Low-molecular-weight fibroblast growth factor-2 — a viable prognostic factor for gastric gastrointestinal stromal tumors
- Authors: Mikheeva EG1, Aukhadieva AM1, Sabirov AG2, Boichuk SV1
-
Affiliations:
- Kazan State Medical University
- Tatarstan Regional Clinical Cancer Center
- Issue: Vol 102, No 3 (2021)
- Pages: 313-321
- Section: Theoretical and clinical medicine
- Submitted: 20.04.2021
- Accepted: 30.04.2021
- Published: 10.06.2021
- URL: https://kazanmedjournal.ru/kazanmedj/article/view/65232
- DOI: https://doi.org/10.17816/KMJ2021-313
- ID: 65232
Cite item
Abstract
Aim. To examine the expression of fibroblast growth factor-2 and its isoforms in gastrointestinal stromal tumors and assess the prognostic value of this marker.
Methods. The study included 44 patients with gastric gastrointestinal stromal tumors of the stomach who were prescribed surgical or combined treatment with the targeted drug imatinib (imatinib mesylate). Immunohistochemistry (IHC)-staining and immunoblotting with monoclonal antibodies were used to assess the expression of FGF-2. Statistical analysis for differences in clinical and morphological parameters was performed by using Student’s, Mann–Whitney–Wilcoxon and Fisher’s tests. Differences were considered significant at p < 0.05.
Results. Fibroblast growth factor-2 expression was assessed in tumor tissues in 39 out of 44 analyzed patients. The frequency of fibroblast growth factor-2 expression in the observed patients was 84.6% (33/39). The moderate and strong fibroblast growth factor-2 expression was detected in 21 (53.8%) patients with gastric gastrointestinal stromal tumors. High expression of low-molecular weight (18 kDa) fibroblast growth factor-2 isoform was found in all tumor samples from patients with high-risk gastrointestinal stromal tumor (prognostic group 6) (p=0.039), which indicated the active secretion of this ligand by its signalling pathway in the cancer cells. Patients with high levels of low‐molecular‐weight fibroblast growth factor-2 showed a higher level of Ki-67 proliferative activity (р=0.013) and tumor size (р=0.0017). Patients with increased expression of the low molecular weight isoform of fibroblast growth factor-2 in gastric gastrointestinal stromal tumor had a higher risk of recurrence, as well as larger tumor size and proliferative activity compared with patients without expression of this isoform. The level of fibroblast growth factor-2 expression in tumor samples, determined by immunohistochemistry-staining, increases after initiation of imatinib to based therapy, which may indicate the formation of resistance to this targeted drug and the progression of the disease.
Conclusion. The results of the study suggest that FGF-2 might be an independent prognostic marker of gastric gastrointestinal stromal tumor and a viable therapeutic target.
Full Text
Актуальность. Гастроинтестинальные стромальные опухоли (ГИСО) — наиболее частые мезенхимальные новообразования желудочно-кишечного тракта, развивающиеся из интерстициальных клеток Кахаля, обладающие пейсмекерной активностью и задающие ритм сокращений (перистальтики) полых органов желудочно-кишечного тракта. До описания этих опухолей они относились к другой группе вследствие отсутствия необходимых сведений, полученных в дальнейшем благодаря результатам иммуногистохимического и молекулярно-генетического исследования. До получения этих данных эти злокачественные опухоли долгое время относили к группе гладкомышечных опухолей желудочно-кишечного тракта (лейомиомам, лейомиосаркомам или лейомиобластомам), а пациенты с ГИСО получали химиотерапию, эффективность которой была крайне низкой и варьировала от 0 до 27%.
После того как было показано, что основной патогенетический фактор ГИСО — активирующие и взаимоисключающие мутации с-KIT или PDGFRA [1–3], прогноз в отношении пациентов с ГИСО (в том числе с неоперабельными и метастатическими формами заболевания) радикальным образом поменялся в лучшую сторону.
В настоящее время основным лекарственным препаратом, используемым в качестве препарата первой линии терапии пациентов с ГИСО, служит таргетный препарат иматиниб [иматиниба мезилат (ИМ), гливек], ингибирующий активность вышеуказанных тирозинкиназ [4]. Действительно, назначение таргетной терапии ИМ приводит к выраженному увеличению продолжительности безрецидивного периода у больных с ГИСО и существенно замедляет прогрессирование заболевания, в том числе у пациентов с неоперабельными, метастатическими формами заболевания [5, 6].
Тем не менее, несмотря на впечатляющие клинические результаты таргетной терапии ИМ, более чем у половины пациентов с ГИСО развивается резистентность к данному препарату через 2 года после начала лечения. В настоящее время описано достаточно большое количество молекулярных механизмов, обусловливающих развитие вторичной резистентности ГИСО к ИМ. К ним относятся вторичные мутации с-KIT (обычно в экзонах 13 и 17) [7], мутация BRAF V600E [8], утрата экспрессии с-KIT и активация других видов тирозинкиназ (например, Fak, Axl, c-Met) [9, 10].
