Efficacy of Leu-Ile-Lys tripeptide in the correction of experimental urate nephrolithiasis
- Authors: Zharikov AY.1, Mazko ON1,2, Makarova OG1, Bobrov IP1, Kalnitsky AS1, Zharikova GV1, Yakushev NN1, Gossen IE1
-
Affiliations:
- Altai State Medical University
- Altai State University
- Issue: Vol 102, No 4 (2021)
- Pages: 494-500
- Section: Experimental medicine
- Submitted: 06.04.2021
- Accepted: 29.06.2021
- Published: 08.08.2021
- URL: https://kazanmedjournal.ru/kazanmedj/article/view/64873
- DOI: https://doi.org/10.17816/KMJ2021-494
- ID: 64873
Cite item
Abstract
Aim. To study the effect of the Leu-Ile-Lys (leucine-isoleucine-lysine) tripeptide on the course of experimental urate nephrolithiasis.
Methods. The experiment was carried out on 23 male Wistar rats weighing 200–220 grams that were divided into a control (n=8, modeling of urate nephrolithiasis) and an experimental (n=15, modeling of urate nephrolithiasis + ¬administration of Leu-Ile-Lys tripeptide) groups. The tripeptide was administered intragastrically through a tube at a dose of 11.5 mg/kg. Daily urine was collected on a weekly basis, and the activity of lactate dehydrogenase and gamma-glutamyl transpeptidase was determined. After three weeks of the experiment, the animals were euthanized, and kidneys were removed to determine the parameters of free radical oxidation [concentration of thiobarbituric acid reactive substances (TARS), total pro-oxidant and total antioxidant activity, the activities of catalase (CAT), superoxide dismutase (SOD) and glutathione peroxidase (GPX)] and conduct a morphological study in which the number and area of calculi and the condition of the renal tissues were determined. Statistical data processing was performed using the Statistica 12.0 software. We used the Mann–Whitney U test, the Wilcoxon signed rank test. The results are presented as median with the 25th and 75th percentiles. The differences were considered significant at p <0.05.
Results. In the kidneys of the rats of the experimental group, the number of deposits decreased twofold, as compared with the control group (1.6±0.2 and 3.2±0.4, respectively, p=0.001). Lactate dehydrogenase activity in the urine of rats increased from 0.10 (0.06; 0.21) units/mg of creatinine per day initially to 0.75 (0.44; 1.07) units/mg creatinine per day on day 21 (p=0.012) in the control group, and from 0.10 (0.06; 0.12) units/mg creatinine per day to 0.45 (0.34; 0.71) units/mg creatinine per day on 21st day (p=0.003) in the experimental group. The concentration of thiobarbituric acid reactive substances in the experimental group was 1.2 times lower than that of the control group: 4.2 (3.9; 4.6) μmol and 5.1 (4.7; 5.5) μmol, respectively (p <0.001). In addition, in the kidneys of the rats of the experimental group, the total antioxidant activity was 1.3 times higher than in control: 70.4 (65.4; 74.1)% and 53.8 (33.3; 62.2)% respectively (p <0.001). Superoxide dismutase activity in the experimental group was 1.5 times higher than in the control group: 12.4 (11.0; 13.2)% against 8.1 (6.4; 13.1)% (p=0.016). Catalase activity in the experimental group was 1.2 times higher than in the control group: 31.1 (26.4; 36.1)% against 25.1 (20.3; 27.1)% (p=0.005).
Conclusion. The Leu-Ile-Lys tripeptide has a litholytic effect, manifested in a statistically significant decrease in the activity of oxidative stress markers (p <0,001) and a twofold decrease in the average amount of uric acid kidney stones (p <0,001).
Full Text
Актуальность. Одна из наиболее часто встречающихся форм мочекаменной болезни — уратный нефролитиаз (УН) [1]. В основе возникновения уратного литогенеза лежат нарушения синтеза и экскреции мочевой кислоты, приводящие к развитию гиперурикемии и гиперурикозурии, отложению в почечных канальцах кристаллов мочевой кислоты и образованию камней [2].
