Histomorphological changes in various rat tissues following chronic exposure to copper-zinc-pyrite ore
- Authors: Ziyakayeva KR1, Kayumova AF1, Kayumov FA1, Fazlyakhmetova MY.1
-
Affiliations:
- Bashkir State Medical University
- Issue: Vol 101, No 4 (2020)
- Pages: 524-529
- Section: Experimental medicine
- Submitted: 26.05.2020
- Accepted: 30.06.2020
- Published: 12.08.2020
- URL: https://kazanmedjournal.ru/kazanmedj/article/view/34188
- DOI: https://doi.org/10.17816/KMJ2020-524
- ID: 34188
Cite item
Abstract
Aim. To assess the histomorphological state of lung, gastrointestinal and kidney tissues following exposure to copper-zinc-pyrite ore in the long-term model experiment.
Methods. The study was performed on 60 outbred albino male rats, aged 3–4 months, weighting 200±30 g. The toxic effect of heavy metal salts of copper-zinc-pyrite ore on the animal's body was analyzed by the model of dosed oral injection of water with ore in a dose 600 mg/kg body weight for 120 days. Pieces of the stomach, small and colon, liver, lungs and kidneys were taken from control and experimental rats for histomorphological study on the 30th, 60th, 90th and 120th day of the experiment.
Results. The structural disorders of the stomach lining were observed on the 30th day of the experiment: desquamated and dilapidated epithelial cells appeared in the preparations. On the 120th day, along with signs of epithelial desquamation and diffuse lymphocytic infiltration, the preparations contained large lymphoid follicles that occupy the full thickness of the gastric mucosa. The epithelial layer of the small intestine mucosa was disrupted on the 60th day. At day 120 diffuse infiltration and necrotic changes in the lining of the small intestine were recorded. Lymphomacrophagia infiltrations were observed during portal triad and inside the liver wedges of experimental animals on the 30th day of the experiment. By the end of the experiment, toxic hepatocyte dystrophy developed. On the 60th day, signs of bronchopneumonia appeared in the lung tissue. After 3 months, tubulopathy and tubulointerstitial nephritis were observed in the experimental animals.
Conclusion. Prolonged administration of ore has led to pronounced inflammation and degenerative changes in the gastrointestinal tract, liver, kidney and lung tissues, accompanied by lymphocytic tissue reaction.
Keywords
Full Text
Актуальность изучения воздействия тяжёлых металлов в составе медно-цинковых колчеданных руд на человека обусловлена наличием на территории Республики Башкортостан одного из крупнейших предприятий горнодобывающей промышленности — Учалинского горно-обогатительного комбината. Основной фактор вредного воздействия производственной среды на работников данного предприятия — медно-цинковая колчеданная мелкодисперсная пыль, в которой в качестве сопутствующих компонентов присутствуют сера, свинец, кадмий, ртуть, мышьяк, сурьма, хром. Из всех перечисленных химических элементов наиболее опасны для организма кадмий и свинец [1, 2].
При свинцовой интоксикации снижается синтез эритропоэтина в почках, нарушаются пролиферация и дифференцировка стволовых клеток костного мозга, угнетается костномозговой эритропоэз, нарушается синтез гемоглобина, снижается осмотическая резистентность эритроцитов [3, 4].
Кадмий, накапливаясь в клетках паренхиматозных органов, связывает карбоксильные, амино- и сульфгидрильные группы, что приводит к нарушению межклеточных взаимодействий, некрозу и апоптозу [5, 6].
Известно, что геохимическая специфика горного производства оказывает негативное воздействие на здоровье людей, работающих и проживающих на территории рудных месторождений [7]. Что касается медно-цинковых колчеданных руд, то большинство исследований посвящено оценке профессиональной заболеваемости на горнодобывающих предприятиях, в то время как экспериментальному гистоморфологическому анализу изменений, возникающих в тканях под воздействием руд цветных металлов, уделено недостаточно внимания: в современной литературе представлены только результаты метаболизма и структурной перестройки костной ткани и печени [1, 8, 9].
Цель нашего исследования — изучение хронического воздействия медно-цинковой колчеданной руды на гистоморфологическое состояние ткани лёгких, органов желудочно-кишечного тракта и почек в длительном модельном эксперименте.
