The effect of the geometry of the proximal anastomosis, markers of apoptosis and cell proliferation on the long-term patency following reconstructive interventions on the femoropopliteal arterial segment
- Authors: Kalinin RY1, Suсhkov IA1, Klimentova EA2, Shanaev IN2
-
Affiliations:
- Ryazan State Medical University
- Regional Clinical Hospital
- Issue: Vol 102, No 6 (2021)
- Pages: 855-861
- Section: Theoretical and clinical medicine
- Submitted: 11.08.2021
- Accepted: 03.12.2021
- Published: 13.12.2021
- URL: https://kazanmedjournal.ru/kazanmedj/article/view/77816
- DOI: https://doi.org/10.17816/KMJ2021-855
- ID: 77816
Cite item
Abstract
Aim. To study changes in the topography of the orifice of the deep femoral artery (DFA), markers of proliferation, and apoptosis in patients after open interventions on the femoropopliteal arterial segment.
Methods. The study included 35 patients with atherosclerotic peripheral arterial disease (PAD), femoral-popliteal occlusion, stage IIB–III of the disease according to the classification of A.V. Pokrovsky–Fontaine, who underwent open surgery. The average age of the patients was 69±4.6 years. These patients included 26 men. Patients were divided into two groups: group A included 18 patients who underwent femoral-popliteal prosthetics (distal End-To-End bypass anastomoses), group B included 17 patients with femoral-popliteal bypass surgery (distal End-To-Side bypass anastomoses). The groups were comparable in terms of age and disease severity (p >0.05). Determination of serum platelet-derived growth factor BB (PDGF BB) and soluble form Fas (sFas) levels was carried out immediately before the intervention, on the 1st, 7th days, and 1 month after the operation. Duplex scanning (DS) was performed on day 7, after 1 and 18 months. Statistica 10.0 software was used for statistical data processing. The significance of differences between unrelated samples was assessed using the Student's t-test. The correlations between variables were analyzed by using Pearson's method.
Results. On 1st day, there was a decrease in soluble Fas in patients of group A compared with group B (0.41 ng/ml vs 0.78 ng/ml, p=0.01). On the 7th day, the levels of serum platelet-derived growth factor BB were increased in patients of group A compared with group B (35.2 ng/ml vs 23.2 ng/ml, p=0.00001). After 1 month, the level of serum platelet-derived growth factor BB in patients of group A remained elevated compared with those in patients of group B (22.8 ng/ml vs 14.4 ng/ml, p=0.0003).
Conclusion. Femoropopliteal prosthetics leads to a change in branching angle of the deep femoral artery up to 70–80%, accompanied by changing dynamics of apoptotic markers and cell proliferation, leading to an increase in the thickness of neointimal hyperplasia and the progression of atherosclerosis.
Full Text
Актуальность. Облитерирующий атеросклероз артерий нижних конечностей занимает значительную часть в структуре сердечно-сосудистых заболеваний у населения различных стран мира [1]. Неуклонно прогрессирующее течение этой патологии приводит к развитию критической ишемии конечности, что обусловливает неблагоприятный прогноз в отношении её сохранения и жизни пациента [2].
Поражение бедренно-подколенного сегмента артерий нижних конечностей бывает одной из самых распространённых локализаций, и в случае окклюзии поверхностной бедренной артерии более 25 см рекомендовано выполнение открытой операции на данном сегменте [3, 4].
По типу формирования проксимального анастомоза бедренно-подколенных шунтов выделяют два типа вмешательств: шунтирование и протезирование. При проведении шунтирования проксимальный анастомоз формируется под острым углом до 60° над устьем глубокой артерии бедра (ГАБ), что создаёт лучшие условия для кровотока за счёт уменьшения гемодинамического сопротивления и соответственно энергетических потерь при прохождении крови из артерии в шунт [5].
В литературе достаточно хорошо освещены вопросы влияния геометрии анастомозов на формирование потока крови [5]. Для уменьшения энергетических потерь из-за нестабильности кровотока переход из артерии в протез должен быть как можно более плавным. По этой причине считают, что анастомоз по типу «конец в конец» близок к идеалу. Уменьшение угла анастомоза снижает нарушения кровотока в антеградном направлении, но не устраняет их полностью, так как нельзя уменьшить угол между шунтом и донорской артерией менее 30° без увеличения длины анастомоза [6].
Однако тут возникает закономерный вопрос: влияет ли тип формирования проксимального анастомоза на изменения топографии устья ГАБ и соответственно гемодинамики? Информации по данному вопросу в литературе мы не обнаружили.
