Отсроченная постгипоксическая лейкоэнцефалопатия
- Авторы: Матвеева Т.В.1, Жукова В.Д.1, Артемьева А.О.1, Казанцев А.Ю.1, Гайфутдинов Р.Т.1
-
Учреждения:
- Казанский государственный медицинский университет
- Выпуск: Том 100, № 6 (2019)
- Страницы: 985-991
- Раздел: Клинические наблюдения
- Статья получена: 04.12.2019
- Статья одобрена: 04.12.2019
- Статья опубликована: 09.12.2019
- URL: https://kazanmedjournal.ru/kazanmedj/article/view/18523
- DOI: https://doi.org/10.17816/KMJ2019-985
- ID: 18523
Цитировать
Полный текст
Аннотация
Отсроченная постгипоксическая лейкоэнцефалопатия — клинический синдром, обусловленный поражением белого вещества головного мозга, возникающий через несколько дней после выхода из комы, имеющий острое начало. Причина отсроченной постгипоксической лейкоэнцефалопатии — продолжительная церебральная гипооксигенация, часто она бывает следствием отравления угарным газом, реже ассоциирована с острой гипоксией головного мозга, вызванной дыхательной недостаточностью, передозировкой опиатов. Ведущую роль в клинической картине отсроченной постгипоксической лейкоэнцефалопатии играют продолжительность и выраженность церебральной аноксии в острый период заболевания. Период временного благополучия у пациента, пережившего эпизод острой гипоксии, длится от 2 до 40 дней. Патогенез и патофизиология изучены недостаточно. Считают, что её развитие после отравления угарным газом обусловлено прямым миелинотоксическим действием. При постановке диагноза большое значение имеет сбор подробного анамнеза, информативным инструментальным методом исследования служит нейровизуализация. С помощью магнитно-резонансной томографии можно обнаружить патогномоничные для отсроченной постгипоксической лейкоэнцефалопатии признаки — диффузную гиперинтенсивность белого вещества больших полушарий в Т2-режиме, симметричность поражения обоих полушарий головного мозга, поражение подкоркового серого вещества — globus pallidus. Стандартов лечения отсроченной постгипоксической лейкоэнцефалопатии не разработано. Описано применение глюкокортикоидов, показана перспективность амантадина при наличии лобно-подкоркового синдрома. Существуют рекомендации о назначении больным отсроченной постгипоксической лейкоэнцефалопатией поддерживающей терапии: гипербарическая оксигенация, коэнзим Q10, витамины Е и группы В. Мы представили клиническое наблюдение, которое демонстрирует сложность клинической картины отсроченной постгипоксической лейкоэнцефалопатии, трудность её диагностики без учёта сведений о предшествующем отравлении угарным газом. Безусловный интерес представляют результаты магнитно-резонансной томографии в дебюте заболевания. Представленное в статье клиническое наблюдение за нашим пациентом позволяет сделать предположение о патогенезе и делает перспективным поиск средств, направленных на профилактику развития отсроченной постгипоксической лейкоэнцефалопатии у людей, перенёсших острое отравление угарным газом.
Полный текст
Отсроченная постгипоксическая лейкоэнцефалопатия (ОПЛ) — редко встречающийся, трудно диагностируемый клинический синдром, обусловленный поражением белого вещества головного мозга. Характеризуется острым (через несколько дней/недель после кажущегося восстановления от комы) началом. У 10% пациентов при отравлении угарным газом в острый период потери сознания нет [1]. Причина ОПЛ — продолжительная церебральная гипооксигенация [1]. Наиболее часто она бывает следствием отравления угарным газом [2, 3], реже ассоциирована с острой гипоксией головного мозга, вызванной дыхательной недостаточностью, передозировкой опиатов, острой остановкой сердечной деятельности с последующим её восстановлением [2].
Ведущую роль в клинической картине ОПЛ играют продолжительность и выраженность церебральной аноксии в острый период заболевания. Период временного благополучия у пациента, пережившего эпизод острой гипоксии, длится от 2 до 40 дней (в среднем 3 нед) [4].
