Sinuses structure of lymphatic nodes in norm and in metastatic spreading process of cancer
- Authors: Tsyplakov D.E.1, Shamsutdinov N.S.1
-
Affiliations:
- Kazan State Medical University
- Issue: Vol 77, No 4 (1996)
- Pages: 290-294
- Section: Theoretical and clinical medicine
- Submitted: 07.03.2022
- Accepted: 07.03.2022
- Published: 15.08.1996
- URL: https://kazanmedjournal.ru/kazanmedj/article/view/104541
- DOI: https://doi.org/10.17816/kazmj104541
- ID: 104541
Cite item
Full Text
Abstract
The sinuses of regional lymphatic nodes obtained during operations of 50 oncologic patients are died using ultrastructural and morphometric method. The investigations are performed in 3 groups unow observation: 1) control (lymphatic nodes of practically healthy persons being lost from casual circumstances), 2) lymphatic nodes without metastases, 3) lymphatic nodes with metastases of various volume. It is established that the pronounced macrophagal and T-cellular reactions retard metastatic spreading in early stages of tumoral growth (I, II stade of cancer more rarely). The intensity of these reactions decreases noticeably providing holding in sinuses of malignant cells and generalization of tumoral process.
Keywords
Full Text
Состояние регионарных лимфатических узлов при раке во многом определяет прогноз заболевания. Частым наблюдением при опухолевом росте является ретикулогистиоцитарная реакция синусов, однако значение синусного гистиоцитоза трактуется неоднозначно. Одни авторы считают этот процесс прогностически благоприятным фактором [9], другие утверждают, что гистиоцитоз лимфоузлов не улучшает прогноза и не коррелирует с показателем пятилетней выживаемости [18]. Кроме того, первые опухолевые клетки при лимфогенном метастазировании обнаруживаются именно в синусах и уже оттуда распространяются на лимфоидную ткань [13]. При этом считается открытым вопрос — почему небольшой очаг раковых клеток в синусе может либо затухать [10], что делает вероятным благоприятный прогноз, либо распространяться дальше и приводить к генерализации процесса [7].
Целью настоящей работы являлось морфометрическое изучение клеточных элементов синусов с определением их функциональной активности на ультраструктурном уровне и выявлением связи обнаруженных изменений с наличием метастазов в лимфатических узлах.
Были исследованы лимфоузлы, полученные во время операций по поводу рака различной локализации (желудка, легкого, молочной железы, кишечника, пищевода), 50 онкологических больных. В качестве контроля послужили лимфатические узлы соответствующих регионов практически здоровых лиц старше 30 лет (судебно-медицинские вскрытия не позднее 12 ч после наступления смерти). Лимфатический узел вдоль большой оси разрезали на две части. Одну половину фиксировали в 10% нейтральном формалине, жидкости Карнуа и использовали для изготовления парафиновых срезов с последующей окраской гематоксилин-эозином, пиронином по Браше и азур-ІІ-эозином. Другую часть фиксировали в забуференном 2,5% растворе глутаральдегида, затем в забуференном 1% растворе четырехокиси осмия, обезвоживали и заключали в эпон-812. Ультратонкие срезы после изготовления переносили на опорные сетки и контрактировали уранилацетатом и цитратом свинца. Объекты изучали под электронными микроскопами “ЭМ-200”, “ЭММА-4”, “ПЭМ-100”, “JEM-100C”. Параллельно на гистологических срезах при помощи окулярной морфометрической сетки Г.Г. Автандилова [1] измеряли площадь синусов и количество содержащихся в них клеточных элементов. Исследуемый материал был разделен на 3 группы: 1) контроль; 2) регионарные к раку лимфоузлы, свободные от метастазов; 3) лимфоузлы с наличием метастазов различного объема.
Как показали наши исследований в норме площадь синусов составляй? 16,96±0,91% от общей площади среза узла. Среди клеточных элементов больше всего было ретикулярных клеток (39,31 ±0,79%), малых и средних лимфоцитов (37,88±0,64% и 17,73±0,62%). Кроме того, здесь можно было обнаружить иммунобласты (0,44±0,06%), большие лимфоциты (0,23±0,03%), плазматические клетки (1,60±0,15%), тучные клетки (0,25±0,04%), эозинофилы (0,17±0,07%), нейтрофилы (0,06±0,01%) и фагоцитирующие клетки (1,84±0,22%). Редко встречались моноциты, нормобласты, миелоциты и другие клеточные формы. Однако в синусах их было немного и они не всегда присутствовали.
