Outpatient pneumonia: A comparative analysis of case records
- Authors: Vizel A.A.1, Dzugaeva I.N.1, Novosyelov E.A.1, Gataullina T.F.1, Kirshina E.A.1, Fakhrutdinov R.A.1
-
Affiliations:
- Kazan State Medical University
- Issue: Vol 82, No 2 (2001)
- Pages: 84-89
- Section: Theoretical and clinical medicine
- Submitted: 23.04.2021
- Published: 03.04.2001
- URL: https://kazanmedjournal.ru/kazanmedj/article/view/65289
- DOI: https://doi.org/10.17816/kazmj65289
- ID: 65289
Cite item
Full Text
Abstract
The efficiency of the treatment of outpatient pneumonia of various severity in medical institutions of different levels is analyzed. It is shown that patients with severe outhospital pneumonia can be treated only in highly qualified institutions provided with highly technological wards of intensive care using current etiotropic and pathogenetic means. Treatment of such patients on the level of district hospitals often ends in lethality. Patients with mild outpatient pneumonias should not be admitted and can be treated by taking antibiotics. The results of the work show the validity of wide introduction of the pneumonia treatment standards adopted in Russia in 1998.
Keywords
Full Text
Внебольничные пневмонии тяжелого течения продолжают представлять серьезную опасность для жизни пациентов. Такие больные нуждаются в госпитализации и интенсивной терапии.
Мы наблюдали пациента, анализ истории болезни которого может быть полезен для врачей. Больной В., 54 лет, занимал ответственную должность, был обеспеченным человеком и почти постоянно пребывал в условиях кондиционированного воздуха (дом, автомобиль, работа). 26.02.99 г. у него появились слабость, одышка, озноб, повышение температуры тела до 38,2°С, в связи с чем он принимал аспирин и парацетамол. 29.02.99 г. состояние ухудшилось: возник сухой кашель, температура повысилась до 39,1° С, однако больной обратился к врачу только 04.03.99 г. В связи с жалобами на нарастающую одышку, потливость, озноб, стойкую высокую температуру тела (до 39°С), кашель с трудно отделяемой мокротой он был госпитализирован.
В анамнезе: гипертоническая болезнь, нарушения ритма сердца, холецистэктомия в 1995 г. Туберкулез, гепатиты и венерические заболевания отрицал. Переливаний крови ранее не проводилось.
При поступлении: состояние тяжелое. Температура тела на момент осмотра — 38,6°С. Больной гиперстеник, кожные покровы чистые, бледные, цианоз губ. Язык сухой, обложен белым налетом в области корня. Периферические лимфатические узлы не увеличены. Тоны сердца глухие, ритмичные, ЧСС - 90 в 1 мин, системное АД-145/81 мм Hg. Над нижними отделами правого легкого — укорочение перкуторного звука. Дыхание проводится по всем полям, над средними и нижними отделами правого легкого оно ослаблено; выслушиваются сухие и влажные хрипы (мелко- и среднепузырчатые). Частота дыханий — 28 в 1 мин, насыщение крови кислородом — 92%. Живот мягкий, увеличен в объеме за счет подкожной жировой клетчатки, при пальпации он безболезненный. Перкуторные границы печени — в пределах нормы. Симптом Пастернацкого отрицательный с обеих сторон. Естественные отправления не нарушены.
Диагноз при поступлении: правосторонняя внебольничная пневмония, тяжелое течение, плеврит; ДН-II; гипертоническая болезнь.
Клинический диагноз: двусторонняя внебольничная пневмония, тяжелое течение, левосторонний плеврит; ДН-II; гипертоническая болезнь, хронический бронхит; эмфизема легких; пароксизмальные фибрилляции предсердий в анамнезе; НК-1.
04.03.99 г. больной был госпитализирован в отделение интенсивной терапии. Назначены низкопоточная оксигенация увлажненным кислородом, внутривенное введедние озонированного физиологического раствора по 400 мл в сутки, реополиглюкина по 200 мл, аспизола (1 г в 100 мл изотонического раствора натрия хлорида), аугментина (1,2 г 3 раза в сутки). Внутрь назначены ренитек (5 мг утром и 10 мг вечером), кордарон (100 мг 2 раза в день), супрастин (25 мг 3 раза в день). В течение первых суток состояние было стабильным, АД снизилось до 113/71 мм Hg. Однако к вечеру хрипы выслушивались уже в обоих легких. Вечером того же дня дополнительно введено 10 мл 2,4% раствора эуфиллина в 100 мл изотонического раствора натрия хлорида, затем отдельно — 1,0 мл 0,06% раствора коргликона. Были начаты ингаляции беродуала из баллончика по 2 дозы 3 раза в день.
