To the pathogenesis of acute pancreatitis in old and senile age
- Authors: Andreytsev A.N.1,2, Kochiashvili V.I.3,2, Stepanyan M.G.3,2, Stankevich V.E.3,2
-
Affiliations:
- Moscow Order of the Red Banner of Labor Medical Dental Institute N. A. Semashko
- 2nd Clinical Infectious Diseases Hospital
- Moscow Order of the Red Banner of Labor Medical Dental Institute. N. A. Semashko
- Issue: Vol 59, No 2 (1978)
- Pages: 41-44
- Section: Articles
- Submitted: 19.02.2021
- Accepted: 19.02.2021
- Published: 15.04.1978
- URL: https://kazanmedjournal.ru/kazanmedj/article/view/61271
- DOI: https://doi.org/10.17816/kazmj61271
- ID: 61271
Cite item
Full Text
Abstract
As a result of studying the blood vessels of the pancreas in elderly and senile people (150 observations), their atherosclerotic lesion was established, which develops simultaneously with fibrotic changes in the parenchyma. In the light of these data, the mechanism of development of necrotic organ changes in acute pancreatitis becomes clear.
Keywords
Full Text
В результате изучения кровеносных сосудов поджелудочной железы у лиц пожилого и старческого возраста (150 наблюдений) установлено атеросклеротическое поражение их, развивающееся одновременно с фиброзными изменениями паренхимы. В свете этих данных становится ясным механизм развития некротических изменений органа при остром панкреатите.
В последние годы отмечается рост заболеваемости острым панкреатитом. 27,4—29,1% страдающих этим заболеванием составляют лица пожилого и старческого возраста [2, 3].
Особенности клинических и морфологических проявлений острого панкреатита у больных старше 60 лет обусловлены сосудистыми поражениями, предрасполагающими к деструктивному процессу. Возникновению заболевания способствует облитерация и разрыв сосуда, пораженного атеросклеротическим процессом, венозный стаз, тромбоз, эмболия и спазм артерий поджелудочной железы вследствие висцеро-висцерального рефлекса [8а]. В результате расстройства кровообращения поджелудочной железы развивается очаговый некроз ее паренхимы с последующим присоединением отека межуточной ткани и кровоизлияний [8b]. По мнению А. Д. Мясникова (1971), «развивающийся отек вследствие недостаточности кровоснабжения приводит к сдавлению секреторного аппарата поджелудочной железы и стазу ее секрета. Процесс этот следует рассматривать как внеферментную фазу панкреатита». Ю. Г. Бойко (1964) в эксперименте установил значение тромбоза вен в возникновении геморрагического панкреонекроза. По данным автора, гибель клеток экзокринной части органа является результатом развивающегося отека, кровоизлияний и аноксии на фоне понижения резистентности к собственным ферментам. Наряду с этим имеются указания о роли брадикинина в возникновении геморрагического панкреатита [12]. Брадикинин, образующийся в поджелудочной железе [И], способствует расширению кровеносных сосудов, повышению их проницаемости, понижению кровяного давления [10] и вызывает боль [7].
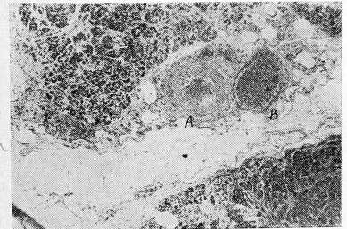
Рис. 1. Диффузный фиброз и жировые прослойки в паренхиме поджелудочной железы женщины 80 лет.
Облитерация внутриорганной артерии атеросклеротической бляшкой с тромбом. Окраска гематоксилин-эозином. ×63, А — артерия, В — вена.
В настоящем сообщении излагаются результаты исследований, проведенных у 150 людей, погибших в возрасте от 60 до 92 лет (110 — без заболеваний поджелудочной железы, 40 — с острым панкреатитом). Нами была применена вазография, приготовление коррозионных препаратов, просветленных срезов поджелудочной железы, окраска гистотопографических и гистологических срезов органа гема- токсилин-эозином и по Ван-Гизону.
Было установлено, что возрастные изменения кровеносных сосудов поджелудочной железы развиваются одновременно с фиброзными изменениями паренхимы органа (рис. 1). К 50 годам происходит увеличение диаметра сосудов органа, появляется их извилистость. После 50 лет отмечается уменьшение диаметра артерий и вен при дальнейшем усилении извилистости. Сетевидная и смешанные формы строения кровеносных сосудов поджелудочной железы постепенно замещаются сегментарной. Наблюдаются разрывы артериальной и венозной сети (симптом «культи» или «ампутации» сосуда), возникающие вслед ствие запустевания отдельных их звеньев. У пожилых и лиц старческого возраста отмечены значительные изменения артерий и вен поджелудочной железы (рис. 2), являющиеся результатом поражения сердечно-сосудистой системы (хроническая ишемическая болезнь сердца, гипертоническая болезнь, атеросклероз).