Материал и методы исследования. Экспериментальное исследование выполнено на 60 белых нелинейных крысах-самцах с исходной массой тела 200±30 г в возрасте 3–4 мес. Работа проведена в соответствии с принципами Базельской декларации. Согласно международным правилам этичного обращения с животными, крысы содержались в виварии университета в стандартных клетках (n=6) в условиях свободного доступа к воде и еде при температуре воздуха в виварии 24±2 °С в соответствии с правилами СП 2.2.1.3218 и Директивой 2010/63/EU по охране животных, используемых в научных целях. Исследование одобрено локальным этическим комитетом ФГБОУ ВО «Башкирский государственный университет» Минздрава РФ, протокол №5 от 13.09.2017.
Для анализа токсического действия солей тяжёлых металлов медно-цинковой колчеданной руды на организм животного использовали модель дозированного перорального введения измельчённой руды [8, 10]. Образец исследуемой руды был предоставлен ОАО «Учалинский горно-обогатительный комбинат» (г. Учалы, Россия). Количество свинца в исследуемом образце руды составляло 0,06%, кадмия — 0,0088%.
Для создания экспериментальной модели хронической интоксикации опытной группе животных (n=40) в течение 4 мес ежедневно за час до стандартного кормления per os вводили водную суспензию порошка медно-цинковой колчеданной руды в дозе 600 мг/кг массы тела животного. Вводимую дозу рассчитывали, исходя из предельно допустимых концентраций тяжёлых металлов в зерне и хлебе [11]. В ходе эксперимента дозу руды корректировали каждый раз после очередного взвешивания животных, которое производили каждые 14–15 дней. В контрольную группу вошли 20 крыс, которые не подвергались воздействию руды.
Для гистоморфологического исследования на 30-е, 60-е, 90-е и 120-е сутки эксперимента у контрольных и подопытных крыс были взяты кусочки желудка, тонкой и толстой кишки, печени, лёгких и почек размером 0,5×0,5 см. Ткани фиксировали в 10% забуференном растворе формалина, и после соответствующей гистологической проводки готовили срезы толщиной 7 мкм с последующим окрашиванием их гематоксилином и эозином (ЗАО «ЭКОлаб», Россия) [10, 12]. Визуальный гистоморфологический анализ микропрепаратов осуществляли на микроскопе AXIO Lab.A1 (ZEISS, Германия) при увеличении объектива ×40. Всего было исследовано 100 микропрепаратов.
Результаты. В проведённых гистоморфологических исследованиях органов крыс, подвергнутых хронической интоксикации медно-цинковой колчеданной рудой, мы наблюдали признаки воспалительных и дегенеративных процессов, динамика развития которых в разных органах имела свои особенности.
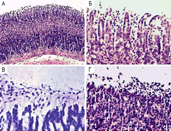
В слизистой оболочке желудка при хроническом воздействии медно-цинковой колчеданной руды структурные нарушения развивались уже на 30-е сутки: в препаратах появлялись слущенные и полуразрушенные эпителиальные клетки, количество которых увеличилось к 60-м суткам (рис. 1). В это же время в собственном слое и подслизистой основе слизистой оболочки желудка была выявлена лимфоидная инфильтрация. К 120-м суткам в препаратах наряду с признаками десквамации эпителия и диффузной лимфоцитарной инфильтрацией присутствовали крупные лимфоидные фолликулы, занимающие всю толщину слизистой оболочки желудка.
Рис. 1. Слизистая оболочка желудка: А — контроль; Б — 30-е сутки, начальная стадия десквамации эпителия; В — 60-е сутки, слущенные эпителиоциты на поверхности слизистой оболочки; Г — 120-е сутки, десквамация эпителия, инфильтрация слизистой оболочки лимфоидными клетками. Окраска гематоксилином и эозином. Микрофотография. Окуляр ×10, объектив ×40
В тонкой кишке животных первые признаки морфологических изменений обнаруживали позднее — на 60-е сутки воздействия медно-цинковой колчеданной руды (рис. 2). Они проявлялись в деструкции эпителиального слоя слизистой оболочки и сопровождались заметной инфильтрацией стенки кишечника лимфоцитами. В стенке толстой кишки также происходило увеличение количества отдельных лимфоцитов и солитарных лимфоидных фолликулов. К 120-м суткам у подопытных животных в слизистых оболочках тонкой и толстой кишки определялись диффузная лимфоцитарная инфильтрация и очаговый некроз.
