Лечение сиалолитиаза с использованием метода сиалолитотрипсии
- Авторы: Алиев С.З.1
-
Учреждения:
- Азербайджанский государственный институт усовершенствования врачей им. А. Алиева
- Выпуск: Том 101, № 4 (2020)
- Страницы: 586-589
- Раздел: Обмен клиническим опытом
- Статья получена: 24.04.2020
- Статья одобрена: 08.06.2020
- Статья опубликована: 12.08.2020
- URL: https://kazanmedjournal.ru/kazanmedj/article/view/33879
- DOI: https://doi.org/10.17816/KMJ2020-586
- ID: 33879
Цитировать
Аннотация
Цель. Изучение эффективности лечения сиалолитиаза с использованием метода сиалолитотрипсии.
Методы. С 2015 по 2018 гг. в Клинике им. Насреддина Туси дистанционная литотрипсия слюнных камней проведена 39 больным, из них у 33 пациентов камень был расположен в поднижнечелюстной слюнной железе и её протоке, у 6 — в околоушной слюнной железе и её протоке. Средний возраст больных составил 50±3,38 года (от 22 до 77 лет).
Результаты. В результате применения сиалолитотрипсии фрагментация камней была достигнута у 36 (92,7%) из 39 обследованных больных (p=0,031). У 3 больных камень был полностью фрагментирован, однако из-за узкого просвета главного протока не отошёл. У 3 больных с размером конкрементов, исходно составлявшим более 2 см, фрагментации не было получено. По результатам нашего исследования можно говорить о том, что в 85% случаев необходимый эффект был достигнут, и только в 15% случаев мероприятия не привели к желаемой цели.
Вывод. Учитывая сложность хирургического лечения пациентов со слюннокаменной болезнью и возможность послеоперационных осложнений, особенно при локализации камня в околоушной слюнной железе, мы пришли к выводу, что экстракорпоральная литотрипсия с использованием ударных волн служит перспективным альтернативным методом лечения пациентов со слюннокаменной болезнью.
Ключевые слова
Полный текст
Актуальность. Слюннокаменная болезнь (сиалолитиаз) — наиболее распространённое заболевание среди всей патологии слюнных желёз. На её долю, по данным различных авторов, приходится от 20,5 до 78% случаев [1]. Благодаря появлению новых методов диагностики данную патологию стали выявлять чаще и на более ранних стадиях [2].
Вопрос этиологии и патогенеза слюннокаменной болезни (СКБ) ещё не нашёл окончательного разрешения. Все теории возникновения СКБ носят полиэтиологический характер, включая застой и сгущение слюны, внедрение микроорганизмов в проток слюнной железы, нарушение минерального обмена в организме. Эти теории находят своё подтверждение в результате многочисленных исследований различных авторов. К примеру, имеется немало работ по поводу изучения роли бактериального компонента в возникновении сиалолитиаза, его развития и клинического течения [3, 4]. Клиницисты установили, что СКБ чаще поражены поднижнечелюстные слюнные железы (90–95%), реже — околоушные (5–8%). Однако также зарегистрированы клинические случаи возникновения камней в малых слюнных железах [5].
Хирургическое лечение сиалолитиаза может приводить к нежелательным послеоперационным осложнениям [6, 7]. При проведении паротидэктомии существует риск возникновения послеоперационного пареза лица из-за особенностей анатомического взаимоотношения лицевого нерва и околоушной слюнной железы. Также были случаи обструкции дыхательных путей при интраоральном хирургическом извлечении слюнных камней [8].
Литотрипсию камней слюнных желёз с помощью ударных волн начали внедрять в практику в клиниках Европы и Азии с 1989 г. [9].
Многочисленные исследования in vitro и in vivo, клинические обследования с помощью нейрографии лицевого нерва и электромиографии мимических и жевательных мышц показали, что метод дистанционной литотрипсии безопасен для тканей организма, анестезия во время литотрипсии камней слюнных желёз не нужна [10].
Цель исследования — изучение эффективности лечения сиалолитиаза с использованием метода сиалолитотрипсии.
