Association of expression of pSTAT3, pAKT1 with the survival of patients with diffuse large B-cell lymphoma
- Authors: Vaneeva EV1, Rosin VA1, Dyakonov DA1, Samarina SV1
-
Affiliations:
- Kirov Scientific Research Institute of Hematology and Blood Transfusion of the Federal Medical and Biological Agency
- Issue: Vol 101, No 4 (2020)
- Pages: 501-506
- Section: Theoretical and clinical medicine
- Submitted: 28.04.2020
- Accepted: 19.06.2020
- Published: 12.08.2020
- URL: https://kazanmedjournal.ru/kazanmedj/article/view/33940
- DOI: https://doi.org/10.17816/KMJ2020-501
- ID: 33940
Cite item
Abstract
Aim. To assess the relationship between isolated and combined expression of pSTAT3, pACT1 in tumor cells with the survival of patients with diffuse large B-cell lymphoma (DLBCL).
Methods. The study included 100 patients with the first diagnosed diffuse large B-cell lymphoma, observed in the institute's clinic between 2010 and 2018 who received standard first-line R-CHOP (rituximab + cyclophosphamide, doxorubicin, vincristine and prednisone) chemotherapy. The relative number of expressing pSTAT3 and pAKT1 tumor cells was determined by using immunohistochemical and morphometric methods. The optimal cut-off level of expression on tumor cells estimated by using receiver operating characteristic (ROC) curve analysis for pSTAT3 was 68% and for pACT1 — 70%. Given these values, all patients with DLBCL were divided into groups with a high and low degree of expression of the biomarkers. As a result, 53 patients were enrolled in the pSTAT3 high expression group (≥68% tumor cells) and 47 patients to the pSTAT3 low expression group (<68% tumor cells). Spearman’s correlation coefficient was used to examine relationships. Overall survival and event-free survival were estimated by Kaplan–Meier curves. The log-rank test was used for groups comparison.
Results. The five-year overall survival rate in the pSTAT3 high expression group was 55% versus 87% in the low expression group, p=0.015. A significant difference was found in the assessment of event-free survival: 43% for the group of pSTAT3 high expression, 66% for the group of low expression, p=0.011. A statistically significant value of a high level of pACT1 expression was revealed for 5-year overall and event-free survival (p <0.001 and p=0.003). Overall survival rate was 81% for the pACT1 low expression group and 43% for the high expression group while event-free survival rate was 64 and 41%, respectively. Also, patients with рАКТ1+/рSTAT3+ (high level) co-expression had extremely low rates of overall and event-free survival rates compared with the рАКТ1–/рSTAT3– (low level) group (p=0.001; p <0.001).
Conclusion. The pSTAT3 and pAKT1 biomarkers can be used as additional prognosis criteria for diffuse large B-cell lymphoma.
Keywords
Full Text
Актуальность. Диффузная В-крупноклеточная лимфома (ДВККЛ) — одна из наиболее распространённых форм агрессивных лимфоидных неоплазий. Эта нозология включает разнородную группу неходжкинских лимфом, различающихся по морфологическим, молекулярно-генетическим и иммунофенотипическим критериям. Заболевание характеризуется вариабельным клиническим течением, ответом на терапию и прогнозом [1, 2].
Существующие клинические системы оценки прогноза, такие как международные прогностические индексы, достаточно успешно применяют в клинической практике для ранней стратификации пациентов с ДВККЛ и выбора адекватного терапевтического подхода. Однако у 30–40% больных они не позволяют точно предсказать дальнейшее течение болезни, так как преимущественно опираются на клинические характеристики больных [2–4]. Это определяет необходимость поиска дополнительных молекулярно-биологических факторов прогноза.
Известно, что в патогенез ДВККЛ вовлечено множество патологически активированных сигнальных путей (JAK/STAT3, PI3K/AKT/mTOR и др.). Степень экспрессии ключевых молекул-посредников этих путей влияет на биологическое поведение неопластических клеток и может определять прогноз заболевания. Кроме того, компоненты различных сигнальных каскадов служат потенциальными мишенями для средств таргетной терапии [5].