Патогенез и патофизиология развития ОПЛ изучены недостаточно. Считают, что развитие ОПЛ после отравления угарным газом (СО) или героином обусловлено их прямым миелинотоксическим действием [5].
Определённую роль играет связанное с токсическим воздействием СО нарушение функций АТФ-зависимых1 ферментов, особенно арилсульфатазы А, ответственных за восстановление миелина [1, 6]. Значимость арилсульфатазы А в механизме развития лейкодистрофии демонстрируется примером метахроматической лейкодистрофии, относящейся к аутосомно-рецессивным заболеваниям. Недостаток фермента арилсульфатазы А приводит к развитию прогрессирующего диффузного поражения белого вещества головного мозга [7, 8].
В патогенезе ОПЛ определённую роль играют и особенности васкуляризации белого вещества головного мозга — скудная сеть сосудов, большие расстояния между артериолами, незначительное количество анастомозов. Данная особенность определяет бо́льшую подверженность гипоксии белого вещества головного мозга по сравнению с серым [1, 9].
Другое возможное объяснение «отставленности» симптомов при ОПЛ — спровоцированный олигемией или гипооксигенацией медленный апоптоз олигодендроцитов, ответственных за синтез миелина. Олигодендроциты очень чувствительны к глутамат-индуцированной эксайтотоксичности. Избыточное выделение глутамата из олигодендроцитов приводит к притоку ионов кальция с последующим развитием апоптотического каскада [10]. Важную роль играют ингибирование цитохром-С-оксидазы, снижение митохондриального метаболизма и дисфункция клеточного дыхания, приводящая к гипоксии [11]. Имеет значение также развитие воспалительной реакции на повреждённый миелин и другие продукты патологического воздействия СО [12].
ОПЛ, согласно классическим представлениям, описанным ещё Lee и Marsden [13], проявляется в виде одного из двух клинических вариантов: паркинсонизма и акинетического мутизма [13, 14]. При первом варианте наряду с классическими чертами паркинсонизма возможны дистонические позы, ажитирование, апатия, галлюцинации, странное и необычное поведение. Всегда присутствуют замедленность речи, когнитивные расстройства, эмоциональная лабильность. При втором варианте у пациентов с акинетическим мутизмом могут присутствовать патологический смех или плач, функциональная дисфункция мочевого пузыря и кишечника. У больного при каждом из рассмотренных вариантов можно обнаружить симптомы орального автоматизма, пирамидные знаки. Когнитивный дефицит настолько выражен, что пациент недоступен осмотру. При любом варианте для дебюта ОПЛ характерны психоневрологические симптомы [1, 15, 16].
После стабилизации состояния регресс симптоматики прослеживается на протяжении 3–6 мес (в среднем 4,2 мес). Описаны случаи ОПЛ с двухфазным течением и летальным исходом. У ряда пациентов длительно сохраняется когнитивный дефицит — нарушение внимания, рабочей памяти, снижение контроля над эмоциями [1, 15, 16, 17].
Не существует общепризнанных критериев диагностики ОПЛ. Исключительное значение в постановке диагноза имеет сбор подробного анамнеза. Наиболее информативным инструментальным методом исследования служит нейровизуализация.
С помощью магнитно-резонансной томографии (МРТ) можно обнаружить патогномоничные для ОПЛ, вызванной острым отравлением СО, признаки — диффузную гиперинтенсивность белого вещества больших полушарий в Т2-режиме, особенно в области полуовального центра, симметричность поражения обоих полушарий головного мозга, поражение подкоркового серого вещества (globus pallidus, реже таламус или средний мозг [18]), отсутствие распространения очагов демиелинизации на кору головного мозга, мозжечок и ствол [14, 19, 20]. МРТ в режиме DWI (от англ. diffusion weight imaging — диффузионно-взвешенное изображение) может прояснить степень повреждения головного мозга. С момента первых клинических проявлений ОПЛ интенсивность поражения белого вещества увеличивается (около 3 нед).
