Changes of the structure of neuron, glial cells and capillaries in audiogenic epilepsy
- Authors: Popova E.N.1, Yakhin F.A.1
-
Affiliations:
- Laboratory of Brain Ultrastructure of the Research Institute of the Russian Academy of Medical Sciences
- Issue: Vol 78, No 3 (1997)
- Pages: 182-184
- Section: Articles
- Submitted: 30.09.2021
- Accepted: 30.09.2021
- Published: 15.06.1997
- URL: https://kazanmedjournal.ru/kazanmedj/article/view/81434
- DOI: https://doi.org/10.17816/kazmj81434
- ID: 81434
Cite item
Full Text
Abstract
The changes of components of neuron — glia — capillar system in sensorimotor cortex of rats in 1, 12 and 24 hours after one and four audiogenic seizures are investigated by luminous and partly electronic microscopy methods. The changes of neurons, their dendrites, glial cells and vessels with elements of reparative character are discovered. During postseizure period the intracellular structure of neurons rocovers earlier then the structure of dendrites. The separate neurons undergo irreversible destruction in the presence of glial cells hyperplasia, vascular disorders retain.
Keywords
Full Text
Главным направлением современной эпилептологии является изучение морфофункциональной и метаболической системы мозга нейрон — глия —сосуд [4]. Среди различных моделей эпилепсии наиболее приемлемой и приближенной к клинике является модель рефлекторной (аудиогенной) эпилепсии [2]. Ее использование в морфологических исследованиях показало, что в тонической и клонико-тонической фазах судорожного припадка в двигательной коре крыс возникают острые и в значительной мере обратимые микроскопические изменения нейронов, глии и сосудов [1, 7, 8], а ультраструктурные изменения квалифицируются как легкие, дистрофические [3]. Лишь единичные работы посвящены изучению микроскопических изменений нейронов, глии и сосудов в послеприпадочном периоде в зависимости от числа аудиогенных приступов [3] и ультраструктурных изменений нейронов двигательного анализатора после аудиогенного припадка [7].
Целью данного исследования являлось изучение изменений корковых нейронов, глиальных клеток и сосудов после одного и четырех аудиогенных припадков.
Опыты проведены на белых крысах в камере из оргстекла (42 х 26 х 50 см), на одной из стенок которой укреплен электрический звонок. Время действия звука силой 101 дБ смешанных частот составляло 1,5 минуты и прекращалось сразу после развития судорожного припадка. Устанавливали аудиогенную эпилептическую реакцию при 3—4-кратном прозванивании. Своеобразным контролем были крысы, у которых после 4-кратного действия звука судорожных припадков не возникало. Материалом исследований служила сенсомоторная кора мозга. Использованы методы Нисселя, Гольджи, Ван-Гизона, Миагава—Александровской, частично метод электронной микроскопии. Ультратонкие срезы рассматривали и фотографировали в электронном микроскопе JEM-7 (Япония).
При акустическом стрессе без судорожных припадков в сенсомоторной коре на фоне преобладания нормохромных нейронов увеличивалось число гипохромных клеток в состоянии умеренного периферического хроматолиза. Изменения в отдельных клетках сочетались с укрупнением ядра и ядрышка. Имелись и группы умеренно гиперхромных клеток с увеличенным ядром и ядрышком. Умеренная гипо- и гиперхромия свидетельствуют о повышении функциональной активности популяций корковых нейронов [5].
