Model of small-focal ischemic cerebral infarction as a basis for the development of new methods of stroke therapy
- Authors: Markosyan V.A.1, Izmailov A.A.1, Sokolov M.E.1, Valiullin V.V.1, Safiullov Z.Z.1
-
Affiliations:
- Kazan State Medical University
- Issue: Vol 104, No 2 (2023)
- Pages: 242-248
- Section: Experimental medicine
- Submitted: 08.11.2022
- Accepted: 12.01.2023
- Published: 26.03.2023
- URL: https://kazanmedjournal.ru/kazanmedj/article/view/112404
- DOI: https://doi.org/10.17816/KMJ112404
- ID: 112404
Cite item
Abstract
Background. Among the existing experimental models of cerebral stroke in large animals, there is no possibility to create a focal brain infarction of limited volume, which would provide an opportunity to evaluate both the endogenous potential of neuroregeneration and to establish the effectiveness of new drugs on postischemic brain remodeling.
Aim. Development of a method for modeling small-focal ischemic infarction of the cerebral cortex in a mini-pig.
Material and methods. The study used mature female mini-pigs of the Vietnamese fold-bellied breed. Two-level occlusion of the great vessels was performed by ligation of the right common carotid artery and subsequent cauterization of the distal branches of the middle cerebral artery. In the postoperative period, the survival rate of animals and neurological deficit were assessed. On the 7th day, the animals were taken out of the experiment, the brain was isolated from the cranial box. Macroscopic and microscopic examinations included analysis of the localization and area of cerebral infarction, as well as morphological changes in the infarcted and peri-infarcted areas of the cerebral cortex.
Results. With a 100% survival rate of experimental animals on the 3rd day after the operation, a neurological examination revealed violations of skin sensitivity and muscle tone in the hind and fore limbs, which partially recovered a week after the onset of ischemic stroke. Macroscopic examination of the brain on the 7th day after the operation visually revealed a small-focal ischemic cerebral infarction in the parietal lobe of the left hemisphere. Histological analysis of the cerebral cortex revealed a wedge-shaped necrotic focus of ischemic injury. In the peri-infarction region of the brain, reactive tissue changes with preserved nerve cells, mostly without visible damage, were found.
Conclusion. The developed two-level method of stroke modeling in a mini pig induces ischemic cerebral infarction of limited volume in the parietal lobe; non-critical histological changes in the peri-infarct area and a slight neurological deficit suggest the possibility of using this model to develop new methods of stroke therapy.
Full Text
Background
Ischemic cerebral stroke is the primary cause of death worldwide [1]. Furthermore, 70–80% of patients who survive such a vascular catastrophe become disabled and experience an extremely unsatisfactory quality of life [2].
At present, there are no effective methods for neurorehabilitation of such patients in clinical practice and symptomatic treatment does not substantially improve their quality of life or increase their lifespan [3], which is largely due to insufficient research on the cellular basis of brain neuroplasticity under ischemia, and the lack of adequate models to study its consequences for various cells of the nervous tissue. The lack of considerable progress in treating stroke patients is partly due to the natural limitations of regeneration in the central nervous system, which is a major reason for the unsatisfactory results of therapy for ischemic brain strokes and several neurodegenerative diseases as well as neurotraumas [4].
It is imperative to develop novel and adequate experimental models using modern biotechnologies to search for new effective drugs to inhibit postischemic neurodegeneration and stimulate brain neuroplasticity.
Experimental scientific studies on development of stroke therapy methods have mostly been performed on rodents but their results cannot be fully extrapolated to humans [5, 6], because the pathologic manifestations that occur during stroke in rodents with lissencephalic brains are not comparable with those after stroke in humans [7]. The translational potential of data obtained from small laboratory animals is limited for practical medicine.
Thus, large mammals are an appropriate selection for use in preclinical studies on poststroke infarction effects due to their more similar neuroanatomical, physiological, and biochemical characteristics to humans, e.g., pigs. Some of their donor organs have long been used in transplantology. Their brain structure is similar to that of humans, with a volume of white matter comparable to that of humans [7]. Pigs are genetically closer to humans than to rodents [8], making them an appropriate choice in studies on developing new approaches to stroke treatment and on testing drugs because of their anatomical features, dosage requirements, delivery methods, and pharmacokinetics [9]. Therefore, pigs are a suitable model organism for stroke research, especially compared with smaller mammals.
