Morphology of cerebral cortex vessels in experimental epilepsy
- Authors: Yakhin F.A.1, Popova E.N.1, Yakhina F.F.1
- 
							Affiliations: 
							- Municipal Polyclinic No. 1 of the Ministry of Health of the Republic of Tatarstan
 
- Issue: Vol 78, No 1 (1997)
- Pages: 45-49
- Section: Articles
- Submitted: 24.09.2021
- Accepted: 24.09.2021
- Published: 15.02.1997
- URL: https://kazanmedjournal.ru/kazanmedj/article/view/81108
- DOI: https://doi.org/10.17816/kazmj81108
- ID: 81108
Cite item
Full Text
Abstract
The reversible changes of cerebral cortex vessels prevail in cerebrovascular ischemia caused by unilateral ligation of the common carotid artery in rats. In bilateral ligation of the common carotid arteries, vertebral arteries, stenosis of ascending aorta the dystrophic vascular changes are manifested significantly. In postepileptic period in the presence of cerebrovascular disorders the dystrophic changes of cerebral cortex vessels prevail. In audiogenic epilepsies in the presence of renal hypertension and alimentary atherosclerosis the dystrophic changes of the vessels increase.
Keywords
Full Text
Морфология сосудов головного мозга при эпилептических припадках сосудистого генеза мало изучена. На секционном материале показано, что при сосудистой эпилепсии изменения сосудов аналогичны таковым, которые наблюдаются при гипертонической болезни и атеросклерозе [4, 5, 17], причем морфологические изменения сосудов вне очага ишемического и геморрагического инсульта выражены менее значительно [ 3].
Для решения сложных вопросов морфологии сосудов при эпилептических припадках на фоне цереброваскулярных нарушений важное значение имеют экспериментальные исследования. Модель височной звуковой эпилепсии у крыс, разработанная Л.В. Крушинским [12], 7 используется не только для изучения функциональных изменений центральной нервной системы при эпилептических припадках, но и в морфологических исследованиях. При изучении изменений сосудов в динамике у крыс на высоте судорожного припадка в тонической и тонико-клонической фазах аудиогенного припадка выявлены острые и в значительной мере обратимые изменения сосудов мозга [6, 18].
Целью настоящего исследования являлось изучение в эксперименте изменений сосудов коры головного мозга при острых и хронических цереброваскулярных нарушениях, сопровождающихся эпилептическими припадками.
В опытах на 30 белых крысах массой тела от 270 до 320 г использована модель аудиогенной эпилепсии, разработанная Л.В. Крушинским [12]. Предварительно определяли фоновую реакцию чувствительных крыс к звуковому раздражителю. Применяли звук силой 101 дБ, смешанных частот при четырехкратном воздействии в течение 1,5 минуты через день. Затем под уретановым наркозом (0,8 г/кг) в стерильных условиях производили перевязку одной или двух общих сонных либо позвоночных артерий. Стеноз восходящей части аорты вызывали нихромовыми спиралями диаметром 1,6 мм, которые в 3—4 раза уменьшали просвет аорты [ 10]. В рану вводили сухой пенициллин в дозе около 50 000 ЕД. Стенозирование производили на фоне искусственного дыхания частотой 65 в 1 мин с помощью аппарата искусственного дыхания СКБ АМН СССР № 039 для мелких подопытных животных. Для воспроизведения хронической кислородной недостаточности использовали модель почечной гипертонии [ 9] путем последовательного стеноза почечных артерий спиралями 0,24 и 0,35 мм. Экспериментальный атеросклероз у животных вызывали атерогенной диетой в течение 3 месяцев по Wilgram, обогащенной холестерином, метилтиоурацилом и витамином D2 [ 2].
После оперативных вмешательств и содержания на атерогенной диете крыс вновь подвергали четырехкратному воздействию звука. В эксперимент животных брали через день после перевязки общих сонных артерий, на 5-й день после стеноза аорты, на 7-й день после перевязки позвоночных артерий, через 20—22 дня после первой и второй операции стенозирования почечных артерий.
