Къ ученію о хромаффинной системѣ. Къ вопросу о строеній сонной железы (Glandula carotica) у человѣка
- Авторы: Яхонтовъ К.М.
- Выпуск: Том 14, № 3-6 (1914)
- Страницы: 137-153
- Раздел: Статьи
- Статья получена: 29.10.2020
- Статья одобрена: 29.10.2020
- Статья опубликована: 13.03.1914
- URL: https://kazanmedjournal.ru/kazanmedj/article/view/48732
- DOI: https://doi.org/10.17816/kazmj48732
- ID: 48732
Цитировать
Полный текст
Аннотация
Къ числу представителей хромаффинной системы, кромѣ мозгового вещества надпочечниковъ („Paraganglion suprarenale ) и добавочныхъ органовъ симпатическаго нерва („Paraganglion aorticum abdominale"), изъ которыхъ послѣдніе уже были предметомъ моихъ ближайшихъ изслѣдованій*), А. Kohn причисляетъ и, такъ называемую, сонную железу, давъ ей, по аналогіи съ другими парагангліями, названіе „Paraganglion intercaroticum*. Этимъ названіемъ основатель теоріи хромаффинной системы опредѣляетъ, какъ генетическія отношенія даннаго образованія, именно его родство съ симпатическими гангліями, такъ и его морфологическія свойства, выражающіяся въ хромаффинности.
Ключевые слова
Полный текст
Къ ученію о хромаффинной
системѣ.
Къ вопросу о строеній сонной жедезы (Glandula carotica) у человѣка.
Къ числу представителей хромаффинной системы, кромѣ мозгового вещества надпочечниковъ („Paraganglion suprarenale” и добавочныхъ органовъ симпатическаго нерва („Paraganglion aorti- cum abdominale"), изъ которыхъ послѣдніе уже были предметомъ моихъ ближайшихъ изслѣдованій*), А. Kohn причисляетъ и, такъ называемую, сонную железу, давъ ей, по аналогіи съ другими парагангліями, названіе „Paraganglion intercaroticum*. Этимъ названіемъ основатель теоріи хромаффинной системы опредѣляетъ, какъ генетическія отношенія даннаго образованія, именно его родство съ симпатическими гангліями, такъ и его морфологическія свойства, выражающіяся въ хромаффинности.
Но по отношенію именно къ сонной железѣ вопросъ о принадлежности ея къ хромаффинной системѣ не такъ уже ясенъ, какъ по отношенію къ первымъ двумъ образованіямъ. Этимъ объясняется то обстоятельство, что и послѣ капитальныхъ работъ Kohn’a авторы до послѣдняго времени продолжаютъ интересоваться строеніемъ этой железы и къ единодушнымъ заключеніямъ всетаки не приходятъ. Это же обстоятельство побудило и насъ приступить къ изученію строенія сонной железы и изслѣдовать ее именно съ точки зрѣнія ея хромаффинности, при чемъ критеріемъ хромаффинности въ данномъ случаѣ намъ служили тѣ же добавочные органы симпатическаго нерва, которые были нами изслѣдованы и которые являются исключительно хромаффинными образованіями.
Макроскопически сонная железа извѣстна анатомамъ уже давно. Такъ, еще Haller 1) (1766) отмѣтилъ её подъ названіемъ „Ganglion exiguum“, а его ученикъ Taube 2) (1843)—подъ названіемъ „Ganglion minutum". Andersch 3) (1797) далъ ей названіе „Ganglion intercaroticum" за богатство ея нервными элементами. Въ 1862 году сонную железу подробно описалъ Lusсhka 4), которому принадлежитъ заслуга и перваго микроскопическаго описанія этой железы. Описаніе его сводятся въ общихъ чертахъ къ слѣдующему. Органъ, по б. ч., представляетъ одно иродолговато-круглое тѣльце, длиной шах. 7 mm., 4 mm. шириной и 2—толщиной. Нерѣдко оно состоитъ изъ двухъ неодинаковыхъ по величинѣ половинокъ, иногда распадается на 4 — 5 глыбокъ, которыя тогда легко просмотрѣть. Органъ этотъ находится обычно не внутри мѣста дѣленія а. carotis, но, по б. ч., примыкаетъ къ медіальной сторонѣ верхняго конца car tis primitiva. Онъ заключенъ какъ бы въ капсулу, которая непрерывно связана съ t. adventitia сосудовъ. Кромѣ того, органъ укрѣп ленъ еще при помощи связочки, которая идетъ отъ нижняго конца его, состоитъ почти сплошь изъ эластическихъ волоконъ и проникаетъ въ t. media сосудовъ. Окраска узелка—желтокрасная; консистенція— плотнѣе, чѣмъ у ганглія Органъ питается 2 — 3 сосудиками, которые отходятъ отъ а. carotis тутъ же подъ угломъ ея дѣленія. Эти сосудики входятъ въ органъ и распадаются на обильную капиллярную сѣть. Нервы, идущіе къ органу, выходятъ изъ plexus intercaroticus. Войдя въ органъ, они также образуютъ родъ сѣти, состоящей изъ Rema к’овскихъ волоконъ. Сосуды и нервы составляютъ, такимъ образомъ, строму органа. Паренхима же его состоитъ изъ гангліозныхъ клѣтокъ, большая часть которыхъ совершенно не имѣетъ отростковъ. Эти клѣтки расположены группами, окружаясь оболочками изъ соединительной ткани. Клѣтки, б. ч., округлой формы и располагаются на подобіе эпителія, напоминая своимъ расположеніемъ железистыя дольки. Такой характеръ расположенія клѣточныхъ элементовъ даетъ автору основаніе признать въ этомъ органѣ железистое образованіе, очень богатое нервами—„Nervendriise" и обозначить его, какъ „Glandula carotica". Относительно постоянства этой железы у человѣка, Luschka пишетъ, что онъ нашелъ ее въ сотнѣ изслѣдованныхъ случаевъ 1) и, хотя она иногда сильно редуцировалась, однако никогда не исчезала совершенно.
