Clinical case of using epleronon and candesartan for correction of heart failure in patients with Ebshtein’s anomaly
- Authors: Bublikov DS1, Duruda NV1, Kudeyarova TV1, Klester EB1, Pinaeva AS1, Турчина AM1
-
Affiliations:
- Altai State Medical University
- Issue: Vol 100, No 5 (2019)
- Pages: 823-827
- Section: Clinical observations
- Submitted: 10.10.2019
- Accepted: 10.10.2019
- Published: 14.10.2019
- URL: https://kazanmedjournal.ru/kazanmedj/article/view/16387
- DOI: https://doi.org/10.17816/KMJ2019-823
- ID: 16387
Cite item
Full Text
Abstract
Aim. To evaluate the efficacy of eplerenone and candesartan in heart failure correction in a patient with Ebstein's anomaly detected in adulthood.
Methods. A clinical case of long-term follow-up of a patient with a rare pathology, Ebstein's anomaly detected in adulthood, is described. The data of subjective examination are given. The anomaly was identified during a screening heart ultrasound exam, the patient had no complaints before, and had no history of chronic diseases, including congenital heart defects among family members. Also, the patient underwent routine diagnostic methods — general clinical studies, cardiac echocardiography, magnetic resonance imaging of the heart, N-terminal pro-brain natriuretic peptide measurement. In addition, the effect of correcting the signs of heart failure with a combination of candesartan and eplerenone in the complex treatment of heart failure according to echocardiography data and the level of N-terminal pro-brain natriuretic peptide is shown.
Results. A decrease in the level of N-terminal pro-brain natriuretic peptide, an increase of the ejection fraction according to echocardiography with the use of eplerenone and candesartan in the complex treatment of heart failure in these patients were demonstrated.
Conclusion. Despite the limited data on the use of antagonists of mineralcorticoid receptors and angiotensin receptor blockers among the patients with Ebstein's anomaly, the clinical case presented in the article demonstrates high effectiveness of this combination in treating heart failure in such patients.
Full Text
Аномалия Эбштейна (АЭ) — редкий врождённый порок сердца, обусловленный дислокацией задней и септальной створок трёхстворчатого клапана (ТК) и характеризующийся различными клиническими проявлениями.
Впервые данный порок был описан в 1866 г. прусским патологоанатомом, профессором Готтингемского университета Вильгельмом Эбштейном1. Им был выявлен «очень редкий случай недостаточности ТК, вызванный тяжёлым врождённым пороком развития». Эбштейн наблюдал за пациентом по имени Joseph Prescher, который в 19-летнем возрасте умер от декомпенсации сердечной недостаточности. На аутопсии профессор Эбштейн обнаружил неизвестную ранее морфологическую картину: смещение функционального трикуспидального кольца в сторону верхушки сердца, увеличение и фенестрацию передней створки ТК, сращение задней и септальной створок с нижележащим миокардом. Были отмечены дилатация атриализированной части правого желудочка (ПЖ) и увеличение правого предсердия [1].
На АЭ приходится около 1% всех врождённых пороков сердца [2]. Данная патология встречается в 1 случае на 20 000 новорождённых [3].
Тем не менее, эта аномалия представляет собой наиболее частый порок с преобладанием патологии ТК, составляя около 40% среди всех врождённых пороков сердца [4].
В настоящее время причины возникновения АЭ остаются недостаточно изученными. По-видимому, этиология данного заболевания гетерогенна: предполагают наличие дефекта в генах GATA4, NKX2.5 и, гипотетически, в гене 1p36 [5]. Многие авторы отмечают связь возникновения АЭ с приёмом беременной препаратов, содержащих соли лития [6].
Заболевание характеризуется смещением аппарата ТК в ПЖ вследствие неправильного прикрепления его створок. В каждом отдельном случае лепестки ТК могут быть поражены в различной степени, давая уникальную клиническую картину. Однако отмечают более частое поражение септального лепестка ТК, который совместно с передним смещается вниз, по направлению к верхушке сердца. Передний лепесток при АЭ фенестрирован, часто удлинён и сращён со стенкой ПЖ [7].
Поскольку анатомически трикуспидальное кольцо расположено обычным образом, а линия прикрепления септального и заднего лепестков смещается вниз, верхний участок ПЖ функционально становится предсердием — происходит атриализация желудочка [6].
У 50% пациентов с АЭ выявляют дефект межпредсердной перегородки или открытое овальное окно. У таких больных правопредсердный кровоток шунтируется справа налево, что клинически проявляется выраженным цианозом [6].
Однако при АЭ в патологический процесс вовлечены не только правые отделы сердца. Согласно исследованиям, помимо дисфункции ПЖ, возникают нарушения и в левых отделах сердца [8].
