Патоморфологическая картина диабетической нефропатии при экспериментальном сахарном диабете
- Авторы: Филинова С.О.1, Жариков А.Ю.1, Бобров И.П.2, Мазко О.Н.2, Макарова О.Г.2
-
Учреждения:
- Алтайский государственный медицинский университет
- Лаборатория биомедицины Центра медико-биологических исследований Алтайского государственного медицинского университета
- Выпуск: Том 100, № 1 (2019)
- Страницы: 147-152
- Раздел: Экспериментальная медицина
- Статья получена: 08.02.2019
- Статья опубликована: 08.02.2019
- URL: https://kazanmedjournal.ru/kazanmedj/article/view/11017
- DOI: https://doi.org/10.17816/KMJ2019-147
- ID: 11017
Цитировать
Полный текст
Аннотация
Цель. Провести морфологическое исследование почечного клубочка при экспериментальном сахарном диабете и изучить патоморфологические особенности развития диабетической нефропатии.
Методы. Исследование проведено на 25 самцах крыс сток Вистар. Моделирование сахарного диабета осуществляли посредством внутрибрюшинного введения стрептозотоцина в дозе 65 мг/кг. Для более селективного моделирования сахарного диабета 2-го типа крысам контрольной группы вводили предварительно внутрибрюшинно раствор цитофлавина из расчёта дозировки никотинамида 115 мг/кг. В группе сравнения аналогичным способом вводили 1 мл изотонического раствора натрия хлорида. На 28-й день эксперимента животных подвергали эвтаназии под эфирным наркозом, извлекали почки, очищали и промывали изотоническим раствором натрия хлорида. Материал фиксировали в 10% растворе нейтрального формалина. При помощи морфометрического метода исследования измеряли площадь почечных клубочков и площадь просветов капилляров, а после специальной компьютерной обработки цифровых фотографий оценивали суммарную площадь сосудистого русла в клубочке и площадь мезангия в почечном клубочке.
Результаты. После 4 нед эксперимента у крыс с сахарным диабетом развивались характерные изменения морфофункционального состояния почечных тканей: увеличение площади почечных клубочков, утолщение базальной мембраны капилляров клубочков, увеличение размеров подоцитов с уменьшением их количества, очаги нефросклероза.
Вывод. По итогам исследования зафиксированы характерные патоморфологические явления в почках крыс с экспериментальным сахарным диабетом, которые свидетельствуют о развитии диабетической нефропатии.
Ключевые слова
Полный текст
Сахарный диабет (СД) — одно из наиболее распространённых системных заболеваний человека. [1]. Наибольшая опасность СД связана с его осложнениями, в частности с диабетической нефропатией (ДН), которая развивается приблизительно у 20,1% пациентов с СД 1-го типа и 6,3% пациентов с СД 2-го типа. По статистике ДН занимает 3-е место в ряду потенциально летальных осложнений СД [2, 3]. В этой связи высокую актуальность сохраняет вопрос поиска методов коррекции ДН, включая фармакологические подходы.
Традиционно для разработки таргетных методов лекарственной коррекции патологии большое значение имеет выявление особенностей её патогенеза. На этом базируется поиск мишеней для фармакологической коррекции. Кроме того, это позволяет проводить оценку эффективности того или иного подхода к лечению ДН.
Сегодня установлено, что в патогенезе ДН ключевую роль играют гипергликемия и гиперглюкозурия, которые обусловливают ряд последовательных биохимических нарушений, приводящих к повреждению сосудистой стенки, гипертрофии почечных клубочков и развитию ДН [4].
В то же время особенности тканевых и клеточных процессов, происходящих непосредственно в почечных клубочках при ДН, изучены недостаточно полно, в связи с чем представляют значительный интерес. Подробное изучение и описание патоморфологической картины ДН позволит продвинуться в понимании особенностей протекания патологии, а также поспособствует повышению эффективности оценки новых разрабатываемых способов коррекции ДН.
Цель настоящего исследования — провести морфологическое исследование почечного клубочка при экспериментальном СД и изучить патоморфологические особенности развития ДН.