Через сутки после последнего акустического воздействия крыс забивали декапитированием. Мозг фиксировали в 5—10% формалине. Фронтальные срезы мозга окрашивали гематоксилин-эозином, Суданом III, по методам Ван Гизона и Ниссля.
У интактных крыс в сенсомоторной коре имели место незначительные периваскулярные отеки вокруг некоторых сосудов, иногда слабое набухание ядер эндотелия. Сходные изменения корковых сосудов выявлены у контрольных крыс, получавших наркотические дозы уретана.
Через один час после одного аудиогенного припадка в коре мозга крыс были обнаружены набухание сосудистых стенок, периваскулярные отеки, расширение просвета, дистония части сосудов, диапедезные кровоизлияния. В тонической и тонико-клонической фазах аудиогенного судорожного припадка наблюдался более широкий диапазон сосудистых изменений, а в постприпадочном периоде — наличие периваскулярных отеков и мелких кровоизлияний [6]. Через 12 часов после одного аудиогенного приступа периваскулярные отеки уменьшились, стенки сосудов стали умеренно набухшими. Через 24 часа средний слой корковых сосудов слегка базофилен, в единичных сосудах определяется умеренное набухание адвентиции. Периваскулярные отеки не обнаруживались, но сохранялись единичные диапедезные кровоизлияния. Приведенные результаты свидетельствуют об обратимости изменений корковых сосудов в постприпадочном периоде.
Через один час после 4 аудиогенных припадков наблюдалось значительное набухание клеток эндотелия и адвентиции сосудов мозга, средний слой был умеренно набухшим и заметно просветленным. Отмечены дистония сосудов, распространенные периваскулярные отеки, кое-где с плазматическим выпотом. Через 24 часа после этого набухание стенок сосудов уменьшилось, но периваскулярные отеки и диапедезные кровоизлияния еще определялись.
6 аудиогенных припадков вызвали в сосудах мозга набухание ядер эндотелия, гомогенизацию сосудистых стенок, разрыхление их аргирофильного каркаса [14]. В постприпадочном периоде эти изменения сглаживались, но и через 7—10 дней утолщение аргирофильных волокон и их гиперимпрегнация сохранялись. Таким образом, при небольшом числе аудиогенных припадков в коре мозга возникают в значительной мере обратимые изменения сосудов.
