Effect of smoking cessation on the parameters of microcirculation in arterial hypertension
- Authors: Korneeva NV1
-
Affiliations:
- Far Eastern State Medical University
- Issue: Vol 100, No 3 (2019)
- Pages: 402-409
- Section: Theoretical and clinical medicine
- Submitted: 07.06.2019
- Accepted: 07.06.2019
- Published: 13.06.2019
- URL: https://kazanmedjournal.ru/kazanmedj/article/view/13294
- DOI: https://doi.org/10.17816/KMJ2019-402
- ID: 13294
Cite item
Full Text
Abstract
Aim. To identify changes of microcirculatory parameters in former hypertensive smokers.
Methods. Videobiomicroscopy was used to study the microcirculation of bulbar conjunctiva in 94 patients suffering from arterial hypertension. The results of former smokers (n=21, average age 41.6±2.5 years) were compared to those of smokers (n=32, average age 36.8±2.2 years) and non-smokers (n=41, average age 40.5±2.3 years).
Results. The average diameter of arterioles, the arteriolar-to-venular ratio and the average diameter of the capillaries were minimal in the group of smokers with hypertension. In former smokers, these indicators increased significantly (p1 <0.0001 for arterioles and arteriolar-to-venular ratio, p1=0.0007 for capillaries) and did not differ from the parameters of those who never smoked (p2=0.8613 for arterioles, p2=0.6817 for arteriolar-to-venular ratio, p2=0.9626 for capillaries). The minimum number of capillaries per 1 mm2 of the conjunctival surface was found in smokers; in former smokers this indicator was significantly higher (p1 <0.0001) and did not differ from non-smokers (p2=0.4301).
Conclusion. The identified positive signs of smoking cessation at the level of microcirculation in the form of an increased average diameter of arterioles and capillaries, increased arteriolar-to-venular ratio and regression of capillary depletion in arterial hypertension allow recommending smoking cessation as an effective therapeutic measure for high blood pressure and endothelium dysfunction caused by smoking.
Full Text
На сегодняшний день установлено, что наряду с гиперхолестеринемией артериальная гипертензия (АГ) и курение — основные факторы риска ишемической болезни сердца и инсульта, увеличивающие относительный риск смертности от сердечно-сосудистых заболеваний среди взрослого населения. Учитывая высокую распространённость АГ в Российской Федерации (43,4% [1]), поиск и изучение эффективных мер её профилактики и лечения в настоящее время представляют актуальную проблему.
Одна из мишеней повышенного артериального давления (АД) — микроциркуляторное русло (МЦР) [2]. Состояние МЦР при АГ может представлять важную патофизиологическую проблему и служить плацдармом для диагностических, профилактических и терапевтических воздействий.
Влияние курения на макро- и микроциркуляцию при АГ изучено различными методами: сопоставлением результатов тонометрии и определением пульса [3], исследованием комплекса лабораторных параметров [4], допплеровским сканированием плечевой артерии и наблюдением за эндотелий-зависимой и эндотелий-независимой вазодилатацией [5], объёмной сфигмографией каротидных артерий, исследованием цереброваскулярного кровотока [6] и т.д. Все они демонстрируют неблагоприятное действие курения на сосудистую систему, в том числе и микроциркуляцию, при АГ, приводящее к необходимости более интенсивных лечебных мероприятий у курящих пациентов [7] с применением дополнительных лекарственных средств, направленных на коррекцию эндотелиальной дисфункции.
В то же время прекращение курения служит эффективной мерой первичной и вторичной профилактики неблагоприятных сердечно-сосудистых событий. Протективные эффекты прекращения курения сопоставимы с медикаментозной терапией и инвазивными вмешательствами [8]. Что происходит с МЦР у прекративших курить? Обратимы ли изменения, возникшие в МЦР, у курящих пациентов с АГ? Если они обратимы, какова степень восстановления МЦР?
