Анализ собственных наблюдений летальных исходов висцерального сифилиса
- Авторы: Надеев А.П.1, Кривошеев А.Б.1, Пахомова А.Е.1, Травин М.А.1, Пахомова Е.Е.1
-
Учреждения:
- Новосибирский государственный медицинский университет
- Выпуск: Том 103, № 2 (2022)
- Страницы: 302-308
- Раздел: Обмен клиническим опытом
- Статья получена: 27.01.2022
- Статья одобрена: 14.02.2022
- Статья опубликована: 12.04.2022
- URL: https://kazanmedjournal.ru/kazanmedj/article/view/99545
- DOI: https://doi.org/10.17816/KMJ2022-302
- ID: 99545
Цитировать
Аннотация
Эпидемиологическая ситуация по заболеваемости сифилисом в современном мире характеризуется как «скрытая» эпидемия, которая проявляется в скрытых и поздних формах заболевания. Несмотря на общую тенденцию к снижению заболеваемости сифилисом, во многих регионах России существуют некоторые особенности. Летальные исходы при висцеральном сифилисе в настоящее время встречаются редко. В статье представлены данные об эпидемиологии, нозологических формах висцерального сифилиса, дано описание двух летальных исходов. В наблюдениях поздний сифилис характеризовался поражением нескольких органов (печени, лёгких, сердца, головного мозга), но при этом ведущие клинические проявления относились к нейросифилису (сифилитический менингоэнцефалит) и кардиоваскулярному сифилису (сифилитический мезаортит, интерстициальный миокардит). Поражения органов дыхания и пищеварения (желудка, печени) относятся к редким формам висцерального сифилиса. В представленных наблюдениях были выявлены гуммы в лёгких и печени, которые клинически не были диагностированы. Во всех наблюдениях диагноз висцерального сифилиса был установлен при патологоанатомическом вскрытии на основании характерной морфологической картины (обнаружения гумм) и положительных результатов реакции Вассермана.
Ключевые слова
Полный текст
Введение
Эпидемиологическая ситуация по заболеваемости сифилисом в современном мире характеризуется как «скрытая» эпидемия, которая проявляется в скрытых и поздних формах заболевания [1]. По срокам от момента заражения сифилис условно разделяют на ранние (до 2 лет с момента заражения) и поздние (более 2 лет с момента заражения) формы [1].
В последние несколько лет, несмотря на предшествующее десятилетие стабильного спада, сифилис вновь появился в США со вспышками по всей стране [2]. Распространённость сифилиса различается в зависимости от этнических групп и гендерных особенностей. Так, среди гомо- и бисексуальных мужчин распространённость первичного и вторичного сифилиса на всей территории США составила 228,8 на 100 тыс. в 2013 г., среди женщин заболевание встречалось гораздо реже (0,9 на 100 тыс. в 2013 г.) и отдельными вспышками [2]. В некоторых странах Африки заболеваемость сифилисом достигала до 2300 случаев на 100 тыс. населения [3]. В 2016 г. на Украине заболеваемость сифилисом составила 3200 случаев (7,6 на 100 тыс. населения) [4].
В 90-х годах XX века Россия пережила эпидемию, с последствиями которой мы сталкиваемся до сих пор. Заболеваемость сифилисом населения в Российской Федерации в 2017 г. составила 19,5 случая на 100 тыс. населения, что в 14 раз меньше аналогичного показателя в 1997 г. [5].
Тем не менее, несмотря на общую тенденцию к снижению заболеваемости сифилисом, во многих регионах России существуют некоторые особенности [6–8]. Так, в Московской области за период 2010–2017 гг. заболеваемость сифилисом населения региона увеличилась, при этом происходит рост заболеваемости бессимптомным нейросифилисом [9]. В Дагестане низкие показатели заболеваемости сифилисом населения (4,5 на 100 тыс. населения) сопровождаются увеличением частоты позднего скрытого сифилиса [5].
