К вопросу о возможностях рентгеновской компьютерной томографии в диагностике эндофитных опухолей желудка
- Авторы: Горшков А.Н.1, Акберов Р.Ф.1
-
Учреждения:
- Казанская государственная медицинская академия последипломного образования
- Выпуск: Том 77, № 4 (1996)
- Страницы: 273-275
- Раздел: Теоретическая и клиническая медицина
- Статья получена: 06.03.2022
- Статья одобрена: 06.03.2022
- Статья опубликована: 15.08.1996
- URL: https://kazanmedjournal.ru/kazanmedj/article/view/104519
- DOI: https://doi.org/10.17816/kazmj104519
- ID: 104519
Цитировать
Полный текст
Аннотация
На примере обследований 100 пациентов с заболеваниями желудка рассмотрены возможности рентгеновской компьютерной томографии в диагностике эндофитных опухолей желудка, в том числе опухолей малых размеров. Представлена компьютерно-томографическая семиотика малых эндофитных опухолей желудка, место компьютерной томографии в диагностике опухолей желудка, а также ее потенциальные возможности в выявлении малых опухолей желудка с преимущественно эндофитным распространением.
Ключевые слова
Полный текст
Успехи практической онкологии определяются ранним выявлением злокачественных новообразований у первично обследованных больных. Рост этого показателя оказывает существенный эффект на результаты лечения [4]. Однако большинство опухолей желудка обнаруживают уже в запущенных стадиях, когда возможность радикального оперативного вмешательства сомнительна. Неблагоприятные результаты лечения рака желудка связаны прежде всего с его поздней диагностикой [7].
По мнению специалистов [6, 9], главенствующую роль среди всех анатомических форм рака желудка играют эндофитно растущие опухоли, диагностика которых наиболее трудна даже в запущенных случаях и стадиях развития неопластического процесса. Неудовлетворительные результаты ранней диагностики рака желудка стимулировали разработку и внедрение рентгеновской компьютерной томографии (КТ) в клиническую практику. Обладая большим диагностическим потенциалом в распознавании заболеваний паренхиматозных органов, КТ начинает занимать прочные позиции и в гастроонкологии. Большинство исследователей определяют место компьютерной томографии в уточнении распространенности опухолевого процесса [5]. Эндофитно растущие злокачественные опухоли, как известно, вызывают изменения толщины стенки желудка в месте ракового поражения [3]. Толщина стенки желудка в КТ-изображении, по данным большинства специалистов, не превышает 5 мм, за исключением пищеводно-желудочного перехода и препилорического отдела [1, 2, 10]. Признаками рака желудка в более поздних стадиях являлись неравномерное утолщение стенки желудка с неровным внутренним контуром, ее ригидность, возникновение дополнительных образований, локализующихся в просвете желудка или экстрамурально [1—3]. Ранний рак желудка, при котором поражались слизистая оболочка и подслизистый слой, на КТ выявить не удавалось [1].
Данное исследование проведено с целью оценки возможностей рентгеновской компьютерной томографии в диагностике эндофитно растущих опухолей желудка, в том числе и небольших размеров. Анализируемый материал включал более 500 компьютерно-томографических исследований органов брюшной полости, в том числе желудка, у 100 больных с различной патологией. В эту группу вошли 16 больных с эндофитной формой рака желудка, 11 — с так называемой “малой” формой рака. КТ проводили на аппарате “COMATOM АРС” фирмы “Siemens”.
Исследование выполняли натощак, в положении больного на спине (если подозревали опухоль в теле и антральном отделе желудка) или на животе (если подозревали объемный процесс в кардиальном и субкардиальном отделах желудка). Роль контрастной среды выполнял воздух. КТ проводили строго целенаправленно на определенном сегменте после рентгено-эндоскопических исследований с биопсией. Толщина среза не превышала, как правило, 5 мм и составляла в среднем 3 мм. Полученные результаты были верифицированы данными морфологического изучения гастробиоптатов и в ходе оперативных вмешательств.
