Болезнь Бернара—Сулье
- Авторы: Шитикова А.С.1, Федорова З.Д.1, Белязо О.Е.1, Шляпочникова Г.П.1, Папаян Л.П.1, Денисова Л.А.1, Егорова В.А.1, Попова Т.И.1
-
Учреждения:
- Ленинградский научно-исследовательский институт гематологии и переливания крови
- Выпуск: Том 68, № 2 (1987)
- Страницы: 124-130
- Раздел: Статьи
- Статья получена: 06.01.2022
- Статья одобрена: 06.01.2022
- Статья опубликована: 15.04.1987
- URL: https://kazanmedjournal.ru/kazanmedj/article/view/96033
- DOI: https://doi.org/10.17816/kazmj96033
- ID: 96033
Цитировать
Полный текст
Аннотация
Болезнь Бернара — Сулье — врожденная макроцитарная тромбоцитопатия — была впервые описана в 1948 г. В настоящее время данная патология вновь привлекает внимание многих исследователей, поскольку при изучении ее патогенеза были углублены представления о механизмах гемостатического процесса, касающихся взаимодействия тромбоцитов с поврежденной стенкой сосуда. Это редкое заболевание (к 1983 г. было описано 70 случаев) наследуется как неполный аутосомно-рецессивный признак и наблюдается с равной частотой у мужчин и женщин. Кровотечения из слизистых оболочек полости носа, рта и других органов, петехии и экхимозы на кожных покровах обычно появляются с раннего детства. Геморрагический синдром, как правило, средней тяжести, но нередко (у 17% больных) служит непосредственной причиной смерти вследствие кровотечений из желудочно-кишечного тракта или кровоизлияний в мозг и его оболочки.
Ключевые слова
Полный текст
Болезнь Бернара — Сулье — врожденная макроцитарная тромбоцитопатия — была впервые описана в 1948 г. В настоящее время данная патология вновь привлекает внимание многих исследователей, поскольку при изучении ее патогенеза были углублены представления о механизмах гемостатического процесса, касающихся взаимодействия тромбоцитов с поврежденной стенкой сосуда [6]. Это редкое заболевание (к 1983 г. было описано 70 случаев) наследуется как неполный аутосомно-рецессивный признак и наблюдается с равной частотой у мужчин и женщин. Кровотечения из слизистых оболочек полости носа, рта и других органов, петехии и экхимозы на кожных покровах обычно появляются с раннего детства. Геморрагический синдром, как правило, средней тяжести, но нередко (у 17% больных) служит непосредственной причиной смерти вследствие кровотечений из желудочно-кишечного тракта или кровоизлияний в мозг и его оболочки [5]. Заболевание имеет типичные лабораторные признаки: наличие в мазке крови гигантских тромбоцитов неправильной формы; увеличение первичной длительности кровотечения, не соответствующее по степени умеренной тромбоцитопении; нарушение адгезии кровяных пластинок к субэндотелию препаратов аорты или артерии; отсутствие агрегации бычьим фактором Виллебранда, а также собственным фактором больного, предварительно активированным антибиотиком ристомицином (ристоцетином). Нарушение функции тромбоцитов не корригируется добавлением фактора Виллебранда, содержащегося в плазме здоровых лиц.
Основной генетически детерминированный дефект тромбоцитов при болезни Бернара— Сулье заключается в отсутствии или резком снижении в их мембране содержания богатого сиаловой кислотой гликопротеина I типа (ГП I b с молекулярной массой около 150 000 дальтон), в том числе части этого гликопротеина (периферически расположенного ГП IS) или гликокалицина [11, 23, 36, 381. Оба гликопротеина содержат большое количество отрицательно заряженных остатков сиаловой кислоты, уменьшение которых обусловливает уменьшение электрофоретической подвижности тромбоцитов [15, 22].
ГП I b представляет собой рецептор для фактора Виллебранда, и соединение последнего с ГП I b является одной из основных реакций, обеспечивающих адгезию тромбоцитов к определенным субэндотелиальным структурам поврежденной стенки сосуда — к базальной мембране и микрофибриллам [43, 46J. Функциональное значение мембранного ГП I b и связь его дефицита с гемостатическими нарушениями при болезни Бернара—Сулье были установлены с помощью моноклональных антител или аллоантител против ГП I b от больных этим заболеванием, перенесших повторные гемотрансфузии [16, 34, 42, 43]. В дальнейшем полученные данные были подтверждены чувствительными биохимическими методами [7, 14].
