Лечение ишемического инсульта, обусловленного диссекцией и окклюзией внутренней сонной артерии, у молодого пациента
- Авторы: Сазанов Г.В.1,2, Белоконь О.С.1,2, Краснов А.Ю.2
-
Учреждения:
- Ставропольский государственный медицинский университет
- Ставропольская краевая клиническая больница
- Выпуск: Том 100, № 2 (2019)
- Страницы: 317-321
- Раздел: Клинические наблюдения
- Статья получена: 29.03.2019
- Статья опубликована: 29.03.2019
- URL: https://kazanmedjournal.ru/kazanmedj/article/view/11544
- DOI: https://doi.org/10.17816/KMJ2019-317
- ID: 11544
Цитировать
Полный текст
Аннотация
Известно, что характер и этиология инсульта в молодом возрасте отличаются от таковых у пациентов пожилого возраста, что оказывает влияние на диагностику и лечение. Лидирующую позицию в структуре причин ишемического инсульта у детей и молодых людей в возрасте до 45 лет занимает диссекция церебральных артерий. На сегодняшний день не существует чёткого руководства к действию, касающегося надлежащего лечения этой патологии. В этом наблюдении представлен успешный опыт лечения острого ишемического инсульта у молодого пациента (инсульт был обусловлен окклюзией в результате диссекции внутренней сонной артерии) с применением рентгенохирургического метода лечения - стентирования шейного отдела артерии с переходом на каменистый сегмент левой внутренней сонной артерии с использованием комбинированной проксимальной и дистальной протекции церебральных сосудов. Контроль состояния пациента и данные ангиографии и ультразвукового исследования свидетельствуют о благоприятном непосредственном и средне-отдалённом прогнозе для данного пациента.
Ключевые слова
Полный текст
Новые методы нейровизуализации и ультразвукового исследования сосудов головного мозга в современных условиях значительно увеличили возможности выявления причин острого нарушения мозгового кровообращения (ОНМК). Характер и этиология инсульта у молодых людей отличаются от таковых у пациентов пожилого возраста, что оказывает влияние на диагностику и лечение [1]. По современным данным, при диагностике ОНМК диссекцию краниальных артерий всё чаще стали выявлять у молодых людей [1–3].
Исходя из изученной литературы, диссекция церебральных артерий занимает одно из лидирующих мест в структуре причин ишемического инсульта у детей, а также людей в возрасте до 45 лет, частота варьирует от 5 до 22% [4–6].
Согласно данным Всемирной организации здравоохранения, по частоте распространения в 75% случаев подвергаются диссекции экстракраниальные отделы внутренних сонных артерий (ВСА), в 15% — экстракраниальные отделы позвоночных артерий, лишь в 10% наблюдений диссекции обнаруживают в интракраниальных отделах магистральных артерий головы, а также средней мозговой и основной артерий [1, 7].
Гематома, образующаяся внутри стенки церебральной артерии, становится непосредственной причиной её расслоения. Диссекция может возникать как в результате воздействия внешней силы, так и при отсутствии таковой. Травматическое расслоение стенки артерии возникает после открытой или закрытой травмы шеи и чаще всего локализуется экстракраниально. Спонтанная диссекция может развиться на фоне полного благополучия, но, исходя из работ различных авторов, правильно собранный анамнез позволяет найти предшествующее воздействие внешних силовых факторов, например резкие движения головой, прыжки, в результате которых развивается сдавление артерии костно-связочными элементами [1, 3, 8, 9].
При развитии спонтанной диссекции фоновыми заболеваниями могут быть фибромаскулярная дисплазия, крайняя степень извитости и перегибов сосудов, заболевания соединительной ткани, которые непосредственно влияют на анатомо-морфологические свойства сосуда [2, 3, 8, 10].