В случае развития резистентности к ИМ вследствие вторичных мутаций с-KIT пациенту назначают таргетные препараты второй линии (сунитиниб) или третей линии (регорафениб) [11–13]. Тем не менее, их назначение не приводит к значимому терапевтическому эффекту (по сравнению с эффектом у этих же пациентов, получавших ранее лечение ИМ) и сопровождается рядом тяжёлых побочных эффектов, а также развитием резистентности. Попытки применения ингибиторов тирозинкиназ нового поколения (нилотиниба, масатиниба, сорафениба, пазопаниба, довитиниба и др.) в терапии пациентов с ИМ-резистентными ГИСО оказались малоэффективными и не повлияли существенным образом на характер течения заболевания и его прогноз.
Вышеизложенное свидетельствует о наличии иных молекулярных механизмов формирования вторичной резистентности ГИСО к ИМ. Действительно, результаты проведённых нами ранее исследований продемонстрировали, что одним из альтернативных механизмов развития резистентности ГИСО к ИМ может быть активация сигнального пути фактора роста фибробластов (FGF — от англ. fibroblast growth factor) [14], а его ингибирование приводит к восстановлению чувствительности ГИСО к ИМ как in vitro, так и in vivo [15]. Далее нами было показано, что основным патогенетическим механизмом активации FGFR-сигнального пути в ИМ-резистентных клеточных линиях ГИСО становится гиперпродукция FGF-2 [16], служащего, как известно, лигандом, активирующим FGFR-сигнальный путь.
Цель. В связи с этим целью настоящего исследования стало обнаружение доказательств активации FGFR-сигнального пути у пациентов с ГИСО на основании оценки уровня экспрессии FGF-2 в опухолевом материале, а также анализ прогностической значимости данного маркёра.
Материал и методы исследования. Объект исследования — опухолевый материал пациентов, проходивших хирургическое или комбинированное лечение в Республиканском клиническом онкологическом диспансере Минздрава РТ за период с 2014 по 2020 г.
Диагноз ГИСО у пациентов, включённых в данное исследование, был подтверждён гистологическим и иммуногистохимическим (CD117) методами с использованием моноклональных антител к с-KIT (клон A4502, DAKO) в разведении 1:1000. Уровень экспрессии FGF-2 в парафиновых срезах опухолевой ткани определяли на автоматическом иммуногистостейнере BenchMark Ventana GХ (Roche) с использованием моноклональных антител к анти-FGF-2 (клон C2, Santa Cruz) в разведении 1:200. Уровень экспрессии данного маркёра и внутриклеточное его распределение оценивали по 3-балльной шкале (0 — отсутствие окраски; 1 — слабое мембранное или ядерное окрашивание; 2 — ядерное окрашивание умеренной интенсивности; 3 — яркое ядерное окрашивание).
Анализ уровня экспрессии различных изоформ FGF-2 (18, 20, 22,5 и 34 кДа) проводили методом иммуноблоттинга. Лизаты опухолевых тканей получали с помощью радиоиммунопреципитирующего буфера (RIPA), содержащего ингибиторы протеаз и фосфатаз (Sigma, США) с последующим определением концентрации белка в изучаемых образцах. Для детекции FGF-2 использовали соответствующие моноклональные антитела к FGF-2 (клон G2, sc-365106, Santa Cruz) в разведении 1:200.
Полученные данные обрабатывали с помощью компьютерной программы R (Вена, Швейцария). Сравнение качественных признаков проводили с помощью точного критерия Фишера, поскольку ожидаемые значения после составления таблиц сопряжённости не превышали 5. Проверка гипотезы о нормальности распределения количественных данных проведена с помощью критерия Шапиро–Уилка. Значимость различий между группами данных, не подчиняющихся закону нормального распределения, оценивали с помощью непараметрического критерия Манна–Уитни. При сравнении данных, подчиняющихся закону нормального распределения, использовали параметрический t-критерий Стьюдента. Количественные данные представлены медианой и квартильным размахом. Разницу считали статистически значимой при уровне р <0,05.
Результаты. Были проанализированы образцы опухолей 44 пациентов с ГИСО: 12 (27,3%) мужчин и 32 (72.7%) женщин, получавших стандартное лечение. Медиана возраста составила 64 года (33–78 лет). У 59,5% пациентов с ГИСО желудка был веретеноклеточный тип опухоли.
Основные клинико-морфологические характеристики пациентов с ГИСО представлены в табл. 1.