Эксперименты проведены на 25 самцах крыс сток Вистар в возрасте 2–3 мес с массой тела 270–300 г, которые на протяжении периода исследований находились в индивидуальных метаболических клетках, приспособленных для сбора мочи, в условиях свободного потребления воды и пищи. Исследования выполняли согласно принципам гуманности в соответствии с утверждёнными правилами лабораторной практики [5].
Животные были разделены на две группы: группу сравнения и контрольную группу по 12 и 13 особей соответственно. В исследование были включены животные, у которых уровень диуреза находился в диапазоне 2–10 мл [6]. В контрольной группе для моделирования СД крысам внутрибрюшинно однократно вводили 1 мл раствора стрептозотоцина в цитратном буфере из расчёта дозы 65 мг/кг. В соответствии с современными представлениями об особенностях моделирования СД при помощи стрептозотоцина для более селективного моделирования СД 2-го типа крысам контрольной группы вводили предварительно внутрибрюшинно раствор цитофлавина из расчёта дозировки никотинамида 115 мг/кг [7]. В группе сравнения аналогичным способом вводили 1 мл изотонического раствора натрия хлорида.
В день введения стрептозотоцина, а затем на 3-й, 7-й, 14-й, 21-й и 28-й дни эксперимента в обеих группах производили сбор суточного объёма мочи, в которой определяли концентрацию глюкозы, белка и креатинина. С учётом суточного объёма диуреза рассчитывали экскрецию глюкозы, белка и креатинина. Концентрацию глюкозы, белка и креатинина определяли на автоматическом биохимическом анализаторе DIRUICS-T240.
Концентрацию глюкозы оценивали методом ферментативного окисления глюкозы в присутствии глюкозооксидазы, который основан на измерении оптической плотности окрашенного соединения хинонимина.
Для определения концентрации белка использовали биуретовый метод, основанный на образовании комплекса сине-фиолетового цвета с ионами меди, оптическая плотность которого прямо пропорциональна концентрации белка.
Концентрацию креатинина определяли кинетическим методом без депротеинизации, основанным на реакции Яффе образования красно-оранжевого окрашенного комплекса.
На 28-й день эксперимента животных подвергали эвтаназии под эфирным наркозом, извлекали почки, очищали и промывали изотоническим раствором натрия хлорида.
Материал фиксировали в 10% растворе нейтрального формалина. Проводку материала осуществляли по изопропиловому спирту с помощью автомата проводки карусельного типа TISSUE-TEK VIPTM6 (Sakkura, Япония). Заливали материал в парафин при помощи станции парафиновой заливки TISSUE-TEK TEC 5 (Sakkura, Япония). Гистологические срезы толщиной 2–4 мкм получали с использованием полуавтоматического роторного микротома Accu-Cut SRM (Sakkura, Япония).
В каждом препарате оценивали 20–25 клубочков. У каждого животного справа и слева забирали 3–4 препарата. Все препараты фотографировали цифровым фотоаппаратом при различных увеличениях, что позволяло достаточно полно визуализировать, на каком уровне расположены клубочки. Работали с клубочками, которые располагались на одном уровне и приближались к форме круга, с вытянутыми или деформированными клубочками не работали. Не работали также с клубочками, которые были порезаны поверхностно и имели слишком маленький размер, чтобы избежать влияния уровня среза.
Окрашивали гематоксилином и эозином в автомате для автоматической окраски микропрепаратов TISSUE-TEK Prisma (Sakkura, Япония). Также осуществляли гистохимические окраски на нейтральные гликозаминогликаны Шифф-реактивом по Мак-Манусу и на кислые гликозаминогликаны 1% раствором альцианового синего на 3% уксусной кислоте (рН=2,5) по Стидмену. Заключали препараты под плёнку в аппарате для автоматического заключения микропрепаратов TISSUE-TEK Film (Sakkura, Япония).
Морфометрические исследования проводили с использованием специально созданной системы компьютерного анализа изображений, состоящей из микроскопа Leica DМЕ (Германия), цифровой камеры Leica EC3 (Leica Microsystems AG, Германия), персонального компьютера и программного обеспечения ВидеоТест-Морфология 5.2. При помощи морфометрического метода исследования измеряли площадь почечных клубочков и площадь просветов капилляров, а после специальной компьютерной обработки цифровых фотографий оценивали суммарную площадь сосудистого русла в клубочке и площадь мезангия в почечном клубочке.