Через сутки после односторонней перевязки общей сонной артерии у крыс доминировали обратимые изменения корковых сосудов: дистония отдельных сосудов, набухание клеток эндотелия, повышение проницаемости сосудистой стенки, периваскулярные отеки.
Во всех слоях сенсомоторной коры установлено незначительное уменьшение диаметра капилляров, более выраженное в интактном полушарии [13].
В последующие сроки происходило постепенное увеличение диаметра корковых капилляров и к 3-му месяцу после операции их диаметр в 1,1 —1,2 раза превышал контрольный, что компенсировало приток крови к коре.
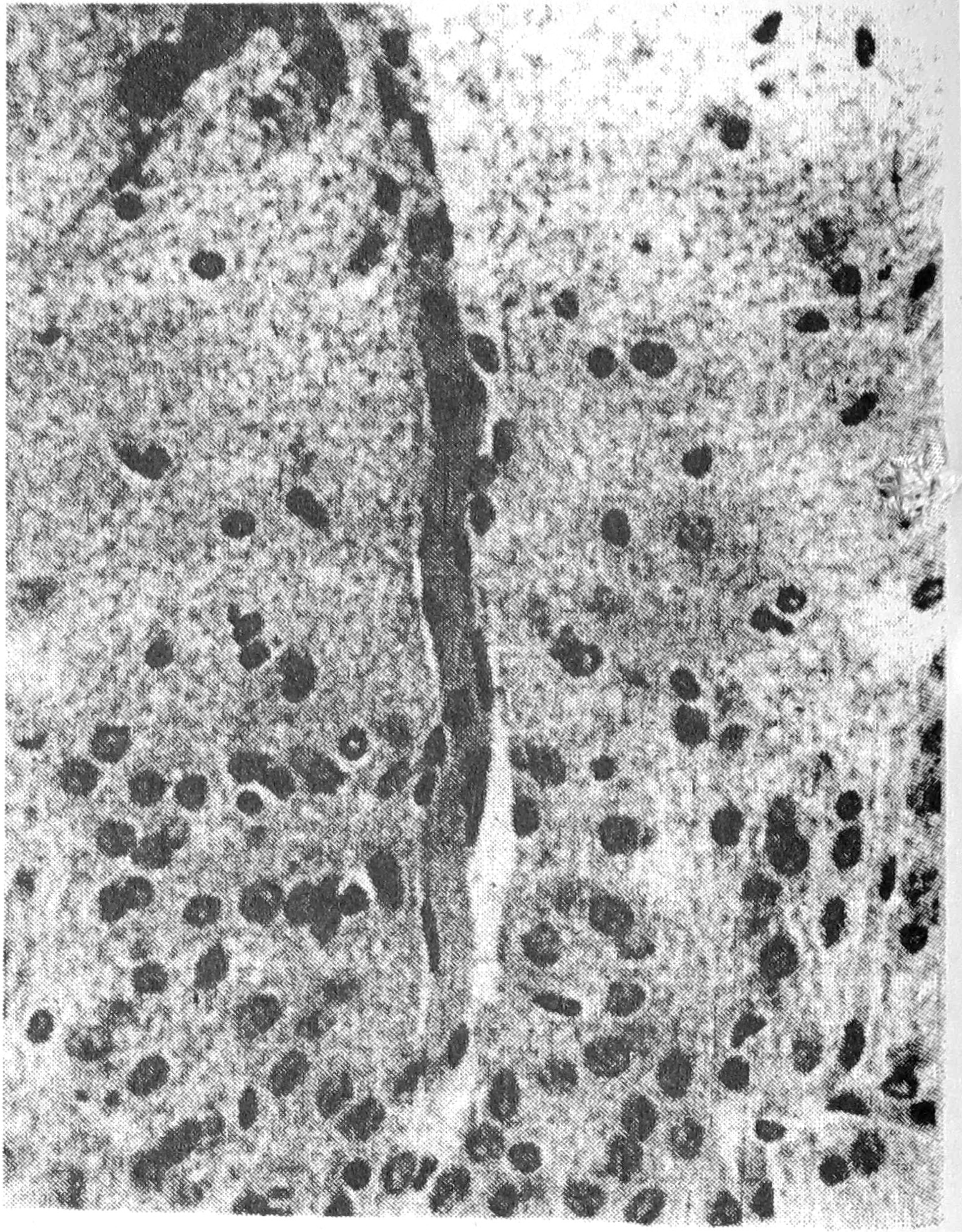
В значительной мере сходные изменения сосудов определялись через сутки после 4 аудиогенных припадков, возникших после перевязки левой общей сонной артерии (рис. 1).
Рис. 1. Набухание ядер эндотелия капилляра, периваскулярный отек сенсомоторной коры через 1 час после четырехкратных припадков нa фоне односторонней перевязки общей сонной артерии. Метод Ван Гизона. Ув. 10 х 20.
Изменения корковых сосудов при двусторонней окклюзии общих сонных артерий были более распространенными и выраженными, чем при односторонней перевязке сонной артерии. Сочетание двусторонней перевязки общих сонных артерий с аудиогенными припадками утяжеляло изменения сосудов: определялись дистония сосудистых стенок, пикноз и набухание ядер эндотелиальных клеток, плазморрагии, резкое расширение просвета сосудов (рис. 2), иногда переполнение сосудов кровью, стаз крови, диапедезные кровоизлияния.
Рис. 2. Расширение просвета сосуда, пикноз ядер эндотелия в постприпадочном периоде при двустронней перевязке общих сонных артерий, метод Ниссля. Ув. 15 х 10.
На ультраструктурном уровне в сенсомоторной коре крыс с разными сроками жизни после перевязки двух сонных артерий и последующего восстановления кровообращения в течение часа отмечены и признаки компенсаторного характера, в частности тесные контакты капилляров с телами нейронов или глиальных клеток, наличие открытых, резервных капилляров, что увеличивает емкость сосудистого русла [15].
