Experimental study of the effectiveness of 6-methyl-3-(thietane-3-yl)uracil-containing eye ointment in the treatment of corneal thermal burns
- Authors: Gabdrakhmanova AF1, Meshcheryakova SA1, Gaynutdinova RF2, Kil’diyarov FK.1, Kurbanov SA3, Khuzhamberdiev AK.1
-
Affiliations:
- Bashkir State Medical University
- Kazan State Medical University
- City Clinical Hospital No. 10
- Issue: Vol 100, No 4 (2019)
- Pages: 657-661
- Section: Experimental medicine
- Submitted: 31.07.2019
- Accepted: 31.07.2019
- Published: 31.07.2019
- URL: https://kazanmedjournal.ru/kazanmedj/article/view/15551
- DOI: https://doi.org/10.17816/KMJ2019-657
- ID: 15551
Cite item
Full Text
Abstract
Aim. To evaluate the effectiveness of wound healing eye ointment with 6-methyl-3- (thietane-3-yl) uracil in the treatment of corneal thermal burn in the experiment.
Methods. The study was conducted on 6 rabbits of the chinchilla breed. The results of treatment and histomorphological studies of the rabbits’ cornea are presented after experimental thermal burn by instillation of water with a temperature of 80–85 °C with 20-second exposure to the cornea. In the experimental group (right eyes of rabbits) the animals were treated with developed 6-methyl-3-(thietane-3-yl)uracil eye ointment, in the control group (left eyes of rabbits) 20% gel of solcoseryl was applied. Animals were observed daily for 14 days. The condition and the morphological changes of the cornea were compared on days 1, 3, 7, 10, and 14 after the experimental thermal burn.
Results. The features of reparative processes after corneal thermal burn depending on used treatment were determined. The study revealed that 6-methyl-3-(thietane-3-yl)uracil improved trophics more repidly, increased cell growth and cell reproduction, stimulated the regeneration process in damaged corneal tissues, accelerated wound and burn healing, and also provided anti-inflammatory effect. Positive dynamics was registered on days 4–5 in the experimental group, and by the 7th day in the control group. With 6-methyl-3-(thietane-3-yl)uracil no toxic reactions in the form of destruction of the collagen skeleton, maceration, pronounced edema and hyperemia were observed. On day 14 of follow-up, the microscopic picture of rabbits’ cornea had the usual normal structure.
Conclusion. Treatment with 6-methyl-3-(thietane-3-yl)uracil resulted in faster and more structured and anatomically correct healing of corneal thermal burn compared to the treatment with alternative medication solcoseryl in the control group.
Full Text
Ожоговая травма глаз составляет от 4 до 15% всех повреждений органа зрения [1]. Термические поражения роговицы и конъюнктивы наиболее часто обусловлены непосредственным действием травмирующего агента (горячей воды, пара и химических реагентов), а также могут возникать во время ультразвуковой факоэмульсификации катаракты (ФЭК).
Из 10 000 000 больных катарактой 3 600 000 пациентов обычно проводят консервативное лечение, а 400 000 больных — хирургическое [2]. По данным Росстата, количество операций на органе зрения в 2016 г. составило 821,6 тыс., что на 46% больше, чем в 2005 г. (534 тыс.) [3].
Среди негативных эффектов ультразвука — выделение тепла в результате поглощения тканями акустической энергии, приводящей к их чрезмерному нагреву и вызывающей ожог роговой оболочки, проявляющийся биомикроскопически отёком и помутнением роговицы, что вызывает снижение послеоперационной остроты зрения и неполную герметизацию операционной раны [4].
В литературе описано, что воздействие температуры выше 44 °С может вызвать ожог свиных глаз [5], при температуре выше 50 °С возникает ожог человеческих кадаверных глаз [6], при температуре воды 65 °С страдает строма, развивается отёк роговичных пластинок, при 80 °С происходят отчётливые изменения в эндотелии, повреждается ткань радужной оболочки и хрусталика [7].
Сенильная катаракта часто сочетается с глаукомой. Сочетанная патология глаза может осложнить выполнение операции, увеличить продолжительность хирургического вмешательства и вызвать индуцированные поражения роговицы. Также консервативная терапия глаукомы, заключающаяся в применении местных гипотензивных лекарственных средств, приводит к развитию структурных изменений роговицы [8, 9]. Это обусловлено двумя факторами:
а) влиянием консервирующих агентов, таких как бензалкония хлорид;
б) некомпенсированным повышенным внутриглазным давлением.