Осуществление адгезивных реакций в физиологических условиях включает определенную последовательность взаимодействия реагирующих компонентов и их активации. После повреждения стенки сосуда фактор Виллебранда плазмы контактирует с указанными элементами субэндотелия. В результате этого контакта и адсорбции на субэндотелии в факторе Виллебранда становятся доступными структуры, непосредственно взаимодействующие с ГП I b на мембране тромбоцитов. Такое же активирующее действие на плазменный фактор Виллебранда человека оказывает антибиотик ристомицин (ристоцетин), который используют в качестве аналога субэндотелиальных субстанций для его активации in vitro [25]. Активированный фактор Виллебранда соединяется, с одной стороны, с базальной мембраной, микрофиламентами, коллагеном, а с другой — с ГП I b тромбоцитов, что приводит к адгезии кровяных пластинок к этим субэндотелиальным компонентам. Кроме того, фактор Виллебранда в некоторой степени участвует и в агрегационном процессе, так как после соединения 1 с мембраной тромбоцитов, подобно другим активным субстанциям, опосредует доступность ГП II b/III а, который является рецептором для фибриногена — основного плазменного кофактора агрегации [20]. Из изложенного понятно, почему при отсутствии ГП I b на мембране кровяных пластинок у больных болезнью Бернара—Сулье нарушаются адгезивные реакции на поврежденной стенке сосуда и длительность кровотечения после травмы увеличивается.
In vitro нарушение адгезии тромбоцитов больных болезнью Бернара—Сулье выявляется при оценке их взаимодействия с субэндотелием препаратов сосудов [1 1, 38, 46] или с микрофибриллами эластина [30]. Поскольку тромбоциты могут соединяться с коллагеном без участия рецептора ГП I b и фактора Виллебранда, то при болезни Бернара—Сулье так же, как и при болезни Виллебранда, адгезия к коллагену и вызванная им агрегация не нарушены [27, 29]. Характерным для болезни Бернара— Сулье является отсутствие или резкое снижение агрегации тромбоцитов как с человеческим фактором Виллебранда, активированным ристомицином или путем десиализирования нейраминидазой [17, 20, 25, 26], так и с бычьим фактором Виллебранда, который соединяется с гликопротеиновым рецептором мембраны человеческих тромбоцитов (ГП I Ь) без предварительной активации [8, 12, 25, 46]. В отличие от болезни Виллебранда, при болезни Бернара—Сулье уровень фактора Виллебранда в плазме не изменен или даже повышен, а указанные сдвиги адгезивноагрегационных процессов — снижение адгезии тромбоцитов на субэндотелии и агрегации в присутствии ристомицина (ристоцетина) — не корригируются при добавлении экзогенного фактора Виллебранда, содержащегося в плазме здоровых лиц [12, 25, 46]. Следовательно, причина нарушения первичного гемостаза у больных с рассматриваемой патологией не связана с плазменным кофактором сосудисто-тромбоцитарных реакций как при болезни Виллебранда, а обусловлена дефектом самих кровяных пластинок.
Агрегация тромбоцитов с такими агрегирующими агентами, как АДФ, норадреналин, арахидоновая кислота, а также ретракция сгустка крови у больного болезнью Бернара— Сулье не изменены, что отличает данное заболевание от тромбастении Гланцмана и прочих форм врожденных тромбоцитопатий [12, 27, 29, 46].
Основной молекулярный дефект тромбоцитарной мембраны объясняет и большинство других, типичных для болезни Бернара—Сулье нарушений, что связано с сопутствующим изменением рецепторных мест мембраны тромбоцитов, расположенных рядом с ГП I Ь. Так, неспособность некоторых лекарственных антитромбоцитарных антител (хининовых, хинидиновых) вызывать лизис тромбоцитов больных болезнью Бернара—Сулье обусловлена изменением структуры близрасположенных рецепторов для этих антител, в результате чего соединение с ними антител и СЗЬ не сопровождается активацией последующих компонентов комплемента [29, 44]. При болезни Бернара—Сулье может отсутствовать и ряд других гликопротеинов — ГП IX, ГП 100, а также ГП V, который является основным рецепторным местом для соединения с тромбином. Кроме того, непосредственно с ГП I b соединяется и а-тромбин. Поэтому у некоторых больных болезнью Бернара—Сулье снижена тромбиновая агрегация [7, 14, 27, 28, 39, 40].
