To the method of radiography of the paranasal cavities
- Authors: Faizullin A.M.1
-
Affiliations:
- Kazan State Institute for Advanced Training of Physicians named after V.I. Lenin
- Issue: Vol 46, No 4 (1965)
- Pages: 90-92
- Section: Articles
- Submitted: 12.03.2021
- Accepted: 12.03.2021
- Published: 14.07.1965
- URL: https://kazanmedjournal.ru/kazanmedj/article/view/63271
- DOI: https://doi.org/10.17816/kazmj63271
- ID: 63271
Cite item
Full Text
Abstract
In X-ray rooms, pictures of the paranasal sinuses are taken in the nasal-chin projection, usually in the supine position of the patient, but such pictures do not always give a complete picture of the pathological process in the sinuses. So, the presence of a secret in them from radiographs taken in a horizontal position can only be assumed, and often this is impossible. The photographs taken with the subject in the vertical position make it possible to confidently judge the presence of liquid by the horizontal level or by its upper parabolic boundary. Although there are special cranial tripods that allow you to take pictures in an upright position, but, unfortunately, their production is very limited, and therefore, ordinary hospitals are available.
Keywords
Full Text
В рентгеновских кабинетах делают снимки придаточных пазух носа в носоподбородочной проекции обычно в лежачем положении больного, но такие снимки не всегда дают полное представление о патологическом процессе в пазухах. Так, о наличии секрета в них по рентгенограммам, сделанным в горизонтальном положении, можно только предположить, а часто и это невозможно. Снимки же, сделанные при вертикальном положении исследуемого, позволяют уверенно судить о наличии жидкости по горизонтальному уровню или по ее верхней параболической границе. Хотя и имеются специальные черепные штативы, позволяющие делать снимки в вертикальном положении, но, к сожалению, выпуск их очень ограничен, а поэтому обычные лечебные учреждениями располагают.
В повседневной практике рентгенография придаточных полостей носа в вертикальном положении больного не производится из-за необходимости центрации луча путем предварительного просвечивания, что связано с излишним облучением снимаемого и врача, и все же снимки оказываются некачественными из-за рассеянного излучения.
Нами сделано несложное приспособление, которое позволяет устранить в какой-то мере отмеченные недостатки и получить хорошие снимки. Мы сделали из проволоки подбородочник (рис. 1), который может быть приподнят или опущен в зависимости от роста пациента, чем достигается необходимая центрация и фиксация головы.
Рис. 1. Чертеж подбородочника. Вид спереди и сбоку. Точные размеры указаны в мм
Подбородочник подвешивается сзади на стенку экранного комплекса, на котором заранее начерчен размер кассеты 13x18 см после предварительного просвечивания без больного, что делается всего один раз. Для ограничения потока рентгеновых лучей и уменьшения вторичного излучения в окно за диафрагмой и фильтром аппарата устанавливается свинцовая пластинка размером 140х140 мм с прорезью в центре 42x54 мм (рис. 2).
Рис. 2. Чертеж свинцовой пластины с прорезью. Вид спереди и сбоку, с указанием размеров.
Кассета 13x18 см закладывается в приспособление для прицельных снимков и сдвигается к центру экрана в положение к снимку. Так заканчивается подготовка аппарата к производству рентгенограммы придаточных пазух. Больной становится за экран и упирается подбородком на подбородочник и несколько откидывает голову назад. При этом нужно обратить внимание на то, чтобы линия, проведенная от угла рта к наружному слуховому проходу, была параллельна к плоскости пола. Этим достигается смещение пирамид височных костей книзу, и гайморовы пазухи становятся хорошо обозримыми.
При помощи данного приспособления можно производить снимки придаточных пазух в вертикальном положении больного на аппаратах всех систем, внося при необходимости несущественные изменения. Мы производили снимки на аппарате УРДд-110-К4 при режиме: большой фокус, 67 кв, 50 МА, экспозиция 2,5 сек, фокусное расстояние 67 см (рис. 3, 4).
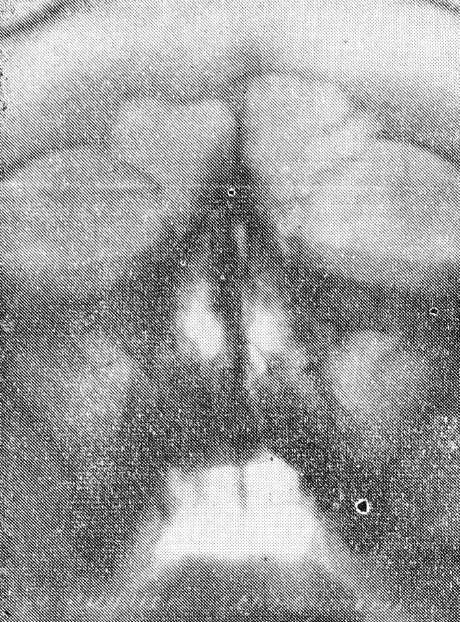
Рис. 3. Снимок при горизонтальном положении больного. Жидкость в пазухах не определяется.
Рис. 4. Снимок того же больного в вертикальном положении. В обеих гайморовых пазухах отчетливо определяется горизонтальный уровень жидкости.
Мы считаем, что снимки придаточных пазух носа в вертикальном положении больного можно и нужно проводить в рентгеновских кабинетах в повседневной практике. Наше приспособление широко используется на первой кафедре рентгенологии и радиологии ГИДУВа и внедряется в практику рентгеновского отделения 3-й городской больницы Казани
About the authors
A. M. Faizullin
Kazan State Institute for Advanced Training of Physicians named after V.I. Lenin
Author for correspondence.
Email: info@eco-vector.com
First Department of Radiology and Radiology
Russian Federation, KazanReferences
Supplementary files