Клиническое наблюдение
Под нашим наблюдением находился пациент 60 лет. Доставлен бригадой скорой медицинской помощи в сопровождении родственников в одну из больниц города. Самостоятельно не передвигался (каталка). Речевой контакт с больным был невозможен, анамнез собран со слов родственников. За 3 нед до госпитализации пациент был найден в съёмной квартире в бессознательном состоянии.
Доставлен в отделение токсикологии. Выставлен диагноз: «Острое отравление угарным газом тяжёлой степени. Токсическая гипоксическая энцефалопатия. Синдром позиционного сдавления правого плеча. Дыхательная недостаточность I. Сопор».
Общий анализ крови: гемоглобин 192 г/л, эритроциты 6,70×1012/л, гематокрит 55,7%, лейкоциты 22,6×109/л; карбоксигемоглобин 36,9%; креатинфосфокиназа 3751 ЕД/л.
Биохимический анализ крови от 06.10.2018: аланинаминотрансфераза 78,7 ЕД/л, аспартатаминотрансфераза 69,3 ЕД/л, амилаза 1685,8 ЕД/л, билирубин 15,8 мкмоль/л, креатинин 168,6 мкмоль/л, глюкоза 15,97 ммоль/л, мочевина 10,4 ммоль/л, белок 81,7 г/л.
Электрокардиография. Синусовая тахикардия 122 в минуту. ST на изолинии. Данных за острый коронарный синдром нет.
Неврологический статус во время пребывания в токсикологическом отделении в выписке не отражён.
Проведена дезинтоксикационная, симптоматическая, антидотная, антибактериальная терапия с положительным результатом. Выписан в удовлетворительном состоянии.
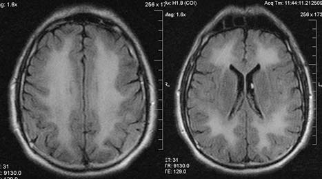
Первые 3 дня пребывания дома занимался домашними делами, водил автомобиль. Далее стал заторможённым, перестал отвечать на вопросы, «замкнулся в себе». Консультирован психиатром с последующей госпитализацией в психоневрологическое отделение, где находился в течение 2 дней. Консультирован неврологом, который отметил выраженные когнитивные расстройства, дезориентацию больного в собственной личности и времени, ограниченное выполнение команд; неубедительную анизорефлексию (d ≥s). Выписан с диагнозом: «G93.8. Токсическая энцефалопатия в форме грубых когнитивных расстройств». Проведена МРТ головного мозга (рис. 1), заключение: «Диффузная лейкоэнцефалопатия. Убедительных данных за объёмный процесс головного мозга, острое ишемическое поражение и интракраниальную геморрагию нет».
Рис. 1. Магнитно-резонансная томограмма головного мозга пациента Н. при поступлении в неврологическое отделение
На 2-й день после выписки госпитализирован в неврологическое отделение, где состояние больного по неврологическому и психическому статусу оценено как тяжёлое. Речевой контакт и осмотр невозможны: взгляд больного был бессмысленным. Возбуждён, постоянно совершает движения конечностями. На прикосновение, звук проявляет агрессию, усиливается двигательная беспорядочная реакция. Производит впечатление человека с выраженной деменцией. Речь невнятна, бессмысленна, произносит слова нечётко, говорит отдельными обрывочными фразами. Функции тазовых органов не контролирует.
Учитывая анамнез и данные нейровизуализации, выставлен предварительный диагноз «Токсическая лейкоэнцефалопатия». Назначено лечение: цитофлавин, этилметилгидроксипиридина сукцинат (мексидол), ницерголин (сермион), ацетилсалициловая кислота (аспирин), церебролизин, кортексин. Проведены анализы (представлены результаты, имеющие отклонения от нормы).
Общий анализ крови: гемоглобин 149 г/л, эритроциты 5,10×1012/л, гематокрит 42,3%, лейкоциты 4,5×109/л; тромбоциты 179×109/л.
Общий анализ мочи: слабо-мутная, лейкоциты 3–4 в поле зрения, белок отр., глюкоза отр.
