Efficacy and safety of endovascular image-guided treatment of pseudoaneurysms of the celiac artery: clinical and organizational aspects
- Authors: Goloshchapov-Aksenov RS1,2, Kicha DI2, Frolov SK1, Gurin AV1
-
Affiliations:
- Scientific Clinical Center of JCS Russian Railways
- Peoples’ Friendship University of Russia, RUDN University
- Issue: Vol 100, No 5 (2019)
- Pages: 840-843
- Section: Clinical experiences
- Submitted: 11.10.2019
- Accepted: 11.10.2019
- Published: 14.10.2019
- URL: https://kazanmedjournal.ru/kazanmedj/article/view/16400
- DOI: https://doi.org/10.17816/KMJ2019-840
- ID: 16400
Cite item
Full Text
Abstract
Aim. To present the immediate results of the assessment of the effectiveness and safety of the use of endovascular technologies for the treatment of hemorrhagic complications of pseudoaneurysms of the visceral branches of the abdominal aorta, to offer organizational technologies for the provision of medical care to patients with gastrointestinal bleeding associated with pseudoaneurysms of the visceral arteries.
Methods. Endovascular image-guided treatment was performed in 12 patients with pseudoaneurysms of the branches of the celiac trunk. Mean age 54±6.6 years, patients were hospitalized urgently due to ongoing or recurrent gastrointestinal bleeding, severe anemia, with blood hemoglobin level of <80 g/l. The diagnosis of pseudoaneurysm of the visceral artery was established by computed tomography-angiography. The sizes of pseudoaneurysms varied from 12 to 54 mm in diameter. Endovascular surgery was performed on the first day of hospitalization. In all cases, the stent-graft was implanted into the gastrointestinal or splenic artery into pseudoaneurysm ostium. The average follow-up period was 35±2.2 days.
Results. Endovascular surgery was performed 28±6.3 hours after making a diagnosis, 2 hours after in-hospital admission. The effectiveness and safety of endovascular treatment was 100% and included stopping the ongoing gastrointestinal bleeding and prevention of its recurrence. Hospital stay of patients was 5 days. The effectiveness stent-graft implantation was confirmed by control angiography. There were no hemorrhagic and embolic complications during follow-up.
Conclusion. Endovascular image-guided treatment and prevention of gastrointestinal bleeding in patients with pseudoaneurysms of the branches of the celiac trunk is an effective and safe method; it is necessary to further improve the organization of endovascular care in order to make it more available to the population and to provide effective care in time in case of development of life-threatening diseases and complications.
Full Text
Лечение пациентов с ложными аневризмами висцеральных артерий — актуальная проблема медицины и здравоохранения. Частота ложных аневризм ветвей брюшной аорты по данным различных авторов составляет 0,1–2%. Разрывы ложных аневризм артерий органов брюшной полости возникают у 75–90% больных и сопровождаются высокой летальностью, достигающей 90% [1, 2].
Большинство пациентов госпитализируют с признаками продолжающего или рецидивирующего желудочно-кишечного кровотечения. Диагноз ложной аневризмы устанавливают с помощью компьютерной томографической или прямой ангиографии [3].
Для лечения применяют хирургические (аневризмэктомия, спленэктомия) и рентгенэндоваскулярные (эмболизация аневризмы спиралями, окклюдерами или с использованием клея N-бутил-2-цианкрилата; имплантация самораскрывающихся стентов или стентов-графтов) методы [4].
Эффективность рентгенэндоваскулярного лечения описана в работах разных авторов, однако продолжающееся желудочно-кишечное кровотечение нередко приводит к смерти больных, несмотря на проведённую операцию [1, 2, 4, 5]. Осложнения рентгенэндоваскулярных процедур возникают в 4–6% случаев и заключаются в развитии ишемических поражений органов брюшной полости, разрыве артерий, забрюшинном кровотечении [4].
В статье представлены результаты лечения больных с ложными аневризмами ветвей чревного ствола, эффективность и безопасность применения рентгенэндоваскулярных технологий для лечения геморрагических осложнений ложных аневризм висцеральных ветвей брюшного отдела аорты, предложены организационные технологии оказания медицинской помощи больным с желудочно-кишечными кровотечениями, связанными с деструктивными поражениями висцеральных артерий.
