A case of open surgical treatment of staghorn calculus in a patient with factor VII deficiency
- Authors: Imamverdiev SB1, Talybov TA1, Gadimova EA2, Talybova MZ3
-
Affiliations:
- Azerbaijan Medical University
- Azerbaijan State Advanced Training Institute for Doctors n.a. A. Aliyev
- Azerbaijan Republican Hospital n.a. M.A. Mirgasymov
- Issue: Vol 100, No 5 (2019)
- Pages: 828-832
- Section: Clinical observations
- Submitted: 10.10.2019
- Accepted: 10.10.2019
- Published: 14.10.2019
- URL: https://kazanmedjournal.ru/kazanmedj/article/view/16388
- DOI: https://doi.org/10.17816/KMJ2019-828
- ID: 16388
Cite item
Full Text
Abstract
The paper presents a clinical case of treatment of staghorn nephrolithiasis complicated in the postoperative period by bleeding caused by a latent deficiency of factor VII of the blood coagulation system. Often the disease is latent and is detected in serious injuries or during the surgeries. Sometimes the diagnosis is made in profuse bleeding. Under endotracheal anesthesia, the left-sided nephrolithotomy and intrarenal stenting with clamping of the renal artery was performed. The time of clamping of the renal artery was 12 minutes. Before clamping the renal artery, 3 mg of furosemide 0.2 mg of verapamil and 1 mg of methylethylpiridinol were introduced intravenously per kilogram of patient' weight. A stone sized 3.0×2.5 cm was removed from the kidney, and a number of small stones were washed out from the lower group of calyces. At the time of diagnosis, prothrombin time and prothrombin index were checked. The patient's hemostasis system, including clotting factors, were examined. The results showed that the patient's blood clotting time by Lee–White method increased to 15 minutes (reference, 7–13 minutes), and the time of activated partial thromboplastin time (aPTT) to 41.6 seconds (reference, 28–38 seconds), while the activity of factor VII decreased to 40% (reference, 70–120%). After that, the patient was diagnosed with factor VII deficiency or hypoproconvertinemia. During treatment, the patient was transfused twice a day with fresh frozen plasma and only once during the entire period, 1000 IU of antiinhibitoty coagulant complex (FEIBA) was administered intravenously. From the first day of treatment hematuria decreased, there was a reverse development of hemorrhagic syndrome. Obvious and latent comorbidities before and after the surgery should not be left out without attention. Only in this case it is possible to successfully complete the treatment and achieve the correct results.
Full Text
Мочекаменная болезнь (МКБ), будучи одной из самых актуальных проблем современной медицины, занимает второе место во всём мире после воспалительных заболеваний мочевых путей. 30–40% урологических заболеваний выпадает на долю МКБ, которая встречается во всех возрастных группах, а в 65–70% случаев — у трудоспособных людей в возрасте 35–55 лет [1, 2].
Коралловидный нефролитиаз (КН) — одна из самых тяжёлых форм МКБ. Частота КН в структуре МКБ составляет 3–30%, а в структуре всех урологических заболеваний — 6–7% [1, 3].
Следует отметить, что КН во всех случаях сопровождается рядом сопутствующих заболеваний и вторичных осложнений. Всё это усложняет ход послеоперационного периода независимо от выбранной тактики хирургического лечения. Частота случаев смерти после операции у урологических больных увеличиваются в 2 раза при одном сопутствующем заболевании, в 4 раза — при двух, в 14 раз — при трёх [4].
В представленной работе исследованы причины гематурии после хирургического лечения КН.
Больной Г.С., мужчина 25 лет, история болезни №14 395, поступил 27.10.2017 в урологическое отделение с жалобами на тошноту, общую слабость и боль в поясничной области. По его словам, он уже 10 лет страдает двусторонним нефролитиазом.
Общий анализ крови: гемоглобин 115 г/л, лейкоциты 6,2×109/л, скорость оседания эритроцитов 5 мм/ч.
Биохимический анализ крови: креатинин 110 мкмоль/л, мочевина 6,1 моль/л.
Общий анализ мочи: реакция кислая, удельный вес 1015, лейкоциты покрывают всё поле зрения.
Коагулограмма: время свёртывания по Ли–Уайту 5 мин, протромбиновый индекс 96%, фибриноген 3,99 г/л, гематокрит 0,44–0,46.
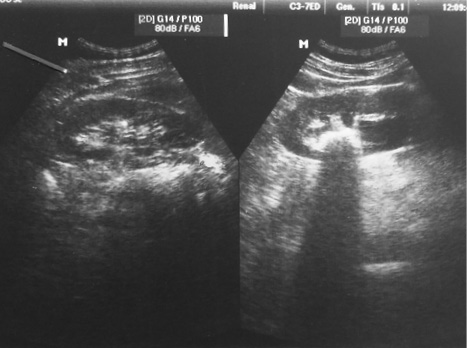
Ультразвуковое исследование. Размеры правой почки 106×39 мм, толщина паренхимы 17 мм, чашечно-лоханочная система (ЧЛС) не расширена. В нижней чашке обнаружен конкремент размером 6 мм, в средней — размером 5 мм. Размеры левой почки 112×47 мм, толщина паренхимы 15 мм, ЧЛС резко расширена. Обнаружены тени, присущие коралловидному камню, размерами 2,5×2,5 см в лоханке и 1,0×1,0 см в нижней чашке (рис. 1).