Arnold 2) въ 1865 году, изслѣдуя сонную железу, пришелъ къ заключенію, что это образованіе есть ни что иное, какъ сосудъ, стѣнка котораго на опредѣленномъ мѣстѣ сильно разрослась и образована многослойнымъ эпителіемъ, почему онъ и рекомендовалъ назвать его подъ общимъ именемъ —„Glomeruli arteriosi inter- carotici", такъ какъ здѣсь налицо имѣется нѣсколько клѣточныхъ кучекъ, связанныхъ между собою соединительной тканью.
Eberth 3) указываетъ, что эпителіальныя клѣтки, составляющія органъ, принадлежатъ собственно перигелію, т. ѳ. наружному слою adventitiae сосудовъ. Согласно съ нимъ, Waldeyer (1872) всѣ органы, имѣющіе подобное строеніе (наир., еще G1. coccygea), относитъ къ разряду Perithelorgane.
Въ 1881 г. Stieda 4) первый изъ авторовъ подошелъ къ разрѣшенію вопроса о происхожденіи и строеніи органа съ эмбріологической точки зрѣнія, доказывая, что Gl. carotica развивается изъ эпителія Kiemenspalte. Но его данныя потомъ были опровергнуты цѣлымъ рядомъ изслѣдователей (Paltauf, Jacoby, Prenant и др.), которые показали, что то, что описалъ Stieda подъ названіемъ Gl. carotica, принадлежитъ не ей, а эпителіальнымъ тѣльцамъ (Gl. parathyreoidea), и что Gl. carotica есть опять таки производное клѣтокъ адвентиціи А. carotis interna. Marchand 5) (1891) разсматриваетъ данное образованіе, какъ рудиментарный органъ, для котораго подходитъ названіе „Nodulus caroticus". Онъ построенъ изъ клѣтокъ сосудистыхъ стѣнокъ, которыя перемѣшаны съ эпителіоидными клѣтками, окружающими сосуды.
Paltauf 6) (1892) причисляетъ этотъ органъ къ железистымъ образованіямъ въ томъ смыслѣ, въ какомъ мы обозначаемъ железами thymus, лимфатическіе узлы и т. и. Schaper 1) (1892) находитъ, что клѣтки железы имѣютъ ясно эпителіальный характеръ и потому она должна имѣть специфическую функцію, изученіе которой стоитъ на очереди.
Но въ томъ же (1895) году Stilling 2) въ ganglion inter- caroticum, какъ онъ назвалъ сонную железу, наряду съ обычными клѣтками железы, которыя располагаются кучками, находитъ еще другія клѣтки, которыя отъ двухромокислаго калія принимаютъ коричневую окраску—совершенно аналогично мозговымъ клѣткамъ надпочечниковъ. Эти клѣтки совершенно такія же, какія онъ находилъ и въ маленькихъ тѣльцахъ, принадлежащихъ брюшной части sympathicus’a. Найденныя особенности заставляютъ придти Stіllіng’a къ заключенію, что ganglion intercaroticum есть „une glande vasculaire sanguine со структурой аналогичной клѣткамъ надпочечника".
Изъ этого краткаго очерка видно, что представленія авторовъ о строеніи этого своеобразнаго органа были въ высшей степени различны, неустойчивы, почему ни одно изъ названій, предложенныхъ авторами, не получило оффиціальнаго анатомическаго признанія и въ новую анатомическую номенклатуру органъ вошелъ подъ общимъ названіемъ „Glomus caroticum" (Fusаrі).
Въ виду такой неопредѣленности по данному вопросу, для точнаго выясненія строенія органа, для выясненія того, „sind es Endothelzelleu , Eberth’sche Peritelzellen , Waldeуer’sche Plasmazellen, Gefasswandzellen, adventitielle Bindegewebszellen oder Drfisenzellen", A. Kohn предпринялъ большое изслѣдованіе органа на различныхъ животныхъ (лошадь, свинья, собака, кроликъ, морская свинка, крыса, мышь, обезъяна) и на человѣкѣ, вь результатѣ чего и явилась работа 3): „Uber den Bau und die Entwicklung der sog. Carotisdriise"—работа, почти исчерпывающая изслѣдуемый вопросъ, выяснившая также и происхожденіе сонной железы, установившая ея классификацію.
Примѣняя для фиксаціи хромовыя смѣси, Kohn убѣдился, что специфическимъ элементомъ сонной железы являются „хромаффинныя" клѣтки, присутствіе которыхъ въ органѣ онъ могъ констатировать у всѣхъ изслѣдуемыхъ имъ животныхъ. На ряду съ хромаффинными клѣтками въ органѣ встрѣчаются также и отдѣльныя гангліозныя клѣтки, а также клѣтки, отъ хрома не окрашивающіяся. Богатство органа симпатическими, безмякотными нервными волокнами указываетъ на близкое отношеніе органа къ симпатической нервной системѣ. Эмбріологическія изслѣдованія (на свиныхъ зародышахъ) подтверждаютъ, что хромаффинныя клѣтки железы происходятъ изъ эмбріональныхъ симпатическихъ клѣтокъ, что указываетъ уже на генетическую связь органа съ симпатической системой. Благодаря ягенетической, гистологической и топографической “ связи органа съ симпатическими гангліями, Kohn относитъ его къ разряду „парагангліевъ", какъ онъ называетъ вообще хромаффинные органы, предлагая его назвать „Paraganglion intercaroticum“. Этотъ параганглій богато васкуляризированъ. Хромаффинныя клѣтки имѣютъ различную—кругловатую, призматическую, цилиндрическую и иногда плоскую—форму. Протоплазма ихъ мелкозерниста. Ядро большое, съ контурированной оболочкой и ядрышкомъ. Располагаются клѣтки кучками, которыя окружены соединительной тканью, въ которой расположены сосуды и симпатическіе нервы. Количество клѣтокъ, въ зависимости отъ рода животнаго, колеблется. Особенно въ этомъ отношеніи не удобна для изслѣдованія сонная железа собаки. Кромѣ хромаффинныхъ клѣтокъ, между ними встрѣчаются и гангліозныя клѣтки, которыя легко отличать по зернистости Nіssl'я. Отдѣльныя нервныя волоконца проникаютъ и между отдѣльными клѣтками, образуя вокругъ нихъ цѣлыя сплетенія.