В ряде работ было показано, что изменения гемодинамических факторов могут влиять на пролиферацию и апоптоз клеток сосудистой стенки [7]. Так, уменьшение напряжения ламинарного сдвига увеличивает экспрессию и последующее высвобождение фактора роста фибробластов, проапоптотического белка Bax при неизменённых значениях антиапоптотического белка Всl-2 (маркёры внутреннего пути апоптоза) [8, 9].
В литературе мы не встретили исследований, посвящённых изучению влияния изменения гемодинамики на маркёры внешнего пути апоптоза. Один из основных их представителей — Fas-лиганд (FasL), который индуцирует апоптоз посредством взаимодействия с трансмембранным рецептором Fas. Растворимая форма рецептора Fas (sFas) не имеет трансмембранного участка и блокирует взаимодействие FasL с Fas.
Fas экспрессируется на многих типах клеток сосудистой стенки и играет важную роль в контроле экстравазации воспалительных клеток. При эндогенной экспрессии FasL функционирует как ингибитор воспалительных реакций, вызывая Fas-опосредованную гибель иммунных клеток, когда они пытаются проникнуть в стенку сосуда. Экспрессия Fas и FasL была обнаружена как в нормальной, так и в поражённой стенке сосуда, и активация данного пути апоптоза — признак атерогенеза [10].
Изменения гемодинамики потока крови оказывают влияние на пролиферацию и миграцию клеток сосудистой стенки [11]. Тромбоцитарный фактор роста ВВ (PDGF ВВ — от англ. platelet derived growth factor) — один из самых сильных митогенов и хемоаттрактантов для фибробластов, гладкомышечных и эндотелиальных клеток [12]. В экспериментальном исследовании воздействие в течение 24 ч ламинарного кровотока на гладкомышечные клетки аортальной стенки животных приводило к уменьшению их пролиферации на 54% [7].
Цель исследования: изучить изменения топографии устья ГАБ, маркёров пролиферации и апоптоза у пациентов после открытых реваскуляризирующих вмешательств на артериях бедренно-подколенного сегмента, а также влияние этих факторов на результаты оперативного лечения через 18 мес.
Материал и методы исследования. В когортное исследование были включены 35 пациентов с облитерирующим атеросклерозом периферических артерий, бедренно-подколенной окклюзией, IIБ–III стадией заболевания по классификации А.В. Покровского–Фонтейна. Исследование было одобрено локальным этическим комитетом Рязанского государственного медицинского университета им. акад. И.П. Павлова (протокол №7 от 03.03.2020). Средний возраст пациентов составил 69±4,6 года. В число пациентов входили 26 (74,3%) мужчин.
Пациентам было выполнено открытое реконструктивное вмешательство с использованием синтетического протеза PTFE 8 мм с последующим разделением на две группы: в группу А вошли 18 пациентов, которым было проведено бедренно-подколенное протезирование выше щели коленного сустава (конфигурация проксимального анастомоза по типу «конец в конец»), в группу В — 17 пациентов с бедренно-подколенным шунтированием выше щели коленного сустава (конфигурация проксимального анастомоза по типу «конец в бок»). Все пациенты были прооперированы в отделении сосудистой хирургии Областной клинической больницы (г. Рязань) в период с 2020 по 2021 г. Клиническая характеристика пациентов представлена в табл. 1. Группа сравнения была представлена 30 здоровыми добровольцами (все мужчины, средний возраст 64±2,3 года).
Таблица 1. Клиническая характеристика пациентов
Стадия хронической ишемии нижних конечностей | Группа А | Группа В | р |
IIБ, n (%) | 8 (44,4) | 7 (41,2) | 0,97 |
III, n (%) | 10 (55,6) | 10 (58,8) | |
Сопутствующая патология | |||
Ишемическая болезнь сердца, n (%) | 3 (16,7) | 2 (11,8) | 0,487 |
Артериальная гипертензия, n (%) | 6 (33,3) | 5 (29,4) | 0,539 |
Постинфарктный кардиосклероз, n (%) | 3 (16,7) | 2 (11,8) | 0,487 |
Перенесённый ишемический инсульт в каротидном бассейне, n (%) | 2 (11,1) | 2 (11,8) | 0,602 |
После получения информированного согласия были взяты образцы крови из кубитальной вены: непосредственно перед вмешательством, на 1-е, 7-е сутки и через 1 мес после операции.