Следует отметить, что в зоне ГП I b находится Fc-рецептор кровяных пластинок, с которым соединяются иммунные комплексы, циркулирующие в крови при многих патологических состояниях. В результате этой связи может блокироваться и ГП I b с нарушением его гемостатических функций и развитием синдрома Бернара—Сулье. Другой вероятный механизм возникновения приобретенного нарушения может быть обусловлен протеолизом поверхностно расположенной части ГП I b (ГП IS), например при активации фибринолиза [3, 37].
Отражением основных мембранных изменений при болезни Бернара—Сулье является описанная еще в первых наблюдениях недостаточность коагуляционной активности тромбоцитов, которая характеризуется снижением потребления протромбина, не соответствующим по степени умеренной тромбоцитопении [6]. Нарушение доступности мембранных фосфолипидов (фактора 3) объясняют изменением как функциональных свойств мембраны, так нее фосфолипидного состава [31, 41]. По этой же причине при болезни Бернара—Сулье возникают и другие отклонения участия тромбоцитов во внутреннем пути коагуляции — снижение способности их мембраны связывать плазменные факторы XI, VIII, а также фактор V, который образует на тромбоцитарной поверхности рецептор для фактора X [12, 32, 45]. В некоторых работах, однако, не было установлено изменения фактора 3 [8, 10, 45].
Умеренная тромбоцитопения и укорочение срока жизни пластинок при циркуляции связаны, по-видимому, с неполноценностью их мембраны, в частности со сниженным содержанием в ней сиаловой кислоты, поскольку при экспериментальном удалении последней нейраминидазой срок жизни нормальных тромбоцитов сокращается [21, 22]. Однако в отличие от аутоиммунной идиопатической тромбоцитопении (ИТП), при которой число тромбоцитов и срок их жизни снижены значительно, при болезни Бернара—Сулье нет признаков реактивной активации мегакариоцито- и тромбоцитопоэза [5, 9]. У лиц с болезнью Бернара—Сулье, получавших повторные переливания крови, степень тромбоцитопении может увеличиваться в связи с изоиммунизацией [6].
Типичным морфологическим изменением тромбоцитов при болезни Бернара—Сулье является наличие в мазке крови гигантских пластинок неправильной формы. Тромбоциты диаметром более 4 мкм составляют у некоторых больных от 60 до 80% всей их популяции и иногда ошибочно определяются как лимфоциты [61. Однако причины этого явления до настоящего времени окончательно не выяснены. По-видимому, снижение содержания гликопротеинов тромбоцитарной мембраны, а также сдвиги в составе фосфолипидов могут влиять на структурные свойства мембраны и приводить к изменению ее ригидности, к увеличению размера клетки в мазке крови [41]. Недавно получены доказательства, что при циркуляции у больных болезнью Бернара—Сулье размер и форма тромбоцитов изменены в меньшей степени и нарушения усиливаются именно в момент их контакта с поверхностью стекла, когда происходит повышенное растяжение (эвагинация) каналов открытой канальцевой системы — OCS [18, 33, 35].
При исследовании ультраструктуры тромбоцитов у больных болезнью Бернара—Сулье выявлены вариации в плотности и числе гранул, гипертрофия и расширение OCS, снижение образования псевдоподий [6, 18]. Большой интерес представляют установленные недавно значительные отклонения в размере, числе и распределении внутримембранных частиц, подтвердивших наличие структурных дефектов мембраны кровяных пластинок при данной патологии [13]. Считают, что в основе всех молекулярных, морфологических и функциональных нарушений тромбоцитов при болезни Бернара—Сулье лежит врожденная мегакариоцитопатия, поскольку ГП I b появляется в процессе нормального мегакариоцитопоэза на; стадии промегакариобластов [9].
Под нашим наблюдением находились двое больных с болезнью Бернара—Сулье.