Производя эмбріологическія изслѣдованія, Kohn находитъ, что А. carotis interna у зародышей млекопитающихъ непосредственно подъ мѣстомъ дѣленія, дѣйствительно, испытываетъ значительное утолщеніе своей стѣнки, которое пронизывается тонкими сосудами. Но это сосудистое сплетеніе, такъ наз. „Carotislabyrinth", по мнѣнію автора, ничего общаго съ описываемымъ органомъ не имѣетъ. Эмбріональные симпатическіе зачатки, которые позднѣе даютъ начало хромаффиннымъ элементамъ органа, происходятъ отъ верхняго шейнаго ганглія, помѣщающагося въ зародышевой жизни между каротидами; дифференцированіе зачатковъ авторъ ясно могъ констатировать у 44 mm. G. L. свиного зародыша.
Что касается развитія сонной железы у человѣка, то данныя относительно этого мы находимъ въ дальнѣйшей работѣ Коhn'а 1) — „Die Paraganglien", въ которой онъ показываетъ развитіе хромаффинныхъ органовъ на зародышахъ кролика, кошки и на человѣческихъ зародышахъ.
У человѣческаго эмбріона 19,5 mm. G. L. авторъ нашелъ только симпатическое сплетеніе, но никакихъ слѣдовъ железы. У эмбріоновъ 19 mm. N. L. и 22 mm. G. L. можно найти уже первые зачатки железы. Она представлена въ видѣ скопленія клѣтокъ на медіальной и вентральной поверхности а. carotis interna тотчасъ же надъ мѣстомъ дѣленія. Клѣтки по ихъ виду не походятъ нп на маленькія, рѣзко окрашенныя гангліозныя клѣтки симпатическаго сплетенія, ни на хромаффинныя и меньше всего— на клѣтки утолщенной стѣнки carotis. Опредѣленнаго заключенія относительно ихъ происхожденія па этой стадіи развитія сдѣлать еще невозможно.
У эмбріона 24 mm. G. L. эмбріональные зачатки железы дѣлаютъ шагъ впередъ, и можно сказать уже съ вѣроятностью, что элементы железы происходятъ отъ sympathicus. У эмбріона 27 mm. G. L. на медіальной поверхности а. carotis interna, стѣнка которой значительно утолщена, сонная железа выступаетъ уже ясно, какъ скопленіе небольшихъ тяжей, состоящихъ изъ клѣтокъ. Не трудно разглядѣть, что онѣ происходятъ ивъ прилежащаго симпатическаго ганглія, въ которомъ можно видѣть тѣ же самыя клѣтки, того же самаго вида и распредѣленія. Позднѣйшія стадіи доказываютъ ее соотвѣтствіе съ парагангліями. Однако на этой стадіи клѣтки сильно отличаются отъ хромаффинныхъ. Онѣ похожи па симпатическія гангліозныя клѣтки, по нѣсколько больше и не такъ плотно расположены, съ другой стороны онѣ—далеко не такъ свѣтлы и нѣжны, какъ клѣтки парагангліевъ.
У эмбріона въ 50 mm. Paraganglion intercaroticum, клѣтки котораго теперь расположены ясными группами и тяжами, еще не соотвѣтствуетъ общему типу хромаффинныхъ органовъ. Въ своемъ окончательномъ строеніи параганглій въ различной степени также уклоняется отъ своего основного характера.
Затѣмъ Kohn изслѣдовалъ Р. intercaroticum и у взрослыхъ людей 1) и, хотя матеріалъ для изслѣдованія былъ „не очень свѣжій", результаты получались въ общемъ сходные по сравненію съ другими животными. Въ сонной железѣ молодого человѣческаго индивидуума онъ всегда находилъ отдѣльныя клѣтки, выдающіяся по величинѣ среди другихъ клѣтокъ. Хромаффинная реакція давала сходные результаты, хотя ему и не удалось вызвать ясную желтую окраску въ отдѣльныхъ клѣткахъ, въ то время какъ остальныя клѣтки принимали желтовато сѣрый оттѣнокъ. Но зато Kohn очень убѣдительные результаты получилъ при изслѣдованіи сонной железы у обезъяны (Macacus rhesus). Здѣсь клѣтки давали ясную реакцію, лежали по одиночкѣ или соединялись вмѣстѣ, образуя маленькія (по 2-3 клѣтки) группы.