Определение количества белков PDGF BB и sFas в сыворотке крови производили с помощью иммуноферментного анализа коммерческими наборами «Invitrogen Thermo Fisher» (США) в соответствии с инструкциями производителя.
Дуплексное сканирование артерий нижних конечностей осуществляли на 7-е сутки, через 1 и 18 мес, оценивая проходимость шунтов и геометрию анастомозов с расчётом индекса сопротивления (RI — от англ. resistive index). Исследование проводили на аппарате Esaote My Lab Alfa, использовали линейный датчик с частотой 3–12 МГц и конвексный датчик с частотой 3–5 МГц. Использовали следующие режимы: цветового допплеровского картирования, спектральной допплерографии, Х-flow, В-режим.
Статистический анализ данных проведён с использованием пакета статистических программ Statistica 10.0. Нормальность распределения данных была проверена с помощью критерия Шапиро–Уилка (p >0,05). Как следствие, для дальнейшей работы с гипотезами применяли параметрические статистические методы, для попарных сравнений средних величин использовали t-критерий Стьюдента для случая с несвязанными выборками. Для проверки наличия и тесноты связи между показателями применяли критерий корреляции Пирсона. Числовые данные представлены как среднее арифметическое значение и стандартное отклонение. Принятый уровень статистической значимости — р <0,05.
Результаты. При дуплексном сканировании артерий нижних конечностей обращало на себя внимание изменение угла отхождения ГАБ у пациентов после проведённого оперативного лечения по сравнению со здоровыми добровольцами. В норме угол отхождения ГАБ относительно общей бедренной артерии во всех случаях не превышал 30°: в 90% случаев (27 пациентов) он соответствовал 20°, в 10% (3 пациента) — 30°. RI составил 1,0±0,2 (рис. 1).
Рис. 1. Дуплексная сканограмма области бифуркации общей бедренной артерии у здорового добровольца: 1 — общая бедренная артерия; 2 — поверхностная бедренная артерия; 3 — глубокая бедренная артерия (угол её отхождения 20°)
У пациентов группы В угол отхождения ГАБ составил 40–60°: у 10 (58,8%) пациентов он соответствовал 40°, у 7 (41,2%) пациентов — 50°. На 7-е сутки RI составил 0,84±0,18, к концу 1-го месяца — 1,04±0,11 (рис. 2).
Рис. 2. Дуплексная сканограмма области бифуркации общей бедренной артерии у пациента из группы В через 1 мес: 1 — общая бедренная артерия; 2 — синтетический протез; 3 — глубокая артерия бедра (угол её отхождения 60°)
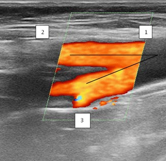
У пациентов группы А угол отхождения ГАБ составил 70–80°: у 13 (72,2%) пациентов он соответствовал 70°, у 3 (16,7%) пациентов — 75°, у 2 (11,1%) — 80°. RI составил 1,02±0,2 (р=0,009). К концу 1-го месяца значения RI достигли 1,24±0,1 и были достоверно выше, чем у пациентов группы В (р=0,000003) (рис. 3).
Рис. 3. Дуплексная сканограмма области бифуркации общей бедренной артерии у пациента из группы А через 1 мес: 1 — общая бедренная артерия; 2 — синтетический протез; 3 — глубокая артерия бедра (угол её отхождения 75°)
До оперативного вмешательства значения маркёров sFas (0,89±2,4 нг/мл; р=0,677) и PDGF ВВ (12,8±1,7 нг/мл; р=0,46) у пациентов группы А были сопоставимы со значениями у пациентов группы В (0,93±0,18 и 13,3±2,3 нг/мл соответственно).
На 1-е сутки у пациентов группы А показатель sFas (0,41±0,33 нг/мл; р=0,01) был ниже по сравнению со значениями у пациентов группы В (0,78±0,49 нг/мл). Значение PDGF ВВ составили у пациентов группы А 19±1,5 нг/мл, у пациентов группы В — 17,9±1,6 нг/мл и статистически значимо не различались между группами (р=0,097).
На 7-е сутки количество sFas у пациентов группы А (0,57±0,41 нг/мл) было снижено по сравнению с его количеством у пациентов группы В (1,1±0,74 нг/мл; р=0,007). Значения PDGF ВВ были повышены у пациентов группы А (35,2±5,1 нг/мл) по сравнению с пациентами группы В (23,2±5,8 нг/мл; р=0,00001).
