LigaSure», «Harmonic» и т.д.), сосудистую изоляцию, предварительную афферентную эмболизацию и лигирование артерий, использование малоинвазивных вмешательств [1–3].
В последние годы во время хирургических вмешательств в качестве компонента кровосберегающих технологий всё большее распространение получает использование терлипрессина — синтетического аналога гормона задней доли гипофиза. Фармакологическое действие препарата проявляется сосудосуживающим действием на артериолы, венулы и вены висцеральных органов, что приводит к уменьшению их кровоснабжения, в том числе снижению портального кровотока и портального давления [4, 5].
У хирургических больных с кровотечениями из варикозно расширенных вен пищевода при портальной гипертензии установлен кровосберегающий эффект терлипрессина [6]. Достаточно часто течение хронического панкреатита осложняется развитием внепечёночной формы портальной гипертензии, которая в подавляющем числе случаев обусловлена компрессией воротной, верхней брыжеечной или селезёночной вен. Другой причиной сегментарной портальной гипертензии бывает тромбоз воротной вены и её притоков (селезёночной и/или верхней брыжеечной вен).
Патогенетически обоснованным способом оперативного лечения хронического панкреатита, осложнённого внепечёночной портальной гипертензией вследствие компрессии мезентерикопортального венозного ствола и/или селезёночной вены, служит проксимальная резекция с поперечным пересечением шейки поджелудочной железы. Любые операции на фоне выраженной кавернозной трансформации висцеральных вен органов брюшной полости сопряжены с обильной кровопотерей. Данный факт обязывает хирургов в обязательном порядке придерживаться прецизионной техники выполнения вмешательств и прибегать к методам кровосохраняющих технологий. Терлипрессин как медикаментозный элемент кровосберегающих технологий рекомендован при операциях на органах малого таза, резекциях печени, желудка и кишечника.
Приводим наш клинический опыт применения терлипрессина при проксимальной резекции поджелудочной железы на фоне хронического панкреатита, осложнённого сегментарной портальной гипертензией и портальной каверномой.
Пациент К. 40 лет поступил на лечение в 1-е хирургическое отделение Клиник СамГМУ в плановом порядке 01.04.2018 с диагнозом «Хронический калькулёзный панкреатит. Кальциноз поджелудочной железы. Сегментарная портальная гипертензия. Варикозное расширение вен желудка I степени. Тромбоз селезёночной и воротной вен, состояние полной реканализации. Портальная кавернома. Состояние после дренирования постнекротической парапанкреатической кисты».
При поступлении жалобы на периодические приступы опоясывающих болей в верхней половине живота, тошноту, дискомфорт в месте стояния дренажа.
В 2011 г. проходил стационарное консервативное лечение в Пензе с диагнозом «Хронический панкреатит, обострение». В результате лечения был достигнут положительный эффект.
31.12.2013 был экстренно госпитализирован в стационар Центральной районной больницы Пензы с диагнозом «Острый геморрагический панкреонекроз». Пациенту выполнены диагностическая лапароскопия и холецистэктомия, выписан в удовлетворительном состоянии после купирования болевого синдрома.
В октябре 2014 г. повторно был экстренно госпитализирован в тот же стационар с диагнозом «Острый панкреатит. Панкреонекроз в стадии гнойных осложнений. Флегмона забрюшинного пространства справа». Выполнены лапаротомия, оментобурсостомия, санация, дренирование забрюшинного пространства. Выписан в удовлетворительном состоянии.
В дальнейшем неоднократно проходил консервативное лечение в хирургическом стационаре Центральной районной больницы Пензы.
Весной 2017 г. в период очередной госпитализации выявлены киста поджелудочной железы, внутрипротоковая панкреатическая гипертензия, подпечёночная портальная гипертензия. Выполнено дренирование кисты под контролем ультразвука. Выписан с дренажом под наблюдение хирурга поликлиники. По дренажу сохранялось отделяемое в виде панкреатического сока.
Гемотрансфузионный анамнез: проведены многочисленные гемотрансфузии, единожды возникло коллаптоидное состояние после переливания одногруппной свежезамороженной плазмы.
При поступлении общее состояние средней тяжести. Кожные покровы телесной окраски, видимые слизистые оболочки бледно-розовые. В лёгких дыхание везикулярное, хрипы не выслушиваются, частота дыхания 18 в минуту. Тоны сердца ясные, ритм правильный, пульс 78 в минуту, частота сердечных сокращений 79 в минуту. Артериальное давление 130/70 мм рт.ст. Симптом поколачивания почечной области отрицательный с обеих сторон. Мочеиспускание самостоятельное, диурез достаточный. Язык влажный. Живот не вздут, мягкий, незначительно болезненный в месте стояния дренажа кисты в области правого подреберья. По дренажу отходит скудное количество мутного отделяемого. Перистальтика выслушивается. Печень у края рёберной дуги, селезёнка не пальпируется. Симптомы раздражения брюшины отрицательные.