Понятно, что такая работа Kohn’а, которая внесла совершенно новое представленіе о железѣ, установила новый взглядъ на строеніе, положеніе и происхожденіе этого спорнаго органа, возбудила общій интересъ и вызвала рядъ чисто повѣрочныхъ работъ надъ этимъ органомъ. Къ такимъ работамъ, напр., относится работа Мonсkеbеrg’a 1) (1905), который, изслѣдуя железу, долженъ былъ отмѣтить въ вей превосходство клѣтокъ, не дающихъ хромаффинной реакціи, а также и особенно тѣсную связь клѣтокъ сь кровеносной системой, и на основаніи этого долженъ былъ отвести железѣ особенное положеніе между парагангліями. Названный авторъ изслѣдовалъ железу на 23 человѣческихъ трупахъ, отъ новорожденнаго до 73 лѣтняго, и для контроля—еще нѣсколько железъ на кроликѣ, при чемъ на человѣкѣ онъ имѣлъ возможность изслѣдовать железы уже чрезъ 2—8 ч. послѣ смерти. Онъ отмѣчаетъ, что органъ богатъ капиллярами, вокругъ которыхъ группируются специфическія клѣтки железы, образуя отдѣльныя ячейки органа, богатъ безмякотными нервными волокнами, которыя, по его предположенію, вступаютъ въ интимную связь съ клѣтками. Что касается хромаффинныхъ элементовъ, то у человѣка онъ нашелъ ихъ въ ограниченномъ количествѣ и лежащими изолированно по одиночкѣ между другими клѣтками. На основаніи своихъ изслѣдованій, авторъ не можетъ согласиться съ мнѣніемъ Kohn’а объ идентичности всѣхъ специфическихъ клѣтокъ железы съ хромаффинными и потому предпочитаетъ употреблять старое названіе „железа", а не „параганглій". Сюда же относится работа Pende и Tarozzi, которые у новорожденныхъ и взрослыхъ хромаффинной реакціи въ сонной железѣ получить не могли. Vаssаlе 3), изслѣдуя железу у кошки, также не могъ получить этой реакціи, тогда какъ остальные парагангліи симпатическаго сплетенія давали интенсивную коричневую окраску. Не получилась у него также и реакція Vulpian’a съ хлористымъ желѣзомъ. На основаніи своихъ изслѣдованій, авторъ не можетъ считать сонную железу за параганглій.
Такимъ образомъ, получилось несоотвѣтствіе между выводами Koh п’а и заключеніями послѣднихъ авторовъ относительно натуры сонной железы: первый доказывалъ хромаффинную природу железы, послѣдніе ее констатировать не могли. Вотъ это то разногласіе между авторами, а также и тотъ интересъ, которые возбудили во мнѣ добавочные органы, имѣющіе такое оригинальное строеніе, побудили меня произвести рядъ повѣрочныхъ изслѣдованій и надъ сонной железой, какъ образованіемъ, по мнѣнію Коhn’а. тоже принадлежащимъ къ хромаффинной системѣ.
Я изслѣдовалъ въ этомъ отношеніи 4 плода (6—8 мѣсяцевъ), 20 дѣтскихъ трупиковъ (въ возрастѣ съ одного дня отъ рожденія и до 2-хъ мѣсячнаго возраста) и 14 труповъ взрослыхъ (въ возрастѣ отъ 20 до 55 лѣтъ) 1).
Порядокъ изслѣдованія былъ такой.
Прежде всего, я пытался на сонной железѣ констатировать хромаффинную реакцію. Для этого вся ткань въ области бифуркаціи а. carotis communis вырѣзалась in toto (а. carotis, ѵ. jugu- iaris4 n. vagus, n. sympathicus съ g. cervicale superius), поверхностно распренаровывалась—сзади, чтобы жидкость имѣла доступъ къ железѣ, и потомъ продѣлывалась хромаффинная реакція—или путемъ прикладыванія (непремѣнно къ задней поверхности артеріи) ватнаго тампона, пропитаннаго 3,5% воднымъ растворомъ К. bichromici, или путемъ погруженія изслѣдуемаго куска въ ту же жидкость. На слѣдующій день ткань тщательно распрепаровыва- лась и выдѣленная железа дополнительно фиксировалась для гистологическаго изслѣдованія. Для фиксаціи чаще всего употреблялась смѣсь—К. bicliromicum-formol, но сообразно съ спеціальными цѣлями употреблялись и другія фиксирующія жидкости (10% формалинъ, хромъ-осміевы смѣси) 2).
Результаты макроскопическаго изслѣдованія слѣдующіе.
Величина органа индивидуально колеблется: у дѣтей она очень мала, не превышая 11/2 mm. въ длину, 1/2 mm. въ ширину и толщину; у взрослыхъ величина ея достигаетъ 8 mm. въ длину (см. рис. 2-й), ширина—обычно 2—3 mm., толщина очень незначительна, никогда не болѣе 2 mm.; чаще всего органъ, слѣдовательно, имѣетъ плоскую форму, книзу онъ постепенно суживается, переходя въ связочку, соединяющую его со стѣнкой артеріи. Органъ находится на задней стѣнкѣ а. carotis com., тотчасъ же подъ угломъ ея дѣленія, выдаваясь своей верхней частью въ уголъ между а. а. carot. ext. et. int., иногда онъ находится выше, соединяясь съ а. carot. externa. Здѣсь нужно обратить вниманіе на то обстоятельство, что органъ лежитъ въ толщѣ адвентиціи сосудовъ, такъ что при поверхностной препаровкѣ его можно просмотрѣть, и поэтому найти его на первыхъ порахъ довольно затруднительно. Питается органъ нѣсколькими артеріальными вѣточками, берущими начало отъ а. carotis comm., отъ угла дѣленія ея и отъ а. са- rot. externa. Вѣточки эти очень тонки и ни одна изъ нихъ преобладающаго размѣра не получаетъ. Вѣточки подходятъ къ органу со всѣхъ сторонъ, такъ что какого либо подобія hilus’a я ваблю дать не могъ. Нервные стволики къ органу подходятъ отъ plexus intercaroticus, которое, тоже въ видѣ плоскаго узелка, лежитъ нѣсколько выше.