В работе Г.Б. Егоровой и соавт. (2016) показано, что при повышении внутриглазного давления нарушается водный баланс стромы роговицы, возникают морфологические нарушения с признаками хронического отёка, преимущественно задних и средних слоёв стромы роговицы [10]. Лечение вышеописанных изменений роговицы заключается в применении препаратов, усиливающих репаративные процессы и регенерацию роговицы.
В настоящее время в арсенале средств, усиливающих процессы регенерации, есть такие препараты, как глазной гель солкосерила 20% и декспантенол 5%. Эти лекарственные препараты разработаны и поставляются зарубежными производителями, что отражается в их высокой стоимости. В связи с вышеизложенным актуальна разработка отечественных препаратов, а также оценка их эффективности в сравнении с импортными аналогами.
Цель исследования — оценить в эксперименте эффективность ранозаживляющей глазной мази на основе 6-метил-3-(тиетан-3-ил)урацила в лечении термического ожога роговицы.
Исследования выполнены согласно правилам лабораторной практики в Российской Федерации, в соответствии с правилами, принятыми Европейской конвенцией по защите позвоночных животных, используемых для экспериментальных и иных научных целей (Strasburg, 1986), согласно утверждённому письменному протоколу, в соответствии со стандартными операционными процедурами исследователя, а также с руководством по лабораторным животным и альтернативным моделям в биомедицинских исследованиях [11].
Эксперименты выполняли на 6 кроликах с массой тела 3,5–4,0 кг породы шиншилла, глаза которых были разделены на две группы: правые глаза составили опытную группу, левые глаза включены в контрольную. Животные находились в стационарных индивидуальных клетках. В качестве корма был использован стандартный комбикорм гранулированный полнорационный ПЗК-92. Кормление кроликов осуществлялось по нормативам в соответствии с видом животных. Водопроводную очищенную воду кроликам давали без ограничений в поилках.
Экспериментальный термический ожог вызывали по методике, сходной с данными литературы [5–7]. Накладывали блефаростат на веки и в конъюнктивальный мешок, с целью анестезии закапывали 0,4% раствор оксибупрокина (инокаина) двукратно с интервалом 1 мин. Воду температурой 80–85 °С набирали в шприц объёмом 10,0 мл. Температуру кипячёной воды измеряли цифровым термометром Rx-300 rexant. Затем закапывали в центральную зону роговицы по 30 капель в течение 20 с.
После нанесения ожога через 10 мин наблюдали отёк и помутнение роговицы, выраженную гиперемию конъюнктивы. Затем закладывали глазную мазь на основе 6-метил-3-(тиетан-3-ил)урацила в правые глаза кроликов, которые составили опытную группу, и 20% солкосерил в левые глаза кроликов, которые составили контрольную группу рис. 1).
Рис. 1. Глаз кролика опытной группы (а) после закладывания 6-метил-3-(тиетан-3-ил)урацила и контрольной группы (б) после 20% солкосерила геля в конъюнктивальную полость
С целью профилактики развития вторичной инфекции осуществляли инстилляцию 0,3% раствора тобрамицина по 1 капле 4 раза в день на весь период эксперимента. Животные находились под ежедневным наблюдением в течение 14 дней. Клиническое исследование включало осмотр переднего отрезка глаз с помощью фокального и бокового освещения и фоторегистрацию. Оценку состояния глаз проводили по следующим признакам: степень выраженности воспалительной реакции, величина и глубина дефекта роговицы, прозрачность и интенсивность помутнения роговицы.
Кроликов пронумеровали от 1 до 6, выводили из эксперимента для проведения гистологического исследования материала методом световой микроскопии в следующем порядке: на 1-е, 3-и, 7-е, 10-е сутки по одному кролику (кролики-1, -2, -3, -4), на 14-е сутки остальные два кролика (кролики-5 и -6).
После выведения из эксперимента проводили энуклеацию глазного яблока. Глаза фиксировали в 10% растворе нейтрального формалина, обезвоживали в серии спиртов в возрастающей концентрации и заливали в парафин по общепринятой методике. Серии срезов толщиной 5–6 мкм готовили на ротационном микротоме LEICA RM 2145 (Германия), окрашивали гематоксилином и эозином. Исследование и визуализацию препаратов осуществляли с использованием светового микроскопа Leica DMD 108 (Германия) со специализированным программным обеспечением управления настройками, захвата изображения, при увеличении ×520.