Исход внутрисосудистого кровоизлияния в первую очередь зависит от размера и локализации гематомы. Если она имеет малый размер, то велика вероятность её самостоятельной организации. Субинтимальное кровоизлияние довольно часто приводит к значительному стенозу, окклюзии повреждённой артерии или прорыву крови обратно в просвет артерии, что создаёт ложный просвет сосуда и при определённых условиях вызывает тромбогенез и далее эмболизацию дистальных отделов краниальных артерий с развитием транзиторных ишемических атак или инфарктов мозга [1, 3, 11]. Субадвентициальная диссекция предрасполагает к возникновению аневризматического поражения сосуда, а в случае интракраниальной локализации имеет неблагоприятный прогноз в отношении развития субарахноидального кровоизлияния.
Для диагностики диссекции церебральных сосудов имеют значение правильно собранный анамнез и данные ультразвукового и нейровизуализационного исследований. Наиболее типичными клиническими проявлениями травматической диссекции ВСА бывают гемипарез или гемиплегия, нарушение речи, головная или шейная боль [12–14]. Чаще всего травмы связаны с резкими сгибательными и разгибательными движениями в шее (спортивные травмы, автотравмы, удары в область шеи и др.). Неврологическая симптоматика, свидетельствующая об ишемическом инсульте, развивается приблизительно у 94% пациентов [12, 15], реже (по данным литературы, в 5% случаев) диссекция проявляется изолированной головной или шейной болью [2, 12, 16], ещё более редкое клиническое проявление диссекции (1% случаев) — изолированное поражение черепных нервов, чаще всего каудальной группы [12, 15].
Тщательный анализ литературы по вопросам лечения различного рода диссекций сонной артерии определил, что на настоящий момент не существует чётких принципов, касающихся надлежащего терапевтического и хирургического лечения. Медикаментозное лечение диссекции сонной артерии заключается в незамедлительном назначении антикоагулянтов или антиагрегантов, чтобы предотвратить дальнейшее развитие тромбоэмболии [1, 17]. Литературные данные достоверно показывают, что обе фармакологические группы препаратов одинаково эффективно снижают неврологическую симптоматику, без увеличения риска развития инсульта [10, 18]. Антиагреганты следует назначать на период не менее 6 мес [1, 6, 13].
Данные о применении тромболизиса в отношении лечения вышеуказанной патологии в литературе ограничены, а результаты остаются противоречивыми, поскольку существует высокий риск развития кровотечений у пациентов как с наличием травмы в анамнезе, так и при спонтанном развитии диссекции [19].
Эндоваскулярная коррекция — минимально инвазивный метод лечения экстракраниальных диссекций, который становится всё более популярным в последнее время, показывает хорошие средне-отдалённые результаты [20], однако сообщений о стентирвании интракраниальных диссекций мы не нашли.
При выполнении ангиографического исследования чётким признаком диссекции каротидного сосуда служит сужение просвета артерии в виде струны или постепенное истончение сосуда (симптом «пламени свечи») с наличием дистальной окклюзии [7, 21].
Клиническое наблюдение. Больной Ш. 15 лет поступил в Ставропольскую краевую клиническую больницу с жалобами на головную боль, нарушение речи, слабость и онемение в правых конечностях. Ранее считал себя здоровым, вёл подвижный образ жизни. Со слов матери, вечером 26 сентября 2014 г. пришёл с тренировки по боксу, жаловался на головную боль, головокружение. На следующий день 27 сентября 2014 г. в 7:20 обнаружен мамой, лежащим на полу и не способным разговаривать. Была вызвана бригада скорой помощи, пациент был доставлен в региональный сосудистый центр г. Ставрополя. Общий и семейный анамнез не отягощён. Какую-либо врождённую патологию отрицает. Мигренью не страдал.
Общее состояние тяжёлое, обусловлено неврологическим дефицитом. Кожные покровы и видимые слизистые оболочки бледно-розовые, тёплые. Дыхание самостоятельное, везикулярное, хрипов нет. Артериальное давление 120/80 мм рт.ст., пульс 73 в минуту.