Органъ принадлежитъ къ числу не преходящихъ съ возрастомъ образованій, но является органомъ постояннымъ: у взрослыхъ я его находилъ всегда, у дѣтей онъ не найденъ мною, очевидно, чисто по внѣшнимъ условіямъ, только въ двухъ случаяхъ. При этомъ органъ растетъ—увеличивается съ возрастомъ въ своихъ размѣрахъ.
Хромаффинная реакція на изслѣдуемыхъ объектахъ 1) мною не была получена ни разу, несмотря на тщательный и продолжительный способъ хромированія. Правда, на нѣкоторыхъ объектахъ получалась слабокоричневая окраска, но при микроскопическомъ изслѣдованіи въ такихъ случаяхъ приходилось относить окраску на счетъ хромированія кровяныхъ тѣлецъ, каковыя здѣсь находились въ громадномъ количествѣ, а не на счетъ хромированія клѣточныхъ элементовъ железы.
Перехожу теперь къ микроскопическому описанію органа. Органъ подъ микроскопомъ показываетъ ясно альвеолярное или дольчатое строеніе: клѣтки собраны въ группы, связанныя между собою въ одно цѣлое соединительной тканью, составляющей продолженіе адвентиціи а. carot. comm, или а. caret, ext. и int. (см. рис. 3-й). Органъ, такимъ образомъ, рѣзко выраженной и отграниченной капсулы не имѣетъ. Въ соединительной ткани содержится много эластическихъ волоконъ (окраска по Wei gert’y), здѣсь находится масса сосудовъ (см. рис. 4-й), а также проходятъ симпатическіе нервные стволики, состоящіе изъ безмякотныхъ волоконъ, но изрѣдка попадаются волокна и съ міэлиновой оболочкой. Симпатическихъ узелковъ въ соединительной ткани я не встрѣчалъ.
Въ самыхъ долькахъ или „гнѣздахъ", какъ ихъ называютъ нѣкоторые авторы, содержится также обильная сѣть капилляровъ (см. рис. 4 и 5), вокругъ которыхъ группируются клѣточные элементы железы. При обработкѣ по способу Bielschowsky=Maresch’a видно, какъ соединительная ткань входитъ въ эти дольки, развѣтвляясь здѣсь по типу Gitterfasern, которыя охватываютъ на подобіе петли уже маленькіе комплексы (по 2—3) клѣтокъ, составляя для нихъ какъ бы reticulum. Входятъ ли въ эти кучки также и нервныя волокна, мнѣ путемъ импрегнаціи прослѣдить это, конечно, было невозможно.
Самыя клѣтки имѣютъ овальную или угловатую форму, бѣдное хроматиномъ ядро. Онѣ тѣсно примыкаютъ другъ къ другу, границъ между ними не видно. Протоплазма ихъ мелко зерыиста. Красятся всѣми обычными красками, и только нѣкоторыя изъ нихъ послѣ хромированія принимаютъ желтокоричневую окраску, которая устойчива противъ дополнительнаго окрашиванія фоновыми врасками и, благодаря этому, онѣ рѣзко выдѣляются изъ общаго количества клѣтокъ. Это и есть хромаффинныя клѣтки железы. Но такихъ клѣтокъ въ органѣ немного, лежатъ онѣ по одиночкѣ или маленькими кучками. Обращаетъ на себя вниманіе ихъ интимное отношеніе къ капиллярамъ: хромаффинныя клѣтки располагаются преимущественно около капилляровъ и тѣсно примыкаютъ къ ихъ стѣнкѣ (см. рис. 5). Гангліозныхъ клѣтокъ между ними я ни разу не встрѣтилъ.
Итакъ, по моимъ наблюденіямъ, сонная железа состоитъ, главнымъ образомъ, изъ сосудовъ, вокругъ которыхъ расположены гнѣздами клѣтки. Среди этихъ клѣтокъ есть и хромаффинныя клѣтки, но въ количественнномъ отношеніи онѣ преобладанія предъ остальными клѣтками не имѣютъ.
Если теперь сопоставить сонную железу и—чисто хромаффинные—добавочные органы брюшного Sympathicus’a, то между ними представляются слѣдующія особенности.
Сонная железа представляетъ органъ постоянный въ теченіе всей индивидуальной жизни человѣка, тогда какъ добавочные органы съ возрастомъ постепенно атрофируются. Сонная железа не даетъ макроскопически хромаффинной реакціи, для добавочныхъ же органовъ эта реакція постоянна и специфична. Такое различное отношеніе къ хромаффинности объясняется тѣмъ, что первая содержитъ только отдѣльные хромаффинные элементы, вторые же есть исключительно хромаффинныя образованія.
Въ добавочныхъ органахъ сосуды никогда не представляютъ такого характернаго преобладанія, какъ въ Gl. carotica.
Такъ какъ железа не имѣетъ ясно выраженной капсулы, которая обособляла бы его со всѣхъ сторонъ отъ сосѣднихъ частей, то её въ строгомъ смыслѣ трудно называть даже органомъ, а скорѣе это—болѣе или менѣе значительный комплексъ клѣтокъ, заложенныхъ вмѣстѣ съ сосудами и нервами въ разросшейся адвентиціи а. carotis. Такъ я охарактеризовалъ бы эту железу въ морфологическомъ отношеніи, при чемъ это скопленіе клѣтокъ назвать я парагангліемъ", т. е. чисто хромаффиннымъ образованіемъ, на основаніи своихъ собственныхъ наблюденій, я съ увѣренностью не могу. Можетъ быть, въ гистогенетическомъ отношеніи такое названіе правильно характеризуетъ железу, ея происхожденіе и отношеніе къ симпатическимъ эмбріональнымъ гангліямъ. Но по отношенію къ уже сформировавшейся железѣ, съ морфологической точки зрѣнія это названіе будетъ до нѣкоторой степени искусственнымъ, такъ какъ специфическіе элементы параганглія—имевно хромаффинныя клѣтки въ сонной железѣ далеко не превалируютъ предъ другими составными элементами железы. Поэтому правильнѣе. мнѣ кажется, оставить старое, болѣе общее и болѣе употребительное названіе, именно glandula carotica. Къ такому же убѣжденію въ результатѣ своихъ изслѣдованій пришелъ и Monckeberg.