В постприпадочном периоде на фоне перевязки позвоночных артерий изменения сосудов были аналогичными таковым при двусторонней перевязке общих сонных артерий, сопровождающейся аудиогенными припадками.
При стенозе восходящей части аорты ее просвет в области наложения стенозирующей спирали был значительно суженным. Со стороны корковых сосудов обнаруживались полиморфные изменения: отек и набухание интимы с образованием сетчатых структур, дистония сосудистой стенки и сужение большей части сосудов, периваскулярные отеки, капиллярофиброз и венозное полнокровие. В просвете сосудов отмечалась десквамация эндотелия; сосуды основания мозга были утолщенными, их стенки набухшими, гомогенизированными, иногда с отложением базофильного вещества, в стенках многих сосудов — деструкция с образованием очагов фиброза.
При стенозе восходящей части аорты, осложненном аудиогенными припадками, в корковом слое головного мозга встречались отдельные рубчики. Организация таких внутрикорковых очагов свидетельствует о кровоизлияниях в кору мозга, имевших место в остром периоде нарушения мозгового кровообращения, вызванного стенозированием аорты. В нижних слоях энторинальной коры найдены микрокисты. Образование рубца или кисты на месте очага некроза мозговой ткани является важным фактором развития эпилептических припадков [ 11, 16].
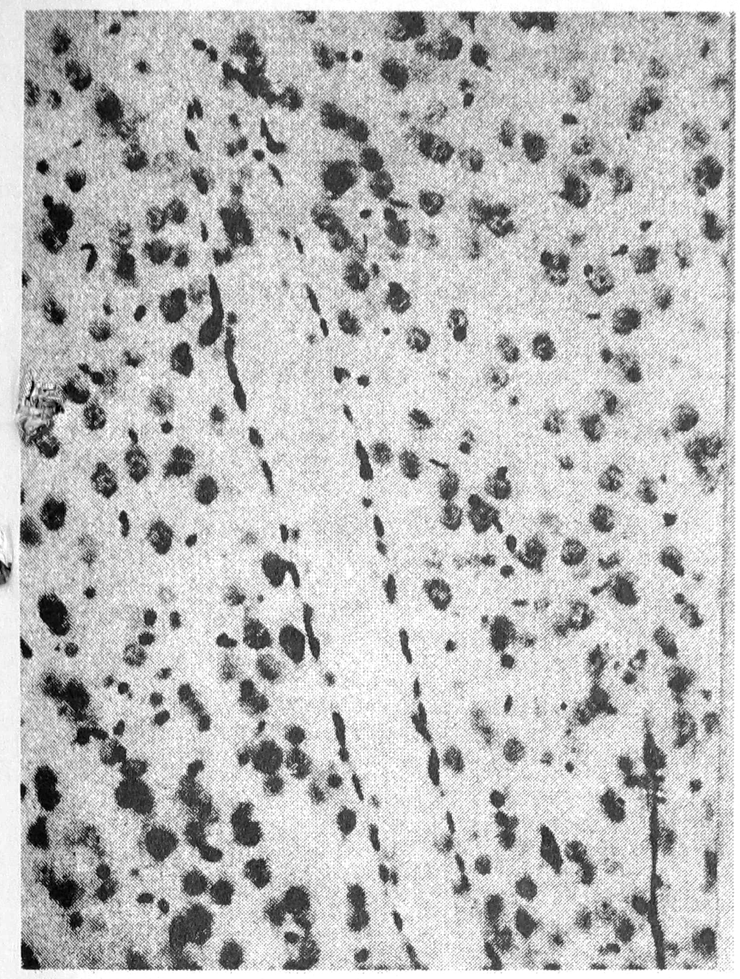
При аудиогенных припадках на фоне почечной гипертонии стенки всех сосудов основания мозга были набухшими, интима артерий утолщенной, гомогенизированной. Со стороны внутримозговых сосудов определялись распространенные дистрофические изменения: гиалиноз, утолщение сосудистых стенок артерий, сужение их просвета, капиллярофиброз (рис. 3), диапедезные кровоизлияния. Во многих сосудах утолщение сосудистой стенки происходило в результате размножения клеток субэндотелиального слоя (в артериях) или клеток эндотелия (в венах). Утолщение сосудистых стенок является не только основной предпосылкой для развития атеросклеротического процесса, но и препятствует нормальному кровотоку, способствуя тем самым снижению кровоснабжения мозговой ткани. Наблюдались также увеличение размера ядер эндотелия, расширение просвета сосудов и формирование сосудистых пакетов (конволют).