Получить ответы на поставленные вопросы позволяет метод видеобиомикроскопии бульбарной конъюнктивы. Используя его, можно визуализировать все виды микрососудов (артериолы, венулы, капилляры), оценивать их структуру, размеры, изучать микрогемореологию (внутрисосудистую агрегацию эритроцитов), оценивать интерстициальное пространство, определяя сосудистую проницаемость и получая цифровые данные, сравнивать эти параметры в группах курящих, некурящих и прекративших курить пациентов с АГ.
Цель исследования состояла в выявлении изменений параметров МЦР у прекративших курить пациентов с АГ.
В поперечное одномоментное исследование включили 94 пациентов, страдающих АГ, госпитализированных в кардиологическое отделение Краевой клинической больницы №2 г. Хабаровска для дополнительного обследования и коррекции терапии по поводу повышенного АД. Перед включением в исследование от всех было получено добровольное информированное согласие на участие в исследовании, одобренное локальным этическим комитетом Дальневосточного государственного медицинского университета (протокол №1 от 28.03.2018). У всех, кроме обследования, регламентированного стандартом оказания медицинской помощи при первичной АГ, исследовали МЦР методом видеобиомикроскопии.
Пациенты были распределены в три группы:
– первая группа — прекратившие курить (в эту группу включали ранее куривших пациентов, отказавшихся от курения за несколько месяцев/лет до настоящего исследования); n=21, средний возраст 41,6±2,5 года, соотношение женщин и мужчин 3:18, средняя длительность курения 18,3±2,7 года, среднее количество выкуриваемых сигарет в день 19,6±2,3, среднее количество лет воздержания от курения 4,5±0,8 года;
– вторая группа — курящие; n=32, средний возраст 36,8±2,2 года, соотношение женщин и мужчин 9:23, без статистически значимой разницы по возрасту с первой группой (р1=0,1612), средняя длительность курения 17,6±1,9 года (р1=0,8262 в сравнении с прекратившими курить), среднее количество выкуриваемых сигарет в день 15,9±1,6 (р1=0,1716 в сравнении с первой группой);
– третья группа — некурящие (сюда включены никогда не курившие пациенты); n=41, средний возраст 40,5±2,3 года, соотношение женщин и мужчин 22:19.
Критерии исключения: вторичный характер АГ, сопутствующая ишемическая болезнь сердца, сахарный диабет 1-го и 2-го типов, сопутствующие хронические заболевания лёгких, почек, желудочно-кишечного тракта в стадии обострения, хроническая болезнь почек 3-й стадии и выше, хроническая сердечная недостаточность 2А и выше стадий, онкологическая патология любой локализации, а также воспалительные заболевания и травмы глаз, использование сосудосуживающих глазных и назальных капель или спреев.
Более подробная характеристика групп приведена в табл. 1.
