On the development of hypernephroid cancer from the epithelium of the Shumlansky-Bowman capsule
- Authors: Dadykina V.I.1
-
Affiliations:
- Moscow Regional Clinical Research Institute
- Issue: Vol 52, No 5 (1971)
- Pages: 28-30
- Section: Articles
- Submitted: 22.02.2021
- Accepted: 22.02.2021
- Published: 15.09.1971
- URL: https://kazanmedjournal.ru/kazanmedj/article/view/61554
- DOI: https://doi.org/10.17816/kazmj61554
- ID: 61554
Cite item
Full Text
Abstract
Of the 300 hypernephrotic cancer patients we observed, 5 (31 to 70 years of age) developed cancer from the epithelium of the Shumlansky-Beaumann capsule. The duration of the disease ranged from one year to 16 years. In 3 patients the tumours were diagnosed clinically and operatively removed. In 2 patients the tumour was detected accidentally in the section and was not clinically evident.
Keywords
Full Text
Из наблюдавшихся нами 300 больных гипернефроидным раком у 5 (возрастет 31 до 70 лет) рак возник из эпителия капсулы Шумлянского — Боумена. Давность заболевания — от года до 16 лет. У 3 больных опухоли были диагностированы клинически и оперативно удалены. У 2 больных опухоль была случайно выявлена на секции, клинически она ничем себя не проявляла.
Кусочки опухоли фиксировали в растворе Лили, 10% нейтральном формалине, заливали в целлоидин, резали на замораживающем микротоме. Срезы окрашивали гематоксилин-эрзином, пикрофуксин-фукселином.
Правая почка была поражена у 3 больных, левая — у 2; верхний полюс и средняя часть почки — у 2, нижний полюс — у 3. Размер опухолей — до 1,5—5 см в диаметре, консистенция уплотненно-мягковатая, цвет беловатый, беловато-серый, с участками кровоизлияний и некроза.
Гистологически у всех обнаружена картина гипернефроидного рака. В ткани почки, прилегающей к опухоли, были множественные мелкие очаги роста гипернефроидного рака на различных стадиях его развития. Отличительной особенностью роста опухоли в этих 5 наблюдениях было то, что источником развития рака служил эпителий наружного листа капсулы Шумлянского — Боумена.
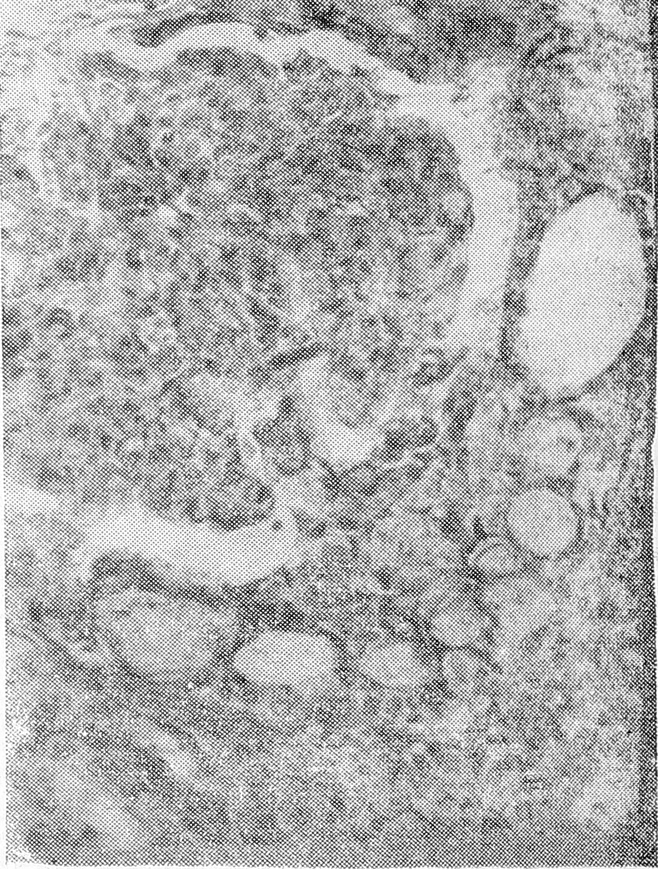
Нам удалось выявить последовательные стадии развития гипернефроидного рака из эпителия капсулы Шумлянского—Боумена. Они проявлялись увеличением размеров эпителиальных клеток париетального листка капсулы клубочков, гиперхромностыо их ядер. Клетки эпителия приобретали кубическую форму. Границы их были хорошо обозначены, цитоплазма базофильна (рис. 1).
