Vascular endothelial growth factor in tumor cells in platinum-containing chemotherapy of advanced ovarian cancer
- Authors: Gening SO1, Dolgova DR1, Antoneeva II1,2, Abakumova TV1, Kolodiy IO1, Gening TP1
-
Affiliations:
- Ulyanovsk State University
- Regional Clinical Oncological Dispensary
- Issue: Vol 100, No 4 (2019)
- Pages: 583-588
- Section: Theoretical and clinical medicine
- Submitted: 30.07.2019
- Accepted: 30.07.2019
- Published: 31.07.2019
- URL: https://kazanmedjournal.ru/kazanmedj/article/view/15521
- DOI: https://doi.org/10.17816/KMJ2019-583
- ID: 15521
Cite item
Full Text
Abstract
Aim. Study of the relationship of vascular endothelial growth factor expression in tumor cells of ascites and primary tumor in patients with ascitic form of ovarian cancer undergoing neoadjuvant chemotherapy according to the AP scheme (doxorubicin + cisplatin).
Methods. The level of vascular endothelial growth factor messenger ribonucleic acid (mRNA) was assessed using PCR-RT in epithelial cells of ascites and primary tumor tissue obtained intraoperatively after 2–4 courses of neoadjuvant chemotherapy according to the AP scheme from 25 patients with a verified diagnosis of ovarian cancer (serous adenocarcinoma) at stage III–IV according to the International Federation of Gynecology and Obstetrics. Processing of the results was performed using the software package Statistica 10.
Results. An increase in the expression of vascular endothelial growth factor mRNA in epithelial cells of ascites in 60% of samples was established. In the intraoperatively obtained tumor tissue after 2–4 courses of neoadjuvant chemotherapy according to the AP scheme, vascular endothelial growth factor expression was increased in 73% of the samples. At the same time, the increase of relative expression in the tumor after neoadjuvant chemotherapy did not depend on the degree of therapeutic pathomorphosis but was related to early relapse and increased level of cancer antigen-125 (CA-125). Median of relapse-free survival in vascular endothelial growth factor-positive ovarian cancer was less than 5 months.
Conclusion. Neoadjuvant chemotherapy according to the AP scheme increases the expression of vascular endothelial growth factor in the tumor tissue in advanced ovarian cancer; the degree of vascular endothelial growth factor overexpression in ovarian tumor is related to the presence of early relapse and an increase in the serum CA-125 level.
Full Text
Рак яичников (РЯ) — крайне агрессивное злокачественное новообразование. При первичной диагностике у 58,5% пациенток обнаруживают III или IV стадию болезни, а летальность на первом году с момента установления диагноза составляет 20,9% [1].
Наиболее часто встречающийся гистологический подтип РЯ — низкодифференцированная серозная аденокарцинома. Обычно она выявляется на поздних стадиях болезни и демонстрирует высокую частоту ответа (до 85%) на платиносодержащую терапию на первом этапе, но, несмотря на это, рецидивирует у подавляющего большинства пациенток [2]. Согласно мировым стандартам, неоадъювантная химиотерапия (НАХТ) с включением препаратов платины служит рекомендованной лечебной опцией для больных распространённым РЯ в случае невозможности выполнения на первом этапе оптимальной циторедукции.
Фактор роста эндотелия сосудов (VEGF — от англ. vascular endothelial growth factor) был открыт в 1989 г. как эндотелий-специфический митоген, индуцирующий ангиогенез в физиологических и патологических условиях. Позднее было выявлено, что семейство VEGF включает несколько факторов роста с различными паттернами экспрессии, рецепторами, биологическими функциями.
В последние 10 лет стало известно, что роль VEGF не ограничивается его участием в ангиогенезе и повышении проницаемости сосудов. Предполагают, что VEGF способен подавлять иммунный ответ организма-опухоленосителя при РЯ [3], регулировать функции фибробластов стромы опухолей [4]. Наиболее важным открытием стала связь аутокринного и паракринного VEGF-сигналинга с приобретением опухолевыми клетками стволового фенотипа, в том числе при РЯ [5, 6].