Рис. 2. Артерии поджелудочной железы при атеросклеротическом поражении. Ангиограмма мужчины 82 лет.
1 — селезеночная артерия, 2 — общая печеночная артерия, 3 — желудочно двенадцатиперстнокишечная артерия, 4 — поджелудочные ветви селезеночной артерии, 5 — места положения атеросклеротических бляшек, 6 — «ампутация» сосуда.
Из внеорганных сосудов поджелудочной железы значительному атеросклеротическому поражению подвергается селезеночная артерия. Сосуд имеет змеевидную или штопорообразную форму с наличием завитков различного вида. Ангиография позволила установить причину и локализацию окклюзии селезеночной артерии и ее ветвей. Стеноз сосуда имеет сегментарный характер: он отмечается как в зоне устья, так и на протяжении ствола. Сосудистый рисунок железы становится бледным вследствие уменьшения количества анастомозов вне- и внутриорганных артерий и вен. Бессосудистые зоны при этом еще более расширяются. Такая картина преобладает в левой доле органа (тело и хвост). В правой доле (головка с крючковидным отростком) эти изменения менее заметны (выраженные анастомозы между чревным стволом и верхней брыжеечной артерией в виде поджелудочно-двенадцатиперстно-кишечных дуг). При вскрытии просвета вне- и внутриорганных артерий поджелудочной железы была обнаружена неровная поверхность внутренней оболочки сосуда с плотными атеросклеротическими бляшками, выступающими над ее уровнем. В некоторых наблюдениях облитерация достигала ¾ сосуда. Стенка артерии плотная, эластичность ее резко снижена, при изгибании слышится хруст. Изучение воротной, селезеночной вен и их притоков от поджелудочной железы показало наличие участков расширения сосуда с истончением стенки, сращение со склерозированной клетчаткой и паренхимой органа. Гистотопографическая картина поджелудочной железы характеризуется извилистостью внутриорганных артерий и вен, запустеванием и облитерацией их.
При гистологическом изучении вне- и внутри-органных артерий поджелудочной железы выявлены их изменения, свойственные различным стадиям атеросклероза. В венах органа отмечается выраженное в различной степени очаговое, а чаще диффузное утолщение и склероз внутренней оболочки. Циркулярный мышечный слой стенки вены подвергается атрофии и истончению. Продольный мышечный слой гипертрофируется или, как и циркулярный, истончается и склерозируется. Эти изменения мышечного слоя чередуются по протяжению сосуда в виде сегментарного утолщения и истончения стенки вены. В местах истончения стенка вены представляет собой грубоволокнистую ткань, плотно спаянную с околососудистой клетчаткой.
В случае закончившегося атеросклеротического процесса в артерии (обызвествление) наблюдается резкое изменение строения стенки сосуда. При поражении всех слоев стенки vasa vasorum отсутствуют, образуются бессосудистые поля. Вследствие вовлечения в этот процесс вен стенки (нарушение оттока и застой в них) происходит увеличение диаметра vasa vasorum (в 2—3 раза).
Таким образом, наши данные свидетельствуют, что причиной возникновения острого панкреатита у людей пожилого и старческого возраста может явиться атеросклеротическое поражение сосудов и фиброзное изменение паренхимы органа.
На аутопсиях больных, погибших от первичного острого панкреатита 1) чаще наблюдалась некротическая фаза процесса. Она характерна для заболевания, являющегося следствием острого нарушения кровообращения органа (тромбоз вне- и внутриорганных сосудов). В участках поджелудочной железы, подвергшихся ишемии, развивается некроз. Присоединяющиеся в последующем отек поджелудочной железы и кровоизлияния вызывают сдавление клеток экзокринной части и гипоксию их. Одновременно с этим возникают паралич и застойные явления в сосудах, сопровождающиеся их тромбозом. Дальнейшее сдавление ткани органа обусловлено нарастанием отека и кровоизлияний. Эти изменения в поджелудочной железе приводят к увеличению зон ишемии с образованием очагов некроза.