При проведении экспериментального исследования установлены особенности течения репаративных процессов при термическом ожоге роговицы в зависимости от использованных лекарственных средств. В опытной и контрольной группах степень выраженности воспалительной реакции была различной.
Через 10–15 мин у животных наблюдали слезотечение, конъюнктивальную инъекцию, лёгкую светобоязнь.
На 1-е сутки лечения в обеих группах зарегистрированы гиперемия конъюнктивы, инъекция сосудов склер, отёк роговицы в оптической зоне. Площадь повреждённой поверхности роговицы была одинаковой во всех группах, так как ожог наносили всем кроликам абсолютно одинаково. При осмотре видимые признаки первичного инфицирования отсутствовали.
В течение первых 3 сут после ожога в опытной группе сохранялась инъекция конъюнктивы, на 4–5-е сутки зафиксирована положительная динамика — инъекция конъюнктивы значительно уменьшилась. В то время как в контрольной группе инъекция конъюнктивы сохранялась в течение первых 5 сут и уменьшилась к 7-м суткам.
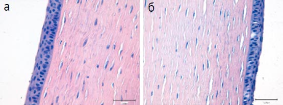
Установлено, что термическая ожоговая травма у кролика-1 на опытном глазу проявлялась изменением повреждённого переднего эпителия роговицы в виде отёка за счёт появления прозрачной жидкости в межклеточном пространстве и ослабления межклеточных связей. На контрольном глазу изменения сопровождались выраженной десквамацией эпителия, в некоторых участках присутствовали относительно узкие разрывы между клетками и внеклеточным матриксом. Разрывы были заполнены оптически светлой однородной жидкостью за счёт отёка (рис. 2).
Рис. 2. Гистологическая картина роговицы кролика-1 — опытной (а) и контрольной (б) групп на 1-е сутки лечения
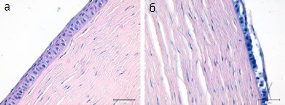
На фоне дальнейшего лечения отмечена положительная динамика в обеих группах. На опытном глазу зафиксировано уменьшение отёка между клетками, для восполнения дефекта происходило митотическое деление молодых клеток. Глубокие слои роговицы (боуменова мембрана, строма, десцеметова мембрана и задний эпителий) оставались неизменными. В контрольной группе также обнаружены вышеперечисленные изменения, за исключением некоторых участков, где выявлено относительно запоздалое закрытие дефекта эпителия роговицы (рис. 3).
Рис. 3. Гистологическая картина роговицы кролика-2 — опытной (а) и контрольной (б) групп на 3-и сутки лечения
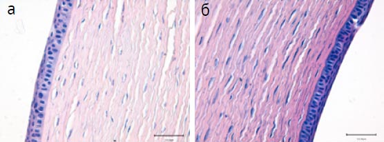
На 7-е сутки лечения после нанесения лекарственных средств происходило восстановление целостности эпителиального пласта. Анализ морфологических изменений, развивающихся на 10-е и 14-е сутки, показал полное восстановление поверхностного эпителия роговицы. Межклеточный отёк, явления воспалительной инфильтрации в роговице отсутствовали. На этом этапе наблюдения после экспериментальной термической травмы микроскопическая картина роговицы кроликов в значительной части была без выраженных патологических изменений. Передний эпителий роговицы имел обычную нормальную структуру (рис. 4).
Рис. 4. Гистологическая картина роговицы кролика-4 — опытной (а) и контрольной (б) групп на 10-е сутки лечения
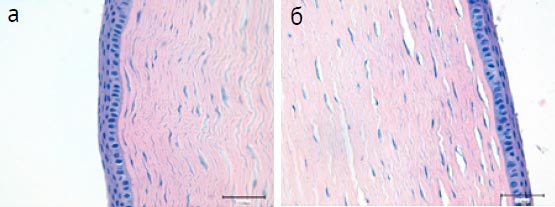
В последние сутки исследования зарегистрирована выраженная пролиферация эпителиальных клеток в обеих группах, в некоторых случаях эпителий был 5–6-рядный, имел более рыхлую структуру, клетки были вытянутой формы. Возможно, это обусловлено ускоренным митотическим делением эпителиальных клеток для замещения повреждённых нежизнеспособных клеток (рис. 5).
