Pathological manifestations of inflammatory microthrombosis in COVID-19
- Authors: Khismatullin R.R.1, Ivaeva R.A.1,2,3, Abdullayeva S.1, Shakirova A.Z.3,4, Khuzin F.F.1, Kiassov A.P.1, Litvinov R.I.1
-
Affiliations:
- Institute of Fundamental Medicine and Biology, Kazan (Volga Region) Federal University
- Republican Clinical Hospital
- Kazan State Medical University
- RZD-Medicine Clinical Hospital
- Issue: Vol 103, No 4 (2022)
- Pages: 575-586
- Section: Theoretical and clinical medicine
- Submitted: 19.11.2021
- Accepted: 14.06.2022
- Published: 15.08.2022
- URL: https://kazanmedjournal.ru/kazanmedj/article/view/88704
- DOI: https://doi.org/10.17816/KMJ2022-575
- ID: 88704
Cite item
Full Text
Abstract
Background. COVID-19 is a predominantly respiratory disease caused by the SARS-CoV-2 virus that has spread as a pandemic since 2020; characterized by high mortality and unexplored long-term outcomes.
Aim. To describe the morphological changes in the lungs and other organs in severe forms of COVID-19.
Material and methods. A macro- and microscopic examination of the lungs, kidneys, liver, brain and heart of 45 patients who died from complications of COVID-19 was carried out. Histological preparations were stained with hematoxylin and eosin, by the Picro-Mallory stain, as well as with fluorescent antibodies and dyes to visualize neutrophil extracellular traps.
Results. The leading pathomorphological manifestations of COVID-19 were inflammation and microthrombosis in the lungs. At the same time, diffuse alveolar damage often developed as a manifestation of acute respiratory distress syndrome in an adult. Diffuse leukocyte infiltration of the lungs was combined with the formation of neutrophil extracellular traps in the lumens of the blood vessels. Diffuse microthrombi were found in most lung tissue samples (87%), while macroscopic thrombi were much less common (16%). In single cases, the cause of death was thromboembolism of the branches of the pulmonary artery, originating from deep vein thrombi of the lower extremities or the right atrial appendage. In the tissues of the liver, heart, kidneys and brain, moderate alterative (degenerative and necrobiotic) microscopic changes were observed, as well as morphological signs of concomitant chronic diseases.
Conclusion. COVID-19 is characterized by pathogenically interrelated morphological manifestations of inflammation and primary pulmonary (micro)thrombosis in the form of accumulation of leukocytes both in blood clots and in the alveoli, while regional pulmonary immunothrombosis is associated with diffuse damage to the alveoli; in the heart, brain, liver and kidneys, predominantly dystrophic and necrobiotic changes occur, which are typical of secondary injuries and/or concomitant pathology.
Keywords
Full Text
Актуальность
Заболевание, вызываемое вирусом SARS-CoV-2 и именуемое COVID-19 (от англ. COronaVIrus Disease), приобрело характер пандемии с общей летальностью 1–2,3% [1] без учёта возрастных различий. Общее количество смертей от осложнений COVID-19 исчисляется несколькими миллионами, и эта цифра продолжает расти. В большинстве случаев COVID-19 протекает с преобладанием респираторных клинических проявлений, варьирующих от лёгких верхнереспираторных симптомов до тяжёлого поражения нижних дыхательных путей, включая развитие острого респираторного дистресс-синдрома взрослого, приводящего к дыхательной недостаточности. В то же время COVID-19 может характеризоваться разнообразными внелёгочными проявлениями, включая сердечную и почечную недостаточность [2].
Помимо относительно хорошо изученного местного и системного воспаления, важные патогенетические механизмы COVID-19 связаны с эндотелиальной дисфункцией и закономерно сопровождаются нарушениями гемостаза, приводящими к опасным для жизни тромботическим осложнениям [3]. Показано, что воспаление и гиперкоагуляция, связанные с активацией и повреждением эндотелия, могут способствовать развитию микротромбоза сосудов лёгких [4]. Одновременное накопление нейтрофилов и мегакариоцитов создаёт условия для формирования регионарных внутри- и внесосудистых сгустков крови и тромбов, состоящих из лейкоцитов, активированных тромбоцитов (кровяных пластинок)
и фибрина [5].
Хотя тяжесть заболевания и неблагоприятные исходы при COVID-19 определяются преимущественно развитием острого респираторного дистресс-синдрома взрослого, внелёгочные поражения и полиорганная недостаточность также могут стать причинами смерти [2]. В частности, пациенты с тяжёлой формой COVID-19 имеют высокий риск развития почечной, печёночной и сердечной недостаточности, которые, в свою очередь, связаны с неблагоприятными исходами [2].
Сочетание системного воспаления и воспалительного тромбоза, иногда называемого иммунотромбозом, считают одной из основных причин смерти при COVID-19 [6]. Однако взаимосвязь между противовирусной воспалительной реакцией и коагулопатиями остаётся в значительной степени неясной. В эти сложные и взаимосвязанные реакции вовлекаются различные клетки (эндотелиоциты, нейтрофилы, моноциты, лимфоциты, альвеолоциты), воспалительные медиаторы, кровяные пластинки (тромбоциты) и факторы свёртывания крови. Все эти механизмы при определённых условиях могут приобретать гиперреактивный патогенный характер и усугублять течение новой коронавирусной инфекции.
Новизна нашего исследования состоит в углублённом и детальном изучении структурных проявлений воспалительных тромбозов для дальнейшей расшифровки механизмов развития COVID-19.