Рис. 2. Тонкая кишка: А — контроль; Б — 60-е сутки, скопление лимфоцитов между криптами; В — 90-е сутки, лимфоидная инфильтрация слизистой оболочки; Г — 120-е сутки, формирование лимфоидных фолликулов и признаки некроза. Окраска гематоксилином и эозином. Микрофотография. Окуляр ×10, объектив ×40
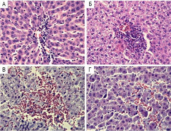
Воспалительные и дегенеративные процессы, вызванные введением в организм соединений тяжёлых металлов в составе медно-цинковой колчеданной руды, наиболее отчётливо были выражены в печени подопытных животных (рис. 3). Признаки структурной перестройки органа появились уже к 30-м суткам интоксикации, когда по ходу печёночной триады и внутри долек печени сформировались очаги скопления лимфоидных клеток. К 60-м суткам в препаратах возникала гидропическая дистрофия гепатоцитов, ткань печени была насыщена лимфо-макрофагальными инфильтратами. К 90-м суткам хронического воздействия медно-цинковой руды в печени подопытных крыс развилась жировая дистрофия. К 120-м суткам в печени были выявлены признаки некроза: в центре долек присутствовали разные по площади очаги аутолитического распада клеток и жиробелковый детрит, по периферии долек располагались гепатоциты в состоянии жировой дистрофии.
Рис. 3. Печень: А — контроль; Б — 60-е сутки, гидропическая дистрофия печени; В — 90-е сутки, полнокровие синусоидных капилляров и жировая дистрофия гепатоцитов; Г — 120-е сутки, очаговая гиперемия внутридольковых синусоидных капилляров, признаки аутолиза и некроза гепатоцитов. Окраска гематоксилином и эозином. Микрофотография. Окуляр ×10, объектив ×40
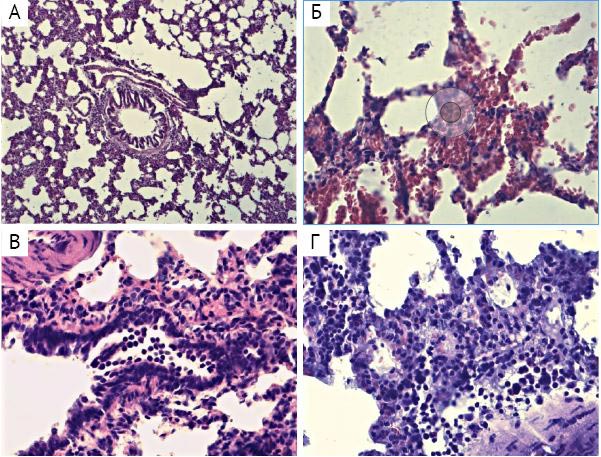
Несмотря на то обстоятельство, что в нашем эксперименте подопытные животные получали медно-цинковую руду перорально, воспалительные изменения возникли не только в органах желудочно-кишечного тракта, но и в лёгочной ткани (рис. 4). На 30-е сутки эксперимента в лёгких зарегистрированы скопление лимфоидных клеток и застой крови в капиллярах, окружающих альвеолы, а интерстициальная соединительная ткань была инфильтрирована нейтрофилами и макрофагами. К 60-м суткам хронического воздействия медно-цинковой колчеданной руды в лёгочной ткани на фоне воспалительных явлений появились признаки бронхопневмонии. На 90-е сутки в значительной части лёгочной ткани развились отёк и клеточная инфильтрация стенок бронхиол и альвеолярного пространства. Все перечисленные признаки воспалительного процесса в лёгких присутствовали и на 120-е сутки эксперимента.
Рис. 4. Лёгкие: А — контроль; Б — 30-е сутки, очаговая инфильтрация лейкоцитами интерстициальной ткани; В — 60-е сутки, десквамация эпителия бронхов, инфильтрация их стенок лимфоцитами; Г — 120-е сутки, выраженная инфильтрация интерстициальной ткани и кровеносных сосудов лимфоцитами и макрофагами. Окраска гематоксилином и эозином. Микрофотография. Окуляр ×10, объектив ×40
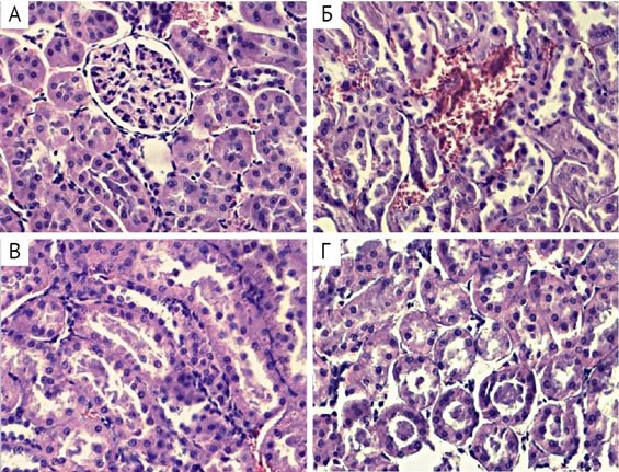
Анализ гистоморфологического строения почки уже на 30-е сутки интоксикации компонентами медно-цинковой колчеданной руды выявил наличие воспалительного процесса в ткани, окружающей канальцы нефрона (рис. 5). К 60-м суткам эксперимента у крыс развился тубулоинтерстициальный нефрит с очаговой инфильтрацией интерстициальной ткани. В последующие дни выраженность деструктивных процессов в почках подопытных животных нарастала. К 120-м суткам на гистологических срезах были выявлены изменения микроциркуляторного русла (венозная гиперемия с последующим увеличением проницаемости стенок капилляров, усиленная экссудация плазмы крови, миграция лейкоцитов в периваскулярную зону), а также множественная очаговая лейкоцитарная инфильтрация интерстициальной ткани. Таким образом, хроническая интоксикация медно-цинковой колчеданной рудой привела к развитию выраженного тубулоинтерстициального нефрита и тубулопатии с признаками хронического пиелонефрита.