Через 1 мес уровень PDGF ВВ у пациентов группы А (22,8±5,3 нг/мл) оставался повышенным в сравнении с его значением у пациентов группы В (14,4±7,1 нг/мл; р=0,0003). Значения sFas у пациентов группы А (0,77±0,48 нг/мл) достоверно не отличались от значений пациентов группы В (0,99±0,41 нг/мл; р=0,133) в указанный промежуток времени (рис. 4, 5).
Рис. 4. Сравнение динамики изменения концентрации маркёра sFas в послеоперационном периоде у пациентов исследуемых групп; *статистически значимое различие (р <0,05) между группами А и В
Рис. 5. Сравнение динамики изменения концентрации тромбоцитарного фактора роста BB в послеоперационном периоде у пациентов исследуемых групп; *статистически значимое различие (р <0,05) между группами А и В
При проведении корреляционного анализа у пациентов группы А была выявлена обратная корреляционная взаимосвязь на 7-е сутки между значениями sFas и PDGF ВВ (r=–0,867, р=0,0001), RI и sFas (r=–0,726, р=0,001) и прямая между значениями PDGF ВВ и RI к концу 1-го месяца (r=0,676, р=0,002). У пациентов группы В выявлена прямая взаимосвязь между sFas и PDGF BB (r=0,69, р=0,002) на 7-е сутки.
У пациентов группы А через 18 мес по данным дуплексного сканирования был выявлен стеноз в устье ГАБ от 50 до 70%, который расценивался как прогрессирование атеросклероза. Также у них была обнаружена гиперплазия интимы в протезе, которая составила 2,3±0,51 мм в указанный период времени.
У пациентов группы B через 18 мес стеноз в устье ГАБ не превышал 30–40%, толщина неоинтимы составила 0,97±0,3 мм и была меньше на 46,7%, чем у пациентов группы А (р=0,000003).
Обсуждение. Несмотря на значительные успехи современной сосудистой хирургии, проблема первичной проходимости после оперативных вмешательств остаётся до конца не решённой. Главными причинами неудовлетворительных результатов считают прогрессирование атеросклероза и гиперплазию неоинтимы. Гиперплазия представляет собой слабо организованную и структурированную пролиферативную реакцию интимы на операционную травму [3].
В экспериментальных моделях на животных было показано, что травма артериальной стенки во время операции вызывает пролиферацию гладкомышечных клеток из медии в интиму, которая обычно самоограничивается и не ведёт к развитию гемодинамически значимых стенозов и окклюзий [13]. В то же время оперативные вмешательства у пациентов с атеросклерозом создают новые геометрические условия, которые могут способствовать значительным изменениям кровотока, касательного напряжения.
В нашем исследовании впервые удалось показать, что тип формирования проксимального анастомоза влияет на изменение геометрии угла отхождения ГАБ и, соответственно, на увеличение сопротивлению кровотока. Так, угол отхождения ГАБ от общей бедренной артерии у всех здоровых добровольцев не превышал 30°. У пациентов с бедренно-подколенным шунтированием синтетическим протезом угол отхождения ГАБ увеличивался до 40–60°, а при протезировании изменения угла отхождения ГАБ оказались наиболее серьёзными — от 70 до 80°. Мы предполагаем, что это обусловлено натяжением протеза при формировании дистального анастомоза, при котором происходит механическое смещение устья ГАБ.
Даже при физиологических параметрах угла отхождения ГАБ области бифуркации артерий приводят к формированию сложной системы потоков крови [14]. Разделение потока крови происходит вдоль передней или наружной стенки отходящей артерии. Это приводит к смещению скоростного профиля в сторону задней или внутренней стенки, способствуя формированию участков с низким касательным напряжением, и увеличивает время взаимодействия крови и эндотелия.
In vitro было показано, что клетки сосудистой стенки отвечают на уменьшение воздействия касательного напряжения изменением ориентации, морфологии и структуры цитоскелета, секрецией митогенов, тем самым стимулируя пролиферацию и миграцию гладкомышечных клеток из интимы в медию [3]. Однако клеточные механизмы, лежащие в основе этого, до конца не определены.
Наши результаты подтверждают гипотезу учёных о том, что передача сигналов посредством внешнего пути апоптоза играет важную роль в регуляции жизнедеятельности клеток сосудистой стенки [15]. Оперативное вмешательство приводит к активации маркёров апоптоза в 1-е сутки после вмешательства. Это может быть обусловлено как самой травмой артериальной стенки, так и развитием окислительного стресса в ответ на реперфузию, который является одним из основных индукторов апоптоза клеток.