Синтез VEGF стимулируют разнообразные факторы, в том числе эпидермальный фактор роста, трансформирующий фактор роста, фактор роста фибробластов, эстрогены, провоспалительные цитокины, а также наличие мутаций гена TP53.
Установлено, что уровень матричной рибонуклеиновой кислоты (мРНК) VEGF, выступающей в качестве «сосудистого фактора проницаемости» при реализации ответа опухоли на гипоксию, может определять ответ на противоопухолевое лечение [7]. Однако его роль при метастазировании РЯ неоднозначна и противоречива. Одни авторы утверждают, что увеличение содержания VEGF связано с высоким пролиферативным потенциалом опухоли [8] и способствует гематогенному распространению, другие не выявляют чётких корреляций с рецидивированием [9].
В метаанализе Е.С. Гернштейн и соавт. (2015) установлена корреляция повышенной экспрессии VEGF в первичной опухоли со снижением общей выживаемости и выживаемости без прогрессирования на ранних, но не на распространённых стадиях РЯ [10]. Следует отметить, что в большинстве включённых в анализ работ при оценке экспрессии VEGF использован иммуногистохимический метод [11].
Исследования свойств VEGFA создали основу для разработки такого класса препаратов, как ингибиторы ангиогенеза, успешно применяемого в клинической практике при РЯ. Несмотря на высокую эффективность подобной терапии в плане увеличения выживаемости без прогрессирования, преимущество в общей выживаемости после такого лечения остаётся достаточно скромным. Кроме того, существует вероятность развития серьёзных побочных эффектов, а стоимость препаратов очень высока.
Целью исследования было изучение экспрессии VEGF в опухолевых клетках асцитической жидкости и первичной опухоли асцитной формы РЯ на фоне НАХТ по схеме АР [от (A)driamycin + (P)latinol — доксорубицин + цисплатин].
Клиническая часть исследования выполнена в гинекологическом отделении Ульяновского областного клинического онкологического диспансера. В исследование включали женщин с верифицированным асцитным РЯ III–IV стадии (T3Nx–1M0–1) по FIGO (от англ. International Federation of Gynecology and Obstetrics — Международная федерация акушеров-гинекологов) в возрасте от 36 до 70 лет (медиана 59±2,4 года), с общим состоянием больной по шкале Easten Cooperative Oncology Group 0±2 балла и ожидаемой продолжительностью жизни более 6 мес.
После подписания информированного согласия на участие в исследовании больные проходили обследование для оценки распространённости опухоли: осмотр гинекологом, ультразвуковое исследование брюшной полости и малого таза, определение в качестве маркёра углеводного антигена-125 (СА-125) в сыворотке крови методом иммуноферментного анализа.
Пациентки (n=25) получали стандартную НАХТ по схеме АР. После 2–4 курсов НАХТ проводили оперативное вмешательство в объёме оптимальной, субоптимальной и неоптимальной циторедукции. Исследование когортное, проведено согласно требованиям комиссии по этике Института медицины, экологии и физической культуры ФГБОУ ВО «Ульяновский государственный университет» (протокол №3 от 15.03.2015).
В зависимости от времени возникновения рецидива после последнего курса НАХТ все пациентки были разделены на три группы: первая группа — с ранним рецидивом до 6 мес (n=13, медиана возраста 59,1±2,6 года), вторая группа — c рецидивом в течение 6–12 мес (n=5, медиана возраста 63±3,8 года), третья группа — без рецидива (n=7, медиана возраста 56,5±7,1 года).
Материалом для исследования служили эпителиальные клетки асцитической жидкости, полученные до НАХТ, и опухолевая ткань РЯ пациенток (серозной аденокарциномы) на III–IV стадиях по FIGO (T3Nx–1M0–1), полученная интраоперационно после 2–4 курсов НАХТ.