Один из них, Б., 26 лет, поступил в гематологическую клинику Ленинградского НИИ гематологии и переливания крови 24.01.85 г. с жалобами на носовые кровотечения. Других геморрагических проявлений при госпитализации не было.
Из анамнеза установлено, что с 5-летнего возраста и до 17 лет у больного возникали обильные носовые кровотечения, которые купировались только передней или задней тампонадой полости носа. Экстракция зуба, произведенная больному, осложнилась сразу после оперативного вмешательства тяжелым кровотечением из лунки зуба. Гемостаз был достигнут только через несколько часов после наложения швов. Аппендэктомия в 12-летнем возрасте прошла без геморрагических осложнений. Наблюдались также длительные кровотечения из поверхностных порезов и медленное заживление ран. В 1984 г. в результате травмы грудной клетки у больного развился левосторонний гемоторакс, по поводу которого ему впервые было проведено двукратное переливание цельной крови. Среди родственников никто повышенной кровоточивостью не страдает.
При поступлении в стационар состояние больного было удовлетворительным, кожа и видимые слизистые обычного цвета. Лимфоузлы не увеличены. Со стороны внутренних органов изменений не обнаружено. Анализ крови: НЬ — 2,3 ммоль/л, эр..— 5,55 • 10 2 в 1 л, цв. показатель — 0,84, л.— 5,0 • 109 в 1 л, тромбоц.— 200 • 109 в 1 л, б—0,5%, э.— 2,5%, п.— 2,0%, с.— 59,5%, лимф.— 31,5%, мон.— 6,0%; СОЭ — 3 мм/ч. Относительное содержание гигантских (более 4,0 мкм) тромбоцитов — 59%, что значительно превышало нормальные показатели (4%) [19].
Второй больной Я., 21 г., был направлен в клинику 25.04.85 г. для установления диагноза. При поступлении жалоб не предъявлял. Болен с 5 лет, когда впервые появились носовые и десневые кровотечения, по поводу которых до 11-летнего возраста ежегодно лечился в стационаре — получал преднизолон, цельную кровь, плазмозамещающие растворы. При обследовании в поликлинике по месту жительства больному был поставлен диагноз болезни Верльгофа; в 1975 г. произведена спленэктомия. До 1980 г. чувствовал себя хорошо, проявлений геморрагического диатеза не было. В связи с появлением с 1980 г. желудочно- кишечных кровотечений был неоднократно госпитализирован (8 раз за 5 лет); больному проведено переливание крови и плазмозамещающих растворов. Лечение аминокапроновой кислотой, викасолом, дициноном, преднизолоном особого эффекта не дало. В 1983 г. был обследован в больнице г. Сыктывкара, где впервые отметили в мазках крови больного макроформы тромбоцитов. Сведений о проявлениях кровоточивости у родственников нет.
При поступлении в стационар состояние больного удовлетворительное, кожные покровы и слизистые не изменены. На брюшной стенке — рубец после спленэктомии. Лимфоузлы не увеличены. Со стороны внутренних органов изменений нет. Анализ крови: НЬ — 2,0 ммоль/л, эр.— 5,05 • 1012 в 1 л, цв. показатель— 0,78, л.— 7,7 • 109 в 1 л, тромбоц.— 120 • 109 в 1 л, б.— 0,5%, э.— 6,0%, п.— 3,0%, с.— 54,5%, лимф.— 32,0%, мон.— 14,0%; СОЭ — 12 мм/ч. Гигантские формы тромбоцитов составляли 49%.
Показатели гемостаза у обоих больных определены по методам Ленинградского НИИ гематологии и переливания крови [1, 4]. Для исследования агрегации тромбоцитов использовали отечественный прибор БИАН-АТ-1. Уровень сиаловых кислот находили по методу Хаммонда и Папермастера [24]. Обработку тромбоцитов для электронной микроскопии
осуществляли по общепринятой методике, ультрацитохимическую — альциановым синим по Гайеру [2] применительно к клеткам крови.