Рис. 5. Почки: А — контроль; Б — 30-е сутки, венозная гиперемия в зоне почечных канальцев; В 60-е сутки, коллоидоподобное содержимое в канальцах нефрона почек; Г — 120-е сутки, цилиндры в почечных канальцах. Окраска гематоксилином и эозином. Микрофотография. Окуляр ×10, объектив ×40
Обсуждение. Полученные нами данные свидетельствуют о выраженном токсическом действии компонентов медно-цинковой колчеданной руды на организм млекопитающих. Помимо меди, цинка и серы, руда содержит свинец, селен, теллур, кадмий, никель, кобальт, мышьяк, сурьму, таллий и барий. Тяжёлые металлы и их соединения проникают в организм через воздух, воду, пищу, накапливаются в нём и оказывают токсическое воздействие на разные органы и ткани.
Показано, что при хроническом введении компонентов руды у экспериментальных животных нарушаются функции эндокринной системы: снижается уровень тестостерона, йодсодержащих гормонов щитовидной железы и паратгормона, увеличивается синтез глюкокортикоидов [8]. На клеточном уровне под влиянием цинка, свинца, кадмия происходит активация перекисного окисления липидов, изменяется проницаемость мембран, снижаются адгезивные способности клеток, тормозятся процессы пролиферации и дифференцировки гемопоэтических клеток, клеток печени и костной ткани [1, 9, 10, 13–15].
Гистоморфологические изменения, описанные в нашем исследовании, являются результатом неспецифического повреждающего действия компонентов медно-цинковой колчеданной руды, вызывающего, по всей видимости, признаки системного воспалительного ответа в различных тканях.
Отдельного внимания заслуживает обнаруженный нами феномен инфильтрации лимфоидными клетками паренхиматозных органов и слизистых оболочек при хронической интоксикации животных медно-цинковой колчеданной рудой. Известно, что лимфоциты не только защищают организм от чужеродных антигенов, но и регулируют морфогенез, поддерживая механизмы обновления тканей в физиологических условиях и запуская при необходимости резервную программу репаративной регенерации [16, 17].
Выводы
- Длительное пероральное введение крысам тяжёлых металлов в составе медно-цинковой колчеданной руды привело к выраженным воспалительным и дегенеративным изменениям в лёгочной ткани, органах желудочно-кишечного тракта и почках.
- Интоксикация медно-цинковой колчеданной рудой вызывает выраженную лимфоцитарную тканевую реакцию.
Участие авторов. З.К.Р. — проведение эксперимента, анализ полученных результатов, написание и оформление статьи; К.А.Ф. — руководитель исследования; К.Ф.А. и Ф.М.Я. — морфологическое исследование, описание гистологических препаратов и приготовление микрофотографий.
Источник финансирования. Исследование не имело спонсорской поддержки.
Конфликт интересов. Авторы заявляют об отсутствии конфликта интересов по представленной статье.
About the authors
K R Ziyakayeva
Bashkir State Medical University
Author for correspondence.