Статистическая обработка результатов проведена с использованием компьютерной программы Statistica 12.0. Результаты биохимических исследований мочи представлены медианой (M) и интерквартильным размахом (25%, 75%). Результаты морфометрических исследований представлены в виде среднего значения (M) и стандартной ошибка среднего (m). Статистические сравнения между группами проводили с использованием непараметрического U-критерия Манна–Уитни, сравнения внутри группы относительно исходного уровня осуществляли с использованием непараметрического критерия Уилкоксона. Результаты признавали достоверными при значении показателя достоверности p <0,05 [8].
Проведённые эксперименты показали, что после 4 нед моделирования экспериментального СД у крыс развивались характерные изменения морфофункционального состояния почечных тканей по сравнению с интактными животными.
Оказалось, что площадь почечных клубочков у крыс контрольной группы в 1,3 раза превышала показатель крыс группы сравнения: 7918,9±367,5 против 6174,7±257,5 мкм2 (p=0,0003). При этом на фоне развивающегося СД в почечных клубочках было выявлено очаговое расширение межкапиллярного пространства за счёт накопления ШИК-положительного материала мезангия и незначительного увеличения количества мезангиальных клеток (рис. 1). Площадь мезангия в клубочках у крыс группы контроля возрастала в 1,4 раза и в среднем составляла 6823,45±225,75 мкм2, в то время как у интактных животных величина данного показателя была 4762,3±23,3 мкм2 (p=0,01).
Рис. 1. Состояние мезангиума клубочков почки: а — интактные животные; б — животные контрольной группы: расширение межкапиллярного пространства за счёт накопления ШИК-положительного материала мезангия и сужение просвета капилляров (показано стрелками). Окраска ШИК-реактивом по Мак-Манусу. Увеличение ×1200
Параллельно фиксировалось уменьшение в 1,9 раза средней суммарной площади сосудистого русла в клубочке у крыс с экспериментальным СД по сравнению с интактными животными: 2200,4±699,8 мкм2 у здоровых крыс против 1150,9±774,6 мкм2 в контроле заболевания (p=0,045; рис. 2). Средняя площадь 1 капилляра в клубочке при экспериментальном СД (рис. 3) также уступала уровню интактных крыс на 18,5%, составляя 33,8±3,7 мкм2 (p=0,05).
Рис. 2. Компьютерный анализ площади мезангиума и сосудов клубочка почки интактных крыс: а — клубочек почки; б — мезангиум клубочка почки интактных крыс; в — капилляры клубочка почки. Окраска ШИК-реактивом по Мак-Манусу и компьютерная обработка. Увеличение ×1200
Рис. 3. Компьютерный анализ площади мезангиума и сосудов клубочка почки при экспериментальном сахарном диабете: а — клубочек почки; б — увеличение площади мезангиума клубочка; в — уменьшение площади просветов капилляров клубочка почки. Окраска ШИК-реактивом по Мак-Манусу и компьютерная обработка. Увеличение ×1200
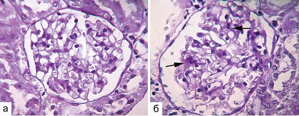
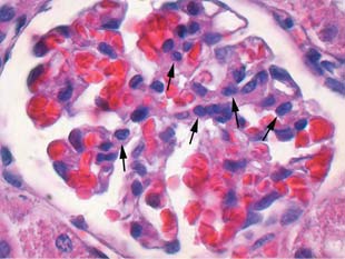
Базальные мембраны капилляров клубочков были утолщены, просвет капилляров сужен. Капсула клубочков почки выглядела утолщённой. Присутствовали синехии между париетальным листком капсулы и капиллярными петлями. Подоциты были увеличены в размерах, набухшие, c увеличенными ядрами, количество подоцитов при экспериментальном СД уменьшалось в 2,1 раза (рис. 4 и 5). В контрольной группе среднее число подоцитов в клубочке составило 4,9±0,4, а в группе сравнения — 10,2±0,2 (p=0,00002).