Цель
Цель настоящего исследования — изучить и описать структурные изменения тканей и органов (лёгких, сердца, головного мозга, печени и почек) пациентов, умерших от осложнений COVID-19. Особое внимание было обращено на морфологические признаки микротромбоза и воспалительной реакции в лёгких как основных факторов, определяющих клиническое течение и исходы COVID-19.
Материал и методы исследования
Характеристика аутопсийного материала
Макроскопическому и гистологическому исследованию подлежали образцы тканей лёгких, почек, печени, головного мозга и сердца, полученные от 45 умерших пациентов с прижизненно подтверждённой инфекцией, вызванной SARS-CoV-2 (положительная полимеразная цепная реакция). Аутопсии производили в течение 1-х суток после наступления смерти в патологоанатомическом отделении Республиканской клинической больницы (г. Казань, Республика Татарстан, Российская Федерация). Предварительно были изучены медицинские карты стационарных больных.
Настоящее исследование одобрено этическим комитетом Казанского (Приволжского) федерального университета (протокол №27 от 28.12.2020).
Общие демографические и клинические данные пациентов представлены в табл. 1. Все умершие больные имели клинически зафиксированные проявления остановки сердца и кардиогенного (гидростатического) либо мембраногенного отёка лёгких вследствие развившегося острого респираторного дистресс-синдрома взрослого, однако непосредственные причины смерти были разнообразными. В соответствии с временными рекомендациями Минздрава Российской Федерации [7], все пациенты получали стандартное лечение, включая антикоагулянты (низкомолекулярный гепарин) и иммунодепрессанты.
Таблица 1. Характеристика включённых в исследование пациентов, умерших от осложнений COVID-19 (n=45)
Клинические и демографические данные | Частота |
Средний возраст, годы | 72±12 |
Женский пол | 27 (60%) |
Длительность заболевания, дни | 6±3 |
Осложнения и сопутствующие заболевания | |
Артериальная гипертензия | 43 (96%) |
Почечная недостаточность | 38 (84%) |
Хроническая ишемическая болезнь сердца | 25 (56%) |
Ожирение I–II степени | 19 (42%) |
Печёночная недостаточность | 13 (29%) |
Бактериальная пневмония | 12 (27%) |
Лёгочный макротромбоз | 7 (16%) |
Сахарный диабет 2-го типа | 7 (16%) |
Лёгочная эмболия | 4 (9%) |
Причины смерти по клиническим данным | |
Дыхательная недостаточность, пневмония | 36 (80%) |
Внезапная сердечная смерть | 5 (11%) |
Сердечно-лёгочная недостаточность, лёгочная эмболия | 4 (9%) |
Непосредственные причины смерти (по патологоанатомическим данным, согласно | |
Синдром респираторного расстройства [дистресса] у взрослого | 31 (69%) |
Лёгочный отёк с упоминанием о болезни сердца или сердечной недостаточности (кардиогенный) | 6 (13%) |
Лёгочный отёк (некардиогенный) | 4 (9%) |
Диффузная или диссеминированная внутрисосудистая коагуляция | 2 (4,5%) |
Острая почечная недостаточность с тубулярным некрозом | 2 (4,5%) |
Гистологические и иммуногистохимические исследования
Для гистологического исследования образцы тканей фиксировали в 10% нейтральном забуференном формалине (БиоВитрум), промывали водопроводной водой, разрезали на более мелкие фрагменты, затем обезвоживали в изопропаноле с использованием тканевого процессора STP 420ES (Thermo Scientific) и заливали в парафин. На роторном микротоме изготавливали срезы толщиной 4 мкм и депарафинировали в ксилоле. Полученные гистологические срезы окрашивали гематоксилином и эозином (БиоВитрум), а также по методу пикро-Маллори (БиоВитрум) для выявления фибрина, затем дегидратировали, просветляли в ксилоле и заключали в канадский бальзам.
Двенадцать образцов тканей лёгких использовали для визуализации нейтрофильных внеклеточных ловушек (НВЛ), где НВЛ-специфические цитруллинированные H3-гистоны были окрашены с использованием первичных кроличьих антител против человеческого гистона H3 (Abcam), рабочее разведение 1:200. Образцы промывали фосфатно-солевым буфером и инкубировали с вторичными антителами: ослиными анти-кроличьими иммуноглобулинами G, меченными Alexa Fluor 488 (Invitrogen) для иммунофлюоресцентного окрашивания. DAPI (Abcam) использовали для флюоресцентного окрашивания дезоксирибонуклеиновой кислоты (ДНК) с целью визуализации нейтрофилов и НВЛ. Световую микроскопию выполняли на микроскопе Zeiss AxioImager Z2.
Результаты
Патологические изменения в лёгких
При макроскопическом исследовании было выявлено, что лёгкие всех умерших были полнокровными и тяжёлыми (масса каждого лёгкого >700 г при норме 350–450 г). Висцеральная плевра часто имела выраженную гетерогенную пятнистую структуру с плотными полнокровными участками тёмно-красного цвета, чередующимися с более мягкими светло-красными очагами. На разрезе с поверхности лёгких стекала розоватая пенистая жидкость в большом количестве, что микроскопически соответствовало выраженному интерстициальному и внутриальвеолярному отёку.
Гистологически в подавляющем большинстве образцов (87%) обнаружены множественные микротромбы в капиллярах (рис. 1, А) и артериолах (рис. 1, Б). В первом случае они состояли преимущественно из эритроцитов (красные тромбы), во втором — чаще из фибрина с примесью большого количества лейкоцитов (белые тромбы; рис. 1, Б, В). Эти тромбы были первичными, а не тромбоэмболами, что нашло своё подтверждение в виде отсутствия потенциальных источников эмболии в поверхностных или глубоких венах нижних конечностей и малого таза.