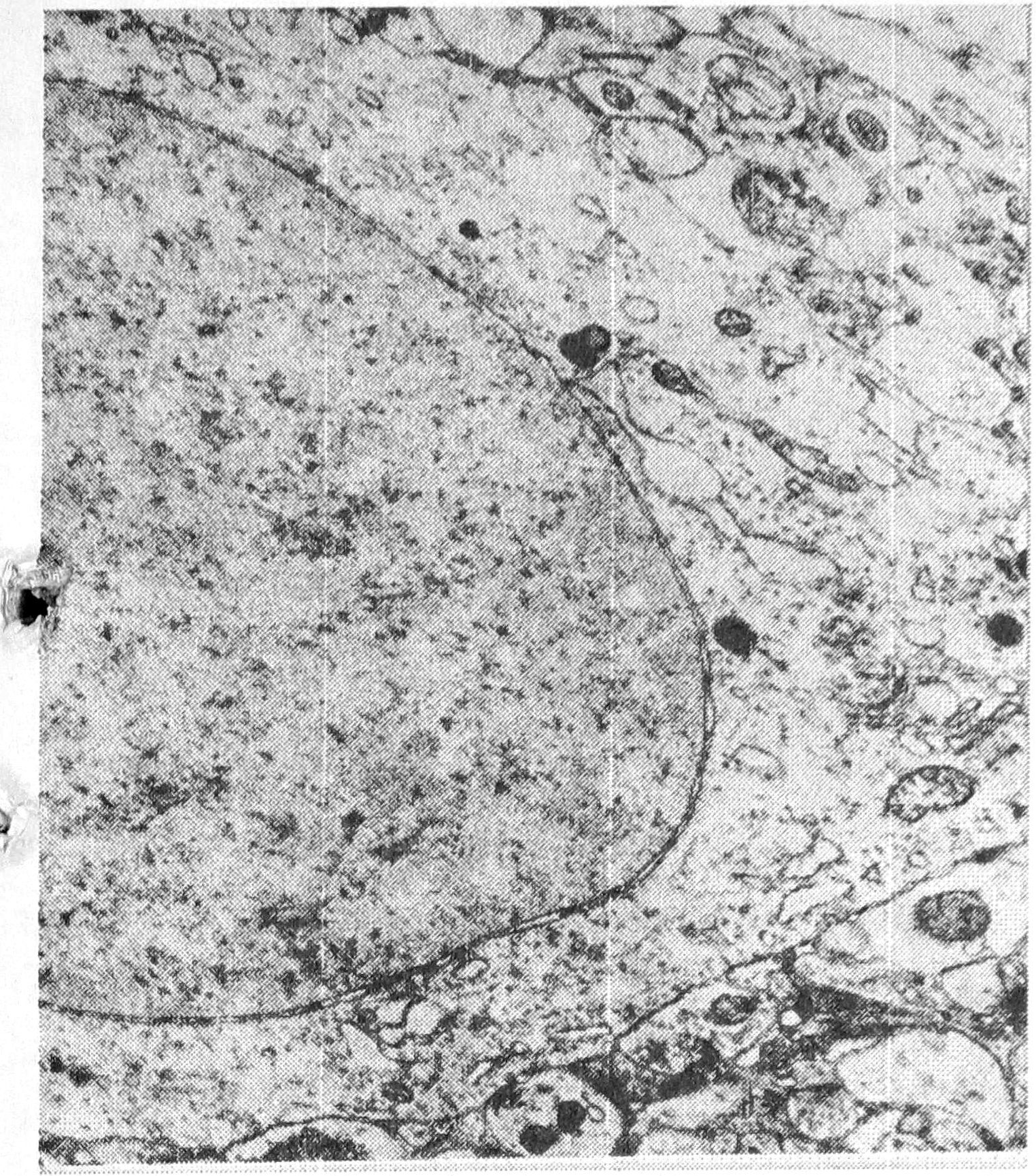
При исследовании коры мозга крыс через час после одного аудиогенного припадка определялось набухание многих корковых нейронов в сочетании с периферическим хроматолизом. Ядра большинства клеток были светлыми, умеренно набухшими, изредка смещенными к периферии клеточного тела. В части гипохромных клеток отмечались признаки репарации в виде смещения ядрышка к периферии ядра, наличия в цитоплазме околоядерного гиперхромного пояса. Встречались отдельные клетки с явлением цитолиза и кариоцитолиза и группы гиперхромных нейронов. На ультраструктурном уровне наблюдались обеднение цитоплазмы органеллами, расширение цистерн эндоплазматической сети, подчас неравномерное, отек отдельных или большинства цистерн аппарата Гольджи, умеренное набухание отдельных митохондрий, увеличение числа лизосом и ядерных пор (рис. 4). Такие изменения популяций нейронов хвостатого ядра обнаруживались при двигательном возбуждении, вызванное фенамином [5]. Дендриты и шипиты корковых нейронов в основном были хорошо импрегнированы, лишь иногда их импрегнация снижалась. В дендритах отмечалось уменьшение числа микротрубочек и нейрофиламентов вплоть до их полного отсутствия и появления вакуолей в дендроплазме. Темные нейроны выявлялись редко, что может указывать на нарушение первичной интеграции приходящих к нейрону импульсов. Имели место умеренное набухание астроцитов с тонкими отростками и явлениями гиперкариохромии. Плотные олигодендроциты не имели видимых отростков. Среди микроглиоцитов встречались формы с фрагментированными отростками. Наблюдалась дистония и расширение просвета части корковых сосудов, набухание сосудистых стенок, периваскулярные отеки, единичные диапедезные кровоизлияния.
Ультраструктура капилляров характеризовалась обеднением органеллами цитоплазмы эндотелиальных клеток, прилежанием к базальной мембране набухших островков периваскулярных астроцитов, содержавших небольшое число митохондрий.