Неврологический статус: уровень сознания — умеренное оглушение, глазные щели D=S, зрачки D=S, фотореакции сохранены. Движения глазных яблок вправо ограничены. Нистагма нет. Парез мимической мускулатуры справа по центральному типу. Девиация языка вправо. Моторная и сенсорная афазия. Слабость конвергенции с двух сторон. Мышечная сила справа в руке — плегия, в ноге — парез, 2 балла. Мышечный тонус повышен по центральному типу в правых конечностях. Чувствительность достоверно оценить невозможно. Патологические стопные рефлексы справа. Ригидность мышц затылка и симптом Кернига отрицательные.
На магнитно-резонансной томограмме головного мозга подкорковые ядра и мозолистое тело сформированы обычно. Слева определяется умеренно выраженный отёк подкорковых структур без чётких контуров. Дополнительных образований и участков патологической интенсивности не выявлено. По данным компьютерной томографии головного мозга убедительных признаков очагов ишемии головного мозга на момент исследования не выявлено.
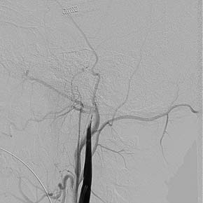
Пациент был доставлен в рентген-операционную, где с использованием правого трансфеморального доступа выполнены диагностическая каротидная ангиография и тотальная цереброангиография. На ангиограммах выявлена окклюзия левой ВСА с визуализацией диссекции в шейном отделе в виде симптома «пламени свечи» (рис. 1).
Рис. 1. Симптом «пламени свечи» в интракраниальном сегменте левой внутренней сонной артерии
В связи с выраженным психоэмоциональным возбуждением после перехода на эндотрахеальный наркоз установлена система проксимальной церебральной протекции MoMaUltra. Выполнено стентирование окклюзии левой ВСА в шейном сегменте стентом WALLSTENT 9,0×50 мм с последующей постдилатацией. При аспирации крови (3 шприца по 50 мл) атероматозного детрита и тромботических масс не получено.
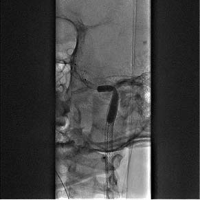
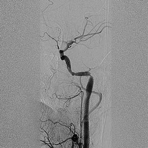
Верифицированный пристеночный тромбоз каменистого сегмента левой ВСА (неровность внутренних контуров, дефекты заполнения; рис. 2) потребовал установки дистальной защиты SpiderFX и стентирования левой ВСА в каменистом сегменте стентом CRISTALLO 7×10×30 мм с последующей постдилатацией (рис. 3).
Рис. 2. Диссекция (неровность внутренних контуров, дефекты заполнения). Установлен стент WALLSTENT проксимальнее области диссекции
Рис. 3. Имплантация стента CRISTALLO с последующей постдилатацией
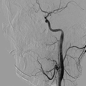
Рис. 4. Контрольная цереброангиография
После планового пробуждения через 6 ч отмечен регресс клинической симптоматики: мышечная сила справа в руке — парез, 2 балла, в ноге — парез, 4 балла. Через 6 ч зарегистрирован практически полный регресс сенсомоторной афазии.
На мультиспиральной компьютерной томограмме головного мозга от 28.09.2014: картина ишемии в подкорковых ядрах слева, в кортикальных отделах левой теменной доли.
Пациент завершил курс лечения в условиях неврологического отделения для больных с ОНМК. За период пребывания в стационаре динамика заболевания положительная в виде значительного регресса очаговой неврологической симптоматики, нарастания силы в конечностях, улучшения функции речи.
Проведённое медикаментозное лечение: цитиколин (цераксон), этилметилгидроксипиридина сукцинат (мексидол), цитофлавин, магния сульфат, семакс, ацетилсалициловая кислота + магния годроксид (кардиомагнил), клопидогрел (зилт), далтепарин натрия (фрагмин), гепарин натрия, занятия лечебной физкультурой, массаж и электростимуляция левых конечностей.
