Expression level of androgen receptors in tumor tissue and its prognostic significance in primary operable luminal breast cancer without overexpression of Her2/neu in postmenopausal women
- Authors: Kit OI1, Shatova Y.S1, Tokmakov VV1, Novikova IA1, Ul’yanova EP1, Zlatnik EY.1
-
Affiliations:
- Rostov Scientific Research Institute of Oncology
- Issue: Vol 100, No 1 (2019)
- Pages: 112-116
- Section: Theoretical and clinical medicine
- Submitted: 08.02.2019
- Published: 08.02.2019
- URL: https://kazanmedjournal.ru/kazanmedj/article/view/11011
- DOI: https://doi.org/10.17816/KMJ2019-112
- ID: 11011
Cite item
Full Text
Abstract
Aim. To evaluate the expression level and prognostic significance of androgen in primary operable luminal breast cancer without overexpression of Her2/neu in postmenopausal women.
Methods. We analyzed treatment outcomes of 60 cases of primary operable (T1-2N0M0) luminal breast cancer without overexpression of Her2/neu in postmenopausal women. The follow-up period was 5 years. All cases were divided by immunohistochemical method into luminal A (20 females) and luminal B (40 patients) subtypes. Along with the standard panel of immunohistochemical markers, expression of nuclear androgen receptors was measured in tumor tissues of all patients. Depending on the expression levels, patients with luminal A and B subtypes were divided into three groups: (1) with high, (2) moderate and (3) low or negative expression.
Results. Mean levels of androgen receptor expression in the nuclei of tumor cells in patients with luminal A subtype (57.3±5.9%) were higher than those of luminal B subtype (21.4±4.04%) by 62.7% (Mann-Whitney test, р=0.0026). In patients with luminal A subtype, the maximal accumulation of androgen receptors in the nuclei of tumor cells was 2.7 times higher (р=0.0023) than in patients with luminal B subtype. All cases diagnosed with the disease progression were characterized by low or negative level of nuclear androgen receptor expression.
Conclusion. Negative and low levels of androgen receptor expression in tumor tissues of postmenopausal patients with luminal primary operable breast cancer without overexpression of Her2/neu might be an independent factor associated with poor prognosis.
Full Text
Люминальные подтипы без гиперэкспрессии рецепторов Her2/neu составляют около 70% всех случаев рака молочной железы (РМЖ) [1]. Тем не менее, для этих молекулярно-биологических подтипов характерны значительная гетерогенность фенотипов, разнообразное течение, различный риск развития рецидива и, как следствие, неодинаковые ответы на эндокринное лечение и химиотерапию [2].
Корректное разделение пациенток с эстроген-позитивным Her2/neu-негативным РМЖ на подтипы А и В исключительно важно для выделения группы высокого риска и выбора оптимальной тактики лечения. Однако оценка традиционных иммуногистохимических (ИГХ) параметров опухоли не всегда позволяет сделать это точно [3]. Применение различных генных сигнатур (Oncotype DX и т.п.) может быть методом выбора в таких случаях, особенно при ранних стадиях болезни [4].
Один из важных лимитирующих факторов широкого внедрения мультигенных оценочных систем — их высокая стоимость по сравнению со стандартным ИГХ-исследованием, от 1800 до 3700 евро за тест в различных странах Европы [5]. С учётом невозможности повсеместного использования генных сигнатур на XIII Международной конференции по адъювантной терапии РМЖ в Санкт-Галлене экспертами было принято консенсусное решение о допустимости использования ИГХ-метода («суррогатная модель») для определения молекулярного подтипа РМЖ.
Одним из наиболее значимых биомаркёров, позволяющих разделить люминальные подтипы на А и В, длительное время служил Ki-67 [6]. Однако пороговое значение индекса периодически пересматривается и изменяется. Кроме этого, необходим обязательный учёт местных лабораторных значений показателя Ki-67. В тех случаях, когда значение Ki-67 составляет от 10 до 30%, этот показатель не может быть определяющим при выборе оптимальной тактики адъювантного системного лечения раннего люминального Her2/neu-неэкспрессирующего РМЖ [7].
С 2013 г. в качестве дополнительного прогностического биомаркёра используют показатель уровня экспрессии рецепторов прогестерона [8]. Экспрессия рецепторов ниже 20% признана самостоятельным неблагоприятным прогностическим фактором и позволяет отнести пациенток с такими значениями к люминальному подтипу В РМЖ [9].