Въ отношеніи хромаффинности, слабый пунктъ и, къ сожалѣнію, не устранимый по отношенію къ человѣку заключается въ томъ, что изслѣдованія приходится производить на трупномъ матеріалѣ. Поэтому отсутствіе хромаффинной реакціи здѣсь еще не убѣдительно. Качествомъ матеріала объясняли и Stilling и Kohn отрицательный результатъ, полученный ими на человѣкѣ. Но Monckeberg 1) изслѣдовалъ трупы только чрезъ 2—8 ч., даже чрезъ 3/4 часа послѣ смерти и все же въ сонной железѣ онъ могъ наблюдать только отдѣльныя хромаффинныя клѣтки. Такіе же результаты онъ получилъ и у кролика. Съ другой стороны, добавочные органы симпатическаго нерва постоянно давали мнѣ ясно выраженную хромаффинную реакцію даже на второй и на третій день послѣ смерти. Наконецъ, опухоли, происходящія изъ сонной железы и фиксированныя непосредственно послѣ операціи, также не давали картины исключительно хромаффиннаго органа; такъ, М б п- ckeberg, изслѣдовавшій три случая такихъ опухолей, приходитъ къ слѣдующему выводу: „какъ въ нормальной Gl. carotica на хромированіе реагируютъ желтой окраской только отдѣльныя клѣтки, такъ и въ происходящихъ изъ нихъ опухоляхъ при фиксированіи въ Мюллеровской жидкости только отдѣльные клѣточные элементы становятся желтыми". (S. 61).
Отсюда также видно, что органъ, представляющій, повидимому, исключительно теоретическій интересъ, на самомъ дѣлѣ имѣетъ нѣкоторое и практическое значеніе, такъ какъ можетъ служить источникомъ новообразованій.
По Licini (цит. по В і е d Гю) до 1908 г. описано 28 такихъ опухолей. Онѣ принадлежатъ къ сравнительно доброкачественнымъ формамъ злокачественныхъ опухолей; ихъ ростъ, по б. ч., медленный и клиническіе симптомы обусловливаются, г. о , локализаціей опухоли.
Для примѣра я воспользуюсь данными Мб n с k е b е rg’a, который, какъ уже сказано, изслѣдовалъ три случая такихъ опухолей— у мужчины 52 л., женщины 30 и женщины 50 лѣтъ. Опухоли исходили изъ угла дѣленія а. carotis съ лѣвой стороны, достигали величины приблизительно куринаго яйца, сдѣлались замѣтными въ теченіе послѣднихъ трехъ лѣтъ, консистенція напоминала struma colloides, цвѣтъ темнокрасный. Клиническіе симптомы обусловливались сжатіемъ carotis, давленіемъ на vagus съ laryng. super., sympathicus. Опухоль обрастала и отчасти прорастала сонныя артеріи; при микроскопическомъ изслѣдованіи, клѣтки оказались очень богатыми гликогеномъ, опухоль имѣла альвеолярное строеніе, съ сильнымъ развитіемъ соединительной ткани и сосудовъ, вообще по строенію совершенно была сходна со строеніемъ самой железы. Замѣчательно, что изъ 12 случаевъ, приведенныхъ Monckeber- g’oMb, только 3 опухоли были справа, остальныя 9 выросли на лѣвой сторонѣ шеи. Приведу также случай, описанный Chiari въ 1912 году 1). Опухоль, подвергнутая гистологическому изслѣдованію, принадлежала 32-лѣтнему субъекту, который замѣтилъ ее у себя—на лѣвой сторонѣ шеи—З1/2 года тому назадъ. Удаленная оперативнымъ путемъ опухоль подъ микроскопомъ обнаружила то же альвеолярное строеніе съ широкими капиллярами, какъ и въ предыдущихъ случаяхъ. Нервныхъ элементовъ въ опухоли найдено не было. Авторъ приходитъ къ заключенію, что опухоли сонной железы въ общемъ повторяютъ ее строеніе.
Что касается классификаціи опухолей, то она до сихъ поръ не установлена, такъ какъ даже о строеніи нормальной железы мнѣнія до сихъ поръ, какъ мы видѣли, колеблются. Одни авторы, примыкающіе къ ученію Kohn'а и принимая во вниманіе гистогенетическія отношенія, предлагаютъ обозначеніе опухолей, какъ парагангліомъ (Alezais et Peyron), другіе, основываясь на морфологическихъ признакахъ, относятъ опухоли къ группѣ саркомъ: „альвеолярная ангіосаркома“ (Marchand), эндотеліома или перителіома (Paltauf). Наконецъ, третьи (Kaufmann и R и р- paner) предпочитаютъ обозначеніе: „alveolare Tumoren der Glandula carotica “.
Относительно симптомовъ, которые указывали бы на принадлежность опухолей къ адреналинной системѣ, какъ это, напр., было сдѣлано по отношенію къ опухолямъ изъ добавочныхъ органовъ (Stangl, Wegelin), 2) до сихъ поръ не упомянуто.
Точно также и опытовъ съ нормальной железой, которые доказывали бы принадлежность сонной железы къ хромаффинной си • стемѣ, до сихъ поръ не было поставлено, за исключеніемъ опытовъ Vass ale па кошкахъ, у которыхъ послѣ уничтоженія железъ наблюдалась временная гликозурія, а затѣмъ сильная кахексія, но состояніе кровяного давленія авторомъ не провѣрялось.