Изменение угла отхождения ГАБ после операции приводит к появлению турбулентности кровотока (режимы цветового допплеровского картирования и Х-flow) и повышению индекса периферического сопротивления, который более выражен у пациентов группы А. Мы предполагаем, что это в свою очередь ведёт к более сильной активации системы апоптоза после операции.
Увеличенное количество PDGF ВВ на 7-е сутки после операции может быть обусловлено следующим.
Во-первых, ответным пролиферативным ответом клеток на усиленный апоптоз в 1-е сутки для преодоления клеточного дефицита, что подтверждено данными корреляционного анализа. Повреждение эндотелиального барьера во время операции делает гладкомышечные клетки доступными для действия митогенов, происходящих из крови или компонентов крови, таких как PDGF ВВ. Гибнущие клетки высвобождают цитокины, которые усиливают пролиферацию и миграцию соседних клеток при смене их фенотипа с сократительного на синтетический.
Во-вторых, отсутствием ингибирующего действия ламинарного кровотока на пролиферацию и миграцию гладкомышечных клеток из медии в интиму сосудистой стенки. Ответная пролиферация становится усиленной, и неконтролируемое распространение клеток может привести к сужению диаметра сосуда и гиперплазии неоинтимы, что было выявлено у пациентов группы А.
Всё это привело к сохранению повышенных значений PDGF BB к концу 1-го месяца и выразилось в увеличении степени стенозирования атеросклеротической бляшкой устья ГАБ до 50–70% и толщины неоинтимы в протезе.
У пациентов группы B, хотя и произошла активация системы апоптоза в ответ на операционную травму, но она была скомпенсирована ответной пролиферативной реакцией и привела к восстановлению погибших клеток. Менее выраженные изменения угла отхождения ГАБ и турбулентности кровотока в области проксимального анастомоза позволили к концу 1-го месяца показателям апоптоза и пролиферации клеток вернуться к исходным значениям.
К ограничению нашей работы можно отнести малый размер выборки, относительно небольшое количество исследуемых показателей как системы апоптоза, так и пролиферации. На наш взгляд, необходимо расширить работу как за счёт увеличения количества изучаемых маркёров системы апоптоза и пролиферации клеток, так и за счёт их исследования у пациентов с аутовенозными шунтами, ксенопротезами и аллографтами.
Выводы
- Бедренно-подколенное протезирование приводит к изменению угла отхождения глубокой бедренной артерии до 70–80% и изменению динамики маркёров апоптоза и пролиферации клеток в послеоперационном периоде, что выражается в гиперплазии неоинтимы и прогрессировании атеросклероза.
- Выполнение реконструктивной операции на артериях бедренно-подколенного сегмента по методике шунтирования ведёт к сохранению более физиологического угла отхождения глубокой артерии бедра и снижению риска гиперплазии интимы в зоне анастомоза.
Участие авторов. Р.Е.К. — дизайн исследования, редактирование текста, окончательное утверждение статьи; И.А.С. — редактирование текста, окончательное утверждение статьи; Э.А.К. — дизайн исследования, сбор данных, анализ и интерпретация данных, написание статьи, статистический анализ; И.Н.Ш. — анализ и интерпретация данных, написание статьи.
Источник финансирования. Работа выполнена за счёт внебюджетных средств Рязанского медицинского университета.
Конфликт интересов. Авторы заявляют об отсутствии конфликта интересов по представленной статье.
About the authors
R Y Kalinin
Ryazan State Medical University
Email: kalinin-re@yandex.ru
ORCID iD: 0000-0002-0817-9573
Russian Federation, Ryazan, Russia
I A Suсhkov
Ryazan State Medical University
Email: suchkov_med@mail.ru
ORCID iD: 0000-0002-1292-5452
Russian Federation, Ryazan, Russia
E A Klimentova
Regional Clinical Hospital
Author for correspondence.
Email: klimentowa.emma@yandex.ru
ORCID iD: 0000-0003-4855-9068
Russian Federation, Ryazan, Russia
I N Shanaev
Regional Clinical Hospital
Email: c350@yandex.ru
ORCID iD: 0000-0002-8967-3978
Russian Federation, Ryazan, Russia
References
- Shabani Varaki E., Gargiulo G.D., Penkala S., Breen P.P. Peripheral vascular disease assessment in the lower limb: a review of current and emerging non-invasive diagnostic methods. Biomed. Eng. Online. 2018; 17 (1): 61. doi: 10.1186/s12938-018-0494-4.