Sakoh et al. [10] first performed a model of brain stroke in pigs by middle cerebral artery occlusion via a transorbital approach, while N. Imai et al. [11] were the first to access the middle cerebral artery through craniotomy. However, there are currently no experimental models of brain stroke in large animals that allow for the creation of a reproducible focal brain infarction of limited volume with noncritical consequences. Such a model would provide an opportunity to evaluate the endogenous potential of poststroke neuroregeneration due to natural neuroplasticity and to establish the effectiveness of new drugs on brain remodeling in the “ischemic penumbra” [12].
Aim
This study aimed to develop a method for modeling small-focal ischemic infarction of the cerebral cortex in minipigs.
Materials and methods
A method for two-level occlusion of the main vessels in the minipig was developed, which consists of ligation of the right common carotid artery to reduce blood flow in the villous circle and then electrocoagulation of the distal branches of the left middle cerebral artery to form a focal ischemic infarction of the cerebral cortex.
Sexually mature 8-month-old female Vietnamese lop-bellied minipigs were the study objects (n = 4), which weighed 25–30 kg. Following surgery, each minipig was housed individually in an enclosure with controlled temperature (24°C–25°C) and humidity, a 12 h day/night cycle, and a managed diet for 7 days.
The experimental procedures were approved by the ethical committee of Kazan State Medical University (protocol No. 5 of May 26, 2020).
The animals were premedicated with intramuscular injections of 1.5 mL of 2% xylazine solution (0.10 mL/kg), 1.5 mL of tiletamine and zolazepam solution (0.10 mL/kg), and ceftriaxone (1 g/animal) 1 h before surgery. Surgical sites were shaved and treated with 0.05% alcoholic chlorhexidine solution for external application.
Afterward, the experimental animal was connected to an inhalation anesthesia apparatus (Minor Vet Optima anesthesia-breathing apparatus, Zoomed, USA), which supplied a mixture of 2.0%–2.5% isoflurane (Laboratorios Karizoo, S.A., Spain) and oxygen throughout the surgical procedure. Once the animal was induced and transitioned to mask anesthesia, 1 mL of ketorolac solution was administered, and the surgical fields were treated with 10% povidone iodine solution.
During surgery, the animal’s body temperature was maintained at 38°C using an electrically heated veterinary mattress.
Modeling of cerebral ischemic stroke was performed using our original developed method. In the first stage, the right common carotid artery was ligated to reduce blood flow in the circle of Willis. A 4–5-cm incision was made along the white line of the neck to bluntly dissect soft tissues up to the sternoclavicular papillary muscle. The muscle was then pushed aside to gain access to the neurovascular bundle of the medial triangle of the neck. The right common carotid artery was isolated and ligated using a 3/0 silk thread. The surgical wound was then sutured layer by layer.
During the second stage, the middle cerebral artery was accessed through a trepanation hole in the left temporal bone. A musculoskeletal-aponeurotic flap on a thick pedicle was formed by making an arc-shaped incision in the left temporal region. Following the periosteal incision, a trepanation hole was drilled and, if necessary, widened. The dura mater was then dissected through the hole, and the distal branches of the middle cerebral artery were cauterized by electrocoagulation under a YZ-20T9 operating microscope (Nanjing Redsun Optical Co., Ltd., Jiangsu, China).
Following the procedure, the dura mater was sutured using a 5/0 polypropylene thread, and the bone defect was covered with the previously excised periosteum. The temporalis muscle was sutured to the tendon helmet and temporoparietal suture, and the skin sutures were treated with 10% povidone iodine solution. Pure oxygen was administered 5 min at the end of the surgery to remove the animal from anesthesia.
In stroke modeling, the survival of experimental animals depends not only on the size of the infarcted area but also on postoperative care [13]. Therefore, the minipigs received proper postoperative care, including antibacterial treatment (ceftriaxone intramuscularly, 1 g/5 mL, once daily for 7 days), analgesic medication (ketorolac intramuscularly, 30 mg/mL, twice daily for 7 days), and infusion therapy (administration of 400.0 mL of normal saline subcutaneously by drip, once daily for 3 days). The wounds were dressed daily for 1 week, and the general conditions of the animals were monitored.
