О механизме пролиферации гепатоцитов, индуцированной нитратом свинца
- Авторы: Валеева И.Х.1, Гумерова А.А.1, Киясов А.П.1
-
Учреждения:
- Казанский государственный медицинский университет
- Выпуск: Том 81, № 3 (2000)
- Страницы: 195-197
- Раздел: Теоретическая и клиническая медицина
- Статья получена: 18.01.2022
- Статья одобрена: 18.01.2022
- Статья опубликована: 02.02.2022
- URL: https://kazanmedjournal.ru/kazanmedj/article/view/96706
- DOI: https://doi.org/10.17816/kazmj96706
- ID: 96706
Цитировать
Полный текст
Ключевые слова
Полный текст
У взрослых млекопитающих клетки печени не пролиферируют, пребывая в состоянии покоя — Go фазе клеточного | цикла [8]. В то же время почти любое повреждение паренхимы, которое может быть вызвано вирусами, токсинами, ишемией или травмой инициирует пролиферативную активность гепатоцитов. Пролиферация гепатоцитов без сопутствующего некроза клеток паренхимы может быть индуцирована рядом химических агентов. Такие вещества называют прямыми митогенами, к ним относят пролифераторы пероксисом [14], этилена дибромид [19], циклоспорин [], нитрат свинца [11, 12]. Несмотря на то . что нитрат свинца считают прямым митогеном, свинец является политропным ядом, поражающим все органы и системы организма. Основным местом депонирования свинца служат кости и печень, а экскреция его из организма осуществляется через желчь [15].
В ранних исследованиях “прямого митогенного” действия нитрата свинца на паренхиму печени были изучены лишь, морфологические критерии, отражающие степень повреждения гепатоцитов [11]. Использованные методы не позволяли выявить альтерацию паренхимы, поскольку было отмечено лишь отсутствие некрозов и сопутствующего им воспаления. Однако некроз — это крайняя степень повреждения, характеризующаяся гибелью клеток, а альтерация, которая может иметь место, часто не выражается в грубых нарушениях морфологии. Такого рода повреждения без явных морфологических изменений можно выявить при помощи биохимических методов исследования, в частности при изучении перекисного окисления липидов (ПОЛ) биологических мембран. Установлено, что изменение интенсивности процессов свободно-радикального окисления липидов в пер. вую очередь меняет структуру биологивеских мембран и приводит к нарушению функциональной активности клеток [6]. Исследование ПОЛ позволяет выявлять начальные стадии цитолиза — следствия нарушения структуры клеточных мембран.
Целью настоящей работы было изучение влияния нитрата свинца, введенного в “митогенной дозе” крысам, на ПОЛ и другие биохимические показатели крови и ткани печени, которые позволяют оценить альтерацию гепатоцитов.
Эксперименты проводили на белых беспородных подопытных крысах-самцах массой около 200 г. Нитрат свинца растворяли в воде для инъекций и вводили однократно в хвостовую вену из расчета 100 мкМ на кг массы животного. Контрольным животным вводили соответствующий объем растворителя. Крыс умерщвляли под эфирным наркозом декапитацией через 1, 2, 4, 24, 48 часов после инъекции нитрата свинца или воды. В каждой группе было не менее пяти животных.
В ткани печени в качестве промежуточных продуктов ПОЛ определяли диеновые конъюгаты, а как один из конечных продуктов — малоновый деальдегид [7]. В сыворотке крови и в гомогенатах печени исследовали активность ферментов: аланини аспартатаминотрансфераз [6], холинэстеразы [16]. Содержание общего белка плазмы крови определяли на рефрактометре, белковые фракции — методом электрофореза на бумаге [6]. В ткани печени изучали содержание гликогена [4]. Статистическую обработку производили по методу Е.В. Монцевичюте — Эрингене [5].
Для проведения иммуногистохимических реакций использовали коммерческие антитела фирмы DAKO (Denmark). Пролиферативные процессы изучали с помощью моноклональных антител к ядерному антигену пролиферирующих клеток PCNA, клон PC 10, стрептавидин-биотиновым методом [3].