Рис. 1. Аденоматозные изменения эпителия капсулы Шумлянского — Боумена (Х380).
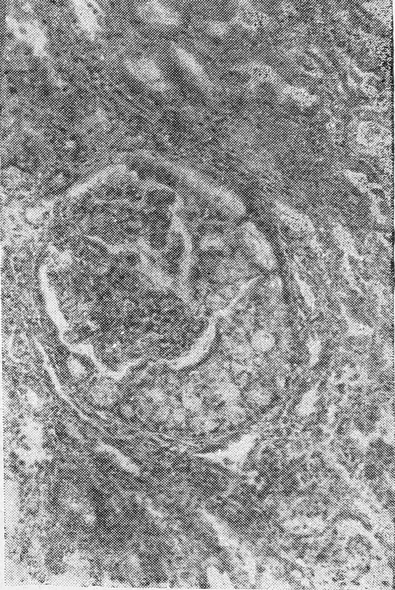
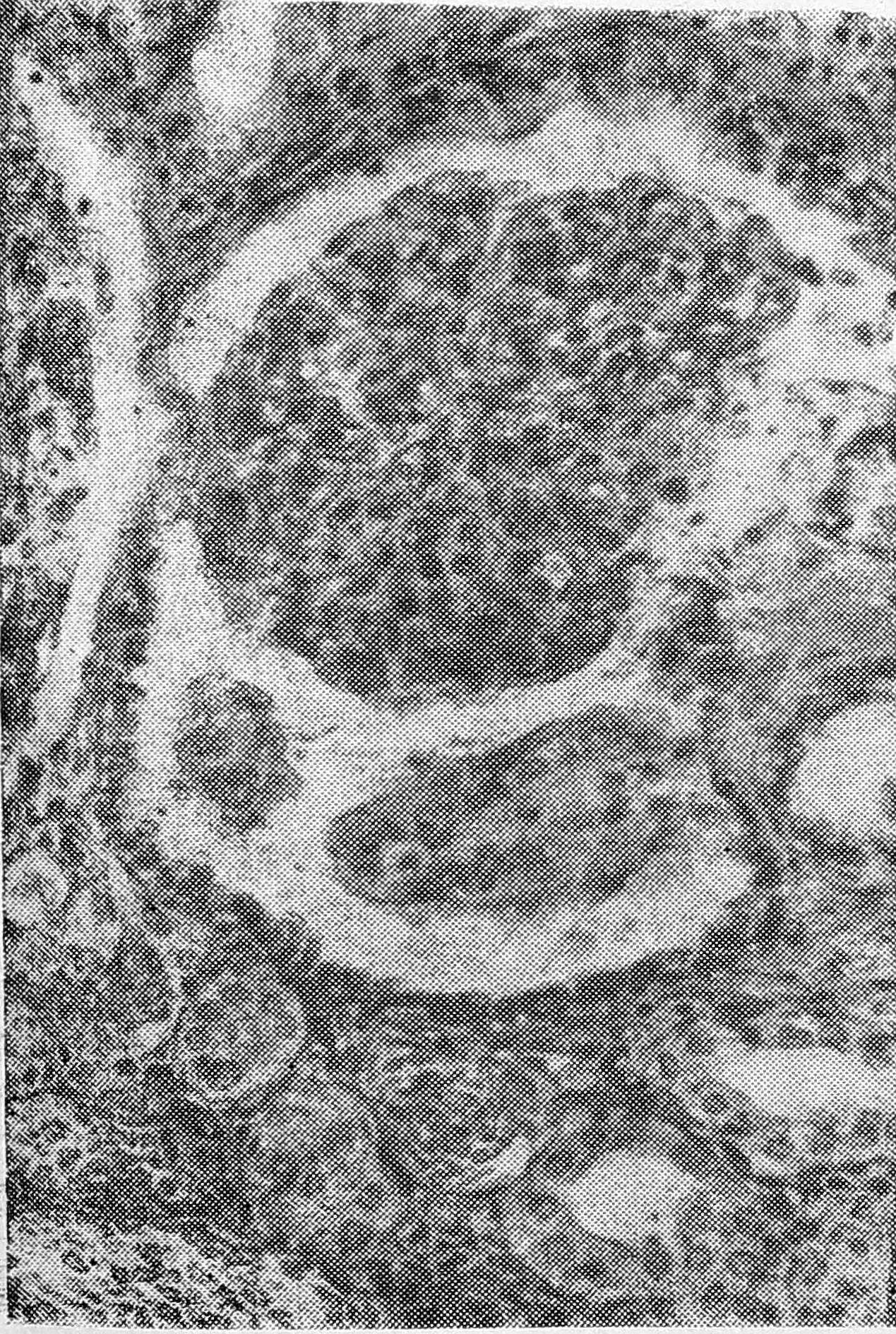
Следующая фаза развития опухоли характеризовалась очаговой или распространенной пролиферацией эпителия, которая приводила к образованию сосочков или солидных клеточных масс, состоящих из нескольких рядов клеток. Пролиферирующий эпителий вызвал сдавление, а затем и атрофию сосудистых петель клубочка, постепенно занимая весь его просвет (рис. 2, 3).
Рис. 2. Сосочковые разрастания эпителия капсулы Шумлянского — Боумена (X 210).
Рис. 3. Солидные разрастания эпителия капсулы Шумлянского — Боумена (Х180).
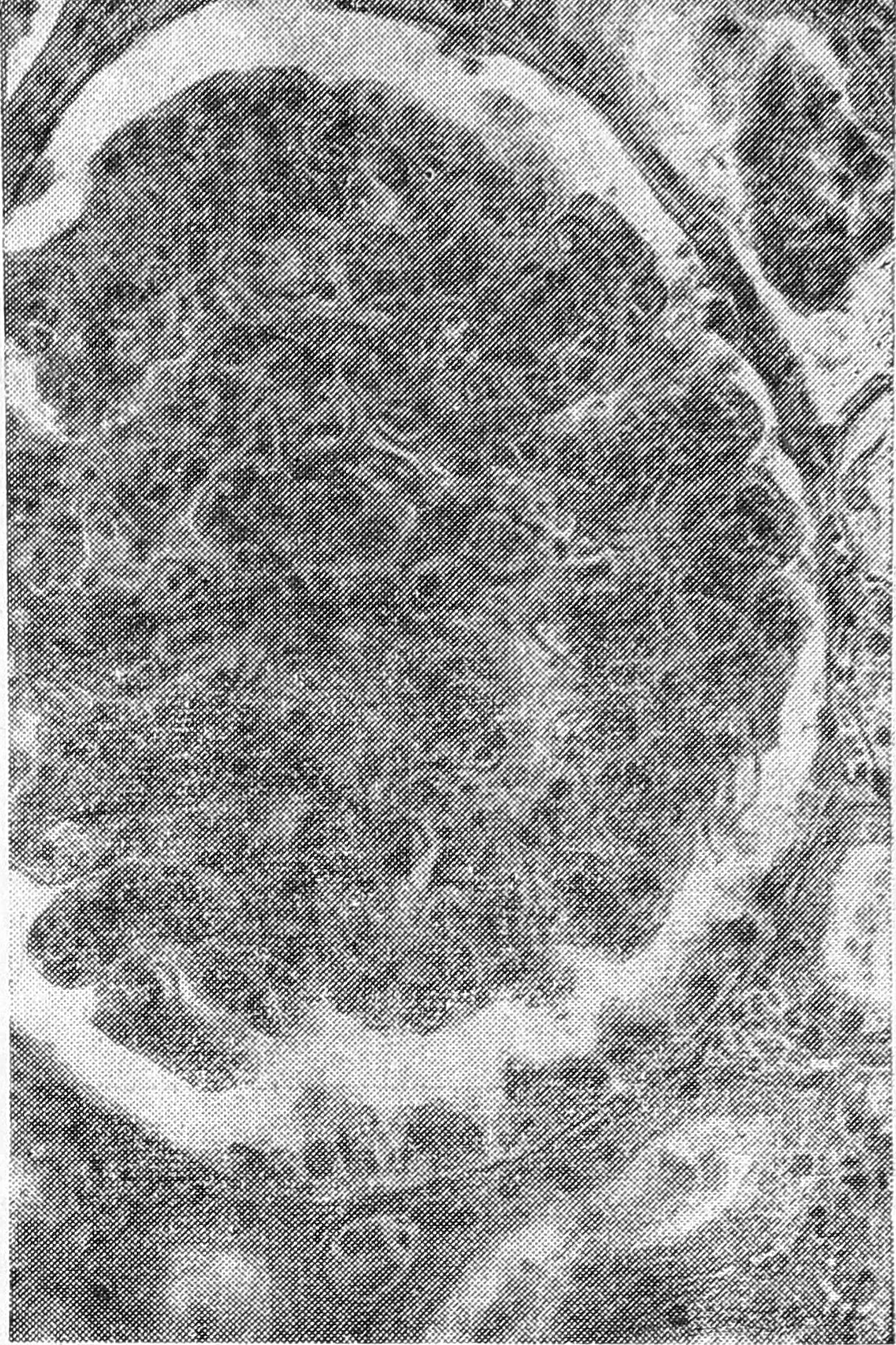
Опухолевые клетки были кубической, округлой, овальной, полигональной и неправильной формы, окружены четкой мембраной. Наблюдалась разная степень их дифференцировки: от клеток с базофильной цитоплазмой к клеткам с ацидофильной и светлой цитоплазмой. Ядра клеток опухоли —округлой, овальной и неправильной формы, светлые, расположены в центре или ближе к оболочке, с бледно окрашенными ядрышками. В ряде клубочков пролиферация эпителия шла с образованием среди