Таблица 1. Сравнительная характеристика прекративших курить, курящих и некурящих пациентов с артериальной гипертензией
Признак | Первая группа, прекратившие курить, n=21 | Вторая группа, курящие, n=32 | Третья группа, некурящие, n=41 | р* |
Возраст, годы | 41,6±2,5 | 36,8±2,2 | 40,5±2,3 | р1=0,1612 р2=0,7718 |
Пол Ж:М, абс. (%) | 3:18 (14,3:85,7) | 9:23 (28,1:71,9) | 22:19 (53,7:46,3) | р1=0,239 (–0,1617) р2=0,0028 (–0,3799) |
Индекс массы тела, кг/м2 | 28,3±0,8 | 26,9±0,93 | 28,1±0,6 | р1=0,2906 р2=0,82 |
Систолическое АД, мм рт.ст. | 145,7±5 | 143,4±3,3 | 137,2±2,6 | р1=0,6957 р2=0,1014 |
Диастолическое АД, мм рт.ст. | 86,6±3,4 | 85±2,3 | 83±1,6 | р1=0,6895 р2=0,2887 |
Частота сердечных сокращений, в минуту | 71,8±3 | 78,7±3,3 | 72,7±2 | р1=0,1448 р2=0,7952 |
Длительность АГ, годы | 8±2 | 4,5±0,9 | 5,2±0,6 | р1=0,0843 р2=0,1049 |
Стадия гипертонической болезни | 1,8±0,2 | 1,8±0,1 | 1,6±0,1 | р1=0,9224 р2=0,4832 |
Стадия гипертонической болезни, абс. I II III |
8 10 3 |
12 15 5 |
19 18 4 | р1=0,9912 (0,0183) р2=0,7743 (0,0908) |
Степень АГ | 2,2±0,2 | 2,7±0,1 | 2,4±0,1 | р1=0,0275 р2=0,5373 |
Степень АГ, абс. 1-я 2-я 3-я |
5 6 10 |
1 8 23 |
6 14 21 | р1=0,0485 (0,3379) р2=0,6607 (0,1156) |
Степень риска АГ | 3±0,2 | 3,3±0,1 | 2,8±0,2 | р1=0,2942 р2=0,3977 |
Степень риска АГ, абс. 1-я 2-я 3-я 4-я |
0 5 10 6 |
0 7 9 16 |
5 11 11 14 | р1=0,2506 (0,2285) р2=0,2109 (0,2699) |
Примечание. *Уровень значимости р для количественных признаков оценивали по критерию Ван-дер-Вардена, для качественных признаков — по величине V-критерия Крамера (приведён в скобках). За критическое значение уровня статистической значимости принимали 0,05; р1 — для различий между прекратившими курить и курящими; р2 — для различий между прекратившими курить и некурящими. Ж — женский пол; М — мужской пол; АД — артериальное давление; АГ — артериальная гипертензия.
Представленные в табл. 1 данные показывают, что по возрасту, индексу массы тела, средним параметрам систолического и диастолического АД, частоте сердечных сокращений, длительности гипертонического анамнеза, стадии гипертонической болезни и стратификации риска различий между группами не было. Среди некурящих статистически значимо преобладали женщины в сравнении с прекратившими курить (р2=0,0028), у курящих в сравнении с ранее курившими степень АГ (оценивали по заключительным диагнозам при выписке) была выше (р2=0,0275) за счёт более частого выявления высокой степени АГ (23 курящих против 10 ранее куривших, р1=0,0485), что согласуется с данными литературы о более высоких степенях АД у хронических курильщиков [3].
Видеобиомикроскопию бульбарной конъюнктивы выполняли на установке, состоящей из щелевой лампы с фиксированной к одному из её окуляров цифровой видеокамерой и персонального компьютера. В процессе обследования записывали видеоизображение участков конъюнктивы обоих глаз, увеличенное в 96 крат (оптика щелевой лампы ×8, видеокамеры ×12). Далее получали микрофотографии фрагментов бульбарной конъюнктивы, имеющие аналогичное увеличение, по которым осуществляли морфометрию микрососудов с помощью предварительно откалиброванной экранной линейки Universal Desktop Ruler (РФ, 2005), результаты получали в микрометрах. В сравниваемых группах для оценки параметров МЦР исследовали средний диаметр артериол, венул, капилляров, артериоло-венулярный коэффициент (АВК), количество капилляров на 1 мм2 поверхности конъюнктивы.
Результаты прекративших курить сравнивали с результатами курящих и некурящих. Статистический анализ данных выполнен в центре «Биостатистика» с помощью статистических пакетов SAS 9.4 и Statistica 12. Критическое значение уровня статистической значимости при проверке нулевых гипотез принимали равным 0,05. Проверку нормальности распределения количественных признаков в группах сравнения проводили с использованием критериев Колмогорова–Смирнова, Шапиро–Уилка, Крамера-фон-Мизеса и Андерсона–Дарлинга. Проверку гипотез равенства дисперсий выполняли с помощью критериев Сиджела–Тьюки и Ансари–Брэдли. Для сравнения центральных параметров групп использовали непараметрический метод анализа с критерием Ван-дер-Вардена. [9].