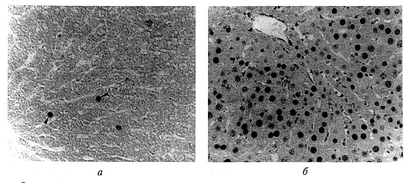
Экспрессия ядерного антигена пролиферирующих клеток. Изучение морфологической картины печени после введения нитрата свинца не выявило явных некрозов гепатоцитов. Результаты исследования пролиферации гепатоцитов, индуцированной однократным введением нитрата свинца в дозе 100 мкМ/кг, в целом совпадают с данными, полученными Колумбано [11]. При окрашивании печени контрольных животных антителами к PCNA была отмечена минимальная пролиферативная активность. В дольках печени наблюдали лишь единичные позитивно окрашенные гепатоциты (рис. 1а). Такая же картина прослеживалась и через 24 часа после инъекции нитрата свинца. Через 48 часов ядра подавляющего большинства гепатоцитов окрашивались антителами к PCNA (рис. 16). Наибольшее количество пролиферирующих гепатоцитов было отмечено в перипортальных областях.
Таблица 1
Изменение биохимических показателей при введении нитрата свинца, %
Показатели | Печень | Кровь | |||||||||
сроки (часы) | сроки (часы) | ||||||||||
К | 1 | 2 | 4 | 24 | 48 | К | 1 | 2 | 4 | 24 | |
Диеновые конъюгаты | 100 | по | 123 | 139 | 145 | 171 |
|
|
|
|
|
Малоновый диальдегид | 100 | 89 | 102 | 111 | 164 | 168 |
|
|
|
|
|
АлАт | 100 | 115 | 118 | 118 | 119 | 115 | 100 | 89 | 105 | 102 | 92 |
АсАт | 100 | 112 | 121 | 126 | 113 | 117 | 100 | 100 | 99 | 104 | 113 |
ХЭ | 100 | 78 | 82 | 76 | 77 | 78 | 100 | 152 | 124 | 123 | 164 |
Гликоген | 100 | 43 | 75 | 79 | 115 | 100 |
|
|
|
|
|
Активность трансаминаз. Результаты наших экспериментов не выявили закономерных изменений активности АлАТ и АсАТ в сыворотке крови (табл. 1). Однако в ткани печени активность как АлАТ, так и асАТ (табл. 1) была заметно повышена на всех сроках исследования (Р<0,01).
Рис. 1. Срезы печени крысы, окрашенные антителами к PCNA.а — печень контрольной крысы — единичный пролиферирующий гепатоцит (стрелка);б — через 48 часов после введения нитрата свинца — пролиферирующие ядра большинства гепатоцитов; х 200.
Перекисное окисление липидов. При введении нитрата свинца было установлено повышенное образование как промежуточных, так и конечных продуктов ПОЛ (табл. 1). Максимальный уровень диеновых конъюгатов и малонового диальдегида в печени был отмечен через 48 часов (Р<0,01). По-видимому, это происходит вследствие того, что свинец угнетает образование цитохрома Р-450гемопротеида, действующего в микросомах печени и непосредственно участвующего в неспецифической системе окисления различных ядов [10]. Также имеются указания на то, что ионы свинца могут вызывать усиление ПОЛ за счет истощения глутатиона и протеинсвязывающих сульфгидрильных групп [19].
Активность холинэстеразы. В наших опытах отмечено понижение активное^ холинэстеразы в ткани печени (табл. 1 т что может быть связано с угнетением синтетических процессов при свинцовой интоксикации.
Таблица 2
Содержание белка и белковых фракций при введении нитрата свинца, г/100 мл
Сроки (часы) | Показатели | |||||||
общий белок | альбумины | а1 ,-глобулины | а2-глобулины | b-глобулины | у-глобулины | глобулины | глоб./альбум. | |
К | 7,19 | 3,42 | 0,66 | 0,83 | 1,25 | 1,03 | 3,77 | 1,01 |
1 | 7,60 | 2,67 | 0,79 | 1,08 | 1,65 | 1,38 | 4,90 | 1,84 |
2 | 6,94 | 3,03 | 0,76 | 0,85 | 1,18 | 1,47 | 4,26 | 1,41 |
24 | 6,70 | 2,94 | 0,74 | 0,94 | 1,25 | 1,16 | 4,09 | 1,39 |
В сыворотке крови было отмечено достоверное увеличение активности хоfr линэстеразы на 2-е сутки после введения нитрата свинца (Р<0,01), объясняемое, вероятно, повышенным выходом фермента в кровь через поврежденные мембраны гепатоцитов (табл. 1).