Через 12 часов после одного аудиогенного приступа внутриклеточная структура большинства корковых нейронов восстанавливалась, но сохранялись группы гиперхромных клеток. Дендриты многих нейронов были лишены шипиков и варикозно утолщались, что отражает замедление скорости проведения нервных импульсов к нейрону [5] и, по-видимому, способствует структурному восполнению разрушенных в результате гиперфункции пластических веществ в соответствии с процессами внутриклеточной регенерации по Д.С. Саркисову [6]. Определялись умеренно набухшие астроциты в основном со светлыми ядрами, плотные олигодендроциты типичного для нормы вида, с небольшими отростками микроглиоциты и отдельные клетки с едва заметными фрагментированными отростками. Сохранялись периваскулярные отеки, хотя и менее выраженные.
Через сутки после одного судорожного припадка на фоне восстановления внутриклеточной структуры большинства корковых нейронов определялись клетки-тени, несколько увеличивалось количество гиперхромных клеток. При отсутствии периваскулярных отеков сохранялись единичные диапедезные кровоизлияния. Таким образом, через 12— 24 часа после припадка полного восстановления системы нейрон-глия-капилляр не происходит.
Нормализацию ультраструктуры нейронов двигательного анализатора и усиления поражения отдельных нервных клеток через несколько часов после аудиогенного припадка отмечали А.А. Хачатурян и соавт. [8].
Рис. 1. Ультраструктура нейрона слоя V сенсомоторной коры через один час после одного аудиогенного припадка, х 12000.
Через один час после четырех судорожных припадков изменения системы нейрон-глия-капилляр были более выраженными. Наблюдалось набухание многих корковых нейронов вплоть до резкого, когда клеточное тело округляется, а базофильное вещество исчезает из значительной части цитоплазмы. Ядра в таких клетках крупные, ядрышки центрированные или смещенные к периферии ядра. Встречались гиперхромные и сморщенные клетки и клетки в состоянии цитолиза и кариоцитолиза, что является выражением функционального истощения. В некоторых резко набухших нейронах определялся перинуклеарный гиперхромный пояс, то есть имели место признаки репаративного характера.
Изменения дендритов у разных нейронов выражены неодинаково. Наряду с базальными дендритами неровного контура с редкими шипиками, были и варикозного вида. Помимо пролиферации астроцитов имелись признаки их дистрофических изменений — амебоидное состояние и клазматодендроз. Среди олигодендроцитов преобладали дренажные формы. Иногда наблюдались явления фрагментации тел и отростков микроглии.
Со стороны сосудов отмечались явления полнокровия, дистонии, пикноз ядер эндотелия, периваскулярные отеки (рис. 2), отдельные диапедезные кровоизлияния.
Рис. 2. Дистония сосуда, никноз ядер эндотелия, периваскулярный отек в слое V сенсомоторной коры через один час после 4 аудиогенных припадков. Окраска по Нисслю. х 400.
Через сутки после четырехкратных аудиогенных припадков корковые нейроны били без явлений набухания с более распространенным гиперхромным окрашиванием. Имелись клетки в состоянии цитолиза и кариоцитолиза. Сохранялись варикозные изменения базальных дендритов корковых нейронов (рис. 3). Наряду с пролиферацией глии изредка отмечались дистрофические изменения астроцитов. Олигодендроглия была представлена в основном плотными формами. Микроглиоциты были слабо импрегнированы, отдельные их формы имели фрагментированные отростки. На фоне менее выраженного набухания сосудистых стенок сохранялись периваскулярные отеки и диапедезные кровоизлияния. Варикозные изменения дендритов и гиперплазию глии в слуховой и двигательной коре отмечали и другие авторы [3] через 24 часа после шести аудиогенных припадков. Повторные припадки приводят к истощению ЦНС и к малообратимым и необратимым метаболическим и морфологическим изменениям нейронов и глии [4].
Рис. 3. Варикозные изменения базальных дендритов нейрона в слое V сенсомоторной коры через 24 часа после четырехкратных аудиогенных припадков. Окраска по Гольджи. х 150.
Таким образом, в ранние сроки после припадочного периода происходит нормализация структуры значительной части нейронов сенсомоторной коры на фоне изменений их дендритов. Обнаруживаются также дистрофически измененные нервные и глиальные клетки, необратимая деструкция отдельных нейронов и сосудистые нарушения, более выраженные после четырех аудиогенных припадков.
About the authors
E. N. Popova
Laboratory of Brain Ultrastructure of the Research Institute of the Russian Academy of Medical Sciences
Author for correspondence.
Email: info@eco-vector.com
Russian Federation, Moscow
F. A. Yakhin
Laboratory of Brain Ultrastructure of the Research Institute of the Russian Academy of Medical Sciences
Email: info@eco-vector.com
Russian Federation, Moscow
References
Supplementary files