Таблица 1. Клиническо-морфологическая характеристика пациентов с гастроинтестинальными стромальными опухолями
Случай п/п | Возраст, годы | Пол | Локализация опухоли | Размер опухоли, см | Риск рецидива | Гистологический тип | Ki-67, % | FGF-2 | Лечение ИМ |
1 | 55 | м | желудок | 8 | нет данных | веретеноклеточный | нет данных | 3 | + |
2 | 63 | ж | яичник (м) | нет данных | нет данных | нет данных | нет данных | 1 | + |
3 | 64 | m | большой сальник (м) | 3,4 | высокий | эпителиоидный | 10 | 1 | + |
4 | 65 | ж | желудок | 7,3 | низкий | эпителиоидный | 2 | 1 | + |
5 | 61 | ж | желудок | 7,3 | высокий | веретеноклеточный | 5 | 0 | – |
6 | 59 | м | желудок | 22,5 | высокий | эпителиоидный | 6 | 0 | – |
7 | 60 | ж | желудок | 2 | низкий | веретеноклеточный | 5 | 0 | – |
8 | 59 | ж | желудок | 17 | высокий | смешанный | 10 | 0 | – |
9 | 74 | м | желудок | 5 | высокий | эпителиоидный | 3 | 0 | – |
10 | 67 | ж | желудок | 5 | высокий | эпителиоидный | 10 | 1 | – |
11 | 53 | ж | желудок | 3 | низкий | смешанный | 12 | 2 | – |
12 | 67 | ж | желудок | 12,3 | высокий | смешанный | 4 | 1 | – |
13 | 69 | ж | желудок | 1,5 | низкий | эпителиоидный | 7 | 2 | – |
14 | 69 | ж | желудок | 1,5 | низкий | веретеноклеточный | 3 | 2 | – |
15 | 65 | ж | желудок | 0,8 | низкий | смешанный | 4 | 1 | – |
16 | 56 | ж | желудок | 3 | низкий | веретеноклеточный | 4 | 2 | – |
17 | 57 | ж | желудок | 4,4 | низкий | веретеноклеточный | 7 | 3 | – |
18 | 61 | ж | желудок | 13 | высокий | веретеноклеточный | 4 | 1 | – |
19 | 65 | ж | желудок | 1,5 | низкий | смешанный | 4 | нет данных | – |
20 | 54 | м | желудок | 6 | высокий | эпителиоидный | 13 | нет данных | – |
21 | 60 | м | желудок | 4 | низкий | эпителиоидный | 2 | 0 | – |
22 | 53 | ж | желудок | 7 | низкий | веретеноклеточный | 7 | 3 | – |
23 | 69 | ж | желудок | 3,4 | низкий | веретеноклеточный | 2–3 | 3 | – |
24 | 68 | ж | желудок | 3,3 | низкий | веретеноклеточный | 6–7 | нет данных | – |
25 | 71 | ж | желудок | 5,5 | высокий | веретеноклеточный | 5–6 | 1 | – |
26 | 72 | ж | желудок с mts | 10 | высокий | смешанный | 25–30 | 3 | – |
27 | 78 | м | желудок | 14,6 | промежуточный | веретеноклеточный | 8–10 | нет данных | – |
28 | 64 | ж | желудок | 2,8 | промежуточный | веретеноклеточный | 4–5 | 2 | – |
29 | 50 | ж | желудок | 3,3 | низкий | веретеноклеточный | 1–2 | 1 | – |
30 | 58 | ж | желудок | 3,3 | низкий | веретеноклеточный | 4 | 3 | – |
32 | 70 | ж | желудок | 4,25 | низкий | веретеноклеточный | 3 | 1 | – |
31 | 73 | м | желудок | 11 | высокий | веретеноклеточный | 10–12 | 3 | – |
33 | 71 | м | желудок | 5,5 | высокий | веретеноклеточный | 5 | 3 | – |
34 | 56 | м | желудок | 2,25 | низкий | веретеноклеточный | 3 | 2 | – |
35 | 45 | ж | желудок | 5,3 | высокий | веретеноклеточный | до 10 | 3 | – |
36 | 69 | ж | желудок с mts | 9 | высокий | веретеноклеточный | 12–14 | 3 | – |
37 | 47 | ж | желудок | 3 | низкий | веретеноклеточный | 4–5 | 2 | – |
38 | 63 | ж | желудок | 6 | промежуточный | эпителиоидный | 5–6 | 1 | – |
39 | 63 | ж | желудок (рецидив) с mts | 10 | высокий | смешанный | нет данных | 2 | + |
40 | 73 | ж | желудок | 4,3 | высокий | веретеноклеточный | менее 5 | 3 | – |
41 | 65 | м | желудок | 5,6 | низкий | нет данных | 1–2 | нет данных | – |
42 | 33 | ж | желудок (рецидив) | 3,5 | высокий | эпителиоидный | 5 | 2 | + |
43 | 68 | ж | желудок | 5,9 | высокий | веретеноклеточный | нет данных | 3 | - |
44 | 41 | м | желудок | 9,3 | высокий | веретеноклеточный | 5–6 | 3 | – |
Примечание: FGF — фактор роста фибробластов; ИМ — иматиниб; м — мужской; ж — женский; mts — метастазы.