Тотальная рибонуклеиновая кислота (РНК) была выделена с использованием реагента Extract RNA. Для получения комплементарной дезоксирибонуклеиновой кислоты на матрице РНК проводили реакцию обратной транскрипции с помощью набора MMLV-RTkit (ООО «Евроген», Москва) со случайными гексануклеотидными праймерами в соответствии с инструкцией производителя. Для последующей полимеразной цепной реакции в реальном времени использован набор TaqMan®Gene Expression Assay (Thermo Scientific, USA; Hs03929054_s1), содержащий пары зондов и праймеров к VEGFа.
Нормализацию экспрессии VEGF в опухоли проводили с использованием гена 18S относительно условно нормальной ткани яичников той же пациентки. Данные по относительной экспрессии VEGF (Fold Change) в опухоли рассчитаны по формуле 2–ΔΔСt и представлены в виде десятичного логарифма для лучшей визуализации степени изменений.
Выраженность лечебного патоморфоза опухоли оценивали по критериям Böhm [12].
При статистическом анализе вычисляли среднее значение определяемых показателей и стандартное отклонение. Для оценки различий между экспериментальными группами использовали непараметрический критерий Манна–Уитни. Безрецидивная выживаемость пациенток в зависимости от уровня VEGFa была оценена методом Каплана–Мейера. Различия считали значимыми при р ≤0,05. Обработку результатов проводили с использованием пакета программ Statistica 10 for Windows.
Установлено, что опухолевый асцит играет существенную роль в интраперитонеальной диссеминации опухолевых клеток и, следовательно, в возникновении распространённых и рецидивных форм РЯ, а его наличие — серьёзный прогностический признак [13]. Считают общепризнанным, что асцитическая жидкость вследствие лёгкой доступности служит ценным источником компонентов, рассматриваемых в качестве маркёров при оценке эффективности противоопухолевой терапии — факторов роста, цитокинов, опухолевых клеток, претерпевающих эпителиально-мезенхимальный переход [14].
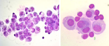
Для первичной оценки экспрессии VEGF в опухоли использованы эпителиальные клетки асцитической жидкости, верифицированные как одиночные клетки и/или «сфероиды» аденокарциномы (рис. 1). Данные компоненты опухолевого асцита можно рассматривать как биопсийный материал, забор которого затруднён при распространённых формах РЯ. В асцитической жидкости находятся клетки эпителиального и мезенхимального происхождения с высоким пролиферативным потенциалом, экспрессирующие факторы, связанные с метастазированием (BMP2, TGFb, EGFR и др.) [15].
Рис. 1. Комплексы клеток аденокарциномы, выделенные из асцитической жидкости больных раком яичников (Увеличение ×400. Окраска гематоксилином-эозином).
В результате проведённых исследований показано, что до начала НАХТ в опухолевых клетках асцитической жидкости повышение уровня мРНК VEGF выявлено в 60% образцов, после 2–4 курсов химиотерапии повышенный уровень мРНК VEGF зарегистрирован в 73% образцов (табл. 1).
Таблица 1. Изменение относительной экспрессии гена фактора роста эндотелия сосудов (VEGF) в опухоли яичников и клетках асцитической жидкости
Биологический материал | Диапазон изменений | Доля гиперэкспрессии VEGF |
Эпителиальные клетки асцитической жидкости при раке яичников (n=25) | –1,723....3,85 | 60% (0,384–3,85), n=15 |
Интраоперационная ткань опухоли яичников после 2–4 курсов неоадъювантной химиотерапии (n=25) | –4,018....6,43 | 73% (0,367–6,43), n=18. Первая группа: 0,244–6,43 Вторая группа: –4,018–2,45 Третья группа: 0,367–2,8 |
Установлено, что у всех больных РЯ присутствовала гиперэкспрессия VEGF после НАХТ, однако значимых различий в группах с CRS1, CRS2 и CRS3 не обнаружено (р=0,202).
