Клинический случай развития вторичной катаракты после первичного заднего капсулорексиса
- Авторы: Банцыкина Ю.В.1, Малов И.В.1, Штейнер И.И.2
-
Учреждения:
- Самарский государственный медицинский университет
- Региональный медицинский центр
- Выпуск: Том 103, № 5 (2022)
- Страницы: 851-855
- Раздел: Обмен клиническим опытом
- Статья получена: 27.09.2022
- Статья одобрена: 27.09.2022
- Статья опубликована: 03.10.2022
- URL: https://kazanmedjournal.ru/kazanmedj/article/view/111087
- DOI: https://doi.org/10.17816/KMJ2022-851
- ID: 111087
Цитировать
Полный текст
Аннотация
Формирование заднего непрерывного капсулорексиса во время удаления катаракты традиционно используют для предотвращения помутнения зрительной оси. По данным современной литературы, в случае нашей пациентки закрытие отверстия заднего капсулорексиса не должно было развиться, тем не менее, на одном глазу помутнение сформировалось, несмотря на наличие равных условий — один и тот же опытный хирург, такая же интраокулярная линза (остроконечная гидрофильная акриловая с гидрофобным покрытием), отсутствие сопутствующих заболеваний глаз и соматической патологии. Мы провели поиск литературы с целью выявления причины одностороннего развития данного осложнения, а также оптимального метода лечения. Разница между двумя операциями заключалась в диаметре переднего и заднего капсулорексиса — на правом глазу они были на 0,5–1,0 мм больше, чем на левом, и на левом глазу развилось помутнение, которое потребовало хирургического вмешательства. Эффективным и безопасным способом лечения при данной проблеме служит капсулотомия с использованием витреотома 25 g. Наш клинический случай показывает необходимость дальнейших исследований по этой теме, так как формирование заднего непрерывного капсулорексиса несёт риск интра- и послеоперационных осложнений. Следует рассмотреть больше данных, чтобы снизить вероятность рецидива помутнения в зоне оптической оси.
Полный текст
Introduction
The literature data and clinical experience confirm the effectiveness and sufficient safety of the primary posterior continuous circular capsulorhexis (PPCCC) during cataract removal to prevent posterior capsule opacification (PCO) [1, 2]. In PPCCC, the central portion of the posterior capsule is removed during cataract surgery to prevent equatorial lens epithelial cells migration toward the visual axis [2]. This method is used to avoid the formation of opacities and the need for an YAG-laser capsulotomy [2]. However, this procedure requires a high level of professional training of the ophthalmic surgeon and has a risk of intra- and post-operative complications (hyaloid membrane damage and vitreous prolapse into the anterior chamber, radial capsulorhexis rupture of unplanned size, which increases the risk of decentration and dislocation of the implanted IOL) [3]. There are recommendations for providing the primary posterior capsulorhexis with a transparent posterior capsule in adults: both types of diabetes mellitus, myopia, primary and immature cataract [4] and previous pars plana vitrectomy (PPV) surgery [5]. But the use of this method of preventing posterior capsule opacification is becoming more and more widespread without the above-mentioned indications [3, 6]. However, there are cases of capsulorhexis hole closure and the opacification formation in the optical zone [7].
Case Report
Patient K., female, 67 years old, complained of decreased vision in both eyes. Myopizing nuclear cataract was diagnosed in both eyes. The same experienced cataracts surgeon used similar standard phacoemulsification and PCCC techniques in both eyes. Surgeries were performed with topical 1% inokain plus sub-Tenon's anesthesia. The combination of topical 5% phenylephrine and 0.8% tropicamide was used for preoperative pupil dilatation. A 2.2 mm temporal clear corneal incision was created by use of a 2.2-mm disposable steel knife. Sodium hyaluronate-chondroitin sulfate was injected into the anterior chamber. A 5.0 mm on the right eye and 4.5 mm on the left eye anterior curvilinear capsulorhexis, coaxial phacoemulsification and irrigation/aspiration was performed. After the capsular bag was filled with 1% sodium hyaluronate, a flap was created using a 25-gauge needle at the center of the posterior capsule. A small amount of sodium hyaluronate was injected through the capsular opening to separate the underlying anterior hyaloid surface from the posterior capsule. Then, the edge of the incised capsule was grasped with capsule forceps and the incision was extended peripherally to create a well-centered 4.0 mm on the right eye and 3.0 mm on the left eye PPCCC opening. One-piece intraocular lens (IOL) sharp-edged with the 6 mm optic diameter. The material of the optical part of is a hydrophilic acrylic polymer with a hydrophobic coating, a flat haptic with four fixation points, an angle of 0°, with a rectangular design of the edges of the optics and haptics. Both IOLs were implanted in the capsular bag. The sodium hyaluronate-chondroitin sulfate was aspirated from the anterior chamber and the incisions were self-sealing. The operation and the postoperative period were uneventful. Capsulorhexis sizes were measured on a Huvitz refractometer HRK-7000.