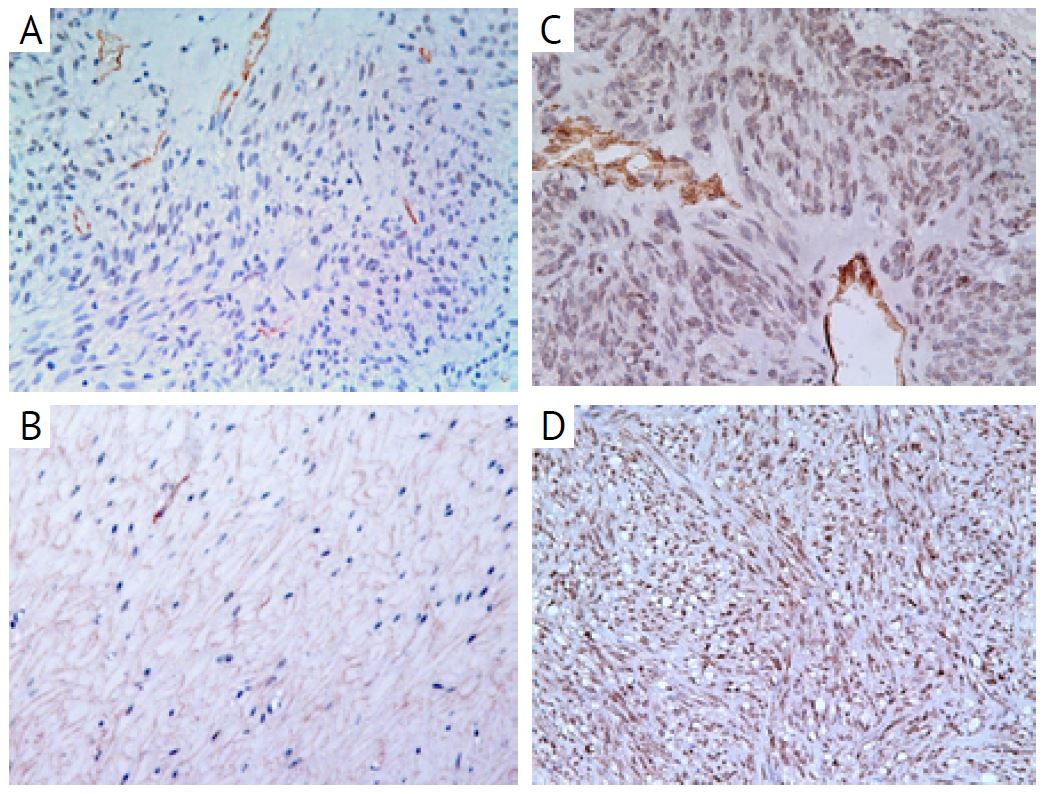
Оценка уровня экспрессии FGF-2 иммуногистохимическим (ИГХ) методом была выполнена у 39 пациентов с ГИСО желудка. Микроскопическая картина при оценке степени экспрессии FGF-2 представлена на рис. 1.
Рис. 1. Экспрессия фактора роста фибробластов-2 в гастроинтестинальных стромальных опухолях (иммуногистохимическое окрашивание): негативная реакция (А); мембранная реакция (В); ядерная реакция умеренной интенсивности (С); яркая ядерная реакция (D)
Пациенты с умеренным/высоким (группы 2 и 3) и негативным/слабопозитивным (группы 0 и 1) уровнем экспрессии FGF-2 были сопоставимы друг с другом по возрасту и полу (табл. 2). Не было обнаружено статистически значимой разницы между маркёрами, традиционно используемыми при оценке групп риска заболевания (размер опухоли, пролиферативный индекс и др.), в группах с умеренным/высоким (группы 2 и 3) и негативным/слабопозитивным (группы 0 и 1) уровнем экспрессии FGF-2 по результатам ИГХ (см. табл. 2).
Таблица 2. Зависимость между уровнем экспрессии фактора роста фибробластов-2 (FGF-2) в опухоли и клинико-морфологическими характеристиками гастроинтестинальных стромальных опухолей
Показатель | Пациенты с умеренным/ | Пациенты с негативным/слабопозитивным (группы 0 и 1) | p |
Возраст (медиана, Q1–Q3), годы | 60,5 (53,5–69) | 63 (60–67) | 0,419 |
Пол (n): мужской женский | 5 17 | 4 13 | 1 |
Размер опухоли (медиана, Q1–Q3), см | 4,35 (3,0–7,75) | 5,25 (3,85–8,55) | 0,315 |
Пролиферативный индекс Ki-67 (медиана, Q1–Q3), % | 5,0 (4,5–8,5) | 4,5 (3,0–6,0) | 0,12 |
Риск рецидива (n): высокий промежуточный низкий | 10 1 10 | 9 1 6 | 0,866 |
Учитывая тот факт, что ИГХ-окрашивание не позволяет проводить анализ уровней экспрессии различных изоформ FGF-2, в последующем нами был выполнен анализ экспрессии в опухолях всех четырёх известных изоформ данного лиганда. Было проанализировано 24 образца опухолей, полученных от пациентов с ГИСО с различными группами риска рецидивирования. Из них количество пациентов с низким риском рецидивирования ГИСО составляло 11, остальные пациенты (n=13) были с высоким риском рецидивирования.