Рис. 1. Гистологические изображения с дисциркуляторными изменениями в образцах тканей лёгких пациентов, умерших от COVID-19. А. Эритроцитарные микротромбы (М); очаговый фиброз (Ф); лейкоцитарная инфильтрация (Л). Окраска по методу пикро-Маллори, линейка 100 мкм. Б. Пристеночный тромб (Т), содержащий фибрин и лейкоциты. Окраска гематоксилином и эозином, линейка 100 мкм. В. Обтурирующий тромб (Т) с обилием лейкоцитов в мелкой ветви лёгочной артерии; периваскулярный фиброз (Ф). Окраска по методу пикро-Маллори, линейка 100 мкм. Г. Лёгочный тромбоэмбол с чередованием «старого» (синего цвета1) фибрина (Фб) и эритроцитов (Эр). Окраска по методу пикро-Маллори, линейка 100 мкм
Только в 9% случаев (4 из 45) непосредственной причиной смерти стала массивная тромбоэмболия лёгочной артерии (ТЭЛА), включающая эмболизацию основного ствола и ветвей лёгочной артерии (см. табл. 1). У пациентов с ТЭЛА образование множественных крупных и мелких тромбоэмболов было связано с клинически диагностированным тромбозом глубоких (феморальных и подколенных) вен и/или тромбозом ушка правого предсердия.
В тромбоэмболах (протяжённостью 10–13 мм) фибрин располагался на периферии, а прилегающая лёгочная паренхима была диффузно инфильтрирована лейкоцитами, преимущественно мононуклеарными. Внутреннее строение лёгочных эмболов характеризовалось чередованием слоёв фибрина и эритроцитов (со значительным преобладанием последних), что может соответствовать линиям Зана.
При окраске по методу пикро-Маллори фибрин в тромбоэмболах лёгочной артерии окрашивался в синий цвет (рис. 1, Г). По нашим данным [8], синий цвет фибрина при окраске по методу пикро-Маллори указывает на тот факт, что образование сгустков произошло не менее чем за 24 ч до их извлечения и фиксации; следовательно, первичные тромбы и тромбоэмболы имели прижизненный характер.
Наряду с микротромбозом наиболее частыми гистологическими находками в лёгких были воспалительный клеточный инфильтрат (в 80% образцов), большое количество гиалиновых мембран на поверхности альвеолярных перегородок (73%), признаки стаза крови (60%), определяемые как расширение сосудов в сочетании с повышенным кровенаполнением микрососудов, диапедезные кровоизлияния (82%) в виде присутствия эритроцитов за пределами микрососудистого русла и интерстициальный и/или внутриальвеолярный отёк (100%).
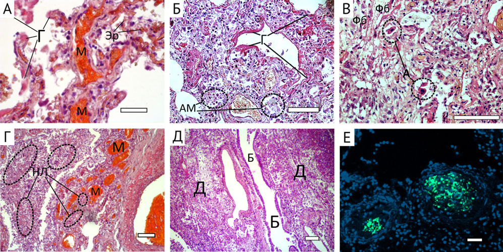
Характерным проявлением патологии лёгких было диффузное альвеолярное повреждение (рис. 2, А–В) в сочетании с вирус-опосредованными цитопатическими изменениями альвеолоцитов, определяемыми как гигантские размеры и многоядерность слущенных клеток (рис. 2, Б, В). В части образцов лёгких (27%) не отмечено выраженного диффузного повреждения альвеол, но обнаружена обширная нейтрофильная инфильтрация бронхов и прилегающих тканей лёгкого по типу острого (гнойного) бронхита (рис. 2, Г) или бактериальной пневмонии (рис. 2, Д). Аккумуляция нейтрофилов сочеталась с образованием в просвете сосудов НВЛ (рис. 2, Е), которые были выявлены по флюоресценции НВЛ-специфичных гистонов и ДНК.
Рис. 2. Гистологические изображения с воспалительными изменениями в образцах тканей лёгких пациентов, умерших от COVID-19. А. Гиалиновые мембраны (Г), эритроцитарные микротромбы (М) и диапедез отдельных эритроцитов (Эр). Окраска гематоксилином и эозином, линейка 50 мкм. Б. Гиалиновые мембраны (Г), интерстициальный отёк и лейкоцитарная инфильтрация; слущенные альвеолоциты и аутоцитофагия (клеточные фрагменты в цитоплазме альвеолярных макрофагов; АМ). Окраска гематоксилином и эозином, линейка 100 мкм. В. Диффузное альвеолярное повреждение, экссудативная фаза с выпадением фибрина (Фб) в просвет альвеол. Цитопатически изменённые и многоядерные альвеолоциты (А). Окраска гематоксилином и эозином, линейка 100 мкм. Г. Нейтрофильные лейкоциты (НЛ) в просвете и в стенке бронха (панбронхит) с лимфогистиоцитарной инфильтрацией и распространением на лёгочную паренхиму; интерстициальный отёк и эритроцитарные микротромбы (М). Окраска гематоксилином и эозином, линейка 100 мкм. Д. Просвет бронха (Б) и лёгочная паренхима с диффузным альвеолярным повреждением (Д) в экссудативной фазе. Окраска гематоксилином и эозином, линейка 100 мкм. Е. Кровеносные сосуды лёгких с микротромбами; окрашены на гистоны CitH3 (зелёный) и ДНК (синий) для визуализации нейтрофилов и нейтрофильных внеклеточных ловушек. Внесосудистые клетки DAPI-положительны (синий цвет) из-за присутствия ДНК. Флюоресценция, линейка 50 мкм
НВЛ высвобождаются из нейтрофилов и представляют собой фибриллярные структуры, состоящие из деконцентрированного хроматина (ядерной ДНК и гистонов) и связавшихся с ним белков нейтрофильных гранул. Образование НВЛ играет важную роль в защите от патогенных микроорганизмов, однако может стать причиной воспалительного тромбоза и повреждения тканей. Примечательно, что посмертное обнаружение НВЛ сочеталось с клиническими проявлениями тяжёлого воспалительного поражения лёгких, включая тахипноэ и лихорадку, что косвенно может указывать на их прижизненное происхождение.