Выявлена достоверная связь повышения уровня мРНК VEGF в опухолевой ткани яичников с частотой возникновения рецидивов в первой экспериментальной группе (см. табл. 1).
Также у больных РЯ после НАХТ отмечена связь повышения содержания мРНК VEGF c динамикой изменения уровня СА-125. Так, в первой группе уровень СА-125 в сыворотке крови больных РЯ до начала НАХТ составил 820,7±114,6 ЕД/мл, оставался повышенным после завершения НАХТ 1-й линии (362,8±57,02 ЕД/мл), при этом в 90% случаев отмечено значительное увеличение количества мРНК VEGF в опухоли (р=0,030).
Гиперэкспрессия VEGF в опухоли уменьшает период безрецидивной выживаемости у больных распространённым РЯ как до (р=0,955), так и после (р=0,265) лечения. В группах с высокой относительной экспрессией VEGF в опухолевых клетках асцитической жидкости медиана безрецидивной выживаемости у больных РЯ составила 178 дней, при сниженной — 231 день. При анализе экспрессии VEGF в опухоли после НАХТ установлено, что высокий уровень мРНК VEGF определял более короткий период до рецидива заболевания (медиана 143 дня; рис. 2).
Рис. 2. Период безрецидивной выживаемости больных распространённым раком яичников в зависимости от уровня экспрессии фактора роста эндотелия сосудов (VEGF) в опухолевых клетках до (А) и после (Б) неоадъювантной химиотерапии
Ответ опухоли на лечение проиллюстрирован на рис. 3.
Рис. 3. Иллюстрации ответа опухоли на лечение: A — CRS1 (в срезах сплошь опухолевая ткань); Б — CRS2 (в срезах легко выявляется жизнеспособная опухоль, но также выражены и изменения, указывающие на регресс опухоли); В — CRS3 (опухолевые клетки не выявляются совсем, но присутствуют стромальные изменения, ассоциированные с регрессом опухоли)
Выводы
1. В опухолевых клетках асцитного рака яичников при распространённой стадии процесса повышен уровень матричной рибонуклеиновой кислоты фактора роста эндотелия сосудов.
2. Платиносодержащая неоадъювантная химиотерапия по схеме АР может повышать уровень экспрессии фактора роста эндотелия сосудов опухолевых клеток. Степень повышения при этом не ассоциируется с выраженностью патоморфологических изменений в опухолевой ткани на фоне неоадъювантной химиотерапии, но определяет длительность безрецидивного периода и соответствует повышению сывороточного уровня СА-125.
Работа выполнена при поддержке гранта Президента Российской Федерации (МК-3196.2018.7).
Авторы заявляют об отсутствии конфликта интересов по представленной статье.
About the authors
S O Gening
Ulyanovsk State University
Email: Naum-53@yandex.ru
Ulyanovsk, Russia
D R Dolgova
Ulyanovsk State University
Email: Naum-53@yandex.ru
Ulyanovsk, Russia
I I Antoneeva
Ulyanovsk State University; Regional Clinical Oncological Dispensary
Email: Naum-53@yandex.ru
Ulyanovsk, Russia; Ulyanovsk, Russia
T V Abakumova
Ulyanovsk State University
Email: Naum-53@yandex.ru
Ulyanovsk, Russia
I O Kolodiy
Ulyanovsk State University
Email: Naum-53@yandex.ru
Ulyanovsk, Russia
T P Gening
Ulyanovsk State University
Author for correspondence.
Email: Naum-53@yandex.ru
Ulyanovsk, Russia
References
- Kaprin A.D., Starinskiy V.V., Petrova G.V. Sostojanie onkologicheskoj pomoshhi naseleniju Rossiiv 2017 godu. (The state of cancer care for the population of Russia in 2017.) Moscow: Moscow Research Institute of Oncology named P.A. Herzenbranch of the Federal State Budgetary Institution “National Medical Research Center of Radiology” of the Ministry of Health of Russia. 2018; 236 p. (In Russ).
