The role of myoepithelial cells in the morphogenesis of pleomorphic adenomas of the salivary glands and their identification
- Authors: Shamsutdinov N.S.1
-
Affiliations:
- Kazan Order of the Red Banner of the Medical Institute named after S. V. Kurashov
- Issue: Vol 72, No 2 (1991)
- Pages: 133-136
- Section: Theoretical and clinical medicine
- Submitted: 21.04.2022
- Accepted: 21.04.2022
- Published: 15.02.1991
- URL: https://kazanmedjournal.ru/kazanmedj/article/view/106591
- DOI: https://doi.org/10.17816/kazmj106591
- ID: 106591
Cite item
Full Text
Abstract
The morphogenesis of 15 pleomorphic adenomas was studied. Identification of myoepithelial cells was carried out by immunohistochemical method using polyclonal antibodies to myosin, human carbonic anhydrase III, monoclonal antibodies to proteins of intermediate filaments of cytokeratin polypeptides No. 8 (clone H 1), No. 17 (clone E 3) and No. 18 (clone C 12). Myoepithelial, epithelial and other cells are involved in the morphogenesis of the studied tumors. It is recommended to use antibodies to myosin, carbonic anhydrase III, keratins No. 8, 17, 18 in the diagnosis of pleomorphic adenomas of the salivary glands.
Keywords
Full Text
В слюнной железе по сравнению с поджелудочной наблюдается удивительное многообразие опухолей, хотя обе в процессе эмбриогенеза формируются на единой основе. Неоплазмы, которые встречаются в слюнной железе, никогда не формируются в поджелудочной. Вместе с тем многие разновидности новообразований, присущих слюнным железам, развиваются в молочных, потовых, простатической и слезных железах. Общность морфологических видов неоплазм в указанных железах заключается в том, что одним из их компонентов являются миоэпителиальные клетки (МЭК).
Вопрос об участии миоэпителиальных клеток в формировании паренхимы смешанных опухолей слюнных желез — плеоморфных аденом — до настоящего времени остается дискуссионным. Отдельные авторы утверждают, что они участвуют в морфогенезе указанных опухолей [1—4], другие считают их участие сомнительным [6, 11].
Несогласующиеся данные ряда авторов объясняются главным образом трудностью идентификации миоэпителиальных клеток. Были установлены определенные критерии их выявления с помощью электронной микроскопии [8, 10]. Однако ультраструктурные маркеры не всегда обнаруживаются, и их интерпретация при опухолевой трансформации миоэпителиальных клеток, в которых ультраструктура клеток нередко нарушена, весьма затруднительна. Результаты иммуногистохимических исследований показали, что маркерами могут быть актин, миозин и отдельные полипептиды цитокератина, присутствующие в цитоскелете миоэпителиальных клеток [4, 11]. Но оказалось, что актин и многие виды цитокератинов не являются уникальными маркерами указанных клеток, так как они экспрессируются большинством эпителиальных клеток [5, 9].
В 1987 г. в качестве маркера миоэпителиальных клеток молочной железы и простаты человека были впервые использованы антитела к карбоангидразе III [14]. Карбоангидраза — фермент класса лиаз, катализирующий обратимое образование угольной кислоты из двуокиси углерода и воды: CO2±H2O=H2CO3. Биохимически выделены три различных изофермента карбоангидразы человека. Карбоангидраза I и карбоангидраза II характерны для клеток поперечно-полосатых мышц [7], эритроцитов и остеокластов [13]. Третий тип энзима этой группы (карбоангидраза III) выделен в чистом виде из медленных волокон скелетных мышц [12].
Противоречивые мнения об участии миоэпителиальных клеток в формировании паренхимы и стромы плеоморфной аденомы, и отсутствие единого взгляда на их маркеры побудили нас провести данное исследование.
Цель работы: уточнить факт сопричастия миоэпителиальных клеток в морфогенезе плеоморфной аденомы слюнных желез, выявить перекрывающиеся маркеры указанных нормальных и опухолевых клеток.
В работе был использован операционный материал Казанского городского онкологического диспансера от 15 больных (6 мужчин и 9 женщин в возрасте от 28 до 67 лет), оперированных по поводу плеоморфной аденомы околоушной слюнной железы. Образцы нормальной слюнной железы взяты у тех же больных из мест, не вовлеченных в опухолевый процесс. Часть материала тотчас помещали в жидкий азот для приготовления криостатных срезов и проведения иммуногистохимических и иммуноферментных исследований. Другую часть фиксировали в 10% нейтральном формалине для последующей заливки в парафин.