Postoperatively, patient was instructed to instill topical steroid in a decreasing schema and a topical antibiotic five times daily for 5 days.
Achieved UDVA OU=1.0 (20/20), UNVA OU=0.4 (20/50) and CNVA OU=1.0 (20/20). The patient was completely satisfied with her vision at distance and intermediate distances; spectacle correction has been selected for prolonged reading.
After 1.5 years, the patient complained of blurred vision in the left eye.
Medical examination results:
CDVA OD=1.0 (20/20); IOPcc 14.3, IOP g 11.7, scare 8.0;
CDVA OS=0.8 (20/25), IOPcc 15.8, IOP g 12.5, scare 9.0.
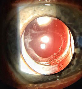
In both eyes: anterior chambers — deep, pupils were round, the IOLs were centered in the capsule bag, the posterior capsulorhexis were round. The right eye: the optical zone was transparent, the left eye: lens epithelial cells were in the optical zone on the posterior surface of the IOL (fig. 1, 2). The fundus of the eye was examined after the instillation of mydriatic. The optic nerve head is pale pink, with clear boundaries. Excavation of the optic nerve disc is widened, deep. According to OCT data the retinal nerve fiber layer (RNFL) and the ganglion cell complex were within normal limits, the macular region was normal.
Fig. 1. Patient's right eye, posterior capsulorhexis, rounded. The optical zone is transparent
Fig. 2. Patient's left eye, posterior capsulorhexis, rounded. Elschnig cells on the back of the IOL
Diagnosis: “Pseudophakia in both eyes. Secondary cataract (visual axis opacification) of the left eye”.
To restore optical transparency and improve visual acuity, surgical intervention was recommended. After obtaining informed consent, the operation was performed — aspiration of the secondary cataract of the left eye using a 25g-vitreotome.
Topical 5% phenylephrine and 0.8 % tropicamide were used for preoperative pupil dilatation. A 2.2 mm temporal clear corneal incision was made by use of a 2.2-mm disposable steel knife. Supply to the anterior chamber via paracentesis, 1 port 25g through the flat portion 3.5 mm from the limbus. The parameters of the vitreosystem operation: infusion into the eye of 25 mm Hg. Cutting speed of the vitractor 2500–5000. Vacuum 500. Supply to the anterior chamber through paracentesis, 1 port 25g through the flat part 3.5 mm from the limbus. The operation was uneventful.
The day after surgery: UDVA OS=1.0 (20/20), complaints about light scattering disappeared.
Objectively: the ocular surface was normal. There are no signs of inflammation in the anterior segment, capsulorhexis is 3.5 mm round, the optical zone is transparent (fig. 3). The fundus of the eye is without dynamics.
Fig. 3. Left eye of patient after surgical aspiration of Elschnig cells
Follow-up of the patient throughout one year demonstrates a stable condition of both eyes, the patient has no complaints, and the optical zone remains transparent.
There are various reasons for development of the visual axis opacity on alternative matrices (the anterior hyaloid membrane or IOL surface) [7–9] after PPCCC: young age of the patient — in children, this variant develops in 57–64% of cases [10], hydrophilic surface of the IOL, on the diameter of the anterior capsulorhexis, anatomical integrity of vitreo-lenticular interface [7, 9, 11, 12].
Depends on the IOL design, edge, material [13].
The incidence of PСO in patients with IOL made of hydrophobic acrylic is approximately 2.5 times less than in patients with IOL made of hydrophilic acrylic [14]. The proliferative type of PСO is more often observed in eyes with hydrophilic acrylic IOL and hydrophilic hydrogel IOL, and the fibrous type — in eyes with hydrophobic acrylic IOL. The reason for this fact is the rigidity and higher adhesion of hydrophobic acrylic to the surface of the posterior capsule, which prevents the movement of residual lens epithelial cells from the periphery to the optical zone. In addition, epithelium migration to the central zone occurs earlier in eyes with hydrophilic IOLs, which means that the PCO will be formed earlier [11]. Lenses with a sharp rectangular edge, regardless of the material (silicone, hydrophobic acrylic, and polymethyl methacrylate), had a lower incidence of PCO [15]. Our patient has the same IOLs in both eyes — one-piece intraocular lens sharp-edged with the 6 mm optic diameter hydrophilic acrylic polymer with a hydrophobic coating.