Современные представления об этиологии и патогенезе УН во многом связаны с так называемым метаболическим синдромом, который сегодня выходит на ведущие позиции по распространённости среди внутренних болезней человека [3]. Причина тому — образ жизни современного человека: неправильное питание, малоподвижный образ жизни, вредные привычки и т.д. В свете этого специалисты прогнозируют дальнейшее усугубление проблемы распространения УН [3]. По этой причине всё бо́льшую актуальность будет приобретать создание новых методов лечения УН, в первую очередь — фармакологических методов. Хорошо известно, что в настоящий момент базовым подходом к растворению уратных камней служит так называемая «цитратная терапия» [4].
В то же время этот метод имеет существенные недостатки. Так, например, установлено, что применение цитратных смесей может спровоцировать формирование оксалатных кристаллов на уратных конкрементах ввиду того, что под действием лимонной кислоты происходит активация синтеза таких соединений, как оксалоацетат, фумарат и α-кетоглутарат, что приводит к росту концентрации щавелевой кислоты в моче и образованию нерастворимых кристаллов оксалата кальция [5]. Иными словами, цитратная терапия может спровоцировать развитие смешанной уратно-оксалатной формы мочекаменной болезни, особо трудно поддающейся медикаментозному лечению.
В совокупности всё это определяет высокую актуальность поиска новых эффективных фармакологических средств для коррекции УН.
Ранее нами было установлено, что индивидуальный трипептид Leu-Ile-Lys, проявляет выраженную антилитогенную активность при 6-недельном и хроническом 16-недельном экспериментальном оксалатном нефролитиазе [6, 7]. Учитывая это, мы решили проверить потенциальную эффективность трипептида Leu-Ile-Lys в отношении экспериментального УН, чтобы оценить перспективу его применения как для коррекции моноформ мочекаменной болезни, так и для возможной терапии смешанного уратно-оксалатного нефролитиаза.
Цель исследования — изучить влияние трипептида Leu-Ile-Lys на течение экспериментального УН.
Материал и методы исследования. Настоящее исследование проводили на базе Исследовательского центра коллективного пользования и кафедры фармакологии Алтайского государственного медицинского университета (г. Барнаул). В качестве биологической системы использовали 23 самца крыс линии Wistar в возрасте от 2 до 3 мес, имеющих массу тела от 200 до 220 г. Животные были получены в виварии Научно-исследовательского института цитологии и генетики (г. Новосибирск). Животных помещали в индивидуальные клетки, конструкция которых позволяет производить забор мочи. На протяжении всего эксперимента для кормления крыс использовали стандартный лабораторный рацион. Проведение исследования одобрено локальным этическим комитетом ФГБОУ ВО «Алтайский государственный медицинский университет» Минздрава России (выписка из протокола №9 от 23.10.2020).
Согласно дизайну эксперимента, животных распределяли на две группы: контрольную (моделирование УН, n=8) и опытную (моделирование УН + введение трипептида Leu-Ile-Lys, n=15).
Для формирования экспериментального УН, согласно общепринятой модели, животным ежедневно на протяжении 3 нед внутрижелудочно через зонд вводили смесь оксониевой кислоты в дозе 500 мг/кг и мочевой кислоты в дозе 1000 мг/кг [8]. С 11-го дня и до конца эксперимента животным опытной группы ежедневно вводили трипептид Leu-Ile-Lys внутрижелудочно через зонд в дозе 11,5 мг/кг, что соответствовало дозе, в которой ранее был выявлен антилитогенный эффект трипептида при экспериментальном оксалатном нефролитиазе [6]. Данное вещество было получено методом химического синтеза на предприятии Shanghai Apeptide CO., LTD (г. Шанхай, Китай) при посредничестве ЗАО «Эвалар» (г. Бийск, Россия).