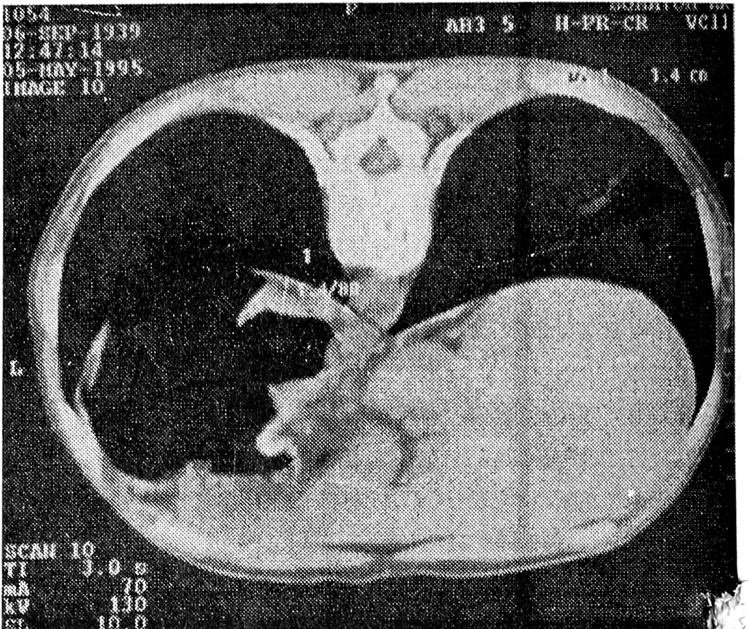
Исследование показало, что основным КТ-признаком эндофитного рака желудка можно считать утолщение его стенки в месте опухолевого поражения до 1 см и более (рис. 1). При опухолях небольших размеров (до 4-5 см) это утолщение носило локальный, ограниченный характер. Распространения процесса за пределы стенки желудка на соседние структуры не наблюдалось. Контур поражения был ровный, эластичность стенки нарушалась незначительно (рис. 2, 3). Отчетливую границу между пораженным участком и неизмененной стенкой желудка провести было трудно. При КТ-диагностике сравнительно небольших по размерам эндофитных опухолей желудка (вызывающих затруднения как при классическом рентгенологическом, так и при эндоскопическом исследованиях) необходимым условием являлась сравнительная оценка толщины стенки желудка на ограниченных участках с соседними неизмененными участками. Даже незначительное утолщение ограниченного участка стенки (до 7-8 см) при наличии других рентгено-эндоскопических признаков эндофитного поражения являлось дополнительным критерием, подтверждавшим эндофитный рак желудка. К достоинствам КТ необходимо отнести возможность обнаружения в процессе исследования гионарных и отдаленных метастазов, которые встречались достаточно часто даже при небольших по размерам опухолях желудка.
Рис. 1. КТ желудка больной С., 59 лет. Эндофитный рак кардиального и субкардиального отделов желудка. Определяются утолщение стенок кардиального и субкардиального отделов желудка до 1,4 см, некоторая неровность внутреннего контура.
Рис. 2. КТ желудка больной М., 70 лет. Небольшой эндофитный рак антрально-препилорического отдела желудка. Определяется утолщение стенок этого отдела желудка до 1,4 см с довольно ровными контурами.
Рис. 3. КТ желудка больной К., 29 лет. Небольшой эндофитный рак препилорического отдела. Определяется ограниченное утолщение задней стенки препилорического отдела желудка до 1,0 см.
Таким образом, подтверждена высокая эффективность рентгеновской компьютерной томографии в диагностике опухолей с преимущественным эндофитным распространением процесса, в том числе небольших размеров. Компьютерную томографию необходимо широко использовать в клинической практике при диагностике заболеваний желудка, особенно при подозрении на неопластический процесс, распространяющийся по стенке желудка.
Об авторах
А. Н. Горшков
Казанская государственная медицинская академия последипломного образования
Автор, ответственный за переписку.
Email: info@eco-vector.com
Россия, Казань
Р. Ф. Акберов
Казанская государственная медицинская академия последипломного образования
Email: info@eco-vector.com
Россия, Казань
Список литературы
- Момот Н.В., Поляк Е.З. и др.// Вестн. рентгенол. — 1992. — № 3. — С. 34—39.
- Портной Л.М., Дибиров М.П. Лучевая диуретика эндофитного рака желудка. — М., 1993.
- Портной Л.М. и др.//Вестн. рентгенол. — 1994. — № 6. — С. 10—14.
- Чиссов В. И., Старинский В. В., Борисов В.И.// Клин. мед. — 1992. — № 5. — С. 9—12.
- Angelleli G., Brindicei P., Macarini L.// Radiol. Med. — 1991. — Vol. 81. — P. 83—89.
- Aranha G.V. et al.// Surgery. — 1989. — Vol. 106. — P. 758—763.
- Elias E. G.//Md. Med. J. — 1991. — Vol 40 — P. 1099—1100.
- Komaki S.// Gastrointest. Radiol. — 1983 — Vol. 8. — P. 303—313.
- oohara T., Aono G. et al// Cancer. — 1984 — Vol. 53. — P. 162—165.
- Pradel I., Bruel I., et al.// Feuil. Radiol — 1988. — Vol. 28. — P. 309—316.
Дополнительные файлы