В результате исследований у больных Б. и Я. были выявлены значительные изменения в сосудисто-тромбоцитарном звене гемостаза. Как видно из таблицы, длительность кровотечения превышала норму более чем в 2 раза. Адгезивность кровяных пластинок при контакте со стекловолокном и поверхностью ранки на коже снижена. Отмечено резкое уменьшение агрегации тромбоцитов, индуцированной бычьим фибриногеном и ристомицином, причем добавление бестромбоцитной плазмы донора к плазме больного в соотношении 1:1 не корригировало дефект агрегации в присутствии ристомицина. Агрегация с АДФ и коллагеном у обоих больных не изменена, равно как и активность тромбоцитарного фактора 3. Активность фактора Виллебранда — в пределах нормальных колебаний. Уровень сиаловых кислот в тромбоцитах резко снижен по сравнению с таковым у доноров.
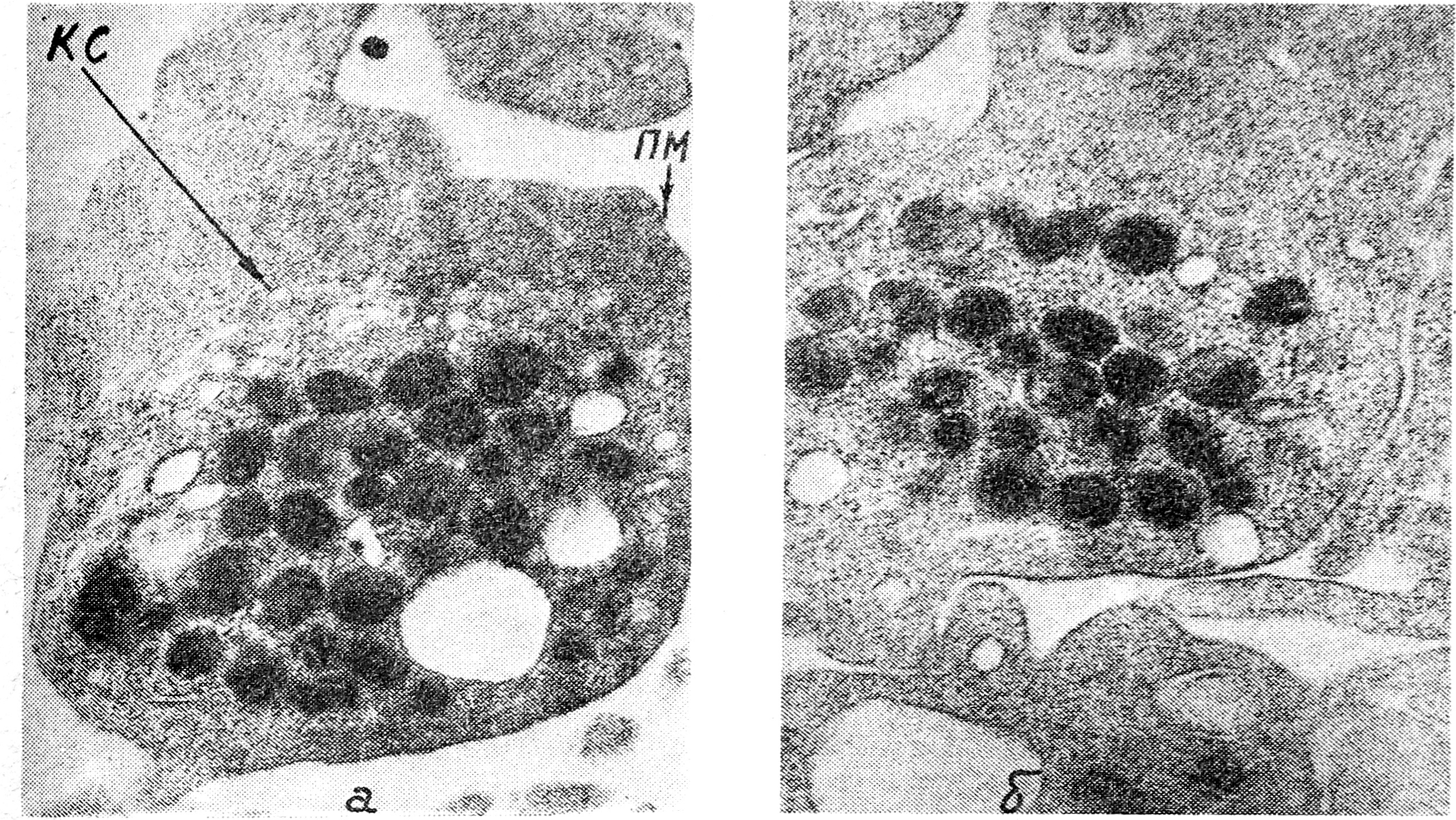
Исследование ультраструктуры тромбоцитов этих больных показало превалирование больших пластинок неправильной формы с небольшим количеством отростков. На срезах — значительная вариабельность в содержании органоидов. Выявлены тромбоциты как с большим количеством гранул, развитой канальцевой системой (рис. 1 а), так и с небольшим числом гранул и даже без них (рис. 2 а). В гранулярных тромбоцитах определялись мелкие и довольно крупные гранулы, различающиеся по электронной плотности. В основном преобладали структуры светлые, средней электронной плотности, однако встречались и электронноплотные. Одни гранулы имели гомогенную структуру, другие содержали мелкозернистый материал с просветлениями (рис. 1 б). Отмечалось небольшое число вакуолей и относительно большое количество митохондрий. Даже в тех пластинках, в которых гранулы отсутствовали, имелись одиночные митохондрии (рис. 2 а). Мембрана тромбоцитов выявлялась в виде тонкой неравномерно электронноплотной линии.