До начала эксперимента, а затем на 7-е, 11-е, 14-е, 17-е и 21-е сутки производили взятие суточной мочи, в которой определяли экскрецию мочевой кислоты и креатинина, а также активность лактатдегидрогеназы и γ-глутамилтранспептидазы — ферментов, которые рассматривают в качестве биохимических маркёров повреждения уротелия [9]. Определение производили на лабораторном биохимическом анализаторе CS-T240 (Dirui Industrial Co., Ltd., Китай) с использованием наборов реагентов фирмы АО «Диакон-ДС», Россия.
По истечении 3 нед опыта крыс каждой группы подвергали эвтаназии под эфирным наркозом [10], после чего у них хирургическим путём извлекали обе почки для определения уровня оксидативного стресса в почечной ткани и морфологического исследования структурного и функционального состояния почечной ткани, определения количества и размеров уратных депозитов.
Оценку параметров активности процесса свободнорадикального окисления — концентрации тиобарбитурат-реактивных продуктов, общей прооксидантной активности, общей антиоксидантной активности, активности каталазы, супероксиддисмутазы, глутатионпероксидазы — проводили в соответствии с общепринятыми методиками [11].
Для проведения гистологического исследования осуществляли проводку исследуемого материала с помощью аппарата TISSUE-TEK VIPTM 6 (Sakkura, Япония) с последующим получением срезов толщиной 5–7 мкм, произведённым с обязательным захватом почечного сосочка, на аппарате Accu-Cut SRM (Sakkura, Япония). Затем препараты подвергали окраске гематоксилином и эозином и изучали под увеличением ×400 на микроскопе Nikon Eclipse E200 (Китай) для выявления количества и площади уратных депозитов в почечной ткани, а также оценки микроскопической картины почек. Морфометрические исследования проводили с использованием пакетов программного обеспечения Axio Vision 3.1 от Carl Zeiss, а также Image J 1.43 от Wayne Rasband.
Статистическую обработку осуществляли с использованием электронного комплекта Statistica 12.0 для операционной системы Windows. Для анализа биохимических показателей проводили расчёт медианы, а также интерквартильного размаха (25%; 75%), для морфометрических показателей — среднего значения и ошибки среднего. Для выявления статистической значимости различий проводили проверку нормальности распределения полученных данных. Ввиду того, что распределение признаков было отличным от нормального, использовали непараметрические критерии, такие как критерий Уилкоксона (для оценки различий внутри группы), а также критерий Манна–Уитни (для оценки межгрупповых различий) [12].
Результаты и обсуждение. В ходе проведения эксперимента было установлено, что активность лактатдегидрогеназы в контрольной группе последовательно возрастала в течение всех 3 нед. Как следствие, на 21-й день она превосходила исходный уровень в 7,5 раза (р=0,012) (табл. 1). При этом в опытной группе активность лактатдегидрогеназы в первые 17 дней эксперимента аналогичным образом возрастала, однако к концу 3-й недели этот рост прекратился, а величина показателя была выше исходного значения в 4,5 раза (р=0,003). Активность γ-глутамилтранспептидазы на этом фоне на протяжении эксперимента в обеих группах последовательно статистически значимо снижалась: в 3 раза в контрольной группе (р=0,017), в 2 раза в опытной группе (p=0,003). На этом фоне показатели уровня диуреза и экскреции креатинина не имели статистически значимых межгрупповых различий на всём протяжении эксперимента (в табл. 1 не представлены).