Материал и методы исследования. Исследование проведено на кафедре стоматологии и челюстно-лицевой хирургии Азербайджанского государственного института усовершенствования врачей им. А. Алиева и в Клинике им. Насреддина Туси. Научная работа одобрена этическим комитетом Азербайджанского государственного института усовершенствования врачей им. А. Алиева на заседании 20.09.2015.
Литотрипсия была выполнена с использованием аппарата STORZ MEDICAL Duolith SD1. Литотрипсию проводили методом дистанционной ударно-волновой литотрипсии, 3–6 сеансов каждому больному в зависимости от степени фрагментации камня. Сеансы сиаолитотрипсии проводили с частотой 1–2 сеанса в неделю (рис. 1).
Рис. 1. Пациент во время сеанса сиалолитотрипсии
Каждый сеанс имел следующую характеристику: 4,6 бар, 9,0 Гц, 2000–3000 ударов в минуту. Перед каждым сеансом с помощью ультразвукового исследования выполняли точное определение локализации камня. Метод дистанционной ударно-волновой литотрипсии основан на импульсном воздействии на конкремент сфокусированной ударной волны с целью его разрушения.
С 2015 по 2018 гг. в Клинике им. Насреддина Туси дистанционная литотрипсия слюнных камней проведена 39 больным, из них у 33 пациентов камень был расположен в поднижнечелюстной слюнной железе и её протоке, у 6 — в околоушной слюнной железе и её протоке. Возраст больных составил 50±3,38 года (от 22 до 77 лет). В числе пациентов были 21 мужчина и 18 женщин. У 13 пациентов в анамнезе отмечено наличие сахарного диабета 2-го типа. Была проведена консультация эндокринолога, противопоказаний к проведению сиалолитотрипсии выявлено не было. Размеры камней находились в пределах 0,2–2,0 см: размером 0,5 см — 7 камней, от 0,5 до 1,0 см — 18 конкрементов, от 1 до 1,5 см — 9, от 1,5 до 2 см — 8 камней.
Больным с целью увеличения саливации назначали 1% раствор пилокарпина (пилокарпина гидрохлорида) до еды по 6 капель per os 3 раза в сутки или же микстуру Коваленко [11] (калия йодид 5,4 г, натрия салицилат 6 г, кальция глюконат 4,5 г, ментоловая вода 180 мл) по 1 столовой ложке 3 раза в день до еды. С целью расширения протока и его выходного отверстия назначали дротаверин по 40 мг 2 раза в сутки [11].
После завершения сеанса обращали внимание на состояние кожи над железой, наличие следов крови в выделениях из её протока.
Основные статистические характеристики описания результатов исследования включают количество наблюдений (n), среднюю арифметическую величину (М), стандартную ошибку средней величины (m), уровень статистической значимости (p).
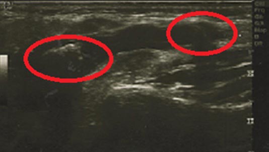
Результаты и их обсуждение. В результате применения сиалолитотрипсии фрагментация камней была достигнута у 36 из 39 пациентов (92,3%, р=0,0323). У 16 больных во время сиалолитотрипсии или сразу после 1-го сеанса произошла фрагментация конкремента, после 2-го сеанса — у 8 человек, после 3-го сеанса — у 6 пациентов, после 4-го — у 3, после 5-го — у 3 больных (рис. 2 и 3).
Рис. 2. Ультразвуковое исследование пациента с конкрементом в протоке околоушной слюнной железы до сеанса сиалолитотрипсии
Рис. 3. Ультразвуковое исследование пациента с конкрементом в протоке околоушной слюнной железы после 2 сеансов сиалолитотрипсии
У 3 больных камень был полностью фрагментирован, однако из-за узкого просвета главного протока не отошёл. У 3 больных с размером конкрементов более 2 см (с локализацией камня в поднижнечелюстной слюнной железе) фрагментации не получено. У 7 больных зарегистрированы покраснение и незначительное выделение крови из протока. Им было назначено полоскание полости рта антисептическими растворами (нитрофуралом), после чего эти симптомы проходили.
По результатам наших исследований можно говорить о том, что в 85% случаев (33 пациента из 39) были достигнуты как фрагментация конкрементов, так и отхождение фрагментов камня через выводное отверстие протока без дополнительных хирургических вмешательств (p=0,031).