Лабораторные показатели на момент поступления.
Общий анализ крови: лейкоциты 6,1×109/л, эритроциты 4,63×1012/л, гемоглобин 131 г/л, гематокрит 39,2%, тромбоциты 152×109/л.
Биохимический анализ крови: общий белок 68,3 г/л, альбумин 43,4 г/л, билирубин общий 12,3 мкмоль/л, мочевина 4,6 ммоль/л, креатинин 76,7 мкмоль/л, глюкоза 7,6 ммоль/л, K+ 4,26 ммоль/л, Na+ 138 ммоль/л, Cl– 101 ммоль/л.
Гемостазиограмма: протромбин (по Квику) 94%, международное нормализованное отношение 1,03, активированное частичное тромбопластиновое время (кефалиновый фактор) 35,5 с.
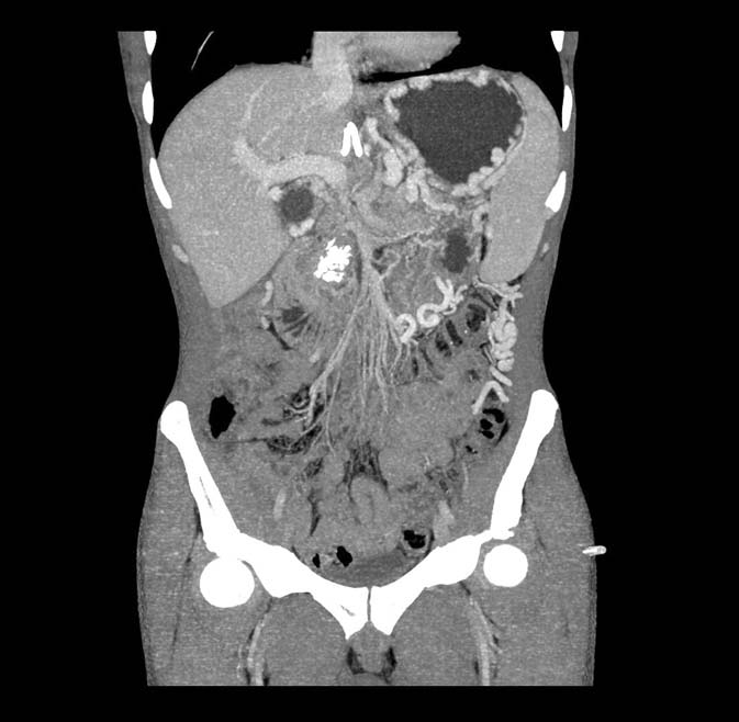
Мультиспиральная компьютерная томография органов брюшной полости и забрюшинного пространства: «Псевдотуморозный калькулёзный хронический панкреатит. Постнекротические псевдокисты головки поджелудочной железы. Забрюшинно-панкреатический трубчатый свищ. Признаки флеботромбоза верхней брыжеечной и селезёночной вен, признаки портальной гипертензии, многочисленные портокавальные анастомозы» (рис. 1, 2).
Рис. 1. Компьютерная томограмма органов брюшной полости
Рис. 2. 3D-реконструкция портальной каверномы по данным компьютерной томографии
После дополнительного обследования установлен диагноз: «Хронический калькулёзный панкреатит. Протоковая гипертензия. Кистозная трансформация головки поджелудочной железы. Тромбоз воротной и селезёночной вен в стадии частичной реканализации. Портальная кавернома. Секторальная портальная гипертензия, левосторонний тип. Варикозно расширенные вены пищевода и желудка II–III степени Наружный панкреатический свищ. Состояние после дренирования постнекротической парапанкреатической кисты».
05.04.2018 пациенту были выполнены проксимальная резекция головки поджелудочной железы по C. Fray, наложение продольного панкреатоеюноанастомоза, азигопортальная дисконнекция по типу M. Hassab под сочетанной (общей комбинированной эндотрахельной многокомпонентной и эпидуральной) анестезией (рис. 3). Выполнена верхнесрединная лапаротомия с иссечением старого послеоперационного рубца. В брюшной полости выраженный спаечный процесс, преимущественно в верхнем этаже, кавернозная трансформация вен желудка, печёночно-дуоденальной и желудочно-ободочной связок. Из сращений выделены правая доля печени и передняя поверхность поджелудочной железы до крючковидного отростка. В теле железы по передней стенке визуализирован точечный дефект, сообщающийся с главным панкреатическим протоком. После пункции и вскрытия главного панкреатического протока V-образно иссечена паренхима передней стенки железы со свищевым ходом до головки, выполнена резекция головки по технике «cored out». Сформированы панкреатоеюноанастомоз и терминолатеральный анастомоз. Выполнена азигопортальная дисконнекция по M. Hassab.
