Clinical case of destructive pulmonary tuberculosis combined with laryngeal tuberculosis
- Authors: Naumov AG1, Boronin KA1, Bokova KV1, Zherebyat'eva NS1, Zhukova EV1, Konygina KS1, Sukhova OA1
-
Affiliations:
- Privolzhsky Research Medical University
- Issue: Vol 100, No 4 (2019)
- Pages: 706-709
- Section: Clinical observations
- Submitted: 31.07.2019
- Accepted: 31.07.2019
- Published: 31.07.2019
- URL: https://kazanmedjournal.ru/kazanmedj/article/view/15560
- DOI: https://doi.org/10.17816/KMJ2019-706
- ID: 15560
Cite item
Full Text
Abstract
Timely detection of tuberculosis among the population, both pulmonary and, especially, extrapulmonary, is a priority task of domestic and foreign health care. Often, extrapulmonary forms of tuberculosis mask various other pathologies. For example, laryngeal tuberculosis may be masked as a malignant neoplasm or occur as a nonspecific lesion. The purpose of the article is to attract the attention of medical specialists to the problem of diagnosing tuberculosis on the example of a clinical case of a patient with combined pulmonary and laryngeal tuberculosis. In accordance with the obtained clinical, laboratory and instrumental data, we concluded that when patients are admitted to a non-specialized medical organization with complaints from the larynx (dysphonia, aphonia) or oropharyngeal organs (dysphagia), complete diagnostic minimum is required including chest X-ray, complete blood count, otolaryngology consultation and microbiological monitoring (sputum microscopy) for the purpose of integrated examination of the patient and further routing to antituberculous institution. An example is given of successful treatment of a patient with a combination of pulmonary and extrapulmonary tuberculosis (laryngeal tuberculosis) identified due to the presence of symptoms in the larynx.
Keywords
Full Text
Туберкулёз до сих пор остаётся социально-значимым заболеванием. По стратегии Всемирной организации здравоохранения (2018) в мире к 2030–2035 гг. должно произойти резкое снижение заболеваемости и смертности от данной патологии [1]. Несмотря на то обстоятельство, что эпидемиологическая ситуация по туберкулёзу в целом стабилизируется, динамика заболеваемости по внелёгочным формам специфического процесса нестабильна [2]. По данным V. Rakshith [3], за рубежом поражение гортани M. tuberculosis встречается редко — менее 1% всех случаев туберкулёза. В России этот показатель составляет в среднем 0,3–1,4% [4].
Зачастую от момента первичного обращения к отоларингологу до постановки диагноза «туберкулёз гортани» проходит от 1 до 1,5 мес [5]. Причиной столь длительной диагностики бывает отсутствие специфических признаков данного заболевания и, следовательно, позднее выявление таких больных в общей лечебной сети.
К основным жалобам у пациентов с туберкулёзом гортани относятся кашель, расстройство фонации и боль в горле. Наиболее распространённый симптом — охриплость, отмечаемая у 80–100% пациентов со специфическим поражением гортани. Другие признаки этого заболевания включают одинофагию, дисфагию, одышку, кашель и кровохарканье, что также свойственно проявлению злокачественного процесса. Именно поэтому рационально направление больных с подобными жалобами в противотуберкулёзный диспансер для проведения уточняющих микробиологических (посевы на твёрдые и жидкие среды) и молекулярно-генетических (полимеразная цепная реакция, технология Биочип, GeneXpert MTB/RIF) исследований биологических жидкостей пациента. Несмотря на редкое клиническое выявление, туберкулёз гортани — наиболее распространённое гранулематозное заболевание данной локализации [6].
В качестве примера представляем клинический случай развития туберкулёза гортани, наблюдаемый нами в Нижегородском областном клиническом противотуберкулёзном диспансере (ГБУЗ НО «НОКПД») в терапевтическом отделении для больных туберкулёзом органов дыхания. На публикацию данных получено письменное информированное согласие пациента.
Пациент С. 52 лет 28.11.2018 поступил в ГБУЗ НО «НОКПД» в отделение для больных костно-суставным туберкулёзом с жалобами на одышку, кашель, осиплость, боли при глотании, ощущение инородного тела в горле.
Из анамнеза жизни пациента известно, что он не женат, без определённого места жительства, неоднократно находился в заключении. Впервые туберкулёз лёгких был выявлен в 2000 г., когда пациент отбывал наказание в пенитенциарном учреждении, там же получал противотуберкулёзную терапию. После освобождения прервал лечение и за медицинской помощью не обращался. Через 3 мес вновь получил тюремный срок, где ему была проведена повторная противотуберкулёзная терапия на протяжении 8 мес с излечением от туберкулёза и переводом больного в III группу диспансерного учёта.