Выписан в удовлетворительном состоянии 17.10.2014. Пациенту было рекомендовано: фонтурацетам (фенотропил) 100 мг утром, 1 мес; ацетилсалициловая кислота 75 мг вечером, 6 мес; клопидогрел 75 мг вечером, 6 мес; избегать значительных физических нагрузок, особенно связанных с изменением положения головы и шеи. Повторная госпитализация через 4 и 9 мес.
При повторной явке через 4 и 9 мес пациент никаких жалоб не предъявляет. Двигательная активность в конечностях в полном объёме, сенсомоторной афазии нет. Самочувствие хорошее. Уровень активности умеренный (занимается лёгкой атлетикой 3 раза в неделю по 60 мин). При контрольной цереброангиографии патологии не выявлено, контуры стентов ровные, рестенозы и диссекции не визуализируются (рис. 5–7).
Рис. 5, 6. Контрольная цереброангиография через 4 мес. Стенты функционируют нормально
Рис. 7. Контрольная цереброангиография через 9 мес. Стенты функционируют нормально
Данный клинический случай демонстрирует характерную клиническую картину окклюзии левой ВСА, вызванной травматической диссекцией у подростка 15 лет после тренировки по боксу.
Наибольший интерес в нашем наблюдении вызывает возраст пациента и рентгенохирургический подход в диагностике и лечении диссекции ВСА. С учётом небольшого количества данных об интервенционном лечении диссекций ВСА и отсутствия чётких принципов и методов лечения указанной патологии выбранный подход стентирования с использованием комбинации проксимальной и дистальной церебральной защиты, на наш взгляд, представляется оптимальным. Предложенный метод у данного пациента не имел непосредственных послеоперационных, ближайших и средне-отдалённых осложнений. Контроль состояния пациента и данные ангиографии и ультразвукового исследования позволяют нам утверждать о благоприятном непосредственном и средне-отдалённом прогнозе для данного пациента.
После выполненного стентирования окклюзии и диссекции левой ВСА в шейном отделе с переходом на каменистый сегмент ближайшие и годичные осложнения отсутствовали.
Авторы заявляют об отсутствии конфликта интересов по представленной статье.
Об авторах
Григорий Вячеславович Сазанов
Ставропольский государственный медицинский университет; Ставропольская краевая клиническая больница
Автор, ответственный за переписку.
Email: mc_sagr@mail.ru
г. Ставрополь, Россия; г. Ставрополь, Россия
Олег Сергеевич Белоконь
Ставропольский государственный медицинский университет; Ставропольская краевая клиническая больница
Email: mc_sagr@mail.ru
г. Ставрополь, Россия; г. Ставрополь, Россия
Антон Юрьевич Краснов
Ставропольская краевая клиническая больница
Email: mc_sagr@mail.ru
г. Ставрополь, Россия
Список литературы
- Hart R.G. Vertebral artery dissection. Neurology. 1988; 38: 987. doi: 10.1212/WNL.38.6.987.
- Amarenco P., Bogousslavsky J., Caplan L.R. et al. New approach to stroke subtyping: the A-S-C-O (phenotypic) classification of stroke. Cerebrovasc. Dis. 2009; 27: 502-508. doi: 10.1159/000210433.
- Hart R.G., Easton J.D. Dissections. Stroke. 1985; 16: 925. doi: 10.1161/01.STR.16.6.925.
- Медведев Ю.А., Мацко Д.Е. Аневризмы и пороки развития сосудов мозга. Т. 1. СПб. 1993: 135 c.
- Adams H.P.Jr., Bendixen B.H., Kappelle L.J. et al. Classification of subtype of acute ischemic stroke. Definitions for use in a multicenter clinical trial. TOAST. Trial of Org 10 172 in Acute Stroke Treatment. Stroke. 1993; 24: 35-41. doi: 10.1161/01.STR.24.1.35.
- Bassetti C., Carruzzo A., Sturzenegger M. et al. Recurrence of cervical artery dissection: A prospective study of 81 patients. Stroke. 1996; 27: 1804-1807. doi: 10.1161/01.STR.27.10.1804.
