Role of reactive inflammations in paraossal, osteal structures and mater spinalis in experimental scoliosis reproduction
- Authors: Grigoriev M.A.1, Yarullin A.H.1, Andryukov A.I.1
-
Affiliations:
- Kazan Medical University
- Issue: Vol 76, No 4 (1995)
- Pages: 335-339
- Section: Theoretical and clinical medicine
- Submitted: 16.03.2022
- Accepted: 16.03.2022
- Published: 15.07.1995
- URL: https://kazanmedjournal.ru/kazanmedj/article/view/104986
- DOI: https://doi.org/10.17816/kazmj104986
- ID: 104986
Cite item
Full Text
Abstract
The one-way suture of the dura mater spinalis' to the lateral portion of yellow ligament is performed for the purpose of the experimental scoliosis production on 14 rabbits aged 1 month after osteoplastic graft laminectomy by the method developed. The stable scoliosis of the III degree is observed in all animals to the end of the fourth month. The primarily one-way direction of the growth of vertebral arches and bodies as well as paravertebral soft tissue structures is due to the complex pathophysiological process caused by the nonadequate response of tensor dorsal muscles and pronounced tension of the body flexors, dura mater spinalis.
Keywords
Full Text
Имеются данные о возможной связи сколиоза с патологией центральной нервной системы [1, 4]. Немногочисленные, но аргументированные исследования роли родовых повреждений спинного мозга в этиологии и патогенезе сколиотической деформации позвоночника у детей и подростков проведены рядом авторов [2, 6, 7]. В пользу неврогенной теории свидетельствуют и наблюдаемые искривления позвоночника, развивающиеся после полиомиелита, нейрофиброматоза мышц спины, сирингомиелии, опухолей мозга.
Впервые экспериментальный нейрогенный сколиоз был получен при перерезке передних рогов спинного мозга у кроликов [8]. В эксперименте путем перерезки дорзальных корешков с одной стороны спинного мозга показана роль нарушения иннервации паравертебральных структур и самого спинного мозга в патогенезе сколиоза [1]. Однако при моделировании сколиоза в основном исходят из патогенеза заболевания без учета этиологических факторов данной деформации позвоночника.
В случае негрубых повреждений спинного мозга и его оболочек при родах на месте кровоизлияний развивается спаечно-оболочечный процесс, который в дальнейшем является причиной развития сколиоза [2]. Описаны случаи [3] спаечного процесса твердой мозговой оболочки со связками позвоночного канала, обнаруженные при операциях транспозиции спинного мозга по поводу неврологических осложнений при кифосколиозах. Было неясно, являлась ли эта патология следствием деформации позвоночного канала в виде вторичного спаечного процесса или же она существовали еще до искривления позвоночника, играя этиологическую роль последнего. В данном случае можно допустить возможность реактивных воспалительных осложнений со стороны твердой мозговой оболочки и эпидуральных структур при гнойно-септических заболеваниях органов грудной и брюшной полости в раннем постнатальном периоде или даже при внутриутробном инфицировании плода, а также при перинатальных эписубдуральных, внутримозговых микро- и макрогеморрагиях, которые в последующем могли обусловить развитие спаечного процесса. Известно, что при инфекционных заболеваниях, пневмониях, кишечных инфекциях наблюдается вторичное поражение центральной нервной системы: асептические или токсические цереброспинальные менингиты и энцефаломиелиты, полиневриты, заканчивающиеся продуктивным воспалением эпидуральных структур и оболочек спинного мозга с образованием рубцово-спаечных и кистозных наслоений [5]. Последние, в свою очередь, нарушают гемо- и ликвородинамику, иннервацию спинного мозга, вовлекая в патологический процесс баро- и тензорецепторы [3]. При этом, надо полагать, теряется статогравитационный контроль равновесия спинного мозга на ограниченном его сегменте, в пределах 2—3 позвонков. В последующем возникает ограниченный нейродистрофический процесс в вертебральных и паравертебральных структурах с детерминантным очагом возбуждения в спинном мозге с включением в патогенетическую цепь аутоиммунного механизма и нарушением метаболизма соединительной ткани, приводящим к фиброзированию последних.
С целью раскрытия возможной роли воспалительных реакций в параоссальных тканях, производных позвонков — дужек и поперечных отростков, эпидуральных структур и оболочек спинного мозга в возникновении сколиоза мы провели моделирование экспериментального сколиоза путем хирургического вмешательства на указанных выше структурах без повреждения спинномозговых корешков и самого спинного мозга. В доступной литературе мы не нашли аналогичного подхода к решаемой проблеме. Эксперименты проведены на 14 кроликах месячного возраста со сроками наблюдения 1, 5, 3 и 4 месяца. Интраперитонеально вводили 50 мг тиопентала на 1 кг массы животного в два приема с интервалом 5—6 минут, во время которого производили стрижку и дезинфекцию операционного поля. В положении кролика на животе делали разрез кожи по проекции линии остистых отростков на протяжении 5 см на любом желаемом уровне грудного отдела позвоночника. Паравертебральные мышцы отделяли от остистых отростков, обнажали дужки в пределах трех позвонков и мягкие ткани оттягивали за суставные отростки с обеих сторон. Для облегчения манипуляций в ране использовали бинокулярную лупу и набор инструментов для глазных операций.