Исследование взаимосвязи между парами дискретных качественных признаков осуществляли с использованием анализа парных таблиц сопряжённости. Помимо оценки достигнутого уровня статистической значимости, критерия χ2, оценивали интенсивность связи анализируемых признаков с помощью V-коэффициента Крамера [9]. Для оценки парных корреляционных связей между количественными показателями использовали коэффициенты корреляции Пирсона.
Результаты исследования МЦР в трёх группах пациентов с АГ представлены в табл. 2.
Таблица 2. Параметры микроциркуляторного русла у прекративших курить, курящих и некурящих пациентов с артериальной гипертензией
Признак | Первая группа, прекратившие курить, n=21 | Вторая группа, курящие, n=32 | Третья группа, некурящие, n=41 | р* |
Средний диаметр венул, мкм | 31,4±1 | 34,2±1 | 31,8±0,9 | р1=0,0693 р2=0,8087 |
Средний диаметр артериол, мкм | 18±0,6 | 11±0,5 | 17,9±0,6 | р1 <0,0001 р2=0,8613 |
АВК | 0,58±0,02 | 0,33±0,02 | 0,57±0,02 | р1 <0,0001 р2=0,6817 |
Средний диаметр капилляров, мкм | 10,4±0,2 | 9±0,2 | 10,4±0,2 | р1=0,0007 р2=0,9626 |
Количество капилляров на 1 мм2 конъюнктивы, ед./мм2 | 7,4±0,3 | 4,6±0,2 | 7±0,3 | р1 <0,0001 р2=0,4301 |
Примечание. *Уровень значимости р для количественных признаков оценивали по критерию Ван-дер-Вардена. За критическое значение уровня статистической значимости принимали 0,05; р1 — для различий между прекратившими курить и курящими; р2 — для различий между прекратившими курить и некурящими. АВК — артериоло-венулярный коэффициент.
Средний диаметр венул в исследуемых группах был без статистически значимых различий. Средний диаметр артериол, показатель АВК и средний диаметр капилляров были минимальными в группе курящих пациентов с АГ. У ранее куривших они значительно увеличивались (р1 <0,0001 для артериол и АВК, р1=0,0007 для капилляров) и не отличались от размеров у никогда не курящих (р2=0,8613 для артериол, р2=0,6817 для АВК, р2=0,9626 для капилляров). Минимальное количество капилляров на 1 мм2 поверхности конъюнктивы выявлено у курящих, у прекративших курить этот показатель был значительно выше (р1 <0,0001) и не отличался от некурящих (р2=0,4301).
Для проверки полученных результатов и определения возможного влияния других факторов, кроме курения, на размеры микрососудов был проведён корреляционный анализ данных по всему массиву с учётом всех количественных признаков (всего 59 количественных признаков, включающих возраст, индекс массы тела, длительность гипертонического анамнеза, средние значения систолического и диастолического АД, пульса, степени АГ, числовые значения лабораторных показателей крови и эхокардиографии, параметры видеобиомикроскопии и т.д.). Статистически значимые корреляционные связи, выявленные при данном анализе, представлены в табл. 3.
