К ВОПРОСУ О КОМИССУРОТОМИИ ПРИ МИТРАЛЬНОМ СТЕНОЗЕ
- Авторы: Смеловский С.И.1, Савченко T.М.1
-
Учреждения:
- Институт хирургии имени А. В. Вишневского АМН СССР (директор —действительный член АМН СССР, проф. А. А. Вишневский)
- Выпуск: Том 40, № 5 (1959)
- Страницы: 69-71
- Раздел: Статьи
- Статья получена: 22.02.2021
- Статья одобрена: 22.02.2021
- Статья опубликована: 29.09.1959
- URL: https://kazanmedjournal.ru/kazanmedj/article/view/61529
- DOI: https://doi.org/10.17816/kazmj61529
- ID: 61529
Цитировать
Полный текст
Аннотация
Для успешного развития сердечной хирургии большое значение имеют накопление фактического материала, анализ результатов и, прежде всего, неудач.
Ключевые слова
Полный текст
Для успешного развития сердечной хирургии большое значение имеют накопление фактического материала, анализ результатов и, прежде всего, неудач.
Приводим наше наблюдение:
Б-ная К., 18 лет, поступила с жалобами на одышку, сердцебиение в покое и при незначительной физической нагрузке а также быструю утомляемость. Считает себя больной с 14 лет (1952г) когда появились одышка и сердцебиением при быстрой ходьбе. Так как большие скорости отсоса вызывают охлаждение линотипного сплава, а малые не эффективны с гигиенической точки зрения. Одышка и сердцебиение прогрессивно усиливались, и в последнее время появились частые кровохарканья. Многократно болела ангинами и гриппом.
В области верхушки сердца «кошачье мурлыканье», выслушивается пресистолический шум, хлопающий первый тон, акцент второго тона на легочной артерии. В нижних отделах легких много влажных и сухих хрипов. Печень пальпируется у края реберной дуги. Видимые слизистые и ногтевые ложа синюшны. Отеков нет. Артериальное давление—100/50. Венозное давление—130. Жизненная емкость легких — 2200 мл. Проба Штанге— 14 сек, проба Сабразе — 8 сек. Кислорода в артериальной крови 94%, в венозной — 35%. Скорость кровотока — 25 сек. Со стороны крови и мочи патологических изменений нет.
Рентгенологически установлены значительно выраженные явления застоя в легких. При рентгено-фонодиагностическом исследовании (И. И. Савченков) обнаружен стеноз левого венозного отверстия размером до 0,5—0,8 см. Гипертрофированный левый желудочек. Дилятированное левое предсердие. Гипертензия в малом кругу кровообращения. Тахикардия. Склероз митрального клапана.
Диагноз: комбинированный митральный порок сердца с преобладанием резко выраженного стеноза митрального отверстия. Нарушение кровообращения степени II Б.
После лечения кислородом состояние больной улучшилось, хрипы не выслушивались. В связи с этим 20/ХІ-56 г. было решено произвести комиссуротомию под местным обезболиванием и интубацией трахеи. После отведения кожно-мышечного лоскута вверх и влево до вскрытия плевральной полости появились клонико-тонические судороги конечностей и туловища с потерей сознания, резко выраженным цианозом, исчезновением пульса. Судороги повторялись 5 раз, через короткие промежутки времени. Внезапно наступила фибрилляция желудочков. Произведены торакотомия, массаж, дефибрилляция сердца и комиссуротомия, после чего фибрилляция желудочков была снята, но цианоз усиливался. Оживление продолжалось 55 мин, цианоз нарастал, активных сокращений сердца не наблюдалось. Больная умерла.
На секции обнаружен ревматический порок сердца с преобладанием стеноза левого венозного отверстия. Последнее пропускает V палец и имеет надрывы клапана: в области передней комиссуры— длиной 3 мм, в области задней — 2 мм. Створки клапана резко утолщены, укорочены, срослись, склерозированы и петрифицированы. Часть левого ушка резецирована, на оставшуюся наложена одна круговая шелковая лигатура. Сердце дряблое, больших размеров, сократилось очень плохо, полости его расширенные, пустые. Отмечается гипертрофия миокарда, преимущественно правой половины сердца. Миокард глинистого вида, тусклый, с множественными точечными и более крупными кровоизлияниями, главным образом в левом желудочке.