В медицинской литературе есть сведения о том, что [12] в большинстве случаев с целью удаления осколков раздробленного камня проводили операцию по созданию нового протока по методу Афанасьева–Стародубцева. Назначенное нами терапевтическое лечение и дробление камней до более мелких осколков позволили добиться полного отхождения осколков у 33 больных без проведения дополнительных хирургических манипуляций. У 3 из 39 больных при конкрементах больших размеров (>2 см) фрагментации добиться не удалось.
Вывод
На основе полученных нами результатов можно сказать, что экстракорпоральная литотрипсия с использованием ударных волн служит перспективным альтернативным методом лечения пациентов со слюннокаменной болезнью при конкрементах размером меньше 2 см.
Источник финансирования. Исследование не имело спонсорской поддержки.
Конфликт интересов. Автор заявляет об отсутствии конфликта интересов по представленной статье.
Благодарности. Клинике им. Н. Туси за предоставленные оборудование и условия для проведения сеансов сиалолитотрипсии.
Об авторах
Саид Зохраб оглы Алиев
Азербайджанский государственный институт усовершенствования врачей им. А. Алиева
Автор, ответственный за переписку.
Email: saidaliyev@mail.ru
Азербайджан, Баку, Азербайджан
Список литературы
- Афанасьев В.В., Ткаленко А.Ф., Абдусаламов М.Р. Состав ротовой жидкости смешанной слюны в зависимости от результатов лечения пациентов со слюннокаменной болезнью с помощью метода сиалолитотрипсии. Стоматология. 2003; (5): 36–38.
- Aiyekomogbon J.O., Babatunde L.B., Salam A.J. Submandibular sialolithiasis: The roles of radiology in its diagnosis and treatment. Ann. Afr. Med. 2018; 17 (4): 221–224. doi: 10.4103/aam.aam_64_17.
- Kao W.T.K., Chole R.A., Ogden M.A. Evidence of a microbial etiology for sialoliths. Laryngoscope. 2020; 130 (1): 69–74. doi: 10.1002/lary.27860.
- Perez-Tanoira R., Aarnisalo A., Haapaniemi A. et al. Bacterial biofilm in salivary stones. Eur. Arch. Otorhinolaryngol. 2019; 276: 1815. doi: 10.1007/s00405-019-05445-1.
- Abe A., Kurita K., Hayashi H., Minagawa M. A case of minor salivary gland sialolithiasis of the upper lip. Oral Maxillofac. Surg. 2019; 23 (1): 91–94. doi: 10.1007/s10006-019-00745-6.
- Сёмкин В.А., Согачева В.В. Профилактика повреждения язычного нерва при удалении конкрементов из протока поднижнечелюстной слюнной железы. Стоматология. 2016; (5): 36–38. doi: 10.17116/stomat201695536-38.
- Афанасьев В.В., Дубов Д.В. Лечение выраженных протоковых деформаций околоушной слюнной железы. Стоматология. 2013; (5): 38–39.
- Sugiyama S., Iwai T., Ohashi N. et al. Airway obstruction caused by pharyngolaryngeal swelling after intraoral removal of a submandibular gland stone. Ther. Clin. Risk Manag. 2018; 14: 2323–2325. doi: 10.2147/TCRM.S180797.
- Iro H., Fodra C., Waitz G. et al. Shock wave lithotripsy of salivary duct stones. Lancet. 1992; 339: 1333–1336. doi: 10.1016/0140-6736(92)91968-E.
- Zenk J., Koch M., Iro H. Extracorporeal and intracorporeal lithotripsy of salivary gland stones: basic investigations. Otolaryngol. Clin. North Am. 2009; 42 (6): 1115–1137. doi: 10.1016/j.otc.2009.08.005.
- Хирургическая стоматология. Воспалительные и дистрофические заболевания слюнных желёз. Учебное пособие. Под ред. А.М. Панина. М.: Литтерра. 2011; 208 с.
- Абдулсаламов М.Р., Афанасьев В.В., Гаматаев И.И. Ударно-волновая литотрипсия при лечении больных слюннокаменной болезнью. Стоматология. 2014; (2): 31–32.
Дополнительные файлы