- Cooke S.L., Brenton J.D. Evolution of platinum resistance in high-grade serous ovarian cancer. Lancet Oncol. 2011; 12 (12): 1169–1174. doi: 10.1016/S1470-2045(11)70123-1.
- Tiper I.V., Temkin S.M., Spiegel S. et al. VEGF Potentiates GD3-mediated immunosuppression by human ovarian cancer cells. Clin. Cancer Res. 2016; 22 (16): 4249–4258. doi: 10.1158/1078-0432.CCR-15-2518.
- Yaqoob U., Cao S., Shergill U. et al. Neuropilin-1 stimulates tumor growth by increasing fibronectin fibril assembly in the tumor microenvironment. Cancer Res. 2012; 72 (16): 4047–4059. doi: 10.1158/0008-5472.CAN-11-3907.
- Zhang L., Wang H., Li C. et al. VEGF-A/neuropilin 1 pathway confers cancer stemness via activating Wnt/β-catenin axis in breast cancer cells. Cell Physiol. Biochem. 2017; 44 (3): 1251–1262. doi: 10.1159/000485455.
- Jang K., Kim M., Gilbert C.A. et al. VEGFA activates an epigenetic pathway upregulating ovarian cancer-initiating cells. EMBO Mol. Med. 2017; 9 (3): 304–318. doi: 10.15252/emmm.201606840.
- Hemachandra L.P., Shin D.H., Dier U. et al. Mitochondrial superoxide dismutase has a protumorigenic role in ovarian clear cell carcinoma. Cancer Res. 2015; 75 (22): 4973–4984. doi: 10.1158/0008-5472.CAN-14-3799.
- Hata K., Watanabe Y., Nakai H. et al. Expression of the vascular endothelial growth factor (VEGF) gene in epithelial ovarian cancer: an approach to anti-VEGF therapy. Anticancer Res. 2011; 31 (2): 731–737. PMID: 21378364.
- Kit O.I., Frantsiyants E.M., Moiseenko T.I. et al. Some growth factors of vegf and fgf-21 families in the ascitic fluid and blood serum in the dynamics of ovarian cancer development. Zdorov'e i obrazovanie v XXI veke. 2016; 18 (4): 15–21. (In Russ).
- Gershteyn E.S., Kushlinskiy D.N., Tereshkina I.V. et al. Vascular Endothelial Growth Factor And The Tumors Of Female Reproductive System. Part II. Ovarian Cancer And Endometrial Cancer. Onkoginekologiya. 2015; (2): 4–11. (In Russ.)
- Yu L., Deng L., Li J. et al. The prognostic value of vascular endothelial growth factor in ovarian cancer: a systematic review and meta-analysis. Gynecol. Oncol. 2013; 128 (2): 391–396. doi: 10.1016/j.ygyno.2012.11.002.
- Böhm S., Faruqi A., Said I. et al. Chemotherapy response score: Development and validation of a system to quantify histopathologic response to neoadjuvant chemotherapy in tubo-ovarian high-grade serous carcinoma. J. Clin. Oncol. 2015; 33: 2457–2463. doi: 10.1200/JCO.2014.60.5212.
- Villert A.B., Kolomiets L.A., Yunusova N.V., Ivanova A.A. Ascites as a subject of studies in ovarian cancer. Sibirskiy onkologicheskiy zhurnal. 2019; 18 (1): 116–123. (In Russ.)
- Ahmed N., Thompson E.W., Quinn M.A. Epithelial-mesenchimal interconversions in normal ovarian surface epithelium and ovarian carcinomas: an expection to the norm. J.Cell. Phisiol. 2007; 213 (3): 581–588. doi: 10.1002/jcp.21240.
- Ho C.M., Chang S.F., Hsiao C.C. et al. Isolation and characterization of stromal progenitor cells from ascites of patients with epithelial ovarian adenocarcinoma. J. Biomed. Sci. 2012; 14: 19–23. doi: 10.1186/1423-0127-19-23.
Supplementary files