В августе 2018 г. отметил ухудшение состояния и через волонтёров организации по уходу за бездомными обратился с жалобами на боль в горле, ощущение инородного тела, осиплость в поликлинику, где двукратно сдал мокроту на микроскопирование с окраской по Цилю–Нильсену и прошёл лучевой контроль. По результатам микроскопии кислотоустойчивые микобактерии обнаружены не были, на флюорограмме органов грудной клетки определялись инфильтративные изменения в лёгочной ткани (пневмония под вопросом), от лечения отказался.
В ноябре 2018 г. пациент повторно обратился за медицинской помощью в Володарскую центральную районную больницу с жалобами на непрекращающийся влажный кашель с мокротой, прогрессирующую осиплость, выраженные боли при глотании. С учётом данных о перенесённом ранее туберкулёзе в анамнезе и недавних рентгенологических сведений 28 ноября 2018 г. врачом-фтизиатром Центральной районной больницы пациент был направлен на поликлинический приём в ГБУЗ НО «НОКПД» для исключения рецидива заболевания. Там ему назначили обзорную рентгенографию органов грудной клетки в 4 проекциях, повторную сдачу мокроты, консультации отоларинголога и офтальмолога для уточнения диагноза.
По данным лучевого исследования у пациента были обнаружены тени тонкостенных деформированных полостей в верхних долях обоих лёгких. Корни деформированы. Сердце в пределах нормы. Множественные кальцинированные переломы рёбер слева. В анализе мокроты методом полимеразной цепной реакции обнаружена дезоксирибонуклеиновая кислота M. tuberculosis с подтверждением чувствительности к изониазиду и рифампицину. При осмотре отоларингологом установлен предварительный диагноз «подозрение на рак гортани», офтальмологом — «посттравматическая атрофия правого зрительного нерва».
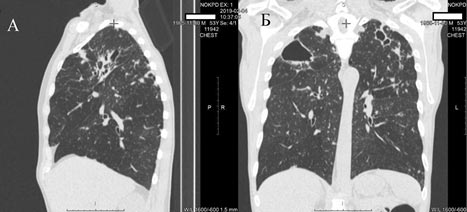
С целью получения достоверных сведений о скиалогических характеристиках патологического процесса в органах грудной клетки пациенту была проведена мультиспиральная компьютерная томография, при которой выявлены признаки диссеминированного процесса, множественные полости распада с тенденцией к формированию фиброзно-кавернозного туберкулёза в верхних долях обоих лёгких, 6-м сегменте справа (рис. 1).
Рис. 1. Мультиспиральная компьютерная томография, снимки пациента от 29.11.2018: А — сагиттальный срез; Б — фронтальный срез
По результатам лабораторного и инструментального исследований Центральной врачебной контрольной комиссией 03.12.2018 установлен диагноз в соответствии с существующей классификацией по туберкулёзу, закреплённой в приказе Минздрава России №109 от 21 марта 2003 г.: «Фиброзно-кавернозный туберкулёз лёгких, фаза инфильтрации, МБТ (+), IБ ГДУ, туберкулёз гортани под вопросом».
Было начато лечение по интенсивной фазе I модифицированного режима в связи с противопоказанием по приёму этамбутола: изониазид 600 мг, рифампицин 600 мг, пиразинамид 1500 мг, канамицин 1000 мг, согласно клиническим рекомендациям по туберкулёзу органов дыхания у взрослых (2018). 05.12.2018 пациент переведён из костно-суставного отделения в терапевтическое отделение для больных лёгочным туберкулёзом, где получал лечение вплоть до 25.03.2019 (на протяжении 4 мес).
Во время проведения пациенту фибробронхоскопии (21.12.2018) была выполнена биопсия слизистой оболочки гортани. По результатам цитологического и гистологического исследований биоптата обнаружены обширное скопление клеток многорядного эпителия с реактивными изменениями, нейтрофильная инфильтрация и нити фибрина, признаки ярко выраженного неспецифического воспаления.
В связи с распространённостью патологического процесса оперативное вмешательство было противопоказано, пациенту было необходимо длительное консервативное лечение с последующей консультацией торакального хирурга. При осмотре больного отоларингологом через 1 мес активной противотуберкулёзной терапии левая голосовая складка очистилась от налётов, деформация уменьшилась. Сохранялись гиперемия и инфильтрация слизистой оболочки гортани, но в меньшей степени. В целом динамика положительная, подобранная схема лечения эффективна.