Спинномозговая жидкость: бесцветная, прозрачная, цитоз 1 мкл, белок 0,991 г/л, глюкоза 3,7 ммоль/л, реакция Панди — отр., лейкоциты и эритроциты 0 в поле зрения, кислотоустойчивые микобактерии не обнаружены.
Иммуноглобулины крови: IgG 929 мг/дл, IgM 71,6 мг/дл.
Исследование с помощью полимеразной цепной реакции дезоксирибонуклеиновой кислоты на CMV, EBV, HHV6, HHV8, M. tuberculosis — отр.
Состояние больного продолжало ухудшаться. На 5-й день пребывания в стационаре появились замедленность движений и «скованность» в конечностях, пациент перестал подниматься с постели. Отказывался от приёма пищи. Недержание мочи, задержка стула. Перестал узнавать сестру. Некоторую активность проявлял при контакте с детьми.
Назначены высокие дозы тиамина (витамина B1) — до 30 мл в сутки, амантадин (ПК-Мерц) 200 мг 2 раза в день. Состояние стабилизировалось, произошло некоторое улучшение — на вопросы стал отвечать словосочетаниями, пытался удержать стакан.
Назначен метилпреднизолон 1000 мг №3. Уже на 3-й день от начала введения препарата состояние больного улучшилось: начал выполнять отдельные просьбы сестры, с её помощью садился, мог сохранить вертикальное положение, сделать с поддержкой несколько шагов.
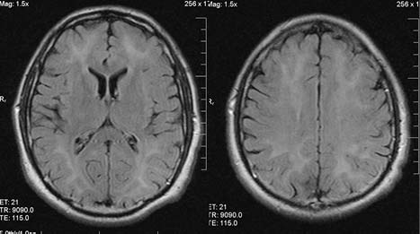
Повторное МРТ-исследование головного мозга (рис. 2): «На Т2-изображениях видно гиперинтенсивное перивентрикулярное белое вещество с поражением лобных и затылочных долей».
Рис. 2. Магнитно-резонансная томограмма головного мозга пациента Н. на 15-й день пребывания в неврологическом отделении
Неврологический статус на 15-й день пребывания. Полному неврологическому осмотру недоступен из-за выраженных когнитивных нарушений. Реагирует на боль гримасой, отдёргиванием руки. Просьбы и команды врача не выполняет, обращённую речь не понимает, не проявляет интереса к осмотру, оказывает сопротивление при попытке врача разогнуть руку пациента в локтевом суставе. Агрессию не проявляет. При приближении предмета к руке больного захватывает его. Не может самостоятельно принимать пищу и одеваться. Сглажена левая носогубная складка, немного опущен угол рта слева. Проверить двигательную функцию не удаётся. Больной не может самостоятельно сесть, без поддержки стоять, ходить. С двусторонней поддержкой с трудом отрывает ноги от пола, делает первые короткие шаги, затем идёт то короткими, то широкими шагами, иногда перекрещивая ноги, крайне неустойчив. Инициатива к совершению шага отсутствует. Глубокие рефлексы: с рук и ног высокие, d=s. Патологические рефлексы: аналог Россолимо с двух сторон, хватательный рефлекс s >d, хоботковый, Маринеску–Радовичи. Создаётся впечатление о повышении мышечного тонуса по экстрапирамидному типу, иногда удаётся уловить симптом «зубчатого колеса». Выполнить пробы на выявление гипокинезии невозможно.
Выписан из неврологического стационара со значительным улучшением — стал увереннее передвигаться, выполнять некоторые просьбы сестры, самостоятельно принимать пищу, но выраженные когнитивные отклонения сохранялись, отсутствовал контроль функций тазовых органов. Больной требовал постоянного наблюдения и ухода.
Диагноз при выписке: «ОПЛ с грубой психоневрологической симптоматикой (когнитивно-мнестическими, апраксическими нарушениями, резким ограничением самообслуживания, апраксией ходьбы; умеренно выраженным гипокинетико-ригидным и пирамидным синдромами; грубым синдромом орального автоматизма). Больной нуждается в посторонней помощи и уходе».