Таблица 3. Результаты корреляционного анализа количественных признаков по всей выборке без разделения на группы прекративших курить, курящих и некурящих пациентов (n=94)
Признаки | Коэффициент корреляции Пирсона | р* | |
Систолическое АД, мм рт.ст. | Длительность курения, годы | r=0,34838 | 0,0008 |
ИПЛ | r=0,26253 | 0,0124 | |
Диастолическое АД, мм рт.ст. | Длительность курения, годы | r=0,34004 | 0,001 |
ИПЛ | r=0,26907 | 0,0103 | |
Длительность курения, годы | Средний диаметр артериол, мкм | r=–0,34188 | 0,0007 |
АВК | r=–0,38899 | 0,0001 | |
Длительность абстиненции, годы | Средний диаметр артериол, мкм | r=0,25303 | 0,0139 |
АВК | r=0,29728 | 0,0036 | |
Средний диаметр артериол, мкм | Степень АГ | r=–0,3635 | 0,0003 |
Длительность курения, годы | r=–0,34188 | 0,0007 | |
Количество выкуриваемых сигарет в день, шт. | r=–0,31038 | 0,0023 | |
Длительность абстиненции, годы | r=0,25303 | 0,0139 | |
АВК | Длительность курения, годы | r=–0,38899 | 0,0001 |
Количество выкуриваемых сигарет в день, шт. | r=–0,34897 | 0,0006 | |
Длительность абстиненции, годы | r=0,29728 | 0,0034 | |
Степень АГ | r=–0,2848 | 0,0054 | |
ИПЛ | r=–0,26438 | 0,01 | |
Количество капилляров на 1 мм2 конъюнктивы, ед./мм2 | Длительность курения, годы | r=–0,36753 | 0,0002 |
Количество выкуриваемых сигарет в день, шт. | r=–0,22121 | 0,0303 | |
Степень АГ | r=–0,20899 | 0,041 | |
ИПЛ | r=–0,20744 | 0,0426 | |
Примечание. *За критическое значение уровня статистической значимости принимали 0,05. АД — артериальное давление; ИПЛ — индекс «пачка/лет»; АВК — артериоло-венулярный коэффициент.
Корреляционный анализ по всему массиву наблюдений подтвердил результаты сравнения средних величин в трёх исследуемых группах и обоснованность выделения групп в зависимости от статуса курения. Так, значения систолического и диастолического АД, измеренные перед проведением видеобиомикроскопии, имели средней силы положительные статистически значимые корреляционные связи с длительностью курения и индексом «пачка/лет», что согласуется с данными литературы [3].
Длительность курения была связана отрицательными средней силы статистически значимыми корреляционными связями со средним диаметром артериол (r=–0,34188, p=0,0007) и АВК (r=–0,38899, р=0,0001).
Длительность абстиненции в годах также коррелировала со значениями среднего диаметра артериол (r=0,25303, p=0,0139) и АВК (r=0,29728, р=0,0036) средними по силе статистически значимыми связями, однако характер связи был положительным, что также подтверждает результаты, полученные нами при сравнении средних величин.
Связь курения и отказа от курения с параметрами МЦР и степенью АГ также подтверждена средней силы статистически значимыми положительными и отрицательными корреляционными связями (см. табл. 3).
Кроме того, выявлены средней и слабой силы отрицательные корреляционные связи между количеством капилляров на 1 мм2 поверхности конъюнктивы и длительностью, интенсивностью курения и степенью АГ.
Таким образом, из 59 анализируемых количественных признаков только параметры, характеризующие курение и прекращение курения, имели статистически значимое влияние на значения АД и характеристики МЦР.
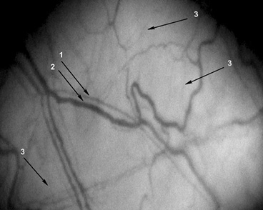
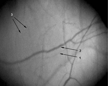
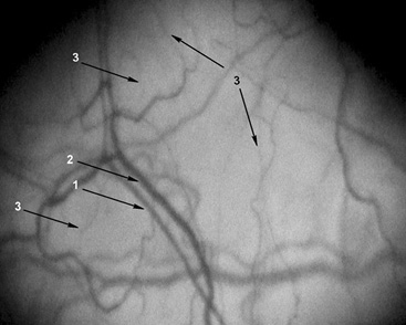
Для иллюстрации материалов на рис. 1–3 представляем фрагменты МЦР бульбарной конъюнктивы некурящего, курящего и прекратившего курить пациентов с АГ.