пластов эпителиальных клеток отдельных полостей — кист округлой, овальной и неправильной формы, разной величины, выстланных незрелыми эпителиальными клетками. Эти полости, по-видимому, являются результатом железистой дифференцировки пролиферирующего эпителия (рис. 4). В ряде клубочков отмечался разрыв базальной мембраны капсулы и распространение опухоли в прилежащую ткань почки. Эти разрастания повторяли строение вышеописанной опухоли. Они располагались в виде пласта атипических эпителиальных клеток, кое-где с формированием мелких кист (рис. 5).
Рис. 4. Полости-кисты среди пластов эпителиальных клеток капсулы Шумлянского — Боумена (Х380).
Рис. 5. Распространение опухоли в прилежащую ткань почки (X 210).
Анализ нашего материала позволяет считать, что гипернефроидный рак может возникать из эпителия не только канальцев почки, но и париетального листка капсулы Шумлянского — Боумена. Развитию гипернефроидного рака из эпителия капсулы Шумлянского — Боумена предшествует его гиперплазия. В своем развитии гипернефроидный рак проходит две стадии: пролиферацию эпителиальных клеток с изменением величины и формы клеток и стадию просветления цитоплазмы клеток. Характер роста опухоли из эпителия капсулы различен. Опухоль может разрастаться в просвет клубочка, образуя солидные пласты или полиповидные выросты, которые вызывают вначале сдавление, а затем атрофию сосудистых петель клубочка, либо распространяться за пределы базальной мембраны, в прилежащую ткань почки. «Просветление» же цитоплазмы клеток возникает содружественно разрастанию эпителия или вслед за ним.
Опухоль, развивающаяся из эпителия капсулы Шумлянского — Боумена, может быть представлена или эпителиальным пластом, состоящим из кубических, округлых, полигональных и неправильной формы клеток с базофильной, ацидофильной и светлой цитоплазмой, или наличием среди клеточных элементов опухоли отдельных полостей — кист различной формы. Развитие кист, по-видимому, связано с железистой дифференцировкой пролиферирующего эпителия капсулы и, возможно, является одной из морфологических особенностей гипернефроидного рака, развивающегося из эпителия капсулы Шумлянского — Боумена.
About the authors
V. I. Dadykina
Moscow Regional Clinical Research Institute
Author for correspondence.
Email: info@eco-vector.com
Russian Federation
References
Supplementary files