Осмотр через полгода. Общее состояние удовлетворительное. Сознание ясное. Во времени и пространстве ориентирован. Команды врача выполняет сразу, правильно. Эмоционально неустойчив, раздражителен. MoCa-тест — 25 баллов. Пациент себя обслуживает, ведёт активный образ жизни: катается на лыжах, социализирован, в быту независим. Со стороны неврологического статуса обнаружена легко выраженная неврологическая симптоматика в форме повышения глубоких рефлексов, выше слева.
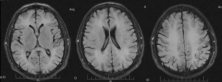
Результат МРТ пациента представлен на рис. 3.
Рис. 3. Магнитно-резонансная томограмма пациента через полгода после эпизода отравления угарным газом
Таким образом, пациент поступает с острым отравлением угарным газом, которое оценили в отделении токсикологии как отравление тяжёлой степени. После проведения дезинтоксикационной, симптоматической, антидотной, антибактериальной терапии в удовлетворительном состоянии выписан домой. Дома в течение 3 дней чувствовал себя настолько хорошо, что пытался водить автомобиль. Затем появляется и нарастает психическая и неврологическая симптоматика, которая выражается в неадекватности поведения, возбуждении пациента, утрате контроля функций тазовых органов и способности обслуживать себя, нарушении ходьбы и пр. Ухудшение состояния больного приблизительно охватывает 3 нед. При МРТ обнаружены сливные симметрично расположенные очаги демиелинизации в левом и правом полушариях головного мозга, распространяющиеся от лобной до затылочной доли.
Отмечены положительный эффект от приёма глюкокортикоидов и почти полный регресс психоневрологического дефицита к концу года наблюдения.
Развитие заболевания после тяжёлого отравления угарным газом, наличие «светлого промежутка», динамика развития психоневрологического дефицита, положительный эффект от приёма глюкокортикоидов, данные нейровизуализации, восстановление функций с течением времени подтверждают вышеприведённый диагноз.
В острый период заболевания на высоте токсического действия СО у больного выявлены изменения лабораторных показателей: повышение активности креатинфосфокиназы (3751 ЕД/л), что могло быть связано с рядом причин — синдромом позиционного сдавления, поражением миокарда, мышц. При взаимодействии СО с миоглобином (скелетные мышцы и сердце) образуется карбоксимиоглобин, что отрицательно сказывается на функциональном состоянии миокарда и скелетной мускулатуры. Подтверждением вовлечения в процесс миокарда у больного была высокая частота сердечных сокращений — 122 в минуту, ST — на изолинии.
Выявлено повышенное содержание гемоглобина — 192 г/л, эритроцитов — 6,70×1012/л, высокий гематокрит — 55,7%. Эритроцитоз мог быть связан с компенсаторным увеличением количества эритроцитов на фоне гипоксемии за счёт поступления их в кровь из селезёночного депо, а также, возможно, за счёт прямого стимулирующего воздействия CO на синтез эритропоэтина. Повышение гематокрита и гемоглобина — следствие эритроцитоза.
О вовлечении в процесс печени и поджелудочной железы свидетельствовали результаты исследований на аспартатаминотрансферазу, аланинаминотрансферазу, амилазу. Увеличение содержания глюкозы в крови до 15,97 ммоль/л (больной не страдал сахарным диабетом) связано с его выходом из депо гликогена в печени.
Высокий уровень креатинина (168,6 мкмоль/л) и повышение содержания мочевины свидетельствовали о включении в процесс почек. Речь могла идти о нефропатии, обусловленной миоглобинурийным нефрозом, или о гипоксическом поражении почек.
Анализ лабораторных показателей даёт основание полагать, что нарушение энергетического обмена, связанного с гипоксией в острый период заболевания, переходом на анаэробный тип дыхания, привело у больного к нарушению трофики клеток и тканей с их повреждением на функциональном или структурном уровне с развитием синдрома полиорганной недостаточности. Повреждение тканей при этом синдроме в свою очередь включило синдром системной воспалительной реакции, сопряжённый с развитием аутоиммунного процесса, который прежде всего затронул миелин и микроглию. Первоочерёдность их поражения при ОПЛ отражена в литературе [2, 21].