Neurological examination of experimental animals included the study of pain sensitivity and muscle tone in the fore and hind limbs. Pain sensitivity was analyzed in both the proximal and distal limbs using the skin pinch test and assessed by the motor response of the limbs. Muscle tone was determined by the degree of muscle resistance occurring during passive movements of the joints (flexion and extension) in the relaxed limbs of the experimental animal. The examination results were evaluated on a scale ranging from 0 to 5 points: 0, paralysis (no movements); 1, movements such as shaking; 2, possible without support on limbs (points 1 and 2 correspond to deep paresis); 3, with active movements but does not resist the researcher (moderate paresis); 4 animal resistance but weaker than the researcher (mild paresis); and 5, full strength [14].
One week after surgery, the experimental animals were euthanized. They were placed under deep anesthesia through joint administration of tiletamine and zolazepam, followed by a gradual increase in isoflurane concentration up to 5.0 vol%.
The cerebral hemispheres were isolated from the skull and fixed in buffered 4% paraformaldehyde at 4°C. The infarct area was calculated from the digital images.
Brain tissue, including the infarct area, was embedded in paraffin and sliced using an HM 325 rotary microtome (Thermo Scientific, USA). Frontal sections were stained with hematoxylin and eosin (H&E) using the standard technique. For histological analysis, digitized images of the cerebral cortex were obtained using an Axioscope A1 microscope (Carl Zeiss, Oberkochen, Germany). Morphometric analysis was performed with ImageJ (NIH, USA).
Results and discussion
Throughout the 7-day experiment, 100% survival rate was observed among the experimental animals. Neurological examination revealed hind and fore limb muscle tone and skin sensitivity disorders. On day 3 after surgery, the minipigs exhibited a loss of pain sensitivity in the distal parts of both the anterior (forearm) and posterior (tibia) limbs. In the proximal parts, sensitivity was absent in the anterior limbs (shoulder) but preserved in the posterior limbs (femur). One week after the onset of ischemic stroke, recovery of pain sensitivity was observed in the proximal forelimbs, specifically the shoulder.
On day 3 of the experiment, decreased skeletal muscle tone indices were determined in all limbs of the experimental animals during passive movements: left anterior limb with 4 points, right anterior limb with 2 points, left posterior limb with 4 points, and right posterior limb with 3 points. The changes were more pronounced on the right side, which is contralateral to the injured middle cerebral artery. On day 7 of the experiment, the experimental animals showed recovery of skeletal muscle tone in both the anterior and posterior limbs. Specifically, the anterior left limb showed a recovery of 5 points, the anterior right limb showed a recovery of 3 points, the posterior left limb showed a recovery of 5 points, and the posterior right limb showed a recovery of 4 points.
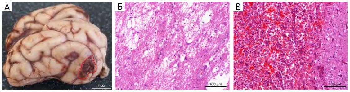
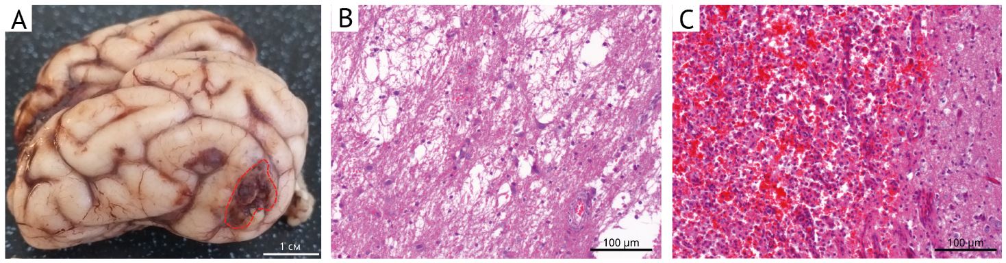
Upon macroscopic examination of the brain, a small-focal ischemic brain infarction was visually identified in the parietal lobe of the left hemisphere (Fig. 1A). The infarcted area measured 1.77 ± 0.97 cm2 (mean ± standard deviation). In addition, a considerable dilation of the vascular lumen was detected in the right hemisphere.
Fig. 1. Minipig brain 7 days after stroke modeling. A, left cerebral hemisphere. The infarct area is delineated by the dashed line. B, histologic section of the cerebral cortex through the focus of the ischemic lesion (hematoxylin and eosin [H&E] staining). C, histologic section of the cerebral cortex through the peri-infarct region (H&E staining)
On day 7 after surgery, histological analysis of frontal sections of the cerebral cortex stained with H&E demonstrated a wedge-shaped lesion. The soft dura mater was depressed and partially destroyed (Fig. 1B). Ischemic damage caused necrotic changes, including areas of pronounced thinning of brain tissue and hemorrhages. Homogeneous eosinophilic accumulations were visualized in the formed cavities.