Цитокиназа погибших клеток экзокринной части железы, активируя трипсин, способствует увеличению зон некроза [8b]. В зависимости от величины поражения некроз органа может быть очаговым, реже — субтотальным и еще реже — тотальным. Во время оперативного вмешательства участки некроза отделяются в виде секвестров. В том случае, если операция не осуществлялась, в последующем может возникнуть киста железы либо гнойник сальниковой сумки и забрюшинной клетчатки (или другие осложнения). Наличие в сальниковой сумке отделяемого поджелудочной железы, бога того активированными протеолитическими ферментами, может вызвать разрушение стенки желудка, поперечной ободочной кишки с образованием свищей или перитонита. В некоторых наблюдениях установлено начало острого панкреатита с интерстициального отека (рис. 3).
Рис. 3. Отек межуточной ткани с лейкоцитарной инфильтрацией. Некроз паренхимы поджелудочной железы в участках, прилежащих к протоку. Резкое утолщение стенки протока, слизистая набухшая, слущена.
Поджелудочная железа при этом была резко увеличена в объеме, набухшая, дольчатое строение ее сглажено. Межуточные пространства резко расширяются, заполняются жидкостью, отмечается лейкоцитарная инфильтрация. Некоторые авторы высказывают предположение о наличии в межуточной ткани органа ингибиторов протеаз, способствующих купированию процесса в этой фазе [9]. Отек со слабой лейкоцитарной инфильтрацией может исчезнуть через 10—14 дней без остаточных явлений. Вместе с тем он может явиться причиной деструктивного панкреатита.
Возникшие отек и кровоизлияния распространяются на забрюшинное пространство и корень брыжейки, вызывая сдавление нервных сплетений и обусловливая парез кишечника. В сальниковой сумке появляется геморрагический экссудат, распространяющийся в последующем в брюшную полость. В поджелудочной железе, сальнике и забрюшинной клетчатке отмечаются «жировые некрозы» в виде стеариновых пятен различной величины. Эти изменения не являются критерием деструкции поджелудочной железы. Они могут иметь место и при отсутствии геморрагий и очагов протеолиза. В этой связи высказано мнение о меньшей эффективности ингибиторов липазы по сравнению с ингибиторами протеаз [9].
Гистологическое изучение органа показало наличие кровоизлияний в ткань железы, возникших на фоне интерстициального отека, тромбоз вне- и внутриорганных сосудов органа и «ретропанкреатической» клетчатки. Наряду с участками кровоизлияний наблюдаются зоны некроза.
Каждой фазе острого панкреатита присущи характерные морфологические и функциональные нарушения органа. Переход процесса из одной фазы в другую вызывает трудности клинической и морфологической дифференцировки заболевания. Так, при отеке поджелудочной железы можно наблюдать участки некроза паренхимы, а в геморрагической фазе могут оставаться зоны отека.
Наиболее трудным является выделение фаз первичного острого панкреатита у лиц старческого возраста. Это заболевание чаще протекает, минуя фазы отека и геморрагических изменений, обусловливая тем самым бурное начало, тяжелое течение и неблагоприятный исход. Последнее усугубляется также и тем, что в пожилом и старческом возрасте острый панкреатит развивается на фоне сопутствующих заболеваний билио- панкреатодуоденальной зоны, желудка, кишечника и сердечно-сосудистой системы.
Выводы
- В пожилом и старческом возрасте возникают атеросклеротические изменения кровеносных сосудов поджелудочной железы с фиброзными изменениями паренхимы.
- Эти изменения являются одним из существенных моментов в патогенезе деструктивных форм острого панкреатита у лиц пожилого и старческого возраста.
1 По классификации С. В. Лобачева (1953) —В. М. Глускиной (1972).
About the authors
A. N. Andreytsev
Moscow Order of the Red Banner of Labor Medical Dental Institute N. A. Semashko; 2nd Clinical Infectious Diseases Hospital
Author for correspondence.
Email: info@eco-vector.com
Candidate of Medical Sciences, Department of Operative Surgery and Topographic Anatomy
Russian Federation, MoscowV. I. Kochiashvili
Moscow Order of the Red Banner of Labor Medical Dental Institute. N. A. Semashko; 2nd Clinical Infectious Diseases Hospital
Email: info@eco-vector.com
Professor, Department of Operative Surgery and Topographic Anatomy
Russian Federation, MoscowM. G. Stepanyan
Moscow Order of the Red Banner of Labor Medical Dental Institute. N. A. Semashko; 2nd Clinical Infectious Diseases Hospital
Email: info@eco-vector.com
Candidate of Medical Sciences, Department of Operative Surgery and Topographic Anatomy
Russian Federation, MoscowV. E. Stankevich
Moscow Order of the Red Banner of Labor Medical Dental Institute. N. A. Semashko; 2nd Clinical Infectious Diseases Hospital
Email: info@eco-vector.com
Russian Federation, Moscow
References
Supplementary files