«Светлый промежуток» с отсроченностью клинических проявлений обусловлен, с одной стороны, определёнными сроками, которые необходимы для формирования иммунного ответа (поздний иммунный ответ формируется через 96 ч и более), с другой стороны — постепенно нарастающим в результате иммунного повреждения поражением нервной ткани. Данное предположение подтверждается результатами нейровизуализации в динамике — у больного по данным МРТ, сделанной на 2-й день после первых симптомов ОПЛ, уже определялись очаги демиелинизации (см. рис. 1), площадь их вместе с нарастанием клинических симптомов увеличивалась (см. рис. 2, 3).
При ОПЛ, как и в нашем наблюдении, в первую очередь страдает белое вещество перивентрикулярной области теменных, височных, затылочных и лобных долей. Этим у больного обусловлены симптомы паркинсонизма (поражение базальных ганглиев, корково-подкорковых путей), апатия, мутизм, апраксия ходьбы, выраженные симптомы орального автоматизма (поражение белого вещества лобных долей); когнитивная дисфункция, нервно-психические нарушения (поражение белого вещества полуовального центра); снижение вербальной памяти, нарушение формирования целенаправленных движений (поражение белого вещества свода). Таким образом, особенности клинической симптоматики в нашем наблюдении подтверждают наличие у пациента синдрома ОПЛ.
Стандарты лечения ОПЛ не разработаны. Отсутствует информация о положительных результатах лечения быстро прогрессирующей ОПЛ. Данные по использованию глюкокортикоидов и плазмафереза противоречивы [1]. Есть публикации, в которых описано применение глюкокортикоидов, в том числе с положительным эффектом [22]. Однако следует отметить, что эффективность лечения глюкокортикоидами требует дополнительных исследований [22, 23]. Показана перспективность амантадина при наличии лобно-подкоркового синдрома у пациентов с черепно-мозговой травмой [24]. В связи с этим амантадин можно рассматривать в качестве варианта терапии аналогичного синдрома у пациентов с ОПЛ. Нам удалось найти одно сообщение, в котором отмечено положительное влияние амантадина на нарушение внимания и исполнительных функций у пациента с ОПЛ [24]. В то же время в лечении когнитивных расстройств донепезил оказался неэффективным [25].
В литературе также есть сообщение об эффективном использовании магния сульфата у пациентки с акинетическим мутизмом, ассоциированным с ОПЛ [26]. Не доказана эффективность лечения синдрома паркинсонизма, ассоциированного с ОПЛ, препаратами леводопы и антихолинергическими средствами [13]. Существуют рекомендации о назначении больным ОПЛ в течение первых 2 нед от начала развития психоневрологической симптоматики поддерживающей терапии [1]. В качестве неё рассматривают гипербарическую оксигенацию, коэнзим Q10, витамины Е, С и группы В [22, 27–30].
Реабилитация служит неотъемлемой частью лечения пациентов с ОПЛ. Её осуществляют по аналогии с реабилитацией пациентов с демиелинизирующими заболеваниями: большое значение придают физио-, трудотерапии, занятиям с логопедом и др.
Представленное наблюдение демонстрирует сложность клинической картины у пациентов с ОПЛ, трудность её диагностики без учёта сведений о предшествующем отравлении угарным газом. Безусловный интерес представляют результаты МРТ в дебюте ОПЛ. Большая площадь поражения белого вещества головного мозга в этот период заболевания подтверждает вышеприведённый механизм развития ОПЛ и делает перспективным поиск средств, направленных на профилактику развития ОПЛ у пациентов, перенёсших острое отравление угарным газом.
Авторы заявляют об отсутствии конфликта интересов по представленной статье.