Результаты иммуноблоттинга, представленные на рис. 2, показывают, что высокий уровень экспрессии низкомолекулярной (18 кДа) формы данного лиганда отмечен во всех без исключения образцах ГИСО, относящихся к 6-й группе риска, в то время как уровень экспрессии остальных изоформ (22, 22,5 и 34 кДа) не различался существенным образом между исследуемыми группами пациентов.
Рис. 2. Уровень экспрессии изоформ фактора роста фибробластов (FGF-2) (18, 22, 22,5 и 34 кДа) в гастроинтестинальных стромальных опухолях желудка, определяемый методом иммуноблоттинга. Образцы опухолей с высоким риском рецидивирования (группа риска 6) выделены пунктирной линией
Также обнаружено, что уровень экспрессии низкомолекулярной формы FGF-2 в опухоли был достоверно выше у больных с высоким индексом пролиферации Ki-67 в опухолевой ткани (рис. 3, C) и большим с размером опухоли (рис. 3, B). Важно отметить, что риск рецидивирования также был выше в группе с высоким уровнем экспрессии данной изоформы FGF-2 в опухоли (рис. 3, A) [максимальная экспрессия была отмечена у пациентов 5-й и 6-й прогностических групп (высокий риск рецидива)], что может иметь большое прогностическое значение.
Рис. 3. A — уровень низкомолекулярной (18 кДа) изоформы фактора роста фибробластов-2 (FGF-2) у пациентов 5-й и 6-й прогностических групп (высокий риск рецидива) и пациентов 2-й и 3-й прогностических групп (низкий риск рецидива), p=0,039 (точный критерий Фишера). B, C — сравнение размеров (p=0,002, критерий Манна–Уитни) и индекса пролиферативной активности (p=0,013, критерий Манна–Уитни) в группах пациентов с гастроинтестинальными стромальными опухолями желудка, положительных и отрицательных по низкомолекулярной (18 кДа) изоформе FGF-2, согласно результатам иммуноблоттинга. Данные представлены медианой и квартильным размахом
Обсуждение. В настоящее время для оценки прогноза ГИСО используют несколько клинико-морфологических критериев, среди которых одними из основных служат размеры опухоли и её митотический индекс. Помимо этого, локализация опухоли и её гистологический тип (эпителиодный, веретеноклеточный, смешанный) также имеют определённую прогностическую значимость. Несмотря на достигнутый в настоящее время консенсус по вопросу оценки групп риска ГИСО и классификации, предложенные C.D. Fletcher и соавт. [17] и Институтом патологии вооружённых сил США [18], очевидно, что описанные выше критерии далеко не всегда хорошо коррелируют друг с другом и в ряде случаев могут быть использованы как независимые критерии для оценки группы риска ГИСО. Безусловно, этот факт является отражением многообразия существующих молекулярных механизмов патогенеза ГИСО, но в то же время создаёт определённые трудности при оценке прогноза заболевания, отличающегося порой своей непредсказуемостью.
В свою очередь молекулярно-генетические особенности ГИСО могут быть одним из основных факторов, определяющих чувствительность ГИСО к проводимой таргетной терапии ИМ, а развитие вторичных мутаций рецепторных тирозинкиназ c-KIT/PDGFRA традиционно считают основным механизмом развивающейся в них резистентности к вышеуказанному таргетному препарату. Тем не менее, низкая эффективность таргетных препаратов второй (сунитиниб) и третьей (регорафениб) линий терапии свидетельствует о наличии альтернативных (то есть не связанных с вторичными мутациями вышеуказанных генов тирозинкиназ) молекулярных механизмов вторичной резистентности ГИСО к ИМ [7, 11, 12]. По этой причине исследования, направленные на идентификацию новых эффективных прогностических маркёров ГИСО, а также их резистентности к ИМ представляются нам актуальными как с научной, так и с практической точек зрения.
Полученные нами результаты указывают на признаки аутокринной активации FGFR-сигнального пути в первичных ГИСО, о чём свидетельствует повышенный уровень экспрессии FGF-2 у большинства первичных ГИСО желудка (84,6% — 33/39). Учитывая общеизвестную роль FGFR-сигнального пути в поддержании высокого пролиферативного потенциала клеток и их жизнеспособности, данный фактор может быть одним из механизмов прогрессирования заболевания.