Таблица 1. Динамика активности маркёрных ферментов повреждения почечных тканей в моче экспериментальных крыс
Срок | Лактатдегидрогеназа, | γ-Глутамилтранспептидаза, | ||
Контроль | Опыт | Контроль | Опыт | |
Исходный уровень | 0,10 (0,06; 0,21) | 0,10 (0,06; 0,12) | 0,74 (0,48; 1,12) | 0,54 (0,43; 0,62) |
7 дней | 0,13 (0,11; 0,19) | 0,16 (0,10; 0,19), +60%, pи/у=0,018 | 0,34 (0,24; 0,45), –54%, pи/у=0,017 | 0,23 (0,19; 0,45), –57%, pи/у=0,011 |
Начало введения трипептида Leu-Ile-Lys | ||||
11 дней | 0,19 (0,16; 0,22) | 0,19 (0,15; 0,22), +90%, pи/у <0,001 | 0,49 (0,29; 0,62) | 0,36 (0,23; 0,45), –33%, pи/у=0,004 |
14 дней | 0,23 (0,22; 0,29), +130%, pи/у=0,049 | 0,23 (0,17; 0,32), +130%, pи/у=0,003 | 0,29 (0,20; 0,45), –61%, pи/у=0,014 | 0,23 (0,16; 0,32), –57%, pи/у <0,001 |
17 дней | 0,32 (0,26; 0,42), +220%, pи/у=0,017 | 0,47 (0,26; 0,50), +370%, pи/у <0,001 | 0,30 (0,22; 0,48), –59%, pи/у=0,017 | 0,22 (0,16; 0,36), –59%, pи/у=0,009 |
21 день | 0,75 (0,44; 1,07), +650%, pи/у=0,012 | 0,45 (0,34; 0,71), +350%, pи/у=0,003 | 0,25 (0,21; 0,38), –66%, pи/у=0,017 | 0,27 (0,25; 0,31), –50%, pи/у=0,003 |
Примечание: вариабельность данных представлена медианой с указанием 25-го и 75-го перцентилей; pи/у — уровень статистической значимости изменения показателя внутри группы относительно исходного уровня.
Изучение показателей прооксидантного статуса в почках крыс опытной группы, в которой для коррекции экспериментального УН вводили трипептид Leu-Ile-Lys, показало, что концентрация тиобарбитурат-реактивных продуктов после 3 нед эксперимента была в 1,2 раза меньше, чем в контрольной группе: 4,2 (3,9; 4,6) мкмоль и 5,1 (4,7; 5,5) мкмоль соответственно (p <0,001). Данная цифра указывает на статистическую значимость (рис. 1). На этом фоне общая прооксидантная активность не имела статистически значимых межгрупповых различий (p=0,615).
Рис. 1. Сравнение показателей прооксидантного статуса в почках крыс контрольной группы и подопытной группы; ТБРП — тиобарбитурат-реактивные продукты; ОПА — общая прооксидантная активность. По горизонтальной оси — название показателя и единицы измерения. По вертикальной оси — значение показателя. Значения представлены в виде медианы и интерквартильного размаха. Звёздочкой обозначены статистически значимые различия в подопытной группе по сравнению с контрольной
Определение показателей антиоксидантного статуса в почках крыс экспериментальных групп показало, что общая антиоксидантная активность в подопытной группе в условиях применения трипептида Leu-Ile-Lys была выше аналогичного показателя в контрольной группе в 1,3 раза: 70,4 (65,4; 74,1)% и 53,8 (33,3; 62,2)% соответственно (p <0,001) (рис. 2). Активность супероксиддисмутазы в подопытной группе составляла 12,4 (11,0; 13,2)%, превышая уровень крыс контрольной группы в 1,5 раза (p=0,016). Активность каталазы в подопытной группе превосходила показатели животных контрольной группы в 1,2 раза: 31,1 (26,4; 36,1)% против 25,1 (20,3; 27,1)% соответственно (p=0,005). Активность глутатионпероксидазы между группами практически не различалась: 21,8 (17,7; 26,6)% в контрольной группе и 20,1 (17,0; 23,9)% в подопытной.