Опухоли и ткани нормальной слюнной железы изучали на светооптическом уровне при окраске гематоксилинэозином, пикрофуксином по ван-Гизону. Гистохимический метод окраски конго красным применен для выявления амилоида.
При иммуногистохимическом исследовании плеоморфной аденомы и ткани нормальной слюнной железы были использованы поликлональные антитела к миозину1 и карбоангидразе III человека2 и моноклональные антитела (МКАТ) к белкам промежуточных филаментов полипептидам цитокератинов № 8 (клон Н 1), № 17 (клон Е 3) и № 18 (клон С 12). Препараты рассматривали в люминесцентном микроскопе «Люмам Р-2».
На светооптическом уровне исследования при окраске гематоксилин-эозином во всех 15 случаях был поставлен диагноз плеоморфной аденомы. Вместе с этим мы смогли убедиться в возможности использования для контроля участков здоровой слюнной железы.
Гистологически опухоли имели различные соотношения паренхиматозных и стромальных структур. Большинство опухолей были представлены в равной степени клеточными, железисто-протокоподобными, миксоидными и хондидными элементами. В отдельных случаях доминировали клеточные пролифераты и железисто-протокоподобные образования. Большая часть стромы опухоли состояла из гиалинизированной соединительной ткани, щелевидных и нередко резко склерозированных сосудов. В 8 случаях выявлено отложение амилоида по ходу волокнистых структур.
Железисто-протокоподобные структуры были выстланы одним слоем железистых клеток или же гомогенной мембраной, обнаженной вследствие слущивания эпителия. Во всех случаях паренхима опухоли была представлена пролифератом из фибробластоподобных округлых или овальных клеток, напоминавших плазматические. Клеточные пролифераты были более выраженными в участках с тотальным слущиванием выстилающего эпителия. Мы полагаем, что в основе опухолевой трансформации этих клеток лежит изменение микросреды, точнее, потеря взаимосвязи миоэпителиальной клетки с железистой.
Экспрессия различных маркеров эпителия и миоэпителиальных клеток в нормальной слюнной железе и плеоморфной аденоме имеют некоторые
особенности (см. табл.).
Экспрессия различных маркеров эпителия и миоэпителия в нормальной слюнной железе и плеоморфной аденоме
Антитела к белкам | Нормальная слюнная железа (n = 15) | Плеоморфная аденома (n = 15) | |||||||
железистые клетки ацинусов | МЭК ацинусов | железистые клетки выводных протоков | МЭК выводных протоков | выстилающие клетки железистых структур | клетки, прилегающие к железистым структурам | клетки ослизненных участков | клетки хондроидных структур | ||
Миозину | — | 3+ | — | 3+ | — | 3+ | 2+ | 2+ | |
Карбоангидразе III | — | 3+ | — | 3+ | — | 3+ | 2+ | 2+ | |
Кератину № 8 | 3+ | — | 3+ | — | 3+ | 2+ | 2+ | 2+ | |
Кератину № 17 | — | 3+ | — | 3+ | + | 2+ | + | + | |
Кератину № 18 | ± | — | 3+ | — | 3+ | ± | ± | ± | |
Примечание. «3+» означает, что положительная реакция сохраняется в 90% клеток, «2+» — менее чем в 50% клеток, «+» — менее чем в 25% клеток, «±» — в единичных клетках, «—» — реакция отсутствует.
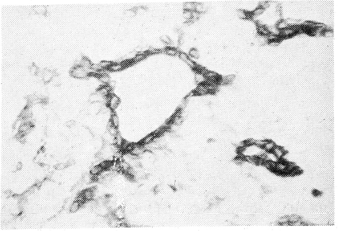
В нормальной слюнной железе эпителиальные клетки ацинусов и выводных протоков давали отрицательную реакцию с антителами к миозину, карбоангидразе III и полипептидам цитокератина № 17, при резко положительной реакции миоэпителиальных клеток указанных гистроструктур железы (рис. 1). Положительная реакция с МКАТ к кератину № 17 сохранялась в 50% клеток, примыкающих к железисто-протокоподобным структурам, и в единичных клетках хондро-миксоидных зон плеоморфной аденомы. Абсолютное большинство клеток указанных зон показывали экспрессию антител к миозину и карбоангидразе при люминесцентной микроскопии (рис. 2). Полипептиды цитокератина № 8 выявлены во всех железистых клетках ацинусов и междольковых выводных протоков, а цито- кератин № 18 был положительным лишь в клетках выводных протоков. В плеоморфной аденоме экспрессия указанных антител наблюдалась в эпителии железисто-протокоподобных структур и в меньшей степени — в клетках пролиферата (рис. 3).