The infarction region shows varying degrees of thrombosis and angionecrosis, indicating structural and functional changes in the microcirculatory channel. Single preserved neurons exhibits signs of destruction, with some appearing swollen and lacking cellular structures, whereas most are pycnotically changed (Fig. 1B).
The area surrounding the infarct displays reactive tissue changes primarily characterized by mononuclear infiltration. Microcirculatory vessels exhibit numerous small extravasations and newly formed capillaries. Nerve cells appear mostly intact, although a few pycnotic neurons with preserved nuclei and neurites are observed (Fig. 1B).
Contrary to our study, most experimental studies [5, 12] have focused on stroke modeling, which involves the formation of large focal ischemic brain infarcts that cause pronounced functional impairments. In such critical brain injuries, determining how endogenous regenerative potential or therapeutic effects can inhibit the development of negative ischemic consequences and stimulate neuroregeneration is difficult.
Modeling ischemic damage can more accurately evaluate the effectiveness of stroke therapy, which enables partial restoration of brain structure and impaired functions through natural neuroplasticity. Basically, if the volume of brain infarction is smaller, it may be possible to achieve therapeutic effects with drugs by modulating the initial regenerative potential and stimulating the regeneration of neural tissue under these conditions.
The new stroke model with minipigs has the advantage of forming a small-focal infarction of the cerebral cortex, leading to less notable functional impairments compared with the widely used stroke models [5]. Partial recovery of muscle tone and pain sensitivity in animals indicates preservation of regenerative capacity of the brain in these conditions, suggesting the possibility of stimulating neuroregeneration by using neuroprotective and neurotrophic drugs [15, 16].
Preclinical studies showed the efficacy of promising drugs in the minipig stroke model, providing reference for clinical trials of new therapies for ischemic cerebral stroke.
Conclusions
- The minipig stroke modeling method is a two-level approach inducing volume-limited ischemic cerebral infarction in the parietal lobe.
- The developed model can be employed for evaluation of new stroke therapies based on noncritical histologic changes in the peri-infarct area and minor neurologic deficits.
Authors’ contribution. V.A.M., conducting the study; M.E.S. and A.A.I., conducting the study, collecting and analyzing the results; V.V.V., writing and editing the draft article; Z.Z.S., supervisor of the work.
Funding source. The study was financially supported by the Russian Science Foundation grant No. 19-75-10030.
Conflict of interest. The authors declare no conflict of interest on the submitted article.
Acknowledgments. The authors would like to express their gratitude to the Head of the Department of Histology, Cytology, and Embryology, R.R. Islamov, for his assistance in writing the article, as well as to students S.S. Targachev and A.R. Siraeva for their help in conducting the experiments.
About the authors
Vage A. Markosyan
Kazan State Medical University
Email: vage.markosyan@gmail.com
ORCID iD: 0000-0002-3789-0284
Assistant, Depart. of Operative Surgery and Topographic Anatomy
Russian Federation, Kazan, RussiaAndrei A. Izmailov
Kazan State Medical University
Author for correspondence.
Email: andrei.izmaylov@kazangmu.ru
ORCID iD: 0000-0002-8128-4636
SPIN-code: 9629-8511
Scopus Author ID: 7004952364
ResearcherId: R-1143-2017
Cand. Sci. (Med.), Assistant, Depart. of Histology, Cytology and Embryology
Russian Federation, Kazan, RussiaMikhail E. Sokolov
Kazan State Medical University
Email: supermihon@yandex.ru
ORCID iD: 0000-0003-2938-6683
Cand. Sci. (Med.), Assistant, Department of Operative Surgery and Topographic Anatomy
Russian Federation, Kazan, RussiaViktor V. Valiullin
Kazan State Medical University
Email: valiullinvv@yandex.ru
ORCID iD: 0000-0002-6030-6373
D. Sci. (Biol.), Prof., Depart. of Histology, Cytology and Embryology
Russian Federation, Kazan, RussiaZufar Z. Safiullov
Kazan State Medical University
Email: redblackwhite@mail.ru
ORCID iD: 0000-0003-4577-3448
Cand. Sci. (Med.), Assoc. Prof., Depart. of Normal Anatomy
Russian Federation, Kazan, RussiaReferences
- Skvortsova VI, Alekseeva GS, Trifonova NYu. Analysis of medical organizational measures for prevention of strokes and rehabilitation of post-stroke conditions at the present stage. Social aspects of population health. 2013;(1):2. (In Russ.)