После обхода и консилиума 05.03.99 г. доза аугментина была увеличена до 7,2 г в сутки внутривенно на 3 вливания, внутримышечно предписан гентамицин по 80 мг 3 раза в день. Внутривенно назначены антистафилококковая плазма (120 мл) и антистафилококковый гамма-глобулин (5 мл), гепарин по 2,5 тыс. ЕД 4 раза в сутки, внутрь лазолван (амброксола гидрохлорид) по 30 капель 3 раза в день. 06.03.99 г. увеличилась активность трансфераз (АлАТ и АсАТ). Аугментан был заменен на роцефин, и начата терапия внутривенными вливаниями эссенциале.
Больной находился в отделении интенсивной терапии по 15.03.99 г. Лечение и объективные параметры наблюдения приведены в табл. 1, 2, 3.
Бактериологические исследования мокроты.
04.03.99 г. (результат получен 10.03) Streptococcus epidermidis 104, устойчивый к бензилпенициллину, линкомицину, фузи- дину, цефалотину, цефазолину, доксициклину, гентамицину, канамицину, эритромицину, олеандомицину, но чувствительный к карбенициллину, ванкомицину и рифампицину.
09.03.99 г. (результат получен 12.03) Enterobacter agglomerans 104, устойчивый к бензилпенициллину, линкомицину, фузи- дину, цефалотину, цефазолину, чувствительный к доксициклину, гентамицину, ка- намицину, эритромицину, олеандомицину, частично чувствительный к карбенциллину, ванкомицину и рифампицину. Candida albicans 103.
Лучевое обследование органов дыхания в динамике.
Рентгенография от 04.03.99 г.: инфильтрация легочной ткани в проекции S6~S8, S9~ S12 правого легкого; нельзя исключить инфильтрацию в нижнебазальных отделах слева. Правый корень не дифференцируется, левый умеренно расширен, структура сохранена. Справа уплотнение плевры по малой междолевой борозде, возможно наличие жидкости в плевральной полости справа. Сердце увеличено в поперечнике за счет гипертрофии левого желудочка, аорта развернута и уплотнена.
Таблица 1. Схема лечения, проведенная больному В. в отделении интенсивной терапии с 4 по 15 марта 1999 г.
Таблица 2. Показатели больного В. В отделении интенсивной терапии с 4 по 15 марта 1999 г.
Таблица 3. Результаты биохимических исследований крови больного В.
РКТ от 07.03.99 г. (рис. 2): сохраняется неоднородная инфильтрация легочной ткани в проекции S, — S2, S6 и базальных сегментов, обусловленная наличием мелких очажков деструкции либо образованием эмфизематозных булл в зоне инфильтрации. Гиповентиляция S6 и S9 — S10 справа. Небольшие участки инфильтрации в проекции язычковых сегментов и S8 слева. Трахея и главные бронхи видны до сегментарного уровня. Увеличены паратрахеальные и параортальные лимфоузлы и имеет место умеренное количество выпота в плевральных полостях и в перикарде. По РКТ достоверных признаков деструктивного процесса нет.
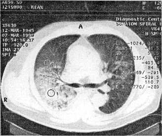
Рис. 1. Компьютерная томограмма больного В. при поступлении
Рис. 2. Компьютерная томограмма больного В. в ходе лечения
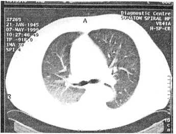
Рис. 3. Компьютерная томограмма больного В. после излечения и реабилитации
Рентгенография от 12.03.99 г.: правое легочное поле неоднородно затенено за счет очагово-сливной инфильтрации; правый корень сливается с тенью инфильтрата. Купол диафрагмы справа приподнят, уплощен (возможно за счет выпота). В левом легком в нижних отделах на фоне усиленного легочного рисунка видны единичные очаговые тени. Сердце значительно расширено.