В г. Новосибирске с 2013 по 2017 г. отмечена тенденция к снижению выявления новых случаев сифилиса: показатель заболеваемости в 2013 г. составил 28,2 случая на 100 тыс. населения, в 2017 г. — 20,2 случая на 100 тыс. За этот же период наблюдения (2013–2017 гг.) отмечена стойкая тенденция к снижению доли ранних форм сифилиса (70,2% в 2013 г.; 44,4% в 2017 г.) и нарастанию доли поздних форм сифилиса (6,7% в 2013 г. и 8,3% в 2017 г.) и скрытого неуточнённого сифилиса (23,1% в 2013 г. и 47,3% в 2017 г.). В структуре поздних форм сифилиса в 2013–2017 гг. преобладал поздний скрытый сифилис (55–76%), на втором месте — нейросифилис (20–42% всех поздних форм сифилиса), который чаще всего выявляли в возрастной группе 40 лет и старше [10].
Третичный сифилис развивается у немногих больных, которые недостаточно или совсем не лечились по поводу сифилиса [1, 10]. Обычно третичный сифилис начинается через 4–5 лет, однако в последние десятилетия он чаще проявляется через 8–10 лет, а иногда и через десятки лет после заражения. Развитию третичного сифилиса способствуют старческий и детский возраст, травмы (физические, психические, медикаментозные), хронические заболевания и интоксикации, алкоголизм [1].
При сифилисе могут развиваться поражения любых внутренних органов и систем больного (сердца и сосудов, желудка, лёгких, печени, почек, эндокринных желёз и др.), они формируются на любой стадии заболевания, не имеют специфических клинических проявлений и полностью могут разрешаться при проведении специфической терапии на ранних стадиях заболевания [3, 4, 11–13].
При ранних формах сифилиса чаще всего появляются функциональные расстройства поражённых органов. В патологический процесс преимущественно вовлекается сердце (ранний кардиоваскулярный сифилис). Формирование специфических поражений нервной и сердечно-сосудистой систем более характерно для позднего сифилиса, при котором происходят деструктивные и воспалительные изменения внутренних органов [1, 11, 14].
Таким образом, мониторинг эпидемиологической ситуации по сифилису в России и мире остаётся актуальной проблемой современной медицины.
Поскольку летальные случаи при висцеральном сифилисе возникают редко, приводим собственные наблюдения двух летальных исходов за последние 10 лет.
Первое наблюдение
Пациент 54 лет поступил в тяжёлом состоянии с клинической картиной заболевания центральной нервной системы неясной этиологии. Было проведено обследование, по результатам которого выявлена положительная реакция Вассермана (RW+++), в связи с чем был заподозрен нейросифилис. У пациента обнаружено увеличенное артериальное давление — 150/90 мм рт.ст. Количество лейкоцитов составило 13,3×109/л. Несмотря на начатое лечение, при нарастающих явлениях сердечной и дыхательной деятельности больной скончался.
Заключительный клинический диагноз: «Основное заболевание: острая токсическая (вероятно, эндогенная) энцефалопатия в сочетании с нейросифилисом, сифилитическим васкулитом. Осложнения основного заболевания: отёк, дислокация головного мозга; острая сердечно-сосудистая, дыхательная недостаточность. Сопутствующий диагноз: артериальная гипертензия».
При патологоанатомическом исследовании головной мозг массой 1260 г, дряблый, борозды его сглажены, извилины уплощены. Мягкие оболочки влажные, полнокровные, местами тусклые, спаяны между собой. Серое вещество и белое вещество разграничены, с полнокровными сосудами, местами рисунок мозга несколько стёрт. Эпендима боковых желудочков влажная, очагово тусклая. Сосуды основания мозга плотные, зияют на разрезе, в их интиме атеросклеротические бляшки в значительном количестве. На основании головного мозга — циркулярное вдавление от краёв большого затылочного отверстия. При гистологическом исследовании в мягкой мозговой оболочке полнокровие, воспалительная лимфоплазмоцитарная инфильтрация; в веществе головного мозга периваскулярные инфильтраты из лимфоцитов, макрофагов, плазмоцитов, периваскулярный и перицеллюлярный отёк.
Сердце массой 490 г, увеличено, эластично-дряблой консистенции, полости его расширены, содержат сгустки крови, толщина стенок левого желудочка 2,1 см, правого — 0,7 см. Миокард бурый, тусклый, с белесоватыми прослойками и рубчиками. Клапаны тонкие, белесоватые, гладкие. Коронарные артерии извиты, плотные, в их интиме в умеренном количестве атеросклеротические бляшки. При гистологическом исследовании полнокровие, в интерстиции очаговая лимфоплазмоцитарная инфильтрация, склероз.