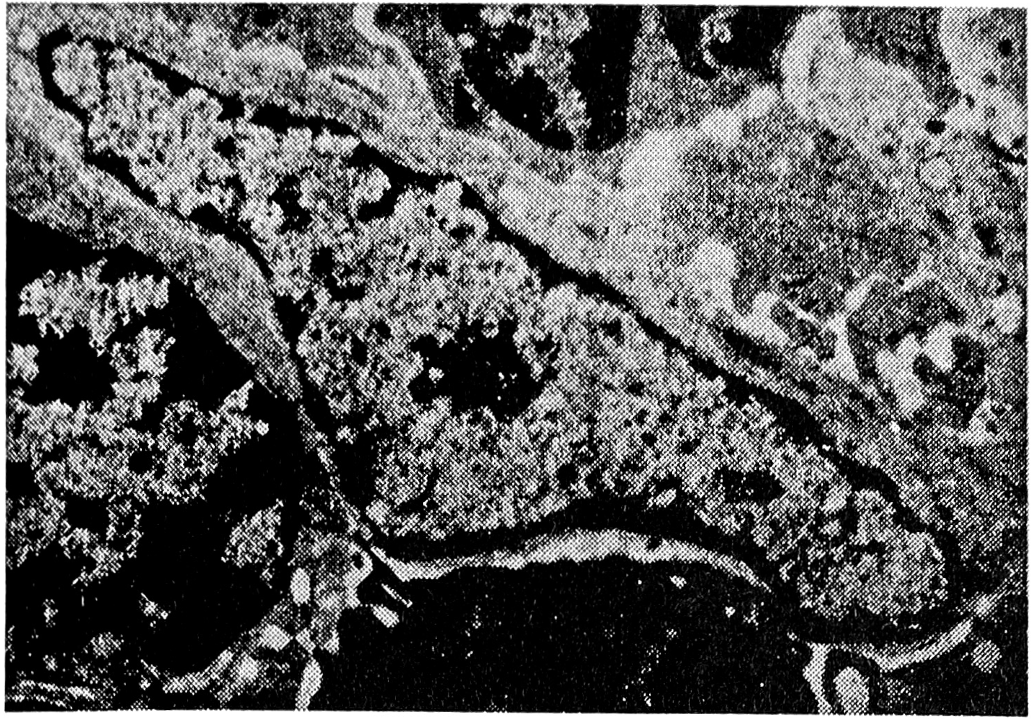
При исследовании под электронным микроскопом было видно, что стенки синусов выстланы литориальными (береговыми) клетками, которые являются продолжением эндотелия лимфатических сосудов. Ультраструктура этих клеток подробно описана [5]. Основные элементы синусов — ретикулярные клетки — имеют размеры от 10 до 25 мкм, овальное ядро с преимущественно диспергированным хроматином и один или два ядрышка. Цитолазма образует выросты и длинные отростки, при помощи которых ретикулярные клетки соединяются друг с другом (десмосомы) и контактируют с лимфоцитами. Из органелл обнаруживаются немногочисленные митохондрии, свободные рибосомы и лизосомы (рис. 1). Ретикулярные клетки являются фиксированными макрофагами [12] и делятся на две функциональные группы — фагоцитирующие и нефагоцитирующие [5], причем в норме, по нашим наблюдениям, преобладают последние. Кроме того, в синусах есть и свободные макрофаги — пришлые клетки моноцитарного происхождения. Их ультраструктура идентична другим интерстициальным макрофагам [12]. Качество таких клеток в норме незначительно. Содержащиеся в синусах лимфоциты представлены в основном так называемыми нетрансформированными формами от 5 до 11 мкм с узким ободком цитоплазмы, единичными и небольшими выростами, округлым ядром без выраженных инвагинаций с преобладанием плотного хроматина и одним ядрышком. Органеллы цитоплазмы незначительны и представлены несколькими митохондриями, свободными рибосомами и единичными лизосомами (рис. 2). Содержание других клеточных элементов в норме в синусах невелико — их характеристика будет приведена ниже при описании опухолевого процесса.