There are two theories of the value of the diameter of the anterior capsulorhexis. If it is less than the diameter of the IOL, prevention of PCO occurs due to the adhesion of the anterior capsule to the optics and keeping the epithelium from moving to the posterior capsule. If the diameter is larger, then adhesion of the anterior and posterior capsules is formed with the formation of a Sommering ring, which limits the migration of lens epithelial cells into the optical zone [13]. A controlled randomized trial by Haotian Lin et al. investigated the frequency and rate of primary capsulorhexis ring closure as a function of anterior capsulorhexis diameter. Patients were divided into 3 groups by anterior capsulorhexis diameter (group A: 3.0–3.9, group B: 4.0–5.0, and group C: 5.1–6.0 mm), posterior capsulorhexis diameter were 3.0-mm in all the cases. It was found that the smaller the diameter of the capsulorhexis, the faster and more significant the closure of the capsulorhexis opening. Thus, anterior capsulorhexis diameter of 4.0–5.0 mm may provide better capsular results given moderate anterior capsulorhexis constriction and moderate posterior capsulorhexis dilation, and a lower percentage of visual axis opacification [16]. Certain studies have shown that incomplete overlap of capsulorhexis and IOL is the risk factor for early onset PCO [5]. In our patient’s case the difference was in the diameter of the anterior and posterior capsulorhexis — on the right eye they were 0.5–1.0 mm larger than on the left eye, there the opacification has developed.
Optical coherence tomography (OCT) study of patients after phacoemulsification in combination with primary posterior capsulorhexis revealed the dependence: opacities in the optical zone are formed when the anterior hyaloid membrane adheres to the posterior capsule and to the IOL in the area of the PPCCC ring, or when there is a small distance between the anterior hyaloid membrane and the posterior capsule (from 70 to 210 μm). The effectiveness of the primary posterior capsulorhexis increased with the progression of involutional changes in the vitreolenticular interface and the deepening of the retrolental space [7, 12]. Unfortunately, we did not have the opportunity to perform an OCT of the anterior segment of our patient's eyes and we consider it reasonable to use this method of investigation in future studies.
How to treat the patient in this case? It can be managed by YAG-laser or surgical membranectomy, the latter is preferable [9, 10, 17]. Therefore, we used a 25g vitreotome-capsulotomy in this case. Thus, assuming an anterior hyaloid membrane — a matrix for cell migration — a 25g vitreotome-capsulotomy is the optimal surgical treatment as the retrolental space deepens, which creates an additional difficulty for the development of opacification in the optical zone [10].
The described clinical case confirms the possibility of visual axis opacification in one of the two eyes of the same patient in a period of 1 year after surgery, despite the primary posterior capsulorhexis and the presence of equal conditions — the same surgeon, the same IOL (sharp-edged hydrophilic acrylic with hydrophobic coating), the same mode of drops instillation, no inflammation after surgery, no concomitant eye diseases and somatic pathology. The difference was in the diameter of the anterior and posterior capsulorhexis — on the right eye they were 0.5–1.0 mm larger than on the left eye, and the left eye has developed opacity, which required surgery. An effective and safe way of treating this problem is the capsulotomy using a 25 gauge-vitreotome.
Участие авторов. Ю.В.Б. — сбор и анализ результатов, поиск и анализ литературы, оформление и перевод статьи; И.В.М. и И.И.Ш. — проведение обследования и операции, сбор и анализ результатов.
Источник финансирования. Исследование не имело спонсорской поддержки.
Конфликт интересов. Авторы заявляют об отсутствии конфликта интересов по представленной статье.
Об авторах
Юлия Владимировна Банцыкина
Самарский государственный медицинский университет
Автор, ответственный за переписку.
Email: junessa91@mail.ru
ORCID iD: 0000-0003-3524-2328
аспирант, каф. глазных болезней ИПО
Россия, г. Самара, РоссияИгорь Владимирович Малов
Самарский государственный медицинский университет
Email: ivmsamara@gmail.com
ORCID iD: 0000-0003-2874-9585
докт. мед. наук, проф., зав. каф., каф. глазных болезней ИПО
Россия, г. Самара, РоссияИрина Исаевна Штейнер
Региональный медицинский центр
Email: iishte@yandex.ru
ORCID iD: 0000-0001-5891-6255
канд. мед. наук, офтальмолог
Россия, г. Самара, РоссияСписок литературы
- Yu M, Yan D, Wu W, Wang Y, Wu X. Clinical outcomes of primary posterior continuous curvilinear capsulorhexis in postvitrectomy cataract eyes. J Ophthalmol. 2020;2020:6287274. doi: 10.1155/2020/6287274.