Тем не менее, результаты ИГХ-исследования опухолей желудка не выявили различий по размерам опухоли (p=0,3145), её пролиферативному индексу (p=0,1203) и группе риска заболевания (р=0,8657) между группами с высоким и низким уровнями экспрессии FGF-2 в опухоли.
Учитывая тот факт, что ИГХ-окрашивание не позволяет проводить анализ уровней экспрессии отдельных изоформ FGF-2, отличающихся друг от друга не только по молекулярному весу, но и по механизму действия, следующим этапом исследования стало определение уровней экспрессии всех четырёх известных изоформ FGF-2 в ГИСО желудка. Методом иммуноблоттинга было показано, что во всех (без исключения) случаях ГИСО желудка с высоким риском рецидивирования (группы риска 5 и 6) экспрессируется низкомолекулярная (18 кДа) изоформа FGF-2 (см. рис. 3, А), также характерная для опухолей большего размера (см. рис. 3, B) и пролиферативного индекса (см. рис. 3, C).
Известно, что у человека показано наличие четырёх изоформ FGF-2 — одной с низкой молекулярной массой (18 кДа) и трёх с высокой молекулярной массой (22, 22,5 и 34 кДа), отличающихся друг от друга не только своей молекулярной массой, но и внутриклеточной локализацией и молекулярными механизмами своего действия [19]. Низкомолекулярная изоформа является цитоплазматической и функционирует аутокринным способом, связываясь на клеточной поверхности с одним из четырёх разновидностей FGF-рецепторов в комплексе с гепаринсульфат-протеогликанами, что приводит к активации нижележащих сигнальных путей, регулирующих пролиферацию и выживаемость опухолевых клеток [20]. В то же время, высокомолекулярные изоформы FGF-2 являются исключительно ядерными и проявляют активность посредством интракринного механизма, связываясь со специфическими внутриклеточными рецепторами. Это свидетельствует о том, что активность высокомолекулярных изоформ FGF-2 не зависит от их связывания с FGFR [21].
Таким образом, обнаруженный нами факт гиперэкспрессии низкомолекулярной формы FGF-2 в ГИСО желудка у пациентов с высоким риском рецидивирования раскрывает молекулярные механизмы прогрессирования заболевания, указывая на активную секрецию FGF-2 опухолевыми клетками, и позволяет рассматривать данную изоформу FGF-2 в качестве перспективного прогностического маркёра.
Представленные данные согласуются с результатами исследований, полученными нами ранее, свидетельствовавшими об ИМ-индуцированной активации FGFR-сигнального пути в клеточных линиях ГИСО, осуществляемой посредством активной секреции опухолевыми клетками FGF-2, служащего лигандом FGFR1 и FGFR2 [14, 16]. Действительно, присутствие нейтрализующих анти-FGF-2-антител в клеточных культурах ГИСО полностью отменяет эффект таргетного препарата ИМ и индуцирует их апоптоз [16]. Это в свою очередь свидетельствует о потенциальной перспективности применения ингибиторов FGFR-cигнального пути для усиления эффекта таргетного препарата ИМ и ресенситизации ГИСО к ИМ на фоне уже резвившейся резистентности к препарату первой линии терапии. Правомочность данного положения подтверждается результатами исследований нашей [15] и других научных групп [22, 23].
Таким образом, результаты проведённых исследований дополняют современные представления о механизмах развития вторичной резистентности ГИСО к таргетному препарату ИМ, обусловленной активацией альтернативных тирозинкиназа-опосредованных сигнальных путей в условиях отсутствия вторичных мутаций c-KIT и PDGFRA.
Вывод
Оценку уровня экспрессии низкомолекулярной формы фактора роста фибробластов-2 в гастроинтестинальных стромальных опухолях можно рассматривать в качестве перспективного прогностического маркёра высокого риска рецидивирования гастроинтестинальных стромальных опухолей желудка и развития её резистентности к иматинибу на фоне проводимой таргетной терапии. Это в свою очередь создаёт предпосылки для расширения спектра таргетных препаратов и внедрения ингибиторов сигнального пути фактора роста фибробластов в схемы комбинированной таргетной терапии гастроинтестинальных стромальных опухолей.
Участие авторов. Е.Г.М. — проведение иммуногистохимических исследований, иммуноблоттинга, систематизация характеристик пациентов с ГИСО желудка; А.М.А. — статистическая обработка полученных результатов; А.Г.С. — получение и характеристика опухолевого материала; С.В.Б. — руководитель работы, дизайн исследований, написание статьи.
Источник финансирования. Работа выполнена при поддержке Российского фонда фундаментальных исследований (грант №20-015-00034).
Конфликт интересов. Авторы заявляют об отсутствии конфликта интересов по представленной статье.