Email: klazia@yandex.ru
Russian Federation, Ufa, Russia
A F Kayumova
Bashkir State Medical University
Email: klazia@yandex.ru
Russian Federation, Ufa, Russia
F A Kayumov
Bashkir State Medical University
Email: klazia@yandex.ru
Russian Federation, Ufa, Russia
M Ya Fazlyakhmetova
Bashkir State Medical University
Email: klazia@yandex.ru
Russian Federation, Ufa, Russia
References
- Kamilov F.Kh. Osteoporoz: vliyanie khimicheskikh faktorov proizvodstvennoy sredy na metabolizm kostnoy tkani. (Osteoporosis. Effect of chemical factors in the production environment on bone metabolism.) Ufa: GUP RB Ufimskiy poligrafkombinat. 2015; 311 p. (In Russ.)
- Ostrovskaya S.S., Shatornaya V.F., Belskaya Yu.A. Effects of heavy metals and radiation on rat’s hemotosis. Mir meditsiny i biologii. 2014; 10 (4-2): 177–179. (In Russ.)
- Ryazantseva N.V., Novitsky V.V., Shperling I.A. Molecular disturbances in erythrocyte membrane at toxic effect produced by methemoglobin formers. Toksikologicheskiy vestnik. 2006; (4): 27–31. (In Russ.)
- Ryspekova N.N., Nurmukhambetov A.N., Askarova A.E., Akanov A.A. Role of heavy metals in anemia (Review). Vestnik Kazakhskogo natsionalnogo meditsinskogo universiteta. 2013; (3): 46–51. (In Russ.)
- Afanaseva E.Yu. Kaletina N.I. Toksikologicheskaya khimiya: metabolism i analiz toksikantov. (Toxicological chemistry: metabolism and toxicant analysis.) M.: GEOTAR-Media. 2008; 1015 p. (In Russ.)
- Nwokocha C.R., Nwokocha M.I., Aneto I. Comparative analysis on the effect of Lycopersicon esculentum (tomato) in reducing cadmium, mercury and lead accumulation in liver. Food Chem. Toxicol. 2012; 50 (6): 2070–2073. doi: 10.1016/j.fct.2012.03.079.
- Ilyasova R.R., Saptarov Yu.N., Knyazeva O.A. et al. Identification of heavy metal ions in blood plasma intoxicated by copper-zinc ore, using the method of atomic absorption spectrometry. Vestnik Bashkirskogo universiteta. 2018; 23 (2): 316–322. (In Russ.)
- Farshatova E.R., Ganeev T.I., Men'shikova I.A. et al. Influence of copper-zinc sulfide ores elements on bone tissue remodeling and regulative factors. Kazan Medical Journal. 2015; 96 (5): 783–787. (In Russ.) doi: 10.17750/KMJ2015-783.
- Ziyakayeva K.R., Kayumov F.A., Kayumova A.F. Morphological condition of the rat liver during intoxication with pyrite ore. Morfologiya. 2019; 156 (6): 97. (In Russ.)
- Ziyakayeva K.R., Kayumova A.F. Copper-zinc pyrite ore intoxication affects erythron of rats. Russ. J. Physiol. 2019; 106 (6): 780–789. (In Russ.) doi: 10.1134/S0869813919060128.
- Suldina T.I. The content of heavy metals in food and their effects on the body. Balanced diet, nutritional supplements and biostimulants. 2016; (1): 136–140. (In Russ.)
- Kayumova A.F., Kayumov F.A. Histomorphological examination of organs and tissues of experimental animals when exposed to chlorinated phenoxyacids. Zdravookhranenue Bashkortostana. 1996; (1): 13–17. (In Russ.)
- Goral V., Simsek M., Mete N. Hepatic osteodystrophy and liver cirrhosis. World J. Gastroenterol. 2010; 16 (13): 1639–1643. doi: 10.3748/wjg.v16.i13.1639.
- Mohammad M.K., Zhou Z., Cave M. Zinc and liver disease. Nutr. Clin. Pract. 2012; 27 (1): 8–20. doi: 10.1177/0884533611433534.
- Ibrahim N.M., Eweis E.A., El-Beltagi H.S., Abdel-Mobdy Y.E. The effect of lead toxicity on experimental male albino rat. Biol. Trace Elementary Res. 2011; 144 (1–3): 1120–1132. doi: 10.1007/s12011-011-9149-z.
- Tishevskaya N.V., Gevorkyan N.M., Kozlova N.I. The role of T-lymphocytes in hormonal regulation of morphogenetic processes. Uspekhi sovremennoy biologii. 2015; 135 (2): 189–202. (In Russ.)
- Tishevskaya N.V., Gevorkyan N.M., Kozlova N.I. A modern view of the role of T-lymphocytes in regulation of erythropoiesis. Uspekhi sovremennoy biologii. 2016; 136 (1): 83–96. (In Russ.)
Supplementary files