Рис. 1. Ультраструктура тромбоцитов при болезни Бернара —Сулье. а—большое количество гранул, развитая канальцевая система (КС), митохондрии; тонкая поверхностная мембрана (ПМ). Х 12.000; б — митохондрии, гранулы различной электронной плотности. X 12.000.
Поскольку при болезни Бернара—Сулье основным проявлением тромбоцитарной патологии считается нарушение гликопротеинового слоя поверхностных мембран, мы провели ультрацитохимическое исследование плазмалеммы пластинок с применением специфического красителя гликопротеинов — альцианового синего. После маркирования мембран указанным веществом обнаружено значительное их утолщение по сравнению с контролем (рис. 2 а, б, в). Мембрана представляла собой довольно широкий электронноплотный слой. Выявлялись только единичные небольшие участки инвагинации тромбоцитарной мембраны, которые не связывались с маркером. На утолщенной поверхности плазмалеммы наблюдались нежная ворсинчатость и микровезикулы, тесно связанные с основанием мембраны (рис. 2 в). На поверхности некоторых тромбоцитов после антенноподобные образования.
Рис. 2. Ультраструктура тромбоцитов при болезни Бернара—Сулье после ультрацитохимической окраски поверхностных мембран альциановым синим. а — утолщенная поверхностная мембрана тромбоцита (ПМ), полное отсутствие гранул, в срезе одна крупная митохондрия. X 16.000; б— утолщенная поверхностная мембрана, небольшое количество гранул, митохондрии. X 18.000; в — на поверхности тромбоцита хорошо выраженные микровезикулы (Мв), гранулы различной электронной плотности. X 18.000.
Рис. 2в.
Полученные данные свидетельствуют, что для ультраморфологической организации тромбоцитов обследованных больных характерна значительная гетерогенность изменений без наличия каких-либо специфических структур. Изменения гранулярного аппарата, числа митохондрий и канальцев, а также наличие агранулярных форм могут быть связаны с нарушением процесса тромбоцитообразования, что подтверждает и резкое изменение мембран тромбоцитов (ненормальная конфигурация, поверхностные микровезикулы), которое обнаруживалось только при их маркировании альциановым синим, что указывало на поражение гликопротеидного слоя мембраны. Увеличение поверхности, изменение ригидности плазмалеммы кровяных пластинок и образование макроформ этих клеток происходят, возможно, за счет мембран микровезикул.
Таким образом, у наблюдаемых нами больных были выявлены все патогномоничные признаки болезни Бернара—Сулье. Типичные изменения функциональной активности и биохимизма тромбоцитов позволили исключить другие макроцитарные тромбоцитопении и тромбоцитопатии: аномалию Май — Хегглина, синдром серых тромбоцитов, макротромбоцитопатию, сочетающуюся с нефритом и глухотой, а также идиопатическую тромбоцитопеническую пурпуру, при которой может быть небольшое увеличение размеров тромбоцитов. Дифференциальный диагноз с идиопатической тромбоцитопенической пурпурой особенно важен, поскольку при болезни Бернара—Сулье спленэктомия не показана.