Рис. 1. Ретикулярная клетка, х 10000.
Рис. 2. Нетрансформированный лимфоцит. X 12000.
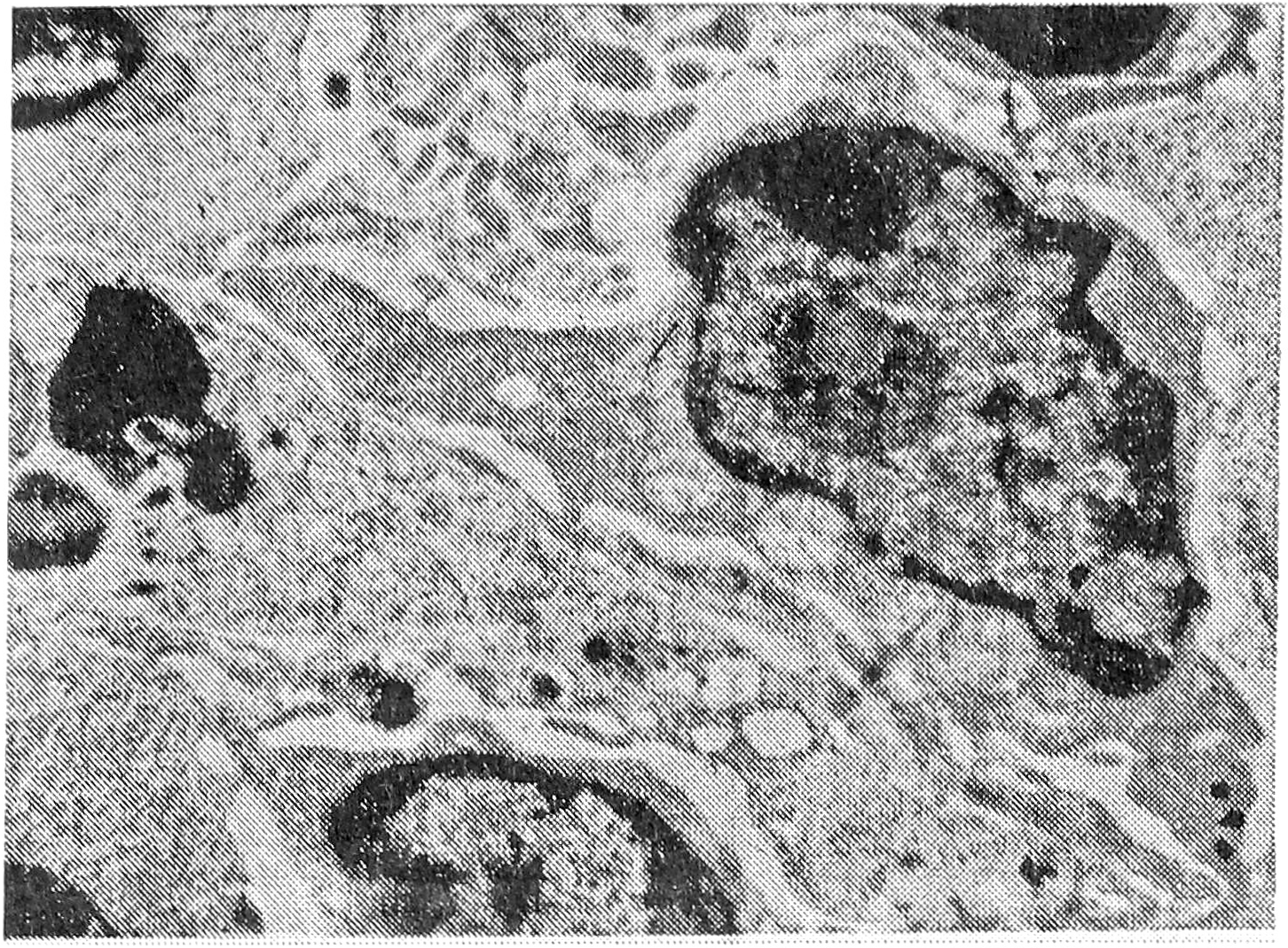
При развивающемся раке обращает на себя внимание прежде всего резкое расширение синусов — их площадь увеличивается до 22,00±0,98% (Р<0,001). Содержание ретикулярных клеток несколько возрастает — 45,25±1,03% (Р<0,001). Под электронным микроскопом данные клеточные элементы выглядят более активными в функциональном отношении. Превалируют фагоцитирующие ретикулярные клетки. Ядро их образует инвагинации; наблюдается краевое расположение ядрышка; в цитоплазме увеличивается содержание свободных рибосом, крупных митохондрий, лизосом и фагоцитированных включений (рис. 3). Параллельно возрастает и количество свободных макрофагов моноцитарного происхождения с ультраструктурными признаками активации и фагоцитоза.