- DeBray J.M., Penisson-Besnier I., Emile J. Extracranial and intracranial vertebrobasilar dissections: diagnosis and prognosis. J. Neurol. Neurosurg. Psychiatry. 1997; 63: 46-51. doi: 10.1136/jnnp.63.1.46.
- Cerrato P., Grasso M., Imperiale D. et al. Stroke in young patients: etiopathogenesis and risk factors in different age classes. Cerebrovasc. Dis. 2004; 18: 154-159. doi: 10.1159/000079735.
- Tripathi M., Santosh V., Nagaraj D. et al. Stroke in a young man with fibromuscular dysplasia of the cranial vessels with anticardiolipin antibodies: a case report. Neurol. Sci. 2001; 22 (1): 31-35. doi: 10.1007/s100720170034.
- Yoshimoto Y., Wakai S. Unruptured intracranial vertebral artery dissection: Clinical course and serial radiographic imagings. Stroke. 1997; 28: 370. doi: 10.1161/01.STR.28.2.370.
- Калашникова Л.А. Диссекция (расслоение) церебральных артерий и ишемический инсульт. Атмосфера. Нервные болезни. 2011; (2): 2-5.
- Mas J.L., Bousser M.G., Hasboun D. et al. Extracranial vertebral artery dissections: a review of 13 cases. Stroke. 1987; 18: 1037-1047. doi: 10.1161/01.STR.18.6.1037.
- Silbert P.L., Mokri B., Schievink W.I. Headache and neck pain in spontaneous internal carotid and vertebral artery dissection. Neurology. 1995; 45: 1517-1522. doi: 10.1212/WNL.45.8.1517.
- Hegde V., Coutinho C.M., Mitchell J.D. Dissection of the intracranial internal carotid artery producing isolated oculomotor nerve palsy with sparing of pupil. Acta. Neurol. Scand. 2002; 105: 330-332. doi: 10.1034/j.1600-0404.2002.1c259.x.
- Baumgartner R.W., Bogousslavsky J. Clinical manifestations of carotid dissection. In: Bawngartner R.W., Bogousslavsky J., Caso V., Paciaroni M. (eds.). Handbook on cerebral artery dissection. Front. Neurol. Neurosci. Basel: Karger. 2005; 20: 70-76. doi: 10.1159/000088151.
- Rao A.S., Makaroun M.S., Marone L.K. et al. Long-term outcomes of internal carotid artery dissection. J. Vasc. Surg. 2011; 54: 370-374. doi: 10.1016/j.jvs.2011.02.059.
- Crönlein M., Sandmann G.H., Beirer M. et al. Traumatic bilateral carotid artery dissection following severe blunt trauma: a case report on the difficulties in diagnosis and therapy of an often overlooked life-threatening injury. Eur. J. Med. Res. 2015; 20: 62. doi: 10.1186/s40001-015-0153-1.
- Zinkstok S.M., Vergouwen M.D., Engelter S.T. et al. Safety and functional outcome of thrombolysis in dissection-related ischemic stroke: a meta-analysis of individual patient data. Stroke. 2011; 42: 2515-2520. doi: 10.1161/STROKEAHA.111.617282.
- Patel R.R., Adam R., Maldjian C. et al. Cervical carotid artery dissection: current review of diagnosis and treatment. Cardiol. Rev. 2012; 20: 145-152. doi: 10.1097/CRD.0b013e318247cd15.
- Sturzenegger M., Mattle H.P., Rivoir A. et al. Ultrasound findings in spontaneous extracranial vertebral artery dissection. Stroke. 1993; 24: 1910-1921. doi: 10.1161/01.STR.24.12.1910.
- Sturzenegger M., Mattle H.P., Rivoir A., et al. Ultrasound findings in carotid artery dissection: analysis of 43 patients. Neurology. 1995; 45: 691-698. doi: 10.1212/WNL.45.4.691.
Дополнительные файлы