Стенка легочной артерии значительно утолщена, интима ее содержит большое количество атероматозных бляшек. Средние и мелкие ветви зияют на разрезе, стенки их утолщены, просветы сужены. Нижняя доля левого легкого в состоянии ателектаза. Остальные отделы легких воздушны, резко застойны, на поверхности разреза имеют ржавый оттенок. В левой почке — множественные рубцы после инфарктов. Со стороны других внутренних органов отмечаются резкий венозный застой и множественные кровоизлияния под эпикард, особенно на задней поверхности, и под эндокард, в слизистую трахеи и желудка, под капсулу селезенки и почек. При гистологическом исследовании створок митрального клапана установлены резкий фиброз и гиалиноз с большим количеством новообразованных кровеносных сосудов. Гипертрофия мышечных волокон желудочков сердца. В легких бурая индурация и ателектаз нижней доли правого легкого.
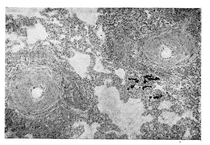
При гистологическом исследовании легочных артерий и их ветвей отмечено избыточное разрастание внутренней оболочки, как диффузное, так и в виде бляшек. Специальной окраской на жир в некоторых из них выявлено значительное скопление липоидов. В сосудах мышечного типа отмечена гипертрофия мышечно-эластического аппарата. В артериолах — нередко гиалиноз стенки. Стенка многих сосудов малого калибра имела зернистый или глыбчатый вид. Вокруг мелких сосудов отмечалось избыточное разрастание соединительной ткани (рис. 1).
За последние 20—25 лет в связи с разработкой патологической анатомии ревматизма обнаружены ревматические изменения сосудов легких, выражающиеся в фибриноидном набухании стенки, разрастании внутренней оболочки с ее метахромазией («мукоидный отек»), периартериитах и пр. В дальнейшем развивается склероз с дезорганизацией мышечного и эластических слоев, сужением или облитерацией просвета. Эти ревматические изменения могут касаться как крупных, так и мелких, артерий, вплоть до капилляров.
По данным Т. Ф. Когой, при ревматических пороках, особенно декомпенсированных. происходят тяжелые изменения в системе сосудов легочной артерии в форме атеросклероза в более крупных и гиалиноза — в мельчайших. Интенсивность изменения ветвей легочной артерии зависит от степени повышения давления в малом кругу кровообращения.
На основании литературных данных, а также подробного макро- и микроскопического анализа изменений в легочной артерии с учетом клинических данных, заболевание в описанном нами случае следует расценивать как вторичный диффузный склероз легочной артерии, возникший на почве повышения давления в малом кругу кровообращения в связи с ревматическим митральным пороком сердца и явившийся одной из причин смерти больной.
Микрофотограмма легкого. Окраска гематоксилин-эозином. Малое увеличение — окуляр 7, объектив 6. Просветы альвеол с утолщенными стенками и две легочные артерии мышечного типа, стенки которых резко утолщены, просветы значительно сужены за счет гипертрофии мышечно-эластического аппарата.
Интерес данного наблюдения заключается в том, что у больной с компенсированным митральным стенозом была резко снижена жизненная емкость легких. Надо полагать, это было связано с резким склерозом легочной артерии, изменениями артериол и венул, а также с сильно выраженной бурой индурацией легких. Ателектаз нижней доли левого легкого после диагностического пневмоторакса, произведенного за два дня до операции, ухудшил и без того нарушенный газообмен. Все, вместе взятое, способствовало усугублению хронической гипоксии, которая сопровождалась клонико-тоническими судорогами конечностей и туловища с потерей сознания, резким цианозом и фибрилляцией желудочков.
Надо уделять больше внимания состоянию легких у больных с митральными стенозами и более тщательно выявлять степень поражения легочной артерии и ее ветвей, используя косвенные признаки — показатели внешнего дыхания, пробу Штанге, Сабразе и др. Такого рода больных следует распределять на отдельные группы по стадиям поражения, примерно так же, как больных с гемодинамическими нарушениями при пороках сердца.
По-видимому, таким больным, как наша, с далеко зашедшими изменениями в легких, комиссуротомия не только не показана, но даже опасна, ибо они страдают хронической гипоксией, развившейся на почве необратимых изменений в легких. Это положение подтверждает наш клинический опыт. У ряда больных, которым была успешно произведена комиссуротомия, после операции улучшения не наступало, не исчезали одышка, кровохарканье, слабость и другие симптомы расстройства кровообращения в малом кругу с гипоксией.
Об авторах
С. И. Смеловский
Институт хирургии имени А. В. Вишневского АМН СССР (директор —действительный член АМН СССР, проф. А. А. Вишневский)
Автор, ответственный за переписку.
Email: info@eco-vector.com
Россия
T. М. Савченко
Институт хирургии имени А. В. Вишневского АМН СССР (директор —действительный член АМН СССР, проф. А. А. Вишневский)
Email: info@eco-vector.com
Россия
Список литературы
Дополнительные файлы