Один из определяющих факторов — развитие миокардиального фиброза, преимущественно в правых отделах сердца. Согласно данным исследования R.S. Beroukhim и соавт., проведённого среди 78 пациентов, средний возраст которых составлял 34 года, было выявлено, что в 22,7% случаев у пациентов с АЭ присутствует субэндокардиальный фиброз базальной перегородки ПЖ [8]. Изменения носили линейный или мелкоочаговый характер. У 1 пациента из группы были обнаружены очаговые трансмуральные изменения в базальной перегородке и заднемедиальной папиллярной мышце.
Помимо этого, были обнаружены следующие эхокардиографические изменения:
– увеличение конечного диастолического и систолического объёмов ПЖ, при этом у пациентов с миокардиофиброзом отмечали увеличение конечных диастолического и систолического объёмов по сравнению с пациентами без него;
– снижение конечного диастолического объёма левого желудочка и фракции выброса, причём у 34% испытуемых фракция выброса была менее 50%;
– больные АЭ с миокардиофиброзом имели больший функциональный класс по рекомендациям Нью-Йоркской ассоциации кардиологов (NYHA), чем аналогичные больные без него;
– присутствовала корреляция степени трикуспидальной регургитации со степенью выраженности миокардиофиброза.
По результатам исследования можно предположить, что дисфункция левого желудочка тесно связана с наличием диффузного фиброза в ПЖ. Он также играет важную роль в патогенезе ремоделирования миокарда при АЭ [9].
Клиническая характеристика АЭ зависит от возраста пациента. В то время как у младенцев и новорождённых отмечают цианоз и сердечную недостаточность, аритмия — наиболее частое проявление у взрослых. Около 30% пациентов имеют дополнительные пути проведения, обусловливающие различные аритмии, включая синдром Вольфа–Паркинсона–Уайта. У пациентов с АЭ возможна парадоксальная эмболизация, приводящая к инсульту [10].
На электрокардиограмме выявляют признаки гипертрофии правого предсердия, симптомокомплексы, вызванные наличием дополнительных путей проведения, обычно присутствующих вокруг деформированного ТК, различные нарушения сердечного ритма и проводимости [11].
На сегодняшний день принято различать пять анатомических типов порока.
Тип А. Изменения в сердце минимальны. Задняя и септальная створки расположены нормально или незначительно опущены в сторону полости ПЖ. Передняя створка большая. Объём движений практически не ограничен. Отмечают утолщение дистальных краёв всех створок. Папиллярные мышцы и сухожильные хорды сформированы практически нормально.
Тип В. Задняя и септальная створки опущены в полость ПЖ, прикреплены короткими хордами к миокарду. Передняя створка утолщена, больших размеров. Происходит атриализация ПЖ.
Тип С. Отверстие ТК в типичном месте, однако оно мало функционирует. Задняя и септальная створки короткими хордами сращены с миокардом, вследствие чего их подвижность резко ограничена. Передняя створка большая. Из-за облитерации межхордальных пространств её мобильность резко снижена. Края створок утолщены. Присутствует выраженная атриализация ПЖ. Атриализированная часть расширена, тонкостенная. Стенки не сокращаются. Трабекулярная часть имеет вид щели. Сухожильных хорд практически нет.
Тип D. Передняя створка ТК сращена с передней папиллярной мышцей. Трабекулярная часть и сухожильные хорды отсутствуют. Задняя створка на всём протяжении сращена с миокардом. Септальная створка представляет собой небольшое образование.
Тип Е. Передняя, задняя и септальная створки сращены с миокардом, образуя «трёхстворчатый мешок». Межхондральные пространства облитерированы. Стенки атриализированной части ПЖ резко истончены, не сокращаются [4].
Тактика ведения основана на степени тяжести самой АЭ, наличии тех или иных сопутствующих структурных и электропатофизиологических аномалий. При умеренно выраженной клинической симптоматике, наличии сердечной недостаточности до II функционального класса преимущественно применяют консервативную терапию. Назначают диуретики, ингибиторы ангиотензин-превращающего фермента и дигоксин для лечения сердечной недостаточности.
В случае безуспешности консервативной терапии, при неуклонном прогрессировании заболевания больным АЭ показано хирургическое вмешательство. Основная задача хирургического лечения — восстановление запирательной функции ТК. С этой целью проводят реконструктивные операции по замещению и перемещению ТК, пликации атриализированной камеры ПЖ.
Своевременная диагностика АЭ позволяет значительно улучшить показатели выживаемости. Рациональный подбор медикаментозной терапии способен ограничить прогрессирование хронической сердечной недостаточности, устранить аритмогенные проявления, а также отсрочить необходимость хирургического вмешательства или нивелировать риск возникновения послеоперационных осложнений в случае проведения оперативного вмешательства.