- Yazici AT, Bozkurt E, Kara N, Yildirim Y, Demirok A, Yilmaz OF. Long-term results of phacoemulsification combined with primary posterior curvilinear capsulorhexis in adults. Middle East Afr J Ophthalmol. 2012;19(1):115–119. doi: 10.4103/0974-9233.92126.
- Николашин С.И., Яблоков М.М. Первичный задний капсулорексис. Обзор литературы. Вестник Тамбовского университета. Серия: Естественные и технические науки. 2016;(1);194–198. doi: 10.20310/1810-0198-2016-21-1-194-1.
- Ковалевская М.А., Филина Л.А., Кокорев В.Л. Факторы риска развития вторичной катаракты и рекомендации к проведению первичного заднего капсулорексиса. Вестник экспериментальной и клинической хирургии. 2018;11(3):213–217. doi: 10.18499/2070-478X-2018-11-3-213-217.
- Gu X, Chen X, Jin G, Wang L, Zhang E, Wang W, Liu Z, Luo L. Early-onset posterior capsule opacification: Incidence, severity, and risk factors. Ophthalmol Ther. 2022;11(1):113–123. doi: 10.1007/s40123-021-00408-4.
- Yu M, Huang Y, Wang Y, Xiao S, Wu X, Wu W. Three-dimensional assessment of posterior capsule-intraocular lens interaction with and without primary posterior capsulorrhexis: an intraindividual randomized trial. Eye (Lond). 2021;10.1038/s41433-021-01815-4. doi: 10.1038/s41433-021-01815-4.
- Егорова Е.В. Анализ результатов ОКТ-исследования витреолентикулярного интерфейса после хирургии хрусталика с выполнением первичного заднего капсулорексиса. В кн.: Патогенетически ориентированная технология хирургии катаракты при псевдоэксфолиативном синдроме на основе исследования витреолентикулярного интерфейса. Новосибирск: Российская офтальмология онлайн; 2020. с. 135–150.
- Menapace R. Posterior capsulorhexis combined with optic buttonholing: an alternative to standard in-the-bag implantation of sharp-edged intraocular lenses? A critical analysis of 1000 consecutive cases. Graefes Arch Clin Exp Ophthalmol. 2008;246(6):787–801. doi: 10.1007/s00417-008-0779-6.
- Shrestha UD, Shrestha MK. Visual axis opacification in children following paediatric cataract surgery. JNMA J Nepal Med Assoc. 2014;52(196):1024–1030. doi: 10.31729/jnma.2807.
- Торопыгин С.Г., Глушкова Е.В. Вторичные катаракты после внутрикапсульной имплантации интраокулярных линз: факторы риска и пути профилактики (сообщение 3). Российский офтальмологический журнал. 2018;11(2):103–112. doi: 10.21516/2072-0076-2018-11-2-103-112.
- Zhao Y, Yang K, Li J, Huang Y, Zhu S. Comparison of hydrophobic and hydrophilic intraocular lens in preventing posterior capsule opacification after cataract surgery: An updated meta-analysis. Medicine (Baltimore). 2017;96(44):e8301. doi: 10.1097/MD.0000000000008301.
- Егорова Е.В., Дружинин И.Б., Дулидова В.В., Черных В.В. Морфологические особенности проявления вторичной катаракты после факоэмульсификации с первичным задним капсулорексисом. Практическая медицина. 2017;(3):30–34. EDN: ZHIETV.
- Raj SM, Vasavada AR, Johar SR, Vasavada VA, Vasavada VA. Post-operative capsular opacification: a review. Int J Biomed Sci. 2007;3(4):237–250. PMID: 23675049.
- McAvoy J, Beebe DC. Lens epithelium and posterior capsular opacification. Tokyo Heidelberg New York Dordrecht London: Springer; 2014. 424 р. doi: 10.1007/978-4-431-54300-8.
- Nishi Y, Ikeda T, Nishi K, Mimura O. Epidemiological evaluation of YAG capsulotomy incidence for posterior capsule opacification in various intraocular lenses in Japanese eyes. Clin Ophthalmol. 2015;1(9):1613–1617. doi: 10.2147/OPTH.S89966.
- Lin H, Tan X, Lin Z, Chen J, Luo L, Wu X, Long E, Chen W, Liu Y. Capsular outcomes differ with capsulorhexis sizes after pediatric cataract surgery: A randomized controlled trial. Scientific reports. 2015;5:16227. doi: 10.1038/srep16227.
- Menapace R, Schriefl S, Lwowski C, Leydolt C. Impact of primary posterior capsulorhexis on regeneratory after-cataract and YAG laser rates with an acrylic micro-incision intraocular lens with plate haptics: 1-year and 3-year results. Acta Ophthalmol. 2019;97(8):e1130–e1135. doi: 10.1111/aos.14156.
Дополнительные файлы