Рис. 1. Иммунофлюоресцентное исследование нормальной слюнной железы. Свечение цитоплазмы миоэпителиальных клеток внутридолькового протока (антитела к карбоангидразе III. ×300).
Рис. 2, Иммунофлюоресцентное исследование плеоморфной аденомы. Положительная реакция клеточного инфильтрата и отдельных клеток с антителами к миозину. ×140.
Рис. 3. Иммуногистохимическая реакция в плеоморфной аденоме. Резко положительная реакция в эпителии железисто-протокоподобных структурах и единичных клетках пролиферата с антителами к кератину № 18. Окраска: ПАП метод. ×140.
Таким образом, сравнительное иммуноморфологическое исследование нормальной слюнной железы и ткани плеоморфной аденомы с помощью поликлональных антител к миозину, карбоангидразе III человека и моноклональных антител к белкам промежуточных филаментов — кератинам № 8, 17 и 18 показывает, что в морфогенезе опухоли участвуют миоэпителиальные клетки и в меньшей степени — эпителиальные клетки. Проведенные нами исследования дают основание рекомендовать использование антител к миозину, карбоангидразе III, кератинам № 8, 17, 18 в диагностике плеоморфной аденомы слюнных желез. Выявление амилоида наталкивает на мысль, что в формировании стромы опухоли принимают участие и другие клетки.
1 Антитела получены автором в содружестве с сотрудниками Киевского университета В.М. Даниловой и кафедры гистологии КГМИ М.Е. Валиуллиной.
2 Любезно представлены проф. H.K. Vaananen (Финляндия).
About the authors
N. Sh. Shamsutdinov
Kazan Order of the Red Banner of the Medical Institute named after S. V. Kurashov
Author for correspondence.
Email: info@eco-vector.com
Department of Pathological Anatomy, Head — Assoc.
Russian Federation, KazanReferences
- Антонова И. В.//Морфология эпителиальных опухолей больших слюнных желез. — Автореф. канд. дисс. — Л., 1990.
- Гельштейн В. И. и соавт.//Арх. патол. — 1989. — Вып. 10. — С. 28 — 34.
- Brocherion С., d'Agay М. F., de Roquancourt A.//Arch. Anal. Cytol. Path. — 1986. — Vol. 34. — P. 69—78.
- Caselitz., Walther B., Wustrom J. et al.//Virch. Arch. Abt. A. Pathd. Anat. — 1986 — Bd. 409. — S. 725—738.
- Franke W. W., Schmid E., Frendenstein C et al.//J. Cell Biol. — 1980.—Vol. 84. — P. 633— 637.
- Dardicn G., Nostrand A., Jeans D. et al.// Hum. Pathol.—1983. — Vol. 14. — P. 780—809.
- Hewett-Enmett D., Hopkins P. J. et al.// Ann. NY Acad. Sci. — 1984. — Vol. 429. — P. 338.
- Hubner G., Klein H. J. et al.//Cancer.—1971.—Vol. 27,— P. 1255—1261.
- Kahn H. J., Banmal R., Marks A. et al.// Arch. Pathol. Lab. Med. — 1985.—Vol 109 — P. 190—195.
- Mylins E. A.//Acta Pathol. Microb. Scand. Supple. — 1960.—Vol. 50. — P. 83.
- Palmer R., Lukas R.//J. Pathol. — 1985. — Vol. 146. — P. 213—220.
- Vaananen H. K., Kumpulainen L. K// J. Histochem. Cytochem. — 1982. — Vol. 30. — P. 1109—1113.
- Vaananen H. K., Leppilampi M. et al.//J. Appl. Physiol. — 1986.—Vol. 61. — P. 561—564.
- Vaananen H. K., Antio-Harmainen H.// J. Histoch. Cytoch. — 1987. — Vol. 35. — P. 683- 686.
Supplementary files