Такимъ образомъ, физіологія сонной железы, а тѣмъ болѣе ея физіологія, какъ „параганглія", до сихъ поръ не извѣстна.
Май 1914.
Рисунки
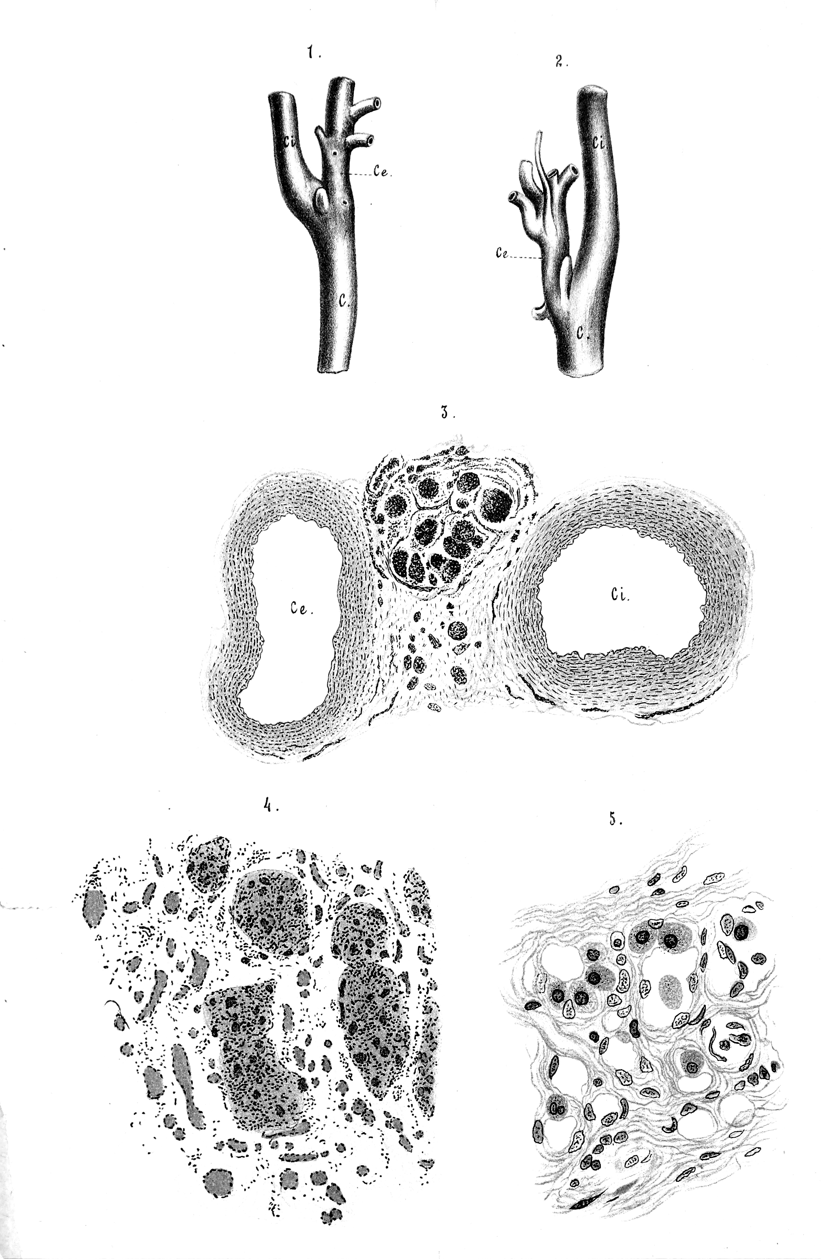
Объясненіе рисунковъ.
Рис. 1 и 2. Сонная железа у взрослаго человѣка, с—а. carotis communis, се—а. carotis externa, ci—а. carotis interna.
Рис. 3. Поперечный разрѣзъ чрезъ gl. carotis и сонныя артеріи, се—а. car. ext. ci—а. car. int. Reichert. Objectiv 2, ocular 2.
Рис. 4. Поперечный разрѣзъ черезъ железу при большемъ увеличеніи (Reichert ob. 4, ос. 2). На рисунокъ занесена часть железы съ нѣсколькими кучками клѣтокъ. Обращаетъ на себя вниманіе обиліе сосудовъ, какъ въ соединительной ткани, окружающей клѣточныя кучки, такъ и въ самыхъ кучкахъ.
Рис. 5. Часть железы, взятая при сильномъ увеличеніи (Leitz. Homog. Imm. 1/12 Ос. 4). Видны широкіе капилляры и группирующіяся около нихъ хромаффинныя клѣтки.
Какъ видно изъ таблицы, въ кровяной сывороткѣ трехъ собакъ съ хромовымъ нефритомъ (№№ 7, 8,9), одной съ урановымъ нефритомъ (№ 12) и пяти собакъ съ перевязанными почечными артеріями (№№ 1, 2, 3, 5, 6), т. е. всего въ 9 случаяхъ изъ 12, могло быть обнаружено присутствіе протеолитическихъ ферментовъ по отношенію къ почечной ткани, при чемъ съ большимъ постоянствомъ расщеплялись почки патологическія (9 случаевъ), чѣмъ почки нормальныя (6 случаевъ).
Но помимо расщепленія бѣлковъ почечной ткани въ рядѣ случаевъ констатировано было расщепленіе ткани других?, органовъ: въ 4 случаяхъ (№№ 4, 6, 7, 9)—печени, въ 2-хъ—сердца (№№ 3,10), въ 4-хъ—селезенки (№№ 3, 7,10, 12) и въ 2-хъ—надпочечниковъ.