Рис. 2. Сравнение показателей общей антиоксидантной активности (ОАА) и активности антиоксидантных ферментов в почках крыс контрольной группы и подопытной группы. По горизонтальной оси — название показателя и единицы измерения. По вертикальной оси — значение показателя. Значения представлены в виде медианы и интерквартильного размаха. Звёздочкой обозначены статистически значимые различия в подопытной группе по сравнению с контрольной. СОД — супероксиддисмутаза; КАТ — каталаза; ГПО — глутатионпероксидаза
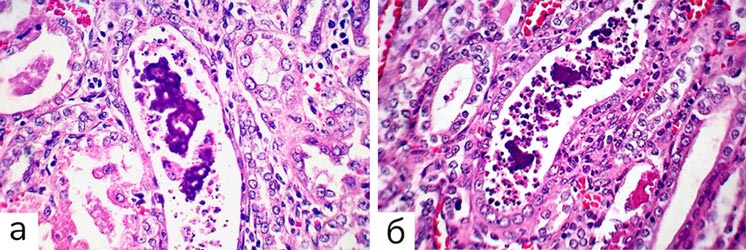
При моделировании УН в контрольной группе на 21-й день эксперимента уратные депозиты были выявлены в различном количестве во всех 8 (100%) случаях. Микролиты различной формы, синеватого цвета присутствовали в канальцах коркового слоя и сосочке почки. Они были расположены в кистозно-расширенных почечных канальцах, среди клеточного детрита и воспалительного инфильтрата, состоящего преимущественно из лейкоцитов (рис. 3, а). Эпителий таких кистозно-расширенных канальцев выглядел уплощённым, ядра клеток были уменьшены в размере, в состоянии пикноза. В строме отмечены явления выраженного воспаления. Количество депозитов в канальцах в среднем составило 3,2±0,4 в поле зрения при увеличении ×400. Средняя площадь депозитов составила 432,8±41,8 мкм2.
Рис. 3. Гистологическая картина уратного нефролитиаза в почках экспериментальных крыс. Окраска по Коссу. Увеличение ×400: а — уратные депозиты в кистозно-изменённом канальце почки у животного контрольной группы; б — уратные депозиты в канальце почки на 21-й день эксперимента при применении трипептида Leu-Ile-Lys
При моделировании УН с 10-дневным введением трипептида Leu-Ile-Lys на 21-й день эксперимента уратные депозиты были выявлены во всех 15 (100%) случаях. Они были различной формы, синеватого цвета и располагались в корковом слое и почечном сосочке, в кистозно-расширенных почечных канальцах, среди клеточного детрита и воспалительного инфильтрата, состоящего из лейкоцитов (~~~~~~~~~рис. 3, б). Явления воспаления в строме было умеренно выраженным. Изменения эпителия канальцев были менее выражены, ядра клеток имели различные размеры, в части ядер были явления гипертрофии. Количество депозитов в канальцах по сравнению с контролем уменьшалось в 2 раза и составило в среднем 1,6±0,2 в поле зрения при увеличении ×400 (p=0,001). Средняя площадь депозитов была меньше, чем в контроле, и составила 371,5±112,3 мкм2 (p=0,615).
В результате проведённого исследования установлено, что применение трипептида Leu-Ile-Lys на фоне 3-недельного экспериментального УН сопровождалось характерными биохимическими и морфологическими признаками облегчения протекания патологии.
Так, к концу курса введения трипептида Leu-Ile-Lys отмечено прекращение роста активности лактатдегидрогеназы — маркёрного фермента цитолиза нефроцитов [9]. На 21-й день эксперимента величина данного показателя в подопытной группе, где проводили лечение, была выше исходного значения в 4,5 раза (р=0,003), тогда как в контрольной группе — в 7,5 раза (р=0,012). Показатель статистической значимости межгруппового различия p=0,051.
При этом в почках крыс, подвергавшихся введению трипептида, зафиксировано существенное ослабление оксидативного стресса — важного патогенетического фактора в развитии нефролитиаза [13]. Об этом в первую очередь свидетельствовали снижение концентрации тиобарбитурат-реактивных продуктов и рост общей антиоксидантной активности.
Тиобарбитурат-реактивные продукты — показатель перекисного окисления мембранных фосфолипидов [14]. Его уменьшение, на наш взгляд, указывает на снижение степени повреждения клеточных мембран на фоне лечения [14]. В свою очередь, на наш взгляд, это могло быть обусловлено ростом общей антиоксидантной активности — интегративного показателя неферментных и ферментных механизмов антиоксидантной защиты клеток.
Анализируя совокупность литературных данных о возможных механизмах антиоксидантного действия коротких пептидов, в том числе содержащих аминокислоты лизин, лейцин и изолейцин, следует выделить три наиболее вероятных причины ослабления оксидативного стресса под воздействием трипептида Leu-Ile-Lys [15, 16].