Рис. 4. В клубочках почек интактных животных подоциты небольшого размера и располагаются под эндотелием капилляров (отмечены стрелками). Окраска гематоксилином и эозином. Увеличение ×1600
Рис. 5. В клубочках почек экспериментальных животных на фоне склеротических изменений количество подоцитов уменьшено, они большого размера с крупными ядрами (отмечены стрелками). Окраска по Ван-Гизону. Увеличение ×1600
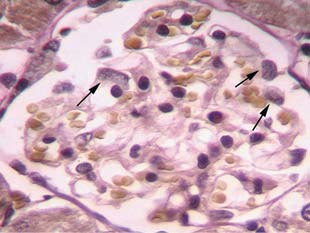
В интерстиции почки крыс контрольной группы встречались очаги нефросклероза, где были видны утолщённые тубулярные базальные мембраны. В этих участках нефроциты канальцев были уплощены, просвет канальцев расширен. Большинство нефроцитов находилось в состоянии гиалиново-капельной дистрофии. Определялись участки деструкции щёточной каёмки (рис. 6).
Рис. 6. Нефроциты канальцев почки: а — сохранение щёточной каёмки у интактных животных; б — разрушение щёточной каёмки нефроцитов, явления гиалиново-капельной дистрофии и выход белка в просвет канальцев у животных экспериментальной группы. Окраска гематоксилином и эозином. Увеличение ×1000
Результаты биохимических исследований мочи крыс показали, что в контрольной группе величина диуреза у крыс увеличилась к концу 4-й недели эксперимента относительно исходного уровня в 2,0 раза с 7,4 (5,4; 8,5) до 15,0 (8,0; 18,0) мл/сут (p=0,0097), что было в 2,7 раза больше, чем в группе сравнения: 5,5 (2,3; 7,5) мл/сут (p=0,0021). При этом уровень диуреза в группе сравнения в течение 4 нед оставался стабильным.
Уровень экскреции глюкозы с мочой в контрольной группе к моменту завершения опыта превышал исходные значения в 4,8 раза: 8,7 (4,7; 20,9) и 1,8 (1,6; 2,0) мкмоль/сут соответственно (p=0,00187). По сравнению с интактными крысами величина глюкозурии на 28-й день была больше в 3,2 раза: 8,7 (4,7; 20,9) и 2,7 (1,6; 3,4) мкмоль/сут соответственно (p=0,00055).
Экскреция белка в контрольной группе также увеличилась в 1,6 раза относительно исходного уровня к моменту окончания эксперимента: с 11,5 (10,3; 13,4) до 18,0 (13,3; 31,2) мг/сут, превышая уровень крыс группы сравнения [12,3 (8,1; 14,2) мг/сут] в 1,5 раза (p=0,024).
Таким образом, результаты биохимических исследований мочи подтверждают развитие глюкозурии и протеинурии, что свидетельствует о развитии экспериментального СД и повреждении почечного клубочка.
В результате проведённых экспериментов получена чёткая патоморфологическая картина повреждения почек при СД. По современным представлениям, важную роль в развитии нефропатии играет нарушение структуры и функций подоцитов [9–11]. Как известно, эти клетки определяют нормальное функционирование фильтрационного барьера в клубочке. Их «ножки» покрывают капилляры, оставляя поры, через которые фильтруется плазма крови, но не проходят белки и форменные элементы крови. В нашем исследовании было зафиксировано 2-кратное снижение количества подоцитов при сопутствующем увеличении их размера. Вероятно, это могло привести к существенному увеличению проницаемости фильтрационного барьера для белков и других крупномолекулярных соединений.
На этом фоне увеличение площади мезангия и снижение площади сосудистого русла указывают на ослабление кровотока в клубочке. Однако в то же время увеличение площади почечных клубочков свидетельствовало о повышении общей скорости клубочковой фильтрации.
Дополняют картину патологических изменений в почках при экспериментальном СД явления нефросклероза, гиалиново-капельной дистрофии нефроцитов и очаговой деструкции щёточной каёмки нефроцитов, которые сопровождались выходом белка в просвет канальца, зафиксированного в ходе эксперимента.