Рис. 5. Гистологическая картина роговицы кролика-6 — опытной (а) и контрольной (б) групп на 14-е сутки лечения
При использовании 6-метил-3-(тиетан-3-ил)урацила каких-либо токсических реакций в виде разрушения коллагенового каркаса, мацерации, выраженного отёка и гиперемии не было. Отмечена усиленная фибробластическая реакция, которая способствовала восстановлению нормальной роговичной ткани. В наших исследованиях 6-метил-3-(тиетан-3-ил)урацил быстрее улучшал трофику, усиливал рост и размножение клеток, стимулировал процесс регенерации в повреждённых тканях роговицы, ускорял заживление раневого процесса вследствие ожога.
Выводы
1. Применение глазной мази на основе 6-метил-3-(тиетан-3-ил)урацила в лечении термического ожога роговицы показало её эффективность и хорошую переносимость на глазах экспериментальных животных.
2. Терапия 6-метил-3-(тиетан-3-ил)урацилом приводила к более быстрому, более структурированному и анатомически правильному заживлению термического ожога роговицы по сравнению с лечением альтернативным препаратом солкосерилом группы контроля.
Авторы заявляют об отсутствии конфликта интересов по представленной статье.
About the authors
A F Gabdrakhmanova
Bashkir State Medical University
Email: rg_dinova@list.ru
Ufa, Russia
S A Meshcheryakova
Bashkir State Medical University
Email: rg_dinova@list.ru
Ufa, Russia
R F Gaynutdinova
Kazan State Medical University
Author for correspondence.
Email: rg_dinova@list.ru
Kazan, Russia
F Kh Kil’diyarov
Bashkir State Medical University
Email: rg_dinova@list.ru
Ufa, Russia
S A Kurbanov
City Clinical Hospital No. 10
Email: rg_dinova@list.ru
Ufa, Russia
A Kh Khuzhamberdiev
Bashkir State Medical University
Email: rg_dinova@list.ru
Ufa, Russia
References
- Gundorova R.A., Neroev V.V., Kashnikov V.V. Travmy glaza. (Eye traumas.) Moscow: GEOTAR-Media. 2009; 560 p. (In Russ.)
- Astakhov S.Yu. Keratopathy after phacoemulsification. Novoe v oftalʹmologii. 2014; (3): 76–80. (In Russ.)
- Zdravookhranenie v Rossii. (Healthcare in Russia.) Statistical collection of Rosstat. Moscow. 2017; 170 p. (In Russ.)
- Smetankin I.G., Agarkova D.I. Comparative study of morphological corneal changes after cataract phacoemulsification using confocal microscopy and optical coherence tomography. Vestnik oftalʹmologii. 2012; (6): 30–32. (In Russ.)
- Ernest P., Rhem M., McDermott M. et al. Phacoemulsification conditions resulting in termal wound injury. J. Cataract. Refract. Surg. 2001; 27: 1829–1839. doi: 10.1016/S0886-3350(01)00908-7.
- Olson M.D., Miller K.M. In-air thermal imaging comparison of Legacy. J. Cataract. Refract. Surg. 2005; 31: 1640–1647. doi: 10.1016/j.jcrs.2005.01.016.
- Kerimov K.T., Dzhafarov A.I., Gakhramanov F.S. Ozhogi glaz: patogenez i lechenie. (Eye burns: pathogenesis and treatment.) Moscow: RAMN. 2005; 464 p. (In Russ.)
- Gabdrakhmanova A.F., Kurbanov S.A., Kunafina E.R. Some aspects of complex treatment of open-angle glaucoma. Meditsinskiy vestnik Bashkortostana. 2014; 9 (2): 42–45. (In Russ.)
- Bikbov M.M., Gabdrakhmanova A.F., Orenburkina O.I. et al. Impact of the corneal thickness on intraocular pressure values in patients with glaucoma (a review of literature). Vestnik oftalʹmologii. 2008; 124 (5): 7–11. (In Russ.)
- Egorova G.B., Fedorov A.A., Averich V.V. Morphological changes in glaucoma on the background of elevated IOP and prolonged hypotensive treatment by the results of confocal microscopy. RMZH. Klinicheskaya oftalʹmologiya. 2016; (3): 113–117. (In Russ.)
- Rukovodstvo po laboratornym zhivotnym i al'ternativnym modelyam v biomeditsinskikh issledovaniyakh. (Guide on laboratory animals and alternative models in biomedical research.) Ed. by N.N. Karkishhenko, S.V. Grachev. Moscow: Profil'-2S. 2010; 358 р. (In Russ.)
Supplementary files