Помимо изменений, обусловленных острым COVID-19, в лёгких были морфологические признаки хронических патологических состояний, такие как перестройка (фиброз) и разрушение альвеолярных перегородок (100%) и очаговая лимфоцитарная инфильтрация бронхов (11%), вероятно, связанные с ранее перенесёнными и/или сопутствующими заболеваниями либо являющиеся исходом основного заболевания.
Патологические изменения в сердце
Морфологические признаки тромбоза и других нарушений кровообращения в сосудах сердца встречались реже, чем в лёгких, и имели ряд особенностей. Так, тромбы, выявляемые макроскопически, присутствовали только в 13% случаев, а микротромбы — в 24% проанализированных образцов миокарда. У 1 пациента обнаружен пристеночный тромб в полости ушка правого предсердия, который стал источником ТЭЛА (рис. 3, А).
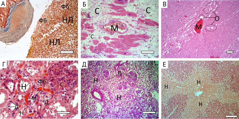
Рис. 3. Гистологические изображения аутопсийных образцов сердца (А, Б), головного мозга (В), почек (Г, Д) и печени (Е) пациентов, умерших от COVID-19. А. Полость сердца с тромбом из фибрина (Фб) и нейтрофильных лейкоцитов (НЛ). Окраска по методу пикро-Маллори, линейка 100 мкм. Б. Микротромбы (М) в просвете сосуда; крупноочаговый кардиосклероз (С), дистрофия кардиомиоцитов. Окраска гематоксилином и эозином, линейка 100 мкм. В. Микротромб (М), состоящий из эритроцитов; отёк головного мозга (О). Окраска гематоксилином и эозином, линейка 100 мкм. Г. Эритроцитарные микротромбы (М); некротический нефроз (Н); паренхиматозная очаговая дистрофия канальцевого эпителия (Д); минимальные признаки гломерулосклероза (С); фокальные отложения фибрина (Фб) в мочевом пространстве клубочка. Окраска гематоксилином и эозином, линейка 50 мкм. Д. Белковые «полулуния» (П) в мочевом пространстве клубочка на фоне острого тубулярного некроза (Н). Окраска гематоксилином и эозином, линейка 200 мкм. Е. Центролобулярные некрозы (Н) в печени. Окраска гематоксилином и эозином, линейка 200 мкм
Преобладающими патоморфологическими изменениями в тканях сердца были проявления хронических преморбидных состояний, включая коронарный артериосклероз (89% образцов), крупно- и мелкоочаговый диффузный кардиосклероз (20%) и венозное полнокровие (49%), что указывает на хроническую ишемическую болезнь сердца и/или ишемическую кардиомиопатию (подтверждены клинически), предшествующие COVID-19.
Острая очаговая ишемическая дистрофия кардиомиоцитов, а также проявления системных нарушений кровообращения, не связанных с окклюзией коронарных артерий, зарегистрированы в подавляющем большинстве случаев (84%) (рис. 3, Б). Гистологических признаков воспалительной клеточной инфильтрации в тканях сердца на момент аутопсии не обнаружено.
Патологические изменения в головном мозге
Гистологически микротромбоз сосудов головного мозга обнаружен в 47% проанализированных образцов. Во всех без исключения случаях выявлены признаки стаза в капиллярах, выраженного перицеллюлярного и периваскулярного отёка (рис. 3, В). Других значимых патогистологических изменений в тканях головного мозга не было.
Патологические изменения в почках
При гистологическом исследовании микротромбоз сосудов почек обнаружен только в 18% случаев. Во всех изученных образцах почек были гистологические признаки острого повреждения канальцевого аппарата, преимущественно проксимальных отделов (в результате дисциркуляторных изменений поражаются сначала проксимальные, затем дистальные отделы нефрона). Эти признаки включали острый тубулярный некроз (82% образцов) и/или дистрофические изменения (100%), которые проявлялись в форме гидропической дистрофии, баллонной дегенерации (фокальный колликвационный некроз) и десквамации эпителиальных клеток с едва различимой канальцевой базальной мембраной (рис. 3, Г).
В ряде случаев присутствовало кистозное расширение канальцев с наличием в просвете белковых цилиндров, а также потеря эпителиоцитами щёточной каёмки. Вокруг дистальных отделов канальцев и собирательных трубочек иногда происходило разрыхление интерстиция за счёт перифокального отёка без признаков воспаления.
Артериологиалиноз и артериосклероз гломерулярного аппарата выявлен в 53% образцов почек, что, вероятно, соответствует хронической нефропатии, характерной для сопутствующих заболеваний — сахарного диабета 2-го типа или артериальной гипертензии. Признаки ишемии, формирование белковых «полулуний» в мочевом пространстве (рис. 3, Д) и сморщивание капиллярных петель отмечены в 22% случаев.