Печень массой 1740 г, дряблой консистенции, пёстрая, буро-желтоватая. В левой доле печени обнаружен очаг 3,5 см, в капсуле толщиной 1,0–1,5 см, содержимое белесоватого цвета, тягучей консистенции. В остальных отделах печени подобных очагов не обнаружено. При гистологическом исследовании вакуольная дистрофия части гепатоцитов. Очаг имеет строение гуммы — очаг казеозного некроза, капсула вокруг некроза представлена плотной волокнистой соединительной тканью, инфильтрированной лимфоцитами, макрофагами, большим количеством плазмоцитов.
На основании данных макро- и микроскопического исследования с учётом клинико-лабораторных данных сформулирован патологоанатомический диагноз: «Основное заболевание. А52.1. Сифилис третичный: сифилитический менингоэнцефалит, сифилитический интерстициальный миокардит, гумма печени. Осложнения основного заболевания. Очаговая сливная двусторонняя абсцедирующая пневмония. Венозное полнокровие и дистрофические изменения внутренних органов. Отёк лёгких. Отёк и дислокация головного мозга. Сопутствующие заболевания. Хроническая ишемическая болезнь сердца (ИБС)».
У пациента 54 лет, страдавшего третичным сифилисом, была висцерально-энцефалитная форма с поражением сердца, печени и головного мозга. Течение заболевания осложнилось двусторонней абсцедирующей пневмонией, прогрессирующим отёком головного мозга вплоть до дислокации и вклинения стволовой части в большое затылочное отверстие.
Второе наблюдение
Мужчина 61 года находился на диспансерном учёте «Д» у кардиолога с диагнозом «ИБС, стенокардия напряжения II, хроническая сердечная недостаточность I». В апреле 2020 г. проходил обследование и лечение в терапевтическом отделении по поводу выявленной аневризмы восходящего отдела аорты, в июне 2020 г. дополнительно обследован в центральной районной больнице. Выявлен поздний сифилис, кардиоваскулярная форма. Пациент также страдал хронической обструктивной болезнью лёгких 2-й степени, эмфиземой, пневмосклерозом. Длительное время курил, злоупотреблял алкоголем. Значительно похудел в течение полугода. По поводу аневризмы аорты проведена ангиография, пациент консультирован сосудистым хирургом. В августе пациент скончался дома.
Заключительный клинический диагноз: «Основное заболевание: поздний сифилис, кардиоваскулярная форма, аневризма восходящего отдела аорты. Осложнения: разрыв восходящего отдела аорты; острая кровопотеря; отёк лёгких. Сопутствующие заболевания: хроническая обструктивная болезнь лёгких II; эмфизема лёгких, пневмосклероз; ИБС, атеросклеротический кардиосклероз».
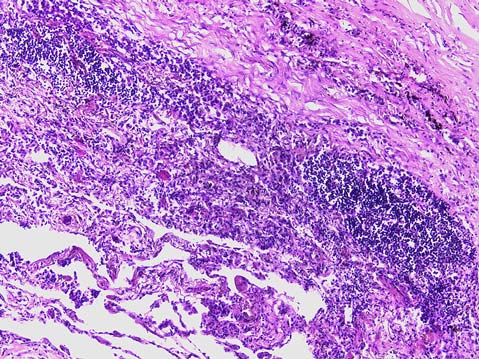
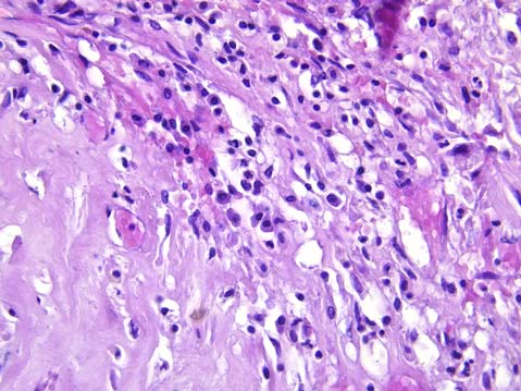
При патологоанатомическом вскрытии в левой плевральной полости около 1200,0 мл тёмно-красной крови, в виде сгустков и в жидком состоянии. Лёгкие тестоватой консистенции на всём протяжении, на разрезах лёгкие светло-красного цвета, с поверхностей разрезов при сдавливании стекает значительное количество пенистой жидкости. В правом лёгком в верхней доле находится очаг уплотнения диаметром до 5 см, белесоватого цвета. При гистологическом исследовании выявлена гумма, представленная очагом казеозного некроза с периферической диффузной и очаговой воспалительной инфильтрацией преимущественно из плазмоцитов, макрофагов, лимфоцитов, склерозом, признаками эндоартериитов (рис. 1, 2).
