Assessment of parenchymal follicular structures in the thyroid glands
- Authors: Badin M.I.1
-
Affiliations:
- Bashkir Medical Institute
- Issue: Vol 49, No 2 (1968)
- Pages: 14-16
- Section: Articles
- Submitted: 06.02.2021
- Accepted: 06.02.2021
- Published: 30.03.1968
- URL: https://kazanmedjournal.ru/kazanmedj/article/view/60204
- DOI: https://doi.org/10.17816/kazmj60204
- ID: 60204
Cite item
Full Text
Abstract
The presence of follicular parenchymal structures in the thyroid glands does not always correspond in the plane of histological sections to the actual structure of the organ.
Keywords
Full Text
Наличие бесфолликулярных паренхиматозных структур в щитовидных железах не всегда соответствует в плоскости гистологических срезов действительному строению органа. В частности, в щитовидных железах новорожденных бесфолликулярные структуры могут быть обусловлены спадением фолликулов вследствие резорбции коллоида (К. Вегелин, 1926), десквамацией эпителия (Л. Ашоф, 1925; К. Вегелин, 1926; M. Шинкерма.н, 1956), в результате которой при небольших размерах фолликулов эпителий может заполнить целиком их полости. При этом десквамация эпителия находится в прямой, хотя и не абсолютной, зависимости от времени, прошедшего с момента смерти до вскрытия (Л. Ашоф, 1925; К. Вѳгелин, 1926; Дж. Мёррей, 1927).
Согласно литературным данным, бесфолликулярные структуры в щитовидных железах могут быть обусловлены межфолликулярными «эмбриональными остатками» эпителия (Вёльфлер, 1880), «экстрафолликулярными островками» (П. В. Сиповский, 1946, 1963), «интерфолликулярными островками» эпителия (Б. В. Алешин, 1954, 1964).
В результате исследования 70 щитовидных желез новорожденных и детей раннего возраста (до 3 лет) мы пришли к заключению, что в число паренхиматозных бесфолликулярных структур, кроме указанных выше, неизбежно включаются бесфолликулярные структуры, образующиеся от тангенциальных и сегментарных разрезов через мелкие фолликулы. Это происходит потому, что при гистологических исследованиях не учитывается соотношение диаметра фолликулов и толщины гистологических срезов. Между тем чем больше внутренний диаметр фолликулов приближается к толщине гистологического среза, тем резче выражено преобладание бесфолликулярных структур над фолликулярными в плоскости гистологического среза.
В литературных источниках имеются указания, что мнение исследователя относительно наличия бесфолликулярных структур в щитовидных железах может определяться чисто техническими причинами (К. Вегелин, 1926; В. Рингоф, 1929; А. Максимов и В. Блюм, 1942). По В. Рингофу межфолликулярные «эмбриональные остатки» Вёльфлера представляют собой тангенциальные срезы фолликулов.
Совершенно очевидно и бесспорно, что при толщине гистологического среза 15 мк и внутреннем диаметре фолликулов 10 мк не может быть выявлена полость ни одного из фолликулов. Не столь очевидно, но также бесспорно, что при внутреннем диаметре фолликулов 15 мк и той же толщине гистологического среза также не будет выявлена полость ни одного фолликула (см. рис. 1 и 2).
Рис 1 Схема фолликула цитовидной железы с внутреним диаметром 15 мк.
На рис.1.представлена схема фолликула,из которой видно, что при любом расположении плоскости гистологического среза 15 мк толщиной по отношению к фолликулу с такой же величиной внутреннего диаметра полость его не может быть выявлена.
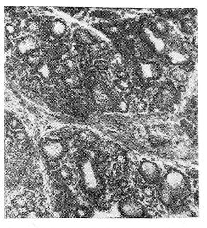
Рис.2 Микрофото. Щитовидная железа мальчика 7 месяцев.
На рис.2 показан гистологический срез микрофолликулярной щитовидной железы с фолликулами имеющими различный вид в компактный периферический темный слой четко обозначает границы фолликулов, более светлые центральные участки, образованные одним слоем эпителия, пердставляют «дно» или «крышу» фолликула. Полости некоторых фолликулов частично вскрыты с той и другой стороны в полости среза
Указанная нами зависимость может быть выражена математической формулой a-h / b-h
где а — внутренний, в — наружный диаметр фолликула, h — толщина гистологического среза. Формула выражает отношение количества выявленных полостей ко всему количеству фолликулов при данной толщине среза и данных размерах внутреннего и наружного диаметра фолликулов. Умножение числителя на 100 представит количество выявленных фолликулов в процентах.
Если для примера взять высоту эпителия 10 мк, внутренний диаметр фолликулов 30 л/к, толщину гистологического среза 15 мк, то, подставляя в формулу цифровые значения, находим:
30-15/30+10+10-15 = 15/35 = 3/7, т. е. при заданных условиях будут выявлены полости только 43% всего количества фолликулов, точнее — не более этого, ибо формула предполагает, что все фолликулы имеют одинаковые внутренние и наружные диаметры. В действительности условия, разумеется, значительно сложнее и, очевидно, менее благоприятны для максимального выявления полостей фолликулов.
Вышеприведенная формула показывает, кроме того, что количество выявляемых фолликулов зависит не только от соотношения внутреннего диаметра полости и толщины гистологического среза, но также и от высоты эпителия, которой определяется наружный диаметр фолликула. Так, если высоту эпителия принять равной не 10, а20лік, растает диаметр фолликулов по отношению к толщине гистологического среза, тем более отношение, вычисляемое по данной формуле, приближается к единице, и соответственно этому процент выявляемых фолликулов приближается к 100. Так, при диаметре фолликулов 300 мк, высоте эпителия 10 мк, толщине среза 15 мк количество вы- 285
явленных фолликулов будет выражаться отношением 285/305 т. е. теоретически максимальное количество выявленных полостей будет равно 93% (см. оговорку выше).
Мы полагаем, что показанная нами математическая зависимость между внутренним диаметром фолликулов, высотой эпителия и толщиной гистологического среза имеет теоретическое и практическое значение для оценки бесфолликулярных структур в плоскости гистологических срезов. Найденные нами зависимости важно принимать во внимание при исследовании щитовидных желез новорожденных и детей раннего возраста, микрофолликулярных и паренхиматозных форм зоба, а также при исследовании щитовидных желез мелких животных.
About the authors
M. I. Badin
Bashkir Medical Institute
Author for correspondence.
Email: info@eco-vector.com
Department of Pathological Physiology
Russian FederationReferences
Supplementary files