Патологические изменения в печени
Морфологические признаки микротромбоза в сосудах печени не встречались, однако выраженные дисциркуляторные изменения в виде венозного полнокровия центролобулярных отделов отмечены в 73% образцов. Альтеративные изменения характеризовались дистрофией (100%) или некрозом (62%) гепатоцитов преимущественно в центре печёночных долек (рис. 3, Е).
Зарегистрированы следующие хронические изменения: в половине случаев (51%) выявлен фиброз портальных трактов, в трети образцов (31%) — их выраженная лимфогистиоцитарная инфильтрация. Однако ложные печёночные дольки в сочетании с перипортальным склерозом с формированием порто-портальных септ и пролиферацией эпителиоцитов жёлчных протоков портальной зоны были обнаружены только у 7%, что соответствовало мономультилобулярному циррозу печени.
Обсуждение
Результаты аутопсии предоставляют фундаментальную структурную основу для расшифровки патогенетических механизмов инфекционных заболеваний, протекающих в наиболее тяжёлой форме с летальным исходом. Несмотря на многочисленные исследования, посвящённые изучению различных аспектов COVID-19, включая патоморфологию тканей и органов, патогенез и морфогенез изменений при этом заболевании остаются до конца не ясными, а результаты лечения часто остаются неудовлетворительными. Исходя из этого, в настоящей работе были исследованы аутопсийные образцы тканей лёгких, сердца, печени, почек и головного мозга пациентов, умерших от осложнений COVID-19. При этом наибольшее внимание уделено патологии лёгких, как главной мишени вируса SARS-CoV-2.
Из литературы известно, что при COVID-19, помимо выраженных лёгочных изменений, страдают также другие органы и системы, особенно если речь идёт о смертельном исходе [2]. По этой причине важно провести сравнительный анализ тяжести повреждения разных органов и выявить морфогенетические особенности их поражения при COVID-19.
Известно, что вирус SARS-CoV-2 вызывает системную эндотелиальную дисфункцию [9], приводящую к полиорганной недостаточности вследствие локального (регионарного) или диссеминированного внутрисосудистого свёртывания крови [10]. Важнейшая особенность COVID-19 — регионарный микротромбоз лёгочных сосудов наряду с относительно высокой распространённостью тромбоза глубоких вен и последующей лёгочной тромбоэмболией [11].
Результаты нашего исследования в целом подтверждают эти наблюдения, но дополняют важными деталями, относящимися к патоморфологии воспаления и тромбоза в лёгких на аутопсийном материале. Анализ полученных данных показывает, что главный морфогенетический механизм при COVID-19 — системное воспаление и связанные с ним нарушения кровообращения в лёгких вследствие тромботической окклюзии кровеносных сосудов, в том числе микроциркуляторного русла.
Данное положение подтверждается такими патогистологическими находками, как наличие большого количества нейтрофилов в составе внутрилёгочных воспалительных инфильтратов и в тромбах, сопровождающееся образованием НВЛ в сочетании с микроскопическими признаками острого респираторного дистресс-синдрома взрослого.
Следует добавить, что морфологические критерии синдрома системного воспалительного ответа (SIRS — от англ. systemic inflammatory response syndrome) являются весьма неспецифическими и характеризуются распространёнными изменениями: нарушениями гемоциркуляции и гемокоагуляции, дистрофическими и некробиотическими процессами в тканях при COVID-19. В большей мере SIRS — это клиническое понятие, характеризующееся лихорадкой, тахикардией, тахипноэ и лейкоцитозом [12].
Наряду с воспалительным тромбозом, обусловленным первичным (цитопатический эффект SARS-CoV-2) и вторичным (цитокиновый шторм) повреждением эндотелия в ходе инфекционного процесса, наиболее частыми морфологическими признаками повреждения лёгких были альвеолярная деструкция (часто проявляющаяся как диффузное альвеолярное повреждение) с отёком лёгких (см. рис. 2, А–Д), которые сопровождаются клинически наблюдаемой острой дыхательной недостаточностью. Следует отметить, что описанные патологические изменения могут быть не связаны напрямую с воспалительным поражением лёгких. Учитывая пожилой возраст умерших пациентов и наличие сопутствующих заболеваний (артериальная гипертензия, ожирение, диабет 2-го типа и др.; см. табл. 1), отёк мог быть непосредственно вызван и усугублён сочетанием лёгочных и внелёгочных патогенных факторов.
Острый пневмонит, ТЭЛА и регионарный тромбоз микрососудов лёгких часто сочетались с хронической ишемической болезнью сердца и кардиомиопатией, которые могли усугубить респираторные проблемы. Независимо от патогенетических факторов, прогрессирующая дыхательная недостаточность была основным механизмом смерти у всех наблюдаемых пациентов.
В литературе существуют разные точки зрения относительно того, образуются ли ассоциированные с COVID-19 микро- и макротромбы в лёгких in situ, или они представляют собой вторичные тромбоэмболы, происходящие из внелёгочного тромба [4]. В подавляющем большинстве проанализированных нами образцов тромботическая обструкция сосудов лёгких, связанная с острым воспалением, наблюдалась при отсутствии выявленного источника и условий возникновения эмболии, что служит аргументом в пользу первичного микротромбоза в лёгких.
Результаты наших исследований в целом согласуются с тем, что лёгочные микротромбы при COVID-19 возникают из-за локальных факторов (стаз крови и повреждение эндотелия), а не исходят из тромбов нижних конечностей или сердца [13]. Вместе с тем, в ряде наших наблюдений у пациентов с COVID-19 развивалась типичная вторичная ТЭЛА (табл. 2, см. табл. 1, рис. 1, Г). Хотя угроза первичного воспалительного тромбоза в лёгких, по нашим данным, преобладает, учитывая высокий риск тромбоза глубоких вен при COVID-19 [14], вероятность ТЭЛА всегда сохраняется, что требует проведения профилактических мероприятий в клинике.