Протеин STAT3 — важный участник сигнального пути JAK/STAT3 [6]. Этот белок опосредует экспрессию множества генов в ответ на различные стимулы и таким образом регулирует важные клеточные процессы, включая цикл деления клетки и апоптоз. В некоторых зарубежных работах показано, что гиперэкспрессия данного транскрипционного фактора напрямую связана с активацией пролиферации и злокачественной трансформацией клеток. И напротив, подавление активности гена STAT3 приводит к остановке клеточного цикла, апоптозу и регрессии опухоли [7].
Сигнальный белок рAKT1 участвует во многих жизненно важных клеточных процессах. В условиях онкогенеза дизрегуляция его экспрессии способствует прогрессированию опухоли, выживанию неопластических клеток и усилению ангиогенеза. Показано, что каскад PI3K/AKT/mTOR конститутивно активирован в 25–50% случаев ДВККЛ [8]. Вместе с тем, прогностическое значение экспрессии рSTAT3, рАКТ1 при данной нозологии изучено недостаточно. Результаты опубликованных работ противоречивы [9, 10]. В отечественной научной литературе работ по этой теме не обнаружено.
Цель исследования — оценить связь изолированной и сочетанной экспрессии рSTAT3, рАКТ1 в опухолевых клетках с выживаемостью больных ДВККЛ.
Материал и методы исследования. В ретроспективное исследование включены 100 больных ДВККЛ, состоявших на учёте в клинике ФГБУН КНИИГ и ПК ФМБА России за период с 2010 по 2018 гг. Критерием включения в исследование был морфологически и иммуногистохимически подтверждённый диагноз ДВККЛ, установленный в соответствии с классификацией опухолей кроветворной и лимфоидной тканей Всемирной организации здравоохранения (2017). Все обследуемые получали стандартную терапию 1-й линии по схеме R-CHOP. Медиана возраста больных составила 58 лет (разброс 24–83 года). Исследование одобрено локальным этическим комитетом при ФГБУН КНИИГ и ПК ФМБА России (протокол №10 от 14.04.2020).
Гистологическое и иммуногистохимическое (ИГХ) исследования проводили на архивном материале первичной биопсии лимфатических узлов/опухолевых образований больных ДВККЛ. ИГХ-анализ всем пациентам проводили до начала лечения. Идентификацию рSTAT3- и рAKT1-позитивных опухолевых клеток в биоптатах осуществляли с использованием антител к pSTAT3 (phosphorTyr705, GeneTex), рАКТ1 (phosphorSer 473, GeneTex). Морфометрическую оценку относительного содержания опухолевых клеток выполняли визуально способом двойного «слепого» анализа на световом микроскопе AxioScope.A1 (Carl Zeiss Microscopy GmbH, Германия). Подсчёт клеток проводили в 10 полях зрения для каждого образца с применением окуляров ×10 и объектива ×100.
Оптимальный порог отсечения для оценки уровня экспрессии белков вычисляли с помощью ROC-анализа. Общую (ОВ) и бессобытийную (БСВ) выживаемость рассчитывали по методу Каплана–Мейера с графическим построением соответствующих кривых. Вероятность развития неблагоприятного исхода заболевания оценивали по показателю отношения рисков (ОР) с указанием границ 95% доверительного интервала (ДИ). Сравнительный анализ выживаемости проводили с использованием логарифмического рангового критерия (log-rank test). В корреляционном анализе использовали коэффициент корреляции Спирмена (r). Статистическую обработку данных осуществляли с помощью программы SPSS, версия 19.0. Различия между показателями считали статистически значимыми при p <0,05.
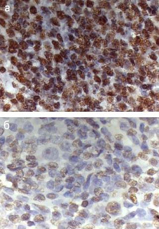
Результаты. С помощью ROC-метода оптимальный порог отсечения экспрессии опухолевых клеток для белка рSTAT3 установили на уровне 68%, для рАКТ1 — 70%. С учётом этих значений всех пациентов с ДВККЛ разделили на группы с высокой и низкой степенью экспрессии указанных маркёров. В результате группу с гиперэкспрессией рSTAT3 (≥68% опухолевых клеток) составили 53 пациента, с низкой степенью активности pSTAT3 (<68% опухолевых клеток) — 47 больных (рис. 1).