- Yudin V.A., Vinogradov S.A., Krylov A.A., Gerasimov A.A. Аutovenous revascularization of the lower extremity arteries in patients with variant anatomy of the peripheral blood flow and the progressive atherosclerotic process. Probl. Sotsialnoi Gig. Zdravookhranenniia i Istor. Med. 2019; 27 (6): 1093–1097. doi: 10.32687/0869-866X-2019-27-6-1093-1097.
- Ascher E. Haimovici's vascular surgery. Blackwell, Massachustts, USA. 2004; 1221 p. Russ ed.: Ascher E. Sosudistaya hirurgiyapo Hajmovichu. Vol. 2. M.: Binom. Laboratoriya znanij. 2010; 536 p. (In Russ.)
- Sapelkin S.V., Kuznetsov M.R., Kalashnikov V.Yu., Ostroumova O.D., Galstyan G.R., Chupin A.V., Chernyavskiy M.A. Proekt natsional'nykh rekomendatsiy po diagnostike i lecheniyu zabolevaniyu arteriy nizhnikh konechnostey. (National guidelines for the diagnosis and treatment of lower limb artery disease.) M.: Rossijskij soglasitel'nyj dokument. 2018; 111 p. (In Russ.)
- Cronenwett J.L., Johnston K.W. Rutherford’s vascular surgery. 8th ed. Elsevier. 2014; 2784 p.
- Amiri M.H., Keshavarzi A., Karimipour A., Bahiraei M., Goodarzi M., Esfahani J.A. A 3-D numerical simulation of non-Newtonian blood flow through femoral artery bifurcation with a moderate arteriosclerosis: investigating Newtonian/non-Newtonian flow and its effects on elastic vessel walls. Heat Mass. Transf. 2019; 55 (7): 2037–2047. doi: 10.1007/s00231-019-02583-4.
- Fitzgerald T.N., Shepherd B.R., Asada H. Laminar shear stress stimulates vascular smooth muscle cell apoptosis via the Akt pathway. J. Cell. Physiol. 2008; 216 (2): 389–395. doi: 10.1002/jcp.21404.
- Gosgnach W., Messika-Zeitoun D., Gonzalez W., Philipe M., Michel J.B. Shear stress induces iNOS expression in cultured smooth muscle cells: Role of oxidative stress. Am. J. Physiol. Cell. Physiol. 2000; 279 (6): 1880–1888.
- Kalinin R.E., Suchkov I.A., Klimentova E.A., Egorov A.A., Povarov V.O. Apoptosis in vascular pathology: present and future. I.P. Pavlov Russian Medical Biological He¬rald. 2020; 28 (1): 79–87. (In Russ.) doi: 10.23888/PAVLOVJ202028179-87.
- Klimentova E.A., Suchkov I.A., Egorov A.A., Kalinin R.E. Apoptosis and cell proliferation markers in inflammatory-fibroproliferative diseases of the vessel wall (review). Sovremennye tekhnologii v me¬ditsine. 2020; 12 (4): 119–128. (In Russ.) doi: 10.17691/stm2020.12.4.13.
- Haga M., Yamashita A., Paszkowiak J., Sumpio B.E., Dardik A. Oscillatory shear stress increases smooth muscle cell proliferation and Akt phosphorylation. J. Vasc. Surg. 2003; 37 (6): 1277–1284. doi: 10.1016/s0741-5214(03)00329-x.
- Papadopoulos N., Lennartsson J. The PDGF/PDGFR pathway as a drug target. Mol. Aspects Med. 2018; 62: 75–88. doi: 10.1016/j.mam.2017.11.007.
- Kalinin R.E., Abalenikhina Yu.V., Pshennikov A.S., Suchkov I.A., Isakov S.A. Interrelation between oxidative carbonylation of proteins and lysosomal proteolysis of plasma in experimentally modelled ischemia and ischemia-reperfusion. Nauka molodykh (Eruditio Juvenium). 2017; (3): 338–351. (In Russ). DOI: 10.23888/ HMJ20173338-351.
- Spanos K., Petrocheilou G., Karathanos C., Labropoulos N., Mikhailidis D., Giannoukas A. Carotid bifurcation geometry and atherosclerosis. Angiology. 2017; 68 (9): 757–764. doi: 10.1177/0003319716678741.
- Apenberg S., Freyberg M.A., Friedl P. Shear stress induces apoptosis in vascular smooth muscle cells via an autocrine Fas/FasL pathway. Biochem. Biophys. Res. Commun. 2003; 310 (2): 355–359. doi: 10.1016/j.bbrc.2003.09.025.
Supplementary files