Таблица 2. Патогистологические изменения и частота их выявления у пациентов, умерших от COVID-19
Морфологические признаки | Частота (общее число пациентов n=45) |
Лёгкие | |
Разрушение альвеолярных перегородок | 45 (100%) |
Отёк (внутриальвеолярный и интерстициальный) | 45 (100%) |
Микротромбы | 39 (87%) |
Кровоизлияния (интерстициальные и/или внутриальвеолярные) | 37 (82%) |
Скопления лейкоцитов (интерстициальные и/или внутриальвеолярные) | 36 (80%) |
Отложения фибрина в альвеолах («гиалиновые мембраны») | 33 (73%) |
Стаз крови | 27 (60%) |
Тромбы в артериолах | 7 (16%) |
Тромбоэмболы | 4 (9%) |
Нейтрофильные внеклеточные ловушки (иммуногистохимия, n=12) | 1 (8%) |
Сердце | |
Коронарный артериосклероз | 40 (89%) |
Дистрофия кардиомиоцитов | 38 (84%) |
Венозное полнокровие | 22 (49%) |
Микротромбы | 11 (24%) |
Кардиосклероз (крупноочаговый) | 9 (20%) |
Тромбы в эпикардиальных коронарных сосудах | 6 (13%) |
Тромб в полости сердца | 3 (7%) |
Головной мозг | |
Отёк | 42 (93%) |
Микротромбы | 21 (47%) |
Почки | |
Дистрофия эпителия почечных канальцев | 45 (100%) |
Некротический нефроз (острый тубулярный некроз) | 37 (82%) |
Гломерулосклероз | 24 (53%) |
Белковые полулуния в капсулах клубочков | 10 (22%) |
Микротромбы | 8 (18%) |
Печень | |
Дистрофия гепатоцитов (в том числе жировая) | 45 (100%) |
Венозное полнокровие центральных отделов долек | 33 (73%) |
Центролобулярные некрозы | 28 (62%) |
Фиброз портальных трактов | 23 (51%) |
Лимфогистиоцитарная инфильтрация портальных трактов | 14 (31%) |
Мономультилобулярный цирроз (неполный септальный) | 3 (7%) |
Диффузное альвеолярное повреждение с образованием непроницаемых гиалиновых мембран в сочетании с воспалением в первую очередь вызывает нарушение газообмена при COVID-19 и бывает проявлением острого респираторного дистресс-синдрома взрослого [15]. Морфологическая картина возникающего при COVID-19 пневмонита представлена инфильтрацией межальвеолярных перегородок преимущественно нейтрофилами (см. рис. 2, Д) и покрытием альвеол фибрином.
Поскольку нейтрофилы — многочисленные клетки в лёгких пациентов с COVID-19, они становятся источником НВЛ, образующихся в участках воспаления (см. рис. 2, Е). Известно, что НВЛ способствуют отложению фибрина, активации тромбоцитов (кровяных пластинок), нарушают местный кровоток и снижают восприимчивость тромбов и микротромбов к фибринолизу [16]. Эти процессы вызывают и усугубляют иммунотромбоз, способствуя окклюзии сосудов и гипоксии.
Образование НВЛ и микротромбоз образуют порочный круг [17], который усугубляет дыхательную недостаточность при COVID-19 из-за глубокого нарушения микроциркуляции в лёгких, включающего экстравазацию нейтрофилов с последующим воспалительным повреждением окружающей лёгочной паренхимы (см. рис. 1, А, 2, Г, Д). Активация клеток эндотелия и накопление фактора фон Виллебранда в зоне микротромбоза также способствуют нарушению кровообращения и газообмена в лёгких [18].
Это согласуется со способностью НВЛ вызывать гибель клеток эпителия лёгких, тем самым способствуя осложнённому и тяжёлому течению болезни. Существующие данные позволяют предположить, что регуляция образования НВЛ и их состава может представлять собой потенциальную терапевтическую мишень при COVID-19 и, возможно, при других воспалительных и инфекционных заболеваниях.
В отличие от лёгких, воспаление и тромбоз были значительно менее выражены в почках, печени, сердце и головном мозге, в которых преобладали дистрофические и дисциркуляторные изменения. Эти результаты согласуются с данными других исследователей, в которых показано, что большинство внелёгочных тканей имеет структурные изменения, ассоциированные преимущественно с коморбидными состояниями или заболеваниями в анамнезе [11]. Однако, по нашему мнению, патологические процессы могут развиваться также и вследствие системной эндотелиальной дисфункции, вызывая первичные структурные изменения во многих органах.
Все описанные морфологические находки указывают как на значительное повреждение лёгких с развитием дыхательной недостаточности, так и на деструктивные изменения других органов, хотя и менее выраженные, в совокупности с высоким риском тромботических осложнений при COVID-19.
Выводы
- На основании гистологических и иммуногистохимических исследований аутопсийного материала умерших от COVID-19 следует признать, что наиболее выражено повреждение тканей лёгких.
- Совокупность повреждений лёгких включает распространённый воспалительный микро- и макротромбоз, диффузное альвеолярное повреждение и выраженное воспаление в виде инфильтрации иммунными клетками и образования нейтрофильных внеклеточных ловушек, которые, в свою очередь, можно рассматривать как потенциальную мишень для терапии.