Рис. 1. Фрагмент микроциркуляторного русла конъюнктивы. Увеличение ×96. Пациент П. 44 лет, не курит. Страдает артериальной гипертензией 3-й степени, риск 4, в течение 10 лет. Артериальное давление на момент исследования 137/90 мм рт.ст., пульс 63 в минуту. 1 — артериола (d=18,8 мкм); 2 — венула (d=37,2 мкм), артериоло-венулярный коэффициент 0,5; 3 — капилляры (d=9,3 мкм), количество капилляров на 1 мм2 поверхности конъюнктивы 5,7 ед./мм2
Рис. 2. Фрагмент микроциркуляторного русла конъюнктивы. Увеличение ×96. Пациент Д. 40 лет, курит 31 год по 20 сигарет в день, продолжает курить. Страдает артериальной гипертензией 3-й степени, риск 3, в течение 15 лет. Артериальное давление на момент исследования 163/101 мм рт.ст., пульс 92 в минуту. 1 — артериола (d=9,3 мкм); 2 — венула (d=26,4 мкм), артериоло-венулярный коэффициент 0,24; 3 — капилляры (d≈6 мкм), количество капилляров на 1 мм2 поверхности конъюнктивы 2,17 ед./мм2
Рис. 3. Фрагмент микроциркуляторного русла конъюнктивы. Увеличение ×96. Пациент Т. 40 лет, курил 23 года по 20 сигарет в день, не курит 1,3 года. Страдает артериальной гипертензией 2-й степени, риск 3, в течение 7 лет. Артериальное давление на момент исследования 132/78 мм рт.ст., пульс 61 в минуту. 1 — артериола (d=21,8 мкм); 2 — венула (d=30,6 мкм), артериоло-венулярный коэффициент 0,71; 3 — капилляры (d=8,8 мкм), количество капилляров на 1 мм2 поверхности конъюнктивы 6,12 ед./мм2
Современные представления о патогенезе АГ отчасти основаны на теории повышения сопротивления в мелких артериях и артериолах за счёт их сужения [10]. Возникающее сосудистое ремоделирование — одна из основ в возникновении и закреплении первичной АГ [11] и одно из проявлений эндотелиальной дисфункции, выявляемой при АГ.
Это находит подтверждение в результатах нашего исследования. Так, у некурящих пациентов с АГ средний диаметр артериол составил 17,9±0,6 мкм, тогда как у некурящих здоровых молодых людей без АГ, по результатам предыдущих наших исследований [12], этот показатель был 22,3±0,4 мкм, что на 20% больше, чем при АГ, что подтверждает данные литера-
туры [13].
Формируемая при АГ эндотелиальная дисфункция в группе курящих пациентов усиливалась и проявлялась минимальным значением среднего диаметра артериол — 11±0,5 мкм, который оказался на 12% меньше, чем у курящих людей без АГ (12,8±0,4 мкм). Длительность курения находилась в отрицательной корреляционной связи средней силы со средним диаметром артериол (r=–0,34188) и АВК (r=–0,38899).
У прекративших курить пациентов с повышенным АД параметры, характеризующие общее периферическое сосудистое сопротивление, — средний диаметр артериол (18±0,6 мкм) и АВК (0,58±0,02) — не отличались от показателей никогда не куривших людей (17,9±0,6 мкм, р2=0,8613 и 0,57±0,02, р2=0,6817 соответственно), что демонстрирует восстановление структуры МЦР и сосудодвигательной функции эндотелия при прекращении курения у пациентов с АГ.
Положительные средней силы корреляционные связи между длительностью периода абстиненции и средним диаметром артериол и АВК, также подтверждают положительное влияние прекращения курения на восстановление структуры резистивных микрососудов.