Рис. 1. Пациент Г.С. Данные ультразвукового исследования
Экскреторная урография. На обзорной урограмме в проекции левой почки на уровне позвонков ThXII–LIII видны тени (КН) размером 2,5×2,5 см, охватывающие всю лоханку и шейку чашек, а также множественных мелких камней разных размеров в нижней группе чашек. В проекции правой почки нет теней, подозрительных на камень (рис. 2, а).
Рис. 2. Пациент Г.С. Данные экскреторной урографии (ЭУ): а — обзорная урограмма; б — ЭУ на 15-й минуте; в — ЭУ на 30-й минуте; г — ЭУ на 60-й минуте
На экскреторной урограмме, снятой на 15-й минуте, видно накопление контрастного вещества в обеих почках. На обеих сторонах внутрипочечная лоханка, ЧЛС справа в норме, а слева — резко расширена. Левый мочеточник не визуализируется (рис. 2, б).
На экскреторной урограмме, снятой на 30-й минуте, функционирование правой почки удовлетворительное. Мочеточник визуализируется местами. ЧЛС слева резко расширена, левый мочеточник не визуализируется (рис. 2, в).
На урограмме, снятой через час, левая почка полностью опорожнена. ЧЛС слева не опорожняется. Визуализируется верхняя треть мочеточника (рис. 2, г).
Клинический диагноз: «Левосторонний КН, гидронефротическая трансформация II–III степени. Хронический пиелонефрит».
30.10.2017 под эндотрахеальным наркозом проведены левосторонняя нефролитотомия и внутрипочечное стентирование с пережатием почечной артерии. Время пережатия артерии составило 12 мин. Перед пережатием почечной артерии на каждый килограмм массы тела больного внутривенно было введено 3 мг фуросемида, 0,2 мг верапамила и 1 мг метилэтилпиридинола. После снятия зажима с почечной артерии эту процедуру вновь повторили [5, 6].
Из почки удалён камень размером 3,0×2,5 см, а из нижней группы чашек вымыванием удалено множество мелких камней (рис. 3).
Рис. 3. Пациент Г.С.: а — камень, удалённый из почки; б — обзорная урограмма после операции, в левой почке не обнаружена тень камня
В течение 5 дней после операции продолжали антиишемическое лечение. Следует отметить, что во время операции не было заметного кровотечения.
На 1-й день у больного была обнаружена гематурия, оценённая как послеоперационная (после нефротомии). Пациенту назначено интенсивное консервативное лечение с применением коагулянтов. Несмотря на проведённое лечение, гематурия продолжилась, общее состояние больного ухудшилось. На следующий день после операции уровень гемоглобина в крови больного составлял 110 г/л, а через 8 дней уменьшился до 72 г/л. Несмотря на продолжительное лечение коагулянтами, время свёртывания крови увеличилось до 15 мин. Больному 2 раза была перелита одногруппная [0 (I), Rh+] эритроцитарная масса по 250 мл. Несмотря на проведённое лечение, гематурия продолжалась. Отметим, что в послеоперационные дни из забрюшинного дренажа выделений не было.
Думая, что причиной кровотечения может быть стент в левой почке, на 15-е сутки после операции его удалили под внутривенной анестезией, а из мочевого пузыря удалили множество сгустков. Однако даже после этого гематурия продолжилась, скопились сгустки в мочевом пузыре. В связи с этим в мочевой пузырь установлен 3-канальный катетер Фолея, проведена непрерывная ирригация с изотоническим раствором натрия хлорида.
Родные больного строго настаивали на удалении почки. Несмотря на давление и настойчивость пациента и его родных, повторное обследование мочевых путей подтвердило, что в операции нет необходимости. Учитывая общее состояние больного и противоположные изменения в системе гемостаза на фоне лечения коагулянтами, проведена консультация гематологом.
Была обследована система гемостаза больного, в том числе факторы свёртывания. Результаты показали, что время свёртывания крови больного по методу Ли–Уайта увеличилось до 15 мин (норма 7–13 мин), а активированное частичное тромбопластиновое время — до 41,6 с (норма 28–38 с), в то же время активность VII фактора уменьшилась до 40% (норма 70–120%). После этого больному был поставлен диагноз: «Дефицит VII фактора, или гипопроконвертинемия».