About the authors
E G Mikheeva
Kazan State Medical University
Email: boichuksergei@mail.ru
Russian Federation, Kazan, Russia
A M Aukhadieva
Kazan State Medical University
Email: boichuksergei@mail.ru
Russian Federation, Kazan, Russia
A G Sabirov
Tatarstan Regional Clinical Cancer Center
Email: boichuksergei@mail.ru
Russian Federation, Kazan, Russia
S V Boichuk
Kazan State Medical University
Author for correspondence.
Email: boichuksergei@mail.ru
Russian Federation, Kazan, Russia
References
- Hirota S., Isozaki K., Moriyama Y., Hashimoto K., Nishida T., Ishiguro S., Kawano K., Hanada M., Kurata A., Takeda M., Muhammad Tunio G., Matsuzawa Y., Kanakura Y., Shinomura Y., Kitamura Y. Gain-of-function mutations of c-kit in human gastrointestinal stromal tumors. Science. 1998; 279: 577–580. doi: 10.1126/science.279.5350.577.
- Rubin B.P., Singer S., Tsao C., Duensing A., Lux M.L., Ruiz R., Hibbard M.K., Chen C.J., Xiao S., Tuveson D.A., Demetri G.D., Fletcher C.D., Fletcher J.A. KIT activation is a ubiquitous feature of gastrointestinal stromal tumors. Cancer Res. 2001; 61: 8118–8121.
- Heinrich M.C., Corless C.L., Duensing A., McGreevey L., Chen C.-J., Joseph N., Singer S., Griffith D.J., Haley A., Town A., Demetri G.D., Fletcher C.D., Fletcher J.A. PDGFRA activating mutations in gastrointestinal stromal tumors. Science. 2003; 299: 708–710. doi: 10.1126/science.1079666.
- Joensuu H., Roberts P.J., Sarlomo-Rikkala M., Andersson L.C., Tervahartiala P., Tuveson D., Silberman S., Capdeville R., Dimitrijevic S., Druker B., Demetri G.D. Effect of the tyrosine kinase inhibitor STI571 in a patient with a metastatic gastrointestinal stromal tumor. N. Engl. J. Med. 2001; 344: 1052–1056. doi: 10.1056/NEJM200104053441404.
- Demetri G.D., Mehren von M., Blanke C.D., Van den Abbeele A.D., Eisenberg B., Roberts P.J., Heinrich M.C., Tuveson D.A., Singer S., Janicek M., Fletcher J.A., Silverman S.G., Silberman S.L., Capdeville R., Kiese B., Peng B., Dimitrijevic S., Druker B.J., Corless C., Fletcher C.D., Joensuu H. Efficacy and safety of imatinib mesylate in advanced gastrointestinal stromal tumors. N. Engl. J. Med. 2002; 347: 472–480. doi: 10.1056/NEJMoa020461.
- Verweij J., Casali P.G., Zalcberg J., LeCesne A., Reichardt P., Blay J.-Y., Issels R., van Oosterom A., Hogendoorn P.C., Van Glabbeke M., Bertulli R., Judson I. Progression-free survival in gastrointestinal stromal tumors with high-dose imatinib: Randomized trial. Lancet. 2004; 364: 1127–1132. doi: 10.1016/S0140-6736(04)17098-0.
- Gramza A.W., Christopher L.C., Michael C.H. Resistance to tyrosine kinase inhibitors in gastrointestinal stromal tumors. Clin. Cancer Res. 2009; 15 (24): 7510–7518. doi: 10.1158/1078-0432.CCR-09-0190.
- Agaram N.P., Wong G.C., Guo T., Maki R.G., Singer S., Dematteo R.P., Besmer P., Antonescu C.R. Novel V600E BRAF mutations in imatinib-naive and imatinib-resistant gastrointestinal stromal tumors. Genes Chromosomes Cancer. 2008; 47: 853–859. doi: 10.1002/gcc.20589.
- Sakurama K., Noma K., Takaoka M., Tomono Y., Watanabe N., Hatakeyama S., Ohmori O., Hirota S., Motoki T., Shirakawa Y., Yamatsuji T., Haisa M., Matsuoka J., Tanaka N., Naomoto Y. Inhibition of focal adhesion kinase as a potential therapeutic strategy for imatinib-resistant gastrointestinal stromal tumor. Mol. Cancer Ther. 2009; 8: 127–134. doi: 10.1158/1535-7163.MCT-08-0884.
- Mahadevan D., Cooke L., Riley C., Swart R., Simons B., Della Croce K., Wisner L., Iorio M., Shakalya K., Garewal H., Nagle R., Bearss D. A novel tyrosine kinase switch is a mechanism of imatinib resistance in gastrointestinal stromal tumors. Oncogene. 2007; 26: 3909–3919. doi: 10.1038/sj.onc.1210173.
- Rock E.P., Goodman V., Jiang J.X., Mahjoob K., Verbois S.L., Morse D., Dagher R., Justice R., Pazdur R. Food and Drug Administration drug approval summary: sunitinib malate for the treatment of gastrointestinal stromal tumor and advanced renal cell carcinoma. Oncologist. 2007; 12: 107–113. doi: 10.1634/theoncologist.12-1-107.