Рис. 1. Лимфатический узел. Иммуногистохимическая окраска опухолевых клеток антителом к pSTAT3: а — уровень ядерной экспрессии рSTAT3 ≥68%; б — уровень ядерной экспрессии рSTAT3 <68%, ×1000
Группу с высокой степенью активности рАКТ1 (≥70%) составили 42 пациента, с низкой (<70%) — 58 больных (рис. 2).
Рис. 2. Лимфатический узел. Иммуногистохимическая окраска опухолевых клеток антителом к pАКТ1: а — уровень ядерной экспрессии pАКТ1 ≥70%; б — уровень ядерной экспрессии pАКТ1 <70%, ×1000
Оценены отдалённые результаты терапии больных ДВККЛ (ОВ и БСВ) с учётом разных уровней экспрессии белков рSTAT3, рАКТ1. 5-летняя ОВ (рис. 3, а) в группе с гиперэкспрессией рSTAT3 соответствовала 55% (Me=50 мес) против 77% (Me не достигнута) у пациентов с низким уровнем экспрессии белка (ОР=2,3, 95% ДИ 1,16–4,87; p=0,019). При анализе БСВ (рис. 3, б) в случаях с высокой экспрессией рSTAT3 она соответствовала 43% (Me=20 мес), с низкой — 66% (Me=60 мес; ОР=2,2, 95% ДИ 1,17–3,96; p=0,014).
Рис. 3. Общая (а) и бессобытийная (б) выживаемость больных диффузной В-крупноклеточной лимфомой в зависимости от степени экспрессии рSTAT3
5-летняя ОВ у пациентов с высокой экспрессией рАКТ1 (рис. 4, а) составила 43% (Me=21 мес), у больных с подпороговым уровнем экспрессии этого белка — 81% (Me не достигнута; ОР=5,3, 95% ДИ 2,51–11,25; p <0,001). Такая же закономерность обнаружена при оценке БСВ (рис. 4, б): 41% (Me=19 мес) — в случаях с высокой экспрессией рАКТ1, 64% — с низкой (Me=60 мес; ОР=2,3, 95% ДИ 1,31–4,23; p=0,005).
Рис. 4. Общая (а) и бессобытийная (б) выживаемость больных диффузной В-крупноклеточной лимфомой в зависимости от степени экспрессии рАКТ1
В результате проведённого корреляционного анализа установлена умеренная положительная связь (r=0,368; p <0,01) между экспрессией рSTAT3 и рАКТ1. В связи с этим представляла интерес оценка влияния сочетанной экспрессии указанных маркёров на ОВ и БСВ больных ДВККЛ (рис. 5).
Рис. 5. Общая (а) и бессобытийная (б) выживаемость больных с различным сочетанием экспрессии рSTAT3 и рАКТ1
Приведённые данные свидетельствуют о том, что показатели 5-летней ОВ в группах больных имеют значимые различия (р=0,001). Наихудшая ОВ (32%; Me=12 мес; ОР=5,2, 95% ДИ 2,57–10,22; р=0,001) отмечена в группе пациентов, опухолевые клетки которых характеризовались одновременной гиперэкспрессией рSTAT3 и рАКТ1. И напротив, наиболее высокая ОВ (85%) зарегистрирована у больных с низкой сочетанной экспрессией указанных маркёров. ОВ в группе больных с двойным позитивным статусом экспрессии рSTAT3/рАКТ1 также была достоверно ниже аналогичных показателей в группах с изолированной гиперэкспрессией рSTAT3 и рАКТ1: 32% против 69 и 72% соответственно (р=0,001).