Впрочем, результаты определения классических биомаркёров стандартной ИГХ-панели зачастую бывают неоднозначными, что и обусловливает непрекращающийся поиск дополнительных прогностических маркёров, которые могли бы быть использованы в рутинной клинической практике. Так, например, Р.М. Палтуев и соавт. предлагают применять автоматизированный анализ клеточной плотности при РМЖ как важный дополнительный прогностический фактор [10].
В последнее десятилетие активно изучают роль уровня экспрессии ядерных рецепторов андрогенов (AR) в опухоли как одного из потенциальных биомаркёров [11]. Оценка выраженности экспрессии AR может иметь самостоятельное прогностическое и предиктивное значение при РМЖ, в том числе и для люминальных подтипов [12].
Цель данного исследования — оценить уровень экспрессии AR и его прогностическое значение при люминальном первично-операбельном раке молочной железы без гиперэкспрессии Her2/neu у женщин в постменопаузе.
Мы проанализировали результаты лечения в 60 случаях первично-операбельного (T1–2N0M0) люминального РМЖ без гиперэкспрессии Her2/neu у женщин в постменопаузе, лечившихся и находившихся под наблюдением в клинике Ростовского научно-исследовательского онкологического института. Срок наблюдения составил 5 лет.
Все пациентки были распределены ИГХ-методом на люминальный подтип А (20 женщин) и люминальный подтип В (40 человек) РМЖ. Распределение больных по биологическим подтипам осуществлено на основании рекоменда-
ций XIII Международной конференции по адъювантной терапии РМЖ в Санкт-Галлене (2013).
Все больные были сопоставимы по возрасту и проведённому лечению (радикальное оперативное лечение и адъювантная гормонотерапия тамоксифеном или ингибиторами ароматазы; табл. 1).
Таблица 1. Варианты проведённого оперативного лечения и гормонотерапии у пациенток исследуемых групп
Проведённое лечение | Пациентки с люминальным подтипом А РМЖ, | Пациентки с люминальным подтипом B РМЖ без гиперэкспрессии Her2/neu, абс. (%) |
Органосохраняющие операции | 8 (40) | 15 (37,5) |
Радикальные модифицированные мастэктомии | 12 (60) | 25 (62,5) |
Приём тамоксифена в течение 5 лет | 8 (40) | 14 (35) |
Приём ингибиторов ароматазы в течение 5 лет | 12 (60) | 26 (65) |
Примечание: РМЖ — рак молочной железы.
Средний возраст пациенток с люминальным подтипом А составил 76,16±3,14 года, с люминальным подтипом В — 68,76±2,69 года (р=0,237). Морфологический тип опухоли у всех больных был представлен инвазивным протоковым раком.
Помимо стандартной панели ИГХ-маркёров, у всех пациенток в опухолевой ткани определяли уровень экспрессии АR. Для ИГХ-окрашивания были использованы поликлональные антитела Androgen Receptor (Thermoscientific) в разведении 1:200. Визуализация ИГХ-реакции выполнялась с использованием системы детекции Reveal Polyvalent HRP-DAB Detection System с последующим докрашиванием гематоксилином Майера. Оценку результатов ИГХ-реакции проводили с использованием светового микроскопа Leica (Германия) под увеличением ×10, ×20, ×40. Для оценки экспрессии АR применяли следующую шкалу: 0–4% — отрицательная экспрессия; 5–20% — низкая; 21–50% — умеренная; >50% — высокая.
Статистический анализ результатов исследования выполнен с помощью программы Statistica 10.0 (StatSoft Inc., США), применяли распределение по критерию χ2 Пирсона и непараметрический критерий Манна–Уитни.
В зависимости от экспрессии уровня АR в опухолевой ткани пациентки люминального А и люминального В подтипов были разделены на три группы: (1) с высоким уровнем экспрессии, (2) умеренным уровнем и (3) низким или отрицательным уровнем экспрессии.
В результате ИГХ-исследования у больных с люминальным подтипом А были отмечены 2 (10%) случая низкой и отрицательной экспрессии, 4 (20%) случая умеренной экспрессии, 14 (70%) случаев высокой экспрессии. У больных с люминальным подтипом В: низкой и отрицательной экспрессии — 28 (70%) случаев (из них 8 случаев — отрицательный уровень экспрессии), умеренной экспрессии — 10 (25%) случаев, высокой экспрессии — 2 (5%) случая (рис. 1, 2).