- Demetri G.D., Reichardt P., Kang Y.-K., Blay J.-Y., Rutkowski P., Gelderblom H., Hohenberger P., Leahy M., von Mehren M., Joensuu H., Badalamenti G., Blackstein M., Le Cesne A., Schöffski P., Maki R.G., Bauer S., Nguyen B.B., Xu J., Nishida T., Chung J., Kappeler C., Kuss I., Laurent D., Casali P.G.; GRID study investigators. Efficacy and safety of regorafenib for advanced gastrointestinal stromal tumours after failure of imatinib and sunitinib (GRID): an international, multicentre, randomised, placebo-controlled, phase 3 trial. Lancet. 2013; 381: 295–302. doi: 10.1016/S0140-6736(12)61857-1.
- Boichuk S., Rausch J., Duensing A. New developments in management of gastrointestinal stromal tumors: regorafenib, the new player in the team. Gastrointest. Cancer: Targets and Therapy. 2014; 4: 1–10. doi: 10.2147/GICTT.S20679.
- Boichuk S., Galembikova A., Dunaev P., Valeeva E., Shagimardanova E., Gusev O., Khaiboullina S. A novel receptor tyrosine kinase switch promotes gastrointestinal stromal tumor drug resistance. Molecules. 2017; 22 (12): E2152. doi: 10.3390/molecules22122152.
- Boichuk S.V., Galembikova A., Dunaev P., Micheeva E., Valeeva E., Novikova M., Khromova N., Kopnin P. Targeting of FGF-Signaling re-sensitizes Gastrointestinal Stromal Tumors (GIST) to Imatinib in vitro and in vivo. Molecules. 2018; 23: 2643. doi: 10.3390/molecules23102643.
- Boichuk S., Galembikova A., Mikheeva E., Bikinieva F., Aukhadieva A., Dunaev P., Khalikov D., Petrov S., Kurtasanov R., Valeeva E., Kireev I., Dugina V., Lushnikova A., Novikova M., Kopnin P. Inhibition of FGF2-mediated signaling in GIST — promising approach for overcoming resistance to Imatinib. Cancers. 2020; 12 (6): 1674. doi: 10.3390/cancers12061674.
- Fletcher C.D., Berman J., Corless C., Gorstein F., Lasota J., Longley B.J., Miettinen M., O'Leary T.J., Remotti H., Rubin B.P., Shmookler B., Sobin L.H., Weiss S.W. Diagnosis of gastrointestinal stromal tumors: A consensus approach. Int. J. Surg. Pathol. 2002; 2: 81–89. doi: 10.1053/hupa.2002.123545.
- Miettinen M., Lasota J. Gastrointestinal stromal tumors: Pathology and prognosis at different sites. Semin. Diagn. Pathol. 2006; 2: 70–83. doi: 10.1053/j.semdp.2006.09.001.
- Akl M., Nagpal P., Ayoub N.M., Tai B., Prabhu S.A., Capac C.M., Gliksman M., Goy A., Suh K.S. Molecular and clinical significance of fibroblast growth factor 2 (FGF2/bFGF) in malignancies of solid and hematological cancers for personalized therapies. Oncotarget. 2016; 7 (28): 44 735–44 762. doi: 10.18632/oncotarget.8203.
- Ibrahimi O.A., Zhang F., Hrstka S.C., Mohammadi M., Linhardt R.J. Kinetic model for FGF, FGFR, and proteoglycan signal transduction complex assembly. Biochemistry. 2004; 43: 4724–4730. doi: 10.1021/bi0352320.
- Yu P.J., Ferrari G., Galloway A.C., Mignatti P., Pintucci G. Basic fibroblast growth factor (FGF-2): the high molecular weight forms come of age. J. Cell Biochem. 2007; 100: 1100–1108. doi: 10.1002/jcb.21116.
- Li F., Huynh H., Li X., Ruddy D.A., Wang Y., Ong R., Chow P., Qiu S., Tam A., Rakiec D.P., Schlegel R., Monahan J., Huang A. FGFR-mediated reactivation of MAPK signaling attenuates antitumor effects of imatinib in gastrointestinal stromal tumors. Cancer Discov. 2015; 5: 438–451. doi: 10.1158/2159-8290.CD-14-0763.
- Javidi-Sharifi N., Traer E., Martinez J., Gupta A., Taguchi T., Dunlap J., Heinrich M.C., Corless C.L., Rubin B.P., Druker B.J., Tyner J.W. Crosstalk between KIT and FGFR3 promotes gastrointestinal stromal tumor cell growth and drug resistance. Cancer Res. 2014; 75: 880–891. doi: 10.1158/0008-5472.CAN-14-0573.
Supplementary files