Со стороны предполагаемого вмешательства, медиальнее суставных отростков, пересекали по специальному желобоватому зонду в продольном направлении дужки двух смежных позвонков и связки поперечного канала. Продольный разрез у верхнего и нижнего угла соединяли с поперечным, который проходил между дужками до суставных отростков противоположной стороны. Остистые отростки пересекали попутно в поперечном направлении, перпендикулярно оси позвоночника. Образовавшийся костно-связочно-хрящевой лоскут отводили в противоположную сторону. Твердую мозговую оболочку одним швом (супрамит) соединяли с остатками желтой связки у края долеченных дужек, позади корешков спинного мозга (рис. 1). Отведенный лоскут укладывали на свое место. Операционную рану закрывали послойным ушиванием мягких тканей, предварительно инфильтрируя рану раствором 500000 Ед. пенициллина. На кожную рану наносили бриллиантовую зелень с коллодием и подкожно вводили 50 мл физиологического раствора. В контрольной группе (3 кролика) произведены такие же манипуляции, за исключением сшивания твердой мозговой оболочки с остатками желтой связки.
Рис. 1. Костно-пластическая лоскутная ляминэктомия с односторонним прошиванием твердой мозговой оболочки к боковой порции желтой связки
Всех животных опытной и контрольной серий экспериментов содержали в одинаковых условиях. За подопытными животными проводили наблюдения с составлением рентгенографической и фотографической документации. Рентгеновские исследования выполняли в начале эксперимента и на 7-й день после операции, а также через 1,5, 3 и 4 месяца. Экспозицию снимков проводили в заднепередней проекции в положении животных на животе в спокойном состоянии. Степень отклонения позвоночника определяли по методу Кобба, а степень тяжести — по классификации В. Д. Чаплина. Животных умерщвляли путем введения тиопентала натрия интерперитонеально в дозировке 100 мг на 1 кг массы в сроки через 1, 5, 3 и 4 месяца. Осматривали и фотографировали участок оперативного вмешательства твердой мозговой оболочки.
Непосредственно после выведения из наркоза у 3 животных подопытной группы обнаружены гемиплегия задней конечности со стороны оперативного вмешательства, диаррея и недержание мочи. Явления гемиплегии и тазовых расстройств исчезли через 5—6 дней. Отмеченные нарушения мы связываем с локальной гипоксией спинного мозга со стороны вмешательства вследствие поперечного натяжения твердой мозговой оболочки из-за сравнительно большого захвата ее стенки в шов. Животные в течение первых 10 дней были сравнительно малоподвижными, лежали свернутыми как бы в боковое полукольцо, вогнутостью со стороны оперативного вмешательства. У остальных животных гемиплегия и тазовые расстройства не наблюдались. Функциональное искривление с вогнутостью в сторону оперативного вмешательства имело место в течение 5—6 дней, которое мы объясняем рефлекторным антальгическим сокращением паравертебральной мускулатуры на оперированной стороне. В контрольной группе подобной деформации позвоночника не отмечалось.
В подопытной группе через 1,5 месяца по мере роста животного образовалось С-образное боковое искривление с вершиной на уровне оперативного вмешательства, направленной в здоровую сторону. Средняя величина искривления составляла от 15 до 17° у всех подопытных животных без исключения (рис. 2). Через 3 месяца имело место дальнейшее прогрессирование бокового искривления до 26—28°. Регрессии ни в одном случае не произошло.
На макропрепаратах обнаружены костная мозоль вместо ранее пересеченных дужек и незначительная клиновидная деформация тел позвонков на вершине искривления.
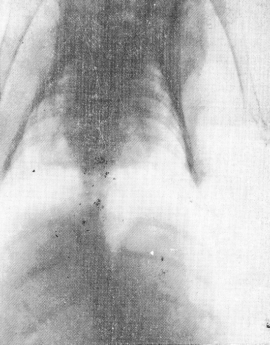
Через 4 месяца на спондилограммах было определено сравнительно медленное дальнейшее увеличение угла искривления (до 30—32°) вследствие замедления темпа роста животного (рис. 3). Прослеживались торсия и клиновидная деформация тел позвонков на вершине искривления, сужение межреберных промежутков с вогнутой стороны.
При макроскопическом исследовании умерщвленных животных установлено фиксирование торсионно-бокового искривления позвоночника. Пульпозное ядро несколько сместилось в выпуклую сторону.
Во всех группах независимо от возраста животных обнаружены однотипные ограниченные, локальные макроскопические изменения твердой мозговой оболочки, которая была интимно спаяна с желтой связкой с одной стороны, мягкой мозговой оболочкой с вовлечением зубчатых связок — с другой. После отделения от спаек на твердой мозговой оболочке оставалось выпячивание пуговчатой формы в результате уплотнения ее стенки. Спинномозговые корешки были вовлечены в спаечный процесс на протяжении двух сегментов и натянуты.
Рис. 2. Спондилография грудного отдела позвоночника через 1,5 месяца после операции. С-образный сколиоз I степени
Рис. 3. Спондилография грудного отдела позвоночника через 4 месяца. С-образный сколиоз III степени
Таким образом, к концу 4-го месяца в экспериментах на растущих кроликах нами получена этиологическая модель структурного, медленно прогрессирующего С-образного сколиоза III степени.
About the authors
M. A. Grigoriev
Kazan Medical University
Author for correspondence.
Email: info@eco-vector.com
Department of Hygiene for Children and Adolescents of the Faculty of Preventive Medicine and General Hygiene of the Faculty of Pediatrics
Russian Federation, KazanA. H. Yarullin
Kazan Medical University
Email: info@eco-vector.com
Department of Hygiene for Children and Adolescents of the Faculty of Preventive Medicine and General Hygiene of the Faculty of Pediatrics
Russian Federation, KazanA. I. Andryukov
Kazan Medical University
Email: info@eco-vector.com
Department of Hygiene for Children and Adolescents of the Faculty of Preventive Medicine and General Hygiene of the Faculty of Pediatrics
Russian Federation, KazanReferences
Supplementary files