- Сердце, головной мозг, почки и печень имели менее выраженные морфологические признаки повреждений и нарушений кровообращения, которые, в том числе, отражали коморбидные хронические патологические состояния.
- Характер и выраженность патоморфологических проявлений соответствовали клинической картине заболевания, включая тяжёлое течение и летальные исходы.
Участие авторов. Р.И.Л. — концепция и дизайн исследования; Р.И.Л., Р.Р.Х., А.З.Ш., Ф.Ф.Х. и А.П.К. — разработка методологии и написание статьи; Р.Р.Х. и Ш.М.А. — проведение пробоподготовки образцов; Р.Р.Х., Р.А.И. и Ш.М.А. — сбор, анализ и интерпретация данных.
Источник финансирования. Работа выполнена за счёт средств Программы стратегического академического лидерства (Приоритет-2030) Казанского (Приволжского) федерального университета, гранта Российского научного фонда 21-75-00010 и грантов Российского фонда фундаментальных исследований 19-015-00075 и 20-015-00257.
Конфликт интересов. Авторы заявляют об отсутствии конфликта интересов по представленной статье.
Благодарности. Авторы выражают благодарность доктору медицинских наук Ивану Сергеевичу Рагинову за административную поддержку.
About the authors
Rafael R. Khismatullin
Institute of Fundamental Medicine and Biology, Kazan (Volga Region) Federal University
Author for correspondence.
Email: rafael.khismatullin@gmail.com
ORCID iD: 0000-0001-8597-811X
SPIN-code: 2802-2405
Scopus Author ID: 57201333953
ResearcherId: AAT-8662-2020
аспирант, каф. биохимии, биотехнологии и фармакологии; ст. препод., каф. морфологии и общей патологии, Институт фундаментальной медицины и биологии; врач-патологоанатом, Медсанчасть
Russian Federation, Kazan, RussiaRozalina A. Ivaeva
Institute of Fundamental Medicine and Biology, Kazan (Volga Region) Federal University; Republican Clinical Hospital; Kazan State Medical University
Email: malina.93rozali@gmail.com
ORCID iD: 0000-0002-8911-4818
M.D., pathologist, Depart. of Pathology; Depart. of Morphology and General Pathology, Institute of Fundamental Medicine and Biology; Depart. of General Pathology
Russian Federation, Kazan, Russia; Kazan, Russia; Kazan, RussiaShahnoza Abdullayeva
Institute of Fundamental Medicine and Biology, Kazan (Volga Region) Federal University
Email: abdullayevashahnoza1599@gmail.com
ORCID iD: 0000-0002-7647-2966
Scopus Author ID: 57223175877
student, Institute of Fundamental Medicine and Biology
Russian Federation, Kazan, RussiaAsia Z. Shakirova
Kazan State Medical University; RZD-Medicine Clinical Hospital
Email: asgm12@list.ru
ORCID iD: 0000-0003-3366-5933
SPIN-code: 8856-5689
Scopus Author ID: 8967918500
M.D., Cand. Sci. (Med.), Assoc. Prof., Depart. of General Pathology; pathologist, Depart. of Pathology
Russian Federation, Kazan, Russia; Kazan, RussiaFelix F. Khuzin
Institute of Fundamental Medicine and Biology, Kazan (Volga Region) Federal University
Email: felixhusin@yandex.ru
ORCID iD: 0000-0002-9164-0614
SPIN-code: 6961-7883
Scopus Author ID: 57192931144
M.D., Cand. Sci. (Med.), Assoc. Prof., Depart. of Morphology and General Pathology, Institute of Fundamental Medicine and Biology
Russian Federation, Kazan, RussiaAndrei P. Kiassov
Institute of Fundamental Medicine and Biology, Kazan (Volga Region) Federal University
Email: kiassov@mail.ru
ORCID iD: 0000-0003-4460-4140
SPIN-code: 6000-3551
Scopus Author ID: 8053304900
ResearcherId: L-1976-2015
M.D., D. Sci. (Med.), Prof., Head of Depart., Depart. of Morphology and General Pathology, Institute of Fundamental Medicine and Biology
Russian Federation, Kazan, RussiaRustem I. Litvinov
Institute of Fundamental Medicine and Biology, Kazan (Volga Region) Federal University
Email: litvinov@pennmedicine.upenn.edu
ORCID iD: 0000-0003-0643-1496
SPIN-code: 1327-1641
Scopus Author ID: 35565337800
ResearcherId: E-5291-2011
M.D., D. Sci. (Med.), Prof., Research Laboratory “Protein-Cellular Interactions”, Institute of Fundamental Medicine and Biology, Kazan (Volga Region) Federal University, Kazan, Russia; Senior Research Investigator, Department of Cell and Developmental Biology, School of Medicine, University of Pennsylvania, Philadelphia, USA
Russian Federation, Kazan, RussiaReferences
- Zhou P, Yang XL, Wang XG, Hu B, Zhang L, Zhang W, Si HR, Zhu Y, Li B, Huang CL, Chen HD, Chen J, Luo Y, Guo H, Jiang RD, Liu MQ, Chen Y, Shen XR, Wang X, Zheng XS, Zhao K, Chen QJ, Deng F, Liu LL, Yan B, Zhan FX, Wang YY, Xiao GF, Shi ZL. A pneumonia outbreak associated with a new coronavirus of probable bat origin. Nature. 2020;579:270–273. doi: 10.1038/s41586-020-2012-7.
- Zairatians OV, editor. Patologicheskaya anatomiya COVID-19. Atlas. (Pathalogical anatomy of COVID-19: Atlas.) M.: GBU “NIIOZMM DZM”; 2020. 140 p. (In Russ.)