При анализе БСВ также выявлены межгрупповые различия (р <0,001). Этот показатель в группе больных с высокой степенью коэкспрессии опухолевыми клетками рSTAT3 и рАКТ1 соответствовал 29% (Me=17 мес) и был значительно ниже значений БСВ остальных групп (ОР=3,2, 95% ДИ 1,81–5,88; р=0,001).
Обсуждение. В ходе исследования выявлена ассоциация между степенью экспрессии белков рSTAT3 и рАКТ1 в клеточном субстрате опухоли и выживаемостью пациентов с ДВККЛ, получавших стандартную полихимиотерапию 1-й линии. Установлено, что риск возникновения летального исхода был в 2,3 раза выше у больных ДВККЛ с гиперэкспрессией рSTAT3 в опухолевых клетках, чем у пациентов с низкой степенью экспрессии белка. Риск развития заболевания при анализе БСВ был в 2,2 раза выше у больных с высокой степенью экспрессии рSTAT3. Предположительно это связано с тем, что избыточный синтез данного транскрипционного фактора в неопластических клетках конститутивно стимулирует клеточный цикл, что ведёт к прогрессированию опухоли. Полученные нами данные согласуются с результатами отдельных зарубежных исследований, согласно которым бесконтрольная активация сигнального пути JAK/STAT3 коррелирует с низкой ОВ и БСВ пациентов с ДВККЛ [7]. Вместе с тем, некоторые научные работы не подтверждают этот факт [11].
Выявлено, что биомаркёр рАКТ1 — предиктор низкой выживаемости при ДВККЛ. У больных с надпороговым уровнем экспрессии этого белка ОВ была ниже в 1,9 раза, а риск смерти выше в 5 раз по сравнению с пациентами, имевшими низкую степень экспрессии рАКТ1 в опухолевых клетках. Схожая закономерность установлена и в отношении БСВ. Полученные данные согласуются с рядом иностранных работ и подтверждают значимую роль дизрегуляции пути PI3K/AKT/mTOR в патогенезе ДВККЛ [10].
Установлено влияние сочетанной экспрессии рSTAT3 и рАКТ1 на прогноз заболевания. У пациентов с одновременной надпороговой экспрессией белков в опухолевой ткани показатели ОВ и БСВ были в среднем в 1,5 раза ниже, чем в группах больных с изолированной гиперэкспрессией рSTAT3 и рАКТ1. Это может указывать на наличие тесной связи в функционировании различных сигнальных путей и существование синергических и модулирующих эффектов в отношении течения заболевания.
Выводы
- Надпороговые значения экспрессии рSTAT3 и рАKТ ассоциируются с низкой общей и бессобытийной выживаемостью больных диффузной В-крупноклеточной лимфомой.
- Сочетанная гиперэкспрессия рSTAT3 и рАKТ в опухолевых клетках диффузной В-крупноклеточной лимфомы значительно увеличивает риск развития неблагоприятного исхода при лечении по протоколу R-CHOP.
- Биомаркёры рSTAT3 и рАKТ можно применять в качестве дополнительных критериев прогноза при диффузной В-крупноклеточной лимфоме.
Участие авторов. В.А.Р. — научное руководство работой, разработка дизайна рукописи и её написание, анализ и интерпретация статистических данных; Е.В.В. — сбор данных, выполнение практической части исследования, анализ и интерпретация статистических данных, написание рукописи; Д.А.Д. — разработка научного направления, проверка критически важного интеллектуального содержания статьи; С.В.С. — сбор клинических данных по пациентам; И.В.П. — координация работы клинико-лабораторных подразделений.
Источник финансирования. ФГБУН КНИИГ и ПК ФМБА России (государственная организация).
Конфликт интересов. Авторы заявляют об отсутствии конфликта интересов по представленной статье.
About the authors
E V Vaneeva
Kirov Scientific Research Institute of Hematology and Blood Transfusion of the Federal Medical and Biological Agency
Author for correspondence.