Рис. 1. Гумма в лёгком: очаг казеозного некроза, окружённый валом из воспалительных клеток. Окраска гематоксилином и эозином. Увеличение ×50
Рис. 2. Гумма в лёгком: вокруг очага казеозного некроза воспалительный инфильтрат из лимфоцитов, макрофагов, плазмоцитов, эндоартериит. Окраска гематоксилином и эозином. Увеличение ×200
Сердце дряблой консистенции. Толщина стенки левого желудочка сердца 1,8 см, правого — 0,4 см. Полости сердца пустые. Миокард на разрезах однотонного тёмного, буровато-красноватого цвета. Клапаны сосудов сердца полупрозрачные, тонкие. На внутренней поверхности венечных артерий видны единичные атеросклеротические бляшки, выступающие в просветы артерий и суживающие его местами до 1/3 диаметра сосудов. На внутренней поверхности аорты видны многочисленные атеросклеротические бляшки. В грудном отделе аорты от уровня нисходящего отдела дуги и книзу расширение аорты (аневризма) размером 9×6 см, стенка на этом уровне истончена до 0,1–0,2 см. По заднелевой поверхности аневризмы обнаружен разрыв на всю толщину стенки на протяжении 2,0 см, края разрыва неровные, в окружности разрыва стенка разволокнена на ширину до 2–2,5 см, в окружающих мягких тканях кровоизлияния тёмно-красного цвета.
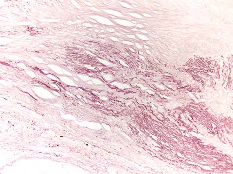
При гистологическом исследовании обнаружена в средней оболочке аорты диффузная и очаговая воспалительная инфильтрация преимущественно из плазмоцитов, макрофагов, лимфоцитов, склероз (~~~~~~~~~рис. 3); при окраске резорцин-фуксином — очаги разрушенных эластических волокон (рис. 4).
Рис. 3. Сифилитический мезаортит: разрушение эластических волокон в средней оболочке аорты. Окраска резорцин-фуксином Вейгерта. Увеличение ×100
Рис. 4. Сифилитический мезаортит. Гуммозный инфильтрат в средней оболочке аорты: клеточный состав инфильтрата представлен плазмоцитами, макрофагами, лимфоцитами. Окраска гематоксилином и эозином. Увеличение ×400
Патологоанатомический диагноз: «Основное заболевание. A52.0+I71.0. Висцеральный сифилис: сифилитический мезаортит; гумма правого лёгкого. Осложнения. Мешковидная аневризма грудной части аорты с разрывом стенки. Массивное кровотечение. Левосторонний гемоторакс. Геморрагический шок».
Обсуждение
Ведущее место при поражении органов при сифилисе занимает нейросифилис. Термин «нейросифилис» относится к инфекции, затрагивающей центральную нервную систему. Он может возникнуть в любое время после заражения. До появления антибиотиков нейросифилис был распространён и встречался у 25–35% больных сифилисом. Теперь он чаще встречается у пациентов с инфекцией, вызванной вирусом иммунодефицита человека, особенно у тех, кто не лечится, имеет низкое количество CD4+ [15].
Поражения сердечно-сосудистой системы при сифилисе весьма вариабельны: чаще всего развиваются специфические поражения аорты (мезаортит), недостаточность аортальных клапанов, аневризма аорты, миокардит, гуммозные эндо- и перикардиты [3, 15]. Частота регистрации кардиоваскулярного сифилиса варьирует в широких пределах. Возможно, это связано с тем, что лишь у 10% больных сифилисом такие поражения диагностируют при жизни. В 2014–2015 гг. в Москве и Московской области специфическое поражение аортального клапана было диагностировано у 91 больного: в Москве — у 14 пациентов (9 мужчин и 5 женщин), в Московской области — у 77 пациентов (55 мужчин и 22 женщин). Среди больных преобладали мужчины в соотношении 2,4:1. Возраст больных на момент установления диагноза находился в широком диапазоне — от 34 до 79 лет (средний возраст 52,8 года) [16].