Содержание гликогена. При определении содержания гликогена в печени мы обнаружили резкое его снижение (на 57%) через час после введения нитрата свинца (Р<0,01). Однако через 24 часа оно повысилось на 15% по сравнению с аналогичным показателем у контрольных животных, а через 48 часов возвратилось к исходным цифрам (табл. 1). Возможно, резкое снижение содержания гликогена в печени сразу после введения препарата связано с нарушением гликогенсинтезирующей функции печени, а быстрое восстановление свидетельствует о легкой степени повреждения । гепатоцитов, которое при острой свин* цовой интоксикации сопровождается повышенным накоплением гранул гликогена [9].
Показатели белкового обмена. При определении содержания общего белка и белковых фракций (табл. 2) было отмечено незначительное снижение содержания общего белка и уровня альбуминов в сыворотке крови.
Таким образом, даже “митогенная доза” нитрата свинца вызывает повреждение паренхимы печени за счет усиления процессов перекисного окисления / липидов и изменение других биохимических показателей, отражающих состояние и функцию органа. По этой причине он не может быть отнесен к группе прямых митогенов, ибо любая пролиферация гепатоцитов, индуцированная их повреждением (независимо от его выраженности), является ничем иным как регенерацией, а не прямой гипер। щазией, вызываемой пролифераторами. ™ Авторы благодарят С.Н. Савельеву за техническую помощь.
Работа поддежана грантом АНТ (фонд НИОКР) № 03-17/98-Г/03.
Об авторах
И. Х. Валеева
Казанский государственный медицинский университет
Автор, ответственный за переписку.
Email: info@eco-vector.com
Россия
А. А. Гумерова
Казанский государственный медицинский университет
Email: info@eco-vector.com
Россия
А. П. Киясов
Казанский государственный медицинский университет
Email: info@eco-vector.com
Россия
Список литературы
- Антонов Т.П., Иванович Е., Запрянов 3.//Гиг. труда - 1978. № 5. - С. 54-56.
- Зербино Д.Д., Соломенчук Т.Н., Поспи- ишль Ю.А.//Арх. патол. — 1997. — № 1. — С. 9—12.
- Иммуногистохимическая диагностика опухолей человека (Руководство для врачей-морфологов)./Под ред. С.В. Петрова и А.П. Киясова. — Казань, 1998.
- Методы биохимических исследований (липидный и энергетический обмен)./Под ред. Л.Прохоровой. — Л., 1982.
- Монцевичюте-Эрингене Е.В. //Патол. физи- ол. и экспер. тер. — 1964. — № 1. — С. 71—78.
- Покровский А.А. Биохимические методы исследования в клинике. — М., 1969.
- Стальная ИД. Современные методы в биохимии. — М., 1977.
- Урываева И.В.//Бюлл. экспер. биол. и мед. — 1997.-№ 10.-С. 364-368.
- Харченко Т.И., Носова Л.И. и др. Морфология некоторых органов и тканей человека и млекопитающих. — Симферополь, 1986.
- Alvares A.P.//J.Exp.Med. — 1972. —135. — Р. 1406-1409.
- И. Columbano A., Ledda G.M., Sirigu Р. et al.// Am. J. Pathol. 1983. - Vol. 110. - P. 83-88.
- Columbano A., Lrdda-Columbano G.M., ConiP.P. etal.//Lab. Invest. - 1985. - Vol. 52. - P. 670-675.
- Hestrin S.//J. Biol. chem. — 1949. — Vol. 180. — P. 279.
- Levine W.G., OrdM.G., Stocken LA.//Biochem. Pharmacol. - 1977. - Vol. 26. - P. 279-283.
- Linder M.C.// Seminars in Liver Disease. — 1984.-Vol. 4.-P. 164-276.
- Masuhara M., Ogasawara H, Katyal S.L. et al// Carcinogenesis. — 1993. — Vol. 14. — P. 1579—1584.
- NachtomiE., Farber E.//Lab. Invest. — 1978. — Vol. 38. - P. 279-283.
- StohsS.J., Bagchi D.//Free Radic. Biol. Med. — 1995.-Vol. 18.-P. 321-336.
Дополнительные файлы