- Связывание свободных радикалов за счёт наличия концевого лизина.
- Хелатирование ионов металлов, имеющих потенциальную повреждающую активность за счёт аминогруппы концевого лизина.
- Усиление этих свойств в липидной мембране клеток за счёт гидрофобных свойств лейцина и изолейцина.
Дополнительным косвенным подтверждением способности изучаемого пептида хелатировать ионы металлов можно признать результаты экспериментов, проведённых нами ранее [7]. Мы установили, что длительное применение трипептида Leu-Ile-Lys на фоне 16-недельного оксалатного нефролитиаза приводило к снижению концентрации ионов кальция в моче в 4,4 раза по сравнению с контрольной группой (p <0,001).
Доказательством зафиксированной антилитогенной активности трипептида Leu-Ile-Lys при экспериментальном УН стали результаты морфологических исследований, согласно которым среднее количество уратных депозитов после 10-дневного лечения снижалось в 2 раза (p=0,001) при сопутствующем ослаблении окислительных и воспалительных процессов в почках.
Вывод
10-дневное применение трипептида Leu-Ile-Lys при экспериментальном уратном нефролитиазе у крыс привело к 2-кратному уменьшению среднего количества уратных камней в почках при сопутствующем ослаблении оксидативного стресса в почечных тканях.
Участие авторов. А.Ю.Ж. — руководитель исследования, дизайн исследования, сбор и статистическая обработка данных, написание текста статьи; О.Н.М. и О.Г.М. — исследование биохимических показателей; И.П.Б. — гистологические исследования, участие в написании статьи; А.С.К. — написание статьи, проведение исследования и обработка результатов; Г.В.Ж. — моделирование уратного нефролитиаза, проведение биохимических исследований; Н.Н.Я. и И.Е.Г. — формирование дизайна исследования, интерпретация результатов экспериментов.
Источник финансирования. Исследование выполнено в рамках государственного задания Министерства здравоохранения Российской Федерации по теме «Разработка нового лекарственного средства для лечения мочекаменной болезни с высокой терапевтической активностью, превышающей известные аналоги» (ЕГИСУ НИОКР «АААА-А18-
118122490061-7»).
Конфликт интересов. Авторы заявляют об отсутствии конфликта интересов по представленной статье.
About the authors
A Yu Zharikov
Altai State Medical University
Email: artem_kalnitsky@mail.ru
Russian Federation, Barnaul, Russia
O N Mazko
Altai State Medical University; Altai State University
Email: artem_kalnitsky@mail.ru
Russian Federation, Barnaul, Russia; Barnaul, Russia
O G Makarova
Altai State Medical University
Email: artem_kalnitsky@mail.ru
Russian Federation, Barnaul, Russia
I P Bobrov
Altai State Medical University
Email: artem_kalnitsky@mail.ru
Russian Federation, Barnaul, Russia
A S Kalnitsky
Altai State Medical University
Author for correspondence.
Email: artem_kalnitsky@mail.ru
Russian Federation, Barnaul, Russia
G V Zharikova
Altai State Medical University
Email: artem_kalnitsky@mail.ru
Russian Federation, Barnaul, Russia
N N Yakushev
Altai State Medical University
Email: artem_kalnitsky@mail.ru
Russian Federation, Barnaul, Russia
I E Gossen
Altai State Medical University
Email: artem_kalnitsky@mail.ru
Russian Federation, Barnaul, Russia
References
- Sakhaee K. Epidemiology and clinical pathophysiology of uric acid kidney stones. J. Nephrol. 2014; 27: 241–245. doi: 10.1007/s40620-013-0034-z.
- Ferraro P.M., Gambaro G. Calcolosi uratica. Giornale Italiano Di Nefrologia. 2015; 32: 62. (In Italian). PMID: 26005875.
- Spatola L., Ferraro P.M., Gambaro G., Badalamenti S., Dauriz M. Metabolic syndrome and uric acid nephrolithiasis: insulin resistance in focus. Metabolism. 2018; 83: 225–233. doi: 10.1016/j.metabol.2018.02.008.