В исследование вошли 12 пациенток, которые были госпитализированы в экстренном порядке с диагнозом продолжающееся или рецидивирующее желудочно-кишечное кровотечение, постгеморрагическая анемия тяжёлой степени. Концентрация гемоглобина крови у всех пациенток была менее 80 г/л (68±7,4 г/л). Средний возраст больных составил 54±6,6 года. В табл. 1 представлены характеристики пациенток, которые вошли в исследование.
Таблица 1. Характеристики пациенток, вошедших в исследование
Характеристики | Количество пациенток (n=12) |
Пол женский/мужской | 12/0 |
Возраст, годы | 54±6,6 |
Локализация ложной аневризмы: желудочно-двенадцатиперстная артерия/селезёночная артерия | 10/2 |
Продолжающееся/рецидивирующее желудочно-кишечное кровотечение | 11/1 |
Перенесённый в анамнезе деструктивный панкреатит | 12 |
Рентгенэндоваскулярная технология лечения: имплантация стента-графта в зоне дефекта висцеральной артерии | 12 |
Пациентки были переведены в медицинский центр из других медицинских организаций с установленным диагнозом и причиной желудочно-кишечного кровотечения, после дистанционной консультации сердечно-сосудистого хирурга. Состояние при госпитализации у всех пациенток расценено как тяжёлое. Причиной желудочно-кишечного кровотечения была ложная аневризма ветвей чревного ствола. В табл. 1 показано, что у 10 пациенток диагностирована ложная аневризма желудочно-двенадцатиперстной артерии, у 2 — ложная аневризма селезёночной артерии. Диагноз был установлен при компьютерной томографической ангиографии брюшной полости. На рис. 1 представлена компьютерная ангиограмма брюшного отдела аорты, на которой стрелкой указана ложная аневризма желудочно-двенадцатиперстной артерии.
Рис. 1. Компьютерная ангиограмма брюшного отдела аорты. Стрелкой указана ложная аневризма желудочно-двенадцатиперстной артерии
11 пациенток госпитализированы с продолжающимся желудочно-кишечным кровотечением, 1 — с рецидивирующим. Размеры ложных аневризм варьировали от 12 до 54 мм в диаметре. Все пациентки в анамнезе болели острым деструктивным панкреатитом.
Учитывая тяжёлое состояние пациенток, для остановки продолжающегося желудочно-кишечного кровотечения и профилактики рецидивов у всех больных предпринята рентгенэндоваскулярная стратегия лечения. Рентгенэндоваскулярная технология лечения заключалась в имплантации стента-графта в желудочно-двенадцатиперстную или селезёночную артерию, в области шейки аневризмы с целью выключения ложной аневризмы из системного кровотока.
Рентгенэндоваскулярную операцию выполняли в 1-е сутки госпитализации, использовали бедренный доступ по Сельдингеру, анестезия была местная 0,25% раствором прокаина (новокаина), размер инструментов 6 френч.
Критериями эффективности лечения были прекращение контрастирования полости аневризмы при контрольной ангиографии и отсутствие рецидивов желудочно-кишечного кровотечения в течение 30 сут после рентгенэндоваскулярной процедуры, критериями безопасности — отсутствие разрыва аневризмы, окклюзии ветвей общей печёночной артерии стентом-графтом или тромбоза ветвей чревного ствола, смерть. Средние сроки наблюдения за пациентками составили 35±2,2 сут.
Рентгенэндоваскулярное лечение успешно провели всем пациенткам. Сроки выполнения рентгенэндоваскулярной операции с момента установки диагноза составили 28±6,3 ч, с момента госпитализации в наш стационар — 2 ч. Перевод больных из других медицинских организаций в больницу и задержка более 24 ч выполнения эффективного лечения были связаны с отсутствием отделения рентгенохирургических методов диагностики и лечения в клинике, где был установлен диагноз.
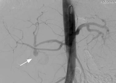
Эффективность рентгенэндоваскулярного лечения, заключающаяся в остановке продолжающегося желудочно-кишечного кровотечения и профилактике его рецидивов, составила 100%. Эффективность имплантации стентов-графтов подтверждена с помощью контрольной ангиографии. На рис. 2 и 3 представлены фотографии ангиограмм брюшного отдела аорты и ангиографические результаты имплантации стента-графта в желудочно-двенадцатиперстную артерию в области шейки ложной аневризмы.