При удовлетворительном хирургическом вмешательстве происходит нормализация гемодинамики, улучшаются выживаемость и функциональный статус, снижается частота арит-мий [12].
Однако наличие диффузного миокардиофиброза, сопровождающегося дисфункцией левого желудочка, у пациентов с АЭ повышает риск послеоперационной летальности [9]. В связи с этим особую актуальность приобретает использование широкого спектра диагностических методов обследования пациентов на предоперационном этапе с целью снижения количества нежелательных исходов.
Так, ранее нами был описан клинический случай АЭ у мужчины в возрасте 41 года с успешным ведением пациента хирургическим методом и последующей длительной коррекцией хронической сердечной недостаточности медикаментозными препаратами [13].
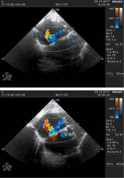
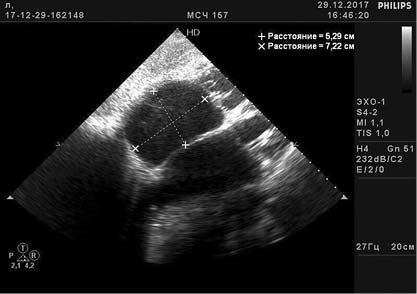
Кроме того, под нашим наблюдением оказался ещё один пациент, которому при скрининговой эхокардиографии был установлен диагноз АЭ. Были обнаружены (рис. 1) удлинение створок ТК, смещение задней и септальной створок к верхушке сердца на 22 мм относительно фиброзного кольца митрального клапана, расширение фиброзного кольца ТК, увеличение объёма правого предсердия (5,29×7,22 см), уменьшение размеров ПЖ, стенки ПЖ утолщены до 4 мм, в верхней трети межжелудочковой перегородки — прерывание эхо-сигнала до 4 мм со сбросом крови слева направо при цветовом допплеровском картировании (рис. 2). Систолическое давление легочной артерии 46 мм рт.ст. Фракция выброса (Симпсон) 36%. Уровень N-концевого пропептида мозгового натрийуретического гормона на момент обращения 650 пг/мл (референсное значение до 150 пг/мл).
Рис. 1. Данные эхокардиографии: атриализированная часть правого желудочка, уменьшение его размеров, расширение фиброзного кольца трёхстворчатого клапана
Рис. 2. Данные эхокардиографии в режиме цветового допплеровского картирования: сброс крови слева направо
В отношении данного пациента была выбрана тактика консервативного лечения, включавшего эплеренон в дозе 25 мг 1 раз в сутки и кандесартан с титрацией дозы до 16 мг в сутки.
Пациент находится под наблюдением с декабря 2017 г. Через 12 мес комплексного лечения с использованием эплеренона и кандесартана по данным эхокардиографии: удлинение створок ТК, смещение задней и септальной створок к верхушке сердца на 22 мм относительно фиброзного кольца митрального клапана, расширение фиброзного кольца ТК, увеличение объёма правого предсердия (5,07×7,09 см), уменьшение размеров ПЖ, стенки ПЖ утолщены до 4 мм, в верхней трети межжелудочковой перегородки — прерывание эхо-сигнала до 4 мм со сбросом крови слева направо при цветовом допплеровском картировании. Систолическое давление легочной артерии 40 мм рт.ст. Фракция выброса (Симпсон) 43%. Уровень N-концевого пропептида мозгового натрийуретического гормона через 12 мес 125 пг/мл (референсное значение до 150 пг/мл).
Таким образом, на фоне постоянной терапии достигнуто незначительное уменьшение полостей сердца по сравнению с первоначальными показателями, уменьшились признаки лёгочной гипертензии. Пациенту рекомендовано продолжение приёма препаратов с последующей динамической оценкой состояния.
Данный клинический случай подтверждает необходимость настороженности врачей общей практики относительно врождённых пороков сердца, в частности АЭ. Разнообразие клинических проявлений, а также бессимптомность течения значительно затрудняют выявление данной патологии у взрослых.
На сегодняшний день АЭ не должна встречаться как диагностическая находка, поскольку сердце плода мониторируют с помощью ультразвуковых методик ещё внутриутробно. Несмотря на это обстоятельство, описанный нами клинический случай указывает на тот факт, что не следует убирать из дифференциально-диагностического ряда при заболеваниях, сопровождающихся трикуспидальной регургитацией (пролапс ТК, ревматическое поражение ТК, инфекционный эндокардит и пр.), и АЭ.
Вывод
Несмотря на ограниченность данных о применении антагонистов минералокортикоидных рецепторов и блокаторов рецепторов ангиотензина у пациентов с аномалией Эбштейна, представленный в статье клинический случай демонстрирует высокую эффективность применения данной комбинации в лечении сердечной недостаточности согласно европейским и российским рекомендациям у таких пациентов.