Email: vaneeva.elena.vic@mail.ru
Russian Federation, Kirov, Russia
V A Rosin
Kirov Scientific Research Institute of Hematology and Blood Transfusion of the Federal Medical and Biological Agency
Email: vaneeva.elena.vic@mail.ru
Russian Federation, Kirov, Russia
D A Dyakonov
Kirov Scientific Research Institute of Hematology and Blood Transfusion of the Federal Medical and Biological Agency
Email: vaneeva.elena.vic@mail.ru
Russian Federation, Kirov, Russia
S V Samarina
Kirov Scientific Research Institute of Hematology and Blood Transfusion of the Federal Medical and Biological Agency
Email: vaneeva.elena.vic@mail.ru
Russian Federation, Kirov, Russia
References
- Poddubnaya I.V. Diffuse large B-cell lymphoma. In: Rossiyskie klinicheskie rekomendatsii po diagnostike i lecheniyu limfoproliferativnykh zabolevaniy. (Russian clinical recommendations on diagnostics and treatment of lymphoproliferative disorders.) Ed. by I.V. Poddubnaya, V.G. Savchenko. M.: OOO “BukiVedi”. 2018; 58–65. (In Russ.)
- Sehn L.H., Gascoyne R.D. Diffuse large B-cell lymphoma: optimizing outcome in the context of clinical and biologic heterogeneity. Blood. 2015; 125 (1): 22–32. doi: 10.1182/blood-2014-05-577189.
- Rastorguev S.M., Koroleva D.A., Bulygina E.S. et al. Clinical and prognostic value of molecular markers of diffuse large B-cell lymphoma. Clinical oncohematology. 2019; 12 (1): 95–100. (In Russ.) doi: 10.21320/2500-2139-2019-12-1-95-100.
- Kaplanov K.D., Volkov N.P., Klitochenko T.Yu. Analysis results of the regional registry of patients with diffuse large B-cell lymphoma: risk factors and chemommunotherapy issues. Clinical oncohematology. 2019; 12 (2): 154–164. (In Russ.) doi: 10.21320/2500-2139-2019-12-2-154-164.
- Ling Dong, Huijuan Lv, Wei Li et al. Co-expression of PD-L1 and p-AKT is associated with poor prognosis in diffuse large B-cell lymphoma via PD-1/PD-L1 axis activating intracellular AKT/mTOR pathway in tumor cells. Oncotarget. 2016; 7 (22): 33 350–33 362. doi: 10.18632/oncotarget.9061.
- Rawlings J.S., Rosler K.M., Harrison D.A. The JAK/STAT signaling pathway. J. Cell Sci. 2004; 117 (8): 1281–1283. doi: 10.1242/jcs.00963.
- Wu Z.L., Song Y.Q., Shi Y.F. et al. High nuclear expressions of STAT3 is associated with unfavorable prognosis in diffuse large B-cell lymphoma. J. Hematol. Oncol. 2011; 4: 31. doi: 10.1186/1756-8722-4-31.
- Xiaoxiao Wang-Xin Cao, Ruifang Sun. Clinical significance of PTEN deletion, mutation, and loss of PTEN expression in de novo diffuse large B-cell lymphoma. Neoplasia. 2018; 20 (6): 574–593. doi: 10.1016/j.neo.2018.03.002.
- Courtney K.D., Corcoran R.B., Engelman J.A. The PI3K pathway as drug target in human cancer. J. Clin. Oncol. 2010; 28: 1075–1083. doi: 10.1200/JCO.2009.25.3641.
- Jinfen Wang, Xu-Monette Z.Y., Jabbar K.J. et al. AKT hyperactivation and the potential of AKT-targeted therapy in diffuse large B-cell lymphoma. Am. J. Pathol. 2017; 187 (8): 1700–1716. doi: 10.1016/j.ajpath.2017.04.009.
- Chi Young Ok, Xu-Monette Z.Y., Tzankov A. et al. STAT3 expression and clinical inplications in de novo diffuse large B cell lymphoma: a report from the International DLBCL Rituximab-CHOP consortium program. Blood. 2013; 121 (20): 4021–4031. doi: 10.1182/blood-2012-10-460063.
Supplementary files