Об авторах
Татьяна Всеволодовна Матвеева
Казанский государственный медицинский университет
Email: valyazhu@gmail.com
Россия, г. Казань, Россия
Валентина Дмитриевна Жукова
Казанский государственный медицинский университет
Автор, ответственный за переписку.
Email: valyazhu@gmail.com
Россия, г. Казань, Россия
Анастасия Олеговна Артемьева
Казанский государственный медицинский университет
Email: valyazhu@gmail.com
Россия, г. Казань, Россия
Александр Юрьевич Казанцев
Казанский государственный медицинский университет
Email: valyazhu@gmail.com
Россия, г. Казань, Россия
Рустем Талгатович Гайфутдинов
Казанский государственный медицинский университет
Email: valyazhu@gmail.com
SPIN-код: 2788-1954
Россия, г. Казань, Россия
Список литературы
- Shprecher D., Mehta L. The syndrome of delayed post-hypoxic leukoencephalopathy. NeuroRehabilitation. 2010; 26 (1): 65–72. PMID: 20166270.
- Zamora C.A., Nauen D., Hynecek R. Delayed posthypoxic leukoencephalopathy: a case series and review of the literature. Brain Behav. 2015; 5 (8): e00364. doi: 10.1002/brb3.364.
- Centers for Disease Control and Prevention (CDC). MMWR Morb. Mortal. Weekly Rep. 2005; 54 (2): 36–39.
- Beeskow A.B., Oberstadt M., Saur D. Delayed Post-hypoxic Leukoencephalopathy (DPHL) — An uncommon variant of hypoxic brain damage in adults. Front. Neurol. 2018; 9: 708. doi: 10.3389/fneur.2018.00708.
- Rizzuto N., Morbin M., Ferrari S. Delayed spongiform leukoencephalopathy after heroin abuse. Acta. Neuropathol. 1997; 94 (1): 87–90. doi: 10.1007/s004010050676.
- Sener R.N. Metachromatic leukodystrophy: diffusion MR imaging findings. AJNR Am. J. Neuroradiol. 2002; 23 (8): 1424–1426. PMID: 12223391.
- Gieselmann V., Krägeloh-Mann I. Metachromatic leukodystrophy — an update. Neuropediatrics. 2010; 41 (1): 1–6. doi: 10.1055/s-0030-1253412.
- Polten A., Fluharty A.L., Fluharty C.B. Molecular basis of different forms of metachromatic leukodystrophy. N. Engl. J. Med. 1991; 324: 18–22. doi: 10.1056/NEJM199101033240104.
- Ginsburg R., Romano J. Carbon monoxide encephalopathy: need for appropriate treatment. Am. J. Psychiatry. 1976; 133 (3): 317–320. doi: 10.1176/ajp.133.3.317.
- Benarroch E.E. Oligodendrocytes. Susceptibility to injury and involvement in neurologic disease. Clin. Implic. Neurosci. Res. 2009; 72 (20): 1779–1785. doi: 10.1212/WNL.0b013e3181a6b123.
- Miró Ò., Casademont J., Barrientos A. et al. Mitochondrial cytochrome c oxidase inhibition during acute carbon monoxide poisoning. Pharmacol. Toxicol. 1998; 82 (4): 199–202. doi: 10.1111/j.1600-0773.1998.tb01425.x.
- Thom S.R., Bhopale V.M., Fisher D. Delayed neuropathology after carbon monoxide poisoning is immune-mediated. Proc. Natl. Acad. Sci. USA. 2004; 101 (37): 13 660–13 665. doi: 10.1073/pnas.0405642101.
- Lee M.S., Marsden C.D. Neurological sequelae following carbon monoxide poisoning clinical course and outcome according to the clinical types and brain computed tomography scan findings. Mov. Disord. 1994; (5): 550–558. doi: 10.1002/mds.870090508.
- Geraldo A.F., Silva C., Neto L.L. et al. Delayed leukoencephalopathy after acute carbon monoxide intoxication. J. Radiol. Case Rep. 2014; 8 (5): 1–8. doi: 10.3941/jrcr.v8i5.1721.