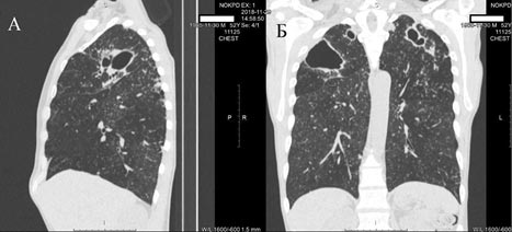
В феврале 2019 г. при повторной мультиспиральной компьютерной томографии было установлено, что компьютерно-томографические признаки в динамике больше соответствуют фиброзно-кавернозному туберкулёзу в верхних долях обоих лёгких и 6-м сегменте справа, в фазе инфильтрации и распада (рис. 2). Обнаружено патологическое образование гортани с деструктивными изменениями щитовидного хряща (рис. 3).
Рис. 2. Мультиспиральная компьютерная томография, снимки пациента от 04.02.2019: А — сагиттальный срез; Б — фронтальный срез
Рис. 3. Мультиспиральная компьютерная томография, снимок пациента от 04.02.2019: деформация и фрагментация щитовидного хряща
В марте 2019 г. пациенту проведена контрольная фибробронхоскопия, в результате которой выявлены следующие изменения: посттуберкулёзная деформация гортани, голосовых складок, хронический распространённый диффузный деформирующий атрофический катарально-гнойный бронхит II степени интенсивности воспаления. Клапанная бронхоблокация пациенту была не показана из-за укорочения и деформации обоих верхнедолевых бронхов, распространённости деструктивного процесса.
К завершению интенсивной фазы I режима химиотерапии (4 мес лечения) пациент абацилировался. При осмотре торакальным хирургом в марте 2019 г. больному была предложена операция (поэтапная двусторонняя торакопластика), пациент дал своё согласие на её проведение.
В результате всестороннего обследования и лечения пациенту был выставлен заключительный диагноз: «Фиброзно-кавернозный туберкулёз лёгких, фаза инфильтрации. Посттуберкулёзная деформация гортани и голосовых складок, МБТ (–), IБ ГДУ (H, R-чувствительность)».
Важность данного клинического случая заключается в том, что туберкулёз гортани из-за схожести симптомов с различными поражениями этого органа как опухолевой природы, так и инфекционного генеза, представляет трудности в постановке диагноза. В свете этого у любого врача должна быть сформирована не только онкологическая, но и фтизиатрическая настороженность, что позволит уменьшить количество больных с запущенными формами туберкулёза при выявлении.
Авторы заявляют об отсутствии конфликта интересов по представленной статье.
About the authors
A G Naumov
Privolzhsky Research Medical University
Author for correspondence.
Email: naumovag@pimunn.ru
Nizhny Novgorod, Russia
K A Boronin
Privolzhsky Research Medical University
Email: naumovag@pimunn.ru
Nizhny Novgorod, Russia
K V Bokova
Privolzhsky Research Medical University
Email: naumovag@pimunn.ru
Nizhny Novgorod, Russia
N S Zherebyat'eva
Privolzhsky Research Medical University
Email: naumovag@pimunn.ru
Nizhny Novgorod, Russia
E V Zhukova
Privolzhsky Research Medical University
Email: naumovag@pimunn.ru
Nizhny Novgorod, Russia
K S Konygina
Privolzhsky Research Medical University
Email: naumovag@pimunn.ru
Nizhny Novgorod, Russia
O A Sukhova
Privolzhsky Research Medical University
Email: naumovag@pimunn.ru
Nizhny Novgorod, Russia
References
- Global tuberculosis report 2018. Geneva: World Health Organisation. 2018; 231 p.
- Kulʹchavenya E.V., Zhukova I.I. Extrapulmonary tuberculosis — more questions than answers. Tuberkulyoz i bolezni lyogkikh. 2017; 95 (2): 59–63. (In Russ.)
- Rakshith V., Azeem Mohiyuddin S.M., Vidyavathi K., Sagayaraj A. Primary tuberculosis of larynx: An uncommon presentation. J. Laryngol. Voice. 2015; 5 (2): 49–50. doi: 10.4103/2230-9748.183967.
- Kabanets N.N., Filinyuk O.V., Akhmedova Yu.N. Co-morbid tuberculosis of the larynx and lungs. Tuberkulyoz i bolezni lyogkikh. 2015; (7): 60–61. (In Russ.)
- Khauadamova G.T., Arbuzova E.V., Myasnikova G.A., Urazakova D.I. Modern technologies in the diagnosis of laryngeal tuberculosis in patients with pulmonary tuberculosis. Klinicheskaya meditsina Kazakhstana. 2013; (2): 62. (In Russ.)
- Cengiz A., Goksel S., Basal Y. et al. Laryngeal tuberculosis mimicking laryngeal carcinoma on 18F-FDG PET/CT Imaging. Mol. Imaging Radionucl. Ther. 2018; 27 (2): 81–83. doi: 10.4274/mirt.44366.
Supplementary files