На сегодняшний день установлена стадийность в изменении диаметров артериол при АГ от функциональных (обратимых) до структурных, в результате которых происходят стойкие изменения диаметра микрососудов, которые принято рассматривать как долгосрочный процесс приспособления к повышенному АД и его закрепления.
Курение, вызывая дополнительное уменьшение диаметра резистивных сосудов, приводит к повышению АД, что также продемонстрировано результатами данного исследования: выявлены статистически значимые положительные средней силы корреляционные связи систолического и диастолического АД с длительностью курения и индексом «пачка/лет». Кроме того, в группе курящих чаще выявляли 3-ю степень АГ (р1=0,0485), а это требует от практических врачей усиления терапии антигипертензивными лекарственными препаратами для стабилизации АД у курильщиков [4, 7]. Статистически значимое уменьшение степени АГ у бывших курильщиков в сравнение с курящими (р1=0,0275) за счёт восстановления структуры МЦР может потребовать снижения активной антигипертензивной терапии.
Таким образом, патологические эффекты курения подвергаются при АГ обратному развитию у прекративших курить, оставляя после себя структурные микроциркуляторные проявления основного заболевания.
Закономерным проявлением сосудистого ремоделирования как одного из проявлений эндотелиальной дисфункции, которая исследована в данной работе, бывает уменьшение среднего диаметра капилляров. У курящих пациентов с АГ этот показатель был наименьшим, а у прекративших курить значительно увеличивался — как проявление обратного развития нарушенной сосудодвигательной функции эндотелия, связанной с влиянием никотина табачного дыма.
G.W. Schmid-Schönbein (2006) в своих наблюдениях указывает на возникновение при АГ структурной перестройки капилляров, которая проявляется функциональным, а затем и структурным разрежением капиллярных сетей, обусловленным физической утратой микрососудов, в основе которой лежит апоптоз эндотелиоцитов [14].
У некурящих пациентов с АГ среднее количество капилляров на 1 мм2 поверхности конъюнктивы было меньшим (7±0,3 ед./мм2) в сравнении с молодыми некурящими людьми без АГ (7,8±0,3 ед./мм2), что может указывать на физическую утрату части капилляров (рарефикацию), связанную с основным заболеванием. Это предположение подтверждает выявленная статистически значимая отрицательная корреляционная связь степени АГ с количеством капилляров на единицу поверхности конъюнктивы (r=–0,20899).
У курящих пациентов с АГ происходит дополнительное уменьшение количества функционирующих капилляров на 1 мм2 поверхности конъюнктивы до 4,6±0,2 ед./мм2, которое, по-видимому, бывает функциональным, так как у прекративших курить этот показатель не отличается от некурящих пациентов — 7,4±0,3 ед./мм2 (р2=0,4301).
C. Cheng и соавт. (2008) [15] объясняют механизмы функционального разрежения капиллярной сети при АГ спазмом артериол и как следствие обеднением капиллярного кровотока. Исчезновение феномена рарефикации после отказа от курения, по нашему мнению, обусловлено восстановлением кровотока, через ранее запустевшие капилляры за счёт увеличения среднего диаметра артериол. Эти позитивные сдвиги в МЦР у прекративших курить обосновывают рекомендации по отказу от курения при АГ.
Таким образом, в представленной работе мы рассматривали малоизученные вопросы влияния прекращения курения на состояние МЦР у пациентов с АГ. У отказавшихся от курения пациентов, страдающих АГ, выявлены значительно бо́льшие в сравнении с курящими средний диаметр артериол, АВК и средний диаметр капилляров, которые не отличались от уровня никогда не куривших пациентов, что указывало на восстановление нарушенной курением сосудодвигательной функции эндотелия. У бывших курильщиков привлекало внимание исчезновение рарефикации капилляров, связанной с курением.
Вывод
Выявленные позитивные проявления отказа от курения на уровне микроциркуляторного русла при артериальной гипертензии позволяют рекомендовать отказ от курения в качестве эффективной лечебной меры при коррекции повышенного артериального давления и дисфункции эндотелия, обусловленной курением.