Рис. 1. Соотношение уровня экспрессии рецепторов андрогенов у пациенток с люминальным подтипом А рака молочной железы
Рис. 2. Соотношение уровня экспрессии рецепторов андрогенов у пациенток с люминальным подтипом В рака молочной железы
Разброс количества окрашенных клеток у пациенток с люминальным подтипом А в основном составлял от 40 до 80%, только в 2 случаях количество было равно 10%, а у пациенток с люминальным подтипом В — от 0 до 40%. При распределении по критерию χ2 в данных группах связь между факторным и результативным признаками была статистически значимой (табл. 2).
Таблица 2. Распределение пациенток исследуемых групп в зависимости от уровня экспрессии рецепторов андрогенов
Уровень экспрессии рецепторов | Люминальный подтип А (n=20) | Люминальный подтип В (n=40) | χ2 | p |
Низкий и отрицательный | 2 | 28 | 30,868 | 0,0001 |
Умеренный | 4 | 10 | ||
Высокий | 14 | 2 |
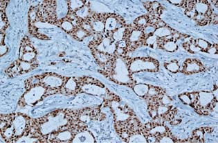
Среднее значение экспрессии АR в ядрах опухолевых клеток пациенток группы люминального подтипа А (57,3±5,9%) было выше по сравнению с экспрессией данного маркёра в группе люминального подтипа B (21,4±4,04%) на 62,7% (р=0,0026). Таким образом, максимальное накопление АR в ядрах опухолевых клеток, которое отмечено у пациенток группы люминального подтипа А, было выше в 2,7 раза (р=0,0023) по сравнению с таковым у пациенток группы люминального подтипа B (рис. 3, 4).
Рис. 3. Низкая экспрессия рецепторов андрогенов в ядрах опухолевых клеток больных люминального подтипа В. Увеличение ×20
Рис. 4. Высокая экспрессия рецепторов андрогенов в ядрах опухолевых клеток больных люминального подтипа A. Увеличение ×20
В течение 5-летнего срока наблюдения у пациенток группы люминального подтипа А не зафиксировано ни одного случая прогрессирования заболевания. В группе люминального подтипа В генерализация процесса выявлена у 8 пациенток, что составило 20%. При этом во всех данных случаях прогрессирования заболевания зарегистрирован низкий (4 случая) или отрицательный (4 случая) уровень экспрессии АR.
Полученные нами данные согласуются с данными литературы: высокая экспрессия АR сопряжена с лучшими результатами отдалённой выживаемости при РМЖ [13].
Кроме того, определение уровня экспрессии АR при люминальных подтипах РМЖ может быть дополнительным значимым прогностическим фактором [14]. Данное положение особенно актуально для пациенток, находящихся в менопаузе [15]. Основываясь на данных литературы и собственных полученных данных, мы посчитали, что не менее важно учитывать низкий и отрицательный уровень экспрессии АR для выбора группы высокого риска.
Вывод
Отрицательный и низкий уровень экспрессии рецепторов андрогенов в опухолевой ткани при люминальном первично-операбельном раке молочной железы без гиперэкспрессии Her2/neu может быть фактором неблагоприятного прогноза у пациенток в постменопаузе.
Авторы заявляют об отсутствии конфликта интересов по представленной статье.
About the authors
O I Kit
Rostov Scientific Research Institute of Oncology
Author for correspondence.
Email: stolzz@yandex.ru
Rostov-on-Don, Russia
Yu S Shatova
Rostov Scientific Research Institute of Oncology
Email: stolzz@yandex.ru
Rostov-on-Don, Russia
V V Tokmakov
Rostov Scientific Research Institute of Oncology
Email: stolzz@yandex.ru
Rostov-on-Don, Russia
I A Novikova
Rostov Scientific Research Institute of Oncology
Email: stolzz@yandex.ru
Rostov-on-Don, Russia
E P Ul’yanova
Rostov Scientific Research Institute of Oncology
Email: stolzz@yandex.ru
Rostov-on-Don, Russia
E Yu Zlatnik
Rostov Scientific Research Institute of Oncology
Email: stolzz@yandex.ru
Rostov-on-Don, Russia
References
- Turner N.C., Neven P., Loibl S., Andre F. Advances in the treatment of advanced oestrogen-receptor-positive breast cancer. Lancet. 2017; 389 (10087): 2403-2414. doi: 10.1016/S0140-6736(16)32419-9.