Во время лечения пациенту 2 раза в день переливали свежезамороженную плазму и 1 раз за весь период внутривенно ввели антиингибиторный коагулянтный комплекс (Фейбу) в дозе 1000 МЕ. С 1-го дня такого лечения гематурия уменьшилась, произошло обратное развитие геморрагического синдрома. На 3-и сутки гематурия полностью прекратилась, общее состояние больного нормализовалось. После этого больной был выписан домой в удовлетворительном состоянии. На данный момент его состояние нормальное, гематурия отсутствует, гемоглобин в крови 112 г/л.
Дефицит VII фактора, или гипопроконвертинемия, — наследственная коагулопатия, передаваемая аутосомно-рецессивным путём. Её частота составляет 0,2–1% всех наследственных коагулопатий. Этот фактор синтезируется в печени с участием витамина K. Его синтез регулируется геном, расположенным в 13-й хромосоме.
Клинически болезнь выражается геморрагическим синдромом. Наблюдаемый в это время геморрагический диатез — единственный, когда в крови увеличивается только изолированное протромбиновое время. В результате протромбиновый индекс уменьшается. Другие показатели в коагулограмме абсолютно не меняются, остаются в пределах нормы.
Часто болезнь протекает скрыто, выявляется при серьёзных травмах или во время операций. Иногда возникают профузные кровотечения. При установлении диагноза проверяют протромбиновое время и протромбиновый индекс. После этого при необходимости определяют активность VII фактора в крови. В норме активность VII фактора-проконвертина в плазме крови составляет 70–120% [7].
Итак, учитывая признаки болезни и результаты проведённого лечения, у наблюдаемого нами больного симптомы и результаты обследования совпадают, то есть при лабораторных исследованиях до операции в коагулограмме больного не было заметных серьёзных изменений. Только геморрагический синдром, появившийся после операции, позволил выявить болезнь. На фоне правильно назначенного лечения геморрагический синдром был устранён, состояние больного нормализировалось, и он был выписан домой в удовлетворительном состоянии.
Следует отметить, что дефицит VII фактора очень редко встречается на практике. Если такой случай останется вне внимания хирурга, на фоне развивающегося геморрагического синдрома состояние больного постепенно ухудшится, и это даже может привести к повторной операции с потерей органа. А это в свою очередь может минимизировать результаты проведённой на высшем уровне органосохраняющей операции и снизить трудоспособность пациента. Явные и скрытые сопутствующие болезни до и после операции по мере возможности не должны оставаться вне внимания. Только в этом случае можно успешно завершить лечение и добиться правильных результатов.
Авторы заявляют об отсутствии конфликта интересов по представленной статье.
About the authors
S B Imamverdiev
Azerbaijan Medical University
Email: nauchnayastatya@yandex.ru
Azerbaijan, Baku, Azerbaijan
T A Talybov
Azerbaijan Medical University
Author for correspondence.
Email: nauchnayastatya@yandex.ru
Azerbaijan, Baku, Azerbaijan
E A Gadimova
Azerbaijan State Advanced Training Institute for Doctors n.a. A. Aliyev
Email: nauchnayastatya@yandex.ru
Azerbaijan, Baku, Azerbaijan
M Z Talybova
Azerbaijan Republican Hospital n.a. M.A. Mirgasymov
Email: nauchnayastatya@yandex.ru
Azerbaijan, Baku, Azerbaijan
References
- Lopatkin N.A. Urologiya. Natsional'noe rukovodstvo. (Urology. National guide.) Moscow: GEOTAR-Media. 2009; 1024 р. (In Russ.)
- Gadzhiev N.K., Brovkin S.S., Grigor'ev V.Ye. et al. Metaphylaxis of urolithiasis: new view, modern approach, implementation in a mobile application. Urologiya. 2017; (1): 124–129. (In Russ.)
- Kochkin A.D., Martov A.G., Sevryukov F.A. et al. Initial experience of laparoscopic anatrophic nephrolithotomy. Urologiya. 2016; (3): 112–116. (In Russ.)
- Gorilovskiy L.M. Our experience in pre- and postoperative management of elderly and senile patients with urological surgery. Terapevticheskiy arkhiv. 1995; 67 (10): 51–53. (In Russ.)
- Imamverdiyev S.B., Mamedov R.N. The emoxipin in the integrated pharmacological protection of kidneys from ischemic and operating stress. Urologiya. 2003; (5): 40–42. (In Russ.)
- Mamayev A.N. Prakticheskaya gemostaziologiya. Rukovodstvo dlya vrachey. (Practical hemostasiology. A guide for physicians.) Moscow: Prakticheskaya meditsina. 2014: 233. (In Russ.)
- Gadimova E.A., Yusifova N.Ya., Kyazimova M.M., Alizade G.A. Nasledstvennye koagulopatii — gemofiliya i bolezn' Villebranda. (Hereditary coagulopathy — hemophilia and Willebrand disease.) Baku. 2011; 53 р. (In Russ.)
Supplementary files