Рис. 3. Фагоцитирующая ретикулярная клетка. X 10000.
Как фиксированные, так и свободные макрофаги при помощи цитоплазматических отростков часто контактируют с лимфоцитами, ультраструктура которых также существенно меняется. Обнаруживаются так называемые активированные (иммунные, трансформированные) лимфоциты. Ядро этих клеток имеет глубокие инвагинации; диспергированный хроматин увеличен за счет плотного; в цитоплазме возрастает число рибосом, митохондрий, лизосом, вакуолей (рис. 4). Цитоплазма образует выросты, при помощи которых осуществляется контакт с другими клетками, прежде всего с макрофагами (рис. 5). Лимфоциты с такой ультраструктурой определяются как цитолитические Т-лимфоциты [10].
Рис. 4. Трансформированный (иммунный) лимфоцит. X 12000.
Рис. 5. Контакт лимфоцита при помощи цитоплазматических выростов с макрофагом, х 9000.
На этом же этапе опухолевого роста в синусах увеличивается число плазматических клеток — до 4,16±0,42% (Р<0,001). Ультраструктура их свидетельствует об активном синтезе антител — цитоплазма содержит резко расширенные цистерны гранулярного эндоплазматического ретикулума в отличие от узких цистерн в норме (рис. 6). Появление активированных Т-лимфоцитов и плазматических клеток возможно в результате бласттрансформации — число иммунобластов возрастает до 2,33±0,37% (Р<0,001). Под электронным микроскопом видно, что эти клетки представлены как лимфо-, так и плазмобластами. Они больше по размерам, чем лимфоциты (10—25 мкм), также увеличен и объем цитоплазмы. Отличительным признаком служит наличие свободных рибосом (лимфобласт) или связанных с эндоплазматическим ретикулумом (плазмобласт).
Рис. 6. Антителообразующая плазматическая клетка. X 11000.
Обращает на себя внимание тучноклеточная реакция синусов — содержание мастоцитов возрастает до 0,61±0,11% (Р<0,001); в их цитоплазме обнаруживаются электронноплотные секреторные гранулы (рис. 7). Можно отметить и умеренную нейтро- и эозинофилию, причем нейтрофилы часто находятся в состоянии фагоцитоза.
Рис. 7. Тучная клетка, х 10000.
При появлении в лимфатических узлах метастазов структура синусов существенно меняется. Мы не останавливаемся здесь на особенностях проникновения в лимфоузлы и распространения в синусах опухолевых клеток, поскольку это подробно описано как на светооптическом [13], так и на ультраструктурном уровнях [11]. Нас прежде всего интересовало поведение клеточных элементов в непораженных участках синусов и их функциональное состояние применительно к способности сдерживать метастазирование. На данном этапе опухолевого роста площадь синусов снижается по сравнению с непораженными узлами почти вдвое - 12,91±0,75% (Р<0,001). Несмотря на небольшое увеличение количества тикулярных клеток (до 49,49+0,97%; Р<0,01), их функциональная морфология претерпевает значительные изменения: уменьшается число цитоплазматических отростков, снижается объем цитоплазмы, сокращается количество рибосом и лизосом. Ядро становится более электронноплотным, без инвагинаций. Фагоцитированные включения, как правило, не обнаруживаются.