- Campbell BCV, De Silva DA, Macleod MR, Coutts SB, Schwamm LH, Davis SM, Donnan GA. Ischaemic stroke. Nat Rev Dis Prim. 2019;5(1):70. doi: 10.1038/s41572-019-0118-8.
- Mendelson SJ, Prabhakaran S. Diagnosis and management of transient ischemic attack and acute ischemic stroke: A review. JAMA. 2021;325(11):1088–1098. doi: 10.1001/jama.2020.26867.
- Barthels D, Das H. Current advances in ischemic stroke research and therapies. Biochim Biophys Acta Mol Basis Dis. 2020;1866(4):165260. doi: 10.1016/j.bbadis.2018.09.012.
- Li Y, Zhang J. Animal models of stroke. Anim Model Exp Med. 2021;4(3):204–219. doi: 10.1002/ame2.12179.
- Sokolov ME, Bashirov FV, Safiullov ZZ. Experimental validation of gene therapy for ischemic stroke. Kazan Medical Journal. 2017;98(5):763–769. (In Russ.) doi: 10.17750/KMJ2017-763.
- Melià-Sorolla M, Castaño C, Degregorio-Rocasolano N, Rodríguez-Esparragoza L, Dávalos A, Martí-Sistac O, Gasull T. Relevance of porcine stroke models to bridge the gap from pre-clinical findings to clinical implementation. Int J Mol Sci. 2020;21(18):6568. doi: 10.3390/ijms21186568.
- Wernersson R, Schierup MH, Jørgensen FG, Gorodkin J, Panitz F, Staerfeldt HH, Christensen OF, Mailund T, Hornshøj H, Klein A, Wang J, Liu B, Hu S, Dong W, Li W, Wong GKS, Yu J, Wang J, Bendixen C, Fredholm M, Brunak S, Yang H, Bolund L. Pigs in sequence space: A 0.66X coverage pig genome survey based on shotgun sequencing. BMC Genomics. 2005;6:70. doi: 10.1186/1471-2164-6-70.
- Dalgaard L. Comparison of minipig, dog, monkey and human drug metabolism and disposition. J Pharmacol Toxicol Methods. 2015;74:80–92. doi: 10.1016/j.vascn.2014.12.005.
- Sakoh M, Røhl L, Gyldensted C, Gjedde A, Ostergaard L. Cerebral blood flow and blood volume measured by magnetic resonance imaging bolus tracking after acute stroke in pigs: Comparison with [(15)O]H(2)O positron emission tomography. Stroke. 2000;31(8):1958–1964. doi: 10.1161/01.str.31.8.1958.
- Imai H, Konno K, Nakamura M, Shimizu T, Kubota C, Seki K, Honda F, Tomizawa S, Tanaka Y, Hata H, Saito N. A new model of focal cerebral ischemia in the miniature pig. J Neurosurg. 2006;104(2):123–132. doi: 10.3171/ped.2006.104.2.123.
- Sommer CJ. Ischemic stroke: Experimental models and reality. Acta Neuropathol. 2017;133(2):245–261. doi: 10.1007/s00401-017-1667-0.
- Graham SM, McCullough LD, Murphy SJ. Animal models of ischemic stroke: Balancing experimental aims and animal care. Comp Med. 2004;54(5):486–496. PMID: 15575362.
- Larson ST, Wilbur J. Muscle weakness in adults: Evaluation and differential diagnosis. Am Fam Physician. 2020;101(2):95–108. PMID: 31939642.
- Paul S, Candelario-Jalil E. Emerging neuroprotective strategies for the treatment of ischemic stroke: An overview of clinical and preclinical studies. Exp Neurol. 2021;335:113518. doi: 10.1016/j.expneurol.2020.113518.
- Sokolov ME, Bashirov FV, Markosyan VA, Povysheva TV, Fadeev FO, Izmailov AA, Kuztetsov MS, Safiullov ZZ, Shmarov MM, Naroditskyi BS, Palotás A, Islamov RR. Triple-gene therapy for stroke: A proof-of-concept in vivo study in rats. Front Pharmacol. 2018;9:111. doi: 10.3389/fphar.2018.00111.
Supplementary files