Важно подчеркнуть, что болезнь Бернара—Сулье может быть диагностирована не только в специализированных лабораториях гемостаза, но и в клинических лабораториях свертывания крови широкой сети медицинских учреждений. Первым признаком, позволяющим заподозрить данную патологию, является присутствие гигантских тромбоцитов в мазке крови у больного с врожденным геморрагическим диатезом капиллярного типа, удлиненным временем кровотечения без значительной тромбоцитопении. Поэтому внимание врачей клинических лабораторий должно быть привлечено к необходимости оценки размера тромбоцитов. Подтверждением наличия болезни Бернара—Сулье служат нарушение агрегации тромбоцитов в плазме больного в присутствии антибиотика ристомицина (ристоцетина), которое не корригируется добавлением бестромбоцитной плазмы донора, а также снижение (отсутствие) агрегации с бычьим фибриногеном (источником фактора Виллебранда). Болезнь Бернара—Сулье представляет собой, вероятно, единственную тромбоцитопатию, при которой наблюдается этот вид агрегационного дефекта.
Об авторах
А. С. Шитикова
Ленинградский научно-исследовательский институт гематологии и переливания крови
Автор, ответственный за переписку.
Email: info@eco-vector.com
Россия
З. Д. Федорова
Ленинградский научно-исследовательский институт гематологии и переливания крови
Email: info@eco-vector.com
Россия
О. Е. Белязо
Ленинградский научно-исследовательский институт гематологии и переливания крови
Email: info@eco-vector.com
Россия
Г. П. Шляпочникова
Ленинградский научно-исследовательский институт гематологии и переливания крови
Email: info@eco-vector.com
Россия
Л. П. Папаян
Ленинградский научно-исследовательский институт гематологии и переливания крови
Email: info@eco-vector.com
Россия
Л. А. Денисова
Ленинградский научно-исследовательский институт гематологии и переливания крови
Email: info@eco-vector.com
Россия
В. А. Егорова
Ленинградский научно-исследовательский институт гематологии и переливания крови
Email: info@eco-vector.com
Россия
Т. И. Попова
Ленинградский научно-исследовательский институт гематологии и переливания крови
Email: info@eco-vector.com
Россия
Список литературы
- Федорова З. Д., Котовщикова М. А., Шитикова А. С. и др.//Исследование факторов свертывания крови.— Методические рекомендации.— Л., 1971.
- Гайер Г.//Электронная гистохимия.— М., Мир, 1974.
- Шитикова А. С.//Тер. арх.— 1982.— № 3.— С. 121.
- Шитикова А. С.//Лабораторное исследование функции тромбоцитов в клинической практике и методы контроля за гемостатической и дезагрегационной терапией.— Методические рекомендации.— Л., 1984.
- Bernard J.//Blood Cells.— 1983.— Vol. 9.— P. 179.
- Bernard J., Soulier J. R.//Sem. Hop. Paris.— 1948.— Vol. 24.— P. 3217.
- Berndt M. C., Gregory C., Chong B. H. et al.//Blood.— 1983.— Vol. 62.— P. 800.
- Bithell T. C., Parekh S. J., Strong R. R.//Ann. N. Y. Acad. Sci.— 1972.— Vol. 201.— P. 145.
- Breton- Gorius J., Vanhaeke D., Tabillo A. et al.//Blood Cells.— 1983.— Vol. 9.— P. 275.
- Caen J. P., Levy-Toledano S., Sultan Y., Bernard J.//Nouv. Rev. Franc. Hématol.— 1973.— Vol. 13.— P. 595.
- Caen J. P., Nurden A. T., Hanneau C. et al.//J. Lab. clin. Med.— 1976.— Vol. 87.— P. 586.
- Caen J. P., Tobelem G., Levy-Toledano S., Nurden A.//Nouv. Rev. Franc. Hématol.— 1977.— Vol. 18.— P. 365.
- Chevalier J., Nurden A. T., Thiery J. M. et al.//J. Lab. clin. Med.— 1979.— Vol. 94.— P. 232.
- Clemetson K. J., McGregory J. L., James E. et al.//J. clin. Invest.— 1982.— Vol. 70.— P. 304.