В целом клетка приобретает вытянутую форму и принимает вид, согласно определению ряда авторов, “фибробластической ретикулярной клетки” [2, 16]. Кроме того, в синусах обнаруживаются и истинные фибробласты, причем многие из этих клеток активно синтезируют коллаген (рис. 8). Процент малых лимфоцитов при метастазировании остается на том же уровне — 28,75±1,27 (Р>0,05). Однако эти клетки представлены в основном нетрансформированными элементами, ультраструктура которых описана выше, и дегенерирующими клетками с пикнотичным ядром повышенной электронной плотности, набухшими митохондриями без крист и отдельными вакуолями в цитоплазме.
Рис. 8. Активный фибробласт. X 12000.
Резкое уменьшение количества активированных лимфоцитов предполагает и снижение числа их предшественников — лимфобластов, что и происходит: процент бластов падает до 1,04±0,12% (Р<0,002). Однако это снижение реализуется лишь за счет лимфобластов, в то время как плазмобласты с гранулярным эндоплазматическим ретикулумом встречаются в синусах весьма часто. Этому соответствует и достаточно выраженная плазматизация. Количество плазмоцитов хотя и снижается по сравнению с таковым в группе неметастазирующего рака до 20,9±0,21% (Р<0,001), но относительно нормы остается повышенным вдвое (Р<0,05), причем их ультраструктура свидетельствует об активном синтезе антител. Из других особенностей синусов при появлении здесь метастазов отметим снижение количества тучных клеток до 0,04±0,01% (Р<0,001), нейтрофилов до 0,07±0,01% (Р<0,002) и эозинофилов до 0,14±0,02% (Р<0,05).
Таким образом, как показали наши исследования, на ранних этапах опухолевого роста (I, реже II стадия рака), до появления в лимфоузлах метастазов, в синусах наблюдается выраженная ретикулогистиоцитарная (макрофагальная) реакция. Этот процесс реализуется в виде активации фиксированных и свободных макрофагов (ретикулярных клеток и пришлых интерстициальных фагоцитов моноцитарного происхождения). Данные клеточные элементы не только участвуют в неиммунном фагоцитозе опухолевых клеток [6], но и определяют антигенную стимуляцию противоопухолевого иммунитета [8]. Последний манифестируется в синусах через бластную стадию появлением активированных (иммунных) лимфоцитов и антителообразующих плазматических клеток. Можно сделать вывод, что на данном этапе развития опухоли макрофагальная и Т-клеточная реакция синусов сдерживают метастазирование. Этому способствуют также нейтрофилы и эозинофилы, обладающие неспецифическими опухолелитическими свойствами [15, 17].
Однако при II и, особенно, при II стадиях рака интенсивность синусного гистиоцитоза заметно снижается параллельной инактивацией реакции клеточного иммунитета в виде исчезновения активированных лимфоцитов В то же время напряженность гуморального иммунитета ослабевает несколько меньше — антителообразующие клетки плазмоцитарного ряда являются частой находкой. Подобная картина может быть объяснена не только выделением опухолью иммуносупрессивных субстанций [20], но и блокирующим действием гуморальных антител, выделяемых плазматическими клетками и плазмобластами, которые могут блокировать антигенные детерминанты опухолевых клеток, инактивировать макрофагальную реакцию представления антигена и препятствовать сенсибилизации Т-эффекторов к опухоли [14, 19]. Кроме того, приживлению раковых клеток в лимфоузлах могут способствовать тучноклеточная реакция [3] и уменьшение количества эозинофилов и нейтрофилов [4]. Подобные изменения синусов в конечном итоге способствует закреплению в них метастазов, распространению их на лимфоидную ткань и в конечном итоге генерализации опухолевого процесса.
About the authors
D. E. Tsyplakov
Kazan State Medical University
Author for correspondence.
Email: info@eco-vector.com
Russian Federation, Kazan
N. Sh. Shamsutdinov
Kazan State Medical University
Email: info@eco-vector.com
Russian Federation, Kazan
References
Supplementary files