Авторы заявляют об отсутствии конфликта интересов по представленной статье.
About the authors
N V Korneeva
Far Eastern State Medical University
Author for correspondence.
Email: Gladkova1982@mail.ru
Russian Federation, Khabarovsk, Russia
References
- Chazova I.E., Zhernakova Y.V., Oshchepkova E.V. et al. Prevalence of cardiiovascular risk factors in Russian population of patients with hypertension. Kardiologiya. 2014; (10): 4–12. (In Russ.)
- Makolkin V.I. Microcirculation and lesion of target organs in arterial hypertension. Kardiologiya. 2006; (2): 83–85. (In Russ.)
- Lukina Yu.V., Martsevich S.Yu. Effect of smoking on cardiovascular medications. Profilaktika zabolevaniy i ukreplenie zdorov'ya . 2005; (1): 21–25. (In Russ.)
- Vyssoulis G.P., Marinakis A.G., Aznaouridids K.A. et al. The impact of third-generation beta-blockerantihypertensive treatment on endothelial function and thepro thrombotic status. Effects of smoking. Rossiyskiy kardiologicheskiy zhurnal. 2011; 16 (2): 86–93. (In Russ.)
- Zateyshchikova A.A., Zateyshchikov D.A. Endothelial regulation of vascular tone: research methods and clinical significance. Kardiologiya. 1998; (9): 68–80. (In Russ.)
- Vinokurova I.G., Davidovich I.M., Protsyk O.M. Arterial stiffness and cerebrovascular blood flow in people of young age in the early stages of hypertension: the impact of tobacco smoking. Tikhookeanskiy meditsinskiy zhurnal. 2016; (4): 53–57. (In Russ.)
- Leonova M.V., Maneshina O.A. Smoking and drugs for treatment of cardiovascular diseases: pharmacokinetic and pharmacodynamic aspects. Serdtse. 2007; 6 (6): 316–321. (In Russ.)
- Suskin N., Sheth T., Negassa A. et al. Relationship of current and past smoking to mortality and morbidity in patients with left ventricular dysfunction. J. Am. Coll. Cardiol. 2001; 37 (6): 1677–1682. doi: 10.1016/s0735-1097(01)01195-0.
- Lang T.A., Sesik M. How to describe statistics in medicine. The management for authors, editors and reviewers. Russ. ed, ed. by V.P. Leonov version. Moscow: Prakticheskaja medicina. 2011; 480 p. (In Russ.)
- Carey R.M. Pathophysiology of primary hypertension. In: Handbook of physiology: Microcirculation. R.F. Tuma, W.N. Duran, R. Ley eds. Amsterdam-Tokyo. 2008; 794–896. doi: 10.1016/b978-0-12-374530-9.00020-6.
- Shkarin V.V., Lozhakova M.V. The disorders of microcirculation in case of essential arterial hypertension: clinical and hemodynamical aspects. Meditsinskiy al'manakh. 2012; (1): 179–183. (In Russ.)
- Sirotin B.Z., Korneeva N.V. Influence of smoking cessation on the microcirculatory bed in apparently healthy young people. Terapevticheskiy arkhiv. 2016; 88 (1): 67–69. (In Russ.)
- Kozlov V.I. Capillarosсopy in clinical practice. M.: Prakticheskaya medicina. 2015; 232 p (In Russ.).
- Schmid-Schönbein G.W. Capillary and venular responses to arterial hypertension (Ch. 105). In: Microvascular research. D. Shepro ed. Boston, 2006; 2: 713–720.
- Cheng C., Diamond J.J., Falkner B. Functional capillary rarefaction in mild blood pressure elevation. J. Hypertens. 2010; 28: 2258–2266. doi: 10.1111/j.1752-8062.2008.00016.x.
Supplementary files