Рентгенография от 23.03.99 г: правое легочное поле понижено в прозрачности за счет утолщения костальной плевры на всем протяжении, усиления легочного рисунка, на фоне которого определяются единичные очаговые тени. Правый косто-диафрагмальный синус облитерирован, купол диафрагмы справа уплощен. Корни расширены, больше справа. Левое легкое чистое. Сердце равномерно расширено в поперечнике. Аорта расширена и уплотнена. Отмечается выраженная положительная динамика.
Контрольная РКТ от 07.05.99 г. (рис. 3) после реабилитационной терапии в условиях санатория: в заднебазальных отделах правого легкого определяется участок пневмосклероза; костальная плевра утолщена; левое легкое без патологии.
Спирограмма и кривая “поток-объем” от 26.03.99 г.: ЖЕЛ - 83%, ОФВ, - 75%, ПОС - 85%, МОС75 — 47%, СОС25 75 — 56% от должных величин. Умеренные обструктивные нарушения функции внешнего дыхания преимущественно в дистальном участке бронхиального дерева.
Больной был выписан 3 апреля 1999 г. после лечения в терапевтическом отделении (табл. 4) в удовлетворительном состоянии и прошел реабилитационный период в санаторном учреждении своей климатической зоны. Контрольная РКТ выявила высокую степень рассасывания.
Таблица 4. Лечение, проведенное в терапевтическом отделении с 16.03 по 03.04.1999 г.
В данном случае можно констатировать позднюю госпитализацию пациента. Занимая руководящую должность, больной надеялся перенести заболевание “на ходу”. Особенностью его образа жизни было постоянное использование кондиционеров, последствием которого могут быть большая вероятность переохлаждения и присутствие в их фильтрах постоянной микрофлоры, поддерживаемой в воздухе помещений. Недостаточная эффективность высокой дозы аугментина (активированного аминопенициллина) в сочетании с амиогликозидом гентамицином, отсутствие деструкции легочной ткани при крайне тяжелом течении позволяют в эмпирическом порядке заключить, что процесс не был вызван стафилококками или анаэробами. Положительная динамика процесса в результате последующей терапии ципрофлоксацином в сочетании с роцефином, а позднее только макролидом ровамицином дает возможность с высокой вероятностью предположить внутриклеточную флору (легионелла, хламидия, микоплазма). В пользу этой гипотезы свидетельствует и наличие кондиционеров в окружении пациента. К сожалению, мы не располагали методами выявления этих возбудителей.
Судьбу пациента решила его госпитализация в отделение интенсивной терапии лечебного учреждения республиканского уровня с тщательным мониторингом состояния. Несмотря на развитие на 3-й день лечения токсического гепатита, своевременная терапия глюкокортикоидами и гепатопротекторами позволила продолжить и успешно завершить этиотропную терапию. Своевременный высев грибковой флоры и ее подавление нистатином и дифлюканом избавили больного от последствий данного вида осложнений антибактериальной терапии. Рациональная оксигенотерапия (низкопоточная, под контролем насыщения крови кислородом) в течение 10 дней обеспечила выживание пациента в периоде обширной инфильтрации и плеврального выпота. Более того, низкие дополнительные дозы кислорода позволили сохранить респираторные отделы легких без токсического альвеолита, о чем свидетельствовали относительная легкость отхода от оксигенотерапии и незначительные нарушения внешнего дыхания в периоде разрешения пневмонии.
Контроль за электролитами плазмы и их восполнением является крайне важным моментом в поддержании ритма сердца, несмотря на последовательное применение эуфиллина и коргликона, что могло создавать некоторый риск развития аритмий. Отказ от противокашлевой терапии на 3-й день лечения и длительная отхаркивающая и бронхолитическая терапия также способствовали функциональной сохранности и восстановлению вентиляционной способности легких, несмотря на наличие хронического бронхита и эмфиземы.
Экономическая оценка только этиотропной терапии данного случая тяжелой внебольничной пневмонии может быть полезна для экспертов больничных и страховых касс, организаторов здравоохранения. Следует заметить, что проведенное лечение соответствует принятым в 1998 г. в России стандартам (протоколам) лечения пневмонии. По ценам на момент курации на применение в течение 3 дней аугментина было затрачено 1452 руб., на внутримышечное введение гентамицина также в течение 3 дней — 18 руб., на лечение больного роцефином (16 г) — 6674 руб., на внутривенную терапию ципробаем в течение 5 дней — 3080 руб., на применение ровамицина внутривенно, а затем внутрь - 1157 руб., на лечение дифлюканом - 1210 руб., нистатином — 17 руб. Итого терапия антимикробными и противогрибковыми препаратами обошлась в 13608 рублей.