Рис. 2. Ангиограмма брюшного отдела аорты. Стрелкой указана ложная аневризма желудочно-двенадцатиперстной артерии
Рис. 3. Ангиограмма желудочно-двенадцатиперстной артерии. Стрелкой указан стент-графт, имплантированный в желудочно-двенадцатиперстную артерию, ложная аневризма не контрастируется, ветви собственной печёночной артерии проходимы
Конечных точек безопасности (разрыва аневризмы, окклюзии ветвей общей собственной печёночной артерии стентом-графтом или тромбоза ветвей чревного ствола, а также смертей больных) не было. Пациенток выписывали на 5-е сутки лечения. В течение 30 сут после стентирования рецидивов желудочно-кишечного кровотечения не было, все пациентки живы.
Рентгенэндоваскулярные лечение и профилактика желудочно-кишечных кровотечений у больных с ложными аневризмами ветвей чревного ствола служат эффективными и безопасными методами. Пациенты с геморрагическими осложнениями ложных аневризм висцеральных артерий представляют группу высокого риска летального исхода. При установке диагноза «ложная аневризма висцеральной артерии с развившимся желудочно-кишечным кровотечением» необходимо как можно более быстрое выполнение экстренной рентгенэндоваскулярной операции для «выключения» аневризмы из системного кровотока.
Дальнейшая организация рентгенэндоваскулярной помощи должна быть направлена на её приближение к населению для своевременного оказания эффективной помощи при развитии опасных для жизни заболеваний и осложнений. Дальнейшее наблюдение за пациентами после лечения позволит дать объективную оценку эффективности рентгенэндоваскулярного вмешательства в лечении желудочно-кишечных кровотечений, связанных с ложными аневризмами висцеральных ветвей брюшного отдела аорты.
Авторы заявляют об отсутствии конфликта интересов по представленной статье.
About the authors
R S Goloshchapov-Aksenov
Scientific Clinical Center of JCS Russian Railways; Peoples’ Friendship University of Russia, RUDN University
Email: kicha_di@pfur.ru
SPIN-code: 7768-7460
Russian Federation, Moscow, Russia; Moscow, Russia
D I Kicha
Peoples’ Friendship University of Russia, RUDN University
Author for correspondence.
Email: kicha_di@pfur.ru
SPIN-code: 5622-0128
Russian Federation, Moscow, Russia
S K Frolov
Scientific Clinical Center of JCS Russian Railways
Email: kicha_di@pfur.ru
Russian Federation, Moscow, Russia
A V Gurin
Scientific Clinical Center of JCS Russian Railways
Email: kicha_di@pfur.ru
Russian Federation, Moscow, Russia
References
- Gehlen J.M., Heeren P.A., Verhagen P.F. Visceral artery aneurisms. Vasc. Endovasc. Surg. 2011; 45: 681–687. doi: 10.1177/1538574411418129.
- Tulsyan N., Kashyap V.S., Greenberg R.K. et al. The endovascular management of visceral artery aneurysms and pseudoaneurysms. An. Vasc. Surg. 2007; 45 (2): 276–283. doi: 10.1016/j.jvs.2006.10.049.
- Awais M., Rehman A., Baloch N.U. Multiplanar computed tomography of vascular etiologies of acute abdomen: A pictorial review. Cureus. 2018; 10 (3): e2393. doi: 10.7759/cureus.2393.
- Tsygankov V.I., Frantsevich A.M., Varava A.B. Endovascular treatment of patients with visceral artery aneurysms. Mezhdunarodnyy zhurnal interventsionnoy kardioangiologii. 2013; (35): 84. (In Russ.)
- Batagini N.C., El-Arousy H., Clair D.G., Kirksey L. Open versus endovascular treatment of visceral artery aneurysms and pseudoaneurysms. Ann. Vasc. Surg. 2016; 35: 1–8. doi: 10.1016/j.avsg.2016.01.035.
Supplementary files