Авторы заявляют об отсутствии конфликта интересов по представленной статье.
About the authors
D S Bublikov
Altai State Medical University
Author for correspondence.
Email: bublikov.dim@yandex.ru
SPIN-code: 9337-8651
Russian Federation, Barnaul, Russia
N V Duruda
Altai State Medical University
Email: bublikov.dim@yandex.ru
SPIN-code: 4053-8519
Russian Federation, Barnaul, Russia
T V Kudeyarova
Altai State Medical University
Email: bublikov.dim@yandex.ru
SPIN-code: 8349-0758
Russian Federation, Barnaul, Russia
E B Klester
Altai State Medical University
Email: bublikov.dim@yandex.ru
SPIN-code: 8759-8468
Russian Federation, Barnaul, Russia
A S Pinaeva
Altai State Medical University
Email: bublikov.dim@yandex.ru
Russian Federation, Barnaul, Russia
A M Турчина
Altai State Medical University
Email: bublikov.dim@yandex.ru
Russian Federation, Barnaul, Russia
References
- Waldmann V., Khairy P. Ventricular arrhythmias and sudden death in patients with Ebstein anomaly: insights from a retrospective cohort study. J. Thorac. Dis. 2018; 10 (Suppl. 18): S2172–S2175. doi: 10.21037/jtd.2018.06.74.
- Sharma N., Lalnunnem T.J., Nandwani M. et al. Ebstein anomaly with pregnancy: A rare case. J. Reprod. Infertil. 2018; 19 (2): 119–122. PMID: 30009147.
- Malhotra A., Agrawal V., Patel K. et al. Ebstein's anomaly: “The One and a Half Ventricle Heart”. Braz. J. Cardiovasc. Surg. 2018; 33 (4): 353–361. doi: 10.21470/1678-9741-2018-0100.
- Ministry of Healthcare of the Russian Federation. Klinicheskie rekomendatsii. Anomaliya Ehbshteyna. (Clinical guidelines. Ebstein’s anomaly.) 2017. https://racvs.ru/clinic/files/2017/anomalia_Ebsteina.pdf (access date: 14.06.2019). (In Russ.)
- Singh D.P., Mahajan K. Ebstein anomaly and malformation. Treasure Island (FL): StatPearls Publishing. 2019. https://www.ncbi.nlm.nih.gov/books/NBK534824/ (access date: 14.06.2019).
- Sprindzhuk M.V., Adzerikho I.E., Dergachev A.V. Ebstein’s anomaly. Novosti khirurgii. 2007; 15 (4), 112–122. GURNPTS “Kardiologiya”, Belarusʹ. (In Russ.)
- Bin Li, Han-Song Sun, Shi-Wei Pan, Jian-Ping Xu. Outcomes of Ebstein’s anomaly patients treated with tricuspid valvuloplasty of tricuspid valve replacement: Experience of a single center. Chin. Med. J. (Engl.). 2018; 131 (9): 1067–1074. doi: 10.4103/0366-6999.230731.
- Beroukhim R.S., Jing L., Harrild D.M. et al. Impact of the cone operation on left ventricular size, function, and dyssynchrony in Ebstein anomaly: a cardiovascular magnetic resonance study. J. Cardiovasc. Magn. Reson. 2018; 20: 32. doi: 10.1186/s12968-018-0452-0.
- Dan Yang, Xiao Li, Jia-Yu Sun et al. Cardiovascular magnetic resonance evidence of myocardial fibrosis and its clinical significance in adolescent and adult patients with Ebstein’s anomaly J. Cardiovasc. Magn. Reson. 2018; 20: 69. doi: 10.1186/s12968-018-0488-1.
- Acharya P., Ang J.R., Gitler B. Ebstein anomaly with QRS fragmentation on electrocardiogram. J. Investig. Med. High Impact. Case Rep. 2017; 5 (1): 2324709616688710. doi: 10.1177/2324709616688710.
- Danilenko O.A., Belokhvostik D.I., Rakovich A.E., Tatusʹ Ya.S. Full review of Ebstein’s anomaly: etiology, clinical presentation, treatment. Molodoy uchenyy. 2018; (14): 110–112. (In Russ.)
- Crepin D., Jimenez M., Thambo J.B. et al. Facteurspredictifs de mortalitedans la maladied’Ebstein. Arch. Mal. Coeur. Vaiss. 2004; 97 (5): 535–539.
- Kudeyarova T.V., Duruda N.V., Bublikov D.S. et al. Anomaliya Ehbshteyna. Klinicheskiy sluchay. Sovremennye problemy nauki i obrazovaniya. 2017; (6). https://www.science-education.ru/ru/article/view?id=27294 (access date: 15.06.2019). (In Russ.)
Supplementary files