Данныя эти показываютъ, что въ кров, сывороткѣ животныхъ съ экспериментально вызванными поврежденіями почекъ появляются, какъ и можно было ожидать, оборонительные ферменты, расщепляющіе почечную ткань, но ферменты эти строю специфическими признать нельзя, ибо одновременно въ значительномъ числѣ случаевъ расщепленію подвергался и бѣлокъ другихъ органовъ, именно, печени, селезенки, сердца и надпочечниковъ. Послѣднее обстоятельство заставляетъ усумниться и въ пригодности реакціи Abderhalden’a для діагностическихъ цѣлей.
Но несмотря на отсутствіе строгой специфичности, наличность при заболѣваніи почекъ въ крови оборонительныхъ ферментовъ, каковыхъ не наблюдалось у нормальныхъ здоровыхъ животныхъ, является во всякомъ случаѣ' фактомъ весьма интереснымъ и большой біологической цѣнности. Основная идея Abderhalden’a о появленіи въ крови оборонительныхъ ферментовъ при поступленіи въ нее чуждыхъ организму бѣлковыхъ тѣлъ (въ нашихъ случаяхъ продуктовъ распада почечной ткани) вовсе не подрывается ни отрицаніемъ строгой специфичности этихъ ферментовъ, ни отрицаніемъ діагностическаго значенія реакціи. Біологическое значеніе оборонительныхъ ферментовъ сохраняетъ свою силу.
Что касается появленія въ крови ,,оборонительныхъ “ ферментовъ въ нашихъ случаяхъ экспериментальныхъ заболѣваній почекъ, то можно высказать предположеніе, что здѣсь ходъ всего процесса таковъ: какъ при токсическихъ нефритахъ (хромовыхъ и урановыхъ), такъ и при развившихся подъ вліяніемъ перевязки почечныхъ артерій некрозахъ, происходитъ частичная гибель почечной паренхимы; продукты распада, расплавленія почечной ткани— („нефроблаптины")—проникаютъ въ кровяное русло и какъ вещества чуждыя организму подвергаются дѣйствію протеолитическихъ („оборонительныхъ") ферментовъ, расщепляющихъ сложную бѣлковую молекулу на тѣла простыя, безвредныя для организма. Но протеолитическому дѣйствію ферментовъ можетъ подвергаться и ткань
*) К.М. Яхонтовъ. Къ ученію о хромаффинной системѣ. Строеніе доба¬вочныхъ органовъ симпатическаго нерва у человѣка. Казан. Медиц. Журналъ. Т. ХШ. 1913.
1) Haller. Elementa physiologiae corporis humani. Цит. по К о lin y.
2) Taube. De vera nervi intercostalis origine. Цит. no Kohn’y.
3) Andersch. Tractalio anatomico-physiologica de nervis humani corporis aliquibus. Цит. no Kohn’y.
4) Luschka H. Die Anatomic des Menschen. 1 Bd. 1 Abt. Die Anatomie des menschlichen Halses. Tubingen. 1862.
Uber d. driisenartige Natur d. sog. Ganglion intercarotieum. Arch. f. Anat., Phys. u. Wissensch. Med. 18b2.
1) Возрастъ Luschka не указываетъ.
2) Аrnоld I. Uber die Structur des Ganglion intercaroticum. Virchow's
Arch. Bd. 39. 1865.
3) Eberth C. Von den Blutgefassen. Stricker’s Handbuch d. Lehre von den Geweben d. Menscben. 1 Bd. 1871.
4) Stieda. Untersuchungen uber die Entwicklung der Glandula thymus, Glandula thyreoidea und Glandula carotica. Leipzig. 1881 (no Kohn’y).
5) Marchand F. Beitrage zur Kenntniss der normalen und pathologischen Anatomie der Glandula carotica und Nebennieren. Med. Festschr. v. Virchow. 1881.
6) Paltauf R. Uber Geschwiilste der Glandula carotica nebst einem Beitrage zur Histologie u. Entwicklungsgeschichte derselben. Ziegler’s Beitrage.Bd. 11. 1892.
1) Schaper А. Beitrage zur Histologic der Glandnla carotica. Arch. f. mikr. Anat. Bd. 40. 1892.
2) Stilling H. Da Ganglion intercarotidien. Kecneil inaugural. Universite de Lausanne. 1892. (цит. no Eohn’y).
3) Arch. f. mikrosk. Anat. Bd. 56. 1900
1) А. Kohn. Die Paraganglien. Arch. f. mikrosk. Anal. Bd. 62. 1903.
1) Въ какомъ количествѣ и какого возраста, онъ не указываетъ
1) Monckeberg. Die Tnmoren der Glandula carotica. Zieglers Beitrage. Bd. 38. 1905.
2) Pende. Patologia delF apparecchio surrenale e degli organi perasimpatici. Milano Soc. editr. libr. 1909. (цит. no BiedFio).
3) Vass ale. Sugli effetti della distrnzione della ghiandola carotica. Patho- logica. 3. Nr. 70, 1911 (цит. no BiedFro).
1) Кромѣ того, мною изслѣдовано еще 8 собакъ, взятыхъ послѣ физіологи¬ческихъ опытовъ, но сонная железа у нихъ мною, къ сожалѣнію, не найдена.
2) Подробное изложеніе методики изслѣдованія см. мою работу о добавоч¬ныхъ органахъ.
1) (Въ томъ числѣ и на собакахъ), у которыхъ, вслѣдствіе этого, я и не могъ отыскать железу.
1) См. пит. выше.
1) O. М. Chiari. Uber einen Fall von Carotisdriisentumor. Beitrage zur klin. Chirurgie 81 Bd. 1912.
2) Опыты надъ дѣйствіемъ экстракта изъ опухоли на кровяное давленіе и на свѣже энуклеированный глазъ лягушки (расширеніе зрачка), химическія пробы на адреналинъ.
Список литературы
Дополнительные файлы