- Tang N, Bai H, Chen X, Gong J, Li D, Sun Z. Anticoagulant treatment is associated with decreased mortality in severe coronavirus disease 2019 patients with coagulopathy. J Thromb Haemost. 2020;18:1094–1099. doi: 10.1111/jth.14817.
- Thachil J, Srivastava A. SARS-2 coronavirus-associated hemostatic lung abnormality in COVID-19: is it pulmonary thrombosis or pulmonary embolism? Semin Thromb Hemost. 2020;46:777–780. doi: 10.1055/s-0040-1712155.
- Becker RC. COVID-19 update: COVID-19-associa¬ted coagulopathy. J Thromb Thrombolysis. 2020;50:54–67. doi: 10.1007/s11239-020-02134-3.
- Jayarangaiah A, Kariyanna PT, Chen X, Jayarangaiah A, Kumar A. COVID-19-associated coagulopathy: An exacerbated immunothrombosis response. Clin Appl Thromb Hemost. 2020;26:1076029620943293. doi: 10.1177/1076029620943293.
- Temporary guidelines “Prevention, diagnosis and treatment of the new coronavirus infection (COVID-19)”. Ministry of Health of the Russian Federation. Version 12 (21.09.2021). 232 р. https://static-0.minzdrav.gov.ru/system/attachments/attaches/000/058/075/original/%D0%92%D0%9C%D0%A0_COVID-19_V12.pdf (access date: 21.10.2021). (In Russ.)
- Khismatullin RR, Shakirova AZ, Weisel JW, Litvi¬nov RI. Age-dependent differential staining of fibrin in blood clots and thrombi. BioNanoScience. 2020;10:370–374. doi: 10.1007/s12668-019-00701-4.
- Zinserling VA, Vashukova MA, Vasilyeva MV, Isakov AN, Lugovskaya NA, Narkevich TA, Sukhanova YuV, Semenova NYu, Gusev DA. Issues of pathology of a new coronavirus infection COVID-19. Journal Infectology. 2020;12(2):5–11. (In Russ.) doi: 10.22625/2072-6732-2020-12-2-5-11.
- Bonetti PO, Lerman LO, Lerman A. Endothelial dysfunction: a marker of atherosclerotic risk. Arterioscler Thromb Vasc Biol. 2003;23:168–175. doi: 10.1161/01.atv.0000051384.43104.fc.
- Wichmann D, Sperhake JP, Lütgehetmann M, Steurer S, Edler C, Heinemann A, Heinrich F, Mushumba H, Kniep I, Schröder AS, Burdelski C, de Heer G, Nierhaus A, Frings D, Pfefferle S, Becker H, Bredereke-Wiedling H, de Weerth A, Paschen HR, Sheikhzadeh-Eggers S, Stang A, Schmiedel S, Bokemeyer C, Addo MM, Aepfelbacher M, Püschel K, Kluge S. Autopsy findings and venous thromboembolism in patients with COVID-19: a prospective cohort study. Ann Intern Med. 2020;173:268–277. doi: 10.7326/M20-2003.
- Zairat’yants OV, Kakturskiy LV. Formulirovka i sopostavleniye klinicheskogo i patologoanatomiches¬kogo diagnozov: Spravochnik. (Formulation and matching of clinical and pathoanatomical diagnosis. Handbook.) 2nd ed. M.: Me¬ditsinskoye informatsionnoye agentstvo; 2011. 576 p. (In Russ.)
- Páramo JA. Pulmonary embolism, pulmonary microvascular thrombosis, or both in COVID-19? Clin Appl Thromb Hemost. 2020;26:1076029620933953. doi: 10.1177/1076029620933953.
- Klok FA, Kruip MJHA, van der Meer NJM, Arbous MS, Gommers DAMPJ, Kant KM, Kaptein FHJ, van Paassen J, Stals MAM, Huisman MV, Endeman H. Incidence of thrombotic complications in critically ill ICU patients with COVID-19. Thromb Res. 2020;191:145–147. doi: 10.1016/j.thromres.2020.04.013.
- Cardinal-Fernández P, Lorente JA, Ballén-Barragán A, Matute-Bello G. Acute respiratory distress syndrome and diffuse alveolar damage. New insights on a complex relationship. Ann Am Thorac Soc. 2017;14:844–850. doi: 10.1513/AnnalsATS.201609-728PS.
- Middleton EA, He XY, Denorme F, Campbell RA, Ng D, Salvatore SP, Mostyka M, Baxter-Stoltzfus A, Borczuk AC, Loda M, Cody MJ, Manne BK, Portier I, Harris ES, Petrey AC, Beswick EJ, Caulin AF, Iovino A, Abegglen LM, Weyrich AS, Rondina MT, Egeblad M, Schiffman JD, Yost CC. Neutrophil extracellular traps contribute to immunothrombosis in COVID-19 acute respiratory distress syndrome. Blood. 2020;136:1169–1179. doi: 10.1182/blood.2020007008.
- Janiuk K, Jabłońska E, Garley M. Significance of NETs formation in COVID-19. Cells. 2021;10:151. doi: 10.3390/cells10010151.
- Grobler C, Maphumulo SC, Grobbelaar LM, Bredenkamp JC, Laubscher GJ, Lourens PJ, Steenkamp J, Kell DB, Pretorius E. COVID-19: the rollercoaster of fibrin(ogen), D-dimer, von Willebrand factor, P-selectin and their interactions with endothelial cells, platelets and erythrocytes. Int J Mol Sci. 2020;21:5168. doi: 10.3390/ijms21145168.
Supplementary files