Рис. 3. Дистония и капиллярофиброз сосуда в сенсомоторной коре при почечной гипертензии, осложненной эпилептическими припадками. Метод Ниссля. Ув. 10 х 10.
Расширение капилляров и гипертрофия ядер эндотелиоцитов рассматривается как компенсаторная реакция в ответ на уменьшение количества резервных капилляров [17]. Конволюты, состоящие из 4—5 и 7—8 капилляров, были выявлены в коре мозга при эпилептических припадках у больных гипертонической болезнью [4, 16]. Их образование у таких больных связывают с нарушением тонуса и инвагинацией сосудистых стенок [7]. Возможно, что формирование конволют является компенсаторным проявлением, способствующим местному увеличению кровоснабжения мозговой ткани.
Для крыс, находившихся в течение 3 месяцев на атерогенной диете, характерно образование атеросклеротических бляшек в аорте и крупных сосудах мозга.
В наших наблюдениях при наличии отложения липидов в интиме аорты и крупных атеросклеротических бляшек в сосуде просвет аорты был деформирован и сужен, в месте локализации бляшки значительна деструкция всех сосудистых слоев. Вокруг стенки аорты имелись клеточные инфильтраты. Выявлено также большое число новообразованных сосудов, вросших в аорту со стороны адвентиции, окруженных лимфогистоцитарными элементами, среди которых
были ксантомные клетки. Стенки сосудов основания мозга гиализированы, в просвете части сосудов видна десквамация эндотелия. Многие сосуды коры мозга расширены, причем такие расширенные сосуды часто занимали весь поперечник коры. Обнаруживались также сосудистая дистония, периваскулярные отеки, стаз эритроцитов (рис. 4).
Рис. 4. Резкая дистония сосуда, стаз эритроцитов, периваскулярный отек в сенсомоторной коре в постприпадочном периоде при алиментарном атеросклерозе. Метод Ниссля. Ув. 10 х 10.
Действие звука на фоне атерогенной диеты усугубляло дистрофические изменения корковых сосудов, приводящие к кровоизлияниям, отслоению эндотелия со скоплением плазмы в подэндотелиальном слое. При экспериментальное атеросклерозе и в случаях его сочетания со звуковым воздействием стеноза и кальциноза церебральных сосудов не обнаруживалось.
Гемодинамические изменения не всегда играют одинаковую роль в развитии судорожного синдрома: в одних случаях они являются ведущими, в других — сочетаются с наличием патологического очага, который реализует эпилептическую реакцию [1].
По нашему мнению, в патогенезе эпилептических припадков при цереброваскулярных нарушениях существенную роль играют дистрофические изменения стенок сосудов, которые ограничивают компенсаторные возможности кровообращения и приводят, с одной стороны, к гипоксии мозга и срыву репаративных процессов, а с другой — повышают реактивность центральной нервной системы и снижают порог судорожной готовности.
About the authors
F. A. Yakhin
Municipal Polyclinic No. 1 of the Ministry of Health of the Republic of Tatarstan
							Author for correspondence.
							Email: info@eco-vector.com
				                					                																			                												                	Russian Federation, 							Kazan						
E. N. Popova
Municipal Polyclinic No. 1 of the Ministry of Health of the Republic of Tatarstan
														Email: info@eco-vector.com
				                					                																			                												                	Russian Federation, 							Kazan						
F. F. Yakhina
Municipal Polyclinic No. 1 of the Ministry of Health of the Republic of Tatarstan
														Email: info@eco-vector.com
				                					                																			                												                	Russian Federation, 							Kazan						
References
Supplementary files
 
				
			 
					 
						 
									
 
  
  
 