- Klinicheskie rekomendacii. Mochekamennaya bolezn'. 2020. (Clinical guidelines “Urolithiasis”. 2020.) (01.06.2020). https://clck.ru/SiEx4 (access date: 29.03.2021). (In Russ.)
- Alyaev Yu.G., Rudenko V.I. Modern aspects of drug treatment of patients with kidney stone disease. Effektivnaya farmakoterapiya. Urologiya i nefrologiiya. 2016; (5): 23–27. (In Russ.)
- Zharikov A.Y., Yakushev N.N., Zharikova G.V., Mazko O.N., Makarova O.G., Lepilov A.V., Bobrov I.P. Effect of tripeptide leu-ile-lys on the course of experimental nephrolithiasis. Bulletin of experimental biology and medicine. 2019; 167 (6): 747–750. (In Russ.) doi: 10.1007/s10517-019-04614-w.
- Zharikov A.Y., Yakushev N.N., Mazko O.N., Makarova O.G., Lepilov A.V., Bobrov I.P., Zharikova G.V., Kiselev V.I. Experience of using Leu-Ile-Lys tripeptide for experimental therapy of chronic 16-week oxalate nephrolithiasis in rats. Bulletin of experimental biology and medicine. 2020; 169 (2): 237–241. (In Russ.) doi: 10.1007/s10517-020-04858-x.
- Perfilev V.Yu., Zverev Ya.F., Zharikov A.Yu. Сonditions of urate nephrolithiasis and approaches to its modeling. Nefrologiya. 2017; 21 (4): 48–54. (In Russ.) doi: 10.24884/1561-6274-2017-21-4-48-54.
- Kabakov A.E., Gabai V.L. Cell deathand survival assays. Methods Mol. Biol. 2018; 1709: 107–127. doi: 10.1007/978-1-4939-7477-1_9.
- Kalnitsky A.S., Zharikov A.Yu., Mazko O.N., Makarova O.G., Bobrov I.P., Azarova O.V. Effect of carnosine on the course of experimental urate nephrolithiasis. Byulleten' eksperimental'noy biologii i meditsiny. 2021; 171 (2): 182–185. (In Russ.) doi: 10.47056/0365-9615-2021-171-2-182-185.
- Bryukhanov V.M., Zverev Ya.F., Lampatov V.V., Zharikov A.Yu., Talalaeva O.S. Metody doklinicheskogo (ehksperimentalʹnogo) issledovaniya vliyaniya lekarstvennykh sredstv na funktsiy upochek. (Methods of preclinical (experimental) study of the effect of drugs on renal function.) Novosibirsk: Geo. 2013; 84 р. (In Russ.)
- Khafizyanova R.Kh., Burikin I.M., Aleeva G.N. Matematicheskaya statistika v eksperimental'noy i klinicheskoy farmakologii. (Mathematical statistics in experimental and clinical pharmacology.) Kazan: Meditsina. 2006: 374 p. (In Russ.)
- Khan S.R. Stress oxidative: nephrolithiasis and chronic kidney diseases. Minerva Med. 2013; 104 (1): 23–30. PMID: 23392535.
- Tsikas D. Assessment of lipid peroxidation by measuring malondialdehyde (MDA) and relatives in biological samples: Analytical and biological challenges. Ann. Biochem. 2017; 524: 13–30. doi: 10.1016/j.ab.2016.10.021.
- Chistyakov V.A. Nonspecific mechanisms of protection against the destructive action of reactive oxygen species. Uspekhi sovremennoy biologii. 2008; 128 (3): 300–306. (In Russ.)
- Kozina L.S., Stvolinsky S.L., Fedorova T.N., Bulygina E.R., Arzumanyan E.S., Arutyunyan A.V., Khavinson V.Kh. Study of antioxidant and membraneprotective properties of short peptides in model experiments. Voprosy biologicheskoj, medicinskoj i farmacevticheskoj himii. 2008; (6): 31–36. (In Russ.)
Supplementary files