По статистическим данным Областного кожно-венерологического диспансера г. Новосибирска за период с 2013 по 2016 г. было зарегистрировано всего 2 случая кардиовисцерального сифилиса [10].
В работе F. Drago и соавт. (2018) было собрано 44 статьи за последние 6 лет о 66 пациентах с кардиоваскулярным сифилисом. Аневризма аорты была наиболее частым поражением, обнаруженным у 71% пациентов. Веретенообразные или мешковидные аневризмы часто возникали в грудном отделе аорты, в основном локализовались на его восходящем сегменте. Вторым по частоте осложнением была клапанная недостаточность аорты, отмеченная у 47% пациентов. Стеноз устья коронарных артерий и расширение корня аорты встречались реже [14].
Поражения органов дыхания и пищеварения (желудка, печени) относятся к редким формам висцерального сифилиса [11]. В нашем наблюдении были выявлены гуммы в лёгких и печени, которые клинически не были диагностированы.
Таким образом, в двух наблюдениях поздний сифилис у мужчин характеризовался поражением нескольких органов, но при этом ведущие клинические проявления относились к нейросифилису и кардиоваскулярному сифилису. Диагноз висцерального сифилиса был установлен только при проведении патологоанатомического вскрытия.
Заключение
Несмотря на тенденцию к снижению заболеваемости сифилисом в Российской Федерации, заболеваемость поздним сифилисом, характеризующимся поражением внутренних органов, прежде всего центральной нервной и сердечно-сосудистой систем, не только не снижается, но и в ряде регионов возрастает. Клиническая картина при висцеральном сифилисе носит неспецифический характер и нередко имитирует другие заболевания (отсюда название сифилиса — «великий подражатель»). Диагноз висцерального сифилиса при летальном исходе в обоих представленных случаях был установлен при патологоанатомическом вскрытии на основании характерной морфологической картины и положительных результатов исследования RW.
Участие авторов. А.П.Н. — концепция и дизайн исследования, сбор и обработка материала, статистическая обработка данных, написание текста, редактирование; А.Б.К. — концепция и дизайн исследования, сбор и обработка материала, написание текста; А.Е.П., М.А.Т. и Е.Е.П. — сбор и обработка материала.
Источник финансирования. Исследование не имело спонсорской поддержки.
Конфликт интересов. Авторы заявляют об отсутствии конфликта интересов по представленной статье.
Об авторах
Александр Петрович Надеев
Новосибирский государственный медицинский университет
Автор, ответственный за переписку.
Email: nadeevngma@mail.ru
ORCID iD: 0000-0001-9428-2835
докт. мед. наук, проф., зав. каф., каф. патологической анатомии
Россия, г. Новосибирск, РоссияАлександр Борисович Кривошеев
Новосибирский государственный медицинский университет
Email: krivosheev-ab@narod.ru
ORCID iD: 0000-0002-4845-8753
докт. мед. наук, проф., каф. факультетской терапии
Россия, г. Новосибирск, РоссияАнгелина Евгеньевна Пахомова
Новосибирский государственный медицинский университет
Email: pakhomova@ockk.ru
ORCID iD: 0000-0001-7541-6391
студент, Международная школа «Медицина будущего»
Россия, г. Новосибирск, РоссияМихаил Андреевич Травин
Новосибирский государственный медицинский университет
Email: mtravin@mail.ru
ORCID iD: 0000-0001-6385-5784
канд. мед. наук, доц., каф. патологической анатомии
Россия, г. Новосибирск, РоссияЕкатерина Евгеньевна Пахомова
Новосибирский государственный медицинский университет
Email: pakhomova@ockk.ru
ORCID iD: 0000-0001-9256-3094
студент, «Институт клинической медицины»
Россия, г. Новосибирск, РоссияСписок литературы
- Кривошеев А.Б., Надеев А.П., Куимов А.Д., Травин М.А. Кардиоваскулярный сифилис (современное состояние проблемы и анализ собственных наблюдений). Терапевтический архив. 2019;91(11):81–85. doi: 10.26442/00403660.2019.11.000246.