- Choi I.S. Carbon monoxide poisoning: Systemic manifestations and complications. J. Korean Med. Sci. 2001; 16: 253–261. doi: 10.3346/jkms.2001.16.3.253.
- Остапенко Ю.Н., Зобнин Ю.В., Леженина Н.Ф. Токсическое действие окиси углерода. Федеральные клинические рекомендации. М. 2013; 38 с.
- Shprecher D.R., Flanigan K.M., Smith A.G. Clinical and diagnostic features of delayed hypoxic leukoencephalopathy. J. Neuropsychiatry Clin. Neurosci. 2008; 20 (4): 473–477. doi: 10.1176/appi.neuropsych.20.4.473.
- Sener R.N. Acute carbon monoxide poisoning: Diffusion MR imaging findings. Am. J. Neuroradiol. 2003; 24 (7): 1475–1477. PMID: 12917151.
- Kim D.M., Lee I.H., Park J.Y. Acute carbon monoxide poisoning: MR imaging findings with clinical correlation. Diagn. Interv. Imaging. 2017; 98 (4): 299–306. doi: 10.1016/j.diii.2016.10.004.
- Kim J.H., Chang K.H., Song I.C. Delayed encephalopathy of acute carbon monoxide intoxication: diffusivity of cerebral white matter lesions. AJNR Am. J. Neuroradiol. 2003; 24 (8): 1592–1597. PMID: 13679276.
- Beppu T. The role of MR imaging in assessment of brain damage from carbon monoxide poisoning: A review of the literature. Am. J. Neuroradiol. 2014; 35 (4): 1–7. doi: 10.3174/ajnr.A3489.
- Finelli P.F., DiMario J. MR imaging and prognosis of hypoxic-ischemic leukoencephalopathy. Neurocrit. Care. 2006; 4 (2): 119–126. doi: 10.1385/NCC:4:2:119.
- Manoj M., Wang Y., Reeves A. Methadone-induced delayed posthypoxic encephalopathy: Clinical, radiological, and pathological findings. Case Rep. Med. 2010; 716494: 1–4. doi: 10.1155/2010/716494.
- Arciniegas D.B., Frey K.L., Anderson C.A. Amantadine for neurobehavioural deficits following delayed post-hypoxic encephalopathy. Brain Inj. 2004; 18 (12): 1309–1318. doi: 10.1080/02699050410001720130.
- Price J.D., Grimley E.J. An N-of-1 randomized controlled trial ('N-of-1 trial’) of donepezil in the treatment of non-progressive amnestic syndrome. Age Ageing. 2002; 31 (4): 307–309. doi: 10.1093/ageing/31.4.307.
- Rozen T.D. Rapid resolution of akinetic mutism in delayed post-hypoxic leukoencephalopathy with intravenous magnesium sulfate. NeuroRehabilitation. 2012; 30 (4): 329–332. doi: 10.3233/NRE-2012-0763.
- Scheinkestel C.D., Bailey M., Myles P.S. Hyperbaric or normobaric oxygen for acute carbon monoxide poisoning: a randomised controlled clinical trial. Med. J. Aust. 1999; 170 (5): 203–210. doi: 10.5694/j.1326-5377.1999.tb140318.x.
- Carroll I., Heritier Barras A.-C., Dirren E. Delayed leukoencephalopathy after alprazolam and methadone overdose: A case report and review of the literature. Clin. Neurol. Neurosurg. 2012; 114 (6): 816–819. doi: 10.1016/j.clineuro.2011.12.052.
- King F., Morris N.A., Schmahmann J.D. Delayed Posthypoxic leukoencephalopathy: Improvement with antioxidant therapy. Case Rep. Neurol. 2015; 7 (3): 242–246. doi: 10.1159/000441892.
- Cocito L., Biagioli M., Fontana P. Cognitive recovery after delayed carbon monoxide encephalopathy. Clin. Neurol. Neurosurg. 2005; 107 (4): 347–350. doi: 10.1016/j.clineuro.2004.09.008.
Дополнительные файлы