Рис. 3. Схема операции: 1 — варикозно расширенные вены желудка; 2 — поджелудочная железа; 3 — дренажи к панкреатоеюноанастомозу; 4 — дренаж в подпечёночное пространство; 5 — панкреатоеюноанастомоз; 6 — межкишечный анастомоз (Roux-en-Y)
Учитывая наличие рубцовых изменений передней брюшной стенки, инфильтративный и спаечный процессы в забрюшинном пространстве и брюшной полости, выраженную кавернозную трансформацию сосудов печени и органов брюшной полости, а также отягощённый гемотрансфузионный анамнез, прогнозировались сложности с доступом в брюшную полость, возможность массивной кровопотери.
С целью профилактики кровотечения были применены следующие кровосберегающие технологии: хирургические — навигационная («Autoplan») и прецизионная техника, применение бинокулярной оптики, гемостатическая коагуляция «Harmonic»; медикаментозные — терлипрессин в дозе 1000 мкг внутривенно струйно.
Препарат был введён через 10 мин после выполнения лапаротомии. Через 4 мин после окончания введения было отмечено выраженное снижение напряжения кавернозно-трансформированных вен брыжейки, желудка, двенадцатиперстной кишки, а также уменьшение диффузной кровоточивости. Систолическое артериальное давление поддерживалось на уровне 90–100 мм рт.ст., и значимого повышения зарегистрировано не было.
В процессе анестезии проведена инфузионная терапия в следующем объёме: 2000 мл водного сложного раствора (калия хлорид + магния хлорид + натрия ацетат + натрия глюконат + натрия хлорид) и 500 мл 130/0,42 гидроксиэтилкрахмала. Получен диурез по мочевому катетеру в объёме 1000 мл. Инфузионную терапию проводили под контролем центрального венозного давления. Общая кровопотеря составила не более 150 мл (гравиметрический способ оценки).
После окончания операции пациент был разбужен на операционном столе, экстубирован, переведён для дальнейшего лечения в отделение реанимации и интенсивной терапии. На следующие сутки передан в профильное отделение, где продолжились лечение и реабилитация.
Таким образом, спектр кровосберегающих технологий, помимо хирургической техники, расширяется за счёт внедрения новых фармакологических агентов. Выбор методов кровосохраняющих технологий, как правило, зависит от вида патологического процесса, объёма хирургического пособия, общего состояния пациента и других факторов. Хочется подчеркнуть, что появление препаратов с новыми свойствами, подобных терлипрессину, расширяет спектр методов кровосбережения. Назначение препаратов аналогичного действия не противопоставляется существующим методам, а дополняет их, что позволяет успешно проводить более сложные хирургические вмешательства у пациентов с исходным неблагоприятным соматическим статусом.
Авторы заявляют об отсутствии конфликта интересов по представленной статье.
About the authors
E A Borodenko
Clinics of Samara State Medical University
Author for correspondence.
Email: kate1304@yandex.ru
Russian Federation, Samara, Russia
A D Gureev
Clinics of Samara State Medical University; Samara State Medical University
Email: kate1304@yandex.ru
Russian Federation, Samara, Russia; Samara, Russia
I V Kolesnik
Clinics of Samara State Medical University
Email: kate1304@yandex.ru
Russian Federation, Samara, Russia
I G Trukhanova
Clinics of Samara State Medical University; Samara State Medical University
Email: kate1304@yandex.ru
Russian Federation, Samara, Russia; Samara, Russia
References
- Vachev A.N., Trukhanova I.G., Gureev A.D. Method for prevention of diffuse intra- and postoperative blood loss during reconstruction of the aortoiliac segment. Patent for invention RF №2540923. Bulletin №4 issued on 10.02.2015. (In Russ.)
- Kolsanov A.V., Katorkin S.E., Zel’ter P.M. et al. Virtual planning in abdominal surgery: experience of the use of surgery of the liver, spleen and pancreas. Klinicheskaya i eksperimentalʹnaya khirurgiya. Zhurnal imeni akademika B.V. Petrovskogo. 2017; (1): 31–36. (In Russ.)
- Kuznetsov N.A. Modern technologies for the treatment of acute blood loss. Consilium Medicum. 2003; (6): 347–357. (In Russ.)
- Levacher S., Letoumelin P., Pateron D. et al. Early administration of terlipressin plus glyceryl trinitrate to control active upper gastrointestinal bleeding in cirrhotic patients. Lancet. 1995; 346 (8979): 865–868. doi: 10.1016/s0140-6736(95)92708-5.
- Pasechnik I.N., Salʹnikov P.S. Bleeding from the varicose veins of the esophagus and stomach in liver cirrhosis. Khirurgiya. 2013; (8): 76–80. (In Russ.)
- Pasechnik I.N., Skobelev E.I. Blood saving technologies in surgery: new opportunities. Effektivnaya farmakoterapiya. 2015; (1): 36–40. (In Russ.)
Supplementary files