- Lim E., Winer E.P. Adjuvant chemotherapy in luminal breast cancers. Breast. 2011; suppl. 3: 128-131. doi: 10.1016/S0960-9776(11)70309-5.
- Sestak I., Dowsett M., Zabaglo L. et al. Factors predicting late recurrence for estrogen receptor-positive breast cancer. J. Natl. Cancer Inst. 2013; 105 (19): 1504-1511. doi: 10.1093/jnci/djt244.
- Nguyen M.T., Stessin A., Nagar H. et al. Impact of oncotype DX recurrence score in the management of breast cancer cases. Clin. Breast Cancer. 2014; 14 (3): 182-190. doi: 10.1016/j.clbc.2013.12.002.
- Blok E.J., Bastiaannet E., van den Hout W.B. et al. Systematic review of the clinical and economic value of gene expression profiles for invasive early breast cancer available in Europe. Cancer Treat. Rev. 2018; 62: 74-90. doi: 10.1016/j.ctrv.2017.10.012.
- Goldhirsch A., Wood W.C., Coates A.S. et al. Strategies for subtypes - dealing with the diversity of breast cancer: highlights of the St. Gallen International Expert Consensus on the Primary Therapy of Early Breast Cancer 2011. Ann. Oncol. 2011; 22 (8); 1736-1747. doi: 10.1093/annonc/mdr304.
- Nadia Harbeck, Michael Gnant. Breast cancer. Lancet. 2017; 389 (10074): 1134-1150. doi: 10.1016/S0140-6736(16)31891-8.
- Prat A., Cheang M.C., Martin M. et al. Prognostic significance of progesterone receptor positive tumor cells within immunohistochemically defined luminal A breast cancer. J. Clin. Oncol. 2013; 31 (2): 203-209. doi: 10.1200/JCO.2012.43.4134.
- Ono M., Tsuda H., Yoshida M. et al. Prognostic significance of progesterone receptor expression in estrogen-receptor positive, HER2-negative, node-negative invasive breast cancer with a low Ki-67 labeling index. Clin. Breast Cancer. 2017; 17 (1): 41-47. DOI: 10.1016/ j.clbc.2016.06.012.
- Палтуев Р.М., Кудабергенова А.Г., Семиглазов В.Ф., Комяхов А.В. Автоматизированный анализ клеточной плотности при раке молочной железы как дополнительный способ повысить объективность и достоверность прогноза рака молочной железы. Опухоли женской репродуктивной системы. 2017; 13 (3): 12-16. doi: 10.17650/1994-4098-2017-13-3-12-16.
- Шатова Ю.С., Франциянц Е.М., Новикова И.А. и др. Антиандрогенная терапия: новое направление таргетной терапии рака молочной железы? Соврем. пробл. науки и образования. 2017; (3). https://www.science-education.ru/ru/article/view?id=26392 (дата обращения: 29.10.2018).
- Ogawa Y., Hai E., Matsumoto K. et al. Androgen receptor expression in breast cancer: relationship with clinicopathological factors and biomarkers. Int. J. Clin. Oncol. 2008; 13 (5): 431-435. doi: 10.1007/s10147-008-0770-6.
- Basile D., Cinausero M., Iacono D. et al. Androgen receptor in estrogen receptor positive breast cancer: Beyond expression. Cancer Treat. Rev. 2017; 61: 15-22. doi: 10.1016/j.ctrv.2017.09.006.
- Рябчиков Д.А., Воротников И.К., Козлов Н.А., Чхиквадзе Н.В. Андрогеновые рецепторы как фактор прогноза в различных молекулярно-биологических подтипах рака молочной железы. Сибирский онкол. ж. 2017; 16 (3): 40-45. doi: 10.21294/1814-4861-2017-16-3-40-45.
- Hu R., Dawood S., Holmes M.D. et al. Androgen receptor expression and breast cancer survival in postmenopausal women. Clin. Cancer Res. 2011; 17 (7); 1867-1874. doi: 10.1158/1078-0432.CCR-10-2021.
Supplementary files