- Coller B. S.//Ibid.— 1978.— Vol. 61.— P. 1168.
- Coller B. S., Peerschke E. I., Scuddert L. E., Sullivan C. A.//Blood.— 1983.— Vol. 61.— P. 99.
- Demarco L., Shapiro S.//J. clin. Invest.— 1981.— Vol. 68.— P. 321.
- Frojmovic M. M., Milton J. G., Caen J. P., Tobelem G.//J. Lab. Clin. Med.— 1978.— Vol. 9.— P. 109.
- Ganguly P.// Brit. J. Haematol.— 1977.— Vol. 37.— P. 47.
- Gralnick H. R., Wiliams S. B.//J. clin. Invest.— 1985.— Vol. 75.— P. 19.
- Greenberg J.P., Packham M. A., Guccione M. A. et at.//Blood.— 1979.— Vol. 53,— P. 916.
- Gröttum K. A., Solum N. O.//Brit. J. Haematol.— 1969.—Vol. 16.— P. 277.
- Hagen I., Nurden A., Bjerrum O. J. et al.// J. clin. Invest.— 1980.— Vol. 65.— P. 722.
- Hammond K S., Papermaster D. S.// Anal. Bioch.— 1976.— Vol. 74.— P. 292.
- Howard M. A., Hutton R. A., Hardisty R. M.// Brit. Med. J.— 1973.— Vol. 2.— P. 586.
- Ingerman-Wojenski С. M., Smith J. B.// Thromb. Res.— 1982.— Vol. 27.— P. 371.
- Jamieson G. A., Okumura T.//J. clin. Invest.— 1978.—Vol. 61.— P. 861.
- Jenkins C. S. P., Clemetson K. J., Brigg S.//Brit. J. Haematol.— 1983.— Vol. 53.— P. 491.
- Kunicki T. J., Johnson M. M., Aster R. H.// J. clin Invest.— 1978.— Vol. 62.— P. 716.
- Legran Y. J., Fauvel F., Gutman N. et al.// Thromb. Res.— 1980.— Vol. 19.— P. 737.
- Libanska J., Falcao L., Gutter A. et al.// Nouv. Rev. Franc. Hématol.— 1975.— Vol. 15.— P. 165.
- McClure R.. Bell W. R.// Austr. J. Med. Technol.— 1978.— Vol. 9.— P. 141.
- McGill M., Jamieson G. A., Dronin J.et al.//Thromb. Haemost.— 1984.— Vol. 52.— P. 37.
- McMichael A. J., Rust N. A., Pilch J. R. et al.//Brit. J. Haematol.— 1981.— Vol. 49.— P. 501.
- Milton J. G., Frojmovic M. M.//J. Lab. clin. Med.— 1979.— Vol. 93.— P. 162.
- Moake J. L., Olson J. D., Troll J. H. et al.//Thromb. Res.— 1980.—Vol. 19.— P. 21.
- Moore A., Ross G. D., Nachman R. L.//J. clin Invest.— 1978.— Vol. 62.— P. 1053.
- Nurden A. T., Caen J. P.// Nature.— 1975.— Vol. 255.— P. 720.
- Nurden A. T., Dupius D.//Thromb. Haemost.— 1981.—Vol. 46.— P. 22.
- Okumura T., Hasis M., Jamieson G. A.//J. Biol. Chem.— 1978.— Vol. 253.— P. 3435.
- Perret B., Levy-Toledano S., Plantavid M. et al.//Thromb. Res.— 1983.— Vol. 31.— P. 529.
- Ruan C., Tobelem G., McMichael A. J. et al.// Brit. J. Haematol.— 1981— Vol. 49.— P. 511.
- Tobelem G., Levy-Toledano S., Nurden A. T. et al.//Ibid.— 1979.— Vol. 41.— P. 427.
- van Leeuwen E. F., Engelfried C. P., von dem Borne A. E. G. K.//Ibid.— 1982.— Vol. 51. — P. 551.
- Walsh P. N., Mills D.C.B., Pareti F. I. et al.//lbid.— 1975.— Vol. 29.— P. 639.
- Weiss H. J., Tschopp T. B., Baumgartner H. R. et al.//Amer. J. med.— 1974.— Vol. 57.— P. 920.
Дополнительные файлы