Суммируя вышеизложенное, отметим, что по итогам исследования зафиксированы характерные патоморфологические явления в почках крыс с экспериментальным СД, которые свидетельствуют о развитии ДН.
Вывод
При экспериментальном сахарном диабете у крыс появляются характерные морфологические признаки развития диабетической нефропатии: увеличение размера почечных клубочков, уменьшение количества подоцитов, расширение межкапиллярного пространства и мезангия, уменьшение количества, площади просветов и средней суммарной площади капилляров в клубочках.
Авторы заявляют об отсутствии конфликта интересов по представленной статье.
Об авторах
Светлана Олеговна Филинова
Алтайский государственный медицинский университет
Автор, ответственный за переписку.
Email: zharikov_a_y@mail.ru
г. Барнаул, Россия
Александр Юрьевич Жариков
Алтайский государственный медицинский университет
Email: zharikov_a_y@mail.ru
г. Барнаул, Россия
Игорь Петрович Бобров
Лаборатория биомедицины Центра медико-биологических исследований Алтайского государственного медицинского университета
Email: zharikov_a_y@mail.ru
г. Барнаул, Россия
Олеся Николаевна Мазко
Лаборатория биомедицины Центра медико-биологических исследований Алтайского государственного медицинского университета
Email: zharikov_a_y@mail.ru
г. Барнаул, Россия
Олеся Геннадьевна Макарова
Лаборатория биомедицины Центра медико-биологических исследований Алтайского государственного медицинского университета
Email: zharikov_a_y@mail.ru
г. Барнаул, Россия
Список литературы
- Ogurtsova K., da Rocha Fernandes J.D., Huang Y. et al. IDF Diabetes Atlas: Global estimates for the prevalence of diabetes for 2015 and 2040. Diabetes Res. Clin. Pract. 2017; (128): 40-50. doi: 10.1016/j.diabres.2017.03.024.
- Дедов И.И., Шестакова М.В., Викулова О.К. Эпидемиология сахарного диабета в Российской Федерации: клинико-статистический анализ по данным федерального регистра сахарного диабета. Сахарный диабет. 2017; 20 (1): 13-41. doi: 10.14341/DM8664.
- Fouli G.E., Gnudi L. The future: Experimental therapies for renal disease in diabetes. Nephron. 2018; (26): 1-5. doi: 10.1159/000492825.
- Diamond J. Focal and segmental glomerulosclerosis: analogies to atherosclerosis. Kidney Int. 1988; (33): 917-924. doi: 10.1038/ki.1988.87.
- Приказ Минздравсоцразвития РФ от 23 августа 2010 г. №708н «Об утверждении правил лабораторной практики». http://www.garant.ru/products/ipo/prime/doc/12079613/ (дата обращения: 28.09.2018).
- Брюханов В.М., Зверев Я.Ф., Лампатов В.В., Жариков А.Ю. Методические подходы к изучению функции почек в эксперименте на животных. Нефрология. 2009; 13 (3): 52-62. DOI: 10.24884/ 1561-6274-2009-13-3-52-62.
- Спасов А.А., Воронкова М.П., Снигур Г.Л. и др. Экспериментальная модель сахарного диабета типа 2. Биомедицина. 2011; (3): 12-18.
- Хафизьянова Р.Х., Бурыкин И.М., Алеева Г.Н. Математическая статистика в экспериментальной и клинической фармакологии. Казань: Медицина. 2006: 374 c.
- Бобкова И.Н., Шестакова М.В., Щукина А.А. Диабетическая нефропатия - фокус на повреждение подоцитов. Нефрология. 2015; 19 (2): 33-43.
- Fiorina P., Vergani A., Bassi R. et al. Role of podocyte B7-1 in diabetic nephropathy. J. Am. Soc. Nephrol. 2014; 25 (7): 1415-1429. doi: 10.1681/ASN.2013050518.
- Kim N.H. Podocyte hypertrophy in diabetic nephropathy. Nephrology (Carlton). 2005; (10): 14-16. doi: 10.1111/j.1440-1797.2005.00450.x.
Дополнительные файлы