- Peterman TA, Su J, Bernstein KT, Weinstock H. Syphilis in the United States: on the rise? Expert Rev Anti Infect Ther. 2015;13(2):161–168. doi: 10.1586/14787210.2015.990384.
- De Souza RL, Dos Santos Madeira LDP, Pereira MVS, da Silva RM, de Luna Sales JB, Azevedo VN, Feitosa RNM, Monteiro JC, de Oliveira Guimarães Ishak M, Ishak R, Ribeiro ALR, Oliveira-Filho AB, Machado LFA. Prevalence of syphilis in female sex workers in three countryside cities of the state of Pará, Brazilian Amazon. BMC Infect Dis. 2020; 20(1):129. doi: 10.1186/s12879-020-4850-1.
- Бондаренко Г.М., Унучко С.В., Никитенко И.Н., Губенко Т.В., Кутова В.В. Сифилис: современное состояние проблемы. Дерматологiя та венерологiя. 2018;(1):8–12.
- Абуамриа Ала ну ман А., Гаджимурадов М.Н., Хайрулаев М.А., Набигулаева З.М., Абдулжалилов А.И. Поздний скрытый сифилис в Дагестане — причины роста. Уральский медицинский журнал. 2019;(3):111–118.
- Попова Н.М., Дёмина А.И., Шиллер А.В. Анализ заболеваемости сифилисом взрослого и детского населения Удмуртской Республики. Авиценна. 2018;(18):84–87.
- Блинова Е.В., Балыкова О.П., Ласеев Д.И., Чернова Н.Н., Китаева Л.И. Анализ заболеваемости сифилисом в республике Мордовия. Наука и инновации в медицине. 2019;4(4):29–32. doi: 10.35693/2500-1388-2019-4-4-29-32.
- Снарская Е.С., Фетисова Н.В., Стручкова О.С. Клинико-эпидемиологический анализ заболеваемости сифилисом в Московской области на фоне эмиграционных потоков населения. Российский журнал кожных и венерических болезней. 2017;20(2):119–121.
- Травиничев Е.В., Коваленко Е.В. Эпидемиологические особенности заболеваемости сифилисом в Саратовской области с 1991 по 2011 год. Успехи современного естествознания. 2013;(9):67–68.
- Хрянин А.А., Сухарев Ф.А. Актуальные тенденции заболеваемости поздними формами сифилиса в Новосибирске. Вестник дерматологии и венерологии. 2020;96(1):28–33. doi: 10.25208/vdv552-2020-96-1-28-33.
- Кривошеев Б.Н., Кривошеев А.Б., Хавин П.П. Дифференциальная диагностика специфических поражений лёгких при ранних формах сифилиса. Терапевтический архив. 2009;81(4):87–91.
- Свистушкин В.М., Мустафаев Д.М. Особенности поражения ЛОР-органов при третичном сифилисе. РМЖ. 2014;22(26):1933–1939.
- Chao JR, Khurana RN, Fawzi AA, Reddy HS, Rao NA. Syphilis: reemergence of an old adversary. Ophthalmology. 2006;113(11):2074–2079. doi: 10.1016/j.ophtha.2006.05.048.
- Drago F, Merlo G, Rebora A, Parodi A. Syphilitic aortitis and its complications in the modern era. G Ital Dermatol Venereol. 2018;153(5):698–706. doi: 10.23736/S0392-0488.16.05522-X.
- Galindo J, Mier JF, Miranda CA, Rivas JC. Neurosyphilis: an age-old problem that is still relevant today. Rev Colomb Psiquiatr. 2017;46(Suppl 1):69–76. doi: 10.1016/j.rcp.2017.05.002.
- Лосева О.К., Квижинадзе Г.Н., Залевская О.В., Бохонович Д.В. Поражение аортального клапана при позднем кардиоваскулярном сифилисе (по данным Москвы и Московской области). Российский журнал кожных и венерических болезней. 2017;20(2):100.
Дополнительные файлы