Для сравнения можно рассмотреть случаи лечения столь же тяжелых пневмоний на уровне центральных районных больниц. Так, в сентябре 1998 г. в одной из ЦРБ Татарстана на лечении находилась больная 50 лет с тяжелой двусторонней пневмонией. Лечение было начато пенициллином (1 млн ЕД 6 раз в день) и гентамицином (80 мг 3 раза в день). За 2 дня на антибиотики было затрачено 27 руб. 36 коп. Больная скончалась на вторые сутки от прогрессирования пневмонии и токсико-инфекционного шока. В другом районе 47-летнему мужчине с тяжелой двусторонней пневмонией была начата терапия ампиоксом по 1 г 4 раза в сутки. За 2 суток на антибиотики было израсходовано 59 руб. 36 коп. Исход оказался летальным. Назначенные схемы лечения не соответствовали современным стандартам. Более высокие расходы были невозможны ввиду отсутствия средств в лечебном учреждении. Больница не располагала условиями мониторирования и интенсивной терапии тяжелой пневмонии.
Рассматриваемые нами примеры свидетельствуют о росте полирезистентной флоры, которая приводит к развитию тяжелых внебольничных пневмоний, требующих массивной этиотропной терапии современными антибактериальными средствами. Приказом М3 РФ № 300 (1998) утверждены стандарты лечения пневмоний, в которых предусмотрено применение современных эффективных препаратов. Теперь следует привести в соответствие с ними расходы на лечение одного пациента. Наглядно свидетельствуют об этом и плановые расходы на лечение пульмонологического больного в одной из легочных клиник Германии (Лёвенштайн, май 1999 г.). Только пребывание в отделении с питанием и сестринским уходом требует 1529 руб. (при пересчете немецких марок по курсу), само же лечение и работа врача — еще 2716 руб. в сутки. Таким образом, на одного пульмонологического больного расходуется 4245 рублей в сутки. В отделении интенсивной терапии расходы в 3 раза выше.
Средства на лечение тяжелых больных необходимо изыскивать за счет не только увеличения объема финансирования, но и рационального их распределения. В соответствии с тем же российским приказом внебольничные пневмонии легкого течения не требуют госпитализации и могут быть излечены амбулаторно. Этот факт иллюстрирует пример, зафиксированный нами в июне 1999 г.
У 13-летнего подростка И. развилась правосторонняя верхнедолевая внебольничная пневмония легкого течения, осложнившаяся междолевым плевритом. Был назначен доксициклин (внутрь 0,2 г в первый день и по 0,1 г еще 8 дней) в сочетании с ровамицином (1,5 млн ЕД 3 раза в день в течение 7 дней). Затраты семьи на лечение ребенка составили 16 руб. за упаковку доксициклина и 264 руб. за 2 упаковки ровамицина (всего 280 рублей). По сложившимся традициям такой больной мог бы быть госпитализирован (что чаще всего и происходит вопреки последним стандартам) и были бы потрачены гораздо большие средства на его пребывание в стационаре.
Таким образом, лечение пневмоний на современном этапе развития отечественного и международного здравоохранения требует приведения тактики врачей и запланированных расходов к новым терапевтическим протоколам (стандартам), которые были разработаны в России в 1998 г., а к условиям Республики Татарстан адаптированы в 1999 г. Следующим этапом должна стать реструктуризация пульмонологической помощи населению.
About the authors
A. A. Vizel
Kazan State Medical University
Author for correspondence.
Email: info@eco-vector.com
Professor
Russian Federation, KazanI. N. Dzugaeva
Kazan State Medical University
Email: info@eco-vector.com
Russian Federation, Kazan
E. A. Novosyelov
Kazan State Medical University
Email: info@eco-vector.com
Kazan
T. F. Gataullina
Kazan State Medical University
Email: info@eco-vector.com
Russian Federation, Kazan
E. A. Kirshina
Kazan State Medical University
Email: info@eco-vector.com
Russian Federation, Kazan
R. A. Fakhrutdinov
Kazan State Medical University
Email: info@eco-vector.com
Russian Federation, Kazan
References
Supplementary files










